JavaScript is disabled in your browser. Please enable JavaScript to view this website.
AB256534

Anti-ATF3 antibody [EPR22610-19] - BSA and Azide free

  • RabMAb
  • Advanced Validation
  • Recombinant
  • KO Validated
  • What is this?

Be the first to review this product! Submit a review

|

(2 Publications)

Rabbit Recombinant Monoclonal ATF3 antibody. Carrier free. Suitable for ChIC/CUT&RUN-seq, Flow Cyt (Intra), IP, ChIP, ICC/IF, WB and reacts with Human, Mouse samples. Cited in 2 publications.

View Alternative Names

Cyclic AMP-dependent transcription factor ATF-3, cAMP-dependent transcription factor ATF-3, Activating transcription factor 3, ATF3

11 Images
Immunocytochemistry/ Immunofluorescence - Anti-ATF3 antibody [EPR22610-19] - BSA and Azide free (AB256534)
  • ICC/IF

Unknown

Immunocytochemistry/ Immunofluorescence - Anti-ATF3 antibody [EPR22610-19] - BSA and Azide free (AB256534)

Immunofluorescent analysis of 4% Paraformaldehyde-fixed, 0.1% TritonX-100 permeabilized THP-1 (human monocytic leukemia monocyte) cells labelling ATF3 with ab254268 at 1/100 (5.7 ug/ml) dilution, followed by ab150077 AlexaFluor® 488 Goat anti-Rabbit secondary antibody at 1/1000 (5.7 ug/ml) dilution (Green). Confocal image showing nuclear staining in THP-1 cells treated with Phorbol 12-myristate 13-acetate (80 nM) for 16 h, then along with lipopolysaccharides (1ug/ml) for 8 h. ab195889 Anti-alpha Tubulin antibody [DM1A] - Microtubule Marker (Alexa Fluor® 594) was used to counterstain tubulin at 1/200 dilution (Red). The Nuclear counterstain was DAPI (Blue).

Secondary antibody only control : Used PBS instead of primary antibody, secondary antibody is ab150077 AlexaFluor® 488 Goat anti-Rabbit secondary at 1/1000 (2 ug/ml) dilution.

This data was developed using the same antibody clone in a different buffer formulation containing PBS, BSA, glycerol, and sodium azide (ab254268).

Flow Cytometry (Intracellular) - Anti-ATF3 antibody [EPR22610-19] - BSA and Azide free (AB256534)
  • Flow Cyt (Intra)

Unknown

Flow Cytometry (Intracellular) - Anti-ATF3 antibody [EPR22610-19] - BSA and Azide free (AB256534)

Intracellular flow cytometric analysis of 4% paraformaldehyde fixed 90% methanol permeabilized THP-1 (human monocytic leukemia monocyte) treated with 80nM Phorbol 12-myristate 13-acetate (PMA) for 16h, then together with 1μg/ml lipopolysaccharides (LPS) for 8h (Red) / Untreated control (Green) cells labelling ATF3 with ab254268 at 1/600 compared with a Rabbit monoclonal IgG (ab172730) isotype control (Black) and an unlabelled control (cells without incubation with primary antibody and secondary antibody) (Blue). A Goat anti rabbit IgG (Alexa Fluor®488, ab150077) at 1/2000 dilution was used as the secondary antibody.

This data was developed using the same antibody clone in a different buffer formulation containing PBS, BSA, glycerol, and sodium azide (ab254268).

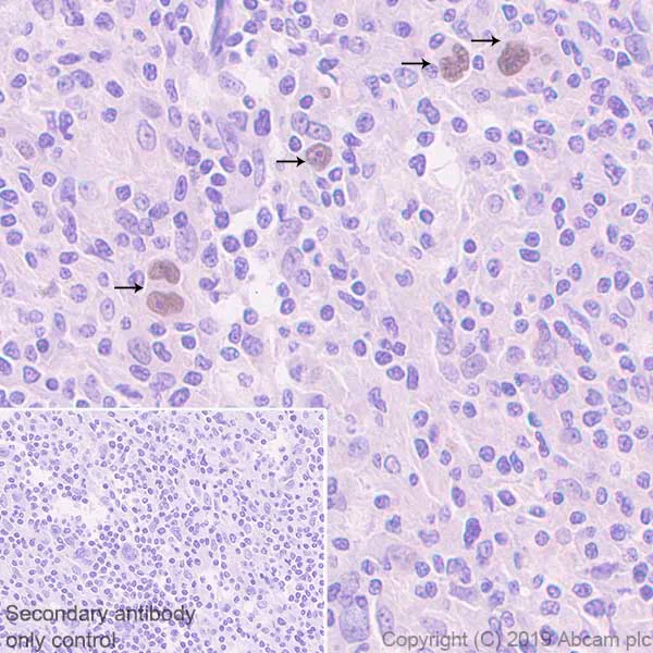
Immunohistochemistry (Formalin/PFA-fixed paraffin-embedded sections) - Anti-ATF3 antibody [EPR22610-19] - BSA and Azide free (AB256534)
  • IHC-P

Unknown

Immunohistochemistry (Formalin/PFA-fixed paraffin-embedded sections) - Anti-ATF3 antibody [EPR22610-19] - BSA and Azide free (AB256534)

Immunohistochemical analysis of paraffin-embedded Human Hodgkin's lymphoma tissue labeling ATF3 with ab254268 at 1/500 dilution (1.14 ug/ml) followed by a ready to use Goat Anti-Rabbit IgG H&L (HRP). Nuclear staining in Reed-Sternberg (HRS) cells of human (PMID : 16263788) is observed. Counterstained with Hematoxylin. Heat mediated antigen retrieval using ab93684 (Tris/EDTA buffer, pH 9.0).

Secondary antibody only control : Used PBS instead of primary antibody, secondary antibody is a ready to use Goat Anti-Rabbit IgG H&L (HRP).

This data was developed using the same antibody clone in a different buffer formulation containing PBS, BSA, glycerol, and sodium azide (ab254268).

Immunohistochemistry (Formalin/PFA-fixed paraffin-embedded sections) - Anti-ATF3 antibody [EPR22610-19] - BSA and Azide free (AB256534)
  • IHC-P

Unknown

Immunohistochemistry (Formalin/PFA-fixed paraffin-embedded sections) - Anti-ATF3 antibody [EPR22610-19] - BSA and Azide free (AB256534)

Immunohistochemical analysis of paraffin-embedded Human placenta tissue labeling ATF3 with ab254268 at 1/500 dilution (1.14 ug/ml) followed by a ready to use Goat Anti-Rabbit IgG H&L (HRP). Nuclear staining in human placenta (PMID/ 28947613). Counterstained with Hematoxylin. Heat mediated antigen retrieval using ab93684 (Tris/EDTA buffer, pH 9.0).

Secondary antibody only control : Used PBS instead of primary antibody, secondary antibody is a ready to use Goat Anti-Rabbit IgG H&L (HRP).

This data was developed using the same antibody clone in a different buffer formulation containing PBS, BSA, glycerol, and sodium azide (ab254268).

ChIP - Anti-ATF3 antibody [EPR22610-19] - BSA and Azide free (AB256534)
  • ChIP

Unknown

ChIP - Anti-ATF3 antibody [EPR22610-19] - BSA and Azide free (AB256534)

Chromatin was prepared from HeLa cells according to the Abcam Dual X-ChIP protocol. Cells were fixed with EGS for 30min, then formaldehyde for 10min. The ChIP was performed with 25 μg of chromatin, 5 μg of ab254268 (red), and 20 μl of Protein A/G sepharose beads. 5 μg of rabbit normal IgG was added to the beads control (gray). The immunoprecipitated DNA was quantified by real time PCR (sybr green approach). Primers and probes are located in the first kb of the transcribed region.

This data was developed using the same antibody clone in a different buffer formulation containing PBS, BSA, glycerol, and sodium azide (ab254268).

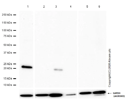
Western blot - Anti-ATF3 antibody [EPR22610-19] - BSA and Azide free (AB256534)
  • WB

Lab

Western blot - Anti-ATF3 antibody [EPR22610-19] - BSA and Azide free (AB256534)

Blocking and dilution buffer : 5% NFDM/TBST.

Negative control : Daudi (PMID : 19136462).

The molecular weight observed is consistent with what has been described in the literature (PMID : 18692824).

This data was developed using the same antibody clone in a different buffer formulation containing PBS, BSA, glycerol, and sodium azide (ab254268).

All lanes:

Western blot - Anti-ATF3 antibody [EPR22610-19] - ChIP Grade (<a href='/en-us/products/primary-antibodies/atf3-antibody-epr22610-19-chip-grade-ab254268'>ab254268</a>) at 1/1000 dilution

Lane 1:

HepG2 (human hepatocellular carcinoma epithelial cell), whole cell lysate at 20 µg

Lane 2:

HeLa (human cervix adenocarcinoma epithelial cell), whole cell lysate at 20 µg

Lane 3:

HEK-293T (human embryonic kidney epithelial cell), whole cell lysate at 20 µg

Lane 4:

Daudi (human Burkitts lymphoma lymphoblast), whole cell lysate at 20 µg

Lane 5:

Wild-type HAP1 whole cell lysate at 20 µg

Lane 6:

ATF3 knockout HAP1 whole cell lysate at 20 µg

Secondary

All lanes:

Western blot - Goat Anti-Rabbit IgG H&L (HRP) (<a href='/en-us/products/secondary-antibodies/goat-rabbit-igg-h-l-hrp-ab97051'>ab97051</a>) at 1/100000 dilution

Predicted band size: 21 kDa

Observed band size: 21 kDa

false

Exposure time: 26s

ChIC/CUT&RUN sequencing - Anti-ATF3 antibody [EPR22610-19] - BSA and Azide free (AB256534)
  • ChIC/CUT&RUN-seq

Lab

ChIC/CUT&RUN sequencing - Anti-ATF3 antibody [EPR22610-19] - BSA and Azide free (AB256534)

This data was developed using the same antibody clone in a different buffer formulation (ab254268). ChIC/CUT&RUN was performed using a pAG-MNAse at a final concentration of 700 ng/mL. 2.5X10^5 of Human ATF3 knockout HeLa cell line (ab264908) or Human wild-type HeLa cell line (ab255448) were used along with 5µg of Anti-ATF3 antibody (ab254268). Assay Quality Control was conducted using 5µg Anti-CTCF (ab188408) on the same cell lines. The resulting DNA was sequenced on the Illumina NovaSeq 6000 to a depth of 10 million reads. The negative IgG control ab172730 is also shown. Additional screenshots of mapped reads can be found in the Protocol booklet in the Product Protocol section. The University of Geneva owns patents relevant to ChIC (Chromatin Immuno-Cleavage) methods.

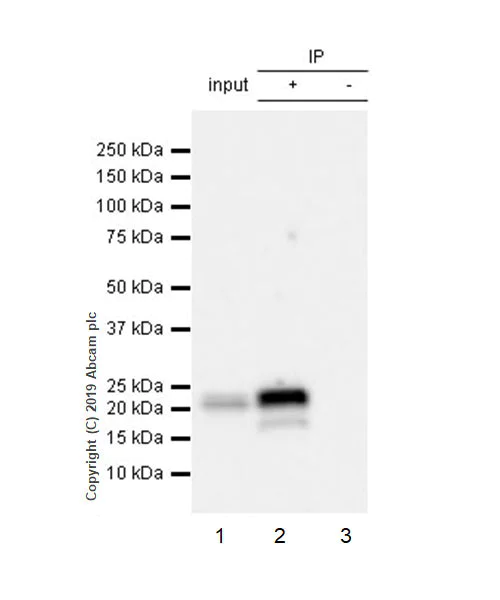
Immunoprecipitation - Anti-ATF3 antibody [EPR22610-19] - BSA and Azide free (AB256534)
  • IP

Unknown

Immunoprecipitation - Anti-ATF3 antibody [EPR22610-19] - BSA and Azide free (AB256534)

ATF3 was immunoprecipitated from 0.35 mg RAW264.7 (mouse Abelson murine leukemia virus-induced tumor macrophage) treated with 1ug/ml lipopolysaccharide (LPS) for 2h whole cell lysate 10ug with ab254268 at 1/30 dilution (2ug in 0.35mg lysates). Western blot was performed on the immunoprecipitate using ab254268 at 1/1000 dilution. VeriBlot for IP Detection Reagent (HRP) (ab131366) was used at 1/1000 dilution.

Lane 1 : RAW264.7 (mouse Abelson murine leukemia virus-induced tumor macrophage) treated with 1ug/ml lipopolysaccharide (LPS) for 2h whole cell lysate 10ug.

Lane 2 : ab254268 IP in RAW264.7 treated with 1ug/ml lipopolysaccharide (LPS) for 2h whole cell lysate.

Lane 3 : Rabbit monoclonal IgG (ab172730) instead of ab254268 in RAW264.7 treated with 1ug/ml lipopolysaccharide (LPS) for 2h whole cell lysate.

Blocking and dilution buffer and concentration : 5% NFDM/TBST.

Exposure time : 6 seconds.

This data was developed using the same antibody clone in a different buffer formulation containing PBS, BSA, glycerol, and sodium azide (ab254268).

All lanes:

Immunoprecipitation - Anti-ATF3 antibody [EPR22610-19] - ChIP Grade (<a href='/en-us/products/primary-antibodies/atf3-antibody-epr22610-19-chip-grade-ab254268'>ab254268</a>)

Predicted band size: 21 kDa

Observed band size: 21 kDa

false

Western blot - Anti-ATF3 antibody [EPR22610-19] - BSA and Azide free (AB256534)
  • WB

Lab

Western blot - Anti-ATF3 antibody [EPR22610-19] - BSA and Azide free (AB256534)

This data was developed using the same antibody clone in a different buffer formulation (ab254268).

Lanes 1-2 : Merged signal (red and green). Green - ab254268 observed at 21 kDa. Red - loading control ab8245 observed at 37 kDa.

ab254268 Recombinant Anti-ATF3 antibody [EPR22610-19] was shown to specifically react with ATF3 in wild-type A549 cells. Loss of signal was observed when knockout cell line ab266955 (knockout cell lysate ab257075) was used. Wild-type and ATF3 knockout samples were subjected to SDS-PAGE. ab254268 and Anti-GAPDH antibody [6C5] - Loading Control (ab8245) were incubated overnight at 4°C at 1 in 1000 and 1 in 20000 dilution respectively. Blots were developed with Goat anti-Rabbit IgG H&L (IRDye® 800CW) preadsorbed (ab216773) and Goat anti-Mouse IgG H&L (IRDye® 680RD) preadsorbed (ab216776) secondary antibodies at 1 in 20000 dilution for 1 hour at room temperature before imaging.

All lanes:

Western blot - Anti-ATF3 antibody [EPR22610-19] - ChIP Grade (<a href='/en-us/products/primary-antibodies/atf3-antibody-epr22610-19-chip-grade-ab254268'>ab254268</a>) at 1/1000 dilution

Lane 1:

Wild-type A549 cell lysate at 20 µg

Lane 2:

ATF3 knockout A549 cell lysate at 20 µg

Lane 2:

Western blot - Human ATF3 knockout A549 cell line (<a href='/en-us/products/cell-lines/human-atf3-knockout-a549-cell-line-ab266955'>ab266955</a>)

Predicted band size: 21 kDa

Observed band size: 21 kDa

false

Western blot - Anti-ATF3 antibody [EPR22610-19] - BSA and Azide free (AB256534)
  • WB

Lab

Western blot - Anti-ATF3 antibody [EPR22610-19] - BSA and Azide free (AB256534)

This data was developed using the same antibody clone in a different buffer formulation (ab254268).

Lanes 1-2 : Merged signal (red and green). Green - ab254268 observed at 21 kDa. Red - loading control ab8245 observed at 37 kDa.

ab254268 Recombinant Anti-ATF3 antibody [EPR22610-19] was shown to specifically react with ATF3 in wild-type HCT116 cells. Loss of signal was observed when knockout cell line ab266872 (knockout cell lysate ab257074) was used. Wild-type and ATF3 knockout samples were subjected to SDS-PAGE. ab254268 and Anti-GAPDH antibody [6C5] - Loading Control (ab8245) were incubated overnight at 4°C at 1 in 1000 and 1 in 20000 dilution respectively. Blots were developed with Goat anti-Rabbit IgG H&L (IRDye® 800CW) preadsorbed (ab216773) and Goat anti-Mouse IgG H&L (IRDye® 680RD) preadsorbed (ab216776) secondary antibodies at 1 in 20000 dilution for 1 hour at room temperature before imaging.

All lanes:

Western blot - Anti-ATF3 antibody [EPR22610-19] - ChIP Grade (<a href='/en-us/products/primary-antibodies/atf3-antibody-epr22610-19-chip-grade-ab254268'>ab254268</a>) at 1/1000 dilution

Lane 1:

Wild-type HCT116 cell lysate at 20 µg

Lane 2:

ATF3 knockout HCT116 cell lysate at 20 µg

Lane 2:

Western blot - Human ATF3 knockout HCT116 cell line (<a href='/en-us/products/cell-lines/human-atf3-knockout-hct116-cell-line-ab266872'>ab266872</a>)

Predicted band size: 21 kDa

Observed band size: 21 kDa

false

Western blot - Anti-ATF3 antibody [EPR22610-19] - BSA and Azide free (AB256534)
  • WB

Lab

Western blot - Anti-ATF3 antibody [EPR22610-19] - BSA and Azide free (AB256534)

Blocking/Diluting buffer and concentration : 5% NFDM/TBST.

Rabbit monoclonal [EPR16891] to GAPDH (ab181602) used as loading control.

ATF3 has a low expression level in some cell lines and tissues, but is increased under treatment (PMID : 8622660, PMID : 22053207, PMID : 20018623, PMID : 29940414).

This data was developed using the same antibody clone in a different buffer formulation containing PBS, BSA, glycerol, and sodium azide (ab254268).

All lanes:

Western blot - Anti-ATF3 antibody [EPR22610-19] - ChIP Grade (<a href='/en-us/products/primary-antibodies/atf3-antibody-epr22610-19-chip-grade-ab254268'>ab254268</a>) at 1/1000 dilution

Lane 1:

293T (Human embryonic kidney epithelial cell) whole cell lysate at 20 µg

Lane 2:

Human liver tissue lysate at 20 µg

Lane 3:

Raw264.7 (Mouse abelson murine leukemia virus-induced tumor macrophage) whole cell lysate at 20 µg

Lane 4:

Mouse liver tissue lysate at 20 µg

Lane 5:

MEF (Mouse embryonic fibroblast (immortalized)) whole cell lysate at 20 µg

Lane 6:

Mouse heart tissue lysate at 20 µg

Secondary

All lanes:

Western blot - Goat Anti-Rabbit IgG H&L (HRP) (<a href='/en-us/products/secondary-antibodies/goat-rabbit-igg-h-l-hrp-ab97051'>ab97051</a>) at 1/20000 dilution

Predicted band size: 21 kDa

Observed band size: 21 kDa

false

Exposure time: 180s

Key facts

Host species

Rabbit

Clonality

Monoclonal

Clone number

EPR22610-19

Isotype

IgG

Carrier free

Yes

Reacts with

Mouse, Human

Applications

ChIC/CUT&RUN-seq, ChIP, IP, WB, Flow Cyt (Intra), ICC/IF

applications

Immunogen

The exact immunogen used to generate this antibody is proprietary information.

Specificity

IHC is not recommended for mouse.

Stimulation may be required to allow detection of the target protein due to low levels of endogenous expression in some samples. Please see images below for recommended treatment conditions and positive controls.

ATF3 has a low expression level in some cell lines and tissues, but is increased under treatment (PMID: 8622660, 22053207, 20018623, 29940414, and 27912076).

Reactivity data

{ "title": "Reactivity Data", "filters": { "stats": ["", "Species", "Dilution Info", "Notes"], "tabs": { "all-applications": {"fullname" : "All Applications", "shortname": "All Applications"}, "ChICCUTRUNseq" : {"fullname" : "ChIC/CUT&RUN sequencing", "shortname":"ChIC/CUT&RUN-seq"}, "FlowCytIntra" : {"fullname" : "Flow Cytometry (Intracellular)", "shortname":"Flow Cyt (Intra)"}, "IP" : {"fullname" : "Immunoprecipitation", "shortname":"IP"}, "ChIP" : {"fullname" : "ChIP", "shortname":"ChIP"}, "ICCIF" : {"fullname" : "Immunocytochemistry/ Immunofluorescence", "shortname":"ICC/IF"}, "WB" : {"fullname" : "Western blot", "shortname":"WB"}, "IHCP" : {"fullname" : "Immunohistochemistry (Formalin/PFA-fixed paraffin-embedded sections)", "shortname":"IHC-P"} }, "product-promise": { "all": "all", "testedAndGuaranteed": "tested", "guaranteed": "expected", "predicted": "predicted", "notRecommended": "not-recommended" } }, "values": { "Human": { "ChICCUTRUNseq-species-checked": "testedAndGuaranteed", "ChICCUTRUNseq-species-dilution-info": "", "ChICCUTRUNseq-species-notes": "<p></p>", "FlowCytIntra-species-checked": "testedAndGuaranteed", "FlowCytIntra-species-dilution-info": "", "FlowCytIntra-species-notes": "<p></p>", "IP-species-checked": "guaranteed", "IP-species-dilution-info": "", "IP-species-notes": "", "ChIP-species-checked": "testedAndGuaranteed", "ChIP-species-dilution-info": "", "ChIP-species-notes": "<p></p>", "ICCIF-species-checked": "testedAndGuaranteed", "ICCIF-species-dilution-info": "", "ICCIF-species-notes": "<p></p>", "WB-species-checked": "testedAndGuaranteed", "WB-species-dilution-info": "", "WB-species-notes": "<p></p>", "IHCP-species-checked": "notRecommended", "IHCP-species-dilution-info": "", "IHCP-species-notes": "" }, "Mouse": { "ChICCUTRUNseq-species-checked": "guaranteed", "ChICCUTRUNseq-species-dilution-info": "", "ChICCUTRUNseq-species-notes": "", "FlowCytIntra-species-checked": "guaranteed", "FlowCytIntra-species-dilution-info": "", "FlowCytIntra-species-notes": "", "IP-species-checked": "testedAndGuaranteed", "IP-species-dilution-info": "", "IP-species-notes": "<p></p>", "ChIP-species-checked": "guaranteed", "ChIP-species-dilution-info": "", "ChIP-species-notes": "", "ICCIF-species-checked": "guaranteed", "ICCIF-species-dilution-info": "", "ICCIF-species-notes": "", "WB-species-checked": "testedAndGuaranteed", "WB-species-dilution-info": "", "WB-species-notes": "<p></p>", "IHCP-species-checked": "notRecommended", "IHCP-species-dilution-info": "", "IHCP-species-notes": "<p></p>" } } }

Product details

ab256534 is the carrier-free version of ab254268.

Patented technology
Our RabMAb® technology is a patented hybridoma-based technology for making rabbit monoclonal antibodies. For details on our patents, please refer to RabMAb® patents.

What are the advantages of a recombinant monoclonal antibody?
This product is a recombinant monoclonal antibody, which offers several advantages including:

  • - High batch-to-batch consistency and reproducibility
  • - Improved sensitivity and specificity
  • - Long-term security of supply
  • - Animal-free batch production

For more information, read more on recombinant antibodies.

Conjugation ready
Our carrier-free antibodies are typically supplied in a PBS-only formulation, purified and free of BSA, sodium azide and glycerol. This conjugation-ready format is designed for use with fluorochromes, metal isotopes, oligonucleotides, and enzymes, which makes them ideal for antibody labelling, functional and cell-based assays, flow-based assays (e.g. mass cytometry) and Multiplex Imaging applications.

Use our conjugation kits for antibody conjugates that are ready-to-use in as little as 20 minutes with 1 minute hands-on-time and 100% antibody recovery: available for fluorescent dyes, HRP, biotin and gold.

Compatibility
This product is compatible with the Maxpar® Antibody Labeling Kit from Fluidigm, without the need for antibody preparation. Maxpar® is a trademark of Fluidigm Canada Inc.

Properties and storage information

Form
Liquid
Purification technique
Affinity purification Protein A
Storage buffer
pH: 7.2 - 7.4 Constituents: PBS
Shipped at conditions
Blue Ice
Appropriate short-term storage conditions
+4°C
Appropriate long-term storage conditions
+4°C
Storage information
Do Not Freeze

Supplementary information

This supplementary information is collated from multiple sources and compiled automatically.

ATF3 also known as Activating Transcription Factor 3 functions primarily as a stress-responsive transcription factor. This protein has a molecular weight of about 21 kDa and is part of the ATF/CREB family of transcription factors. ATF3 is expressed in various tissues and is known for its role in stress response and regulation of gene expression. The expression levels change in response to cellular stress and it may interact with several other transcription factors to modulate gene expression profiles.
Biological function summary

ATF3 acts as a regulator of cellular stress responses and can influence cell cycle arrest and apoptosis. It does not form a large complex but interacts with diverse partners to execute its functions. Studies often use HCT116 cells to investigate ATF3's role where it can serve as a marker of cellular stress and inflammation. The protein regulates genes involved in maintaining homeostasis in stressed cells.

Pathways

ATF3 is involved in stress response and apoptotic pathways. In the context of apoptosis ATF3 interacts with proteins like p53 and Jun which are important for inducing cell cycle arrest and programmed cell death. In stress response pathways ATF3 modifies transcriptional activity in reaction to various stress signals providing a checkpoint for damaged cells before repairing or entering programmed death.

ATF3 relates to cancer and cardiovascular diseases. In cancer abnormal expression of ATF3 can influence tumor growth and metastasis often acting through its interactions with proteins like NF-kB. Additionally in cardiovascular disorders ATF3's role in regulating stress responses underpins its involvement in conditions linked to inflammation and atherosclerosis again with NF-kB signaling being a relevant pathway of interaction. Researchers continue to study ATF3 to uncover therapeutic targets for these and other diseases.

Product protocols

For this product, it's our understanding that no specific protocols are required. You can visit:

Target data

This protein binds the cAMP response element (CRE) (consensus : 5'-GTGACGT[AC][AG]-3'), a sequence present in many viral and cellular promoters. Represses transcription from promoters with ATF sites. It may repress transcription by stabilizing the binding of inhibitory cofactors at the promoter.. Isoform 2. Activates transcription presumably by sequestering inhibitory cofactors away from the promoters.. Isoform 3. Stress-induced isoform, counteracts the transcriptional repression of isoform 1.
See full target information ATF3

Publications (2)

Recent publications for all applications. Explore the full list and refine your search

Cell reports. Medicine 5:101791 PubMed39426375

2024

Schwann cell-secreted frizzled-related protein 1 dictates neuroinflammation and peripheral nerve degeneration after neurotrauma.

Applications

Unspecified application

Species

Unspecified reactive species

Xiangyun Yao,Lingchi Kong,Yi Qiao,David Brand,Juehong Li,Zhiwen Yan,Song Guo Zheng,Yun Qian,Cunyi Fan

NPJ precision oncology 7:95 PubMed37723227

2023

Targeted single-cell proteomic analysis identifies new liquid biopsy biomarkers associated with multiple myeloma.

Applications

Unspecified application

Species

Unspecified reactive species

Sonia M Setayesh,Libere J Ndacayisaba,Kate E Rappard,Valerie Hennes,Luz Yurany Moreno Rueda,Guilin Tang,Pei Lin,Robert Z Orlowski,David E Symer,Elisabet E Manasanch,Stephanie N Shishido,Peter Kuhn
View all publications
chicCutRunSequencingBooklet
en

Product promise

We are committed to supporting your work with high-quality reagents, and we're here for you every step of the way. In the unlikely event that one of our products does not perform as expected, you're protected by our Product Promise.
For full details, please see our Terms & Conditions

Please note: All products are 'FOR RESEARCH USE ONLY. NOT FOR USE IN DIAGNOSTIC OR THERAPEUTIC PROCEDURES'.

For licensing inquiries, please contact partnerships@abcam.com