JavaScript is disabled in your browser. Please enable JavaScript to view this website.
AB240896

Anti-ASIC1 antibody [S271-44]

Be the first to review this product! Submit a review

|

(5 Publications)

Mouse Monoclonal ASIC1 antibody. Suitable for ICC, WB, ICC/IF and reacts with Human, Rat, Mouse samples. Cited in 5 publications. Immunogen corresponding to Recombinant Fragment Protein within Mouse Asic1 aa 450 to C-terminus.

View Alternative Names

ACCN2, BNAC2, ASIC1, Acid-sensing ion channel 1, Brain sodium channel 2, BNaC2

2 Images
Immunocytochemistry/ Immunofluorescence - Anti-ASIC1 antibody [S271-44] (AB240896)
  • ICC/IF

Supplier Data

Immunocytochemistry/ Immunofluorescence - Anti-ASIC1 antibody [S271-44] (AB240896)

Immunocytochemical analysis of 4% paraformaldehyde-fixed SK-N-BE (human neuroblastoma cell line) cells labeling ASIC1 with ab240896 at 1/100 dilution for 60 minutes at room temperature, followed by Goat Anti-Mouse ATTO 488 at 1/100 dilution for 60 minutes (green). The nuclear counter stain is DAPI (blue). Actin is detected with Phalloidin Texas Red F-Actin stain (red).

A : DAPI, B : Actin, C : ASIC1, D : Composite.

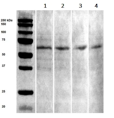
Western blot - Anti-ASIC1 antibody [S271-44] (AB240896)
  • WB

Supplier Data

Western blot - Anti-ASIC1 antibody [S271-44] (AB240896)

Lane 1:

Western blot - Anti-ASIC1 antibody [S271-44] (ab240896) at 1/100 dilution

Lane 2:

Western blot - Anti-ASIC1 antibody [S271-44] (ab240896) at 1/250 dilution

Lane 3:

Western blot - Anti-ASIC1 antibody [S271-44] (ab240896) at 1/500 dilution

Lane 4:

Western blot - Anti-ASIC1 antibody [S271-44] (ab240896) at 1/1000 dilution

All lanes:

Rat brain lysate

Predicted band size: 60 kDa

false

Key facts

Host species

Mouse

Clonality

Monoclonal

Clone number

S271-44

Isotype

IgG1

Carrier free

No

Reacts with

Mouse, Rat, Human

Applications

WB, ICC, ICC/IF

applications

Immunogen

Recombinant Fragment Protein within Mouse Asic1 aa 450 to C-terminus. The exact immunogen used to generate this antibody is proprietary information.

Q6NXK8

Reactivity data

{ "title": "Reactivity Data", "filters": { "stats": ["", "Species", "Dilution Info", "Notes"], "tabs": { "all-applications": {"fullname" : "All Applications", "shortname": "All Applications"}, "ICC" : {"fullname" : "Immunocytochemistry", "shortname":"ICC"}, "WB" : {"fullname" : "Western blot", "shortname":"WB"}, "ICCIF" : {"fullname" : "Immunocytochemistry/ Immunofluorescence", "shortname":"ICC/IF"} }, "product-promise": { "all": "all", "testedAndGuaranteed": "tested", "guaranteed": "expected", "predicted": "predicted", "notRecommended": "not-recommended" } }, "values": { "Human": { "ICC-species-checked": "guaranteed", "ICC-species-dilution-info": "1/100", "ICC-species-notes": "<p></p>", "WB-species-checked": "guaranteed", "WB-species-dilution-info": "", "WB-species-notes": "", "ICCIF-species-checked": "testedAndGuaranteed", "ICCIF-species-dilution-info": "1/100", "ICCIF-species-notes": "<p></p>" }, "Mouse": { "ICC-species-checked": "guaranteed", "ICC-species-dilution-info": "", "ICC-species-notes": "<p></p>", "WB-species-checked": "guaranteed", "WB-species-dilution-info": "", "WB-species-notes": "<p></p>", "ICCIF-species-checked": "guaranteed", "ICCIF-species-dilution-info": "1/100", "ICCIF-species-notes": "<p></p>" }, "Rat": { "ICC-species-checked": "guaranteed", "ICC-species-dilution-info": "1/100", "ICC-species-notes": "<p></p>", "WB-species-checked": "testedAndGuaranteed", "WB-species-dilution-info": "1/1000", "WB-species-notes": "<p></p>", "ICCIF-species-checked": "guaranteed", "ICCIF-species-dilution-info": "1/100", "ICCIF-species-notes": "<p></p>" } } }

Properties and storage information

Form
Liquid
Purification technique
Affinity purification Protein G
Purification notes
Purified from TCS.
Storage buffer
Preservative: 0.09% Sodium azide Constituents: PBS, 50% Glycerol (glycerin, glycerine)
Shipped at conditions
Blue Ice
Appropriate short-term storage duration
1-2 weeks
Appropriate short-term storage conditions
+4°C
Appropriate long-term storage conditions
-20°C
Aliquoting information
Upon delivery aliquot
Storage information
Avoid freeze / thaw cycle

Supplementary information

This supplementary information is collated from multiple sources and compiled automatically.

The ASIC1 or acid-sensing ion channel 1 is also known as ASIC or ACCN2. It is part of a group of proton-gated cation channels. ASIC1 has a molecular mass of approximately 60 kDa. This ion channel plays a role in the detection of acidosis where it mediates proton influx across cell membranes affecting changes in membrane potential. ASIC1 is expressed in neurons of the central and peripheral nervous systems with particular abundance in the brain. Its localization to regions such as the amygdala suggests a possible role in processing emotions and pain perception.
Biological function summary

This ion channel aids in neuronal response to pH drops serving as a sensor for acidification. The ASIC1 subunit can form homotrimers or heterotrimers with other ASIC subunits which impacts the ion conductance properties. This protein's activity affects synaptic plasticity and is involved in both short-term and long-term modulation of neuronal circuits. Changes in its activity can influence neurotransmission and has implications in neurological functionality.

Pathways

ASIC1 is part of the neurophysiological signaling pathways affecting synaptic transmission. It interacts with other proteins like ASIC2 and ASIC3 being implicated in the modulation of sensory perception and pain. Involvement in pathways like the pain-transducing signaling pathway places ASIC1 in a context where it can regulate nociceptive signals. It participates in ion flux alterations that contribute to neuronal excitability and synaptic strength.

ASIC1 has connections to neurodegenerative conditions and pain syndromes. It is implicated in the pathophysiology of disorders such as ischemia where acidosis occurs during stress and tissue damage and chronic pain conditions. ASIC1 interacts with proteins such as the NMDA receptor in the context of these diseases suggesting a role in excitotoxicity. Dysfunction or altered regulation of ASIC1 may exacerbate neurodegeneration or chronic pain symptoms highlighting its potential as a therapeutic target.

Product protocols

For this product, it's our understanding that no specific protocols are required. You can visit:

Target data

Isoform 2 and isoform 3 function as proton-gated sodium channels; they are activated by a drop of the extracellular pH and then become rapidly desensitized. The channel generates a biphasic current with a fast inactivating and a slow sustained phase. Has high selectivity for sodium ions and can also transport lithium ions with high efficiency. Isoform 2 can also transport potassium, but with lower efficiency. It is nearly impermeable to the larger rubidium and cesium ions. Isoform 3 can also transport calcium ions. Mediates glutamate-independent Ca(2+) entry into neurons upon acidosis. This Ca(2+) overloading is toxic for cortical neurons and may be in part responsible for ischemic brain injury. Heteromeric channel assembly seems to modulate channel properties. Functions as a postsynaptic proton receptor that influences intracellular Ca(2+) concentration and calmodulin-dependent protein kinase II phosphorylation and thereby the density of dendritic spines. Modulates activity in the circuits underlying innate fear.. Isoform 1 does not display proton-gated cation channel activity.
See full target information ASIC1

Publications (5)

Recent publications for all applications. Explore the full list and refine your search

Frontiers in cell and developmental biology 13:1582970 PubMed40677921

2025

Selective blockade of acid-sensing ion channel 1a can provide substantial hippocampal neuroprotection.

Applications

Unspecified application

Species

Unspecified reactive species

Jiaai Li,Yu Cheng,Di Ma,Guangjian Li,Weixuan Zhao,Ting Jiang,Hongmei Meng

Neuropsychiatric disease and treatment 18:2181-2198 PubMed36187562

2022

Ketogenic Diet Alleviates Hippocampal Neurodegeneration Possibly via ASIC1a and the Mitochondria-Mediated Apoptotic Pathway in a Rat Model of Temporal Lobe Epilepsy.

Applications

Unspecified application

Species

Unspecified reactive species

Qi Qiao,Zhenzhen Qu,Shuang Tian,Huifang Cao,Yange Zhang,Can Sun,Lijing Jia,Weiping Wang

Aging 13:10703-10723 PubMed33824228

2021

ASIC1 and ASIC3 mediate cellular senescence of human nucleus pulposus mesenchymal stem cells during intervertebral disc degeneration.

Applications

Unspecified application

Species

Unspecified reactive species

Jingyu Ding,Renjie Zhang,Huimin Li,Qiang Ji,Xiaomin Cheng,Rick Francis Thorne,Hubert Hondermarck,Xiaoying Liu,Cailiang Shen

Cell proliferation 54:e12941 PubMed33111436

2020

Acid-sensing ion channels regulate nucleus pulposus cell inflammation and pyroptosis via the NLRP3 inflammasome in intervertebral disc degeneration.

Applications

Unspecified application

Species

Unspecified reactive species

Kangcheng Zhao,Ran An,Qian Xiang,Gaocai Li,Kun Wang,Yu Song,Zhiwei Liao,Shuai Li,Wenbin Hua,Xiaobo Feng,Xinghuo Wu,Yukun Zhang,Abhirup Das,Cao Yang

The Biochemical journal 477:75-97 PubMed31815277

2019

Aspirin inhibits TGFβ2-induced epithelial to mesenchymal transition of lens epithelial cells: selective acetylation of K56 and K122 in histone H3.

Applications

Unspecified application

Species

Unspecified reactive species

Mi-Hyun Nam,Andrew J O Smith,Mina B Pantcheva,Ko Uoon Park,Joseph A Brzezinski,James J Galligan,Kristofer Fritz,I Michael Wormstone,Ram H Nagaraj
View all publications

Product promise

We are committed to supporting your work with high-quality reagents, and we're here for you every step of the way. In the unlikely event that one of our products does not perform as expected, you're protected by our Product Promise.
For full details, please see our Terms & Conditions

Please note: All products are 'FOR RESEARCH USE ONLY. NOT FOR USE IN DIAGNOSTIC OR THERAPEUTIC PROCEDURES'.

For licensing inquiries, please contact partnerships@abcam.com