JavaScript is disabled in your browser. Please enable JavaScript to view this website.
AB218336

Anti-ASRGL1 antibody [CRASH/1289]

Be the first to review this product! Submit a review

|

(1 Publication)

Mouse Monoclonal ASRGL1 antibody. Suitable for IHC-P and reacts with Human samples. Cited in 1 publication. Immunogen corresponding to Recombinant Full Length Protein corresponding to Human ASRGL1.

View Alternative Names

ALP, CRASH, ASRGL1, Isoaspartyl peptidase/L-asparaginase, Asparaginase-like protein 1, Beta-aspartyl-peptidase, Isoaspartyl dipeptidase, L-asparagine amidohydrolase

3 Images
Immunohistochemistry (Formalin/PFA-fixed paraffin-embedded sections) - Anti-ASRGL1 antibody [CRASH/1289] (AB218336)
  • IHC-P

Supplier Data

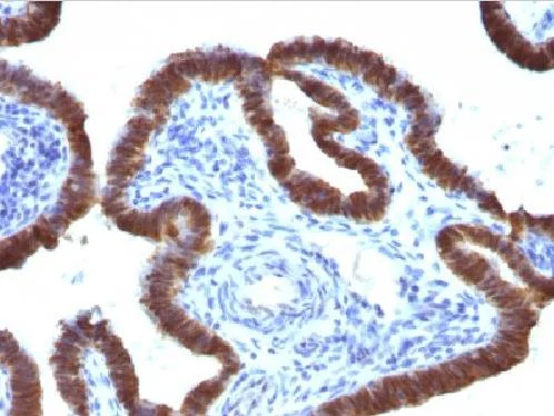
Immunohistochemistry (Formalin/PFA-fixed paraffin-embedded sections) - Anti-ASRGL1 antibody [CRASH/1289] (AB218336)

Immunohistochemical analysis of formalin-fixed and paraffin-embedded Human endometrium tissue labeling ASRGL1 with ab218336 at 1 μg/ml dilution followed by conjugation to the secondary antibody.

Immunohistochemistry (Formalin/PFA-fixed paraffin-embedded sections) - Anti-ASRGL1 antibody [CRASH/1289] (AB218336)
  • IHC-P

Supplier Data

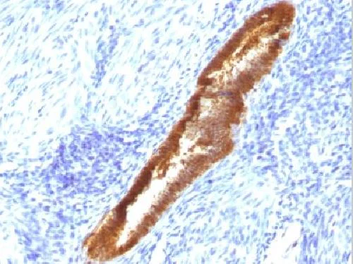
Immunohistochemistry (Formalin/PFA-fixed paraffin-embedded sections) - Anti-ASRGL1 antibody [CRASH/1289] (AB218336)

Immunohistochemical analysis of formalin-fixed and paraffin-embedded Human uterus tissue labeling ASRGL1 with ab218336 at 1 μg/ml dilution followed by conjugation to the secondary antibody.

Immunohistochemistry (Formalin/PFA-fixed paraffin-embedded sections) - Anti-ASRGL1 antibody [CRASH/1289] (AB218336)
  • IHC-P

Supplier Data

Immunohistochemistry (Formalin/PFA-fixed paraffin-embedded sections) - Anti-ASRGL1 antibody [CRASH/1289] (AB218336)

Immunohistochemical analysis of formalin-fixed and paraffin-embedded Human fallopian tube tissue labeling ASRGL1 with ab218336 at 1 μg/ml dilution followed by conjugation to the secondary antibody.

Key facts

Host species

Mouse

Clonality

Monoclonal

Clone number

CRASH/1289

Isotype

IgG1

Carrier free

No

Reacts with

Human

Applications

IHC-P

applications

Immunogen

Recombinant Full Length Protein corresponding to Human ASRGL1.

Q7L266

Reactivity data

{ "title": "Reactivity Data", "filters": { "stats": ["", "Species", "Dilution Info", "Notes"], "tabs": { "all-applications": {"fullname" : "All Applications", "shortname": "All Applications"}, "IHCP" : {"fullname" : "Immunohistochemistry (Formalin/PFA-fixed paraffin-embedded sections)", "shortname":"IHC-P"} }, "product-promise": { "all": "all", "testedAndGuaranteed": "tested", "guaranteed": "expected", "predicted": "predicted", "notRecommended": "not-recommended" } }, "values": { "Human": { "IHCP-species-checked": "testedAndGuaranteed", "IHCP-species-dilution-info": "1-2 µg/mL", "IHCP-species-notes": "<p></p> Perform heat-mediated antigen retrieval with Tris/EDTA buffer pH 9.0 before commencing with IHC staining protocol." } } }

Properties and storage information

Form
Liquid
Purification technique
Affinity purification Protein A/G
Storage buffer
pH: 7.2 - 7.4 Preservative: 0.05% Sodium azide Constituents: PBS, 0.05% BSA
Shipped at conditions
Blue Ice
Appropriate short-term storage duration
1-2 weeks
Appropriate short-term storage conditions
+4°C
Appropriate long-term storage conditions
-20°C
Aliquoting information
Upon delivery aliquot
Storage information
Avoid freeze / thaw cycle

Supplementary information

This supplementary information is collated from multiple sources and compiled automatically.

ASRGL1 also known as asparaginase-like protein 1 plays a role as an asparaginase enzyme. It catalyzes the hydrolysis of L-asparagine to L-aspartate and ammonia. The protein has a molecular mass of approximately 30 kDa. ASRGL1 is mainly expressed in the colon endometrium ovary and various other tissues. This expression varies indicating its involvement in multiple physiological processes across different environments within the organism.
Biological function summary

ASRGL1 contributes to the metabolism of amino acids and is involved in cellular processes that require protein catabolism. The protein is not typically part of a larger complex functioning independently to facilitate chemical reactions important for maintaining amino acid balance. Through its enzymatic activities ASRGL1 supports cellular function and protein turnover highlighting its importance in basic cellular metabolism.

Pathways

The ASRGL1 protein participates in the glutamine and glutamate metabolism pathway. It also plays a role in the urea cycle keeping a balance between nitrogen and amino acid levels. In these pathways ASRGL1 interacts with proteins like glutaminase and carbamoyl phosphate synthetase 1 which have roles in nitrogen metabolism and energy production. These interactions emphasize the protein's integration in fundamental metabolic processes.

Research shows ASRGL1's implication in ovarian cancer and neurological disorders. Abnormal expression or mutations of ASRGL1 can be linked to the progression of ovarian tumors. Moreover altered ASRGL1 activity might relate to some neurodegenerative disorders due to its role in amino acid metabolism. The protein may interact with mutated forms of other enzymes associated with these conditions such as glutamine synthetase in certain cases. Understanding these connections aids in discovering therapeutic targets for treating these diseases.

Product protocols

For this product, it's our understanding that no specific protocols are required. You can visit:

Target data

Has both L-asparaginase and beta-aspartyl peptidase activity. May be involved in the production of L-aspartate, which can act as an excitatory neurotransmitter in some brain regions. Is highly active with L-Asp beta-methyl ester. Besides, has catalytic activity toward beta-aspartyl dipeptides and their methyl esters, including beta-L-Asp-L-Phe, beta-L-Asp-L-Phe methyl ester (aspartame), beta-L-Asp-L-Ala, beta-L-Asp-L-Leu and beta-L-Asp-L-Lys. Does not have aspartylglucosaminidase activity and is inactive toward GlcNAc-L-Asn. Likewise, has no activity toward glutamine.
See full target information ASRGL1

Publications (1)

Recent publications for all applications. Explore the full list and refine your search

iScience 27:110161 PubMed38974974

2024

Cytokine-like-Vago-mediated antiviral response in via IKK-NF-κB signaling pathway.

Applications

Unspecified application

Species

Unspecified reactive species

Zittipong Nanakorn,Taro Kawai,Anchalee Tassanakajon
View all publications

Product promise

We are committed to supporting your work with high-quality reagents, and we're here for you every step of the way. In the unlikely event that one of our products does not perform as expected, you're protected by our Product Promise.
For full details, please see our Terms & Conditions

Please note: All products are 'FOR RESEARCH USE ONLY. NOT FOR USE IN DIAGNOSTIC OR THERAPEUTIC PROCEDURES'.

For licensing inquiries, please contact partnerships@abcam.com