JavaScript is disabled in your browser. Please enable JavaScript to view this website.
AB170950

Anti-Aspartate Aminotransferase + FABP-1 antibody [EPR12145]

0

(1 Review)

|

(9 Publications)

Rabbit Recombinant Monoclonal Aspartate Aminotransferase antibody. Suitable for WB, ICC/IF, Flow Cyt (Intra), IHC-P and reacts with Human, Mouse, Rat samples. Cited in 9 publications.

View Alternative Names

cAspAT, Glutamate oxaloacetate transaminase 1, Transaminase A, cCAT, GOT1

10 Images
Western blot - Anti-Aspartate Aminotransferase + FABP-1 antibody [EPR12145] (AB170950)
  • WB

Lab

Western blot - Anti-Aspartate Aminotransferase + FABP-1 antibody [EPR12145] (AB170950)

Blocking and diluting buffer : 5% NFDM/TBST.

All lanes:

purified at 1/3000 dilution

Lane 1:

HepG2 (Human hepatocellular carcinoma epithelial cell) whole cell lysates at 20 µg

Lane 2:

MCF7 (Human breast adenocarcinoma epithelial cell) whole cell lysates at 20 µg

Lane 3:

K-562 (Human chronic myelogenous leukemia lymphoblast) whole cell lysates at 20 µg

Lane 4:

Mouse brain lysates at 20 µg

Lane 5:

Mouse heart lysates at 20 µg

Lane 6:

Rat brain lysates at 20 µg

Lane 7:

Rat heart lysates at 20 µg

Secondary

All lanes:

Western blot - Goat Anti-Rabbit IgG H&L (HRP) (<a href='/en-us/products/secondary-antibodies/goat-rabbit-igg-h-l-hrp-ab97051'>ab97051</a>) at 1/20000 dilution

false

Western blot - Anti-Aspartate Aminotransferase + FABP-1 antibody [EPR12145] (AB170950)
  • WB

Unknown

Western blot - Anti-Aspartate Aminotransferase + FABP-1 antibody [EPR12145] (AB170950)

All lanes:

Western blot - Anti-Aspartate Aminotransferase + FABP-1 antibody [EPR12145] (ab170950) at 1/1000 dilution

All lanes:

Western blot - Recombinant human FABP-1 protein (<a href='/en-us/products/proteins-peptides/recombinant-human-fabp-1-protein-ab206788'>ab206788</a>) at 0.015 µg

Secondary

All lanes:

Western blot - Goat Anti-Rabbit IgG H&L (HRP) (<a href='/en-us/products/secondary-antibodies/goat-rabbit-igg-h-l-hrp-ab97051'>ab97051</a>) at 1/20000 dilution

Observed band size: 47 kDa

false

Exposure time: 180s

Immunocytochemistry/ Immunofluorescence - Anti-Aspartate Aminotransferase + FABP-1 antibody [EPR12145] (AB170950)
  • ICC/IF

Lab

Immunocytochemistry/ Immunofluorescence - Anti-Aspartate Aminotransferase + FABP-1 antibody [EPR12145] (AB170950)

Immunocytochemistry/Immunofluorescence analysis of HT-29 (human colorectal adenocarcinoma) cells labelling Aspartate Aminotransferase + FABP-1 with purified ab170950 at 1/120. Cells were fixed with 100% methanol. An Alexa Fluor® 488-conjugated goat anti-rabbit IgG (ab150077) at 1/1000 dilution was used as the secondary antibody. Nuclei counterstained with DAPI (blue).

Secondary Only Control : PBS was used instead of the primary antibody as the negative control.

Flow Cytometry (Intracellular) - Anti-Aspartate Aminotransferase + FABP-1 antibody [EPR12145] (AB170950)
  • Flow Cyt (Intra)

Unknown

Flow Cytometry (Intracellular) - Anti-Aspartate Aminotransferase + FABP-1 antibody [EPR12145] (AB170950)

Intracellular Flow Cytometry analysis of K-562 (Human chronic myelogenous leukemia lymphoblast) cells labeling Aspartate Aminotransferase + FABP-1 with purified ab170950 at 1/20 dilution (red). Cells were fixed with 4% Paraformaldehyde. A Goat anti rabbit IgG (Alexa Fluor® 488) secondary antibody was used at 1/2000 dilution. Isotype control - Rabbit monoclonal IgG (Black). Unlabeled control - Cell without incubation with primary antibody and secondary antibody (Blue).

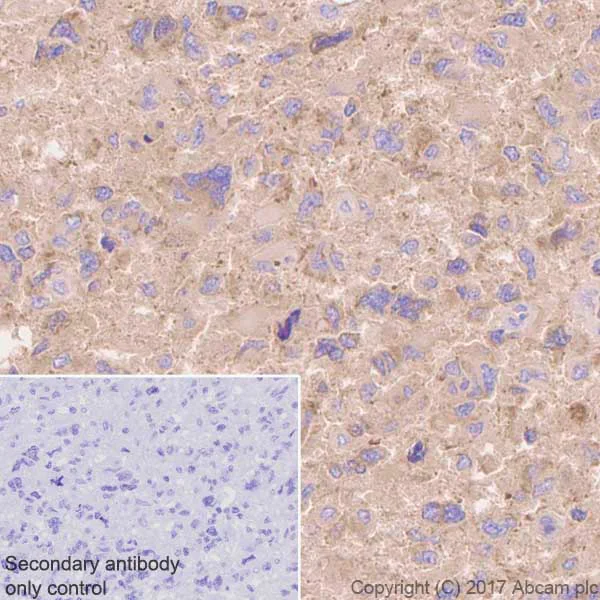
Immunohistochemistry (Formalin/PFA-fixed paraffin-embedded sections) - Anti-Aspartate Aminotransferase + FABP-1 antibody [EPR12145] (AB170950)
  • IHC-P

Unknown

Immunohistochemistry (Formalin/PFA-fixed paraffin-embedded sections) - Anti-Aspartate Aminotransferase + FABP-1 antibody [EPR12145] (AB170950)

Immunohistochemistry (Formalin/PFA-fixed paraffin-embedded sections) analysis of human glioma tissue sections labeling Aspartate Aminotransferase + FABP-1 with Purified ab170950 at 1 : 170 dilution. Heat mediated antigen retrieval was performed using ab93684 (Tris/EDTA buffer, pH 9.0). Tissue was counterstained with Hematoxylin. ImmunoHistoProbe one step HRP Polymer (ready to use) secondary antibody was used at 1 : 0 dilution. PBS instead of the primary antibody was used as the negative control.

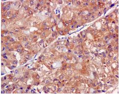
Immunohistochemistry (Formalin/PFA-fixed paraffin-embedded sections) - Anti-Aspartate Aminotransferase + FABP-1 antibody [EPR12145] (AB170950)
  • IHC-P

Supplier Data

Immunohistochemistry (Formalin/PFA-fixed paraffin-embedded sections) - Anti-Aspartate Aminotransferase + FABP-1 antibody [EPR12145] (AB170950)

Immunohistochemical analysis of paraffin-embedded Human hepatocellular carcinoma tissue labeling Aspartate Aminotransferase + FABP-1 using unpurified ab170950 at 1/50 dilution.

Perform heat mediated antigen retrieval with Tris/EDTA buffer pH 9.0 before commencing with IHC staining protocol.

Western blot - Anti-Aspartate Aminotransferase + FABP-1 antibody [EPR12145] (AB170950)
  • WB

Supplier Data

Western blot - Anti-Aspartate Aminotransferase + FABP-1 antibody [EPR12145] (AB170950)

All lanes:

Western blot - Anti-Aspartate Aminotransferase + FABP-1 antibody [EPR12145] (ab170950) at 1/1000 dilution

Lane 1:

HepG2 cell lysate at 10 µg

Lane 2:

MCF-7 cell lysate at 10 µg

Lane 3:

K562 cell lysate at 10 µg

false

Immunocytochemistry/ Immunofluorescence - Anti-Aspartate Aminotransferase + FABP-1 antibody [EPR12145] (AB170950)
  • ICC/IF

Supplier Data

Immunocytochemistry/ Immunofluorescence - Anti-Aspartate Aminotransferase + FABP-1 antibody [EPR12145] (AB170950)

Immunofluorescent analysis of HepG2 cells labeling Aspartate Aminotransferase + FABP-1 using unpurified ab170950 at 1/50 dilution (green). DAPI nuclear staining (blue).

Flow Cytometry (Intracellular) - Anti-Aspartate Aminotransferase + FABP-1 antibody [EPR12145] (AB170950)
  • Flow Cyt (Intra)

Supplier Data

Flow Cytometry (Intracellular) - Anti-Aspartate Aminotransferase + FABP-1 antibody [EPR12145] (AB170950)

Intracellular flow cytometric analysis of permeabilized K562 cells labeling Aspartate Aminotransferase + FABP-1 using unpurified ab170950 at 1/10 dilution (red) or a rabbit IgG negative (green).

Western blot - Anti-Aspartate Aminotransferase + FABP-1 antibody [EPR12145] (AB170950)
  • WB

CiteAb

Western blot - Anti-Aspartate Aminotransferase + FABP-1 antibody [EPR12145] (AB170950)

Aspartate Aminotransferase + FABP-1 western blot using anti-Aspartate Aminotransferase + FABP-1 antibody [EPR12145] ab170950. Publication image and figure legend from Zhu, Y., Li, T., et al., 2017, MBio, PubMed 28811348.

ab170950 was used in this publication in western blot. This may not be the same as the application(s) guaranteed by Abcam. For a full list of applications guaranteed by Abcam for ab170950 please see the product overview.

GLS2, GLUD1, and GOT2 are upregulated and required for cell proliferation of KSHV-transformed cells. (A) Changes of gene expression of key enzymes in the glutamine metabolism pathway following KSHV transformation. Ratios are untransformed (MM) versus transformed (KMM) cells. Genes downregulated and upregulated by KSHV are labeled in green and red, respectively. (B and C) Analysis of GLS2, GLUD1, GOT1, and GOT2 expression in MM and KMM cells by RT-qPCR (B) and Western blot (C). (D) Examination of the efficiencies of shRNAs against GLS2, GLUD1, and GOT2 in untransformed (MM) and KSHV-transformed (KMM) cells by RT-qPCR. MM and KMM cells infected with lentiviruses harboring 2 different shRNAs (sh1 and sh2) for each gene or a scrambled control (Ctl) were lysed at day 3 postinfection and examined by RT-qPCR. β-Actin was used as an internal control. (E) Examination of the efficiencies of shRNAs against GLS2, GLUD1, and GOT2 in MM and KMM cells by Western blot. Cells were infected as described in the legend for panel D. β-Tubulin was used as an internal control for loading. (F) Knockdown of GLS2, GLUD1, or GOT2 impairs the proliferation of KMM cells. MM and KMM cells infected with lentiviruses harboring 2 different shRNAs for GLS2 (shGLS2-1 and shGLS2-2), GLUD1 (shGLUD1-1 and shGLUD1-2), and GOT2 (shGOT2-1 and shGOT2-2) or a scrambled control (shControl) were counted at different time points after infection.

false

  • 665 Alexa Fluor® 647

    Alexa Fluor® 647 Anti-Aspartate Aminotransferase + FABP-1 antibody [EPR12145]

  • Carrier free

    Anti-Aspartate Aminotransferase + FABP-1 antibody [EPR12145] - BSA and Azide free

  • 660 APC

    APC Anti-Aspartate Aminotransferase + FABP-1 antibody [EPR12145]

  • 603 Alexa Fluor® 568

    Alexa Fluor® 568 Anti-Aspartate Aminotransferase + FABP-1 antibody [EPR12145]

  • 565 Alexa Fluor® 555

    Alexa Fluor® 555 Anti-Aspartate Aminotransferase + FABP-1 antibody [EPR12145]

  • HRP

    HRP Anti-Aspartate Aminotransferase + FABP-1 antibody [EPR12145]

  • 578 PE

    PE Anti-Aspartate Aminotransferase +FABP-1 antibody [EPR12145]

  • 617 Alexa Fluor® 594

    Alexa Fluor® 594 Anti-Aspartate Aminotransferase + FABP-1 antibody [EPR12145]

  • 519 Alexa Fluor® 488

    Alexa Fluor® 488 Anti-Aspartate Aminotransferase + FABP-1 antibody [EPR12145]

  • 775 Alexa Fluor® 750

    Alexa Fluor® 750 Anti-Aspartate Aminotransferase + FABP-1 antibody [EPR12145]

Key facts

Host species

Rabbit

Clonality

Monoclonal

Clone number

EPR12145

Isotype

IgG

Carrier free

No

Reacts with

Mouse, Rat, Human

Applications

ICC/IF, Flow Cyt (Intra), IHC-P, WB

applications

Immunogen

The exact immunogen used to generate this antibody is proprietary information.

Specificity

The mouse and rat recommendation is based on the WB results. We do not guarantee IHC-P for mouse and rat.

Reactivity data

{ "title": "Reactivity Data", "filters": { "stats": ["", "Species", "Dilution Info", "Notes"], "tabs": { "all-applications": {"fullname" : "All Applications", "shortname": "All Applications"}, "WB" : {"fullname" : "Western blot", "shortname":"WB"}, "ICCIF" : {"fullname" : "Immunocytochemistry/ Immunofluorescence", "shortname":"ICC/IF"}, "FlowCytIntra" : {"fullname" : "Flow Cytometry (Intracellular)", "shortname":"Flow Cyt (Intra)"}, "IHCP" : {"fullname" : "Immunohistochemistry (Formalin/PFA-fixed paraffin-embedded sections)", "shortname":"IHC-P"} }, "product-promise": { "all": "all", "testedAndGuaranteed": "tested", "guaranteed": "expected", "predicted": "predicted", "notRecommended": "not-recommended" } }, "values": { "Human": { "WB-species-checked": "testedAndGuaranteed", "WB-species-dilution-info": "1/3000", "WB-species-notes": "<p></p>", "ICCIF-species-checked": "testedAndGuaranteed", "ICCIF-species-dilution-info": "1/500", "ICCIF-species-notes": "<p></p>", "FlowCytIntra-species-checked": "testedAndGuaranteed", "FlowCytIntra-species-dilution-info": "1/20", "FlowCytIntra-species-notes": "<p><a href='/en-us/products/primary-antibodies/rabbit-igg-monoclonal-epr25a-isotype-control-ab172730'>ab172730</a> - Rabbit monoclonal IgG, is suitable for use as an isotype control with this antibody.</p>", "IHCP-species-checked": "testedAndGuaranteed", "IHCP-species-dilution-info": "1/170", "IHCP-species-notes": "<p>The mouse and rat recommendation is based on the WB results. We do not guarantee IHC-P for mouse and rat.</p> Perform heat-mediated antigen retrieval with Tris/EDTA buffer pH 9.0 before commencing with IHC staining protocol." }, "Mouse": { "WB-species-checked": "testedAndGuaranteed", "WB-species-dilution-info": "1/3000", "WB-species-notes": "<p></p>", "ICCIF-species-checked": "guaranteed", "ICCIF-species-dilution-info": "", "ICCIF-species-notes": "", "FlowCytIntra-species-checked": "guaranteed", "FlowCytIntra-species-dilution-info": "", "FlowCytIntra-species-notes": "", "IHCP-species-checked": "guaranteed", "IHCP-species-dilution-info": "", "IHCP-species-notes": "" }, "Rat": { "WB-species-checked": "testedAndGuaranteed", "WB-species-dilution-info": "1/3000", "WB-species-notes": "<p></p>", "ICCIF-species-checked": "guaranteed", "ICCIF-species-dilution-info": "", "ICCIF-species-notes": "", "FlowCytIntra-species-checked": "guaranteed", "FlowCytIntra-species-dilution-info": "", "FlowCytIntra-species-notes": "", "IHCP-species-checked": "guaranteed", "IHCP-species-dilution-info": "", "IHCP-species-notes": "" } } }

You may be interested in:

AB105135

Aspartate Aminotransferase Activity Assay Kit

5

1 Reviews

View product

We recommend this product because it’s often used in the same experiment or related research.

We advise that you always check the datasheet to ensure it fits your experiments, or contact ourtechnical teamfor help.

Product details

Patented technology
Our RabMAb® technology is a patented hybridoma-based technology for making rabbit monoclonal antibodies. For details on our patents, please refer to RabMAb® patents.

What are the advantages of a recombinant monoclonal antibody?
This product is a recombinant monoclonal antibody, which offers several advantages including:

  • - High batch-to-batch consistency and reproducibility
  • - Improved sensitivity and specificity
  • - Long-term security of supply
  • - Animal-free batch production

For more information, read more on recombinant antibodies.

Properties and storage information

Form
Liquid
Purification technique
Affinity purification Protein A
Storage buffer
Preservative: 0.01% Sodium azide Constituents: 59% PBS, 40% Glycerol (glycerin, glycerine), 0.05% BSA
Shipped at conditions
Blue Ice
Appropriate short-term storage duration
1-2 weeks
Appropriate short-term storage conditions
+4°C
Appropriate long-term storage conditions
-20°C
Aliquoting information
Upon delivery aliquot
Storage information
Avoid freeze / thaw cycle

Supplementary information

This supplementary information is collated from multiple sources and compiled automatically.

Aspartate Aminotransferase also known as AST or alkaline aminotransferase is an important enzyme in amino acid metabolism. It catalyzes the transfer of an amino group from aspartate to alpha-ketoglutarate forming glutamate and oxaloacetate. This enzyme has an approximate molecular mass of 46 kDa and is expressed in the liver heart skeletal muscle and kidney tissues. AST plays a significant role in the intracellular balance of amino acids and is an important biomarker in clinical diagnostics.
Biological function summary

AST functions in the transamination process a mechanism central to the synthesis and degradation of amino acids. This process is fundamental in the production of energy and the maintenance of the urea cycle. AST does not form a part of a complex but interacts dynamically with substrates and cofactors like pyridoxal phosphate essential for its enzymatic activity. The activity of AST is important in ensuring the proper function of amino acid metabolism in various tissues.

Pathways

AST operates within the citric acid cycle and the urea cycle. In the citric acid cycle AST contributes to the interconversion of amino acids and metabolic intermediates aiding in energy production. It links to proteins such as malate dehydrogenase and glutamate dehydrogenase which play roles in associated metabolic conversions and energy cycles. These interactions reflect AST's integration in maintaining cellular metabolic processes.

AST levels serve as an indicator of liver health and are often elevated in conditions such as hepatitis and myocardial infarction. Hepatitis causes liver damage resulting in increased AST release into the bloodstream. In myocardial infarction damaged cardiac tissue releases AST providing a diagnostic cue for tissue injury. Elevated AST levels can associate with other enzymes like alanine aminotransferase (ALT) used together to assess liver and heart function.

Product protocols

For this product, it's our understanding that no specific protocols are required. You can visit:

Target data

Biosynthesis of L-glutamate from L-aspartate or L-cysteine (PubMed : 21900944). Important regulator of levels of glutamate, the major excitatory neurotransmitter of the vertebrate central nervous system. Acts as a scavenger of glutamate in brain neuroprotection. The aspartate aminotransferase activity is involved in hepatic glucose synthesis during development and in adipocyte glyceroneogenesis. Using L-cysteine as substrate, regulates levels of mercaptopyruvate, an important source of hydrogen sulfide. Mercaptopyruvate is converted into H(2)S via the action of 3-mercaptopyruvate sulfurtransferase (3MST). Hydrogen sulfide is an important synaptic modulator and neuroprotectant in the brain. In addition, catalyzes (2S)-2-aminobutanoate, a by-product in the cysteine biosynthesis pathway (PubMed : 27827456).
See full target information Aspartate aminotransferase, cytoplasmic

Additional targets

GOT2

Publications (9)

Recent publications for all applications. Explore the full list and refine your search

Journal of Cancer 13:1061-1072 PubMed35154470

2022

Glutamate dehydrogenase 1 mediated glutaminolysis sustains HCC cells survival under glucose deprivation.

Applications

Unspecified application

Species

Unspecified reactive species

Yujiao Zhou,Haibo Yu,Shengtao Cheng,Yao Chen,Lin He,Jihua Ren,Xin He,Juan Chen,Lu Zheng,Fan Li

Cell reports 37:109958 PubMed34758301

2021

The hepatic compensatory response to elevated systemic sulfide promotes diabetes.

Applications

Unspecified application

Species

Unspecified reactive species

Roderick N Carter,Matthew T G Gibbins,Martin E Barrios-Llerena,Stephen E Wilkie,Peter L Freddolino,Marouane Libiad,Victor Vitvitsky,Barry Emerson,Thierry Le Bihan,Madara Brice,Huizhong Su,Scott G Denham,Natalie Z M Homer,Clare Mc Fadden,Anne Tailleux,Nourdine Faresse,Thierry Sulpice,Francois Briand,Tom Gillingwater,Kyo Han Ahn,Subhankar Singha,Claire McMaster,Richard C Hartley,Bart Staels,Gillian A Gray,Andrew J Finch,Colin Selman,Ruma Banerjee,Nicholas M Morton

Nature communications 12:4860 PubMed34381026

2021

GOT1 inhibition promotes pancreatic cancer cell death by ferroptosis.

Applications

Unspecified application

Species

Unspecified reactive species

Daniel M Kremer,Barbara S Nelson,Lin Lin,Emily L Yarosz,Christopher J Halbrook,Samuel A Kerk,Peter Sajjakulnukit,Amy Myers,Galloway Thurston,Sean W Hou,Eileen S Carpenter,Anthony C Andren,Zeribe C Nwosu,Nicholas Cusmano,Stephanie Wisner,Nneka E Mbah,Mengrou Shan,Nupur K Das,Brian Magnuson,Andrew C Little,Milan R Savani,Johanna Ramos,Tina Gao,Stephen A Sastra,Carmine F Palermo,Michael A Badgley,Li Zhang,John M Asara,Samuel K McBrayer,Marina Pasca di Magliano,Howard C Crawford,Yatrik M Shah,Kenneth P Olive,Costas A Lyssiotis

Cell metabolism 32:391-403.e6 PubMed32763164

2020

Induction of a Timed Metabolic Collapse to Overcome Cancer Chemoresistance.

Applications

Unspecified application

Species

Unspecified reactive species

Nick van Gastel,Jessica B Spinelli,Azeem Sharda,Amir Schajnovitz,Ninib Baryawno,Catherine Rhee,Toshihiko Oki,Eliane Grace,Heather J Soled,Jelena Milosevic,David B Sykes,Peggy P Hsu,Matthew G Vander Heiden,Charles Vidoudez,Sunia A Trauger,Marcia C Haigis,David T Scadden

Journal of cardiovascular translational research 13:181-190 PubMed31712976

2019

Surgical Preparation Reduces Hydrogen Sulfide Released from Human Saphenous Veins in Coronary Artery Bypass Grafting.

Applications

Unspecified application

Species

Unspecified reactive species

Chao Yuan,Hai-Tao Hou,Huan-Xin Chen,Jun Wang,Zheng-Qing Wang,Tie-Nan Chen,Xiao-Cheng Liu,Qin Yang,Guo-Wei He

The Journal of international medical research 47:3778-3791 PubMed31155983

2019

Hydrogen sulfide-mediated endothelial function and the interaction with eNOS and PDE5A activity in human internal mammary arteries.

Applications

Unspecified application

Species

Unspecified reactive species

Chao Yuan,Hai-Tao Hou,Huan-Xin Chen,Jun Wang,Zheng-Qing Wang,Tie-Nan Chen,Aleksandra Novakovic,Marija Marinko,Qin Yang,Zhi-Gang Liu,Guo-Wei He

EBioMedicine 40:184-197 PubMed30686754

2019

Loss of SLC25A11 causes suppression of NSCLC and melanoma tumor formation.

Applications

Unspecified application

Species

Unspecified reactive species

Jae-Seon Lee,Ho Lee,Soohyun Lee,Joon Hee Kang,Seon-Hyeong Lee,Seul-Gi Kim,Eunae Sandra Cho,Nam Hee Kim,Jong In Yook,Soo-Youl Kim

Cell metabolism 28:721-736.e6 PubMed30122553

2018

A Role for p53 in the Adaptation to Glutamine Starvation through the Expression of SLC1A3.

Applications

Unspecified application

Species

Unspecified reactive species

Mylène Tajan,Andreas K Hock,Julianna Blagih,Neil A Robertson,Christiaan F Labuschagne,Flore Kruiswijk,Timothy J Humpton,Peter D Adams,Karen H Vousden

mBio 8: PubMed28811348

2017

A Critical Role of Glutamine and Asparagine γ-Nitrogen in Nucleotide Biosynthesis in Cancer Cells Hijacked by an Oncogenic Virus.

Applications

Unspecified application

Species

Unspecified reactive species

Ying Zhu,Tingting Li,Suzane Ramos da Silva,Jae-Jin Lee,Chun Lu,Hyungjin Eoh,Jae U Jung,Shou-Jiang Gao
View all publications

Product promise

We are committed to supporting your work with high-quality reagents, and we're here for you every step of the way. In the unlikely event that one of our products does not perform as expected, you're protected by our Product Promise.
For full details, please see our Terms & Conditions

Associated Products

Select an associated product type
Alternative Product
Primary Antibodies

AB189863

Anti-Aspartate Aminotransferase antibody - C-terminal

primary-antibodies

aspartate-aminotransferase-antibody-c-terminal-ab189863

0

(0 reviews)

Alternative Product
Primary Antibodies

AB34621

HRP Anti-Aspartate Aminotransferase antibody

primary-antibodies

hrp-aspartate-aminotransferase-antibody-ab34621

0

(0 reviews)

Alternative Product
Primary Antibodies

AB239487

Anti-Aspartate Aminotransferase antibody [C1]

primary-antibodies

aspartate-aminotransferase-antibody-c1-ab239487

0

(0 reviews)

Alternative Product
Primary Antibodies

AB85857

Anti-Aspartate Aminotransferase antibody

primary-antibodies

aspartate-aminotransferase-antibody-ab85857

0

(0 reviews)

Alternative Product
Primary Antibodies

AB221939

Anti-Aspartate Aminotransferase antibody

primary-antibodies

aspartate-aminotransferase-antibody-ab221939

0

(0 reviews)

Alternative Product
Primary Antibodies

AB230424

Anti-Aspartate Aminotransferase antibody

primary-antibodies

aspartate-aminotransferase-antibody-ab230424

0

(0 reviews)

Please note: All products are 'FOR RESEARCH USE ONLY. NOT FOR USE IN DIAGNOSTIC OR THERAPEUTIC PROCEDURES'.

For licensing inquiries, please contact partnerships@abcam.com