JavaScript is disabled in your browser. Please enable JavaScript to view this website.
AB232619

Anti-ATE1 antibody [EPR13667(2)] - BSA and Azide free

Be the first to review this product! Submit a review

|

(1 Publication)

Rabbit Recombinant Monoclonal ATE1 antibody. Carrier free. Suitable for WB, Flow Cyt (Intra), IHC-P and reacts with Mouse, Rat, Human samples. Cited in 1 publication.

View Alternative Names

Arginyl-tRNA--protein transferase 1, Arginyltransferase 1, R-transferase 1, Arginine-tRNA--protein transferase 1, ATE1

4 Images
Flow Cytometry (Intracellular) - Anti-ATE1 antibody [EPR13667(2)] - BSA and Azide free (AB232619)
  • Flow Cyt (Intra)

Supplier Data

Flow Cytometry (Intracellular) - Anti-ATE1 antibody [EPR13667(2)] - BSA and Azide free (AB232619)

Intracellular flow cytometric analysis of 2% paraformaldehyde-fixed HeLa (Human epithelial cells from cervix adenocarcinoma) cells labeling ATE1 with ab199423 at 1/220 dilution (red) compared with a rabbit monoclonal IgG isotype control (black) and a unlabelled control (cells without incubation with primary antibody and secondary antibody; blue). Goat anti rabbit IgG (FITC) at 1/150 dilution was used as the secondary antibody.

This data was developed using the same antibody clone in a different buffer formulation containing PBS, BSA, glycerol, and sodium azide (ab199423).

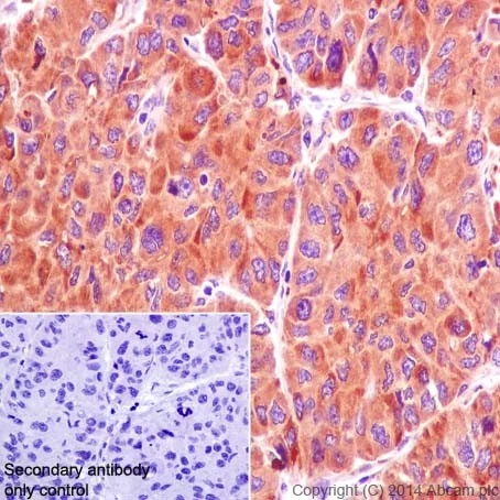
Immunohistochemistry (Formalin/PFA-fixed paraffin-embedded sections) - Anti-ATE1 antibody [EPR13667(2)] - BSA and Azide free (AB232619)
  • IHC-P

Supplier Data

Immunohistochemistry (Formalin/PFA-fixed paraffin-embedded sections) - Anti-ATE1 antibody [EPR13667(2)] - BSA and Azide free (AB232619)

Immunohistochemical analysis of paraffin-embedded human hepatocellular carcinoma tissue labeling ATE1 with ab199423 at 1/250 followed by Goat Anti-Rabbit IgG H&L (HRP) (ab97051) at 1/500. Cytoplasmic staining on human hepatocellular carcinoma tissue is observed (Subcellular location : Nucleus and cytoplasm [UniProt]). Counter-stained with hematoxylin.

Negative control : Used PBS instead of primary antibody, secondary antibody is Goat Anti-Rabbit IgG H&L (HRP) (ab97051) at 1/500 dilution.

This data was developed using the same antibody clone in a different buffer formulation containing PBS, BSA, glycerol, and sodium azide (ab199423).

Heat mediated antigen retrieval was performed with Tris/EDTA buffer pH 9.0 before commencing with IHC staining protocol.

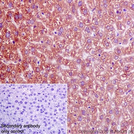
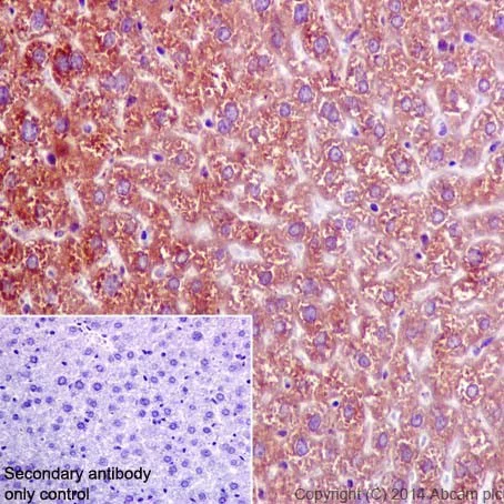
Immunohistochemistry (Formalin/PFA-fixed paraffin-embedded sections) - Anti-ATE1 antibody [EPR13667(2)] - BSA and Azide free (AB232619)
  • IHC-P

Supplier Data

Immunohistochemistry (Formalin/PFA-fixed paraffin-embedded sections) - Anti-ATE1 antibody [EPR13667(2)] - BSA and Azide free (AB232619)

Immunohistochemical analysis of paraffin-embedded Mouse liver tissue labeling ATE1 with ab199423 at 1/250 followed by Goat Anti-Rabbit IgG H&L (HRP) (ab97051) at 1/500. Cytoplasm staining on Mouse liver tissue is observed (Subcellular location : Nucleus and Cytoplasm [UniProt]) . Counter stained with Hematoxylin.
Negative control : Used PBS instead of primary antibody, secondary antibody is Goat Anti-Rabbit IgG H&L (HRP) (ab97051) at 1/500 dilution.

This data was developed using the same antibody clone in a different buffer formulation containing PBS, BSA, glycerol, and sodium azide (ab199423).

Heat mediated antigen retrieval was performed with Tris/EDTA buffer pH 9.0 before commencing with IHC staining protocol.

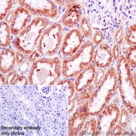
Immunohistochemistry (Formalin/PFA-fixed paraffin-embedded sections) - Anti-ATE1 antibody [EPR13667(2)] - BSA and Azide free (AB232619)
  • IHC-P

Supplier Data

Immunohistochemistry (Formalin/PFA-fixed paraffin-embedded sections) - Anti-ATE1 antibody [EPR13667(2)] - BSA and Azide free (AB232619)

Immunohistochemical analysis of paraffin-embedded Rat kidney tissue labeling ATE1 with ab199423 at 1/250 followed by Goat Anti-Rabbit IgG H&L (HRP) (ab97051) at 1/500. Cytoplasm staining on Rat kidney tissue is observed (Subcellular location : Nucleus and Cytoplasm [UniProt]) . Counter stained with Hematoxylin.
Negative control : Used PBS instead of primary antibody, secondary antibody is Goat Anti-Rabbit IgG H&L (HRP) (ab97051) at 1/500 dilution.

This data was developed using the same antibody clone in a different buffer formulation containing PBS, BSA, glycerol, and sodium azide (ab199423).

Heat mediated antigen retrieval was performed with Tris/EDTA buffer pH 9.0 before commencing with IHC staining protocol.

  • Unconjugated

    Anti-ATE1 antibody [EPR13667(2)] - N-terminal

  • 775 Alexa Fluor® 750

    Alexa Fluor® 750 Anti-ATE1 antibody [EPR13667(2)] - N-terminal

  • 578 PE

    PE Anti-ATE1 antibody [EPR13667(2)] (N-terminal)

  • 660 APC

    APC Anti-ATE1 antibody [EPR13667(2)] (N-terminal)

  • HRP

    HRP Anti-ATE1 antibody [EPR13667(2)] (N-terminal)

  • 519 Alexa Fluor® 488

    Alexa Fluor® 488 Anti-ATE1 antibody [EPR13667(2)] - N-terminal

  • 665 Alexa Fluor® 647

    Alexa Fluor® 647 Anti-ATE1 antibody [EPR13667(2)] - N-terminal

  • 617 Alexa Fluor® 594

    Alexa Fluor® 594 Anti-ATE1 antibody [EPR13667(2)] - N-terminal

  • 565 Alexa Fluor® 555

    Alexa Fluor® 555 Anti-ATE1 antibody [EPR13667(2)] - N-terminal

  • 603 Alexa Fluor® 568

    Alexa Fluor® 568 Anti-ATE1 antibody [EPR13667(2)] - N-terminal

Key facts

Host species

Rabbit

Clonality

Monoclonal

Clone number

EPR13667(2)

Isotype

IgG

Carrier free

Yes

Reacts with

Mouse, Rat, Human

Applications

WB, Flow Cyt (Intra), IHC-P

applications

Immunogen

The exact immunogen used to generate this antibody is proprietary information.

Reactivity data

{ "title": "Reactivity Data", "filters": { "stats": ["", "Species", "Dilution Info", "Notes"], "tabs": { "all-applications": {"fullname" : "All Applications", "shortname": "All Applications"}, "WB" : {"fullname" : "Western blot", "shortname":"WB"}, "FlowCytIntra" : {"fullname" : "Flow Cytometry (Intracellular)", "shortname":"Flow Cyt (Intra)"}, "IHCP" : {"fullname" : "Immunohistochemistry (Formalin/PFA-fixed paraffin-embedded sections)", "shortname":"IHC-P"} }, "product-promise": { "all": "all", "testedAndGuaranteed": "tested", "guaranteed": "expected", "predicted": "predicted", "notRecommended": "not-recommended" } }, "values": { "Human": { "WB-species-checked": "guaranteed", "WB-species-dilution-info": "", "WB-species-notes": "<p></p>", "FlowCytIntra-species-checked": "testedAndGuaranteed", "FlowCytIntra-species-dilution-info": "", "FlowCytIntra-species-notes": "<p><a href='/en-us/products/primary-antibodies/rabbit-igg-monoclonal-epr25a-isotype-control-ab172730'>ab172730</a> - Rabbit monoclonal IgG, is suitable for use as an isotype control with this antibody.</p>", "IHCP-species-checked": "guaranteed", "IHCP-species-dilution-info": "", "IHCP-species-notes": "" }, "Mouse": { "WB-species-checked": "guaranteed", "WB-species-dilution-info": "", "WB-species-notes": "<p></p>", "FlowCytIntra-species-checked": "predicted", "FlowCytIntra-species-dilution-info": "", "FlowCytIntra-species-notes": "", "IHCP-species-checked": "predicted", "IHCP-species-dilution-info": "", "IHCP-species-notes": "" }, "Rat": { "WB-species-checked": "guaranteed", "WB-species-dilution-info": "", "WB-species-notes": "<p></p>", "FlowCytIntra-species-checked": "guaranteed", "FlowCytIntra-species-dilution-info": "", "FlowCytIntra-species-notes": "", "IHCP-species-checked": "testedAndGuaranteed", "IHCP-species-dilution-info": "", "IHCP-species-notes": "<p></p>" } } }

Product details

ab232619 is the carrier-free version of ab199423.

Patented technology
Our RabMAb® technology is a patented hybridoma-based technology for making rabbit monoclonal antibodies. For details on our patents, please refer to RabMAb® patents.

What are the advantages of a recombinant monoclonal antibody?
This product is a recombinant monoclonal antibody, which offers several advantages including:

  • - High batch-to-batch consistency and reproducibility
  • - Improved sensitivity and specificity
  • - Long-term security of supply
  • - Animal-free batch production

For more information, read more on recombinant antibodies.

Conjugation ready
Our carrier-free antibodies are typically supplied in a PBS-only formulation, purified and free of BSA, sodium azide and glycerol. This conjugation-ready format is designed for use with fluorochromes, metal isotopes, oligonucleotides, and enzymes, which makes them ideal for antibody labelling, functional and cell-based assays, flow-based assays (e.g. mass cytometry) and Multiplex Imaging applications.

Use our conjugation kits for antibody conjugates that are ready-to-use in as little as 20 minutes with 1 minute hands-on-time and 100% antibody recovery: available for fluorescent dyes, HRP, biotin and gold.

Compatibility
This product is compatible with the Maxpar® Antibody Labeling Kit from Fluidigm, without the need for antibody preparation. Maxpar® is a trademark of Fluidigm Canada Inc.

Properties and storage information

Form
Liquid
Purification technique
Affinity purification Protein A
Storage buffer
pH: 7.2 - 7.4 Constituents: PBS
Shipped at conditions
Blue Ice
Appropriate short-term storage conditions
+4°C
Appropriate long-term storage conditions
+4°C
Storage information
Do Not Freeze

Supplementary information

This supplementary information is collated from multiple sources and compiled automatically.

ATE1 also known as Arginyltransferase 1 is an important enzyme that plays a mechanical role in cellular processes. It is responsible for adding the amino acid arginine to the N-terminus of certain target proteins a modification important for protein stability and function. ATE1 has a molecular mass of approximately 75 kDa. This enzyme is expressed in various tissues with higher expression levels observed in the heart liver and brain indicating its importance in these areas.
Biological function summary

ATE1 acts as a regulator in protein degradation by tagging proteins with arginine marking them for ubiquitination and subsequent proteasomal degradation. This function is critical for controlling the protein turnover and maintaining cellular homeostasis. ATE1 functions independently and is not known to be a part of any larger protein complex emphasizing its specific role in post-translational modification of proteins.

Pathways

This arginylation process by ATE1 integrates into the ubiquitin-proteasome system a pathway significant for protein catabolism. It plays a role in cellular stress responses linking closely with the protein degradation pathways to control damaged or misfolded proteins. ATE1's activity interacts with proteins such as ubiquitin ligases which assist in the tagging and recognition of proteins for degradation ensuring proper proteostasis.

ATE1 has been implicated in cardiac hypertrophy and cancer. Altered expression or activity of ATE1 can contribute to the dysregulation of protein turnover in the heart connecting it to cardiac hypertrophy. In cancer abnormal arginylation can affect cellular homeostasis and lead to uncontrollable cell proliferation. ATE1 connects to proteins like N-end rule substrates in the context of these diseases acting as a potential biomarker or therapeutic target for disease intervention.

Product protocols

For this product, it's our understanding that no specific protocols are required. You can visit:

Target data

Involved in the post-translational conjugation of arginine to the N-terminal aspartate or glutamate of a protein (PubMed : 34893540). This arginylation is required for degradation of the protein via the ubiquitin pathway (PubMed : 34893540). Does not arginylate cysteine residues (By similarity).
See full target information ATE1

Publications (1)

Recent publications for all applications. Explore the full list and refine your search

Cell biology and toxicology 41:103 PubMed40515797

2025

GelMA hydrogel-loaded extracellular vesicles derived from keratinocytes promote skin microvasculature regeneration and wound healing in diabetic mice through activation of the PDGF-induced PI3K/AKT pathway.

Applications

Unspecified application

Species

Unspecified reactive species

Qian Li,Leilei Zhou,Wenqiang Li,Weiheng Zhao,Weimin Chen,Mohammed S AlQranei,Jiarui Bi,Ping Huang
View all publications

Product promise

We are committed to supporting your work with high-quality reagents, and we're here for you every step of the way. In the unlikely event that one of our products does not perform as expected, you're protected by our Product Promise.
For full details, please see our Terms & Conditions

Please note: All products are 'FOR RESEARCH USE ONLY. NOT FOR USE IN DIAGNOSTIC OR THERAPEUTIC PROCEDURES'.

For licensing inquiries, please contact partnerships@abcam.com