JavaScript is disabled in your browser. Please enable JavaScript to view this website.
AB324560

Anti-ATAD2 antibody [EPR30238-508]

  • BOND RX™ Validated
  • RabMAb
  • Recombinant
  • 20ul selling size
  • KO Validated
  • What is this?

Be the first to review this product! Submit a review

|

(0 Publication)

Rabbit Recombinant Monoclonal ATAD2 antibody. Suitable for ICC/IF, IHC-P, WB and reacts with Human, Mouse samples.

View Alternative Names

L16, PRO2000, ATAD2, ATPase family AAA domain-containing protein 2, AAA nuclear coregulator cancer-associated protein, ANCCA

14 Images
Immunocytochemistry/ Immunofluorescence - Anti-ATAD2 antibody [EPR30238-508] (AB324560)
  • ICC/IF

Supplier Data

Immunocytochemistry/ Immunofluorescence - Anti-ATAD2 antibody [EPR30238-508] (AB324560)

Immunofluorescent analysis of 4% Paraformaldehyde-fixed, 0.1% TritonX-100 permeabilized ATAD2 KO HAP1 (ATAD2 knockout human chronic myelogenous leukemia near-haploid cell) cells labelling ATAD2 with ab324560 at 1/50 (9.76 ug/ml) dilution, followed by ab150081 Goat Anti-Rabbit IgG H&L (Alexa Fluor® 488) preadsorbed antibody at 1/1000 (2ug/ml) dilution (Green).

Confocal image showing nuclear staining in wildtype HAP1 cells(shown in green) with no staining in ATAD2 knockout HAP1 cells. The counterstain was observed in magenta. Nuclear DNA was labelled with DAPI (shown in blue). Image was taken with a confocal microscope (Leica-Microsystems, TCS SP8).

ab7291 Anti-alpha Tubulin mouse monoclonal antibody was used to counterstain tubulin at 1/1000 (1ug/ml) dilution, followed by ab150120 Goat Anti-Mouse IgG H&L (Alexa Fluor® 594) antibody at 1/1000 (2ug/ml) dilution (Magenta). The Nuclear counterstain was DAPI (Blue).

Secondary antibody only control : Secondary antibody is ab150081 Goat Anti-Rabbit IgG H&L (Alexa Fluor® 488) preadsorbed at 1/1000 (2ug/ml) dilution.

Immunohistochemistry (Formalin/PFA-fixed paraffin-embedded sections) - Anti-ATAD2 antibody [EPR30238-508] (AB324560)
  • IHC-P

Supplier Data

Immunohistochemistry (Formalin/PFA-fixed paraffin-embedded sections) - Anti-ATAD2 antibody [EPR30238-508] (AB324560)

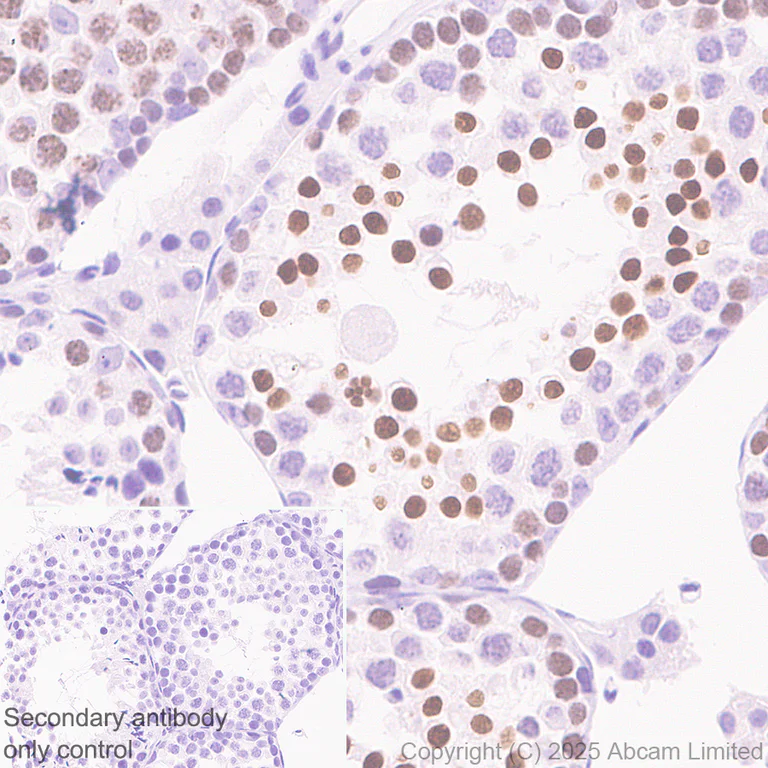
Immunohistochemical analysis of paraffin-embedded Human testis tissue labeling ATAD2 with ab324560 at 1/100 (4.88 ug/ml) dilution, followed by a ready to use LeicaDS9800 (Bond™ Polymer Refine Detection).

Positive staining on human testis. The primary antibody was incubated for 30 mins at room temperature.
The immunostaining was performed on a Leica Biosystems BOND® RX instrument

Counterstained with Hematoxylin.

Secondary antibody only control : Secondary antibody is a ready to use LeicaDS9800 (Bond™ Polymer Refine Detection).

Heat mediated antigen retrieval was performed with Tris-EDTA buffer (pH 9.0, Epitope Retrieval Solution2) for 20 mins

Immunohistochemistry (Formalin/PFA-fixed paraffin-embedded sections) - Anti-ATAD2 antibody [EPR30238-508] (AB324560)
  • IHC-P

Supplier Data

Immunohistochemistry (Formalin/PFA-fixed paraffin-embedded sections) - Anti-ATAD2 antibody [EPR30238-508] (AB324560)

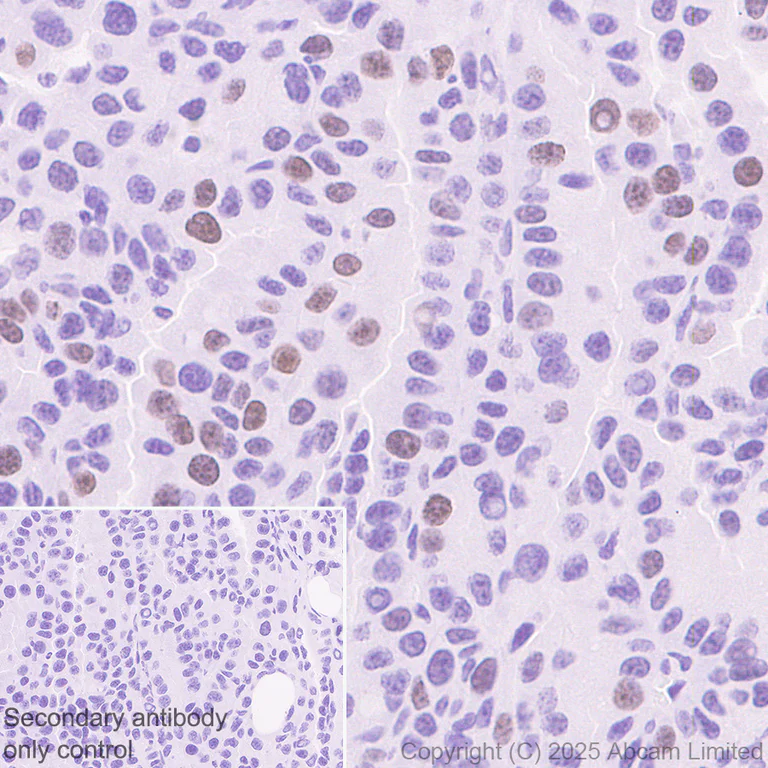
Immunohistochemical analysis of paraffin-embedded Human tonsil tissue labeling ATAD2 with ab324560 at 1/100 (4.88 ug/ml) dilution, followed by a ready to use LeicaDS9800 (Bond™ Polymer Refine Detection).

Positive staining on human tonsil. The primary antibody was incubated for 30 mins at room temperature.
The immunostaining was performed on a Leica Biosystems BOND® RX instrument

Counterstained with Hematoxylin.

Secondary antibody only control : Secondary antibody is a ready to use LeicaDS9800 (Bond™ Polymer Refine Detection).

Heat mediated antigen retrieval was performed with Tris-EDTA buffer (pH 9.0, Epitope Retrieval Solution2) for 20 mins

Immunohistochemistry (Formalin/PFA-fixed paraffin-embedded sections) - Anti-ATAD2 antibody [EPR30238-508] (AB324560)
  • IHC-P

Supplier Data

Immunohistochemistry (Formalin/PFA-fixed paraffin-embedded sections) - Anti-ATAD2 antibody [EPR30238-508] (AB324560)

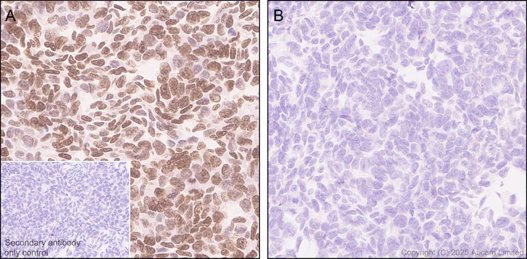
Immunohistochemical analysis of paraffin-embedded (A) Wild-type HAP1 (human chronic myelogenous leukemia near-haploid cell) cell pellet (B) ATAD2 knockout HAP1 cell pellet tissue labeling ATAD2 with ab324560 at 1/100 (4.88 ug/ml) dilution, followed by a ready to use LeicaDS9800 (Bond™ Polymer Refine Detection).

Positive staining on (A) Wild-type HAP1 (human chronic myelogenous leukemia near-haploid cell) cell pellet, no staining on (B) ATAD2 knockout HAP1 cell pellet. The primary antibody was incubated for 30 mins at room temperature.
The immunostaining was performed on a Leica Biosystems BOND® RX instrument

Counterstained with Hematoxylin.

Secondary antibody only control : Secondary antibody is a ready to use LeicaDS9800 (Bond™ Polymer Refine Detection).

Heat mediated antigen retrieval was performed with Tris-EDTA buffer (pH 9.0, Epitope Retrieval Solution2) for 20 mins

Immunohistochemistry (Formalin/PFA-fixed paraffin-embedded sections) - Anti-ATAD2 antibody [EPR30238-508] (AB324560)
  • IHC-P

Supplier Data

Immunohistochemistry (Formalin/PFA-fixed paraffin-embedded sections) - Anti-ATAD2 antibody [EPR30238-508] (AB324560)

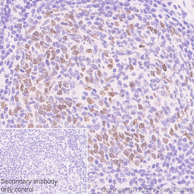
Immunohistochemical analysis of paraffin-embedded Human endometrial cancer tissue labeling ATAD2 with ab324560 at 1/100 (4.88 ug/ml) dilution, followed by a ready to use LeicaDS9800 (Bond™ Polymer Refine Detection).

Positive staining on human endometrial cancer. The primary antibody was incubated for 30 mins at room temperature.
The immunostaining was performed on a Leica Biosystems BOND® RX instrument

Counterstained with Hematoxylin.

Secondary antibody only control : Secondary antibody is a ready to use LeicaDS9800 (Bond™ Polymer Refine Detection).

Heat mediated antigen retrieval was performed with Tris-EDTA buffer (pH 9.0, Epitope Retrieval Solution2) for 20 mins

Immunocytochemistry/ Immunofluorescence - Anti-ATAD2 antibody [EPR30238-508] (AB324560)
  • ICC/IF

Supplier Data

Immunocytochemistry/ Immunofluorescence - Anti-ATAD2 antibody [EPR30238-508] (AB324560)

Immunofluorescent analysis of 4% Paraformaldehyde-fixed, 0.1% TritonX-100 permeabilized HeLa (human cervical adenocarcinoma epithelial cell) cells labelling ATAD2 with ab324560 at 1/50 (9.76 ug/ml) dilution, followed by ab150081 Goat Anti-Rabbit IgG H&L (Alexa Fluor® 488) preadsorbed antibody at 1/1000 (2ug/ml) dilution (Green).

Confocal image showing nuclear staining in HeLa cell line (shown in green). The counterstain was observed in magenta. Nuclear DNA was labelled with DAPI (shown in blue). Image was taken with a confocal microscope (Leica-Microsystems, TCS SP8).

ab7291 Anti-alpha Tubulin mouse monoclonal antibody was used to counterstain tubulin at 1/1000 (1ug/ml) dilution, followed by ab150120 Goat Anti-Mouse IgG H&L (Alexa Fluor® 594) antibody at 1/1000 (2ug/ml) dilution (Magenta). The Nuclear counterstain was DAPI (Blue).

-ve control 1 : ab324560 at 1/50 dilution, followed by ab150120 Goat Anti-Mouse IgG H&L (Alexa Fluor® 594) antibody at 1/1000 dilution.

-ve control 2 : ab7291 at 1/1000 dilution, followed by ab150081 Goat Anti-Rabbit IgG H&L (Alexa Fluor® 488) preadsorbed antibody at 1/1000 dilution.

Immunohistochemistry (Formalin/PFA-fixed paraffin-embedded sections) - Anti-ATAD2 antibody [EPR30238-508] (AB324560)
  • IHC-P

Supplier Data

Immunohistochemistry (Formalin/PFA-fixed paraffin-embedded sections) - Anti-ATAD2 antibody [EPR30238-508] (AB324560)

Immunohistochemical analysis of paraffin-embedded Mouse lung cancer tissue labeling ATAD2 with ab324560 at 1/500 (0.976 ug/ml) dilution, followed by a ready to use LeicaDS9800 (Bond™ Polymer Refine Detection).

Positive staining on mouse lung cancer. The primary antibody was incubated for 30 mins at room temperature.
The immunostaining was performed on a Leica Biosystems BOND® RX instrument

Counterstained with Hematoxylin.

Secondary antibody only control : Secondary antibody is a ready to use LeicaDS9800 (Bond™ Polymer Refine Detection).

Heat mediated antigen retrieval was performed with Tris-EDTA buffer (pH 9.0, Epitope Retrieval Solution2) for 20 mins

Immunohistochemistry (Formalin/PFA-fixed paraffin-embedded sections) - Anti-ATAD2 antibody [EPR30238-508] (AB324560)
  • IHC-P

Supplier Data

Immunohistochemistry (Formalin/PFA-fixed paraffin-embedded sections) - Anti-ATAD2 antibody [EPR30238-508] (AB324560)

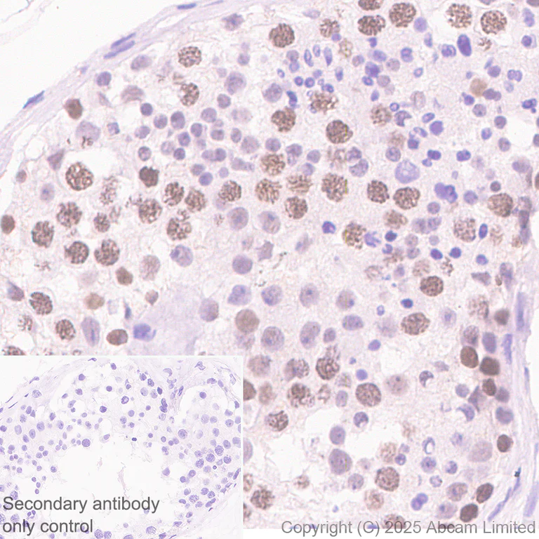
Immunohistochemical analysis of paraffin-embedded Mouse testis tissue labeling ATAD2 with ab324560 at 1/500 (0.976 ug/ml) dilution, followed by a ready to use LeicaDS9800 (Bond™ Polymer Refine Detection).

Positive staining on mouse testis (PMID : 20581866). The primary antibody was incubated for 30 mins at room temperature.
The immunostaining was performed on a Leica Biosystems BOND® RX instrument

Counterstained with Hematoxylin.

Secondary antibody only control : Secondary antibody is a ready to use LeicaDS9800 (Bond™ Polymer Refine Detection).

Heat mediated antigen retrieval was performed with Tris-EDTA buffer (pH 9.0, Epitope Retrieval Solution2) for 20 mins

Immunocytochemistry/ Immunofluorescence - Anti-ATAD2 antibody [EPR30238-508] (AB324560)
  • ICC/IF

Supplier Data

Immunocytochemistry/ Immunofluorescence - Anti-ATAD2 antibody [EPR30238-508] (AB324560)

Immunofluorescent analysis of 4% Paraformaldehyde-fixed, 0.1% TritonX-100 permeabilized Neuro-2a (mouse neuroblastoma neuroblast) cells labelling ATAD2 with ab324560 at 1/50 (9.76 ug/ml) dilution, followed by ab150081 Goat Anti-Rabbit IgG H&L (Alexa Fluor® 488) preadsorbed antibody at 1/1000 (2ug/ml) dilution (Green).

Confocal image showing nuclear staining in Neuro-2a cell line (shown in green). The counterstain was observed in magenta. Nuclear DNA was labelled with DAPI (shown in blue). Image was taken with a confocal microscope (Leica-Microsystems, TCS SP8).

ab7291 Anti-alpha Tubulin mouse monoclonal antibody was used to counterstain tubulin at 1/1000 (1ug/ml) dilution, followed by ab150120 Goat Anti-Mouse IgG H&L (Alexa Fluor® 594) antibody at 1/1000 (2µg/ml) (Magenta). The Nuclear counterstain was DAPI (Blue).

-ve control 1 : ab324560 at 1/50 dilution, followed by ab150120 Goat Anti-Mouse IgG H&L (Alexa Fluor® 594) antibody at 1/1000 dilution.

-ve control 2 : ab7291 at 1/1000 dilution, followed by ab150081 Goat Anti-Rabbit IgG H&L (Alexa Fluor® 488) preadsorbed antibody at 1/1000 dilution.

Western blot - Anti-ATAD2 antibody [EPR30238-508] (AB324560)
  • WB

Supplier Data

Western blot - Anti-ATAD2 antibody [EPR30238-508] (AB324560)

Blocking and diluting buffer and concentration : 5% NFDM/TBST.

In Western blot, ab324560 was shown to bind specifically to ATAD2. Target of interest was observed at 200 kDa in wild-type HAP1 cell lysates (lane 1) with no signal observed at this size in ATAD2 knockout cell line (lane 2).

In Western blot, Anti-Vinculin antibody [EPR8185] (ab129002) staining at 1/10000 dilution.

All lanes:

Western blot - Anti-ATAD2 antibody [EPR30238-508] (ab324560) at 1/1000 dilution

Lane 1:

Wild-type HAP1 (human chronic myelogenous leukemia near-haploid cell) whole cell lysate at 20 µg

Lane 2:

ATAD2 knockout HAP1 whole cell lysate at 20 µg

Secondary

All lanes:

Western blot - Goat Anti-Rabbit IgG H&L (HRP) (<a href='/en-us/products/secondary-antibodies/goat-rabbit-igg-h-l-hrp-ab97051'>ab97051</a>) at 1/20000 dilution

Observed band size: 200 kDa,124 kDa

false

Exposure time: 15s

Western blot - Anti-ATAD2 antibody [EPR30238-508] (AB324560)
  • WB

Supplier Data

Western blot - Anti-ATAD2 antibody [EPR30238-508] (AB324560)

Blocking and diluting buffer and concentration : 5% NFDM/TBST.

To minimize protein degradation, cells were lysed immediately after harvest and then applied to a gel and transfer membrane for Western blotting as soon as possible.

In Western blot, Anti-Vinculin antibody [EPR8185] (ab129002) staining at 1/10000 dilution.

Exposure time : Lane 1 : 8 seconds; Lanes 2-3 : 37 seconds.

All lanes:

Western blot - Anti-ATAD2 antibody [EPR30238-508] (ab324560) at 1/1000 dilution

Lane 1:

Neuro-2a (mouse neuroblastoma neuroblast) whole cell lysate at 20 µg

Lane 2:

U-87 MG (human glioblastoma-astrocytoma epithelial cell) whole cell lysate at 20 µg

Lane 3:

SH-SY5Y (human neuroblastoma epithelial cell) whole cell lysate at 20 µg

Secondary

All lanes:

Western blot - Goat Anti-Rabbit IgG H&L (HRP) (<a href='/en-us/products/secondary-antibodies/goat-rabbit-igg-h-l-hrp-ab97051'>ab97051</a>) at 1/20000 dilution

Observed band size: 200 kDa,124 kDa

false

Western blot - Anti-ATAD2 antibody [EPR30238-508] (AB324560)
  • WB

Supplier Data

Western blot - Anti-ATAD2 antibody [EPR30238-508] (AB324560)

Blocking and diluting buffer and concentration : 5% NFDM/TBST.

To minimize protein degradation, the fresh lysates were lysed immediately after harvest and then applied to a gel and transfer membrane for Western blotting as soon as possible.

In Western blot, Anti-Vinculin antibody [EPR8185] (ab129002) staining at 1/10000 dilution.

All lanes:

Western blot - Anti-ATAD2 antibody [EPR30238-508] (ab324560) at 1/1000 dilution

Lane 1:

MCF7 (human breast adenocarcinoma epithelial cell) whole cell lysate (Frozen lysate) at 20 µg

Lane 2:

HeLa (human cervical adenocarcinoma epithelial cell) whole cell lysate (Frozen lysate) at 20 µg

Lane 3:

HeLa (human cervical adenocarcinoma epithelial cell) whole cell lysate (Fresh lysate) at 20 µg

Lane 4:

F9 (mouse embryonal carcinoma epithelial cell) whole cell lysate (Fresh lysate) at 20 µg

Lane 5:

F9 (mouse embryonal carcinoma epithelial cell) whole cell lysate (Frozen lysate) at 20 µg

Lane 6:

Mouse testis tissue lysate (Frozen lysate) at 20 µg

Secondary

All lanes:

Western blot - Goat Anti-Rabbit IgG H&L (HRP) (<a href='/en-us/products/secondary-antibodies/goat-rabbit-igg-h-l-hrp-ab97051'>ab97051</a>) at 1/20000 dilution

Observed band size: 200 kDa,124 kDa

false

Exposure time: 37s

Immunohistochemistry (Formalin/PFA-fixed paraffin-embedded sections) - Anti-ATAD2 antibody [EPR30238-508] (AB324560)
  • IHC-P

Supplier Data

Immunohistochemistry (Formalin/PFA-fixed paraffin-embedded sections) - Anti-ATAD2 antibody [EPR30238-508] (AB324560)

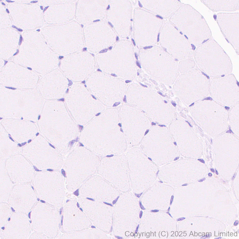
Immunohistochemical analysis of paraffin-embedded Mouse skeletal muscle tissue labeling ATAD2 with ab324560 at 1/500 (0.976 ug/ml) dilution, followed by a ready to use LeicaDS9800 (Bond™ Polymer Refine Detection).

Low expression : no staining on mouse skeletal muscle (PMID : 20581866). The primary antibody was incubated for 30 mins at room temperature.
The immunostaining was performed on a Leica Biosystems BOND® RX instrument

Counterstained with Hematoxylin.

Secondary antibody only control : Secondary antibody is a ready to use LeicaDS9800 (Bond™ Polymer Refine Detection).

Heat mediated antigen retrieval was performed with Tris-EDTA buffer (pH 9.0, Epitope Retrieval Solution2) for 20 mins

Immunohistochemistry (Formalin/PFA-fixed paraffin-embedded sections) - Anti-ATAD2 antibody [EPR30238-508] (AB324560)
  • IHC-P

Supplier Data

Immunohistochemistry (Formalin/PFA-fixed paraffin-embedded sections) - Anti-ATAD2 antibody [EPR30238-508] (AB324560)

Immunohistochemical analysis of paraffin-embedded Human skeletal muscle tissue labeling ATAD2 with ab324560 at 1/100 (4.88 ug/ml) dilution, followed by a ready to use LeicaDS9800 (Bond™ Polymer Refine Detection).

Low expression : no staining on human skeletal muscle. The primary antibody was incubated for 30 mins at room temperature.
The immunostaining was performed on a Leica Biosystems BOND® RX instrument

Counterstained with Hematoxylin.

Secondary antibody only control : Secondary antibody is a ready to use LeicaDS9800 (Bond™ Polymer Refine Detection).

Heat mediated antigen retrieval was performed with Tris-EDTA buffer (pH 9.0, Epitope Retrieval Solution2) for 20 mins

Key facts

Host species

Rabbit

Clonality

Monoclonal

Clone number

EPR30238-508

Isotype

IgG

Carrier free

No

Reacts with

Human, Mouse

Applications

ICC/IF, WB, IHC-P

applications

Immunogen

The exact immunogen used to generate this antibody is proprietary information.

Reactivity data

{ "title": "Reactivity Data", "filters": { "stats": ["", "Species", "Dilution Info", "Notes"], "tabs": { "all-applications": {"fullname" : "All Applications", "shortname": "All Applications"}, "ICCIF" : {"fullname" : "Immunocytochemistry/ Immunofluorescence", "shortname":"ICC/IF"}, "IHCP" : {"fullname" : "Immunohistochemistry (Formalin/PFA-fixed paraffin-embedded sections)", "shortname":"IHC-P"}, "WB" : {"fullname" : "Western blot", "shortname":"WB"} }, "product-promise": { "all": "all", "testedAndGuaranteed": "tested", "guaranteed": "expected", "predicted": "predicted", "notRecommended": "not-recommended" } }, "values": { "Human": { "ICCIF-species-checked": "testedAndGuaranteed", "ICCIF-species-dilution-info": "1/50", "ICCIF-species-notes": "<p></p>", "IHCP-species-checked": "testedAndGuaranteed", "IHCP-species-dilution-info": "1/100", "IHCP-species-notes": "<p></p> Perform heat-mediated antigen retrieval with Tris/EDTA buffer pH 9.0 before commencing with IHC staining protocol.", "WB-species-checked": "testedAndGuaranteed", "WB-species-dilution-info": "1/1000", "WB-species-notes": "<p></p>" }, "Mouse": { "ICCIF-species-checked": "testedAndGuaranteed", "ICCIF-species-dilution-info": "1/50", "ICCIF-species-notes": "<p></p>", "IHCP-species-checked": "testedAndGuaranteed", "IHCP-species-dilution-info": "1/500", "IHCP-species-notes": "<p></p> Perform heat-mediated antigen retrieval with Tris/EDTA buffer pH 9.0 before commencing with IHC staining protocol.", "WB-species-checked": "testedAndGuaranteed", "WB-species-dilution-info": "1/1000", "WB-species-notes": "<p></p>" } } }

Product details

Patented technology
Our RabMAb® technology is a patented hybridoma-based technology for making rabbit monoclonal antibodies. For details on our patents, please refer to RabMAb® patents.

What are the advantages of a recombinant monoclonal antibody?
This product is a recombinant monoclonal antibody, which offers several advantages including:

  • - High batch-to-batch consistency and reproducibility
  • - Improved sensitivity and specificity
  • - Long-term security of supply
  • - Animal-free batch production

For more information, read more on recombinant antibodies.

Properties and storage information

Form
Liquid
Purification technique
Affinity purification Protein A
Storage buffer
pH: 7.2 - 7.4 Preservative: 0.01% Sodium azide Constituents: PBS, 40% Glycerol (glycerin, glycerine), 0.05% BSA
Shipped at conditions
Blue Ice
Appropriate short-term storage duration
1-2 weeks
Appropriate short-term storage conditions
+4°C
Appropriate long-term storage conditions
-20°C
Aliquoting information
Upon delivery aliquot
Storage information
Avoid freeze / thaw cycle

Product protocols

For this product, it's our understanding that no specific protocols are required. You can visit:

Target data

May be a transcriptional coactivator of the nuclear receptor ESR1 required to induce the expression of a subset of estradiol target genes, such as CCND1, MYC and E2F1. May play a role in the recruitment or occupancy of CREBBP at some ESR1 target gene promoters. May be required for histone hyperacetylation. Involved in the estrogen-induced cell proliferation and cell cycle progression of breast cancer cells.
See full target information ATAD2

Product promise

We are committed to supporting your work with high-quality reagents, and we're here for you every step of the way. In the unlikely event that one of our products does not perform as expected, you're protected by our Product Promise.
For full details, please see our Terms & Conditions

Please note: All products are 'FOR RESEARCH USE ONLY. NOT FOR USE IN DIAGNOSTIC OR THERAPEUTIC PROCEDURES'.

For licensing inquiries, please contact partnerships@abcam.com