JavaScript is disabled in your browser. Please enable JavaScript to view this website.
AB223269

Anti-ASPA antibody [EPR22072]

5

(2 Reviews)

|

(6 Publications)

Anti-ASPA antibody [EPR22072] (ab223269) is a rabbit monoclonal antibody detecting ASPA in Western Blot, IP, IHC-P, IHC-Fr. Suitable for Human, Mouse, Rat.

- Biophysical QC for unrivalled batch-batch consistency

View Alternative Names

ACY2, ASP, ASPA, Aspartoacylase, Aminoacylase-2, ACY-2

9 Images
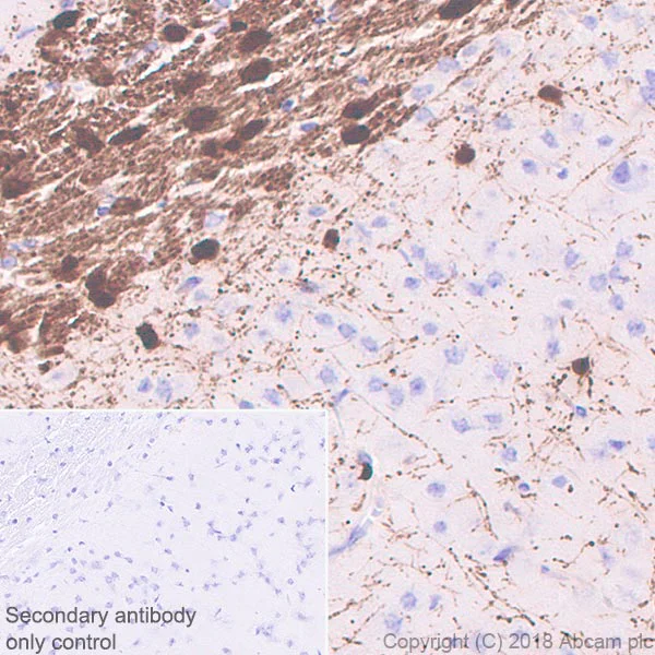
Immunohistochemistry (Formalin/PFA-fixed paraffin-embedded sections) - Anti-ASPA antibody [EPR22072] (AB223269)
  • IHC-P

Supplier Data

Immunohistochemistry (Formalin/PFA-fixed paraffin-embedded sections) - Anti-ASPA antibody [EPR22072] (AB223269)

Immunohistochemical analysis of paraffin-embedded human cerebrum tissue labeling ASPA with ab223269 at 1/500 dilution, followed by Goat Anti-Rabbit IgG H&L (HRP) Ready to use. Nuclear and cytoplasmic staining on gliocytes of human cerebrum (PMID : 29116375). Counterstained with hematoxylin.

Secondary antibody only control : Used PBS instead of primary antibody, secondary antibody is Goat Anti-Rabbit IgG H&L (HRP) Ready to use.

Perform heat mediated antigen retrieval with Tris/EDTA buffer pH 9.0 before commencing with IHC staining protocol.

Immunohistochemistry (Formalin/PFA-fixed paraffin-embedded sections) - Anti-ASPA antibody [EPR22072] (AB223269)
  • IHC-P

Supplier Data

Immunohistochemistry (Formalin/PFA-fixed paraffin-embedded sections) - Anti-ASPA antibody [EPR22072] (AB223269)

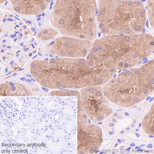
Immunohistochemical analysis of paraffin-embedded human kidney tissue labeling ASPA with ab223269 at 1/500 dilution, followed by Goat Anti-Rabbit IgG H&L (HRP) Ready to use. Nuclear and cytoplasmic staining mainly on proximal renal tubules of human kidney (PMID : 16935940). Counterstained with hematoxylin.

Secondary antibody only control : Used PBS instead of primary antibody, secondary antibody is Goat Anti-Rabbit IgG H&L (HRP) Ready to use.

Perform heat mediated antigen retrieval with Tris/EDTA buffer pH 9.0 before commencing with IHC staining protocol.

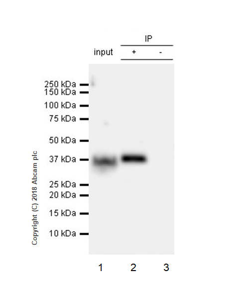
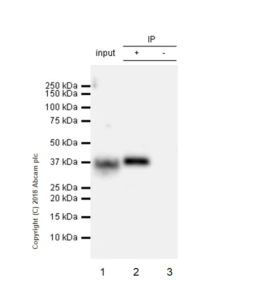
Immunoprecipitation - Anti-ASPA antibody [EPR22072] (AB223269)
  • IP

Supplier Data

Immunoprecipitation - Anti-ASPA antibody [EPR22072] (AB223269)

ASPA was immunoprecipitated from 0.35 mg human brain lysate with ab223269 at 1/30 dilution. Western blot was performed from the immunoprecipitate using ab223269 at 1/1000 dilution. VeriBlot for IP Detection Reagent (HRP) (ab131366), was used for detection at 1/5000 dilution.

Lane 1 : Human brain lysate 10 μg (Input).
Lane 2 : ab223269 IP in human brain lysate.
Lane 3 : Rabbit monoclonal IgG (ab172730) instead of ab223269 in human brain lysate.

Blocking/Dilution buffer : 5% NFDM/TBST.
Exposure time : 10 seconds.

All lanes:

Immunoprecipitation - Anti-ASPA antibody [EPR22072] (ab223269)

Predicted band size: 36 kDa

false

Immunohistochemistry (Frozen sections) - Anti-ASPA antibody [EPR22072] (AB223269)
  • IHC-Fr

Supplier Data

Immunohistochemistry (Frozen sections) - Anti-ASPA antibody [EPR22072] (AB223269)

Immunohistochemical analysis of 4% paraformaldehyde-fixed, 0.2% Triton X-100 permeabilized frozen rat cerebrum tissue labeling ASPA with ab223269 at 1/100 dilution, followed by Goat Anti-Rabbit IgG H&L (Alexa Fluor® 488) (ab150077) secondary antibody at 1/1000 dilution (green). Nuclear and cytoplasmic staining on gliocytes of rat cerebrum. (PMID : 29116375).

The nuclear counter stain is DAPI (blue).

Secondary antibody only control : Used PBS instead of primary antibody, secondary antibody is Goat Anti-Rabbit IgG H&L (Alexa Fluor® 488) (ab150077) at 1/1000 dilution.

Immunohistochemistry (Frozen sections) - Anti-ASPA antibody [EPR22072] (AB223269)
  • IHC-Fr

Supplier Data

Immunohistochemistry (Frozen sections) - Anti-ASPA antibody [EPR22072] (AB223269)

Immunohistochemical analysis of 4% paraformaldehyde-fixed, 0.2% Triton X-100 permeabilized frozen mouse cerebrum tissue labeling ASPA with ab223269 at 1/100 dilution, followed by Goat Anti-Rabbit IgG H&L (Alexa Fluor® 488) (ab150077) secondary antibody at 1/1000 dilution (green). Nuclear and cytoplasmic staining on gliocytes of mouse cerebrum (PMID : 29116375).

The nuclear counter stain is DAPI (blue).

Secondary antibody only control : Used PBS instead of primary antibody, secondary antibody is Goat Anti-Rabbit IgG H&L (Alexa Fluor® 488) (ab150077) at 1/1000 dilution.

Immunohistochemistry (Formalin/PFA-fixed paraffin-embedded sections) - Anti-ASPA antibody [EPR22072] (AB223269)
  • IHC-P

Supplier Data

Immunohistochemistry (Formalin/PFA-fixed paraffin-embedded sections) - Anti-ASPA antibody [EPR22072] (AB223269)

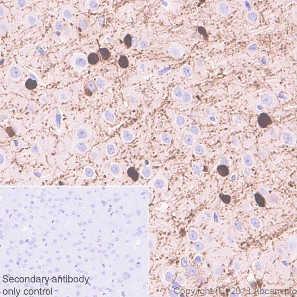
Immunohistochemical analysis of paraffin-embedded mouse cerebrum tissue labeling ASPA with ab223269 at 1/500 dilution, followed by Goat Anti-Rabbit IgG H&L (HRP) Ready to use. Nuclear and cytoplasmic staining on gliocytes of mouse cerebrum (PMID : 29116375). Counterstained with hematoxylin.

Secondary antibody only control : Used PBS instead of primary antibody, secondary antibody is Goat Anti-Rabbit IgG H&L (HRP) Ready to use.

Perform heat mediated antigen retrieval with Tris/EDTA buffer pH 9.0 before commencing with IHC staining protocol.

Immunohistochemistry (Formalin/PFA-fixed paraffin-embedded sections) - Anti-ASPA antibody [EPR22072] (AB223269)
  • IHC-P

Supplier Data

Immunohistochemistry (Formalin/PFA-fixed paraffin-embedded sections) - Anti-ASPA antibody [EPR22072] (AB223269)

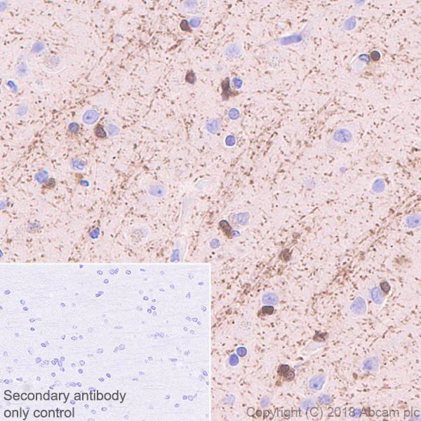
Immunohistochemical analysis of paraffin-embedded rat cerebral cortex tissue labeling ASPA with ab223269 at 1/500 dilution, followed by Goat Anti-Rabbit IgG H&L (HRP) Ready to use. Nuclear and cytoplasmic staining on gliocytes of rat cerebral cortex (PMID : 29116375). Counterstained with hematoxylin.

Secondary antibody only control : Used PBS instead of primary antibody, secondary antibody is Goat Anti-Rabbit IgG H&L (HRP) Ready to use.

Perform heat mediated antigen retrieval with Tris/EDTA buffer pH 9.0 before commencing with IHC staining protocol.

Immunohistochemistry (Formalin/PFA-fixed paraffin-embedded sections) - Anti-ASPA antibody [EPR22072] (AB223269)
  • IHC-P

Supplier Data

Immunohistochemistry (Formalin/PFA-fixed paraffin-embedded sections) - Anti-ASPA antibody [EPR22072] (AB223269)

Immunohistochemical analysis of paraffin-embedded mouse cerebrum tissue labeling ASPA with ab223269 at 1/500 dilution, followed by Goat Anti-Rabbit IgG H&L (HRP) Ready to use. Nuclear and cytoplasmic staining on gliocytes of mouse cerebrum (PMID : 29116375). Counterstained with hematoxylin.

Secondary antibody only control : Used PBS instead of primary antibody, secondary antibody is Goat Anti-Rabbit IgG H&L (HRP) Ready to use.

Perform heat mediated antigen retrieval with Tris/EDTA buffer pH 9.0 before commencing with IHC staining protocol.

Western blot - Anti-ASPA antibody [EPR22072] (AB223269)
  • WB

Supplier Data

Western blot - Anti-ASPA antibody [EPR22072] (AB223269)

Exposure time : Lanes 1-3 : 15 seconds; Lanes 4-6 : 8 seconds.

Blocking/Dilution buffer : 5% NFDM/TBST.

All lanes:

Western blot - Anti-ASPA antibody [EPR22072] (ab223269) at 1/1000 dilution

Lane 1:

Human brain lysate at 20 µg

Lane 2:

Human fetal kidney lysate at 20 µg

Lane 3:

Human testis lysate at 20 µg

Lane 4:

Mouse brain lysate at 20 µg

Lane 5:

Rat brain lysate at 20 µg

Lane 6:

Rat testis lysate at 20 µg

Secondary

All lanes:

Western blot - Goat Anti-Rabbit IgG H&L (HRP) (<a href='/en-us/products/secondary-antibodies/goat-rabbit-igg-h-l-hrp-ab97051'>ab97051</a>) at 1/100000 dilution

Predicted band size: 36 kDa

Observed band size: 36 kDa

false

  • Carrier free

    Anti-ASPA antibody [EPR22072] - BSA and Azide free

Key facts

Host species

Rabbit

Clonality

Monoclonal

Clone number

EPR22072

Isotype

IgG

Carrier free

No

Reacts with

Mouse, Rat, Human

Applications

IHC-P, IP, WB, IHC-Fr

applications

Immunogen

The exact immunogen used to generate this antibody is proprietary information.

Reactivity data

{ "title": "Reactivity Data", "filters": { "stats": ["", "Species", "Dilution Info", "Notes"], "tabs": { "all-applications": {"fullname" : "All Applications", "shortname": "All Applications"}, "IP" : {"fullname" : "Immunoprecipitation", "shortname":"IP"}, "WB" : {"fullname" : "Western blot", "shortname":"WB"}, "IHCFr" : {"fullname" : "Immunohistochemistry (Frozen sections)", "shortname":"IHC-Fr"}, "IHCP" : {"fullname" : "Immunohistochemistry (Formalin/PFA-fixed paraffin-embedded sections)", "shortname":"IHC-P"} }, "product-promise": { "all": "all", "testedAndGuaranteed": "tested", "guaranteed": "expected", "predicted": "predicted", "notRecommended": "not-recommended" } }, "values": { "Human": { "IP-species-checked": "testedAndGuaranteed", "IP-species-dilution-info": "1/30", "IP-species-notes": "<p></p>", "WB-species-checked": "testedAndGuaranteed", "WB-species-dilution-info": "1/1000", "WB-species-notes": "<p></p>", "IHCFr-species-checked": "guaranteed", "IHCFr-species-dilution-info": "", "IHCFr-species-notes": "", "IHCP-species-checked": "testedAndGuaranteed", "IHCP-species-dilution-info": "1/500", "IHCP-species-notes": "<p></p>" }, "Mouse": { "IP-species-checked": "guaranteed", "IP-species-dilution-info": "", "IP-species-notes": "", "WB-species-checked": "testedAndGuaranteed", "WB-species-dilution-info": "1/1000", "WB-species-notes": "<p></p>", "IHCFr-species-checked": "testedAndGuaranteed", "IHCFr-species-dilution-info": "1/100", "IHCFr-species-notes": "<p>Perform heat mediated antigen retrieval using sodium citrate buffer (10mM citrate pH 6.0 + 0.05% Tween-20).</p>", "IHCP-species-checked": "testedAndGuaranteed", "IHCP-species-dilution-info": "1/500", "IHCP-species-notes": "<p></p>" }, "Rat": { "IP-species-checked": "guaranteed", "IP-species-dilution-info": "", "IP-species-notes": "", "WB-species-checked": "testedAndGuaranteed", "WB-species-dilution-info": "1/1000", "WB-species-notes": "<p></p>", "IHCFr-species-checked": "testedAndGuaranteed", "IHCFr-species-dilution-info": "1/100", "IHCFr-species-notes": "<p>Perform heat mediated antigen retrieval using sodium citrate buffer (10mM citrate pH 6.0 + 0.05% Tween-20).</p>", "IHCP-species-checked": "testedAndGuaranteed", "IHCP-species-dilution-info": "1/500", "IHCP-species-notes": "<p></p>" } } }

Product details

What is this antibody validated in?
Anti-ASPA antibody [EPR22072] (ab223269) is a rabbit recombinant monoclonal antibody and is validated for use in Western Blot (WB), Immunoprecipitation (IP), Immunohistochemistry (IHC-P), Immunohistochemistry (IHC-Fr) in Human, Mouse, Rat samples.

What is the molecular weight of ASPA?
Anti-ASPA [EPR22072] (ab223269) specifically detects a band for ASPA (UniProt: P45381) at a molecular weight of 36kDa.

Trial sizes available!
Test your antibody or perform pre-screening before committing to a larger quantity. Sold in 10µl. Discover our selection of trial-size antibodies.

Other related products
We have a range of other formats of antibody clone [EPR22072] also available for your convenience: ab223269, Carrier free - ab239522

Patented technology
Our RabMAb® technology is a patented hybridoma-based technology for making rabbit monoclonal antibodies. For details on our patents, please refer to RabMAb® patents.

What are the advantages of a recombinant monoclonal antibody?
This product is a recombinant monoclonal antibody, which offers several advantages including:

  • - High batch-to-batch consistency and reproducibility
  • - Improved sensitivity and specificity
  • - Long-term security of supply
  • - Animal-free batch production

For more information, read more on recombinant antibodies.

Properties and storage information

Form
Liquid
Purification technique
Affinity purification Protein A
Storage buffer
pH: 7.2 - 7.4 Preservative: 0.01% Sodium azide Constituents: PBS, 40% Glycerol (glycerin, glycerine), 0.05% BSA
Shipped at conditions
Blue Ice
Appropriate short-term storage duration
1-2 weeks
Appropriate short-term storage conditions
+4°C
Appropriate long-term storage conditions
-20°C
Aliquoting information
Upon delivery aliquot
Storage information
Avoid freeze / thaw cycle

Supplementary information

This supplementary information is collated from multiple sources and compiled automatically.

Aspartoacylase also known by its abbreviation ASPA is an enzyme that breaks down N-acetyl-L-aspartate into aspartate and acetate. It has a mass of about 60 kDa. ASPA is highly expressed in the brain especially in oligodendrocytes which are a type of central nervous system cell responsible for producing the myelin sheath that surrounds nerve cells. Its enzymatic activity is dependent on divalent metal ions which are required for its function.
Biological function summary

ASPA plays an important role in myelin sheath maintenance and acetate metabolism. This protein doesn't form part of a complex but acts independently in the cytoplasm and peroxisomes of cells. Its function is significant for the provision of acetate for lipid synthesis which is necessary for myelin production. By regulating N-acetyl-L-aspartate levels in the brain ASPA activity is linked directly to protecting nerve cells' structural integrity.

Pathways

The ASPA enzyme is involved in the aspartate and acetyl-CoA pathways which are central to cellular energy balance and lipid metabolism. Its enzymatic role facilitates the recycling of acetate which is vital to the synthesis of myelin lipids. The relationship of ASPA with enzymes like acetyl-CoA synthetase highlights its involvement in broader biochemical pathways fundamental to cell metabolism and growth.

Deficiencies in ASPA are linked to Canavan disease a rare and inherited neurodegenerative condition characterized by white matter sponginess and loss of motor skills. This disorder results from mutations in the ASPA gene leading to dysfunctional enzyme activity. Additionally changes in ASPA expression levels might contribute to demyelinating disorders where proteins like myelin basic protein are also often involved making ASPA an important target for studies exploring nervous system diseases.

Product protocols

For this product, it's our understanding that no specific protocols are required. You can visit:

Target data

Catalyzes the deacetylation of N-acetylaspartic acid (NAA) to produce acetate and L-aspartate. NAA occurs in high concentration in brain and its hydrolysis NAA plays a significant part in the maintenance of intact white matter. In other tissues it acts as a scavenger of NAA from body fluids.
See full target information ASPA

Publications (6)

Recent publications for all applications. Explore the full list and refine your search

International journal of molecular sciences 26: PubMed40943590

2025

PAC1 Receptor Knockout Mice Reveal Critical Links Between ER Stress, Myelin Homeostasis, and Neurodegeneration.

Applications

Unspecified application

Species

Unspecified reactive species

Minduli Withana,Laura Bradfield,Margo I Jansen,Giuseppe Musumeci,James A Waschek,Alessandro Castorina

Nature communications 16:7328 PubMed40781081

2025

Physical and chemical niche of human growth plate for polarized bone development.

Applications

Unspecified application

Species

Unspecified reactive species

Chang Xie,Wenyue Li,Xudong Yao,Boxuan Wu,Jinghua Fang,Renwei Mao,Yiyang Yan,Hongxu Meng,Yan Wu,Xianzhu Zhang,Rui Li,Jie Zhang,Wangping Duan,Xuesong Dai,Xiaozhao Wang,Hongwei Ouyang

Scientific reports 14:23942 PubMed39397108

2024

Effects of cadherin mediated contact normalization on oncogenic Src kinase mediated gene expression and protein phosphorylation.

Applications

Unspecified application

Species

Unspecified reactive species

Rachel E Nicoletto,Cayla J Holdcraft,Ariel C Yin,Edward P Retzbach,Stephanie A Sheehan,Amanda A Greenspan,Christopher M Laugier,Jason Trama,Caifeng Zhao,Haiyan Zheng,Gary S Goldberg

Acta neuropathologica communications 11:52 PubMed36967384

2023

Disrupted myelin lipid metabolism differentiates frontotemporal dementia caused by GRN and C9orf72 gene mutations.

Applications

Unspecified application

Species

Unspecified reactive species

Oana C Marian,Jonathan D Teo,Jun Yup Lee,Huitong Song,John B Kwok,Ramon Landin-Romero,Glenda Halliday,Anthony S Don

Glia 71:1120-1141 PubMed36583573

2022

Early microglial response, myelin deterioration and lethality in mice deficient for very long chain ceramide synthesis in oligodendrocytes.

Applications

Unspecified application

Species

Unspecified reactive species

Jonathan D Teo,Oana C Marian,Alanna G Spiteri,Madeline Nicholson,Huitong Song,Jasmine X Y Khor,Holly P McEwen,Anjie Ge,Monokesh K Sen,Laura Piccio,Jessica L Fletcher,Nicholas J C King,Simon S Murray,Jens C Brüning,Anthony S Don

Glia 69:2863-2881 PubMed34399014

2021

Sphingosine kinase 2 is essential for remyelination following cuprizone intoxication.

Applications

Unspecified application

Species

Unspecified reactive species

Huitong Song,Holly P McEwen,Thomas Duncan,Jun Yup Lee,Jonathan D Teo,Anthony S Don
View all publications

Product promise

We are committed to supporting your work with high-quality reagents, and we're here for you every step of the way. In the unlikely event that one of our products does not perform as expected, you're protected by our Product Promise.
For full details, please see our Terms & Conditions

Please note: All products are 'FOR RESEARCH USE ONLY. NOT FOR USE IN DIAGNOSTIC OR THERAPEUTIC PROCEDURES'.

For licensing inquiries, please contact partnerships@abcam.com