JavaScript is disabled in your browser. Please enable JavaScript to view this website.
AB172475

Anti-Aspartate beta hydroxylase antibody [EPR10351]

Be the first to review this product! Submit a review

|

(4 Publications)

Rabbit Recombinant Monoclonal Aspartate beta hydroxylase antibody. Suitable for IHC-P, WB, ICC/IF, Flow Cyt (Intra) and reacts with Human samples. Cited in 4 publications.

View Alternative Names

BAH, ASPH, Aspartyl/asparaginyl beta-hydroxylase, Aspartate beta-hydroxylase, Peptide-aspartate beta-dioxygenase, ASP beta-hydroxylase

5 Images
Flow Cytometry (Intracellular) - Anti-Aspartate beta hydroxylase antibody [EPR10351] (AB172475)
  • Flow Cyt (Intra)

Supplier Data

Flow Cytometry (Intracellular) - Anti-Aspartate beta hydroxylase antibody [EPR10351] (AB172475)

Intracellular flow cytometric analysis of permeabilized HeLa cells labeling Aspartate beta hydroxylasewith ab172475at 1/10 dilution (red) compared to a Rabbit IgG (negative) (green).

Immunocytochemistry/ Immunofluorescence - Anti-Aspartate beta hydroxylase antibody [EPR10351] (AB172475)
  • ICC/IF

Supplier Data

Immunocytochemistry/ Immunofluorescence - Anti-Aspartate beta hydroxylase antibody [EPR10351] (AB172475)

Immunofluorescent analysis of HeLa cells labeling Aspartate beta hydroxylase with ab172475 at 1/250 dilution (red). DAPI nuclear staining (blue).

Immunohistochemistry (Formalin/PFA-fixed paraffin-embedded sections) - Anti-Aspartate beta hydroxylase antibody [EPR10351] (AB172475)
  • IHC-P

Supplier Data

Immunohistochemistry (Formalin/PFA-fixed paraffin-embedded sections) - Anti-Aspartate beta hydroxylase antibody [EPR10351] (AB172475)

Immunohistochemical analysis of paraffin embedded Human colon carcinoma tissue labeling Aspartate beta hydroxylase with ab172475 at 1/50 dilution.

Perform heat mediated antigen retrieval with citrate buffer pH 6 before commencing with IHC staining protocol.

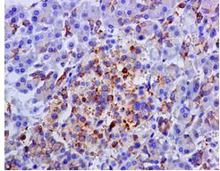
Immunohistochemistry (Formalin/PFA-fixed paraffin-embedded sections) - Anti-Aspartate beta hydroxylase antibody [EPR10351] (AB172475)
  • IHC-P

Supplier Data

Immunohistochemistry (Formalin/PFA-fixed paraffin-embedded sections) - Anti-Aspartate beta hydroxylase antibody [EPR10351] (AB172475)

Immunohistochemical analysis of paraffin embedded Human pancreas tissue labeling Aspartate beta hydroxylase with ab172475 at 1/50 dilution.

Perform heat mediated antigen retrieval with citrate buffer pH 6 before commencing with IHC staining protocol.

Western blot - Anti-Aspartate beta hydroxylase antibody [EPR10351] (AB172475)
  • WB

Supplier Data

Western blot - Anti-Aspartate beta hydroxylase antibody [EPR10351] (AB172475)

All lanes:

Western blot - Anti-Aspartate beta hydroxylase antibody [EPR10351] (ab172475) at 1/10000 dilution

Lane 1:

HeLa cell lysate at 10 µg

Lane 2:

A549 cell lysate at 10 µg

Lane 3:

HepG2 cell lysate at 10 µg

Predicted band size: 86 kDa

false

Key facts

Host species

Rabbit

Clonality

Monoclonal

Clone number

EPR10351

Isotype

IgG

Carrier free

No

Reacts with

Human

Applications

Flow Cyt (Intra), ICC/IF, WB, IHC-P

applications

Immunogen

The exact immunogen used to generate this antibody is proprietary information.

Reactivity data

{ "title": "Reactivity Data", "filters": { "stats": ["", "Species", "Dilution Info", "Notes"], "tabs": { "all-applications": {"fullname" : "All Applications", "shortname": "All Applications"}, "IHCP" : {"fullname" : "Immunohistochemistry (Formalin/PFA-fixed paraffin-embedded sections)", "shortname":"IHC-P"}, "IP" : {"fullname" : "Immunoprecipitation", "shortname":"IP"}, "WB" : {"fullname" : "Western blot", "shortname":"WB"}, "ICCIF" : {"fullname" : "Immunocytochemistry/ Immunofluorescence", "shortname":"ICC/IF"}, "FlowCytIntra" : {"fullname" : "Flow Cytometry (Intracellular)", "shortname":"Flow Cyt (Intra)"} }, "product-promise": { "all": "all", "testedAndGuaranteed": "tested", "guaranteed": "expected", "predicted": "predicted", "notRecommended": "not-recommended" } }, "values": { "Human": { "IHCP-species-checked": "testedAndGuaranteed", "IHCP-species-dilution-info": "1/50 - 1/100", "IHCP-species-notes": "<p></p>", "IP-species-checked": "notRecommended", "IP-species-dilution-info": "", "IP-species-notes": "<p></p>", "WB-species-checked": "testedAndGuaranteed", "WB-species-dilution-info": "1/10000 - 1/50000", "WB-species-notes": "<p></p>", "ICCIF-species-checked": "testedAndGuaranteed", "ICCIF-species-dilution-info": "1/250 - 1/500", "ICCIF-species-notes": "<p></p>", "FlowCytIntra-species-checked": "testedAndGuaranteed", "FlowCytIntra-species-dilution-info": "1/10 - 1/100", "FlowCytIntra-species-notes": "<p><a href='/en-us/products/primary-antibodies/rabbit-igg-monoclonal-epr25a-isotype-control-ab172730'>ab172730</a> - Rabbit monoclonal IgG, is suitable for use as an isotype control with this antibody.</p>" } } }

Product details

Species reactivity
Mouse, Rat: We have preliminary internal testing data to indicate this antibody may not react with these species.
Please contact us for more information.

Patented technology
Our RabMAb® technology is a patented hybridoma-based technology for making rabbit monoclonal antibodies. For details on our patents, please refer to RabMAb® patents.

What are the advantages of a recombinant monoclonal antibody?
This product is a recombinant monoclonal antibody, which offers several advantages including:

  • - High batch-to-batch consistency and reproducibility
  • - Improved sensitivity and specificity
  • - Long-term security of supply
  • - Animal-free batch production

For more information, read more on recombinant antibodies.

Properties and storage information

Form
Liquid
Purity
Tissue culture supernatant
Storage buffer
pH: 7.2 - 7.4 Preservative: 0.01% Sodium azide Constituents: PBS, 50% Tissue culture supernatant, 40% Glycerol (glycerin, glycerine), 0.05% BSA
Shipped at conditions
Blue Ice
Appropriate short-term storage duration
1-2 weeks
Appropriate short-term storage conditions
+4°C
Appropriate long-term storage conditions
-20°C
Aliquoting information
Upon delivery aliquot
Storage information
Avoid freeze / thaw cycle

Supplementary information

This supplementary information is collated from multiple sources and compiled automatically.

Aspartate beta hydroxylase (ABH) also known as aspartyl/asparaginyl beta-hydroxylase is an enzyme that catalyzes the post-translational hydroxylation of aspartyl and asparaginyl residues in proteins. It has an estimated molecular mass of 86 kDa. Aspartate beta hydroxylase exhibits expression in a variety of tissues including the liver brain and heart. Its expression can change in response to pathological states indicating a role in physiological and disease processes.
Biological function summary

Aspartate beta hydroxylase has a significant role in cellular functions by contributing to the modification and regulation of proteins involved in cellular adhesion migration and signaling. Although it functions individually ABH also interacts with other molecular components within the cell influencing a range of cellular processes such as differentiation and proliferation. These modifications affect the protein interactions and stability playing an essential role in cellular homeostasis and development.

Pathways

Aspartate beta hydroxylase contributes to important signaling pathways and cellular mechanisms such as the Notch signaling pathway. In this context it participates in essential cellular communications affecting cell fate determination processes. Other related proteins in these pathways involve Notch receptors and ligands which undergo modifications by ABH activity facilitating accurate signal transduction and cellular response.

The dysregulation of aspartate beta hydroxylase is associated with several conditions most notably cancer and congenital heart defects. In cancer overexpression of ABH can lead to enhanced tumor progression and metastasis. This condition correlates with proteins involved in cellular growth and migration such as integrins. In congenital heart defects abnormal levels of ABH may influence heart tissue development and integrity linked with Notch receptors that are important for cardiac morphogenesis.

Product protocols

For this product, it's our understanding that no specific protocols are required. You can visit:

Target data

Isoform 1. Specifically hydroxylates an Asp or Asn residue in certain epidermal growth factor-like (EGF) domains of a number of proteins.. Isoform 8. Membrane-bound Ca(2+)-sensing protein, which is a structural component of the ER-plasma membrane junctions. Isoform 8 regulates the activity of Ca(+2) released-activated Ca(+2) (CRAC) channels in T-cells.
See full target information ASPH

Publications (4)

Recent publications for all applications. Explore the full list and refine your search

Immunity, inflammation and disease 12:e70072 PubMed39555740

2024

Senescence in Intervertebral Disc Degeneration: A Comprehensive Analysis Based on Bioinformatic Strategies.

Applications

Unspecified application

Species

Unspecified reactive species

Zijun Zhao,Yining Wang,Zairan Wang,Fan Zhang,Ze Ding,Tao Fan

Nature communications 15:7712 PubMed39231947

2024

10-hydroxy-2-decenoic acid prevents osteoarthritis by targeting aspartyl β hydroxylase and inhibiting chondrocyte senescence in male mice preclinically.

Applications

Unspecified application

Species

Unspecified reactive species

Nana Geng,Mengtian Fan,Biao Kuang,Fengmei Zhang,Menglin Xian,Lin Deng,Cheng Chen,Yiming Pan,Jianqiang Chen,Naibo Feng,Li Liang,Yuanlan Ye,Kaiwen Liu,Xiaoli Li,Yu Du,Fengjin Guo

JCI insight 6: PubMed33724958

2021

Cardiac retinoic acid levels decline in heart failure.

Applications

Unspecified application

Species

Unspecified reactive species

Ni Yang,Lauren E Parker,Jianshi Yu,Jace W Jones,Ting Liu,Kyriakos N Papanicolaou,C Conover Talbot,Kenneth B Margulies,Brian O'Rourke,Maureen A Kane,D Brian Foster

International journal of clinical and experimental 12:3384-3389 PubMed31934181

2019

miR-135a acts as a tumor suppressor by targeting ASPH in endometrial cancer.

Applications

Unspecified application

Species

Unspecified reactive species

Xiaolin Chen,Ping Jin,Huiru Tang,Lei Zhang
View all publications

Product promise

We are committed to supporting your work with high-quality reagents, and we're here for you every step of the way. In the unlikely event that one of our products does not perform as expected, you're protected by our Product Promise.
For full details, please see our Terms & Conditions

Please note: All products are 'FOR RESEARCH USE ONLY. NOT FOR USE IN DIAGNOSTIC OR THERAPEUTIC PROCEDURES'.

For licensing inquiries, please contact partnerships@abcam.com