JavaScript is disabled in your browser. Please enable JavaScript to view this website.
AB239522

Anti-ASPA antibody [EPR22072] - BSA and Azide free

Be the first to review this product! Submit a review

|

(1 Publication)

Rabbit Recombinant Monoclonal ASPA antibody. Carrier free. Suitable for IP, WB, IHC-Fr, IHC-P and reacts with Human, Mouse, Rat samples. Cited in 1 publication.

View Alternative Names

ACY2, ASP, ASPA, Aspartoacylase, Aminoacylase-2, ACY-2

8 Images
Immunohistochemistry (Formalin/PFA-fixed paraffin-embedded sections) - Anti-ASPA antibody [EPR22072] - BSA and Azide free (AB239522)
  • IHC-P

Supplier Data

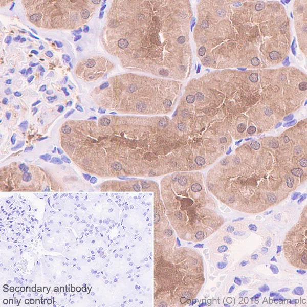
Immunohistochemistry (Formalin/PFA-fixed paraffin-embedded sections) - Anti-ASPA antibody [EPR22072] - BSA and Azide free (AB239522)

Immunohistochemical analysis of paraffin-embedded human kidney tissue labeling ASPA with ab223269 at 1/500 dilution, followed by Goat Anti-Rabbit IgG H&L (HRP) Ready to use. Nuclear and cytoplasmic staining mainly on proximal renal tubules of human kidney (PMID : 16935940). Counterstained with hematoxylin.

Secondary antibody only control : Used PBS instead of primary antibody, secondary antibody is Goat Anti-Rabbit IgG H&L (HRP) Ready to use.

This data was developed using the same antibody clone in a different buffer formulation containing PBS, BSA, glycerol, and sodium azide (ab223269).

Perform heat mediated antigen retrieval with Tris/EDTA buffer pH 9.0 before commencing with IHC staining protocol.

Immunohistochemistry (Formalin/PFA-fixed paraffin-embedded sections) - Anti-ASPA antibody [EPR22072] - BSA and Azide free (AB239522)
  • IHC-P

Supplier Data

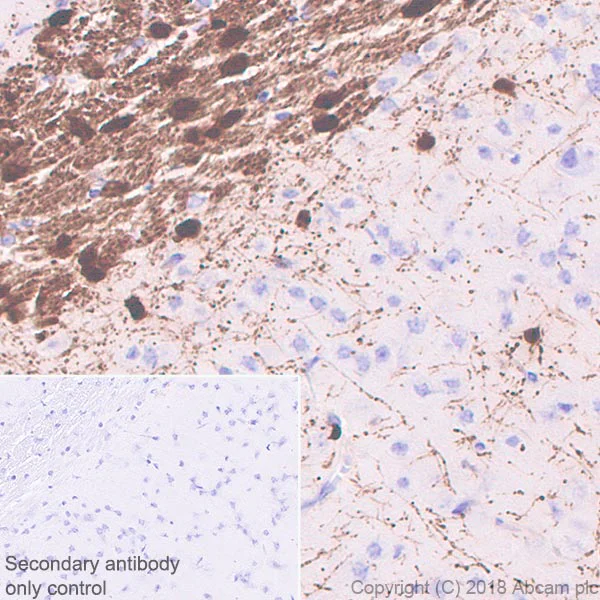
Immunohistochemistry (Formalin/PFA-fixed paraffin-embedded sections) - Anti-ASPA antibody [EPR22072] - BSA and Azide free (AB239522)

Immunohistochemical analysis of paraffin-embedded human cerebrum tissue labeling ASPA with ab223269 at 1/500 dilution, followed by Goat Anti-Rabbit IgG H&L (HRP) Ready to use. Nuclear and cytoplasmic staining on gliocytes of human cerebrum (PMID : 29116375). Counterstained with hematoxylin.

Secondary antibody only control : Used PBS instead of primary antibody, secondary antibody is Goat Anti-Rabbit IgG H&L (HRP) Ready to use.

This data was developed using the same antibody clone in a different buffer formulation containing PBS, BSA, glycerol, and sodium azide (ab223269).

Perform heat mediated antigen retrieval with Tris/EDTA buffer pH 9.0 before commencing with IHC staining protocol.

Immunohistochemistry (Formalin/PFA-fixed paraffin-embedded sections) - Anti-ASPA antibody [EPR22072] - BSA and Azide free (AB239522)
  • IHC-P

Supplier Data

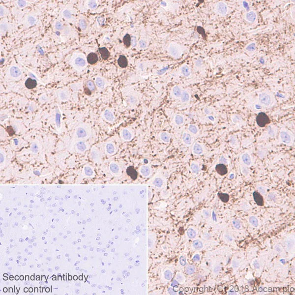
Immunohistochemistry (Formalin/PFA-fixed paraffin-embedded sections) - Anti-ASPA antibody [EPR22072] - BSA and Azide free (AB239522)

Immunohistochemical analysis of paraffin-embedded mouse cerebrum tissue labeling ASPA with ab223269 at 1/500 dilution, followed by Goat Anti-Rabbit IgG H&L (HRP) Ready to use. Nuclear and cytoplasmic staining on gliocytes of mouse cerebrum (PMID : 29116375). Counterstained with hematoxylin.

Secondary antibody only control : Used PBS instead of primary antibody, secondary antibody is Goat Anti-Rabbit IgG H&L (HRP) Ready to use.

This data was developed using the same antibody clone in a different buffer formulation containing PBS, BSA, glycerol and sodium azide (ab223269).

Perform heat mediated antigen retrieval with Tris/EDTA buffer pH 9.0 before commencing with IHC staining protocol.

Immunohistochemistry (Formalin/PFA-fixed paraffin-embedded sections) - Anti-ASPA antibody [EPR22072] - BSA and Azide free (AB239522)
  • IHC-P

Supplier Data

Immunohistochemistry (Formalin/PFA-fixed paraffin-embedded sections) - Anti-ASPA antibody [EPR22072] - BSA and Azide free (AB239522)

Immunohistochemical analysis of paraffin-embedded mouse cerebrum tissue labeling ASPA with ab223269 at 1/500 dilution, followed by Goat Anti-Rabbit IgG H&L (HRP) Ready to use. Nuclear and cytoplasmic staining on gliocytes of mouse cerebrum (PMID : 29116375). Counterstained with hematoxylin.

Secondary antibody only control : Used PBS instead of primary antibody, secondary antibody is Goat Anti-Rabbit IgG H&L (HRP) Ready to use.

This data was developed using the same antibody clone in a different buffer formulation containing PBS, BSA, glycerol, and sodium azide (ab223269).

Immunohistochemistry (Frozen sections) - Anti-ASPA antibody [EPR22072] - BSA and Azide free (AB239522)
  • IHC-Fr

Supplier Data

Immunohistochemistry (Frozen sections) - Anti-ASPA antibody [EPR22072] - BSA and Azide free (AB239522)

Immunohistochemical analysis of 4% paraformaldehyde-fixed, 0.2% Triton X-100 permeabilized frozen mouse cerebrum tissue labeling ASPA with ab223269 at 1/100 dilution, followed by Goat Anti-Rabbit IgG H&L (Alexa Fluor® 488) (ab150077) secondary antibody at 1/1000 dilution (green). Nuclear and cytoplasmic staining on gliocytes of mouse cerebrum (PMID : 29116375).

The nuclear counter stain is DAPI (blue).

Secondary antibody only control : Used PBS instead of primary antibody, secondary antibody is Goat Anti-Rabbit IgG H&L (Alexa Fluor® 488) (ab150077) at 1/1000 dilution.

This data was developed using the same antibody clone in a different buffer formulation containing PBS, BSA, glycerol, and sodium azide (ab223269).

Immunohistochemistry (Frozen sections) - Anti-ASPA antibody [EPR22072] - BSA and Azide free (AB239522)
  • IHC-Fr

Supplier Data

Immunohistochemistry (Frozen sections) - Anti-ASPA antibody [EPR22072] - BSA and Azide free (AB239522)

Immunohistochemical analysis of 4% paraformaldehyde-fixed, 0.2% Triton X-100 permeabilized frozen rat cerebrum tissue labeling ASPA with ab223269 at 1/100 dilution, followed by Goat Anti-Rabbit IgG H&L (Alexa Fluor® 488) (ab150077) secondary antibody at 1/1000 dilution (green). Nuclear and cytoplasmic staining on gliocytes of rat cerebrum. (PMID : 29116375).

The nuclear counter stain is DAPI (blue).

Secondary antibody only control : Used PBS instead of primary antibody, secondary antibody is Goat Anti-Rabbit IgG H&L (Alexa Fluor® 488) (ab150077) at 1/1000 dilution.

This data was developed using the same antibody clone in a different buffer formulation containing PBS, BSA, glycerol, and sodium azide (ab223269).

Immunohistochemistry (Formalin/PFA-fixed paraffin-embedded sections) - Anti-ASPA antibody [EPR22072] - BSA and Azide free (AB239522)
  • IHC-P

Supplier Data

Immunohistochemistry (Formalin/PFA-fixed paraffin-embedded sections) - Anti-ASPA antibody [EPR22072] - BSA and Azide free (AB239522)

Immunohistochemical analysis of paraffin-embedded rat cerebral cortex tissue labeling ASPA with ab223269 at 1/500 dilution, followed by Goat Anti-Rabbit IgG H&L (HRP) Ready to use. Nuclear and cytoplasmic staining on gliocytes of rat cerebral cortex (PMID : 29116375). Counterstained with hematoxylin.

Secondary antibody only control : Used PBS instead of primary antibody, secondary antibody is Goat Anti-Rabbit IgG H&L (HRP) Ready to use.

This data was developed using the same antibody clone in a different buffer formulation containing PBS, BSA, glycerol, and sodium azide (ab223269).

Perform heat mediated antigen retrieval with Tris/EDTA buffer pH 9.0 before commencing with IHC staining protocol.

Immunoprecipitation - Anti-ASPA antibody [EPR22072] - BSA and Azide free (AB239522)
  • IP

Supplier Data

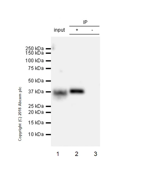
Immunoprecipitation - Anti-ASPA antibody [EPR22072] - BSA and Azide free (AB239522)

ASPA was immunoprecipitated from 0.35 mg human brain lysate with ab223269 at 1/30 dilution. Western blot was performed from the immunoprecipitate using ab223269 at 1/1000 dilution. VeriBlot for IP Detection Reagent (HRP) (ab131366), was used for detection at 1/5000 dilution.

Lane 1 : Human brain lysate 10 μg (Input).
Lane 2 : ab223269 IP in human brain lysate.
Lane 3 : Rabbit monoclonal IgG (ab172730) instead of ab223269 in human brain lysate.

Blocking/Dilution buffer : 5% NFDM/TBST.
Exposure time : 10 seconds.

This data was developed using the same antibody clone in a different buffer formulation containing PBS, BSA, glycerol, and sodium azide (ab223269).

All lanes:

Immunoprecipitation - Anti-ASPA antibody [EPR22072] (<a href='/en-us/products/primary-antibodies/aspa-antibody-epr22072-ab223269'>ab223269</a>)

Predicted band size: 36 kDa

false

Key facts

Host species

Rabbit

Clonality

Monoclonal

Clone number

EPR22072

Isotype

IgG

Carrier free

Yes

Reacts with

Mouse, Rat, Human

Applications

IP, IHC-P, WB, IHC-Fr

applications

Immunogen

The exact immunogen used to generate this antibody is proprietary information.

Reactivity data

{ "title": "Reactivity Data", "filters": { "stats": ["", "Species", "Dilution Info", "Notes"], "tabs": { "all-applications": {"fullname" : "All Applications", "shortname": "All Applications"}, "IP" : {"fullname" : "Immunoprecipitation", "shortname":"IP"}, "WB" : {"fullname" : "Western blot", "shortname":"WB"}, "IHCFr" : {"fullname" : "Immunohistochemistry (Frozen sections)", "shortname":"IHC-Fr"}, "IHCP" : {"fullname" : "Immunohistochemistry (Formalin/PFA-fixed paraffin-embedded sections)", "shortname":"IHC-P"} }, "product-promise": { "all": "all", "testedAndGuaranteed": "tested", "guaranteed": "expected", "predicted": "predicted", "notRecommended": "not-recommended" } }, "values": { "Human": { "IP-species-checked": "testedAndGuaranteed", "IP-species-dilution-info": "", "IP-species-notes": "<p></p>", "WB-species-checked": "guaranteed", "WB-species-dilution-info": "", "WB-species-notes": "<p></p>", "IHCFr-species-checked": "guaranteed", "IHCFr-species-dilution-info": "", "IHCFr-species-notes": "", "IHCP-species-checked": "testedAndGuaranteed", "IHCP-species-dilution-info": "", "IHCP-species-notes": "<p></p>" }, "Mouse": { "IP-species-checked": "guaranteed", "IP-species-dilution-info": "", "IP-species-notes": "", "WB-species-checked": "guaranteed", "WB-species-dilution-info": "", "WB-species-notes": "<p></p>", "IHCFr-species-checked": "testedAndGuaranteed", "IHCFr-species-dilution-info": "", "IHCFr-species-notes": "<p>Perform heat mediated antigen retrieval using sodium citrate buffer (10mM citrate pH 6.0 + 0.05% Tween-20).</p>", "IHCP-species-checked": "guaranteed", "IHCP-species-dilution-info": "", "IHCP-species-notes": "" }, "Rat": { "IP-species-checked": "predicted", "IP-species-dilution-info": "", "IP-species-notes": "", "WB-species-checked": "guaranteed", "WB-species-dilution-info": "", "WB-species-notes": "<p></p>", "IHCFr-species-checked": "predicted", "IHCFr-species-dilution-info": "", "IHCFr-species-notes": "", "IHCP-species-checked": "predicted", "IHCP-species-dilution-info": "", "IHCP-species-notes": "" } } }

Product details

ab239522 is the carrier-free version of ab223269.

Patented technology
Our RabMAb® technology is a patented hybridoma-based technology for making rabbit monoclonal antibodies. For details on our patents, please refer to RabMAb® patents.

What are the advantages of a recombinant monoclonal antibody?
This product is a recombinant monoclonal antibody, which offers several advantages including:

  • - High batch-to-batch consistency and reproducibility
  • - Improved sensitivity and specificity
  • - Long-term security of supply
  • - Animal-free batch production

For more information, read more on recombinant antibodies.

Conjugation ready
Our carrier-free antibodies are typically supplied in a PBS-only formulation, purified and free of BSA, sodium azide and glycerol. This conjugation-ready format is designed for use with fluorochromes, metal isotopes, oligonucleotides, and enzymes, which makes them ideal for antibody labelling, functional and cell-based assays, flow-based assays (e.g. mass cytometry) and Multiplex Imaging applications.

Use our conjugation kits for antibody conjugates that are ready-to-use in as little as 20 minutes with 1 minute hands-on-time and 100% antibody recovery: available for fluorescent dyes, HRP, biotin and gold.

Compatibility
This product is compatible with the Maxpar® Antibody Labeling Kit from Fluidigm, without the need for antibody preparation. Maxpar® is a trademark of Fluidigm Canada Inc.

Properties and storage information

Form
Liquid
Purification technique
Affinity purification Protein A
Storage buffer
pH: 7.2 - 7.4 Constituents: PBS
Shipped at conditions
Blue Ice
Appropriate short-term storage conditions
+4°C
Appropriate long-term storage conditions
+4°C
Storage information
Do Not Freeze

Supplementary information

This supplementary information is collated from multiple sources and compiled automatically.

Aspartoacylase also known by its abbreviation ASPA is an enzyme that breaks down N-acetyl-L-aspartate into aspartate and acetate. It has a mass of about 60 kDa. ASPA is highly expressed in the brain especially in oligodendrocytes which are a type of central nervous system cell responsible for producing the myelin sheath that surrounds nerve cells. Its enzymatic activity is dependent on divalent metal ions which are required for its function.
Biological function summary

ASPA plays an important role in myelin sheath maintenance and acetate metabolism. This protein doesn't form part of a complex but acts independently in the cytoplasm and peroxisomes of cells. Its function is significant for the provision of acetate for lipid synthesis which is necessary for myelin production. By regulating N-acetyl-L-aspartate levels in the brain ASPA activity is linked directly to protecting nerve cells' structural integrity.

Pathways

The ASPA enzyme is involved in the aspartate and acetyl-CoA pathways which are central to cellular energy balance and lipid metabolism. Its enzymatic role facilitates the recycling of acetate which is vital to the synthesis of myelin lipids. The relationship of ASPA with enzymes like acetyl-CoA synthetase highlights its involvement in broader biochemical pathways fundamental to cell metabolism and growth.

Deficiencies in ASPA are linked to Canavan disease a rare and inherited neurodegenerative condition characterized by white matter sponginess and loss of motor skills. This disorder results from mutations in the ASPA gene leading to dysfunctional enzyme activity. Additionally changes in ASPA expression levels might contribute to demyelinating disorders where proteins like myelin basic protein are also often involved making ASPA an important target for studies exploring nervous system diseases.

Product protocols

For this product, it's our understanding that no specific protocols are required. You can visit:

Target data

Catalyzes the deacetylation of N-acetylaspartic acid (NAA) to produce acetate and L-aspartate. NAA occurs in high concentration in brain and its hydrolysis NAA plays a significant part in the maintenance of intact white matter. In other tissues it acts as a scavenger of NAA from body fluids.
See full target information ASPA

Publications (1)

Recent publications for all applications. Explore the full list and refine your search

Scientific reports 15:33150 PubMed41006496

2025

Neonatal sevoflurane exposure enhances stress-related neurological susceptibility via NKCC1 modulation.

Applications

Unspecified application

Species

Unspecified reactive species

Bi-Ying Yuan,Li-Hui Shan,Jiang Zou,Xiao-Hai Xie,Jia-Qi Gan,Ben-Zhen Chen
View all publications

Product promise

We are committed to supporting your work with high-quality reagents, and we're here for you every step of the way. In the unlikely event that one of our products does not perform as expected, you're protected by our Product Promise.
For full details, please see our Terms & Conditions

Please note: All products are 'FOR RESEARCH USE ONLY. NOT FOR USE IN DIAGNOSTIC OR THERAPEUTIC PROCEDURES'.

For licensing inquiries, please contact partnerships@abcam.com