JavaScript is disabled in your browser. Please enable JavaScript to view this website.
AB112563

Anti-ATAD3B antibody

Be the first to review this product! Submit a review

|

(1 Publication)

Rabbit Polyclonal ATAD3B antibody. Suitable for ICC, WB and reacts with Human samples. Cited in 1 publication. Immunogen corresponding to Synthetic Peptide within Human ATAD3B.

View Alternative Names

KIAA1273, TOB3, ATAD3B, ATPase family AAA domain-containing protein 3B, AAA-TOB3

2 Images
Immunocytochemistry - Anti-ATAD3B antibody (AB112563)
  • ICC

Unknown

Immunocytochemistry - Anti-ATAD3B antibody (AB112563)

Immunohistochemistry of ATAD3B in human kidney tissue with ab112563 at 5 ug/mL.

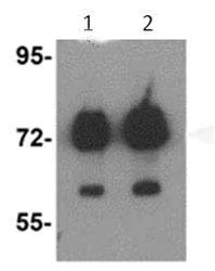
Western blot - Anti-ATAD3B antibody (AB112563)
  • WB

Unknown

Western blot - Anti-ATAD3B antibody (AB112563)

Lane 1:

Western blot - Anti-ATAD3B antibody (ab112563) at 1 µg/mL

Lane 2:

Western blot - Anti-ATAD3B antibody (ab112563) at 2 µg/mL

All lanes:

Human kidney tissue lysate at 15 µg

Predicted band size: 72 kDa

false

Key facts

Host species

Rabbit

Clonality

Polyclonal

Isotype

IgG

Carrier free

No

Reacts with

Human

Applications

ICC, WB

applications

Immunogen

Synthetic Peptide within Human ATAD3B. The exact immunogen used to generate this antibody is proprietary information.

Q5T9A4

Specificity

ab112563 is predicted to not cross-react with other ATAD protein family members.

Reactivity data

{ "title": "Reactivity Data", "filters": { "stats": ["", "Species", "Dilution Info", "Notes"], "tabs": { "all-applications": {"fullname" : "All Applications", "shortname": "All Applications"}, "ICC" : {"fullname" : "Immunocytochemistry", "shortname":"ICC"}, "WB" : {"fullname" : "Western blot", "shortname":"WB"} }, "product-promise": { "all": "all", "testedAndGuaranteed": "tested", "guaranteed": "expected", "predicted": "predicted", "notRecommended": "not-recommended" } }, "values": { "Human": { "ICC-species-checked": "testedAndGuaranteed", "ICC-species-dilution-info": "5 µg/mL", "ICC-species-notes": "<p></p>", "WB-species-checked": "testedAndGuaranteed", "WB-species-dilution-info": "1-2 µg/mL", "WB-species-notes": "<p></p>" } } }

Properties and storage information

Form
Liquid
Purification technique
Affinity purification Immunogen
Storage buffer
pH: 7.2 Preservative: 0.02% Sodium azide Constituents: PBS
Shipped at conditions
Blue Ice
Appropriate short-term storage conditions
+4°C
Appropriate long-term storage conditions
+4°C

Supplementary information

This supplementary information is collated from multiple sources and compiled automatically.

ATAD3B also known as ATPase family AAA domain-containing protein 3B is a mitochondrial membrane protein with a mass of about 67 kDa. You can find ATAD3B expression predominantly in tissues with high energy demands including the brain and muscle. The protein functions mechanically as an ATPase enzyme involved in mitochondrial processes like maintaining mitochondrial DNA and dynamics.
Biological function summary

ATAD3B plays roles in mitochondrial homeostasis and organelle communication. It forms part of a complex machinery within the mitochondria working closely with proteins like ATAD3A. This interaction contributes to the proper arrangement of mitochondrial DNA and protein import ensuring cellular energy management and metabolic functioning remain efficient.

Pathways

ATAD3B contributes to mitochondrial biogenesis and dynamics. It integrates into pathways such as the mitochondrial quality control pathway and mitochondrial fission and fusion processes. Proteins like DRP1 and MFN2 interact with ATAD3B in these pathways influencing the balance and architectural function of the mitochondria within cells.

ATAD3B has links to neurological diseases and certain cancers. Disruptions in the function of ATAD3B correlate with altered mitochondrial dynamics seen in these conditions. Proteins such as ATAD3A and mutations in genes associated with the protein may exacerbate mitochondrial dysfunction emphasizing the importance of proper ATAD3B function in disease prevention and processes.

Product protocols

For this product, it's our understanding that no specific protocols are required. You can visit:

Target data

May play a role in a mitochondrial network organization typical for stem cells, characterized by reduced mitochondrial metabolism, low mtDNA copies and fragmentated mitochondrial network. May act by suppressing ATAD3A function, interfering with ATAD3A interaction with matrix nucleoid complexes.
See full target information ATAD3B

Publications (1)

Recent publications for all applications. Explore the full list and refine your search

Infection and immunity 93:e0019425 PubMed40422078

2025

Ficolin-1 in pediatric malaria and its possible role in parasite clearance and anemia.

Applications

Unspecified application

Species

Unspecified reactive species

Di Zheng,Natalie Ferrington,Dilini Rathnayake,Wina Hasang,Agersew Alemu,Visopo Harawa,Amalia Karahalios,Phoebe Fitzpatrick,Evelyne Gout,Nicole M Thielens,Karl Seydel,Terrie E Taylor,Wilson Mandala,Stephen J Rogerson,Elizabeth H Aitken,Louise M Randall
View all publications

Product promise

We are committed to supporting your work with high-quality reagents, and we're here for you every step of the way. In the unlikely event that one of our products does not perform as expected, you're protected by our Product Promise.
For full details, please see our Terms & Conditions

Please note: All products are 'FOR RESEARCH USE ONLY. NOT FOR USE IN DIAGNOSTIC OR THERAPEUTIC PROCEDURES'.

For licensing inquiries, please contact partnerships@abcam.com