JavaScript is disabled in your browser. Please enable JavaScript to view this website.
AB317460

Anti-ASIC3 antibody [RM2049]

  • BOND RX™ Validated
  • 20ul selling size
  • Recombinant
  • RabMAb
  • What is this?

Be the first to review this product! Submit a review

|

(0 Publication)

Rabbit Recombinant Multiclonal ASIC3 antibody. Suitable for IHC-P, ICC/IF, WB, IHC-Fr and reacts with Transfected cell line - Mouse, Mouse, Rat, Transfected cell line - Human samples.

View Alternative Names

Accn3, Drasic, Asic3, Acid-sensing ion channel 3, ASIC3, Amiloride-sensitive cation channel 3, Dorsal root ASIC, DRASIC

12 Images
Immunocytochemistry/ Immunofluorescence - Anti-ASIC3 antibody [RM2049] (AB317460)
  • ICC/IF

Supplier Data

Immunocytochemistry/ Immunofluorescence - Anti-ASIC3 antibody [RM2049] (AB317460)

Immunofluorescent analysis of 4% Paraformaldehyde-fixed, 0.1% TritonX-100 permeabilized 293T (human embryonic kidney epithelial cell) cells labelling ASIC3 with ab317460 at 1/4000 (0.124 ug/ml) dilution, followed by ab150081 Goat Anti-Rabbit IgG H&L (Alexa Fluor® 488) preadsorbed antibody at 1/1000 2 ug/ml dilution (Green).

Confocal image showing positive staining in 293T cells (shown in green) transfected with a mouse ASIC3 expression vector containing a myc-His-tag® . The counterstain was observed in magenta. Nuclear DNA was labeled with DAPI (shown in blue). The image was taken with a confocal microscope (Leica-Microsystems, TCS SP8).
ICC has not been tested with endogenous material.

ab223894 Anti-Myc tag mouse monoclonal antibody (Alexa Fluor® 594) was used to counterstain tubulin at 1/100 5ug/ml dilution (Magenta). The Nuclear counterstain was DAPI (Blue).

Secondary antibody only control : Secondary antibody is ab150081 Goat Anti-Rabbit IgG H&L (Alexa Fluor® 488) preadsorbed at 1/1000 2 ug/ml dilution.

Immunohistochemistry (Formalin/PFA-fixed paraffin-embedded sections) - Anti-ASIC3 antibody [RM2049] (AB317460)
  • IHC-P

Supplier Data

Immunohistochemistry (Formalin/PFA-fixed paraffin-embedded sections) - Anti-ASIC3 antibody [RM2049] (AB317460)

Immunohistochemical analysis of paraffin-embedded (A) HEK-293T (human embryonic kidney epithelial cell) transfected with a mouse ASIC3 expression vector containing a Myc-His tag. (B) HEK-293T transfected with empty vector containing a Myc-His tag. tissue labeling ASIC3 with ab317460 at 1/2000 (0.248 ug/ml) dilution, followed by a ready to use LeicaDS9800 (Bond™ Polymer Refine Detection).

Positive staining on HEK-293T transfected with a Myc-His-tagged mouse ASIC3 construct (image A). No staining on HEK-293T transfected with empty plasmid (image B). The section was incubated with ab317460 for 30 mins at room temperature.
The immunostaining was performed on a Leica Biosystems BOND® RX instrument

Counterstained with Hematoxylin.

Secondary antibody only control : Secondary antibody is a ready to use LeicaDS9800 (Bond™ Polymer Refine Detection).

Heat mediated antigen retrieval was performed with Tris-EDTA buffer (pH 9.0, Epitope Retrieval Solution2) for 20 mins

Immunohistochemistry (Frozen sections) - Anti-ASIC3 antibody [RM2049] (AB317460)
  • IHC-Fr

Supplier Data

Immunohistochemistry (Frozen sections) - Anti-ASIC3 antibody [RM2049] (AB317460)

Immunohistochemical analysis of 4% PFA-fixed, 0.2% Triton X-100 permeabilized frozen Rat heart (fresh frozen) tissue labeling ASIC3 with ab317460 at 1/50 (9.92 ug/ml) dilution followed by ab150081 Goat Anti-Rabbit IgG H&L (Alexa Fluor® 488) preadsorbed at 1/1000 2 ug/mL dilution (Green).

Negative control : confocal image showing no staining on rat heart (PMID : 9707631). The nuclear counterstain was DAPI (Blue). The section was incubated with ab317460 for 60 mins at room temperature. The section was then mounted using Fluoromount®.The immunostaining was performed on a Leica Biosystems BOND® RX instrument. Image was taken with a confocal microscope (Leica-Microsystems, TCS SP8).

Secondary antibody control : Secondary antibody is ab150081 Goat Anti-Rabbit IgG H&L (Alexa Fluor® 488) preadsorbedat 1/1000 2 ug/mL dilution.

Immunohistochemistry (Frozen sections) - Anti-ASIC3 antibody [RM2049] (AB317460)
  • IHC-Fr

Supplier Data

Immunohistochemistry (Frozen sections) - Anti-ASIC3 antibody [RM2049] (AB317460)

Immunohistochemical analysis of 4% PFA-fixed, 0.2% Triton X-100 permeabilized frozen Mouse heart (fresh frozen) tissue labeling ASIC3 with ab317460 at 1/50 (9.92 ug/ml) dilution followed by ab150081 Goat Anti-Rabbit IgG H&L (Alexa Fluor® 488) preadsorbed at 1/1000 2 ug/mL dilution (Green).

Negative control : confocal image showing no staining on mouse heart. The nuclear counterstain was DAPI (Blue). The section was incubated with ab317460 for 60 mins at room temperature. The section was then mounted using Fluoromount®.The immunostaining was performed on a Leica Biosystems BOND® RX instrument. Image was taken with a confocal microscope (Leica-Microsystems, TCS SP8).

Secondary antibody control : Secondary antibody is ab150081 Goat Anti-Rabbit IgG H&L (Alexa Fluor® 488) preadsorbedat 1/1000 2 ug/mL dilution.

Immunohistochemistry (Formalin/PFA-fixed paraffin-embedded sections) - Anti-ASIC3 antibody [RM2049] (AB317460)
  • IHC-P

Supplier Data

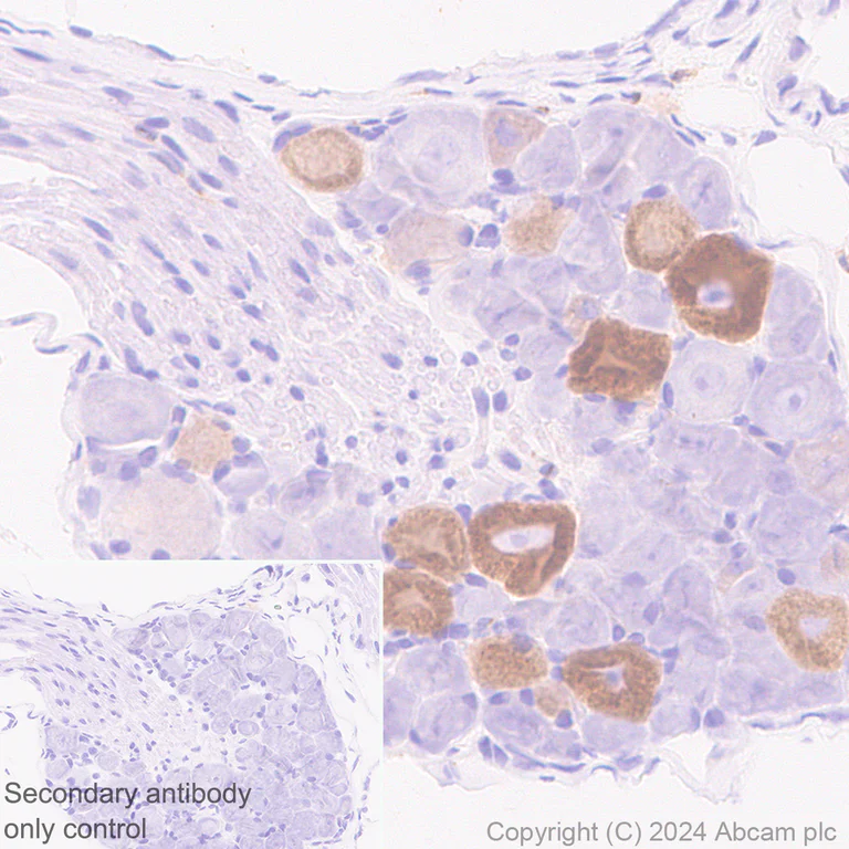
Immunohistochemistry (Formalin/PFA-fixed paraffin-embedded sections) - Anti-ASIC3 antibody [RM2049] (AB317460)

Immunohistochemical analysis of paraffin-embedded Mouse dorsal root ganglion tissue labeling ASIC3 with ab317460 at 1/2000 (0.248 ug/ml) dilution, followed by a ready to use LeicaDS9800 (Bond™ Polymer Refine Detection).

Positive staining on mouse dorsal root ganglion. The section was incubated with ab317460 for 30 mins at room temperature.
The immunostaining was performed on a Leica Biosystems BOND® RX instrument

Counterstained with Hematoxylin.

Secondary antibody only control : Secondary antibody is a ready to use LeicaDS9800 (Bond™ Polymer Refine Detection).

Heat mediated antigen retrieval was performed with Tris-EDTA buffer (pH 9.0, Epitope Retrieval Solution2) for 20 mins

Immunohistochemistry (Frozen sections) - Anti-ASIC3 antibody [RM2049] (AB317460)
  • IHC-Fr

Supplier Data

Immunohistochemistry (Frozen sections) - Anti-ASIC3 antibody [RM2049] (AB317460)

Immunohistochemical analysis of 4% PFA-fixed, 0.2% Triton X-100 permeabilized frozen Mouse dorsal root ganglion (fresh frozen) tissue labeling ASIC3 with ab317460 at 1/50 (9.92 ug/ml) dilution followed by ab150081 Goat Anti-Rabbit IgG H&L (Alexa Fluor® 488) preadsorbed at 1/1000 2 ug/mL dilution (Green).

Panel A : merged staining of anti-ASIC3 (ab317460, green) and anti-NeuN (ab190565, magenta) on mouse dorsal root ganglion.
Panel B : anti-ASIC3 stained on mouse dorsal root ganglion.
Panel C : anti-NeuN stained in neurons of mouse dorsal root ganglion.
The section was incubated in two rounds of staining : in the order of ab317460 and ab190565 for 1 hr at room temperature. The nuclear counterstain was DAPI (Blue). The section was then mounted using Fluoromount®.The immunostaining was performed on a Leica Biosystems BOND® RX instrument. Image was taken with a confocal microscope (Leica-Microsystems, TCS SP8).

Secondary antibody control : Secondary antibody is ab150081 Goat Anti-Rabbit IgG H&L (Alexa Fluor® 488) preadsorbedat 1/1000 2 ug/mL dilution.

Immunohistochemistry (Frozen sections) - Anti-ASIC3 antibody [RM2049] (AB317460)
  • IHC-Fr

Supplier Data

Immunohistochemistry (Frozen sections) - Anti-ASIC3 antibody [RM2049] (AB317460)

Immunohistochemical analysis of 4% PFA-fixed, 0.2% Triton X-100 permeabilized frozen Rat dorsal root ganglion (fresh frozen) tissue labeling ASIC3 with ab317460 at 1/50 (9.92 ug/ml) dilution followed by ab150081 Goat Anti-Rabbit IgG H&L (Alexa Fluor® 488) preadsorbed at 1/1000 2 ug/mL dilution (Green).

Panel A : merged staining of anti-ASIC3 (ab317460, green) and anti-NeuN (ab190565, magenta) on rat dorsal root ganglion.
Panel B : anti-ASIC3 stained on rat dorsal root ganglion.
Panel C : anti-NeuN stained in neurons of rat dorsal root ganglion.
The section was incubated in two rounds of staining : in the order of ab317460 and ab190565 for 1 hr at room temperature. The nuclear counterstain was DAPI (Blue). The section was then mounted using Fluoromount®.The immunostaining was performed on a Leica Biosystems BOND® RX instrument. Image was taken with a confocal microscope (Leica-Microsystems, TCS SP8).

Secondary antibody control : Secondary antibody is ab150081 Goat Anti-Rabbit IgG H&L (Alexa Fluor® 488) preadsorbedat 1/1000 2 ug/mL dilution.

Immunohistochemistry (Formalin/PFA-fixed paraffin-embedded sections) - Anti-ASIC3 antibody [RM2049] (AB317460)
  • IHC-P

Supplier Data

Immunohistochemistry (Formalin/PFA-fixed paraffin-embedded sections) - Anti-ASIC3 antibody [RM2049] (AB317460)

Immunohistochemical analysis of paraffin-embedded Rat dorsal root ganglion tissue labeling ASIC3 with ab317460 at 1/2000 (0.248 ug/ml) dilution, followed by a ready to use LeicaDS9800 (Bond™ Polymer Refine Detection).

Positive staining on rat dorsal root ganglion. The section was incubated with ab317460 for 30 mins at room temperature.
The immunostaining was performed on a Leica Biosystems BOND® RX instrument

Counterstained with Hematoxylin.

Secondary antibody only control : Secondary antibody is a ready to use LeicaDS9800 (Bond™ Polymer Refine Detection).

Heat mediated antigen retrieval was performed with Tris-EDTA buffer (pH 9.0, Epitope Retrieval Solution2) for 20 mins

Immunohistochemistry (Formalin/PFA-fixed paraffin-embedded sections) - Anti-ASIC3 antibody [RM2049] (AB317460)
  • IHC-P

Supplier Data

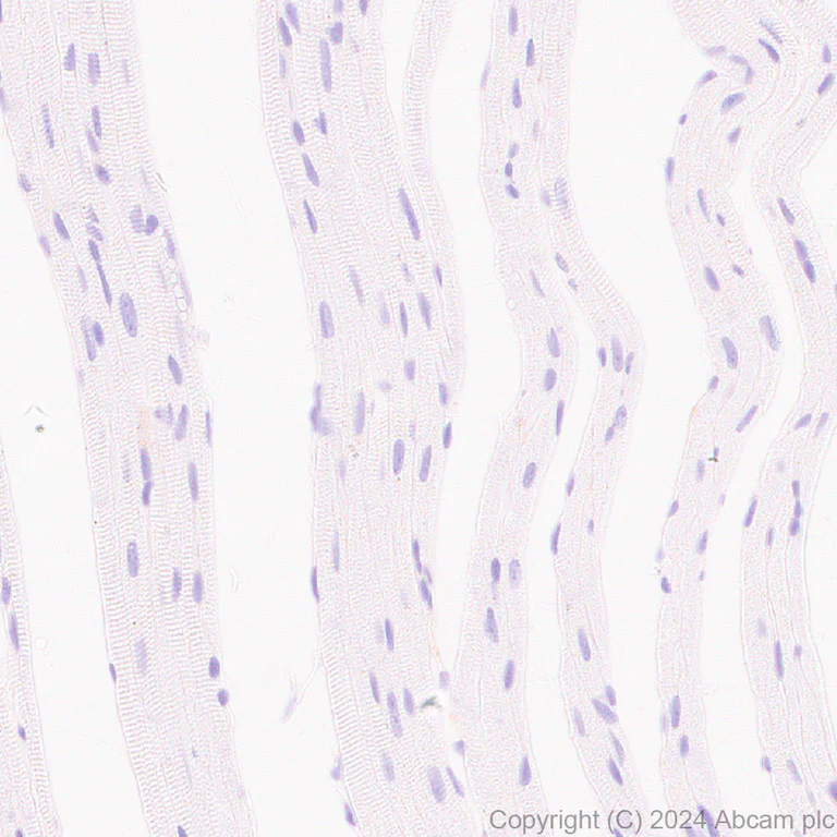
Immunohistochemistry (Formalin/PFA-fixed paraffin-embedded sections) - Anti-ASIC3 antibody [RM2049] (AB317460)

Immunohistochemical analysis of paraffin-embedded Mouse cardiac muscle tissue labeling ASIC3 with ab317460 at 1/2000 (0.248 ug/ml) dilution, followed by a ready to use LeicaDS9800 (Bond™ Polymer Refine Detection).

Negative control : no staining on mouse cardiac muscle. The section was incubated with ab317460 for 30 mins at room temperature.
The immunostaining was performed on a Leica Biosystems BOND® RX instrument

Counterstained with Hematoxylin.

Secondary antibody only control : Secondary antibody is a ready to use LeicaDS9800 (Bond™ Polymer Refine Detection).

Heat mediated antigen retrieval was performed with Tris-EDTA buffer (pH 9.0, Epitope Retrieval Solution2) for 20 mins

Immunohistochemistry (Formalin/PFA-fixed paraffin-embedded sections) - Anti-ASIC3 antibody [RM2049] (AB317460)
  • IHC-P

Supplier Data

Immunohistochemistry (Formalin/PFA-fixed paraffin-embedded sections) - Anti-ASIC3 antibody [RM2049] (AB317460)

Immunohistochemical analysis of paraffin-embedded Rat cardiac muscle tissue labeling ASIC3 with ab317460 at 1/2000 (0.248 ug/ml) dilution, followed by a ready to use LeicaDS9800 (Bond™ Polymer Refine Detection).

Negative control : no staining on rat cardiac muscle. The section was incubated with ab317460 for 30 mins at room temperature.
The immunostaining was performed on a Leica Biosystems BOND® RX instrument

Counterstained with Hematoxylin.

Secondary antibody only control : Secondary antibody is a ready to use LeicaDS9800 (Bond™ Polymer Refine Detection).

Heat mediated antigen retrieval was performed with Tris-EDTA buffer (pH 9.0, Epitope Retrieval Solution2) for 20 mins

Western blot - Anti-ASIC3 antibody [RM2049] (AB317460)
  • WB

Supplier Data

Western blot - Anti-ASIC3 antibody [RM2049] (AB317460)

Blocking and diluting buffer and concentration : 5% NFDM/TBST.

Negative controls : hippocampus and testis.(PMID : 11872753)

The molecular weight is consistent with what has been described in the literature (PMID : 17012229)

Samples are non-boiled as boiling may cause protein aggregates.

All lanes:

Western blot - Anti-ASIC3 antibody [RM2049] (ab317460) at 1/1000 dilution

Lane 1:

Mouse dorsal ganglion tissue lysate at 40 µg

Lane 2:

Mouse hippocampus tissue lysate at 40 µg

Lane 3:

Mouse testis tissue lysate at 40 µg

Secondary

All lanes:

Western blot - Goat Anti-Rabbit IgG H&L (HRP) (<a href='/en-us/products/secondary-antibodies/goat-rabbit-igg-h-l-hrp-ab97051'>ab97051</a>) at 1/20000 dilution

Observed band size: 55-60 kDa,124 kDa

false

Exposure time: 114s

Western blot - Anti-ASIC3 antibody [RM2049] (AB317460)
  • WB

Supplier Data

Western blot - Anti-ASIC3 antibody [RM2049] (AB317460)

Blocking and diluting buffer and concentration : 5% NFDM/TBST.

Negative controls : hippocampus and testis.(PMID : 11872753)

The molecular weight is consistent with what has been described in the literature (PMID : 17012229)

Samples are non-boiled as boiling may cause protein aggregates.

All lanes:

Western blot - Anti-ASIC3 antibody [RM2049] (ab317460) at 1/1000 dilution

Lane 1:

Rat dorsal ganglion tissue lysate at 40 µg

Lane 2:

Rat hippocampus tissue lysate at 40 µg

Lane 3:

Rat testis tissue lysate at 40 µg

Secondary

All lanes:

Western blot - Goat Anti-Rabbit IgG H&L (HRP) (<a href='/en-us/products/secondary-antibodies/goat-rabbit-igg-h-l-hrp-ab97051'>ab97051</a>) at 1/20000 dilution

Observed band size: 55-60 kDa,124 kDa

false

Exposure time: 70s

Key facts

Host species

Rabbit

Clonality

Multiclonal

Clone number

RM2049

Isotype

IgG

Carrier free

No

Reacts with

Mouse, Rat

Applications

WB, IHC-P, ICC/IF, IHC-Fr

applications

Immunogen

The exact immunogen used to generate this antibody is proprietary information.

Reactivity data

{ "title": "Reactivity Data", "filters": { "stats": ["", "Species", "Dilution Info", "Notes"], "tabs": { "all-applications": {"fullname" : "All Applications", "shortname": "All Applications"}, "IHCP" : {"fullname" : "Immunohistochemistry (Formalin/PFA-fixed paraffin-embedded sections)", "shortname":"IHC-P"}, "ICCIF" : {"fullname" : "Immunocytochemistry/ Immunofluorescence", "shortname":"ICC/IF"}, "WB" : {"fullname" : "Western blot", "shortname":"WB"}, "IHCFr" : {"fullname" : "Immunohistochemistry (Frozen sections)", "shortname":"IHC-Fr"}, "IP" : {"fullname" : "Immunoprecipitation", "shortname":"IP"}, "FlowCyt" : {"fullname" : "Flow Cytometry", "shortname":"Flow Cyt"} }, "product-promise": { "all": "all", "testedAndGuaranteed": "tested", "guaranteed": "expected", "predicted": "predicted", "notRecommended": "not-recommended" } }, "values": { "Human": { "IHCP-species-checked": "notRecommended", "IHCP-species-dilution-info": "", "IHCP-species-notes": "<p></p>", "ICCIF-species-checked": "notRecommended", "ICCIF-species-dilution-info": "", "ICCIF-species-notes": "", "WB-species-checked": "notRecommended", "WB-species-dilution-info": "", "WB-species-notes": "", "IHCFr-species-checked": "notRecommended", "IHCFr-species-dilution-info": "", "IHCFr-species-notes": "", "IP-species-checked": "notRecommended", "IP-species-dilution-info": "", "IP-species-notes": "", "FlowCyt-species-checked": "notRecommended", "FlowCyt-species-dilution-info": "", "FlowCyt-species-notes": "" }, "Mouse": { "IHCP-species-checked": "testedAndGuaranteed", "IHCP-species-dilution-info": "1/2000", "IHCP-species-notes": "<p></p> Perform heat-mediated antigen retrieval with Tris/EDTA buffer pH 9.0 before commencing with IHC staining protocol.", "ICCIF-species-checked": "guaranteed", "ICCIF-species-dilution-info": "", "ICCIF-species-notes": "", "WB-species-checked": "testedAndGuaranteed", "WB-species-dilution-info": "1/1000", "WB-species-notes": "<p></p>", "IHCFr-species-checked": "testedAndGuaranteed", "IHCFr-species-dilution-info": "1/50", "IHCFr-species-notes": "<p></p>", "IP-species-checked": "notRecommended", "IP-species-dilution-info": "", "IP-species-notes": "<p></p>", "FlowCyt-species-checked": "notRecommended", "FlowCyt-species-dilution-info": "", "FlowCyt-species-notes": "<p></p>" }, "Rat": { "IHCP-species-checked": "testedAndGuaranteed", "IHCP-species-dilution-info": "1/2000", "IHCP-species-notes": "<p></p> Perform heat-mediated antigen retrieval with Tris/EDTA buffer pH 9.0 before commencing with IHC staining protocol.", "ICCIF-species-checked": "guaranteed", "ICCIF-species-dilution-info": "", "ICCIF-species-notes": "", "WB-species-checked": "testedAndGuaranteed", "WB-species-dilution-info": "1/1000", "WB-species-notes": "<p></p>", "IHCFr-species-checked": "testedAndGuaranteed", "IHCFr-species-dilution-info": "1/50", "IHCFr-species-notes": "<p></p>", "IP-species-checked": "notRecommended", "IP-species-dilution-info": "", "IP-species-notes": "<p></p>", "FlowCyt-species-checked": "notRecommended", "FlowCyt-species-dilution-info": "", "FlowCyt-species-notes": "" }, "Transfected cell line - Human": { "IHCP-species-checked": "notRecommended", "IHCP-species-dilution-info": "", "IHCP-species-notes": "", "ICCIF-species-checked": "testedAndGuaranteed", "ICCIF-species-dilution-info": "1/4000", "ICCIF-species-notes": "<p></p>", "WB-species-checked": "notRecommended", "WB-species-dilution-info": "", "WB-species-notes": "", "IHCFr-species-checked": "notRecommended", "IHCFr-species-dilution-info": "", "IHCFr-species-notes": "", "IP-species-checked": "notRecommended", "IP-species-dilution-info": "", "IP-species-notes": "", "FlowCyt-species-checked": "notRecommended", "FlowCyt-species-dilution-info": "", "FlowCyt-species-notes": "" }, "Transfected cell line - Mouse": { "IHCP-species-checked": "testedAndGuaranteed", "IHCP-species-dilution-info": "1/2000", "IHCP-species-notes": "<p></p>", "ICCIF-species-checked": "notRecommended", "ICCIF-species-dilution-info": "", "ICCIF-species-notes": "", "WB-species-checked": "notRecommended", "WB-species-dilution-info": "", "WB-species-notes": "", "IHCFr-species-checked": "notRecommended", "IHCFr-species-dilution-info": "", "IHCFr-species-notes": "", "IP-species-checked": "notRecommended", "IP-species-dilution-info": "", "IP-species-notes": "", "FlowCyt-species-checked": "notRecommended", "FlowCyt-species-dilution-info": "", "FlowCyt-species-notes": "" } } }

Product details

What are recombinant multiclonals?
Recombinant multiclonals are a mixture of recombinant antibodies co-expressed from a library of heavy and light chains. They offer several advantages including:

  • - The sensitivity of polyclonal antibodies by recognising multiple epitopes
  • - High batch-to-batch consistency and reproducibility
  • - Improved sensitivity and specificity
  • - Long-term security of supply
  • - Animal-free batch production

View our range of recombinant multiclonal antibodies.

Patented technology
Our RabMAb® technology is a patented hybridoma-based technology for making rabbit monoclonal antibodies. For details on our patents, please refer to RabMAb® patents.

Properties and storage information

Form
Liquid
Purification technique
Affinity purification Protein A
Storage buffer
pH: 7.2 - 7.4 Preservative: 0.01% Sodium azide Constituents: PBS, 40% Glycerol (glycerin, glycerine), 0.05% BSA
Shipped at conditions
Blue Ice
Appropriate short-term storage duration
1-2 weeks
Appropriate short-term storage conditions
+4°C
Appropriate long-term storage conditions
-20°C
Aliquoting information
Upon delivery aliquot
Storage information
Avoid freeze / thaw cycle

Supplementary information

This supplementary information is collated from multiple sources and compiled automatically.

ASIC3 also known as Acid-Sensing Ion Channel 3 or DRASIC is a protein channel involved in detecting variations in pH. This protein has a molecular mass of approximately 56 kDa and falls within the ASIC family of proton-gated sodium channels. ASIC3 is widely expressed in peripheral sensory neurons particularly in dorsal root and trigeminal ganglia which are areas pivotal for detecting pain and mechanosensation. The localization suggests a specialized role in responding to acidic environments.
Biological function summary

ASIC3 functions through responding to changes in extracellular pH allowing sodium ions to enter cells when the pH decreases. It does not act solo and usually forms homomeric or heteromeric complexes with other ASIC subunits such as ASIC1 or ASIC2. This combination enhances its sensitivity and response diversity to varying acidic conditions contributing to processes like pain sensing and mechanotransduction. In muscle tissue ASIC3 plays a role in sensing metabolic changes that occur during intensive exercise.

Pathways

ASIC3 integrates into systems related to pain and mechanosensory pathways. It participates prominently in the nociceptive signaling pathway associated with the perception of pain induced by protons. ASIC3 works alongside proteins such as TRPV1 another ion channel known for its role in pain and thermal sensation. Interconnected with these pathways ASIC3 impacts physiological responses like hyperalgesia in acidic environments.

ASIC3 significantly contributes to conditions such as chronic pain and acid-induced pain from tissue injury or inflammation. It associates with migraines and inflammatory pain magnifying pain sensations under acidic conditions. In these contexts ASIC3 collaborates with proteins like the NaV1.7 sodium channel further influencing nerve excitability and pain perception. Targeting ASIC3 could potentially alleviate symptoms associated with these pain disorders.

Product protocols

For this product, it's our understanding that no specific protocols are required. You can visit:

Target data

Cation channel with high affinity for sodium, which is gated by extracellular protons and inhibited by the diuretic amiloride. Generates a biphasic current with a fast inactivating and a slow sustained phase. In sensory neurons is proposed to mediate the pain induced by acidosis that occurs in ischemic, damaged or inflamed tissue. May be involved in hyperalgesia. May play a role in mechanoreception. Heteromeric channel assembly seems to modulate channel properties.
See full target information Asic3

Product promise

We are committed to supporting your work with high-quality reagents, and we're here for you every step of the way. In the unlikely event that one of our products does not perform as expected, you're protected by our Product Promise.
For full details, please see our Terms & Conditions

Please note: All products are 'FOR RESEARCH USE ONLY. NOT FOR USE IN DIAGNOSTIC OR THERAPEUTIC PROCEDURES'.

For licensing inquiries, please contact partnerships@abcam.com