JavaScript is disabled in your browser. Please enable JavaScript to view this website.
AB317252

Anti-ATAD3A antibody [EPR27484-26]

  • BOND RX™ Validated
  • 20ul selling size
  • Recombinant
  • RabMAb
  • What is this?

Be the first to review this product! Submit a review

|

(0 Publication)

Rabbit Recombinant Monoclonal ATAD3A antibody. Suitable for WB, IP, IHC-P, Flow Cyt (Intra), ICC/IF and reacts with Recombinant fragment - Human, Transfected cell lysate - Human, Human, Mouse, Rat samples.

View Alternative Names

ATPase family AAA domain-containing protein 3A, ATAD3A

13 Images
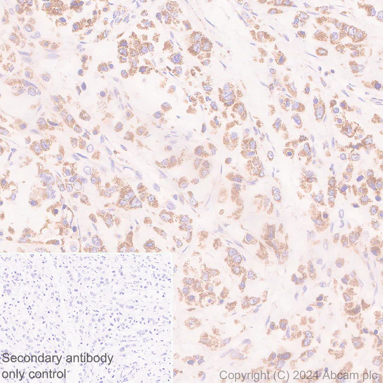
Immunohistochemistry (Formalin/PFA-fixed paraffin-embedded sections) - Anti-ATAD3A antibody [EPR27484-26] (AB317252)
  • IHC-P

Supplier Data

Immunohistochemistry (Formalin/PFA-fixed paraffin-embedded sections) - Anti-ATAD3A antibody [EPR27484-26] (AB317252)

Immunohistochemical analysis of paraffin-embedded Human breast cancer tissue labeling ATAD3A with ab317252 at 1/1000 (0.506 ug/ml) dilution, followed by a ready to use LeicaDS9800 (Bond™ Polymer Refine Detection).

Positive staining on human breast cancer (PMID : 36627348).
The section was incubated with ab317252 for 30 mins at room temperature.
The immunostaining was performed on a Leica Biosystems BOND® RX instrument

Counterstained with Hematoxylin.

Secondary antibody only control : Secondary antibody is a ready to use LeicaDS9800 (Bond™ Polymer Refine Detection).

Heat mediated antigen retrieval was performed with Tris-EDTA buffer (pH 9.0, Epitope Retrieval Solution2) for 20 mins

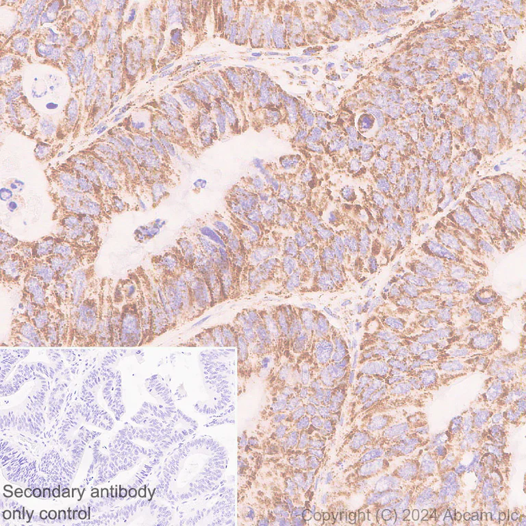
Immunohistochemistry (Formalin/PFA-fixed paraffin-embedded sections) - Anti-ATAD3A antibody [EPR27484-26] (AB317252)
  • IHC-P

Supplier Data

Immunohistochemistry (Formalin/PFA-fixed paraffin-embedded sections) - Anti-ATAD3A antibody [EPR27484-26] (AB317252)

Immunohistochemical analysis of paraffin-embedded Human colorectal carcinoma tissue labeling ATAD3A with ab317252 at 1/1000 (0.506 ug/ml) dilution, followed by a ready to use LeicaDS9800 (Bond™ Polymer Refine Detection).

Positive staining on human colorectal carcinoma.
The section was incubated with ab317252 for 30 mins at room temperature.
The immunostaining was performed on a Leica Biosystems BOND® RX instrument

Counterstained with Hematoxylin.

Secondary antibody only control : Secondary antibody is a ready to use LeicaDS9800 (Bond™ Polymer Refine Detection).

Heat mediated antigen retrieval was performed with Tris-EDTA buffer (pH 9.0, Epitope Retrieval Solution2) for 20 mins

Immunocytochemistry/ Immunofluorescence - Anti-ATAD3A antibody [EPR27484-26] (AB317252)
  • ICC/IF

Supplier Data

Immunocytochemistry/ Immunofluorescence - Anti-ATAD3A antibody [EPR27484-26] (AB317252)

Immunofluorescent analysis of 4% Paraformaldehyde-fixed, 0.1% TritonX-100 permeabilized HeLa (human cervical adenocarcinoma epithelial cell) cells labelling ATAD3A with ab317252 at 1/50 (10.12 ug/ml) dilution, followed by ab150081 Goat Anti-Rabbit IgG H&L (Alexa Fluor® 488) preadsorbed antibody at 1/1000 (2 ug/ml) dilution (Green).

Confocal image showing mitochondrial staining in HeLa cell line (shown in green). The counterstain was observed in magenta. Nuclear DNA was labeled with DAPI (shown in blue).
Image was taken with a confocal microscope(Leica-Microsystems, TCS SP8).

anti-COX IV mouse monoclonal antibody - Mitochondrial Marker was used to counterstain at 1/1000 (1ug/ml) dilution (Magenta). The Nuclear counterstain was DAPI (Blue).

Secondary antibody only control : Secondary antibody is ab150081 Goat Anti-Rabbit IgG H&L (Alexa Fluor® 488) preadsorbed at 1/1000 (2 ug/ml) dilution.

Flow Cytometry (Intracellular) - Anti-ATAD3A antibody [EPR27484-26] (AB317252)
  • Flow Cyt (Intra)

Supplier Data

Flow Cytometry (Intracellular) - Anti-ATAD3A antibody [EPR27484-26] (AB317252)

Flow cytometric analysis of 4% paraformaldehyde fixed 90% methanol permeabilized HeLa (human cervical adenocarcinoma epithelial cell) cells labelling ATAD3A with ab317252 at 1/500 dilution (0.1 ug)/Red compared with a Rabbit monoclonal IgG (ab172730) (Black) isotype control and an unlabelled control (cells without incubation with primary antibody and secondary antibody) (Blue).

Goat Anti-Rabbit IgG (Alexa Fluor® 488, ab150081) at 1/5000 dilution was used as the secondary antibody.

Immunohistochemistry (Formalin/PFA-fixed paraffin-embedded sections) - Anti-ATAD3A antibody [EPR27484-26] (AB317252)
  • IHC-P

Supplier Data

Immunohistochemistry (Formalin/PFA-fixed paraffin-embedded sections) - Anti-ATAD3A antibody [EPR27484-26] (AB317252)

Immunohistochemical analysis of paraffin-embedded Human cerebrum tissue labeling ATAD3A with ab317252 at 1/1000 (0.506 ug/ml) dilution, followed by a ready to use LeicaDS9800 (Bond™ Polymer Refine Detection).

Positive staining on human cerebrum (PMID : 35236834).
The section was incubated with ab317252 for 30 mins at room temperature.
The immunostaining was performed on a Leica Biosystems BOND® RX instrument

Counterstained with Hematoxylin.

Secondary antibody only control : Secondary antibody is a ready to use LeicaDS9800 (Bond™ Polymer Refine Detection).

Heat mediated antigen retrieval was performed with Tris-EDTA buffer (pH 9.0, Epitope Retrieval Solution2) for 20 mins

Immunoprecipitation - Anti-ATAD3A antibody [EPR27484-26] (AB317252)
  • IP

Supplier Data

Immunoprecipitation - Anti-ATAD3A antibody [EPR27484-26] (AB317252)

ATAD3A was immunoprecipitated from 0.35 mg HeLa (human cervix adenocarcinoma epithelial cell) whole cell lysate with ab317252 at 1/30 dilution (2ug in 0.35mg lysates). Western blot was performed on the immunoprecipitate using ab317252 at 1/1000 dilution. VeriBlot for IP secondary antibody(HRP)(ab131366) was used at 1/5000 dilution.

Lane 1 : HeLa (human cervix adenocarcinoma epithelial cell) whole cell lysate
Lane 2 : ab317252 IP in HeLa (human cervix adenocarcinoma epithelial cell) whole cell lysate
Lane 3 : Rabbit monoclonal IgG (ab172730) instead of ab317252 in HeLa whole cell lysate

All lanes:

Immunoprecipitation - Anti-ATAD3A antibody [EPR27484-26] (ab317252) at 1/30 dilution

All lanes:

HeLa (human cervix adenocarcinoma epithelial cell) whole cell lysate

Secondary

All lanes:

Immunoprecipitation - VeriBlot for IP Detection Reagent (HRP) (<a href='/en-us/products/reagents/veriblot-for-ip-detection-reagent-hrp-ab131366'>ab131366</a>) at 1/5000 dilution

false

Exposure time: 6s

Flow Cytometry (Intracellular) - Anti-ATAD3A antibody [EPR27484-26] (AB317252)
  • Flow Cyt (Intra)

Supplier Data

Flow Cytometry (Intracellular) - Anti-ATAD3A antibody [EPR27484-26] (AB317252)

Flow cytometric analysis of 4% paraformaldehyde fixed 90% methanol permeabilized NIH/3T3 (mouse embryonic fibroblast) cells labelling ATAD3A with ab317252 at 1/500 dilution (0.1 ug)/Red compared with a Rabbit monoclonal IgG (ab172730) (Black) isotype control and an unlabelled control (cells without incubation with primary antibody and secondary antibody) (Blue).

Goat Anti-Rabbit IgG (Alexa Fluor® 488, ab150081) at 1/5000 dilution was used as the secondary antibody.

Immunocytochemistry/ Immunofluorescence - Anti-ATAD3A antibody [EPR27484-26] (AB317252)
  • ICC/IF

Supplier Data

Immunocytochemistry/ Immunofluorescence - Anti-ATAD3A antibody [EPR27484-26] (AB317252)

Immunofluorescent analysis of 4% Paraformaldehyde-fixed, 0.1% TritonX-100 permeabilized NIH/3T3 (mouse embryonic fibroblast) cells labelling ATAD3A with ab317252 at 1/50 (10.12 ug/ml) dilution, followed by ab150081 Goat Anti-Rabbit IgG H&L (Alexa Fluor® 488) preadsorbed antibody at 1/1000 (2 ug/ml) dilution (Green).

Confocal image showing mitochondrial staining in NIH/3T3 cell line (shown in green). The counterstain was observed in magenta. Nuclear DNA was labeled with DAPI (shown in blue).
Image was taken with a confocal microscope(Leica-Microsystems, TCS SP8).

anti-COX IV mouse monoclonal antibody - Mitochondrial Marker was used to counterstain at 1/1000 (1ug/ml) dilution (Magenta). The Nuclear counterstain was DAPI (Blue).

Secondary antibody only control : Secondary antibody is ab150081 Goat Anti-Rabbit IgG H&L (Alexa Fluor® 488) preadsorbed at 1/1000 (2 ug/ml) dilution.

Western blot - Anti-ATAD3A antibody [EPR27484-26] (AB317252)
  • WB

Supplier Data

Western blot - Anti-ATAD3A antibody [EPR27484-26] (AB317252)

In Western blot, Anti-GAPDH antibody [EPR16891] - Loading Control (ab181602) staining at 1/200000 dilution.

In Western blot, Anti-TOMM20 antibody [EPR15581-54] - Mitochondrial Marker (ab186735) staining at 1/2000 dilution.

All lanes:

Western blot - Anti-ATAD3A antibody [EPR27484-26] (ab317252) at 1/1000 dilution

Lane 1:

HeLa (human cervix adenocarcinoma epithelial cell) non-mitochondrial fraction at 20 µg

Lane 2:

HeLa mitochondria fraction at 20 µg

Secondary

All lanes:

Western blot - Goat Anti-Rabbit IgG H&L (HRP) (<a href='/en-us/products/secondary-antibodies/goat-rabbit-igg-h-l-hrp-ab97051'>ab97051</a>) at 1/100000 dilution

Observed band size: 66 kDa,36 kDa,16 kDa

false

Exposure time: 180s

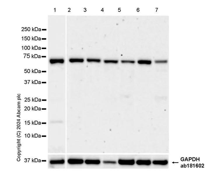
Western blot - Anti-ATAD3A antibody [EPR27484-26] (AB317252)
  • WB

Supplier Data

Western blot - Anti-ATAD3A antibody [EPR27484-26] (AB317252)

Lanes 2-7 are applied with Goat Anti-Rabbit IgG, (H+L), Peroxidase conjugated (ab97051) at 1/100000 and lane 1 is applied with Goat Anti-Rabbit IgG (HRP) with minimal cross-reactivity with human IgG at 1/2000.

In Western blot, Anti-GAPDH antibody [EPR16891] - Loading Control (ab181602) staining at 1/200000 dilution.

Exposure time : Lane 1 : 26 seconds, lanes 2-7 : 180 seconds

All lanes:

Western blot - Anti-ATAD3A antibody [EPR27484-26] (ab317252) at 1/1000 dilution

Lane 1:

Human cerebellum tissue lysate at 20 µg

Lane 2:

Mouse heart tissue lysate at 20 µg

Lane 3:

Mouse brain tissue lysate at 20 µg

Lane 4:

Mouse pancreas tissue lysate at 20 µg

Lane 5:

Rat heart tissue lysate at 20 µg

Lane 6:

Rat brain tissue lysate at 20 µg

Lane 7:

Rat spleen tissue lysate at 20 µg

Secondary

Lane 1:

Goat Anti-Rabbit IgG (HRP) with minimal cross-reactivity with human IgG at 1/2000 dilution

Lanes 2 - 7:

Western blot - Goat Anti-Rabbit IgG H&L (HRP) (<a href='/en-us/products/secondary-antibodies/goat-rabbit-igg-h-l-hrp-ab97051'>ab97051</a>) at 1/100000 dilution

Observed band size: 66 kDa,36 kDa

false

Western blot - Anti-ATAD3A antibody [EPR27484-26] (AB317252)
  • WB

Supplier Data

Western blot - Anti-ATAD3A antibody [EPR27484-26] (AB317252)

This antibody recognizes overexpressed human ATAD3A isoform 2 and isoform 1 (UniProt ID : Q9NVI7).

In Western blot, Anti-GAPDH antibody [EPR16891] - Loading Control (ab181602) staining at 1/200000 dilution.

In Western blot, Anti-6X His tag® antibody [EPR20547] - ChIP Grade (ab213204) staining at 1/5000 dilution.

All lanes:

Western blot - Anti-ATAD3A antibody [EPR27484-26] (ab317252) at 1/1000 dilution

Lane 1:

293T (human embryonic kidney epithelial cell) transfected with an empty vector containing a myc-His-tag®, whole cell lysate at 20 µg

Lane 2:

293T cells transfected with a Human ATAD3A isoform 2 expression vector containing a myc-His-tag®, whole cell lysate at 20 µg

Lane 3:

293T cells transfected with a Human ATAD3A isoform 1 expression vector containing a myc-His-tag®, whole cell lysate at 20 µg

Secondary

All lanes:

Western blot - Goat Anti-Rabbit IgG H&L (HRP) (<a href='/en-us/products/secondary-antibodies/goat-rabbit-igg-h-l-hrp-ab97051'>ab97051</a>) at 1/100000 dilution

Observed band size: 66 kDa,76 kDa,36 kDa

false

Exposure time: 62s

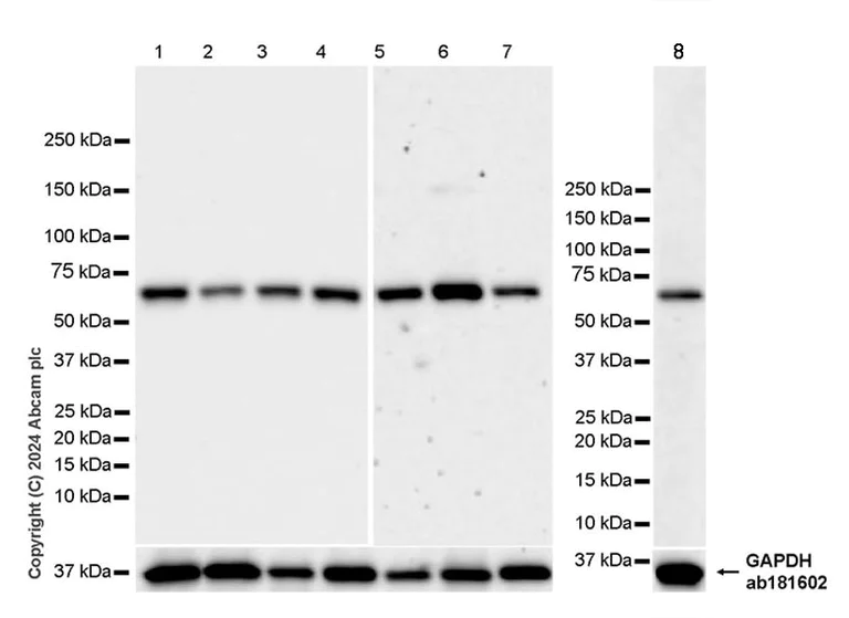
Western blot - Anti-ATAD3A antibody [EPR27484-26] (AB317252)
  • WB

Supplier Data

Western blot - Anti-ATAD3A antibody [EPR27484-26] (AB317252)

The lane 8 was developed using a high sensitivity ECL substrate.

In Western blot, Anti-GAPDH antibody [EPR16891] - Loading Control (ab181602) staining at 1/200000 dilution.

Exposure time : Lanes 1-4 : 26 seconds, lanes 5-8 : 180 seconds

All lanes:

Western blot - Anti-ATAD3A antibody [EPR27484-26] (ab317252) at 1/1000 dilution

Lane 1:

HeLa (human cervix adenocarcinoma epithelial cell) transfected with scrambled siRNA control whole cell lysate at 20 µg

Lane 2:

HeLa transfected with siRNA specifically targeting ATAD3A whole cell lysate at 20 µg

Lane 3:

A549 (human lung carcinoma epithelial cell) whole cell lysate at 20 µg

Lane 4:

U-87 MG (human glioblastoma-astrocytoma epithelial cell) whole cell lysate at 20 µg

Lane 5:

MEF (mouse embryonic fibroblast (immortalized)) whole cell lysate at 20 µg

Lane 6:

4T1 (mouse mammary gland carcinoma epithelial cell) whole cell lysate at 20 µg

Lane 7:

PC-12 (rat adrenal gland pheochromocytoma) whole cell lysate at 20 µg

Lane 8:

NIH/3T3 (mouse embryonic fibroblast) whole cell lysate at 20 µg

Secondary

All lanes:

Western blot - Goat Anti-Rabbit IgG H&L (HRP) (<a href='/en-us/products/secondary-antibodies/goat-rabbit-igg-h-l-hrp-ab97051'>ab97051</a>) at 1/100000 dilution

Observed band size: 66 kDa,36 kDa

false

Western blot - Anti-ATAD3A antibody [EPR27484-26] (AB317252)
  • WB

Supplier Data

Western blot - Anti-ATAD3A antibody [EPR27484-26] (AB317252)

This antibody does not cross-react with human ATAD3B and ATAD3C.

In Western blot, Anti-6X His tag® antibody [EPR20547] - ChIP Grade (ab213204) staining at 1/5000 dilution.

All lanes:

Western blot - Anti-ATAD3A antibody [EPR27484-26] (ab317252) at 1/1000 dilution

Lane 1:

His-tagged human ATAD3A fragment at 40 ng

Lane 2:

His-tagged human ATAD3B fragment at 40 ng

Lane 3:

His-tagged human ATAD3C fragment at 40 ng

Secondary

All lanes:

Western blot - Goat Anti-Rabbit IgG H&L (HRP) (<a href='/en-us/products/secondary-antibodies/goat-rabbit-igg-h-l-hrp-ab97051'>ab97051</a>) at 1/100000 dilution

Observed band size: 36 kDa

false

Exposure time: 180s

  • Carrier free

    Anti-ATAD3A antibody [EPR27484-26] - BSA and Azide free

  • 665 Alexa Fluor® 647

    Alexa Fluor® 647 Anti-ATAD3A antibody [EPR27484-26]

Key facts

Host species

Rabbit

Clonality

Monoclonal

Clone number

EPR27484-26

Isotype

IgG

Carrier free

No

Reacts with

Human, Mouse, Rat

Applications

ICC/IF, IP, IHC-P, WB, Flow Cyt (Intra)

applications

Immunogen

The exact immunogen used to generate this antibody is proprietary information.

Specificity

Not suitable for mouse and rat IHC-P. This antibody recognizes overexpressed human ATAD3A isoform 2 and isoform 1 (UniProt ID: Q9NVI7). It may detect endogenous levels of ATAD3 isoform 1.

Reactivity data

{ "title": "Reactivity Data", "filters": { "stats": ["", "Species", "Dilution Info", "Notes"], "tabs": { "all-applications": {"fullname" : "All Applications", "shortname": "All Applications"}, "WB" : {"fullname" : "Western blot", "shortname":"WB"}, "IP" : {"fullname" : "Immunoprecipitation", "shortname":"IP"}, "IHCP" : {"fullname" : "Immunohistochemistry (Formalin/PFA-fixed paraffin-embedded sections)", "shortname":"IHC-P"}, "FlowCytIntra" : {"fullname" : "Flow Cytometry (Intracellular)", "shortname":"Flow Cyt (Intra)"}, "ICCIF" : {"fullname" : "Immunocytochemistry/ Immunofluorescence", "shortname":"ICC/IF"} }, "product-promise": { "all": "all", "testedAndGuaranteed": "tested", "guaranteed": "expected", "predicted": "predicted", "notRecommended": "not-recommended" } }, "values": { "Human": { "WB-species-checked": "testedAndGuaranteed", "WB-species-dilution-info": "1/1000", "WB-species-notes": "<p></p>", "IP-species-checked": "testedAndGuaranteed", "IP-species-dilution-info": "1/30", "IP-species-notes": "<p></p>", "IHCP-species-checked": "testedAndGuaranteed", "IHCP-species-dilution-info": "1/1000", "IHCP-species-notes": "<p></p> Perform heat-mediated antigen retrieval with Tris/EDTA buffer pH 9.0 before commencing with IHC staining protocol.", "FlowCytIntra-species-checked": "testedAndGuaranteed", "FlowCytIntra-species-dilution-info": "1/500", "FlowCytIntra-species-notes": "<p></p>", "ICCIF-species-checked": "testedAndGuaranteed", "ICCIF-species-dilution-info": "1/50", "ICCIF-species-notes": "<p></p>" }, "Mouse": { "WB-species-checked": "testedAndGuaranteed", "WB-species-dilution-info": "1/1000", "WB-species-notes": "<p></p>", "IP-species-checked": "guaranteed", "IP-species-dilution-info": "", "IP-species-notes": "", "IHCP-species-checked": "notRecommended", "IHCP-species-dilution-info": "", "IHCP-species-notes": "<p></p>", "FlowCytIntra-species-checked": "testedAndGuaranteed", "FlowCytIntra-species-dilution-info": "1/500", "FlowCytIntra-species-notes": "<p></p>", "ICCIF-species-checked": "testedAndGuaranteed", "ICCIF-species-dilution-info": "1/50", "ICCIF-species-notes": "<p></p>" }, "Rat": { "WB-species-checked": "testedAndGuaranteed", "WB-species-dilution-info": "1/1000", "WB-species-notes": "<p></p>", "IP-species-checked": "guaranteed", "IP-species-dilution-info": "", "IP-species-notes": "", "IHCP-species-checked": "notRecommended", "IHCP-species-dilution-info": "", "IHCP-species-notes": "<p></p>", "FlowCytIntra-species-checked": "guaranteed", "FlowCytIntra-species-dilution-info": "", "FlowCytIntra-species-notes": "", "ICCIF-species-checked": "guaranteed", "ICCIF-species-dilution-info": "", "ICCIF-species-notes": "" }, "Recombinant fragment - Human": { "WB-species-checked": "testedAndGuaranteed", "WB-species-dilution-info": "1/1000", "WB-species-notes": "<p></p>", "IP-species-checked": "notRecommended", "IP-species-dilution-info": "", "IP-species-notes": "", "IHCP-species-checked": "notRecommended", "IHCP-species-dilution-info": "", "IHCP-species-notes": "", "FlowCytIntra-species-checked": "notRecommended", "FlowCytIntra-species-dilution-info": "", "FlowCytIntra-species-notes": "", "ICCIF-species-checked": "notRecommended", "ICCIF-species-dilution-info": "", "ICCIF-species-notes": "" }, "Transfected cell lysate - Human": { "WB-species-checked": "testedAndGuaranteed", "WB-species-dilution-info": "1/1000", "WB-species-notes": "<p></p>", "IP-species-checked": "notRecommended", "IP-species-dilution-info": "", "IP-species-notes": "", "IHCP-species-checked": "notRecommended", "IHCP-species-dilution-info": "", "IHCP-species-notes": "", "FlowCytIntra-species-checked": "notRecommended", "FlowCytIntra-species-dilution-info": "", "FlowCytIntra-species-notes": "", "ICCIF-species-checked": "notRecommended", "ICCIF-species-dilution-info": "", "ICCIF-species-notes": "" } } }

Product details

Patented technology
Our RabMAb® technology is a patented hybridoma-based technology for making rabbit monoclonal antibodies. For details on our patents, please refer to RabMAb® patents.

What are the advantages of a recombinant monoclonal antibody?
This product is a recombinant monoclonal antibody, which offers several advantages including:

  • - High batch-to-batch consistency and reproducibility
  • - Improved sensitivity and specificity
  • - Long-term security of supply
  • - Animal-free batch production

For more information, read more on recombinant antibodies.

Properties and storage information

Form
Liquid
Purification technique
Affinity purification Protein A
Storage buffer
pH: 7.2 - 7.4 Preservative: 0.01% Sodium azide Constituents: PBS, 40% Glycerol (glycerin, glycerine), 0.05% BSA
Shipped at conditions
Blue Ice
Appropriate short-term storage duration
1-2 weeks
Appropriate short-term storage conditions
+4°C
Appropriate long-term storage conditions
-20°C
Aliquoting information
Upon delivery aliquot
Storage information
Avoid freeze / thaw cycle

Supplementary information

This supplementary information is collated from multiple sources and compiled automatically.

ATAD3A also known as ATPase family AAA domain-containing protein 3A functions as a mitochondrial membrane protein with an approximate molecular mass of 67 kDa. This protein is expressed widely in human tissues with high levels detected in the brain heart and liver. Mechanically ATAD3A facilitates interactions between the inner and outer mitochondrial membranes playing a role in mitochondrial dynamics and integrity.
Biological function summary

The maintenance of mitochondrial structure and function heavily involves ATAD3A. It forms part of a multiprotein complex that ensures the proper organization of mitochondrial nucleoids thereby regulating mitochondrial DNA replication and transcription. It also participates in maintaining the stability and distribution of mitochondrial proteins contributing to the overall energy metabolism of the cell.

Pathways

ATAD3A engages in key processes related to mitochondrial biogenesis and dynamics. Involvement in pathways like the mitochondrial DNA replication pathway and the energy production pathway highlights its role in maintaining cellular homeostasis. The protein interacts with others including DRP1 and MFN2 essential proteins that regulate mitochondrial fission and fusion processes contributing to its role in energy metabolism.

ATAD3A has associations with several conditions affecting mitochondrial function. Mutations or dysregulation in ATAD3A contribute to neurodegenerative disorders and certain types of cancer. It has been linked to Parkinson's disease due to its influence on mitochondrial homeostasis and is connected with Alzheimer's disease through its interactions with proteins like PINK1 another critical player in mitochondrial maintenance and function.

Product protocols

For this product, it's our understanding that no specific protocols are required. You can visit:

Target data

Essential for mitochondrial network organization, mitochondrial metabolism and cell growth at organism and cellular level (PubMed : 17210950, PubMed : 20154147, PubMed : 22453275, PubMed : 31522117, PubMed : 37832546, PubMed : 39116259). May play an important role in mitochondrial protein synthesis (PubMed : 22453275). May also participate in mitochondrial DNA replication (PubMed : 17210950). May bind to mitochondrial DNA D-loops and contribute to nucleoid stability (PubMed : 17210950). Required for enhanced channeling of cholesterol for hormone-dependent steroidogenesis (PubMed : 22453275). Involved in mitochondrial-mediated antiviral innate immunity (PubMed : 31522117). Required to protect mitochondria from the PERK-mediated unfolded protein response : specifically inhibits the activity of EIF2AK3/PERK at mitochondria-endoplasmic reticulum contact sites, thereby providing a safe haven for mitochondrial protein translation during endoplasmic reticulum stress (PubMed : 39116259). Ability to inhibit EIF2AK3/PERK is independent of its ATPase activity (PubMed : 39116259). Also involved in the mitochondrial DNA damage response by promoting signaling between damaged genomes and the mitochondrial membrane, leading to activation of the integrated stress response (ISR) (PubMed : 37832546).
See full target information ATAD3A

Product promise

We are committed to supporting your work with high-quality reagents, and we're here for you every step of the way. In the unlikely event that one of our products does not perform as expected, you're protected by our Product Promise.
For full details, please see our Terms & Conditions

Please note: All products are 'FOR RESEARCH USE ONLY. NOT FOR USE IN DIAGNOSTIC OR THERAPEUTIC PROCEDURES'.

For licensing inquiries, please contact partnerships@abcam.com