JavaScript is disabled in your browser. Please enable JavaScript to view this website.
AB284738

Anti-ATF1 (phospho S63) antibody [EP1591(2)Y] - BSA and Azide free

Be the first to review this product! Submit a review

|

(0 Publication)

Rabbit Recombinant Monoclonal ATF1 phospho S63 antibody. Carrier free. Suitable for WB, IHC-P and reacts with Human, Mouse, Rat samples.

View Alternative Names

Cyclic AMP-dependent transcription factor ATF-1, cAMP-dependent transcription factor ATF-1, Activating transcription factor 1, Protein TREB36, ATF1

6 Images
Immunohistochemistry (Formalin/PFA-fixed paraffin-embedded sections) - Anti-ATF1 (phospho S63) antibody [EP1591(2)Y] - BSA and Azide free (AB284738)
  • IHC-P

Lab

Immunohistochemistry (Formalin/PFA-fixed paraffin-embedded sections) - Anti-ATF1 (phospho S63) antibody [EP1591(2)Y] - BSA and Azide free (AB284738)

This data was developed using ab76085, the same antibody clone in a different buffer formulation.

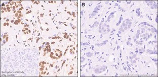
Immunohistochemical analysis of paraffin-embedded Human breast cancer tissue without alkaline phosphatase treatment (image A)/treated with alkaline phosphatase (image B) labeling ATF1 (phospho S63) with ab76085 at 1/2400 (0.105 ug/ml) dilution.

Positive staining on human breast cancer tissue without alkaline phosphatase treatment (image A). No signal was detected when tissues were treated with alkaline phosphatase (image B). The section was incubated with ab76085 for 30 mins at room temperature.
The immunostaining was performed on a Leica Biosystems BOND® RX instrument

Counterstained with Hematoxylin.

Heat mediated antigen retrieval was performed with Citrate buffer (pH 6.0, epitope retrieval solution 1) for 20 mins

Immunohistochemistry (Formalin/PFA-fixed paraffin-embedded sections) - Anti-ATF1 (phospho S63) antibody [EP1591(2)Y] - BSA and Azide free (AB284738)
  • IHC-P

Lab

Immunohistochemistry (Formalin/PFA-fixed paraffin-embedded sections) - Anti-ATF1 (phospho S63) antibody [EP1591(2)Y] - BSA and Azide free (AB284738)

This data was developed using ab76085, the same antibody clone in a different buffer formulation.

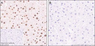
Immunohistochemical analysis of paraffin-embedded Mouse liver tissue without alkaline phosphatase treatment (image A)/treated with alkaline phosphatase (image B) labeling ATF1 (phospho S63) with ab76085 at 1/2400 (0.105 ug/ml) dilution.

Positive staining on mouse liver tissue without alkaline phosphatase treatment (image A). No signal was detected when tissues were treated with alkaline phosphatase (image B). The section was incubated with ab76085 for 30 mins at room temperature.
The immunostaining was performed on a Leica Biosystems BOND® RX instrument

Counterstained with Hematoxylin.

Heat mediated antigen retrieval was performed with Citrate buffer (pH 6.0, epitope retrieval solution 1) for 20 mins

Immunohistochemistry (Formalin/PFA-fixed paraffin-embedded sections) - Anti-ATF1 (phospho S63) antibody [EP1591(2)Y] - BSA and Azide free (AB284738)
  • IHC-P

Lab

Immunohistochemistry (Formalin/PFA-fixed paraffin-embedded sections) - Anti-ATF1 (phospho S63) antibody [EP1591(2)Y] - BSA and Azide free (AB284738)

This data was developed using ab76085, the same antibody clone in a different buffer formulation.

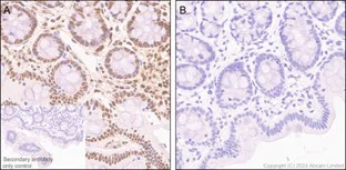
Immunohistochemical analysis of paraffin-embedded Rat colon tissue without alkaline phosphatase treatment (image A)/treated with alkaline phosphatase (image B) labeling ATF1 (phospho S63) with ab76085 at 1/2400 (0.105 ug/ml) dilution.

Positive staining on rat colon tissue without alkaline phosphatase treatment (image A). No signal was detected when tissues were treated with alkaline phosphatase (image B). The section was incubated with ab76085 for 30 mins at room temperature.
The immunostaining was performed on a Leica Biosystems BOND® RX instrument

Counterstained with Hematoxylin.

Heat mediated antigen retrieval was performed with Citrate buffer (pH 6.0, epitope retrieval solution 1) for 20 mins

Western blot - Anti-ATF1 (phospho S63) antibody [EP1591(2)Y] - BSA and Azide free (AB284738)
  • WB

Lab

Western blot - Anti-ATF1 (phospho S63) antibody [EP1591(2)Y] - BSA and Azide free (AB284738)

This data was developed using ab76085, the same antibody clone in a different buffer formulation.

Blocking and diluting buffer and concentration : 5% NFDM/TBST.

All lanes:

Western blot - Anti-ATF1 (phospho S63) antibody [EP1591(2)Y] (<a href='/en-us/products/primary-antibodies/atf1-phospho-s63-antibody-ep15912y-ab76085'>ab76085</a>) at 1/100 dilution

Lane 1:

Untreated HeLa (Human cervix adenocarcinoma epithelial cell) whole cell lysate at 15 µg

Lane 2:

HeLa whole cell lysate, the membrane was incubated with phosphatase at 37°C for 1 hour at 15 µg

Secondary

All lanes:

Western blot - Goat Anti-Rabbit IgG H&L (HRP) (<a href='/en-us/products/secondary-antibodies/goat-rabbit-igg-h-l-hrp-ab97051'>ab97051</a>) at 1/20000 dilution

Predicted band size: 29 kDa

false

Exposure time: 100s

Western blot - Anti-ATF1 (phospho S63) antibody [EP1591(2)Y] - BSA and Azide free (AB284738)
  • WB

Lab

Western blot - Anti-ATF1 (phospho S63) antibody [EP1591(2)Y] - BSA and Azide free (AB284738)

This data was developed using ab76085, the same antibody clone in a different buffer formulation.

Blocking and diluting buffer and concentration : 5% NFDM/TBST.

All lanes:

Western blot - Anti-ATF1 (phospho S63) antibody [EP1591(2)Y] (<a href='/en-us/products/primary-antibodies/atf1-phospho-s63-antibody-ep15912y-ab76085'>ab76085</a>) at 1/100 dilution

Lane 1:

Untreated PC-12 (Rat adrenal gland pheochromocytoma) whole cell lysate at 15 µg

Lane 2:

PC-12 whole cell lysate, the membrane was incubated with phosphatase at 37°C for 1 hour at 15 µg

Secondary

All lanes:

Western blot - Goat Anti-Rabbit IgG H&L (HRP) (<a href='/en-us/products/secondary-antibodies/goat-rabbit-igg-h-l-hrp-ab97051'>ab97051</a>) at 1/20000 dilution

Predicted band size: 29 kDa

false

Exposure time: 180s

Western blot - Anti-ATF1 (phospho S63) antibody [EP1591(2)Y] - BSA and Azide free (AB284738)
  • WB

Lab

Western blot - Anti-ATF1 (phospho S63) antibody [EP1591(2)Y] - BSA and Azide free (AB284738)

This data was developed using ab76085, the same antibody clone in a different buffer formulation.

Blocking and diluting buffer and concentration : 5% NFDM/TBST.

All lanes:

Western blot - Anti-ATF1 (phospho S63) antibody [EP1591(2)Y] (<a href='/en-us/products/primary-antibodies/atf1-phospho-s63-antibody-ep15912y-ab76085'>ab76085</a>) at 1/100 dilution

Lane 1:

Untreated RAW 264.7 (Mouse Abelson murine leukemia virus-induced tumor macrophage) whole cell lysate at 15 µg

Lane 2:

RAW 264.7 whole cell lysate, the membrane was incubated with phosphatase at 37°C for 1 hour at 15 µg

Secondary

All lanes:

Western blot - Goat Anti-Rabbit IgG H&L (HRP) (<a href='/en-us/products/secondary-antibodies/goat-rabbit-igg-h-l-hrp-ab97051'>ab97051</a>) at 1/20000 dilution

Predicted band size: 29 kDa

false

Exposure time: 40s

  • Unconjugated

    Anti-ATF1 (phospho S63) antibody [EP1591(2)Y]

Key facts

Host species

Rabbit

Clonality

Monoclonal

Clone number

EP1591(2)Y

Isotype

IgG

Carrier free

Yes

Reacts with

Human, Mouse, Rat

Applications

WB, IHC-P

applications

Immunogen

The exact immunogen used to generate this antibody is proprietary information.

Reactivity data

{ "title": "Reactivity Data", "filters": { "stats": ["", "Species", "Dilution Info", "Notes"], "tabs": { "all-applications": {"fullname" : "All Applications", "shortname": "All Applications"}, "IP" : {"fullname" : "Immunoprecipitation", "shortname":"IP"}, "FlowCyt" : {"fullname" : "Flow Cytometry", "shortname":"Flow Cyt"}, "WB" : {"fullname" : "Western blot", "shortname":"WB"}, "IHCP" : {"fullname" : "Immunohistochemistry (Formalin/PFA-fixed paraffin-embedded sections)", "shortname":"IHC-P"} }, "product-promise": { "all": "all", "testedAndGuaranteed": "tested", "guaranteed": "expected", "predicted": "predicted", "notRecommended": "not-recommended" } }, "values": { "Human": { "IP-species-checked": "notRecommended", "IP-species-dilution-info": "", "IP-species-notes": "<p></p>", "FlowCyt-species-checked": "notRecommended", "FlowCyt-species-dilution-info": "", "FlowCyt-species-notes": "<p></p>", "WB-species-checked": "testedAndGuaranteed", "WB-species-dilution-info": "", "WB-species-notes": "<p></p>", "IHCP-species-checked": "testedAndGuaranteed", "IHCP-species-dilution-info": "", "IHCP-species-notes": "<p></p>" }, "Mouse": { "IP-species-checked": "notRecommended", "IP-species-dilution-info": "", "IP-species-notes": "", "FlowCyt-species-checked": "notRecommended", "FlowCyt-species-dilution-info": "", "FlowCyt-species-notes": "", "WB-species-checked": "testedAndGuaranteed", "WB-species-dilution-info": "", "WB-species-notes": "<p></p>", "IHCP-species-checked": "testedAndGuaranteed", "IHCP-species-dilution-info": "", "IHCP-species-notes": "<p></p>" }, "Rat": { "IP-species-checked": "notRecommended", "IP-species-dilution-info": "", "IP-species-notes": "", "FlowCyt-species-checked": "notRecommended", "FlowCyt-species-dilution-info": "", "FlowCyt-species-notes": "", "WB-species-checked": "testedAndGuaranteed", "WB-species-dilution-info": "", "WB-species-notes": "<p></p>", "IHCP-species-checked": "testedAndGuaranteed", "IHCP-species-dilution-info": "", "IHCP-species-notes": "<p></p>" } } }

Product details

ab284738 is the carrier-free version of ab76085

Production method for this product has been changed from hybridoma to recombinant on 15th August 2024

Patented technology
Our RabMAb® technology is a patented hybridoma-based technology for making rabbit monoclonal antibodies. For details on our patents, please refer to RabMAb® patents.

Conjugation ready
Our carrier-free antibodies are typically supplied in a PBS-only formulation, purified and free of BSA, sodium azide and glycerol. This conjugation-ready format is designed for use with fluorochromes, metal isotopes, oligonucleotides, and enzymes, which makes them ideal for antibody labelling, functional and cell-based assays, flow-based assays (e.g. mass cytometry) and Multiplex Imaging applications.

Use our conjugation kits for antibody conjugates that are ready-to-use in as little as 20 minutes with 1 minute hands-on-time and 100% antibody recovery: available for fluorescent dyes, HRP, biotin and gold.

Compatibility
This product is compatible with the Maxpar® Antibody Labeling Kit from Fluidigm, without the need for antibody preparation. Maxpar® is a trademark of Fluidigm Canada Inc.

What are the advantages of a recombinant monoclonal antibody?
This product is a recombinant monoclonal antibody, which offers several advantages including:

  • - High batch-to-batch consistency and reproducibility
  • - Improved sensitivity and specificity
  • - Long-term security of supply
  • - Animal-free batch production

For more information, read more on recombinant antibodies.

Properties and storage information

Form
Liquid
Purification technique
Affinity purification Protein A
Storage buffer
pH: 7.2 - 7.4 Constituents: PBS
Shipped at conditions
Blue Ice
Appropriate short-term storage conditions
+4°C
Appropriate long-term storage conditions
+4°C

Supplementary information

This supplementary information is collated from multiple sources and compiled automatically.

'ATF1' also known as activating transcription factor 1 is a protein with a mass of approximately 29 kDa. This protein belongs to the ATF/CREB family of transcription factors and functions as a DNA-binding protein. It plays an important role in regulating gene expression by binding to cAMP response elements (CRE) in the promoter regions of target genes. ATF1 is widely expressed in multiple tissues including the brain and various endocrine organs functioning as an important regulator of cellular responses to environmental stimuli.
Biological function summary

ATF1 participates in the regulation of various cellular processes including proliferation differentiation and response to stress signals. It can form heterodimers with other members of the CREB family such as CREB1 allowing it to regulate diverse gene sets. These complexes enhance the DNA-binding affinity and transcriptional activity directed by CRE sites influencing cellular homeostasis and adaptation. Additionally post-translational modifications such as phosphorylation by protein kinases modulate ATF1 activity and stability.

Pathways

ATF1 integrates into the cAMP signaling pathway and the MAPK/ERK pathway. In the cAMP signaling pathway ATF1 responds to hormonal signals that activate adenylate cyclase resulting in increased levels of cAMP and subsequent activation of Protein Kinase A (PKA). PKA phosphorylates ATF1 increasing its transcriptional activity. In the MAPK/ERK pathway ATF1 links to the activation of mitogen-activated protein kinases which modulate gene expression related to cell growth and survival. This interaction also involves other proteins such as CREB and ATF2 highlighting a network of transcription factors that co-regulate gene expression.

ATF1 has implications in cancer and neurodegenerative diseases. In cancer alterations in ATF1 expression or function can lead to aberrant cell growth and survival often linked to its cooperation with CREB-related proteins. Specifically chromosomal translocations involving ATF1 have been observed in certain sarcomas like clear cell sarcoma where it forms a fusion protein that acts as a potent transcriptional activator. Concerning neurodegenerative diseases ATF1 may play a role in neuronal survival and stress response with its activity being impacted by dysregulated signaling pathways and interacting proteins such as CREB and ATF2 contributing to disease progression.

Product protocols

For this product, it's our understanding that no specific protocols are required. You can visit:

Target data

This protein binds the cAMP response element (CRE) (consensus : 5'-GTGACGT[AC][AG]-3'), a sequence present in many viral and cellular promoters. Binds to the Tax-responsive element (TRE) of HTLV-I. Mediates PKA-induced stimulation of CRE-reporter genes. Represses the expression of FTH1 and other antioxidant detoxification genes. Triggers cell proliferation and transformation.
See full target information Cyclic AMP-dependent transcription factor ATF-1 phospho S63

Product promise

We are committed to supporting your work with high-quality reagents, and we're here for you every step of the way. In the unlikely event that one of our products does not perform as expected, you're protected by our Product Promise.
For full details, please see our Terms & Conditions

Please note: All products are 'FOR RESEARCH USE ONLY. NOT FOR USE IN DIAGNOSTIC OR THERAPEUTIC PROCEDURES'.

For licensing inquiries, please contact partnerships@abcam.com