JavaScript is disabled in your browser. Please enable JavaScript to view this website.
AB302777

Anti-ASIC3 antibody [EPR26557-80] - BSA and Azide free

Be the first to review this product! Submit a review

|

(0 Publication)

Rabbit Recombinant Monoclonal ASIC3 antibody. Carrier free. Suitable for WB, IHC-P, ICC/IF, IP and reacts with Mouse, Rat, Transfected cell line - Mouse samples.

View Alternative Names

Accn3, Drasic, Asic3, Acid-sensing ion channel 3, ASIC3, Amiloride-sensitive cation channel 3, Dorsal root ASIC, DRASIC

7 Images
Immunocytochemistry - Anti-ASIC3 antibody [EPR26557-80] - BSA and Azide free (AB302777)
  • ICC

Supplier Data

Immunocytochemistry - Anti-ASIC3 antibody [EPR26557-80] - BSA and Azide free (AB302777)

This data was developed using ab302776, the same antibody clone in a different buffer formulation.Immunofluorescent analysis of 4% Paraformaldehyde-fixed, 0.1% TritonX-100 permeabilized 293T (human embryonic kidney epithelial cell) cells labelling ASIC3 with ab302776 at 1/4000 (0.124 ug/ml) dilution, followed by ab150081 Goat Anti-Rabbit IgG H&L (Alexa Fluor® 488) preadsorbed antibody at 1/1000 2 ug/ml dilution (Green). Confocal image showing positive staining in HEK-293T cells transfected with a mouse ASIC3 expression vector containing a myc tag. Image was taken with a confocal microscope (Leica-Microsystems, TCS SP8). ICC has not been tested with endogenous material. is observed. Myc-Tag Mouse mAb (Alexa Fluor® 647) was used to counterstain tubulin at 1/100 0.38 ug/ml dilution (Red). The Nuclear counterstain was DAPI (Blue). Secondary antibody only control : Secondary antibody is ab150081 Goat Anti-Rabbit IgG H&L (Alexa Fluor® 488) preadsorbed at 1/1000 2 ug/ml dilution.

Immunohistochemistry - Anti-ASIC3 antibody [EPR26557-80] - BSA and Azide free (AB302777)
  • IHC

Supplier Data

Immunohistochemistry - Anti-ASIC3 antibody [EPR26557-80] - BSA and Azide free (AB302777)

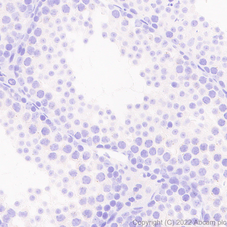
This data was developed using ab302776, the same antibody clone in a different buffer formulation. Immunohistochemical analysis of paraffin-embedded Mouse testis tissue labeling ASIC3 with ab302776 at 1/5000 (0.1 ug/ml) followed by a LeicaDS9800 (Bond™ Polymer Refine Detection) was used at Ready to use dilution. Negative control : no staining on mouse testis (PMID : 11872753). The section was incubated with ab302776 for 30 mins at room temperature.The immunostaining was performed on a Leica Biosystems BOND® RX instrument Counterstained with Hematoxylin. Secondary antibody only control : Secondary antibody is LeicaDS9800 (Bond™ Polymer Refine Detection) was used at Ready to use dilution. Heat mediated antigen retrieval with Tris-EDTA buffer (pH 9.0, epitope retrieval solution2) for 20 mins

Immunohistochemistry - Anti-ASIC3 antibody [EPR26557-80] - BSA and Azide free (AB302777)
  • IHC

Supplier Data

Immunohistochemistry - Anti-ASIC3 antibody [EPR26557-80] - BSA and Azide free (AB302777)

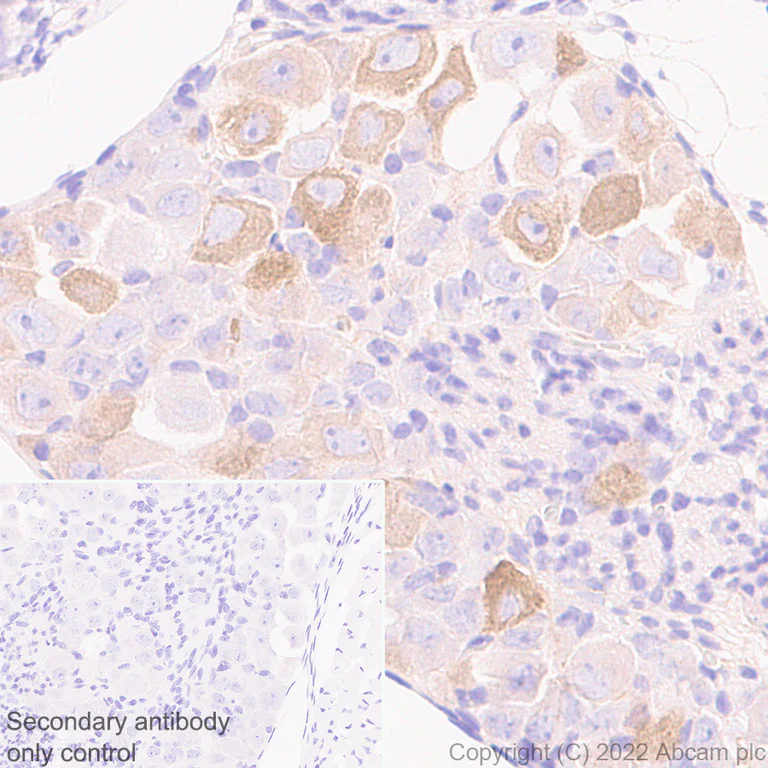
This data was developed using ab302776, the same antibody clone in a different buffer formulation. Immunohistochemical analysis of paraffin-embedded Mouse dorsal root ga tissue labeling ASIC3 with ab302776 at 1/5000 (0.1 ug/ml) followed by a LeicaDS9800 (Bond™ Polymer Refine Detection) was used at Ready to use dilution. Positive staining on mouse dorsal root ganglion. The section was incubated with ab302776 for 30 mins at room temperature.The immunostaining was performed on a Leica Biosystems BOND® RX instrument Counterstained with Hematoxylin. Secondary antibody only control : Secondary antibody is LeicaDS9800 (Bond™ Polymer Refine Detection) was used at Ready to use dilution. Heat mediated antigen retrieval with Tris-EDTA buffer (pH 9.0, epitope retrieval solution2) for 20 mins

Immunohistochemistry - Anti-ASIC3 antibody [EPR26557-80] - BSA and Azide free (AB302777)
  • IHC

Supplier Data

Immunohistochemistry - Anti-ASIC3 antibody [EPR26557-80] - BSA and Azide free (AB302777)

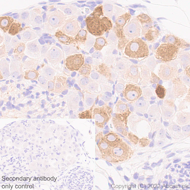
This data was developed using ab302776, the same antibody clone in a different buffer formulation. Immunohistochemical analysis of paraffin-embedded Rat dorsal root gang tissue labeling ASIC3 with ab302776 at 1/5000 (0.1 ug/ml) followed by a LeicaDS9800 (Bond™ Polymer Refine Detection) was used at Ready to use dilution. Positive staining on rat dorsal root ganglion (PMID : 9707631). The section was incubated with ab302776 for 30 mins at room temperature.The immunostaining was performed on a Leica Biosystems BOND® RX instrument Counterstained with Hematoxylin. Secondary antibody only control : Secondary antibody is LeicaDS9800 (Bond™ Polymer Refine Detection) was used at Ready to use dilution. Heat mediated antigen retrieval with Tris-EDTA buffer (pH 9.0, epitope retrieval solution2) for 20 mins

Immunoprecipitation - Anti-ASIC3 antibody [EPR26557-80] - BSA and Azide free (AB302777)
  • IP

Supplier Data

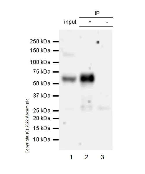
Immunoprecipitation - Anti-ASIC3 antibody [EPR26557-80] - BSA and Azide free (AB302777)

This data was developed using ab302776, the same antibody clone in a different buffer formulation.

ASIC3 was immunoprecipitated from 0.35 mg rat dorsal ganglion tissue lysate with ab302776 at 1/30 dilution (2 µg in 0.35mg lysates). Western blot was performed on the immunoprecipitate using ab302776 at 1/1000 dilution.

Blocking and dilution buffer and concentration : 5% NFDM/TBST.

Samples are non-boiled as boiling may cause protein aggregates in lane 1.

This blot was developed using a high sensitivity ECL substrate. The high-sensitivity ECL substrate used allows for the detection of proteins in the mid-femtogram range.

All lanes:

Immunoprecipitation - Anti-ASIC3 antibody [EPR26557-80] (<a href='/en-us/products/primary-antibodies/asic3-antibody-epr26557-80-ab302776'>ab302776</a>) at 1/1000 dilution

Lanes 1 - 2:

Rat dorsal ganglion tissue lysate at 10 µg

Lane 3:

Rabbit monoclonal IgG (<a href='/en-us/products/primary-antibodies/rabbit-igg-monoclonal-epr25a-isotype-control-ab172730'>ab172730</a>) instead of <a href='/en-us/products/primary-antibodies/asic3-antibody-epr26557-80-ab302776'>ab302776</a> in rat dorsal ganglion tissue lysate at 10 µg

Secondary

All lanes:

Immunoprecipitation - VeriBlot for IP Detection Reagent (HRP) (<a href='/en-us/products/reagents/veriblot-for-ip-detection-reagent-hrp-ab131366'>ab131366</a>) at 1/5000 dilution

Predicted band size: 58 kDa

Observed band size: 60 kDa

true

Exposure time: 93s

Western blot - Anti-ASIC3 antibody [EPR26557-80] - BSA and Azide free (AB302777)
  • WB

Lab

Western blot - Anti-ASIC3 antibody [EPR26557-80] - BSA and Azide free (AB302777)

This data was developed using ab302776, the same antibody clone in a different buffer formulation.

Blocking and diluting buffer and concentration : 5% NFDM/TBST.

It is recommended to optimize experimental conditions by increasing the sample loading amount, using a lower antibody dilution ratio, and employing femtogram-level sensitivity substrates.

Lanes 1 - 4:

Western blot - Anti-ASIC3 antibody [EPR26557-80] (<a href='/en-us/products/primary-antibodies/asic3-antibody-epr26557-80-ab302776'>ab302776</a>) at 1/1000 dilution

Lanes 5 - 8:

Western blot - Anti-ASIC3 antibody [EPR26557-87] (<a href='/en-us/products/primary-antibodies/asic3-antibody-epr26557-87-ab305243'>ab305243</a>) at 1/1000 dilution

Lanes 1 and 5:

Mouse dorsal ganglion tissue lysate at 20 µg

Lanes 2 and 6:

Rat dorsal ganglion tissue lysate at 20 µg

Lanes 3 and 7:

Mouse dorsal ganglion tissue lysate at 40 µg

Lanes 4 and 8:

Rat dorsal ganglion tissue lysate at 40 µg

Secondary

All lanes:

Western blot - Goat Anti-Rabbit IgG H&L (HRP) (<a href='/en-us/products/secondary-antibodies/goat-rabbit-igg-h-l-hrp-ab97051'>ab97051</a>) at 1/20000 dilution

Predicted band size: 58 kDa

Observed band size: 60 kDa

false

Exposure time: 180s

Western blot - Anti-ASIC3 antibody [EPR26557-80] - BSA and Azide free (AB302777)
  • WB

Supplier Data

Western blot - Anti-ASIC3 antibody [EPR26557-80] - BSA and Azide free (AB302777)

This data was developed using ab302776, the same antibody clone in a different buffer formulation.

Blocking and diluting buffer and concentration : 5% NFDM/TBST

The MW is consistent with what has been described in the literature (PMID : 17012229).

Negative control : rat : hippocampus, spinal cord, kidney, testis (PMID : 11872753).

Samples are non-boiled as boiling may cause protein aggregates.

This blot was developed using a high sensitivity ECL substrate in lane 6 and 7. The high-sensitivity ECL substrate used allows for the detection of proteins in the mid-femtogram range.

Exposure time :

Lane 1-5 : 180 seconds

Lane 6 and 7 : 37 seconds.

All lanes:

Western blot - Anti-ASIC3 antibody [EPR26557-80] (<a href='/en-us/products/primary-antibodies/asic3-antibody-epr26557-80-ab302776'>ab302776</a>) at 1/1000 dilution

Lane 1:

Rat dorsal ganglion tissue lysate at 75 µg

Lane 2:

Rat hippocampus tissue lysate at 75 µg

Lane 3:

Rat spinal cord tissue lysate at 75 µg

Lane 4:

Rat kidney tissue lysate at 75 µg

Lane 5:

Rat testis tissue lysate at 75 µg

Lane 6:

Mouse dorsal ganglion tissue lysate at 75 µg

Lane 7:

Mouse hippocampus tissue lysate at 75 µg

Secondary

All lanes:

Western blot - Goat Anti-Rabbit IgG H&L (HRP) (<a href='/en-us/products/secondary-antibodies/goat-rabbit-igg-h-l-hrp-ab97051'>ab97051</a>) at 1/20000 dilution

Predicted band size: 58 kDa

Observed band size: 60 kDa

true

Key facts

Host species

Rabbit

Clonality

Monoclonal

Clone number

EPR26557-80

Isotype

IgG

Carrier free

Yes

Reacts with

Mouse, Rat

Applications

WB, ICC/IF, IP, IHC-P

applications

Immunogen

The exact immunogen used to generate this antibody is proprietary information.

Reactivity data

{ "title": "Reactivity Data", "filters": { "stats": ["", "Species", "Dilution Info", "Notes"], "tabs": { "all-applications": {"fullname" : "All Applications", "shortname": "All Applications"}, "WB" : {"fullname" : "Western blot", "shortname":"WB"}, "IHCP" : {"fullname" : "Immunohistochemistry (Formalin/PFA-fixed paraffin-embedded sections)", "shortname":"IHC-P"}, "IHCFr" : {"fullname" : "Immunohistochemistry (Frozen sections)", "shortname":"IHC-Fr"}, "ICCIF" : {"fullname" : "Immunocytochemistry/ Immunofluorescence", "shortname":"ICC/IF"}, "IP" : {"fullname" : "Immunoprecipitation", "shortname":"IP"} }, "product-promise": { "all": "all", "testedAndGuaranteed": "tested", "guaranteed": "expected", "predicted": "predicted", "notRecommended": "not-recommended" } }, "values": { "Human": { "WB-species-checked": "notRecommended", "WB-species-dilution-info": "", "WB-species-notes": "<p></p>", "IHCP-species-checked": "notRecommended", "IHCP-species-dilution-info": "", "IHCP-species-notes": "<p></p>", "IHCFr-species-checked": "notRecommended", "IHCFr-species-dilution-info": "", "IHCFr-species-notes": "", "ICCIF-species-checked": "notRecommended", "ICCIF-species-dilution-info": "", "ICCIF-species-notes": "", "IP-species-checked": "notRecommended", "IP-species-dilution-info": "", "IP-species-notes": "" }, "Mouse": { "WB-species-checked": "testedAndGuaranteed", "WB-species-dilution-info": "", "WB-species-notes": "<p>Please load at least 40ug of lysate to improve the Western blot results.</p>", "IHCP-species-checked": "testedAndGuaranteed", "IHCP-species-dilution-info": "", "IHCP-species-notes": "<p></p>", "IHCFr-species-checked": "notRecommended", "IHCFr-species-dilution-info": "", "IHCFr-species-notes": "<p></p>", "ICCIF-species-checked": "guaranteed", "ICCIF-species-dilution-info": "", "ICCIF-species-notes": "", "IP-species-checked": "notRecommended", "IP-species-dilution-info": "", "IP-species-notes": "<p></p>" }, "Rat": { "WB-species-checked": "testedAndGuaranteed", "WB-species-dilution-info": "", "WB-species-notes": "<p>Please load at least 40ug of lysate to improve the Western blot results.</p>", "IHCP-species-checked": "testedAndGuaranteed", "IHCP-species-dilution-info": "", "IHCP-species-notes": "<p></p>", "IHCFr-species-checked": "notRecommended", "IHCFr-species-dilution-info": "", "IHCFr-species-notes": "<p></p>", "ICCIF-species-checked": "guaranteed", "ICCIF-species-dilution-info": "", "ICCIF-species-notes": "", "IP-species-checked": "testedAndGuaranteed", "IP-species-dilution-info": "", "IP-species-notes": "<p></p>" }, "Transfected cell line - Mouse": { "WB-species-checked": "notRecommended", "WB-species-dilution-info": "", "WB-species-notes": "", "IHCP-species-checked": "notRecommended", "IHCP-species-dilution-info": "", "IHCP-species-notes": "", "IHCFr-species-checked": "notRecommended", "IHCFr-species-dilution-info": "", "IHCFr-species-notes": "", "ICCIF-species-checked": "testedAndGuaranteed", "ICCIF-species-dilution-info": "", "ICCIF-species-notes": "<p></p>", "IP-species-checked": "notRecommended", "IP-species-dilution-info": "", "IP-species-notes": "" } } }

Product details

Patented technology
Our RabMAb® technology is a patented hybridoma-based technology for making rabbit monoclonal antibodies. For details on our patents, please refer to RabMAb® patents.

What are the advantages of a recombinant monoclonal antibody?
This product is a recombinant monoclonal antibody, which offers several advantages including:

  • - High batch-to-batch consistency and reproducibility
  • - Improved sensitivity and specificity
  • - Long-term security of supply
  • - Animal-free batch production

For more information, read more on recombinant antibodies.

Conjugation ready
Our carrier-free antibodies are typically supplied in a PBS-only formulation, purified and free of BSA, sodium azide and glycerol. This conjugation-ready format is designed for use with fluorochromes, metal isotopes, oligonucleotides, and enzymes, which makes them ideal for antibody labelling, functional and cell-based assays, flow-based assays (e.g. mass cytometry) and Multiplex Imaging applications.

Use our conjugation kits for antibody conjugates that are ready-to-use in as little as 20 minutes with 1 minute hands-on-time and 100% antibody recovery: available for fluorescent dyes, HRP, biotin and gold.

Compatibility
This product is compatible with the Maxpar® Antibody Labeling Kit from Fluidigm, without the need for antibody preparation. Maxpar® is a trademark of Fluidigm Canada Inc.

Properties and storage information

Form
Liquid
Purification technique
Affinity purification Protein A
Storage buffer
pH: 7.2 - 7.4 Constituents: PBS
Shipped at conditions
Blue Ice
Appropriate short-term storage conditions
+4°C
Appropriate long-term storage conditions
+4°C
Storage information
Do Not Freeze

Supplementary information

This supplementary information is collated from multiple sources and compiled automatically.

ASIC3 also known as Acid-Sensing Ion Channel 3 or DRASIC is a protein channel involved in detecting variations in pH. This protein has a molecular mass of approximately 56 kDa and falls within the ASIC family of proton-gated sodium channels. ASIC3 is widely expressed in peripheral sensory neurons particularly in dorsal root and trigeminal ganglia which are areas pivotal for detecting pain and mechanosensation. The localization suggests a specialized role in responding to acidic environments.
Biological function summary

ASIC3 functions through responding to changes in extracellular pH allowing sodium ions to enter cells when the pH decreases. It does not act solo and usually forms homomeric or heteromeric complexes with other ASIC subunits such as ASIC1 or ASIC2. This combination enhances its sensitivity and response diversity to varying acidic conditions contributing to processes like pain sensing and mechanotransduction. In muscle tissue ASIC3 plays a role in sensing metabolic changes that occur during intensive exercise.

Pathways

ASIC3 integrates into systems related to pain and mechanosensory pathways. It participates prominently in the nociceptive signaling pathway associated with the perception of pain induced by protons. ASIC3 works alongside proteins such as TRPV1 another ion channel known for its role in pain and thermal sensation. Interconnected with these pathways ASIC3 impacts physiological responses like hyperalgesia in acidic environments.

ASIC3 significantly contributes to conditions such as chronic pain and acid-induced pain from tissue injury or inflammation. It associates with migraines and inflammatory pain magnifying pain sensations under acidic conditions. In these contexts ASIC3 collaborates with proteins like the NaV1.7 sodium channel further influencing nerve excitability and pain perception. Targeting ASIC3 could potentially alleviate symptoms associated with these pain disorders.

Product protocols

For this product, it's our understanding that no specific protocols are required. You can visit:

Target data

Cation channel with high affinity for sodium, which is gated by extracellular protons and inhibited by the diuretic amiloride. Generates a biphasic current with a fast inactivating and a slow sustained phase. In sensory neurons is proposed to mediate the pain induced by acidosis that occurs in ischemic, damaged or inflamed tissue. May be involved in hyperalgesia. May play a role in mechanoreception. Heteromeric channel assembly seems to modulate channel properties.
See full target information Asic3

Product promise

We are committed to supporting your work with high-quality reagents, and we're here for you every step of the way. In the unlikely event that one of our products does not perform as expected, you're protected by our Product Promise.
For full details, please see our Terms & Conditions

Please note: All products are 'FOR RESEARCH USE ONLY. NOT FOR USE IN DIAGNOSTIC OR THERAPEUTIC PROCEDURES'.

For licensing inquiries, please contact partnerships@abcam.com