JavaScript is disabled in your browser. Please enable JavaScript to view this website.
AB28830

Anti-ATF-4 (phospho S245) antibody

5

(1 Review)

|

(7 Publications)

Rabbit Polyclonal ATF-4 phospho S245 antibody. Suitable for IHC-P and reacts with Human samples. Cited in 7 publications. Immunogen corresponding to Synthetic Peptide within Human ATF4 phospho S245.

View Alternative Names

CREB2, TXREB, ATF4, Cyclic AMP-dependent transcription factor ATF-4, cAMP-dependent transcription factor ATF-4, Activating transcription factor 4, Cyclic AMP-responsive element-binding protein 2, Tax-responsive enhancer element-binding protein 67, CREB-2, cAMP-responsive element-binding protein 2, TaxREB67

2 Images
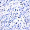
Immunohistochemistry (Formalin/PFA-fixed paraffin-embedded sections) - Anti-ATF-4 (phospho S245) antibody (AB28830)
  • IHC-P

Unknown

Immunohistochemistry (Formalin/PFA-fixed paraffin-embedded sections) - Anti-ATF-4 (phospho S245) antibody (AB28830)

Immunohistochemistry (Formalin-fixed paraffin-embedded sections) staining of breast carcinoma using ab28830 treated with synthesised phospho-peptide.

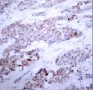
Immunohistochemistry (Formalin/PFA-fixed paraffin-embedded sections) - Anti-ATF-4 (phospho S245) antibody (AB28830)
  • IHC-P

Unknown

Immunohistochemistry (Formalin/PFA-fixed paraffin-embedded sections) - Anti-ATF-4 (phospho S245) antibody (AB28830)

Immunohistochemistry (Formalin-fixed paraffin-embedded sections) staining of breast carcinoma using ab28830

Key facts

Host species

Rabbit

Clonality

Polyclonal

Isotype

IgG

Carrier free

No

Reacts with

Human

Applications

IHC-P

applications

Immunogen

Synthetic Peptide within Human ATF4 phospho S245. The exact immunogen used to generate this antibody is proprietary information.

P18848

Reactivity data

{ "title": "Reactivity Data", "filters": { "stats": ["", "Species", "Dilution Info", "Notes"], "tabs": { "all-applications": {"fullname" : "All Applications", "shortname": "All Applications"}, "IHCP" : {"fullname" : "Immunohistochemistry (Formalin/PFA-fixed paraffin-embedded sections)", "shortname":"IHC-P"} }, "product-promise": { "all": "all", "testedAndGuaranteed": "tested", "guaranteed": "expected", "predicted": "predicted", "notRecommended": "not-recommended" } }, "values": { "Human": { "IHCP-species-checked": "testedAndGuaranteed", "IHCP-species-dilution-info": "1/50 - 1/100", "IHCP-species-notes": "<p></p>" } } }

Properties and storage information

Form
Liquid
Purification technique
Affinity purification Immunogen
Storage buffer
pH: 7.4 Preservative: 0.02% Sodium azide Constituents: PBS, 50% Glycerol (glycerin, glycerine), 0.87% Sodium chloride
Shipped at conditions
Blue Ice
Appropriate short-term storage duration
1-2 weeks
Appropriate short-term storage conditions
+4°C
Appropriate long-term storage conditions
-20°C
Aliquoting information
Upon delivery aliquot

Supplementary information

This supplementary information is collated from multiple sources and compiled automatically.

Activating Transcription Factor 4 (ATF-4) also known as CREB-2 is a fundamental protein involved in cellular stress responses. It functions mechanically as a transcription factor that regulates gene expression in reaction to stress signals. The molecular weight of ATF-4 is approximately 38 kDa. ATF-4 gets expressed in various tissues including the brain liver and pancreas reflecting its involvement in diverse cellular processes. Scientists widely use techniques like Western blot to detect and study ATF-4 expression patterns due to its reliable measurement of the ATF-4 molecular weight.
Biological function summary

ATF-4 participates in controlling genes linked to amino acid metabolism redox homeostasis and apoptosis. It does not work alone; ATF-4 often forms part of larger complexes interacting with other transcription factors like C/EBP and ATF-3 to exert its effects. These interactions enable it to respond accurately to different types of cellular stress by adjusting the expression of specific genes ensuring that cells can adapt to changing conditions.

Pathways

ATF-4 plays a significant role in the integrated stress response (ISR) and the unfolded protein response (UPR). Through these pathways it collaborates with proteins such as PERK (protein kinase R-like endoplasmic reticulum kinase) and eIF2α. The ISR and UPR help cells cope with stress by modulating protein synthesis and promoting the expression of protective genes. By interacting with these pathways ATF-4 contributes to maintaining cellular homeostasis and protecting cells from damage.

ATF-4 has been linked to conditions such as neurodegenerative diseases and cancer. In neurodegenerative disorders like Alzheimer's disease ATF-4 can regulate genes involved in neuronal survival and apoptosis interacting with proteins like CHOP. In cancer ATF-4 influences tumor cell survival and growth through its role in stress responses. Understanding ATF-4's relationship with diseases highlights its potential as a therapeutic target in the treatment of these complex disorders.

Product protocols

For this product, it's our understanding that no specific protocols are required. You can visit:

Target data

Transcription factor that binds the cAMP response element (CRE) (consensus : 5'-GTGACGT[AC][AG]-3') and displays two biological functions, as regulator of metabolic and redox processes under normal cellular conditions, and as master transcription factor during integrated stress response (ISR) (PubMed : 16682973, PubMed : 17684156, PubMed : 31023583, PubMed : 31444471, PubMed : 32132707). Binds to asymmetric CRE's as a heterodimer and to palindromic CRE's as a homodimer (By similarity). Core effector of the ISR, which is required for adaptation to various stress such as endoplasmic reticulum (ER) stress, amino acid starvation, mitochondrial stress or oxidative stress (PubMed : 31023583, PubMed : 32132707). During ISR, ATF4 translation is induced via an alternative ribosome translation re-initiation mechanism in response to EIF2S1/eIF-2-alpha phosphorylation, and stress-induced ATF4 acts as a master transcription factor of stress-responsive genes in order to promote cell recovery (PubMed : 31023583, PubMed : 32132706, PubMed : 32132707). Promotes the transcription of genes linked to amino acid sufficiency and resistance to oxidative stress to protect cells against metabolic consequences of ER oxidation (By similarity). Activates the transcription of NLRP1, possibly in concert with other factors in response to ER stress (PubMed : 26086088). Activates the transcription of asparagine synthetase (ASNS) in response to amino acid deprivation or ER stress (PubMed : 11960987). However, when associated with DDIT3/CHOP, the transcriptional activation of the ASNS gene is inhibited in response to amino acid deprivation (PubMed : 18940792). Together with DDIT3/CHOP, mediates programmed cell death by promoting the expression of genes involved in cellular amino acid metabolic processes, mRNA translation and the terminal unfolded protein response (terminal UPR), a cellular response that elicits programmed cell death when ER stress is prolonged and unresolved (By similarity). Activates the expression of COX7A2L/SCAF1 downstream of the EIF2AK3/PERK-mediated unfolded protein response, thereby promoting formation of respiratory chain supercomplexes and increasing mitochondrial oxidative phosphorylation (PubMed : 31023583). Together with DDIT3/CHOP, activates the transcription of the IRS-regulator TRIB3 and promotes ER stress-induced neuronal cell death by regulating the expression of BBC3/PUMA in response to ER stress (PubMed : 15775988). May cooperate with the UPR transcriptional regulator QRICH1 to regulate ER protein homeostasis which is critical for cell viability in response to ER stress (PubMed : 33384352). In the absence of stress, ATF4 translation is at low levels and it is required for normal metabolic processes such as embryonic lens formation, fetal liver hematopoiesis, bone development and synaptic plasticity (By similarity). Acts as a regulator of osteoblast differentiation in response to phosphorylation by RPS6KA3/RSK2 : phosphorylation in osteoblasts enhances transactivation activity and promotes expression of osteoblast-specific genes and post-transcriptionally regulates the synthesis of Type I collagen, the main constituent of the bone matrix (PubMed : 15109498). Cooperates with FOXO1 in osteoblasts to regulate glucose homeostasis through suppression of beta-cell production and decrease in insulin production (By similarity). Activates transcription of SIRT4 (By similarity). Regulates the circadian expression of the core clock component PER2 and the serotonin transporter SLC6A4 (By similarity). Binds in a circadian time-dependent manner to the cAMP response elements (CRE) in the SLC6A4 and PER2 promoters and periodically activates the transcription of these genes (By similarity). Mainly acts as a transcriptional activator in cellular stress adaptation, but it can also act as a transcriptional repressor : acts as a regulator of synaptic plasticity by repressing transcription, thereby inhibiting induction and maintenance of long-term memory (By similarity). Regulates synaptic functions via interaction with DISC1 in neurons, which inhibits ATF4 transcription factor activity by disrupting ATF4 dimerization and DNA-binding (PubMed : 31444471).. (Microbial infection) Binds to a Tax-responsive enhancer element in the long terminal repeat of HTLV-I.
See full target information ATF4 phospho S245

Publications (7)

Recent publications for all applications. Explore the full list and refine your search

Cell reports 40:111147 PubMed35926467

2022

AP-1 transcription factor network explains diverse patterns of cellular plasticity in melanoma cells.

Applications

Unspecified application

Species

Unspecified reactive species

Natacha Comandante-Lou,Douglas G Baumann,Mohammad Fallahi-Sichani

Nature 607:527-533 PubMed35794479

2022

Molecular landscapes of human hippocampal immature neurons across lifespan.

Applications

Unspecified application

Species

Unspecified reactive species

Yi Zhou,Yijing Su,Shiying Li,Benjamin C Kennedy,Daniel Y Zhang,Allison M Bond,Yusha Sun,Fadi Jacob,Lu Lu,Peng Hu,Angela N Viaene,Ingo Helbig,Sudha K Kessler,Timothy Lucas,Ryan D Salinas,Xiaosong Gu,H Isaac Chen,Hao Wu,Joel E Kleinman,Thomas M Hyde,David W Nauen,Daniel R Weinberger,Guo-Li Ming,Hongjun Song

International journal of oncology 55:1324-1338 PubMed31638203

2019

Tumor necrosis factor-α triggers opposing signals in head and neck squamous cell carcinoma and induces apoptosis via mitochondrial- and non-mitochondrial-dependent pathways.

Applications

Unspecified application

Species

Unspecified reactive species

Denis Selimovic,Renate U Wahl,Emmanuelle Ruiz,Rizwan Aslam,Thomas W Flanagan,Sofie-Yasmin Hassan,Simeon Santourlidis,Youssef Haikel,Paul Friedlander,Mosaad Megahed,Emad Kandil,Mohamed Hassan

Clinical cancer research : an official journal of 24:5697-5709 PubMed30012564

2018

Activating Transcription Factor 4 Modulates TGFβ-Induced Aggressiveness in Triple-Negative Breast Cancer via SMAD2/3/4 and mTORC2 Signaling.

Applications

Unspecified application

Species

Unspecified reactive species

Adrián González-González,Esperanza Muñoz-Muela,Juan A Marchal,Francisca E Cara,Maria P Molina,Marina Cruz-Lozano,Gema Jiménez,Akanksha Verma,Alberto Ramírez,Wei Qian,Wen Chen,Anthony J Kozielski,Olivier Elemento,María D Martín-Salvago,Rafael J Luque,Carmen Rosa-Garrido,David Landeira,María Quintana-Romero,Roberto R Rosato,Maria A García,Cesar L Ramirez-Tortosa,Hanna Kim,Cristian Rodriguez-Aguayo,Gabriel Lopez-Berestein,Anil K Sood,Jose A Lorente,Pedro Sánchez-Rovira,Jenny C Chang,Sergio Granados-Principal

Journal of cellular and molecular medicine 20:266-86 PubMed26578344

2015

Imiquimod-induced apoptosis of melanoma cells is mediated by ER stress-dependent Noxa induction and enhanced by NF-κB inhibition.

Applications

WB

Species

Unspecified reactive species

Abdelouahid El-Khattouti,Denis Selimovic,Matthias Hannig,Erin B Taylor,Zakaria Y Abd Elmageed,Sofie Y Hassan,Youssef Haikel,Emad Kandil,Martin Leverkus,Robert T Brodell,Mosaad Megahed,Mohamed Hassan

PloS one 9:e102408 PubMed25010689

2014

Important role of autophagy in endothelial cell response to ionizing radiation.

Applications

WB

Species

Human

Dimitra Kalamida,Ilias V Karagounis,Alexandra Giatromanolaki,Michael I Koukourakis

Experimental neurology 256:25-38 PubMed24690303

2014

CD36 deletion improves recovery from spinal cord injury.

Applications

Unspecified application

Species

Unspecified reactive species

Scott A Myers,Kariena R Andres,Theo Hagg,Scott R Whittemore
View all publications

Product promise

We are committed to supporting your work with high-quality reagents, and we're here for you every step of the way. In the unlikely event that one of our products does not perform as expected, you're protected by our Product Promise.
For full details, please see our Terms & Conditions

Please note: All products are 'FOR RESEARCH USE ONLY. NOT FOR USE IN DIAGNOSTIC OR THERAPEUTIC PROCEDURES'.

For licensing inquiries, please contact partnerships@abcam.com