JavaScript is disabled in your browser. Please enable JavaScript to view this website.
AB170952

Anti-ASS1 antibody [EPR12398]

  • RabMAb
  • Recombinant
  • KO Validated
  • 20ul selling size
  • What is this?

5

(1 Review)

|

(14 Publications)

Anti-ASS1 antibody [EPR12398] (ab170952) is a rabbit monoclonal antibody detecting ASS1 in Western Blot, Flow Cytometry (Intra), Flow Cytometry, IP, IHC-P, ICC/IF. Suitable for Human, Mouse, Rat.

- KO validated for confirmed specificity
- Biophysical QC for unrivalled batch-batch consistency

View Alternative Names

ASS, ASS1, Argininosuccinate synthase, Citrulline--aspartate ligase

19 Images
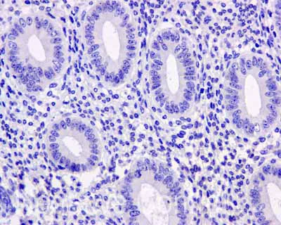
Immunohistochemistry (Formalin/PFA-fixed paraffin-embedded sections) - Anti-ASS1 antibody [EPR12398] (AB170952)
  • IHC-P

Unknown

Immunohistochemistry (Formalin/PFA-fixed paraffin-embedded sections) - Anti-ASS1 antibody [EPR12398] (AB170952)

ab170952 showing -ve staining in Human normal uterus tissue.

Immunocytochemistry/ Immunofluorescence - Anti-ASS1 antibody [EPR12398] (AB170952)
  • ICC/IF

Supplier Data

Immunocytochemistry/ Immunofluorescence - Anti-ASS1 antibody [EPR12398] (AB170952)

Immunofluorescent analysis of HeLa cells labeling ASS1 using ab170952 at 1/50 dilution (red). DAPI nuclear staining (blue).

Immunocytochemistry/ Immunofluorescence - Anti-ASS1 antibody [EPR12398] (AB170952)
  • ICC/IF

Lab

Immunocytochemistry/ Immunofluorescence - Anti-ASS1 antibody [EPR12398] (AB170952)

Immunocytochemistry/ Immunofluorescence analysis of MCF7 (Human breast adenocarcinoma cell line) cells labeling ASS1 with Purified ab170952 at 1 : 100 dilution (10.2μg/ml). Cells were fixed in 4% Paraformaldehyde and permeabilized with 0.1% tritonX-100. Cells were counterstained with ab195889 Anti-alpha Tubulin antibody [DM1A] - Microtubule Marker (Alexa Fluor® 594) 1 : 200 (2.5 μg/ml). ab150077 Goat anti rabbit IgG(Alexa Fluor® 488) was used as the secondary antibody at 1 : 1000 dilution. DAPI nuclear counterstain. PBS instead of the primary antibody was used as the secondary antibody only control.

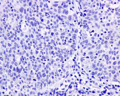
Immunohistochemistry (Formalin/PFA-fixed paraffin-embedded sections) - Anti-ASS1 antibody [EPR12398] (AB170952)
  • IHC-P

Unknown

Immunohistochemistry (Formalin/PFA-fixed paraffin-embedded sections) - Anti-ASS1 antibody [EPR12398] (AB170952)

ab170952 showing -ve staining in Human normal pancreas tissue.

Immunohistochemistry (Formalin/PFA-fixed paraffin-embedded sections) - Anti-ASS1 antibody [EPR12398] (AB170952)
  • IHC-P

Unknown

Immunohistochemistry (Formalin/PFA-fixed paraffin-embedded sections) - Anti-ASS1 antibody [EPR12398] (AB170952)

ab170952 showing -ve staining in Human cervical carcinoma tissue.

Immunohistochemistry (Formalin/PFA-fixed paraffin-embedded sections) - Anti-ASS1 antibody [EPR12398] (AB170952)
  • IHC-P

Supplier Data

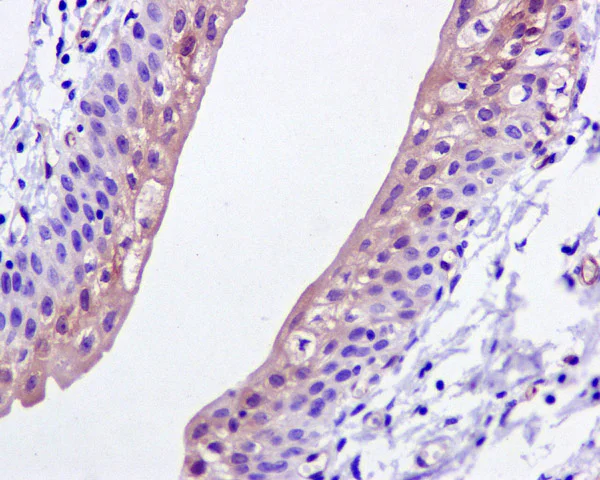
Immunohistochemistry (Formalin/PFA-fixed paraffin-embedded sections) - Anti-ASS1 antibody [EPR12398] (AB170952)

ab170952 showing +ve staining in Human normal ureter tissue.

Immunohistochemistry (Formalin/PFA-fixed paraffin-embedded sections) - Anti-ASS1 antibody [EPR12398] (AB170952)
  • IHC-P

Supplier Data

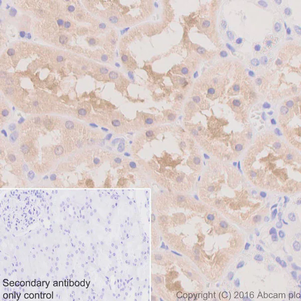
Immunohistochemistry (Formalin/PFA-fixed paraffin-embedded sections) - Anti-ASS1 antibody [EPR12398] (AB170952)

Immunohistochemical analysis of paraffin-embedded Human kidney tissue labeling ASS1 with ab170952 at 1/250 dilution.

Flow Cytometry (Intracellular) - Anti-ASS1 antibody [EPR12398] (AB170952)
  • Flow Cyt (Intra)

Lab

Flow Cytometry (Intracellular) - Anti-ASS1 antibody [EPR12398] (AB170952)

Intracellular Flow Cytometry analysis of HeLa (Human epithelial cell line from cervix adenocarcinoma) cells labeling ASS1 with purified ab170952 at 1/100 dilution (10 ug/ml) (red). Cells were fixed with 4% Paraformaldehyde. A Goat anti rabbit IgG (Alexa Fluor® 488) secondary antibody was used at 1/2000 dilution. Isotype control - Rabbit monoclonal IgG (Black). Unlabeled control - Cell without incubation with primary antibody and secondary antibody (Blue).

Flow Cytometry (Intracellular) - Anti-ASS1 antibody [EPR12398] (AB170952)
  • Flow Cyt (Intra)

Supplier Data

Flow Cytometry (Intracellular) - Anti-ASS1 antibody [EPR12398] (AB170952)

Intracellular flow cytometric analysis of permeabilized Hela cells labeling ASS1 using ab170952 at 1/500 dilution (red) or a rabbit IgG negative (green).

Immunohistochemistry (Formalin/PFA-fixed paraffin-embedded sections) - Anti-ASS1 antibody [EPR12398] (AB170952)
  • IHC-P

Lab

Immunohistochemistry (Formalin/PFA-fixed paraffin-embedded sections) - Anti-ASS1 antibody [EPR12398] (AB170952)

Immunohistochemistry (Formalin/PFA-fixed paraffin-embedded sections) analysis of Human kidney tissue sections labeling ASS1 with Purified ab170952 at 1 : 4000 dilution (0.25 μg/ml). Heat mediated antigen retrieval was performed using citrate Buffer, PH6. Tissue was counterstained with Hematoxylin. ab97051 Goat Anti-Rabbit IgG H&L (HRP) secondary antibody was used at 1 : 500 dilution. PBS instead of the primary antibody was used as the negative control.

Immunocytochemistry/ Immunofluorescence - Anti-ASS1 antibody [EPR12398] (AB170952)
  • ICC/IF

Unknown

Immunocytochemistry/ Immunofluorescence - Anti-ASS1 antibody [EPR12398] (AB170952)

ab170952 staining ASS1 in wild-type HeLa cells (top panel) and ASS1 knockout HeLa cells (ab264989) (bottom panel). The cells were fixed with 100% methanol (5 min) then permeabilized with 0.1% Triton X-100 for 5 minutes and then blocked with 1% BSA/10% normal goat serum/0.3M glycine in 0.1% PBS-Tween for 1h. The cells were then incubated with ab170952 at 1/100 dilution and ab7291 (Mouse monoclonal to alpha Tubulin) at 1/1000 dilution overnight at 4°C followed by a further incubation at room temperature for 1h with a goat secondary antibody to rabbit IgG (Alexa Fluor® 488) (ab150081) at 2 μg/ml (shown in green) and a goat secondary antibody to mouse IgG (Alexa Fluor® 594) (ab150120) at 2 μg/ml (shown in red). Nuclear DNA was labelled in blue with DAPI.
Image was taken with a confocal microscope (Leica-Microsystems TCS SP8).

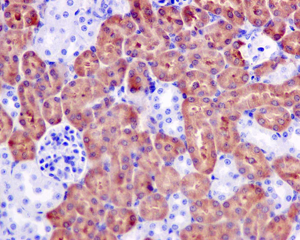
Immunohistochemistry (Formalin/PFA-fixed paraffin-embedded sections) - Anti-ASS1 antibody [EPR12398] (AB170952)
  • IHC-P

Supplier Data

Immunohistochemistry (Formalin/PFA-fixed paraffin-embedded sections) - Anti-ASS1 antibody [EPR12398] (AB170952)

ab170952 showing +ve staining in Mouse kidney tissue.

Immunohistochemistry (Formalin/PFA-fixed paraffin-embedded sections) - Anti-ASS1 antibody [EPR12398] (AB170952)
  • IHC-P

Lab

Immunohistochemistry (Formalin/PFA-fixed paraffin-embedded sections) - Anti-ASS1 antibody [EPR12398] (AB170952)

Immunohistochemistry (Formalin/PFA-fixed paraffin-embedded sections) analysis of Mouse kidney tissue sections labeling ASS1 with Purified ab170952 at 1 : 4000 dilution (0.25 μg/ml). Heat mediated antigen retrieval was performed using citrate Buffer, PH6. Tissue was counterstained with Hematoxylin. ab97051 Goat Anti-Rabbit IgG H&L (HRP)
secondary antibody was used at 1 : 500 dilution. PBS instead of the primary antibody was used as the negative control.

Western blot - Anti-ASS1 antibody [EPR12398] (AB170952)
  • WB

Supplier Data

Western blot - Anti-ASS1 antibody [EPR12398] (AB170952)

All lanes:

Western blot - Anti-ASS1 antibody [EPR12398] (ab170952) at 1/1000 dilution

Lane 1:

HeLa cell lysate at 10 µg

Lane 2:

Fetal liver tissue lysate at 10 µg

Lane 3:

Fetal kidney tissue lysate at 10 µg

Secondary

All lanes:

Goat anti-rabbit HRP at 1/2000 dilution

Predicted band size: 47 kDa

false

Western blot - Anti-ASS1 antibody [EPR12398] (AB170952)
  • WB

Lab

Western blot - Anti-ASS1 antibody [EPR12398] (AB170952)

Lanes 1- 2 : Merged signal (red and green). Green - ab170952 observed at 47 kDa. Red - Anti-GAPDH antibody [6C5] - Loading Control (ab8245) observed at 37 kDa.

ab170952 was shown to react with ASS1 in wild-type HeLa cells in western blot. Loss of signal was observed when knockout cell line ab264989 (knockout cell lysate ab257143) was used. Wild-type HeLa and ASS1 knockout HeLa cell lysates were subjected to SDS-PAGE. Membrane was blocked for 1 hour at room temperature in 0.1% TBST with 3% non-fat dried milk. ab170952 and Anti-GAPDH antibody [6C5] - Loading Control (ab8245) overnight at 4°C at a 1 in 1000 dilution and a 1 in 20000 dilution respectively. Blots were developed with Goat anti-Rabbit IgG H&L (IRDye®800CW) preadsorbed (ab216773) and Goat anti-Mouse IgG H&L (IRDye®680RD) preadsorbed (ab216776) secondary antibodies at 1 in 20000 dilution for 1 hour at room temperature before imaging.

All lanes:

Western blot - Anti-ASS1 antibody [EPR12398] (ab170952) at 1/1000 dilution

Lane 1:

Wild-type HeLa cell lysate at 20 µg

Lane 2:

ASS1 knockout HeLa cell lysate at 20 µg

Predicted band size: 47 kDa

Observed band size: 47 kDa

false

Immunoprecipitation - Anti-ASS1 antibody [EPR12398] (AB170952)
  • IP

Supplier Data

Immunoprecipitation - Anti-ASS1 antibody [EPR12398] (AB170952)

Secondary antibody used is HRP-conjugated anti-rabbit IgG preferentially detecting the non-reduced form of rabbit IgG.

All lanes:

Immunoprecipitation - Anti-ASS1 antibody [EPR12398] (ab170952) at 1/10 dilution

Lane 1:

Human fetal liver tissue lysate at 10 µg

Lane 2:

PBS

Predicted band size: 47 kDa

false

Immunoprecipitation - Anti-ASS1 antibody [EPR12398] (AB170952)
  • IP

Lab

Immunoprecipitation - Anti-ASS1 antibody [EPR12398] (AB170952)

ab170952 (purified) at 1 : 60 dilution (5ug) immunoprecipitating ASS1 in HeLa (Human cervix adenocarcinoma epithelial cell) whole cell lysate.
Lane 1 (input) : HeLa (Human cervix adenocarcinoma epithelial cell) whole cell lysate 10ug
Lane 2 (+) : ab170952 & HeLa (Human cervix adenocarcinoma epithelial cell) whole cell lysate
Lane 3 (-) : Rabbit monoclonal IgG (ab172730) instead of ab170952 in HeLa (Human cervix adenocarcinoma epithelial cell) whole cell lysate
For western blotting, VeriBlot for IP Detection Reagent (HRP) (ab131366) was used for detection at 1 : 1000 dilution.
Blocking and diluting buffer : 5% NFDM/TBST.

All lanes:

Immunoprecipitation - Anti-ASS1 antibody [EPR12398] (ab170952)

Predicted band size: 47 kDa

false

Western blot - Anti-ASS1 antibody [EPR12398] (AB170952)
  • WB

Unknown

Western blot - Anti-ASS1 antibody [EPR12398] (AB170952)

Blocking and diluting buffer : 5% NFDM/TBST

All lanes:

Western blot - Anti-ASS1 antibody [EPR12398] (ab170952) at 0.05 µg/mL

Lane 1:

HeLa (Human cervix adenocarcinoma epithelial cell) whole cell lysate at 20 µg

Lane 2:

Human fetal liver lysate at 20 µg

Lane 3:

Mouse liver lysate at 20 µg

Lane 4:

Rat liver lysate at 20 µg

Lane 5:

Mouse kidney lysate at 20 µg

Secondary

All lanes:

Western blot - Goat Anti-Rabbit IgG H&L (HRP) (<a href='/en-us/products/secondary-antibodies/goat-rabbit-igg-h-l-hrp-ab97051'>ab97051</a>) at 1/20000 dilution

Predicted band size: 47 kDa

Observed band size: 47 kDa

false

Western blot - Anti-ASS1 antibody [EPR12398] (AB170952)
  • WB

Lab

Western blot - Anti-ASS1 antibody [EPR12398] (AB170952)

Lanes 1 - 4 : Merged signal (red and green). Green - ab170952 observed at 47 kDa. Red - loading control, ab9484, observed at 37 kDa.

ab170952 was shown to recognize ASS1 in wild-type HAP1 cells as signal was lost at the expected MW in ASS1 knockout cells. Additional cross-reactive bands were observed in the wild-type and knockout cells. Wild-type and ASS1 knockout samples were subjected to SDS-PAGE. ab170952 and ab9484 (Mouse anti-GAPDH loading control) were incubated overnight at 4°C at 1/20000 dilution and 1/10000 dilution respectively. Blots were developed with Goat anti-Rabbit IgG H&L (IRDye® 800CW) preabsorbed ab216773 and Goat anti-Mouse IgG H&L (IRDye® 680RD) preabsorbed ab216776 secondary antibodies at 1/10000 dilution for 1 hour at room temperature before imaging.

All lanes:

Western blot - Anti-ASS1 antibody [EPR12398] (ab170952) at 1/20000 dilution

Lane 1:

Wild-type HAP1 whole cell lysate at 20 µg

Lane 2:

ASS1 knockout HAP1 whole cell lysate at 20 µg

Lane 3:

HepG2 whole cell lysate at 20 µg

Lane 4:

HeLa whole cell lysate at 20 µg

Predicted band size: 47 kDa

Observed band size: 47 kDa

false

  • 519 Alexa Fluor® 488

    Alexa Fluor® 488 Anti-ASS1 antibody [EPR12398]

  • 578 PE

    PE Anti-ASS1 antibody [EPR12398]

  • 565 Alexa Fluor® 555

    Alexa Fluor® 555 Anti-ASS1 antibody [EPR12398]

  • 617 Alexa Fluor® 594

    Alexa Fluor® 594 Anti-ASS1 antibody [EPR12398]

  • 660 APC

    APC Anti-ASS1 antibody [EPR12398]

  • 665 Alexa Fluor® 647

    Alexa Fluor® 647 Anti-ASS1 antibody [EPR12398]

  • HRP

    HRP Anti-ASS1 antibody [EPR12398]

  • Carrier free

    Anti-ASS1 antibody [EPR12398] - BSA and Azide free

Key facts

Host species

Rabbit

Clonality

Monoclonal

Clone number

EPR12398

Isotype

IgG

Carrier free

No

Reacts with

Mouse, Rat, Human

Applications

Flow Cyt (Intra), WB, ICC/IF, IHC-P, IP

applications

Immunogen

The exact immunogen used to generate this antibody is proprietary information.

Reactivity data

{ "title": "Reactivity Data", "filters": { "stats": ["", "Species", "Dilution Info", "Notes"], "tabs": { "all-applications": {"fullname" : "All Applications", "shortname": "All Applications"}, "IHCP" : {"fullname" : "Immunohistochemistry (Formalin/PFA-fixed paraffin-embedded sections)", "shortname":"IHC-P"}, "IP" : {"fullname" : "Immunoprecipitation", "shortname":"IP"}, "WB" : {"fullname" : "Western blot", "shortname":"WB"}, "ICCIF" : {"fullname" : "Immunocytochemistry/ Immunofluorescence", "shortname":"ICC/IF"}, "FlowCytIntra" : {"fullname" : "Flow Cytometry (Intracellular)", "shortname":"Flow Cyt (Intra)"} }, "product-promise": { "all": "all", "testedAndGuaranteed": "tested", "guaranteed": "expected", "predicted": "predicted", "notRecommended": "not-recommended" } }, "values": { "Human": { "IHCP-species-checked": "testedAndGuaranteed", "IHCP-species-dilution-info": "1/4000", "IHCP-species-notes": "<p><strong>For unpurified use at 1/250 - 1/500. </strong></p> Perform heat-mediated antigen retrieval with citrate buffer pH 6 before commencing with IHC staining protocol.", "IP-species-checked": "testedAndGuaranteed", "IP-species-dilution-info": "1/10 - 1/100", "IP-species-notes": "<p></p>", "WB-species-checked": "testedAndGuaranteed", "WB-species-dilution-info": "1/20000", "WB-species-notes": "<p><strong>For unpurified use at 1/1000 - 1/10000. </strong></p>", "ICCIF-species-checked": "testedAndGuaranteed", "ICCIF-species-dilution-info": "1/50 - 1/100", "ICCIF-species-notes": "<p></p>", "FlowCytIntra-species-checked": "testedAndGuaranteed", "FlowCytIntra-species-dilution-info": "1/100", "FlowCytIntra-species-notes": "<p>For unpurified use at 1/500 - 1/1000. <a href='/en-us/products/primary-antibodies/rabbit-igg-monoclonal-epr25a-isotype-control-ab172730'>ab172730</a> - Rabbit monoclonal IgG, is suitable for use as an isotype control with this antibody.</p>" }, "Mouse": { "IHCP-species-checked": "testedAndGuaranteed", "IHCP-species-dilution-info": "1/4000", "IHCP-species-notes": "<p><strong>For unpurified use at 1/250 - 1/500. </strong></p> Perform heat-mediated antigen retrieval with citrate buffer pH 6 before commencing with IHC staining protocol.", "IP-species-checked": "guaranteed", "IP-species-dilution-info": "", "IP-species-notes": "", "WB-species-checked": "testedAndGuaranteed", "WB-species-dilution-info": "1/20000", "WB-species-notes": "<p><strong>For unpurified use at 1/1000 - 1/10000. </strong></p>", "ICCIF-species-checked": "guaranteed", "ICCIF-species-dilution-info": "", "ICCIF-species-notes": "", "FlowCytIntra-species-checked": "guaranteed", "FlowCytIntra-species-dilution-info": "", "FlowCytIntra-species-notes": "" }, "Rat": { "IHCP-species-checked": "guaranteed", "IHCP-species-dilution-info": "", "IHCP-species-notes": "", "IP-species-checked": "guaranteed", "IP-species-dilution-info": "", "IP-species-notes": "", "WB-species-checked": "testedAndGuaranteed", "WB-species-dilution-info": "1/20000", "WB-species-notes": "<p><strong>For unpurified use at 1/1000 - 1/10000. </strong></p>", "ICCIF-species-checked": "guaranteed", "ICCIF-species-dilution-info": "", "ICCIF-species-notes": "", "FlowCytIntra-species-checked": "guaranteed", "FlowCytIntra-species-dilution-info": "", "FlowCytIntra-species-notes": "" }, "Cow": { "IHCP-species-checked": "predicted", "IHCP-species-dilution-info": "", "IHCP-species-notes": "", "IP-species-checked": "predicted", "IP-species-dilution-info": "", "IP-species-notes": "", "WB-species-checked": "predicted", "WB-species-dilution-info": "", "WB-species-notes": "", "ICCIF-species-checked": "predicted", "ICCIF-species-dilution-info": "", "ICCIF-species-notes": "", "FlowCytIntra-species-checked": "predicted", "FlowCytIntra-species-dilution-info": "", "FlowCytIntra-species-notes": "" } } }

Product details

What is this antibody validated in?
Anti-ASS1 antibody [EPR12398] (ab170952) is a rabbit recombinant monoclonal antibody and is validated for use in Western Blot (WB), Flow Cytometry (Intra), Flow Cytometry (Flow Cyt), Immunoprecipitation (IP), Immunohistochemistry (IHC-P), Immunocytochemistry/immunofluorescence (ICC/IF) in Human, Mouse, Rat samples.

What is the molecular weight of ASS1?
Anti-ASS1 [EPR12398] (ab170952) specifically detects a band for ASS1 (UniProt: P00966) at a molecular weight of 47kDa.

Trusted by the scientific community
Anti-ASS1 [EPR12398] (ab170952) was first used in a scientific publication in 2013 and has been cited over 10 times in peer-reviewed journals.

Trial sizes available!
Test your antibody or perform pre-screening before committing to a larger quantity. Sold in 10µl. Discover our selection of trial-size antibodies.

Specificity confirmed
The specificity of Anti-ASS1 antibody [EPR12398] (ab170952) has been confirmed by Western blot testing in ASS1 Knockout HAP1 cell line, ab264989.

Other related products
We have a range of other formats of antibody clone [EPR12398] also available for your convenience: ab170952, Alexa Fluor® 488 - ab208412, HRP - ab209018, PE - ab210451, Carrier free - ab231684, APC - ab310832, Alexa Fluor® 647 - ab311083, Alexa Fluor® 594 - ab311677, Alexa Fluor® 555 - ab313161

Patented technology
Our RabMAb® technology is a patented hybridoma-based technology for making rabbit monoclonal antibodies. For details on our patents, please refer to RabMAb® patents.

What are the advantages of a recombinant monoclonal antibody?
This product is a recombinant monoclonal antibody, which offers several advantages including:

  • - High batch-to-batch consistency and reproducibility
  • - Improved sensitivity and specificity
  • - Long-term security of supply
  • - Animal-free batch production

For more information, read more on recombinant antibodies.

Properties and storage information

Form
Liquid
Purification technique
Affinity purification Protein A
Storage buffer
Preservative: 0.01% Sodium azide Constituents: PBS, 40% Glycerol (glycerin, glycerine), 0.05% BSA
Shipped at conditions
Blue Ice
Appropriate short-term storage duration
1-2 weeks
Appropriate short-term storage conditions
+4°C
Appropriate long-term storage conditions
-20°C
Aliquoting information
Upon delivery aliquot
Storage information
Avoid freeze / thaw cycle

Supplementary information

This supplementary information is collated from multiple sources and compiled automatically.

ASS1 or argininosuccinate synthase 1 is an enzyme that plays an important role in the urea cycle. It catalyzes the conversion of citrulline and aspartate into argininosuccinate using ATP in the process. The ASS1 protein is commonly expressed in the liver where it actively participates in the detoxification of ammonia. It has a molecular mass of approximately 46 kDa. Some alternate names for this protein include ASS and ASS-1.
Biological function summary

Argininosuccinate synthase 1 contributes significantly to the synthesis of arginine an essential amino acid through its conversion activities. The enzyme operates as a homotrimer a complex consisting of three identical subunits. This enzymatic activity is indispensable in maintaining the balance of nitrogen and ammonia within the body particularly important for liver and kidney functions.

Pathways

ASS1 is a critical component of both the urea cycle and the nitric oxide metabolism pathway. The urea cycle helps in detoxifying ammonia by converting it into urea which is excreted in urine. In nitric oxide metabolism ASS1 links with nitric oxide synthase to facilitate the use of arginine in producing nitric oxide a vital signaling molecule. The pathway engagement partners include proteins like citrin which supplies aspartate for the reaction.

ASS1 has implications in citrullinemia and hepatocellular carcinoma. Citrullinemia results from mutations in the ASS1 gene leading to defective urea cycle function and ammonia accumulation. In cancer particularly hepatocellular carcinoma low expression of ASS1 correlates with poor prognosis as cancer cells often exhibit arginine auxotrophy. Connections through these conditions involve interactions with enzymes such as arginase which also influences arginine availability.

Product protocols

For this product, it's our understanding that no specific protocols are required. You can visit:

Target data

One of the enzymes of the urea cycle, the metabolic pathway transforming neurotoxic amonia produced by protein catabolism into inocuous urea in the liver of ureotelic animals. Catalyzes the formation of arginosuccinate from aspartate, citrulline and ATP and together with ASL it is responsible for the biosynthesis of arginine in most body tissues.
See full target information ASS1

Publications (14)

Recent publications for all applications. Explore the full list and refine your search

Scientific reports 15:28994 PubMed40774999

2025

The therapeutic potential of pegylated arginase I treatment in glioblastoma.

Applications

Unspecified application

Species

Unspecified reactive species

Marcus Kwong Lam Fung,Shing Chan,Stella Sun,Ping De Zhang,Gilberto Ka Kit Leung,Godfrey Chi Fung Chan

Nature communications 15:2842 PubMed38565558

2024

A commensal protozoan attenuates Clostridioides difficile pathogenesis in mice via arginine-ornithine metabolism and host intestinal immune response.

Applications

Unspecified application

Species

Unspecified reactive species

Huan Yang,Xiaoxiao Wu,Xiao Li,Wanqing Zang,Zhou Zhou,Yuan Zhou,Wenwen Cui,Yanbo Kou,Liang Wang,Ankang Hu,Lianlian Wu,Zhinan Yin,Quangang Chen,Ying Chen,Zhutao Huang,Yugang Wang,Bing Gu

Frontiers in oncology 13:1049147 PubMed38053661

2023

A pan-cancer analysis of the role of argininosuccinate synthase 1 in human tumors.

Applications

Unspecified application

Species

Unspecified reactive species

Qiang Ding,Ruiqi Li,Qingming Wang,Li Yu,Fuming Zi

Cancer medicine 12:16444-16454 PubMed37366304

2023

Arginine metabolism key enzymes affect the prognosis of myelodysplastic syndrome by interfering with macrophage polarization.

Applications

Unspecified application

Species

Unspecified reactive species

Yang Ou,Yan Yang,Xuefeng Li,Xin Zhang,Lei Zhao,Chenlu Yang,Yu Wu

Nature metabolism 5:626-641 PubMed37081161

2023

Amino acids downregulate SIRT4 to detoxify ammonia through the urea cycle.

Applications

Unspecified application

Species

Unspecified reactive species

Song-Hua Hu,Yu-Yang Feng,Yuan-Xin Yang,Hui-Da Ma,Shu-Xian Zhou,Ya-Nan Qiao,Kai-Hui Zhang,Lei Zhang,Lin Huang,Yi-Yuan Yuan,Yan Lin,Xin-Yan Zhang,Yao Li,Hai-Tao Li,Jian-Yuan Zhao,Wei Xu,Shi-Min Zhao

Nature protocols 17:378-401 PubMed35022622

2022

IBEX: an iterative immunolabeling and chemical bleaching method for high-content imaging of diverse tissues.

Applications

mIHC

Species

Human

Andrea J Radtke,Colin J Chu,Ziv Yaniv,Li Yao,James Marr,Rebecca T Beuschel,Hiroshi Ichise,Anita Gola,Juraj Kabat,Bradley Lowekamp,Emily Speranza,Joshua Croteau,Nishant Thakur,Danny Jonigk,Jeremy L Davis,Jonathan M Hernandez,Ronald N Germain

Bioengineered 13:1858-1871 PubMed35012429

2022

N(6)-adenosine-methyltransferase-14 promotes glioma tumorigenesis by repressing argininosuccinate synthase 1 expression in an m6A-dependent manner.

Applications

Unspecified application

Species

Unspecified reactive species

You-Qing Miao,Wei Chen,Jianfeng Zhou,Qiyang Shen,Ying Sun,Tao Li,Sheng-Chan Wang

Cell reports 35:109101 PubMed33979616

2021

Chromatin accessibility governs the differential response of cancer and T cells to arginine starvation.

Applications

Unspecified application

Species

Unspecified reactive species

Nicholas T Crump,Andreas V Hadjinicolaou,Meng Xia,John Walsby-Tickle,Uzi Gileadi,Ji-Li Chen,Mashiko Setshedi,Lars R Olsen,I-Jun Lau,Laura Godfrey,Lynn Quek,Zhanru Yu,Erica Ballabio,Mike B Barnkob,Giorgio Napolitani,Mariolina Salio,Hashem Koohy,Benedikt M Kessler,Stephen Taylor,Paresh Vyas,James S O McCullagh,Thomas A Milne,Vincenzo Cerundolo

OncoTargets and therapy 14:1007-1020 PubMed33603407

2021

Tandem Mass Tag-Based Proteomic Analysis of Potential Biomarkers for Hepatocellular Carcinoma Differentiation.

Applications

Unspecified application

Species

Unspecified reactive species

Wei Wang,Qiang Li,Ge Huang,Bing-Yao Lin,Dongzi Lin,Yan Ma,Zhao Zhang,Tao Chen,Jie Zhou

Biomedical chromatography : BMC 35:e5020 PubMed33159321

2021

The related mechanism of complete Freund's adjuvant-induced chronic inflammation pain based on metabolomics analysis.

Applications

Unspecified application

Species

Unspecified reactive species

Weibo Zhang,Jie Lyu,Juxiang Xu,Piao Zhang,Shuxia Zhang,Yeru Chen,Yongjie Wang,Gang Chen
View all publications

Product promise

We are committed to supporting your work with high-quality reagents, and we're here for you every step of the way. In the unlikely event that one of our products does not perform as expected, you're protected by our Product Promise.
For full details, please see our Terms & Conditions

Please note: All products are 'FOR RESEARCH USE ONLY. NOT FOR USE IN DIAGNOSTIC OR THERAPEUTIC PROCEDURES'.

For licensing inquiries, please contact partnerships@abcam.com