JavaScript is disabled in your browser. Please enable JavaScript to view this website.
AB325277

Anti-ATF-4 antibody [EPR30044-580] - BSA and Azide free

Be the first to review this product! Submit a review

|

(0 Publication)

Rabbit Recombinant Monoclonal antibody. Carrier free. Suitable for WB, ICC/IF and reacts with Recombinant full length protein - Mouse, Human, Mouse samples.
5 Images
Immunocytochemistry/ Immunofluorescence - Anti-ATF-4 antibody [EPR30044-580] - BSA and Azide free (AB325277)
  • ICC/IF

Supplier Data

Immunocytochemistry/ Immunofluorescence - Anti-ATF-4 antibody [EPR30044-580] - BSA and Azide free (AB325277)

This data was developed using ab325275, the same antibody clone in a different buffer formulation.

Immunofluorescent analysis of 100% methanol-fixed, 0.1% TritonX-100 permeabilized HeLa (human cervical adenocarcinoma epithelial cell); HeLa treated with tunicamycin (2 ug/mL) for 8 hr cells labelling ATF-4 with ab325275 at 1/50 (10.24 ug/ml) dilution, followed by ab150081 Goat Anti-Rabbit IgG H&L (Alexa Fluor® 488) preadsorbed antibody at 1/ab150081 1000 2ug/ml dilution (Green).

Confocal image showing increased nuclear staining in HeLa cells treated with tunicamycin (2 ug/mL) for 8 hr (shown in green). The counterstain was observed in magenta. Nuclear DNA was labelled with DAPI (shown in blue). Image was taken with a confocal microscope (Leica-Microsystems, TCS SP8).

ab7291 Anti-alpha Tubulin mouse monoclonal antibody was used to counterstain tubulin at 1/ab7291 1000 1ug/ml dilution (Magenta). The Nuclear counterstain was DAPI (Blue).

Secondary antibody only control : Secondary antibody is ab150081 Goat Anti-Rabbit IgG H&L (Alexa Fluor® 488) preadsorbed at 1/ab150081 1000 2ug/ml dilution.

Immunocytochemistry/ Immunofluorescence - Anti-ATF-4 antibody [EPR30044-580] - BSA and Azide free (AB325277)
  • ICC/IF

Supplier Data

Immunocytochemistry/ Immunofluorescence - Anti-ATF-4 antibody [EPR30044-580] - BSA and Azide free (AB325277)

This data was developed using ab325275, the same antibody clone in a different buffer formulation.

Immunofluorescent analysis of 100% methanol-fixed, 0.1% TritonX-100 permeabilized RAW 264.7 (mouse Abelson murine leukemia virus-induced tumor macrophage); RAW 264.7 treated with tunicamycin (2 ug/mL) for 8 hr cells labelling ATF-4 with ab325275 at 1/50 (10.24 ug/ml) dilution, followed by ab150081 Goat Anti-Rabbit IgG H&L (Alexa Fluor® 488) preadsorbed antibody at 1/ab150081 1000 2ug/ml dilution (Green).

Confocal image showing increased nuclear staining in RAW 264.7 cells treated with tunicamycin (2 ug/mL) for 8 hr (shown in green). The counterstain was observed in magenta. Nuclear DNA was labelled with DAPI (shown in blue). Image was taken with a confocal microscope (Leica-Microsystems, TCS SP8).

ab7291 Anti-alpha Tubulin mouse monoclonal antibody was used to counterstain tubulin at 1/ab7291 1000 1ug/ml dilution (Magenta). The Nuclear counterstain was DAPI (Blue).

Secondary antibody only control : Secondary antibody is ab150081 Goat Anti-Rabbit IgG H&L (Alexa Fluor® 488) preadsorbed at 1/ab150081 1000 2ug/ml dilution.

Western blot - Anti-ATF-4 antibody [EPR30044-580] - BSA and Azide free (AB325277)
  • WB

Supplier Data

Western blot - Anti-ATF-4 antibody [EPR30044-580] - BSA and Azide free (AB325277)

This data was developed using ab325275, the same antibody clone in a different buffer formulation.

Blocking and diluting buffer and concentration : 5% NFDM/TBST.

The expression of ATF-4 is upregulated in response to Tunicamycin treatment (PMID : 30926605).

In Western blot, Anti-Vinculin antibody [EPR8185] (ab129002) staining at 1/10000 dilution.

All lanes:

Western blot - Anti-ATF-4 antibody [EPR30044-580] (<a href='/en-us/products/primary-antibodies/atf-4-antibody-epr30044-580-ab325275'>ab325275</a>) at 1/1000 dilution

Lane 1:

Untreated HeLa (human cervical adenocarcinoma epithelial cell) whole cell lysate at 50 µg

Lane 2:

HeLa treated with 2 μg/ml Tunicamycin for 8 hours whole cell lysate at 50 µg

Secondary

All lanes:

Western blot - Goat Anti-Rabbit IgG H&L (HRP) (<a href='/en-us/products/secondary-antibodies/goat-rabbit-igg-h-l-hrp-ab97051'>ab97051</a>) at 1/20000 dilution

Observed band size: 50 kDa,124 kDa

false

Exposure time: 48s

Western blot - Anti-ATF-4 antibody [EPR30044-580] - BSA and Azide free (AB325277)
  • WB

Supplier Data

Western blot - Anti-ATF-4 antibody [EPR30044-580] - BSA and Azide free (AB325277)

This data was developed using ab325275, the same antibody clone in a different buffer formulation.

Blocking and diluting buffer and concentration : 5% NFDM/TBST.

The expression of ATF-4 is upregulated in response to Tunicamycin treatment (PMID : 30926605).

In Western blot, Anti-GAPDH antibody [EPR16891] - Loading Control (ab181602) staining at 1/200000 dilution.

All lanes:

Western blot - Anti-ATF-4 antibody [EPR30044-580] (<a href='/en-us/products/primary-antibodies/atf-4-antibody-epr30044-580-ab325275'>ab325275</a>) at 1/1000 dilution

Lane 1:

Untreated RAW 264.7 (mouse Abelson murine leukemia virus-induced tumor macrophage) whole cell lysate at 20 µg

Lane 2:

RAW 264.7 treated with 2 μg/ml Tunicamycin for 8 hours whole cell lysate at 20 µg

Secondary

All lanes:

Western blot - Goat Anti-Rabbit IgG H&L (HRP) (<a href='/en-us/products/secondary-antibodies/goat-rabbit-igg-h-l-hrp-ab97051'>ab97051</a>) at 1/20000 dilution

Observed band size: 50 kDa,36 kDa

false

Exposure time: 81s

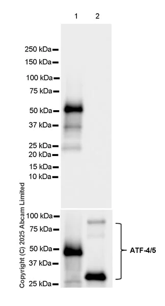
Western blot - Anti-ATF-4 antibody [EPR30044-580] - BSA and Azide free (AB325277)
  • WB

Supplier Data

Western blot - Anti-ATF-4 antibody [EPR30044-580] - BSA and Azide free (AB325277)

This data was developed using ab325275, the same antibody clone in a different buffer formulation.

Blocking and diluting buffer and concentration : 5% NFDM/TBST.

This antibody does not cross-react with mouse ATF-5.

In Western blot, Anti-ATF-4/5 antibody staining at 1/1000 dilution.

All lanes:

Western blot - Anti-ATF-4 antibody [EPR30044-580] (<a href='/en-us/products/primary-antibodies/atf-4-antibody-epr30044-580-ab325275'>ab325275</a>) at 1/1000 dilution

Lane 1:

Untagged mouse AFT-4 recombinant protein at 10 ng

Lane 2:

His-tagged mouse AFT-5 recombinant protein at 100 ng

Secondary

All lanes:

Western blot - Goat Anti-Rabbit IgG H&L (HRP) (<a href='/en-us/products/secondary-antibodies/goat-rabbit-igg-h-l-hrp-ab97051'>ab97051</a>) at 1/20000 dilution

Observed band size: 50 kDa,32 kDa

false

Exposure time: 15s

Key facts

Host species

Rabbit

Clonality

Monoclonal

Clone number

EPR30044-580

Isotype

IgG

Carrier free

Yes

Reacts with

Mouse, Human

Applications

ICC/IF, WB

applications

Immunogen

The exact immunogen used to generate this antibody is proprietary information.

Reactivity data

{ "title": "Reactivity Data", "filters": { "stats": ["", "Species", "Dilution Info", "Notes"], "tabs": { "all-applications": {"fullname" : "All Applications", "shortname": "All Applications"}, "WB" : {"fullname" : "Western blot", "shortname":"WB"}, "ICCIF" : {"fullname" : "Immunocytochemistry/ Immunofluorescence", "shortname":"ICC/IF"}, "IHCP" : {"fullname" : "Immunohistochemistry (Formalin/PFA-fixed paraffin-embedded sections)", "shortname":"IHC-P"} }, "product-promise": { "all": "all", "testedAndGuaranteed": "tested", "guaranteed": "expected", "predicted": "predicted", "notRecommended": "not-recommended" } }, "values": { "Human": { "WB-species-checked": "testedAndGuaranteed", "WB-species-dilution-info": "", "WB-species-notes": "<p></p>", "ICCIF-species-checked": "testedAndGuaranteed", "ICCIF-species-dilution-info": "", "ICCIF-species-notes": "<p></p>", "IHCP-species-checked": "notRecommended", "IHCP-species-dilution-info": "", "IHCP-species-notes": "<p></p>" }, "Mouse": { "WB-species-checked": "testedAndGuaranteed", "WB-species-dilution-info": "", "WB-species-notes": "<p></p>", "ICCIF-species-checked": "testedAndGuaranteed", "ICCIF-species-dilution-info": "", "ICCIF-species-notes": "<p></p>", "IHCP-species-checked": "notRecommended", "IHCP-species-dilution-info": "", "IHCP-species-notes": "<p></p>" }, "Recombinant full length protein - Mouse": { "WB-species-checked": "testedAndGuaranteed", "WB-species-dilution-info": "", "WB-species-notes": "<p></p>", "ICCIF-species-checked": "notRecommended", "ICCIF-species-dilution-info": "", "ICCIF-species-notes": "", "IHCP-species-checked": "notRecommended", "IHCP-species-dilution-info": "", "IHCP-species-notes": "" } } }

Product details

ab325277 is the carrier-free version of ab325275

Patented technology
Our RabMAb® technology is a patented hybridoma-based technology for making rabbit monoclonal antibodies. For details on our patents, please refer to RabMAb® patents.

What are the advantages of a recombinant monoclonal antibody?
This product is a recombinant monoclonal antibody, which offers several advantages including:

  • - High batch-to-batch consistency and reproducibility
  • - Improved sensitivity and specificity
  • - Long-term security of supply
  • - Animal-free batch production

For more information, read more on recombinant antibodies.

Conjugation ready
Our carrier-free antibodies are typically supplied in a PBS-only formulation, purified and free of BSA, sodium azide and glycerol. This conjugation-ready format is designed for use with fluorochromes, metal isotopes, oligonucleotides, and enzymes, which makes them ideal for antibody labelling, functional and cell-based assays, flow-based assays (e.g. mass cytometry) and Multiplex Imaging applications.

Use our conjugation kits for antibody conjugates that are ready-to-use in as little as 20 minutes with 1 minute hands-on-time and 100% antibody recovery: available for fluorescent dyes, HRP, biotin and gold.

Compatibility
This product is compatible with the Maxpar® Antibody Labeling Kit from Fluidigm, without the need for antibody preparation. Maxpar® is a trademark of Fluidigm Canada Inc.

Properties and storage information

Form
Liquid
Purification technique
Affinity purification Protein A
Storage buffer
pH: 7.2 - 7.4 Constituents: PBS
Shipped at conditions
Blue Ice
Appropriate short-term storage conditions
+4°C
Appropriate long-term storage conditions
+4°C

Product protocols

For this product, it's our understanding that no specific protocols are required. You can visit:

Target data

Transcription factor that binds the cAMP response element (CRE) (consensus: 5'-GTGACGT[AC][AG]-3') and displays two biological functions, as regulator of metabolic and redox processes under normal cellular conditions, and as master transcription factor during integrated stress response (ISR) (PubMed:11106749, PubMed:12667446, PubMed:23624402, PubMed:8506317). Binds to asymmetric CRE's as a heterodimer and to palindromic CRE's as a homodimer (PubMed:23624402, PubMed:8506317). Core effector of the ISR, which is required for adaptation to various stress such as endoplasmic reticulum (ER) stress, amino acid starvation, mitochondrial stress or oxidative stress (PubMed:11106749, PubMed:12667446). During ISR, ATF4 translation is induced via an alternative ribosome translation re-initiation mechanism in response to EIF2S1/eIF-2-alpha phosphorylation, and stress-induced ATF4 acts as a master transcription factor of stress-responsive genes in order to promote cell recovery (PubMed:11106749, PubMed:12667446). Promotes the transcription of genes linked to amino acid sufficiency and resistance to oxidative stress to protect cells against metabolic consequences of ER oxidation (PubMed:12667446). Activates the transcription of NLRP1, possibly in concert with other factors in response to ER stress (By similarity). Activates the transcription of asparagine synthetase (ASNS) in response to amino acid deprivation or ER stress (PubMed:15775988, PubMed:21159964). However, when associated with DDIT3/CHOP, the transcriptional activation of the ASNS gene is inhibited in response to amino acid deprivation (By similarity). Together with DDIT3/CHOP, mediates programmed cell death by promoting the expression of genes involved in cellular amino acid metabolic processes, mRNA translation and the terminal unfolded protein response (terminal UPR), a cellular response that elicits programmed cell death when ER stress is prolonged and unresolved (PubMed:23624402). Activates the expression of COX7A2L/SCAF1 downstream of the EIF2AK3/PERK-mediated unfolded protein response, thereby promoting formation of respiratory chain supercomplexes and increasing mitochondrial oxidative phosphorylation (PubMed:31023583). Together with DDIT3/CHOP, activates the transcription of the IRS-regulator TRIB3 and promotes ER stress-induced neuronal cell death by regulating the expression of BBC3/PUMA in response to ER stress (PubMed:15775988, PubMed:17369260, PubMed:21159964). May cooperate with the UPR transcriptional regulator QRICH1 to regulate ER protein homeostasis which is critical for cell viability in response to ER stress (By similarity). In the absence of stress, ATF4 translation is at low levels and it is required for normal metabolic processes such as embryonic lens formation, fetal liver hematopoiesis, bone development and synaptic plasticity (PubMed:10096021, PubMed:10885750, PubMed:11806972, PubMed:12925279, PubMed:15109498, PubMed:22298775). Acts as a regulator of osteoblast differentiation in response to phosphorylation by RPS6KA3/RSK2: phosphorylation in osteoblasts enhances transactivation activity and promotes expression of osteoblast-specific genes and post-transcriptionally regulates the synthesis of Type I collagen, the main constituent of the bone matrix (PubMed:15109498). Cooperates with FOXO1 in osteoblasts to regulate glucose homeostasis through suppression of beta-cell production and decrease in insulin production (PubMed:22298775). Activates transcription of SIRT4 (PubMed:23663782). Regulates the circadian expression of the core clock component PER2 and the serotonin transporter SLC6A4 (PubMed:21768648, PubMed:22572884). Binds in a circadian time-dependent manner to the cAMP response elements (CRE) in the SLC6A4 and PER2 promoters and periodically activates the transcription of these genes (PubMed:21768648, PubMed:22572884). Mainly acts as a transcriptional activator in cellular stress adaptation, but it can also act as a transcriptional repressor: acts as a regulator of synaptic plasticity by repressing transcription, thereby inhibiting induction and maintenance of long-term memory (PubMed:12925279). Regulates synaptic functions via interaction with DISC1 in neurons, which inhibits ATF4 transcription factor activity by disrupting ATF4 dimerization and DNA-binding (PubMed:31444471).

Product promise

We are committed to supporting your work with high-quality reagents, and we're here for you every step of the way. In the unlikely event that one of our products does not perform as expected, you're protected by our Product Promise.
For full details, please see our Terms & Conditions

Please note: All products are 'FOR RESEARCH USE ONLY. NOT FOR USE IN DIAGNOSTIC OR THERAPEUTIC PROCEDURES'.

For licensing inquiries, please contact partnerships@abcam.com