JavaScript is disabled in your browser. Please enable JavaScript to view this website.
AB31483

Anti-ATF2 antibody

5

(1 Review)

|

(1 Publication)

Rabbit Polyclonal ATF2 antibody. Suitable for WB, IHC-P and reacts with Human samples. Cited in 1 publication. Immunogen corresponding to Synthetic Peptide within Human ATF2.

View Alternative Names

CREB2, CREBP1, ATF2, Cyclic AMP-dependent transcription factor ATF-2, cAMP-dependent transcription factor ATF-2, Activating transcription factor 2, Cyclic AMP-responsive element-binding protein 2, HB16, cAMP response element-binding protein CRE-BP1, CREB-2, cAMP-responsive element-binding protein 2

2 Images
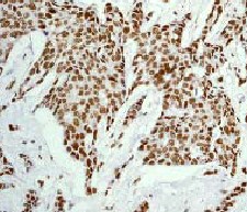
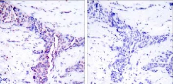
Immunohistochemistry (Formalin/PFA-fixed paraffin-embedded sections) - Anti-ATF2 antibody (AB31483)
  • IHC-P

Unknown

Immunohistochemistry (Formalin/PFA-fixed paraffin-embedded sections) - Anti-ATF2 antibody (AB31483)

ab31483, at a dilution of 1/50, staining ATF2 in paraffin embedded breast carcinoma tissue byImmunohistochemistry.
Left image : Using ab31483.
Right image : The same antibody preincubated with synthesized peptide.

Western blot - Anti-ATF2 antibody (AB31483)
  • WB

Unknown

Western blot - Anti-ATF2 antibody (AB31483)

All lanes:

Western blot - Anti-ATF2 antibody (ab31483) at 1/500 dilution

Lane 1:

Extracts from LOVO cells (5-30ug) treated with ab31483

Lane 2:

Extracts from LOVO cells (5-30ug) treated using the same antibody preincubated with synthesized peptide

Secondary

All lanes:

goat-anti-rabbit IgG-AP-conjugate

Predicted band size: 55 kDa

false

Key facts

Host species

Rabbit

Clonality

Polyclonal

Isotype

IgG

Carrier free

No

Reacts with

Human

Applications

WB, IHC-P

applications

Immunogen

Synthetic Peptide within Human ATF2. The exact immunogen used to generate this antibody is proprietary information.

P15336

Specificity

This antibody detects endogenous levels of ATF2 protein around Threonine 73 or 55.

Reactivity data

{ "title": "Reactivity Data", "filters": { "stats": ["", "Species", "Dilution Info", "Notes"], "tabs": { "all-applications": {"fullname" : "All Applications", "shortname": "All Applications"}, "WB" : {"fullname" : "Western blot", "shortname":"WB"}, "IHCP" : {"fullname" : "Immunohistochemistry (Formalin/PFA-fixed paraffin-embedded sections)", "shortname":"IHC-P"} }, "product-promise": { "all": "all", "testedAndGuaranteed": "tested", "guaranteed": "expected", "predicted": "predicted", "notRecommended": "not-recommended" } }, "values": { "Human": { "WB-species-checked": "testedAndGuaranteed", "WB-species-dilution-info": "1/500 - 1/1000", "WB-species-notes": "<p></p>", "IHCP-species-checked": "testedAndGuaranteed", "IHCP-species-dilution-info": "", "IHCP-species-notes": "<p></p>" } } }

Properties and storage information

Form
Liquid
Purification technique
Affinity purification Immunogen
Storage buffer
pH: 7.4 Preservative: 0.02% Sodium azide Constituents: PBS, 50% Glycerol (glycerin, glycerine), 0.87% Sodium chloride
Shipped at conditions
Blue Ice
Appropriate short-term storage conditions
+4°C
Appropriate long-term storage conditions
-20°C
Aliquoting information
Upon delivery aliquot
Storage information
Avoid freeze / thaw cycle

Supplementary information

This supplementary information is collated from multiple sources and compiled automatically.

The ATF2 protein also referred to as ATF-2 or activating transcription factor 2 plays a significant role as a transcription factor in cellular processes. It weighs approximately 75 kDa and is expressed in many tissues with higher levels in the brain heart and skeletal muscle. Functionally ATF2 belongs to the leucine zipper family of proteins facilitating its ability to bind DNA and regulate the expression of genes involved in stress responses development and growth.
Biological function summary

ATF2 takes part in the regulation of gene expression in response to various stimuli. It often forms a complex with other proteins such as c-Jun when binding to the DNA. This complex then influences the transcription of genes that respond to cellular stress and DNA damage. By phosphorylating specific serine residues cellular kinases activate ATF2 which then translocates to the nucleus where it exerts its function.

Pathways

ATF2 integrates into the MAPK and JNK signaling cascades which are important for transmitting stress signals from the cell surface to the nucleus. Through these pathways ATF2 interacts with proteins such as JNK and p38 MAPK modulating the transcription of downstream genes that control cell proliferation apoptosis and differentiation. Its role in these pathways positions ATF2 as a critical node where various signaling inputs merge to influence cellular outcomes.

ATF2 has associations with conditions such as cancer and neurological disorders. Aberrant regulation of ATF2 can contribute to oncogenesis by affecting cell cycle control and apoptosis. For example in melanoma altered ATF2 activity is linked to tumor progression and resistance to apoptosis. Additionally in neurological disorders its interaction with proteins like phospho-c-Jun influences neuronal survival and plasticity implicating ATF2 in pathologies related to neurodegeneration and cognitive dysfunction.

Product protocols

For this product, it's our understanding that no specific protocols are required. You can visit:

Target data

Transcriptional activator which regulates the transcription of various genes, including those involved in anti-apoptosis, cell growth, and DNA damage response. Dependent on its binding partner, binds to CRE (cAMP response element) consensus sequences (5'-TGACGTCA-3') or to AP-1 (activator protein 1) consensus sequences (5'-TGACTCA-3'). In the nucleus, contributes to global transcription and the DNA damage response, in addition to specific transcriptional activities that are related to cell development, proliferation and death. In the cytoplasm, interacts with and perturbs HK1- and VDAC1-containing complexes at the mitochondrial outer membrane, thereby impairing mitochondrial membrane potential, inducing mitochondrial leakage and promoting cell death. The phosphorylated form (mediated by ATM) plays a role in the DNA damage response and is involved in the ionizing radiation (IR)-induced S phase checkpoint control and in the recruitment of the MRN complex into the IR-induced foci (IRIF). Exhibits histone acetyltransferase (HAT) activity which specifically acetylates histones H2B and H4 in vitro (PubMed : 10821277). In concert with CUL3 and RBX1, promotes the degradation of KAT5 thereby attenuating its ability to acetylate and activate ATM. Can elicit oncogenic or tumor suppressor activities depending on the tissue or cell type.
See full target information ATF2

Publications (1)

Recent publications for all applications. Explore the full list and refine your search

Veterinary sciences 12: PubMed40267013

2025

Exogenous L-Serine Alleviates -Induced Inflammation by Reprogramming the Transcription and Metabolism of Macrophages.

Applications

Unspecified application

Species

Unspecified reactive species

Fang He,Zhengchun Lang,Yanlan Huang,Yangyang Qiu,Pan Xiong,Nengzhang Li,Guangfu Zhao,Yuanyi Peng
View all publications

Product promise

We are committed to supporting your work with high-quality reagents, and we're here for you every step of the way. In the unlikely event that one of our products does not perform as expected, you're protected by our Product Promise.
For full details, please see our Terms & Conditions

Please note: All products are 'FOR RESEARCH USE ONLY. NOT FOR USE IN DIAGNOSTIC OR THERAPEUTIC PROCEDURES'.

For licensing inquiries, please contact partnerships@abcam.com