JavaScript is disabled in your browser. Please enable JavaScript to view this website.
AB231684

Anti-ASS1 antibody [EPR12398] - BSA and Azide free

5

(1 Review)

|

(2 Publications)

Rabbit Recombinant Monoclonal ASS1 antibody. Carrier free. Suitable for IHC-P, IP, WB, ICC/IF, Flow Cyt (Intra) and reacts with Mouse, Human, Rat samples. Cited in 2 publications.

View Alternative Names

ASS, ASS1, Argininosuccinate synthase, Citrulline--aspartate ligase

17 Images
Immunocytochemistry/ Immunofluorescence - Anti-ASS1 antibody [EPR12398] - BSA and Azide free (AB231684)
  • ICC/IF

Unknown

Immunocytochemistry/ Immunofluorescence - Anti-ASS1 antibody [EPR12398] - BSA and Azide free (AB231684)

This data was developed using the same antibody clone in a different buffer formulation (ab170952). ab170952 staining ASS1 in wild-type HeLa cells (top panel) and ASS1 knockout HeLa cells (ab264989) (bottom panel). The cells were fixed with 100% methanol (5 min) then permeabilized with 0.1% Triton X-100 for 5 minutes and then blocked with 1% BSA/10% normal goat serum/0.3M glycine in 0.1% PBS-Tween for 1h. The cells were then incubated with ab170952 at 1/100 dilution and ab7291 (Mouse monoclonal to alpha Tubulin) at 1/1000 dilution overnight at 4°C followed by a further incubation at room temperature for 1h with a goat secondary antibody to rabbit IgG (Alexa Fluor® 488) (ab150081) at 2 μg/ml (shown in green) and a goat secondary antibody to mouse IgG (Alexa Fluor® 594) (ab150120) at 2 μg/ml (shown in red). Nuclear DNA was labelled in blue with DAPI.
Image was taken with a confocal microscope (Leica-Microsystems TCS SP8).

Flow Cytometry (Intracellular) - Anti-ASS1 antibody [EPR12398] - BSA and Azide free (AB231684)
  • Flow Cyt (Intra)

Supplier Data

Flow Cytometry (Intracellular) - Anti-ASS1 antibody [EPR12398] - BSA and Azide free (AB231684)

Intracellular flow cytometric analysis of permeabilized Hela cells labeling ASS1 using ab170952 at 1/500 dilution (red) or a rabbit IgG negative (green).

This data was developed using the same antibody clone in a different buffer formulation containing PBS, BSA, glycerol, and sodium azide (ab170952).

Immunohistochemistry (Formalin/PFA-fixed paraffin-embedded sections) - Anti-ASS1 antibody [EPR12398] - BSA and Azide free (AB231684)
  • IHC-P

Lab

Immunohistochemistry (Formalin/PFA-fixed paraffin-embedded sections) - Anti-ASS1 antibody [EPR12398] - BSA and Azide free (AB231684)

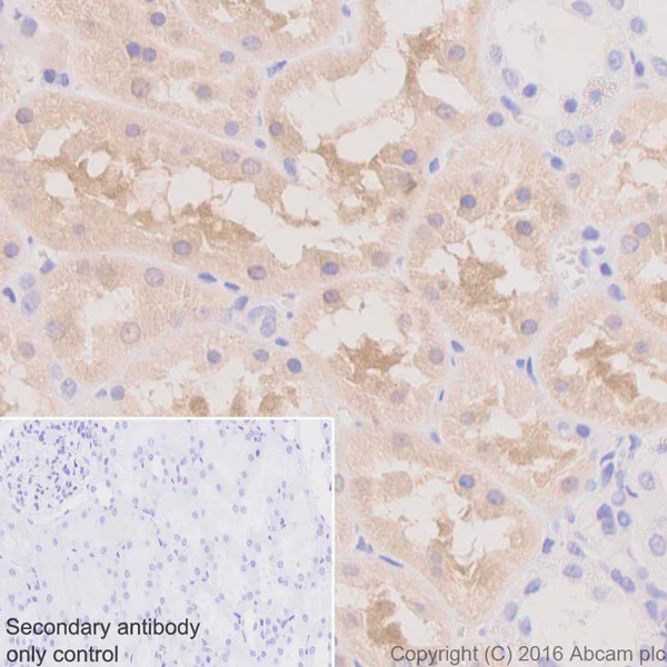
Immunohistochemistry (Formalin/PFA-fixed paraffin-embedded sections) analysis of Human kidney tissue sections labeling ASS1 with Purified ab170952 at 1 : 4000 dilution (0.25 μg/ml). Heat mediated antigen retrieval was performed using citrate buffer, pH6. Tissue was counterstained with Hematoxylin. ab97051 Goat Anti-Rabbit IgG H&L (HRP) secondary antibody was used at 1 : 500 dilution. PBS instead of the primary antibody was used as the negative control.

This data was developed using the same antibody clone in a different buffer formulation containing PBS, BSA, glycerol, and sodium azide (ab170952).

Immunocytochemistry/ Immunofluorescence - Anti-ASS1 antibody [EPR12398] - BSA and Azide free (AB231684)
  • ICC/IF

Lab

Immunocytochemistry/ Immunofluorescence - Anti-ASS1 antibody [EPR12398] - BSA and Azide free (AB231684)

Immunocytochemistry/ Immunofluorescence analysis of MCF7 (Human breast adenocarcinoma cell line) cells labeling ASS1 with Purified ab170952 at 1 : 100 dilution (10.2μg/ml). Cells were fixed in 4% Paraformaldehyde and permeabilized with 0.1% tritonX-100. Cells were counterstained with ab195889 Anti-alpha Tubulin antibody [DM1A] - Microtubule Marker (Alexa Fluor® 594) 1 : 200 (2.5 μg/ml). ab150077 Goat anti rabbit IgG(Alexa Fluor® 488) was used as the secondary antibody at 1 : 1000 dilution. DAPI nuclear counterstain. PBS instead of the primary antibody was used as the secondary antibody only control.

This data was developed using the same antibody clone in a different buffer formulation containing PBS, BSA, glycerol, and sodium azide (ab170952).

Immunohistochemistry (Formalin/PFA-fixed paraffin-embedded sections) - Anti-ASS1 antibody [EPR12398] - BSA and Azide free (AB231684)
  • IHC-P

Unknown

Immunohistochemistry (Formalin/PFA-fixed paraffin-embedded sections) - Anti-ASS1 antibody [EPR12398] - BSA and Azide free (AB231684)

ab170952 showing -ve staining in Human normal pancreas tissue.This data was developed using the same antibody clone in a different buffer formulation containing PBS, BSA, glycerol, and sodium azide (ab170952).

Immunohistochemistry (Formalin/PFA-fixed paraffin-embedded sections) - Anti-ASS1 antibody [EPR12398] - BSA and Azide free (AB231684)
  • IHC-P

Unknown

Immunohistochemistry (Formalin/PFA-fixed paraffin-embedded sections) - Anti-ASS1 antibody [EPR12398] - BSA and Azide free (AB231684)

ab170952 showing -ve staining in Human cervical carcinoma tissue.This data was developed using the same antibody clone in a different buffer formulation containing PBS, BSA, glycerol, and sodium azide (ab170952).

Immunohistochemistry (Formalin/PFA-fixed paraffin-embedded sections) - Anti-ASS1 antibody [EPR12398] - BSA and Azide free (AB231684)
  • IHC-P

Supplier Data

Immunohistochemistry (Formalin/PFA-fixed paraffin-embedded sections) - Anti-ASS1 antibody [EPR12398] - BSA and Azide free (AB231684)

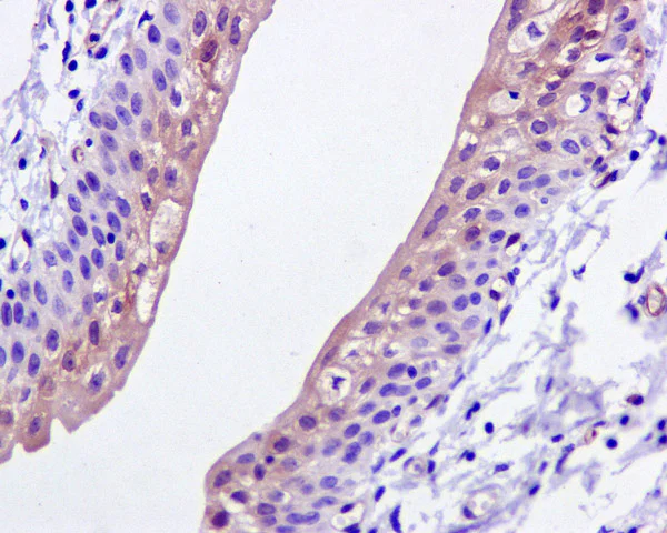
ab170952 showing +ve staining in Human normal ureter tissue.

This data was developed using the same antibody clone in a different buffer formulation containing PBS, BSA, glycerol, and sodium azide (ab170952).

Immunocytochemistry/ Immunofluorescence - Anti-ASS1 antibody [EPR12398] - BSA and Azide free (AB231684)
  • ICC/IF

Supplier Data

Immunocytochemistry/ Immunofluorescence - Anti-ASS1 antibody [EPR12398] - BSA and Azide free (AB231684)

Immunofluorescent analysis of HeLa cells labeling ASS1 using ab170952 at 1/50 dilution (red). DAPI nuclear staining (blue).

This data was developed using the same antibody clone in a different buffer formulation containing PBS, BSA, glycerol, and sodium azide (ab170952).

Immunohistochemistry (Formalin/PFA-fixed paraffin-embedded sections) - Anti-ASS1 antibody [EPR12398] - BSA and Azide free (AB231684)
  • IHC-P

Unknown

Immunohistochemistry (Formalin/PFA-fixed paraffin-embedded sections) - Anti-ASS1 antibody [EPR12398] - BSA and Azide free (AB231684)

ab170952 showing -ve staining in Human normal uterus tissue.This data was developed using the same antibody clone in a different buffer formulation containing PBS, BSA, glycerol, and sodium azide (ab170952).

Flow Cytometry (Intracellular) - Anti-ASS1 antibody [EPR12398] - BSA and Azide free (AB231684)
  • Flow Cyt (Intra)

Lab

Flow Cytometry (Intracellular) - Anti-ASS1 antibody [EPR12398] - BSA and Azide free (AB231684)

Intracellular Flow Cytometry analysis of HeLa (Human epithelial cell line from cervix adenocarcinoma) cells labeling ASS1 with purified ab170952 at 1/100 dilution (10 ug/ml) (red). Cells were fixed with 4% Paraformaldehyde. A Goat anti rabbit IgG (Alexa Fluor® 488) secondary antibody was used at 1/2000 dilution. Isotype control - Rabbit monoclonal IgG (Black). Unlabeled control - Cell without incubation with primary antibody and secondary antibody (Blue).

This data was developed using the same antibody clone in a different buffer formulation containing PBS, BSA, glycerol, and sodium azide (ab170952).

Immunohistochemistry (Formalin/PFA-fixed paraffin-embedded sections) - Anti-ASS1 antibody [EPR12398] - BSA and Azide free (AB231684)
  • IHC-P

Supplier Data

Immunohistochemistry (Formalin/PFA-fixed paraffin-embedded sections) - Anti-ASS1 antibody [EPR12398] - BSA and Azide free (AB231684)

ab170952 showing +ve staining in Mouse kidney tissue.

This data was developed using the same antibody clone in a different buffer formulation containing PBS, BSA, glycerol, and sodium azide (ab170952).

Western blot - Anti-ASS1 antibody [EPR12398] - BSA and Azide free (AB231684)
  • WB

Lab

Western blot - Anti-ASS1 antibody [EPR12398] - BSA and Azide free (AB231684)

This data was developed using the same antibody clone in a different buffer formulation (ab170952).

Lanes 1- 2 : Merged signal (red and green). Green - ab170952 observed at 47 kDa. Red - Anti-GAPDH antibody [6C5] - Loading Control (ab8245) observed at 37 kDa.

ab170952 was shown to react with ASS1 in wild-type HeLa cells in western blot. Loss of signal was observed when knockout cell line ab264989 (knockout cell lysate ab257143) was used. Wild-type HeLa and ASS1 knockout HeLa cell lysates were subjected to SDS-PAGE. Membrane was blocked for 1 hour at room temperature in 0.1% TBST with 3% non-fat dried milk. ab170952 and Anti-GAPDH antibody [6C5] - Loading Control (ab8245) overnight at 4°C at a 1 in 1000 dilution and a 1 in 20000 dilution respectively. Blots were developed with Goat anti-Rabbit IgG H&L (IRDye®800CW) preadsorbed (ab216773) and Goat anti-Mouse IgG H&L (IRDye®680RD) preadsorbed (ab216776) secondary antibodies at 1 in 20000 dilution for 1 hour at room temperature before imaging.

All lanes:

Western blot - Anti-ASS1 antibody [EPR12398] (<a href='/en-us/products/primary-antibodies/ass1-antibody-epr12398-ab170952'>ab170952</a>) at 1/1000 dilution

Lane 1:

Wild-type HeLa cell lysate at 20 µg

Lane 2:

ASS1 knockout HeLa cell lysate at 20 µg

Predicted band size: 47 kDa

Observed band size: 47 kDa

false

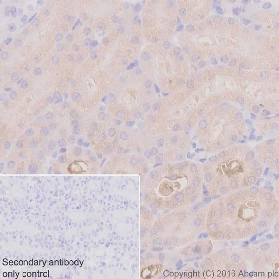
Immunohistochemistry (Formalin/PFA-fixed paraffin-embedded sections) - Anti-ASS1 antibody [EPR12398] - BSA and Azide free (AB231684)
  • IHC-P

Supplier Data

Immunohistochemistry (Formalin/PFA-fixed paraffin-embedded sections) - Anti-ASS1 antibody [EPR12398] - BSA and Azide free (AB231684)

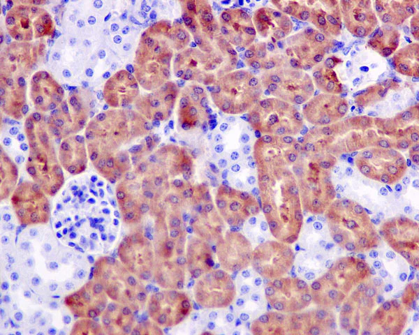
Immunohistochemical (Formalin/PFA-fixed paraffin-embedded sections) analysis of Mouse kidney tissue sections labeling ASS1 with Purified ab170952 at 1 : 4000 dilution (0.25 μg/ml). Heat mediated antigen retrieval was performed using citrate buffer, pH6. Tissue was counterstained with Hematoxylin. ab97051 Goat Anti-Rabbit IgG H&L (HRP)
secondary antibody was used at 1 : 500 dilution. PBS instead of the primary antibody was used as the negative control.

This data was developed using the same antibody clone in a different buffer formulation containing PBS, BSA, glycerol, and sodium azide (ab170952).

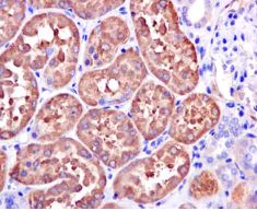
Immunohistochemistry (Formalin/PFA-fixed paraffin-embedded sections) - Anti-ASS1 antibody [EPR12398] - BSA and Azide free (AB231684)
  • IHC-P

Unknown

Immunohistochemistry (Formalin/PFA-fixed paraffin-embedded sections) - Anti-ASS1 antibody [EPR12398] - BSA and Azide free (AB231684)

Immunohistochemical analysis of paraffin-embedded Human kidney tissue labeling ASS1 with ab170952 at 1/250 dilution.

This data was developed using the same antibody clone in a different buffer formulation containing PBS, BSA, glycerol, and sodium azide (ab170952).

Immunoprecipitation - Anti-ASS1 antibody [EPR12398] - BSA and Azide free (AB231684)
  • IP

Supplier Data

Immunoprecipitation - Anti-ASS1 antibody [EPR12398] - BSA and Azide free (AB231684)

Secondary antibody used is HRP-conjugated anti-rabbit IgG preferentially detecting the non-reduced form of rabbit IgG.

This data was developed using the same antibody clone in a different buffer formulation containing PBS, BSA, glycerol, and sodium azide (ab170952).

All lanes:

Immunoprecipitation - Anti-ASS1 antibody [EPR12398] (<a href='/en-us/products/primary-antibodies/ass1-antibody-epr12398-ab170952'>ab170952</a>) at 1/10 dilution

Lane 1:

Human fetal liver tissue lysate at 10 µg

Lane 2:

PBS

Predicted band size: 47 kDa

false

Immunoprecipitation - Anti-ASS1 antibody [EPR12398] - BSA and Azide free (AB231684)
  • IP

Lab

Immunoprecipitation - Anti-ASS1 antibody [EPR12398] - BSA and Azide free (AB231684)

ab170952 (purified) at 1 : 60 dilution (5ug) immunoprecipitating ASS1 in HeLa (Human cervix adenocarcinoma epithelial cell) whole cell lysate.
Lane 1 (input) : HeLa (Human cervix adenocarcinoma epithelial cell) whole cell lysate 10ug
Lane 2 (+) : ab170952 & HeLa (Human cervix adenocarcinoma epithelial cell) whole cell lysate
Lane 3 (-) : Rabbit monoclonal IgG (ab172730) instead of ab170952 in HeLa (Human cervix adenocarcinoma epithelial cell) whole cell lysate
For western blotting, VeriBlot for IP Detection Reagent (HRP) (ab131366) was used for detection at 1 : 1000 dilution.
Blocking and diluting buffer : 5% NFDM/TBST.

This data was developed using the same antibody clone in a different buffer formulation containing PBS, BSA, glycerol, and sodium azide (ab170952).

All lanes:

Immunoprecipitation - Anti-ASS1 antibody [EPR12398] (<a href='/en-us/products/primary-antibodies/ass1-antibody-epr12398-ab170952'>ab170952</a>)

Predicted band size: 47 kDa

false

Western blot - Anti-ASS1 antibody [EPR12398] - BSA and Azide free (AB231684)
  • WB

Lab

Western blot - Anti-ASS1 antibody [EPR12398] - BSA and Azide free (AB231684)

Lanes 1 - 4 : Merged signal (red and green). Green - ab170952 observed at 47 kDa. Red - loading control, ab9484, observed at 37 kDa.

ab170952 was shown to recognize ASS1 in wild-type HAP1 cells as signal was lost at the expected MW in ASS1 knockout cells. Additional cross-reactive bands were observed in the wild-type and knockout cells. Wild-type and ASS1 knockout samples were subjected to SDS-PAGE. ab170952 and ab9484 (Mouse anti-GAPDH loading control) were incubated overnight at 4°C at 1/20000 dilution and 1/10000 dilution respectively. Blots were developed with Goat anti-Rabbit IgG H&L (IRDye® 800CW) preabsorbed ab216773 and Goat anti-Mouse IgG H&L (IRDye® 680RD) preabsorbed ab216776 secondary antibodies at 1/10000 dilution for 1 hour at room temperature before imaging.

This data was developed using the same antibody clone in a different buffer formulation containing PBS, BSA, glycerol, and sodium azide (ab170952).

All lanes:

Western blot - Anti-ASS1 antibody [EPR12398] (<a href='/en-us/products/primary-antibodies/ass1-antibody-epr12398-ab170952'>ab170952</a>) at 1/20000 dilution

Lane 1:

Wild-type HAP1 whole cell lysate at 20 µg

Lane 2:

ASS1 knockout HAP1 whole cell lysate at 20 µg

Lane 3:

HepG2 whole cell lysate at 20 µg

Lane 4:

HeLa whole cell lysate at 20 µg

Predicted band size: 47 kDa

Observed band size: 47 kDa

false

  • Unconjugated

    Anti-ASS1 antibody [EPR12398]

  • 665 Alexa Fluor® 647

    Alexa Fluor® 647 Anti-ASS1 antibody [EPR12398]

  • 519 Alexa Fluor® 488

    Alexa Fluor® 488 Anti-ASS1 antibody [EPR12398]

  • 578 PE

    PE Anti-ASS1 antibody [EPR12398]

  • 565 Alexa Fluor® 555

    Alexa Fluor® 555 Anti-ASS1 antibody [EPR12398]

  • 617 Alexa Fluor® 594

    Alexa Fluor® 594 Anti-ASS1 antibody [EPR12398]

  • 660 APC

    APC Anti-ASS1 antibody [EPR12398]

  • HRP

    HRP Anti-ASS1 antibody [EPR12398]

Key facts

Host species

Rabbit

Clonality

Monoclonal

Clone number

EPR12398

Isotype

IgG

Carrier free

Yes

Reacts with

Mouse, Rat, Human

Applications

IHC-P, IP, WB, Flow Cyt (Intra), ICC/IF

applications

Immunogen

The exact immunogen used to generate this antibody is proprietary information.

Reactivity data

{ "title": "Reactivity Data", "filters": { "stats": ["", "Species", "Dilution Info", "Notes"], "tabs": { "all-applications": {"fullname" : "All Applications", "shortname": "All Applications"}, "IHCP" : {"fullname" : "Immunohistochemistry (Formalin/PFA-fixed paraffin-embedded sections)", "shortname":"IHC-P"}, "IP" : {"fullname" : "Immunoprecipitation", "shortname":"IP"}, "WB" : {"fullname" : "Western blot", "shortname":"WB"}, "ICCIF" : {"fullname" : "Immunocytochemistry/ Immunofluorescence", "shortname":"ICC/IF"}, "FlowCytIntra" : {"fullname" : "Flow Cytometry (Intracellular)", "shortname":"Flow Cyt (Intra)"} }, "product-promise": { "all": "all", "testedAndGuaranteed": "tested", "guaranteed": "expected", "predicted": "predicted", "notRecommended": "not-recommended" } }, "values": { "Human": { "IHCP-species-checked": "testedAndGuaranteed", "IHCP-species-dilution-info": "", "IHCP-species-notes": "<p></p>", "IP-species-checked": "testedAndGuaranteed", "IP-species-dilution-info": "", "IP-species-notes": "<p></p>", "WB-species-checked": "testedAndGuaranteed", "WB-species-dilution-info": "", "WB-species-notes": "<p></p>", "ICCIF-species-checked": "testedAndGuaranteed", "ICCIF-species-dilution-info": "", "ICCIF-species-notes": "<p></p>", "FlowCytIntra-species-checked": "testedAndGuaranteed", "FlowCytIntra-species-dilution-info": "", "FlowCytIntra-species-notes": "<p></p>" }, "Mouse": { "IHCP-species-checked": "testedAndGuaranteed", "IHCP-species-dilution-info": "", "IHCP-species-notes": "<p></p>", "IP-species-checked": "guaranteed", "IP-species-dilution-info": "", "IP-species-notes": "", "WB-species-checked": "testedAndGuaranteed", "WB-species-dilution-info": "", "WB-species-notes": "<p></p>", "ICCIF-species-checked": "guaranteed", "ICCIF-species-dilution-info": "", "ICCIF-species-notes": "", "FlowCytIntra-species-checked": "guaranteed", "FlowCytIntra-species-dilution-info": "", "FlowCytIntra-species-notes": "" }, "Rat": { "IHCP-species-checked": "guaranteed", "IHCP-species-dilution-info": "", "IHCP-species-notes": "", "IP-species-checked": "guaranteed", "IP-species-dilution-info": "", "IP-species-notes": "", "WB-species-checked": "testedAndGuaranteed", "WB-species-dilution-info": "", "WB-species-notes": "<p></p>", "ICCIF-species-checked": "guaranteed", "ICCIF-species-dilution-info": "", "ICCIF-species-notes": "", "FlowCytIntra-species-checked": "guaranteed", "FlowCytIntra-species-dilution-info": "", "FlowCytIntra-species-notes": "" }, "Cow": { "IHCP-species-checked": "predicted", "IHCP-species-dilution-info": "", "IHCP-species-notes": "", "IP-species-checked": "predicted", "IP-species-dilution-info": "", "IP-species-notes": "", "WB-species-checked": "predicted", "WB-species-dilution-info": "", "WB-species-notes": "", "ICCIF-species-checked": "predicted", "ICCIF-species-dilution-info": "", "ICCIF-species-notes": "", "FlowCytIntra-species-checked": "predicted", "FlowCytIntra-species-dilution-info": "", "FlowCytIntra-species-notes": "" } } }

Product details

ab231684 is the carrier-free version of ab170952.

Patented technology
Our RabMAb® technology is a patented hybridoma-based technology for making rabbit monoclonal antibodies. For details on our patents, please refer to RabMAb® patents.

What are the advantages of a recombinant monoclonal antibody?
This product is a recombinant monoclonal antibody, which offers several advantages including:

  • - High batch-to-batch consistency and reproducibility
  • - Improved sensitivity and specificity
  • - Long-term security of supply
  • - Animal-free batch production

For more information, read more on recombinant antibodies.

Conjugation ready
Our carrier-free antibodies are typically supplied in a PBS-only formulation, purified and free of BSA, sodium azide and glycerol. This conjugation-ready format is designed for use with fluorochromes, metal isotopes, oligonucleotides, and enzymes, which makes them ideal for antibody labelling, functional and cell-based assays, flow-based assays (e.g. mass cytometry) and Multiplex Imaging applications.

Use our conjugation kits for antibody conjugates that are ready-to-use in as little as 20 minutes with 1 minute hands-on-time and 100% antibody recovery: available for fluorescent dyes, HRP, biotin and gold.

Compatibility
This product is compatible with the Maxpar® Antibody Labeling Kit from Fluidigm, without the need for antibody preparation. Maxpar® is a trademark of Fluidigm Canada Inc.

Properties and storage information

Form
Liquid
Purification technique
Affinity purification Protein A
Storage buffer
pH: 7.2 - 7.4 Constituents: 100% PBS
Shipped at conditions
Blue Ice
Appropriate short-term storage conditions
+4°C
Appropriate long-term storage conditions
+4°C
Storage information
Do Not Freeze

Supplementary information

This supplementary information is collated from multiple sources and compiled automatically.

ASS1 or argininosuccinate synthase 1 is an enzyme that plays an important role in the urea cycle. It catalyzes the conversion of citrulline and aspartate into argininosuccinate using ATP in the process. The ASS1 protein is commonly expressed in the liver where it actively participates in the detoxification of ammonia. It has a molecular mass of approximately 46 kDa. Some alternate names for this protein include ASS and ASS-1.
Biological function summary

Argininosuccinate synthase 1 contributes significantly to the synthesis of arginine an essential amino acid through its conversion activities. The enzyme operates as a homotrimer a complex consisting of three identical subunits. This enzymatic activity is indispensable in maintaining the balance of nitrogen and ammonia within the body particularly important for liver and kidney functions.

Pathways

ASS1 is a critical component of both the urea cycle and the nitric oxide metabolism pathway. The urea cycle helps in detoxifying ammonia by converting it into urea which is excreted in urine. In nitric oxide metabolism ASS1 links with nitric oxide synthase to facilitate the use of arginine in producing nitric oxide a vital signaling molecule. The pathway engagement partners include proteins like citrin which supplies aspartate for the reaction.

ASS1 has implications in citrullinemia and hepatocellular carcinoma. Citrullinemia results from mutations in the ASS1 gene leading to defective urea cycle function and ammonia accumulation. In cancer particularly hepatocellular carcinoma low expression of ASS1 correlates with poor prognosis as cancer cells often exhibit arginine auxotrophy. Connections through these conditions involve interactions with enzymes such as arginase which also influences arginine availability.

Product protocols

For this product, it's our understanding that no specific protocols are required. You can visit:

Target data

One of the enzymes of the urea cycle, the metabolic pathway transforming neurotoxic amonia produced by protein catabolism into inocuous urea in the liver of ureotelic animals. Catalyzes the formation of arginosuccinate from aspartate, citrulline and ATP and together with ASL it is responsible for the biosynthesis of arginine in most body tissues.
See full target information ASS1

Publications (2)

Recent publications for all applications. Explore the full list and refine your search

Communications biology 8:284 PubMed39987372

2025

Emergence of inflammatory fibroblasts with aging in Hermansky-Pudlak syndrome associated pulmonary fibrosis.

Applications

Unspecified application

Species

Unspecified reactive species

Brandon J H Banaschewski,Sylvia N Michki,Sneha Sitaraman,Ruby Pan,Joanna Y Wang,Dominique Stewart,Mary Kate Goldy,Susan M Lin,Edward Cantu,Jeremy B Katzen,Maria C Basil,Amir M Emtiazjoo,Jamie L Todd,Jason J Gokey,Jonathan A Kropski,David B Frank,Jarod A Zepp,Lisa R Young

Communications biology 3:305 PubMed32533056

2020

Met-Flow, a strategy for single-cell metabolic analysis highlights dynamic changes in immune subpopulations.

Applications

Unspecified application

Species

Unspecified reactive species

Patricia J Ahl,Richard A Hopkins,Wen Wei Xiang,Bijin Au,Nivashini Kaliaperumal,Anna-Marie Fairhurst,John E Connolly
View all publications

Product promise

We are committed to supporting your work with high-quality reagents, and we're here for you every step of the way. In the unlikely event that one of our products does not perform as expected, you're protected by our Product Promise.
For full details, please see our Terms & Conditions

Please note: All products are 'FOR RESEARCH USE ONLY. NOT FOR USE IN DIAGNOSTIC OR THERAPEUTIC PROCEDURES'.

For licensing inquiries, please contact partnerships@abcam.com