JavaScript is disabled in your browser. Please enable JavaScript to view this website.
AB207434

Anti-ATF3 antibody [EPR19488] - ChIP Grade

  • RabMAb
  • Advanced Validation
  • Recombinant
  • KO Validated
  • 20ul selling size
  • What is this?

5

(1 Review)

|

(70 Publications)

Anti-ATF3 antibody [EPR19488] - ChIP Grade (ab207434) is a rabbit monoclonal antibody detecting ATF3 in Western Blot, IP, ICC/IF, ChIP. Suitable for Human, Mouse.

- KO validated for confirmed specificity
- Biophysical QC for unrivalled batch-batch consistency
- Over 30 publications

View Alternative Names

Cyclic AMP-dependent transcription factor ATF-3, cAMP-dependent transcription factor ATF-3, Activating transcription factor 3, ATF3

14 Images
Immunocytochemistry/ Immunofluorescence - Anti-ATF3 antibody [EPR19488] - ChIP Grade (AB207434)
  • ICC/IF

Lab

Immunocytochemistry/ Immunofluorescence - Anti-ATF3 antibody [EPR19488] - ChIP Grade (AB207434)

ab207434 staining ATF3 in wild-type Hap1 cells (top panel) and ATF3 knockout Hap1 cells (bottom panel). The cells were fixed with 4% paraformaldehyde (10 min) permeabilized with 0.1% Triton X-100 for 5 minutes and then blocked with 1% BSA/10% normal goat serum/0.3M glycine in 0.1% PBS-Tween for 1h. The cells were then incubated with ab207434 at 1/100 dilution and ab7291 (Tubulin) at 1/1000 dilution overnight at +4°C, followed by a further incubation at room temperature for 1h with a goat secondary antibody to rabbit IgG (Alexa Fluor® 488) (ab150081) at 2 μg/ml (shown in green) and a goat secondary antibody to mouse IgG (Alexa Fluor® 594) (ab150120) at 2 μg/ml (shown in pseudo color red). Nuclear DNA was labelled in blue with DAPI.

Image was taken with a confocal microscope (Leica-Microsystems, TCS SP8).

Immunocytochemistry/ Immunofluorescence - Anti-ATF3 antibody [EPR19488] - ChIP Grade (AB207434)
  • ICC/IF

Supplier Data

Immunocytochemistry/ Immunofluorescence - Anti-ATF3 antibody [EPR19488] - ChIP Grade (AB207434)

Immunofluorescent analysis of 4% paraformaldehyde-fixed, 0.1% Triton X-100 permeabilized THP-1 (Human monocytic leukemia cell line) cells labeling ATF3 with ab207434 at 1/100 dilution, followed by Goat Anti-Rabbit IgG H&L (Alexa Fluor® 488) (ab150077) secondary antibody at 1/1000 dilution (green). Confocal image showing increased nuclear staining on THP-1 cell line, after treatment with TPA (80nM) for overnight, followed by LPS (1μg/ml) for 8 hours.

The nuclear counter stain is DAPI (blue). Tubulin is detected with Anti-alpha Tubulin mouse MAb (ab7291) at 1/1000 dilution, followed by Goat Anti-Mouse IgG H&L (Alexa Fluor® 594) (ab150120) secondary antibody at 1/1000 dilution (red).

The negative controls are as follows :
-ve control 1 : ab207434 at 1/100 dilution followed by followed by Goat Anti-Mouse IgG H&L (Alexa Fluor® 594) (ab150120) secondary antibody at 1/1000 dilution.
-ve control 2 : Anti-alpha Tubulin mouse MAb (ab7291) at 1/1000 dilution followed by Goat Anti-Rabbit IgG H&L (Alexa Fluor® 488) (ab150077) secondary antibody at 1/1000 dilution.

Immunoprecipitation - Anti-ATF3 antibody [EPR19488] - ChIP Grade (AB207434)
  • IP

Lab

Immunoprecipitation - Anti-ATF3 antibody [EPR19488] - ChIP Grade (AB207434)

ab207434 at 1/50 immunoprecipitating ATF3 in HeLa (human cervix adenocarcinoma) cells.

Lane 1 (input) : HeLa whole cell lysate 10μg
Lane 2 (+) : ab207434 + HeLa whole cell lysate
Lane 3 (-) : Rabbit monoclonal IgG (ab172730) instead of ab207434 in HeLa (human cervix adenocarcinoma) whole cell lysate

For western blotting, ab207434 (1 : 500) as primary antibody and VeriBlot for IP Detection Reagent (HRP) (ab131366), was used for detection at 1/1000 dilution.

Blocking buffer and concentration : 5% NFDM/TBST.
Diluting buffer and concentration : 5% NFDM /TBST.

All lanes:

Immunoprecipitation - Anti-ATF3 antibody [EPR19488] - ChIP Grade (ab207434)

Predicted band size: 21 kDa

Observed band size: 21 kDa

false

Exposure time: 3min

ChIP - Anti-ATF3 antibody [EPR19488] - ChIP Grade (AB207434)
  • ChIP

Unknown

ChIP - Anti-ATF3 antibody [EPR19488] - ChIP Grade (AB207434)

Chromatin was prepared from Hela cells according to the Abcam Dual X-ChIP protocol*. Cells were fixed with EGS for 30 minutes, then formaldehyde for 10 minutes.
The ChIP was performed with 25 µg of chromatin, 5 µg of ab207434 (red), and 20 µl of Protein A/G sepharose beads. 5 µg of rabbit normal IgG was added to the beads control (gray). The immunoprecipitated DNA was quantified by real time PCR (Sybr green approach).
Primers and probes are located in the first kb of the transcribed region.
*http : //www.abcam.com/resources?keywords=X%20ChIP%20protocol

Immunocytochemistry/ Immunofluorescence - Anti-ATF3 antibody [EPR19488] - ChIP Grade (AB207434)
  • ICC/IF

Supplier Data

Immunocytochemistry/ Immunofluorescence - Anti-ATF3 antibody [EPR19488] - ChIP Grade (AB207434)

Immunofluorescent analysis of 4% paraformaldehyde-fixed, 0.1% Triton X-100 permeabilized RAW 264.7 (Mouse macrophage cell line transformed with Abelson murine leukemia virus) cells labeling ATF3 with ab207434 at 1/100 dilution, followed by Goat Anti-Rabbit IgG (Alexa Fluor® 488) (ab150077) secondary antibody at 1/1000 dilution (green). Confocal image showing increased nuclear staining on RAW 264.7 cell line, after treatment with LPS (1μg/ml) for 2 hours.

The nuclear counter stain is DAPI (blue). Tubulin is detected with with Anti-alpha Tubulin mouse MAb (ab7291) at 1/1000 dilution, followed by Goat Anti-Mouse IgG H&L (Alexa Fluor® 594) (ab150120) secondary antibody at 1/1000 dilution (red).

The negative controls are as follows :
-ve control 1 : ab207434 at 1/100 dilution, followed by Goat Anti-Mouse IgG H&L (Alexa Fluor® 594) (ab150120) secondary antibody at 1/1000 dilution.
-ve control 2 : with Anti-alpha Tubulin mouse MAb (ab7291) at 1/1000 dilution, followed by Goat Anti-Rabbit IgG (Alexa Fluor® 488) (ab150077) secondary antibody at 1/1000 dilution.

Western blot - Anti-ATF3 antibody [EPR19488] - ChIP Grade (AB207434)
  • WB

Lab

Western blot - Anti-ATF3 antibody [EPR19488] - ChIP Grade (AB207434)

Lanes 1- 2 : Merged signal (red and green). Green - ab207434 observed at 21 kDa. Red - Anti-GAPDH antibody [6C5] - Loading Control (ab8245) observed at 37 kDa.

ab207434 was shown to react with ATF3 in wild-type HeLa cells in western blot. Loss of signal was observed when knockout cell line ab264908 (knockout cell lysate ab257073) was used. Wild-type HeLa and ATF3 knockout HeLa cell lysates were subjected to SDS-PAGE. Membrane was blocked for 1 hour at room temperature in 0.1% TBST with 3% non-fat dried milk. ab207434 and Anti-GAPDH antibody [6C5] - Loading Control (ab8245) overnight at 4°C at a 1 in 1000 dilution and a 1 in 20000 dilution respectively. Blots were developed with Goat anti-Rabbit IgG H&L (IRDye®800CW) preadsorbed (ab216773) and Goat anti-Mouse IgG H&L (IRDye®680RD) preadsorbed (ab216776) secondary antibodies at 1 in 20000 dilution for 1 hour at room temperature before imaging.

All lanes:

Western blot - Anti-ATF3 antibody [EPR19488] - ChIP Grade (ab207434) at 1/1000 dilution

Lane 1:

Wild-type HeLa cell lysate at 20 µg

Lane 2:

ATF3 knockout HeLa cell lysate at 20 µg

Lane 2:

Western blot - Human ATF3 knockout HeLa cell line (<a href='/en-us/products/cell-lines/human-atf3-knockout-hela-cell-line-ab264908'>ab264908</a>)

Predicted band size: 21 kDa

Observed band size: 21 kDa

false

Western blot - Anti-ATF3 antibody [EPR19488] - ChIP Grade (AB207434)
  • WB

Lab

Western blot - Anti-ATF3 antibody [EPR19488] - ChIP Grade (AB207434)

Lanes 1-2 : Merged signal (red and green). Green - ab207434 observed at 21 kDa. Red - loading control ab8245 observed at 37 kDa.

ab207434 Anti-ATF3 antibody [EPR19488] - ChIP Grade was shown to specifically react with ATF3 in wild-type A549 cells. Loss of signal was observed when knockout cell line ab266955 (knockout cell lysate ab257075) was used. Wild-type and ATF3 knockout samples were subjected to SDS-PAGE. ab207434 and Anti-GAPDH antibody [6C5] - Loading Control (ab8245) were incubated overnight at 4°C at 1 in 1000 and 1 in 20000 dilution respectively. Blots were developed with Goat anti-Rabbit IgG H&L (IRDye® 800CW) preadsorbed (ab216773) and Goat anti-Mouse IgG H&L (IRDye® 680RD) preadsorbed (ab216776) secondary antibodies at 1 in 20000 dilution for 1 hour at room temperature before imaging.

All lanes:

Western blot - Anti-ATF3 antibody [EPR19488] - ChIP Grade (ab207434) at 1/1000 dilution

Lane 1:

Wild-type A549 cell lysate at 20 µg

Lane 2:

ATF3 knockout A549 cell lysate at 20 µg

Lane 2:

Western blot - Human ATF3 knockout A549 cell line (<a href='/en-us/products/cell-lines/human-atf3-knockout-a549-cell-line-ab266955'>ab266955</a>)

Predicted band size: 21 kDa

Observed band size: 21 kDa

false

Western blot - Anti-ATF3 antibody [EPR19488] - ChIP Grade (AB207434)
  • WB

Lab

Western blot - Anti-ATF3 antibody [EPR19488] - ChIP Grade (AB207434)

Blocking/Diluting buffer and concentration : 5% NFDM/TBST.

ATF3 has a low expression level in some cell lines and tissues, but is increased under treatment (PMID : 8622660, PMID : 22053207, PMID : 20018623, PMID : 29940414).

Rabbit monoclonal [EPR16891] to GAPDH (ab181602) used as loading control.

All lanes:

Western blot - Anti-ATF3 antibody [EPR19488] - ChIP Grade (ab207434) at 1/500 dilution

Lane 1:

293T (Human embryonic kidney epithelial cell) whole cell lysate at 20 µg

Lane 2:

Human liver tissue lysate at 20 µg

Lane 3:

Raw264.7 (Mouse abelson murine leukemia virus-induced tumor macrophage) whole cell lysate at 20 µg

Lane 4:

Mouse liver tissue lysate at 20 µg

Lane 5:

MEF (Mouse embryonic fibroblast (immortalized)) whole cell lysate at 20 µg

Lane 6:

Mouse heart tissue lysate at 20 µg

Secondary

All lanes:

Western blot - Goat Anti-Rabbit IgG H&L (HRP) (<a href='/en-us/products/secondary-antibodies/goat-rabbit-igg-h-l-hrp-ab97051'>ab97051</a>) at 1/20000 dilution

Predicted band size: 21 kDa

Observed band size: 21 kDa

false

Exposure time: 180s

Western blot - Anti-ATF3 antibody [EPR19488] - ChIP Grade (AB207434)
  • WB

Supplier Data

Western blot - Anti-ATF3 antibody [EPR19488] - ChIP Grade (AB207434)

Blocking/Dilution buffer : 5% NFDM/TBST.

The expression profile observed is consistent with what has been described in the literature (PMID : 24973221).

All lanes:

Western blot - Anti-ATF3 antibody [EPR19488] - ChIP Grade (ab207434) at 1/1000 dilution

Lane 1:

Untreated THP-1 (Human monocytic leukemia cell line) whole cell lysate at 10 µg

Lane 2:

THP-1 (Human monocytic leukemia cell line) treated with 80nM TPA overnight, then treated with 1 μg/ml LPS for 8 hours whole cell lysate at 10 µg

Secondary

All lanes:

Western blot - Goat Anti-Rabbit IgG H&L (HRP) (<a href='/en-us/products/secondary-antibodies/goat-rabbit-igg-h-l-hrp-ab97051'>ab97051</a>) at 1/100000 dilution

Predicted band size: 21 kDa

Observed band size: 21 kDa

false

Exposure time: 3min

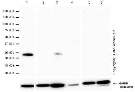
Western blot - Anti-ATF3 antibody [EPR19488] - ChIP Grade (AB207434)
  • WB

Supplier Data

Western blot - Anti-ATF3 antibody [EPR19488] - ChIP Grade (AB207434)

Blocking/Diluting buffer and concentration 5% NFDM /TBST

ATF3 migrates as a 21 and 23 kDa doublet band due to an alternative ATG usage (PMID : 12225289, PMID : 8649793)

The mRNA and protein expression of ATF3 is low or undetectable in most cells, but its expression is rapidly induced by a large variety of cellular stresses including DNA damage, wounds, and cellular injury (PMID : 19136462, 20651982, 20592017).

All lanes:

Western blot - Anti-ATF3 antibody [EPR19488] - ChIP Grade (ab207434) at 1/1000 dilution

Lane 1:

HeLa (Human cervix adenocarcinoma epithelial cell) whole cell lysate at 20 µg

Lane 2:

HEK-293 (Human embryonic kidney epithelial cell) whole cell lysate at 20 µg

Lane 3:

Jurkat (Human T cell leukemia T lymphocyte) whole cell lysate at 20 µg

Lane 4:

A431 (Human epidermoid carcinoma epithelial cell) whole cell lysate at 20 µg

Lane 5:

HepG2 (Human hepatocellular carcinoma epithelial cell) whole cell lysate at 20 µg

Lane 6:

LnCap (Human prostate carcinoma epithelial cell) whole cell lysate at 20 µg

Secondary

All lanes:

Western blot - Goat Anti-Rabbit IgG H&L (HRP) (<a href='/en-us/products/secondary-antibodies/goat-rabbit-igg-h-l-hrp-ab97051'>ab97051</a>) at 1/20000 dilution

Predicted band size: 21 kDa

Observed band size: 21 kDa,23 kDa

false

Exposure time: 180s

Western blot - Anti-ATF3 antibody [EPR19488] - ChIP Grade (AB207434)
  • WB

Lab

Western blot - Anti-ATF3 antibody [EPR19488] - ChIP Grade (AB207434)

Lanes 1 - 3 : Merged signal (red and green). Green - ab207434 observed at 21 kDa. Red - loading control, ab9484, observed at 37 kDa.

ab207434 was shown to specifically react with ATF3 in wild-type HAP1 cells as signal was lost in ATF3 knockout cells. Wild-type and ATF3 knockout samples were subjected to SDS-PAGE. ab207434 and ab9484 (Mouse anti-GAPDH loading control) were incubated overnight at 4°C at 1/1000 dilution and 1/20000 dilution respectively. Blots were developed with Goat anti-Rabbit IgG H&L (IRDye® 800CW) preabsorbed ab216773 and Goat anti-Mouse IgG H&L (IRDye® 680RD) preabsorbed ab216776 secondary antibodies at 1/20000 dilution for 1 hour at room temperature before imaging.

All lanes:

Western blot - Anti-ATF3 antibody [EPR19488] - ChIP Grade (ab207434) at 1/1000 dilution

Lane 1:

Wild-type HAP1 whole cell lysate at 20 µg

Lane 2:

ATF3 knockout HAP1 whole cell lysate at 20 µg

Lane 3:

HepG2 whole cell lysate at 20 µg

Predicted band size: 21 kDa

false

Western blot - Anti-ATF3 antibody [EPR19488] - ChIP Grade (AB207434)
  • WB

Unknown

Western blot - Anti-ATF3 antibody [EPR19488] - ChIP Grade (AB207434)

Lanes 1-2 : Merged signal (red and green). Green - ab207434 observed at 21 kDa. Red - loading control ab8245 observed at 37 kDa.

ab207434 Anti-ATF3 antibody [EPR19488] - ChIP Grade was shown to specifically react with ATF3 in wild-type HCT116 cells. Loss of signal was observed when knockout cell line ab266872 (knockout cell lysate ab257074) was used. Wild-type and ATF3 knockout samples were subjected to SDS-PAGE. ab207434 and Anti-GAPDH antibody [6C5] - Loading Control (ab8245) were incubated overnight at 4°C at 1 in 1000 and 1 in 20000 dilution respectively. Blots were developed with Goat anti-Rabbit IgG H&L (IRDye® 800CW) preadsorbed (ab216773) and Goat anti-Mouse IgG H&L (IRDye® 680RD) preadsorbed (ab216776) secondary antibodies at 1 in 20000 dilution for 1 hour at room temperature before imaging.

All lanes:

Western blot - Anti-ATF3 antibody [EPR19488] - ChIP Grade (ab207434) at 1/1000 dilution

Lane 1:

Wild-type HCT116 cell lysate at 20 µg

Lane 2:

ATF3 knockout HCT116 cell lysate at 20 µg

Lane 2:

Western blot - Human ATF3 knockout HCT116 cell line (<a href='/en-us/products/cell-lines/human-atf3-knockout-hct116-cell-line-ab266872'>ab266872</a>)

Predicted band size: 21 kDa

Observed band size: 21 kDa

false

ChIC/CUT&RUN sequencing - Anti-ATF3 antibody [EPR19488] - ChIP Grade (AB207434)
  • ChIC/CUT&RUN-seq

Lab

ChIC/CUT&RUN sequencing - Anti-ATF3 antibody [EPR19488] - ChIP Grade (AB207434)

ChIC/CUT&RUN was performed using a pAG-MNAse at a final concentration of 700 ng/mL. 2.5X10^5 of Human ATF3 knockout HeLa cell line (ab264908) or Human wild-type HeLa cell line (ab255448) were used along with 5µg of Anti-ATF3 antibody (ab207434). Assay Quality Control was conducted using 5µg Anti-CTCF (ab188408) on the same cell lines. The resulting DNA was sequenced on the Illumina NovaSeq 6000 to a depth of 10 million reads. The negative IgG control ab172730 is also shown. Additional screenshots of mapped reads can be found in the Protocol booklet in the Product Protocol section. The University of Geneva owns patents relevant to ChIC (Chromatin Immuno-Cleavage) methods.

Western blot - Anti-ATF3 antibody [EPR19488] - ChIP Grade (AB207434)
  • WB

Supplier Data

Western blot - Anti-ATF3 antibody [EPR19488] - ChIP Grade (AB207434)

Blocking/Dilution buffer : 5% NFDM/TBST.

The expression profile observed is consistent with what has been described in the literature (PMID : 24973221, PMID : 19136462).

All lanes:

Western blot - Anti-ATF3 antibody [EPR19488] - ChIP Grade (ab207434) at 1/1000 dilution

Lane 1:

Untreated RAW 264.7 (Mouse macrophage cell line transformed with Abelson murine leukemia virus) whole cell lysate at 10 µg

Lane 2:

RAW 264.7 (Mouse macrophage cell line transformed with Abelson murine leukemia virus) treated with 1 μg/ml LPS for 2 hours whole cell lysate at 10 µg

Secondary

All lanes:

Western blot - Goat Anti-Rabbit IgG H&L (HRP) (<a href='/en-us/products/secondary-antibodies/goat-rabbit-igg-h-l-hrp-ab97051'>ab97051</a>) at 1/100000 dilution

Predicted band size: 21 kDa,97 kDa

Observed band size: 110 kDa,21 kDa

false

Exposure time: 1min

  • Carrier free

    Anti-ATF3 antibody [EPR19488] - BSA and Azide free

Key facts

Host species

Rabbit

Clonality

Monoclonal

Clone number

EPR19488

Isotype

IgG

Carrier free

No

Reacts with

Mouse, Human

Applications

ChIC/CUT&RUN-seq, ChIP, ICC/IF, WB, IP

applications

Immunogen

The exact immunogen used to generate this antibody is proprietary information.

Specificity

Stimulation may be required to allow detection of the target protein due to low levels of endogenous expression in some samples. Please see images below for recommended treatment conditions and positive controls.

Reactivity data

{ "title": "Reactivity Data", "filters": { "stats": ["", "Species", "Dilution Info", "Notes"], "tabs": { "all-applications": {"fullname" : "All Applications", "shortname": "All Applications"}, "ChICCUTRUNseq" : {"fullname" : "ChIC/CUT&RUN sequencing", "shortname":"ChIC/CUT&RUN-seq"}, "IP" : {"fullname" : "Immunoprecipitation", "shortname":"IP"}, "ChIP" : {"fullname" : "ChIP", "shortname":"ChIP"}, "WB" : {"fullname" : "Western blot", "shortname":"WB"}, "ICCIF" : {"fullname" : "Immunocytochemistry/ Immunofluorescence", "shortname":"ICC/IF"} }, "product-promise": { "all": "all", "testedAndGuaranteed": "tested", "guaranteed": "expected", "predicted": "predicted", "notRecommended": "not-recommended" } }, "values": { "Human": { "ChICCUTRUNseq-species-checked": "testedAndGuaranteed", "ChICCUTRUNseq-species-dilution-info": "", "ChICCUTRUNseq-species-notes": "<p></p>", "IP-species-checked": "testedAndGuaranteed", "IP-species-dilution-info": "1/50", "IP-species-notes": "<p></p>", "ChIP-species-checked": "testedAndGuaranteed", "ChIP-species-dilution-info": "", "ChIP-species-notes": "<p></p>", "WB-species-checked": "testedAndGuaranteed", "WB-species-dilution-info": "1/1000", "WB-species-notes": "<p></p>", "ICCIF-species-checked": "testedAndGuaranteed", "ICCIF-species-dilution-info": "1/100", "ICCIF-species-notes": "<p></p>" }, "Mouse": { "ChICCUTRUNseq-species-checked": "guaranteed", "ChICCUTRUNseq-species-dilution-info": "", "ChICCUTRUNseq-species-notes": "", "IP-species-checked": "guaranteed", "IP-species-dilution-info": "", "IP-species-notes": "", "ChIP-species-checked": "guaranteed", "ChIP-species-dilution-info": "", "ChIP-species-notes": "", "WB-species-checked": "testedAndGuaranteed", "WB-species-dilution-info": "1/1000", "WB-species-notes": "<p></p>", "ICCIF-species-checked": "testedAndGuaranteed", "ICCIF-species-dilution-info": "1/100", "ICCIF-species-notes": "<p></p>" } } }

Product details

What is this antibody validated in?
Anti-ATF3 antibody [EPR19488] - ChIP Grade (ab207434) is a rabbit recombinant monoclonal antibody and is validated for use in Western Blot (WB), Immunoprecipitation (IP), Immunocytochemistry/immunofluorescence (ICC/IF), ChIP in Human, Mouse samples.

What is the molecular weight of ATF3?
Anti-ATF3 [EPR19488] - ChIP Grade (ab207434) specifically detects a band for ATF3 (UniProt: P18847) at a molecular weight of 21kDa.

Trusted by the scientific community
Anti-ATF3 [EPR19488] - ChIP Grade (ab207434) was first used in a scientific publication in 2016 and has been cited over 30 times in peer-reviewed journals.

Trial sizes available!
Test your antibody or perform pre-screening before committing to a larger quantity. Sold in 10µl. Discover our selection of trial-size antibodies.

Specificity confirmed
The specificity of Anti-ATF3 antibody [EPR19488] - ChIP Grade (ab207434) has been confirmed by Immunocytochemistry testing in ATF3 Knockout HAP1 cells.

Other related products
We have a range of other formats of antibody clone [EPR19488] also available for your convenience: ab207434, Carrier free - ab232375

Patented technology
Our RabMAb® technology is a patented hybridoma-based technology for making rabbit monoclonal antibodies. For details on our patents, please refer to RabMAb® patents.

What are the advantages of a recombinant monoclonal antibody?
This product is a recombinant monoclonal antibody, which offers several advantages including:

  • - High batch-to-batch consistency and reproducibility
  • - Improved sensitivity and specificity
  • - Long-term security of supply
  • - Animal-free batch production

For more information, read more on recombinant antibodies.

Properties and storage information

Form
Liquid
Purification technique
Affinity purification Protein A
Storage buffer
pH: 7.2 - 7.4 Preservative: 0.01% Sodium azide Constituents: PBS, 40% Glycerol (glycerin, glycerine), 0.05% BSA
Shipped at conditions
Blue Ice
Appropriate short-term storage duration
1-2 weeks
Appropriate short-term storage conditions
+4°C
Appropriate long-term storage conditions
-20°C
Aliquoting information
Upon delivery aliquot
Storage information
Avoid freeze / thaw cycle

Supplementary information

This supplementary information is collated from multiple sources and compiled automatically.

ATF3 also known as Activating Transcription Factor 3 functions primarily as a stress-responsive transcription factor. This protein has a molecular weight of about 21 kDa and is part of the ATF/CREB family of transcription factors. ATF3 is expressed in various tissues and is known for its role in stress response and regulation of gene expression. The expression levels change in response to cellular stress and it may interact with several other transcription factors to modulate gene expression profiles.
Biological function summary

ATF3 acts as a regulator of cellular stress responses and can influence cell cycle arrest and apoptosis. It does not form a large complex but interacts with diverse partners to execute its functions. Studies often use HCT116 cells to investigate ATF3's role where it can serve as a marker of cellular stress and inflammation. The protein regulates genes involved in maintaining homeostasis in stressed cells.

Pathways

ATF3 is involved in stress response and apoptotic pathways. In the context of apoptosis ATF3 interacts with proteins like p53 and Jun which are important for inducing cell cycle arrest and programmed cell death. In stress response pathways ATF3 modifies transcriptional activity in reaction to various stress signals providing a checkpoint for damaged cells before repairing or entering programmed death.

ATF3 relates to cancer and cardiovascular diseases. In cancer abnormal expression of ATF3 can influence tumor growth and metastasis often acting through its interactions with proteins like NF-kB. Additionally in cardiovascular disorders ATF3's role in regulating stress responses underpins its involvement in conditions linked to inflammation and atherosclerosis again with NF-kB signaling being a relevant pathway of interaction. Researchers continue to study ATF3 to uncover therapeutic targets for these and other diseases.

Product protocols

For this product, it's our understanding that no specific protocols are required. You can visit:

Target data

This protein binds the cAMP response element (CRE) (consensus : 5'-GTGACGT[AC][AG]-3'), a sequence present in many viral and cellular promoters. Represses transcription from promoters with ATF sites. It may repress transcription by stabilizing the binding of inhibitory cofactors at the promoter.. Isoform 2. Activates transcription presumably by sequestering inhibitory cofactors away from the promoters.. Isoform 3. Stress-induced isoform, counteracts the transcriptional repression of isoform 1.
See full target information ATF3

Publications (70)

Recent publications for all applications. Explore the full list and refine your search

Signal transduction and targeted therapy 10:296 PubMed40931016

2025

Loss-of-function variations in solute carrier family 38 member 6 are associated with essential tremor.

Applications

Unspecified application

Species

Unspecified reactive species

Zhangqi Yuan,Qiying Sun,Junyu Luo,Lu Zhang,Yichi Zhang,Jifeng Guo,Cheng Wang,Kangjuan Yang,Shumin Yang,Yanjie Cao,Yinhua Shen,Jiaming Cui,Hengxiang Cui,Hao Sun,Tingbin Ma,Xuan Xu,Chun-Jie Liu,Tao Wang,An-Yuan Guo,Aifang Cheng,Luoying Zhang,Jun Liu,Man Jiang,Beisha Tang,Jing Yu Liu

Frontiers in pharmacology 16:1593290 PubMed40880646

2025

Mechanisms of sorafenib-induced cardiotoxicity: ER stress induces upregulation of ATF3, leading to downregulation of NDUFS1 expression and mitochondrial dysfunction.

Applications

Unspecified application

Species

Unspecified reactive species

Ming Yan,Cheng Peng,Xueyan Lang,Yilan Li,Yao Zhang

Journal of experimental & clinical cancer research : CR 44:255 PubMed40866941

2025

Vinburnine potentiates anti-PD1 immunotherapy in melanoma through IL-24 secretion via P38/MAPK/ATF3 signaling.

Applications

Unspecified application

Species

Unspecified reactive species

Susi Zhu,Xu Zhang,Waner Liu,Zhe Zhou,Siyu Xiong,Xiang Chen,Cong Peng

Nature 646:462-473 PubMed40836096

2025

Cancer-induced nerve injury promotes resistance to anti-PD-1 therapy.

Applications

Unspecified application

Species

Unspecified reactive species

Erez N Baruch,Frederico O Gleber-Netto,Priyadharsini Nagarajan,Xiayu Rao,Shamima Akhter,Tuany Eichwald,Tongxin Xie,Mohammad Balood,Adebayo Adewale,Shorook Naara,Hinduja N Sathishkumar,Shajedul Islam,William McCarthy,Brandi J Mattson,Renata Ferrarotto,Michael K Wong,Michael A Davies,Sonali Jindal,Sreyashi Basu,Karine Roversi,Amin Reza Nikpoor,Maryam Ahmadi,Ali Ahmadi,Catherine Harwood,Irene Leigh,Dennis Gong,Paulino Tallón de Lara,Derrick L Tao,Tara M Davidson,Nadim J Ajami,Andrew Futreal,Kunal Rai,Veena Kochat,Micah Castillo,Preethi Gunaratne,Ryan P Goepfert,Sharia D Hernandez,Nikhil I Khushalani,Jing Wang,Stephanie S Watowich,George A Calin,Michael R Migden,Mona Yuan,Naijiang Liu,Yi Ye,William L Hwang,Paola D Vermeer,Nisha J D'Silva,Yuri L Bunimovich,Dan Yaniv,Jared K Burks,Javier Gomez,Patrick M Dougherty,Kenneth Y Tsai,James P Allison,Padmanee Sharma,Jennifer A Wargo,Jeffrey N Myers,Sebastien Talbot,Neil D Gross,Moran Amit

Biological research 58:52 PubMed40722201

2025

Targeting EGR1-ATF3 signaling mitigates paravertebral muscle degeneration by regulating cell death and inflammaging.

Applications

Unspecified application

Species

Unspecified reactive species

Xuke Wang,Qingfeng Wang,Zhe Wang,Yingjie Zhou,Xiaobing Jiang,Yongjin Li

Frontiers in bioengineering and biotechnology 13:1570270 PubMed40635690

2025

Development and application of a stepwise-assembled modular biomimetic lung chip for analyzing formaldehyde-induced cellular ferroptosis.

Applications

Unspecified application

Species

Unspecified reactive species

Siyu Chen,Zezhi Li,Quanping Yan,Chenfeng Hua,Pingping Shang,Kejian Liu,Junwei Zhao,Guangxiang Jin,Xiang Li,Fuwei Xie

Cell genomics 5:100887 PubMed40409273

2025

Sequential activation of transcription factors promotes liver regeneration through specific and developmental enhancers.

Applications

Unspecified application

Species

Unspecified reactive species

Palmira Llorens-Giralt,Marina Ruiz-Romero,Ramil Nurtdinov,Macarena Herranz-Itúrbide,Guillermo P Vicent,Florenci Serras,Isabel Fabregat,Montserrat Corominas

Cell death and differentiation : PubMed40374849

2025

Cockayne syndrome mice reflect human kidney disease and are defective in de novo NAD biosynthesis.

Applications

Unspecified application

Species

Unspecified reactive species

Komal Pekhale,Vinod Tiwari,Mansoor Hussain,Christy C Bridges,Deborah L Croteau,Moshe Levi,Avi Z Rosenberg,Briana Santo,Xiaoping Yang,Tomasz Kulikowicz,Xiaoxin X Wang,Jong-Hyuk Lee,Vilhelm A Bohr

Nucleic acids research 53: PubMed40219966

2025

Poly-(ADP-ribose) serves as a scaffold for the methyltransferase METTL3/14 complex in the DNA damage response.

Applications

Unspecified application

Species

Unspecified reactive species

Claudia Gonzalez-Leal,Jin Cai,Bram A F J de Groot,Andreas Wegerer,Julia Preisser,Martijn S Luijsterburg,Andreas G Ladurner

Environmental health perspectives 133:57009 PubMed40203079

2025

Bisphenol S Exposure and MASLD: A Mechanistic Study in Mice.

Applications

Unspecified application

Species

Unspecified reactive species

Shiqi Li,Yun Fan,Min Tang,Xiaorong Wu,Shengjun Bai,Xiancheng Yang,Xueer Zhang,Chuncheng Lu,Chenbo Ji,Paul A Wade,Xu Wang,Wei Gu,Guizhen Du,Yufeng Qin
View all publications
websiteProtocolBooklet
en
chicCutRunSequencingBooklet
en

Product promise

We are committed to supporting your work with high-quality reagents, and we're here for you every step of the way. In the unlikely event that one of our products does not perform as expected, you're protected by our Product Promise.
For full details, please see our Terms & Conditions

Please note: All products are 'FOR RESEARCH USE ONLY. NOT FOR USE IN DIAGNOSTIC OR THERAPEUTIC PROCEDURES'.

For licensing inquiries, please contact partnerships@abcam.com