JavaScript is disabled in your browser. Please enable JavaScript to view this website.
AB254268

Anti-ATF3 antibody [EPR22610-19] - ChIP Grade

  • RabMAb
  • Advanced Validation
  • Recombinant
  • KO Validated
  • What is this?

3

(2 Reviews)

|

(40 Publications)

Anti-ATF3 antibody [EPR22610-19] - ChIP Grade (ab254268) is a rabbit monoclonal antibody detecting ATF3 in Western Blot, Flow Cytometry (Intra), Flow Cytometry, IP, IHC-P, ICC/IF, ChIP. Suitable for Human, Mouse.

- KO validated for confirmed specificity
- Biophysical QC for unrivalled batch-batch consistency
- Over 10 publications

View Alternative Names

Cyclic AMP-dependent transcription factor ATF-3, cAMP-dependent transcription factor ATF-3, Activating transcription factor 3, ATF3

13 Images
Immunocytochemistry/ Immunofluorescence - Anti-ATF3 antibody [EPR22610-19] - ChIP Grade (AB254268)
  • ICC/IF

Lab

Immunocytochemistry/ Immunofluorescence - Anti-ATF3 antibody [EPR22610-19] - ChIP Grade (AB254268)

ab254268 staining ATF3 in wild-type Hap1 cells (top panel) and ATF3 knockout Hap1 cells (bottom panel). The cells were fixed with 4% paraformaldehyde (10 min) permeabilized with 0.1% Triton X-100 for 5 minutes and then blocked with 1% BSA/10% normal goat serum/0.3M glycine in 0.1% PBS-Tween for 1h. The cells were then incubated with ab254268 at 1/100 dilution and ab7291 (Tubulin) at 1/1000 dilution overnight at +4°C, followed by a further incubation at room temperature for 1h with a goat secondary antibody to rabbit IgG (Alexa Fluor® 488) (ab150081) at 2 μg/ml (shown in green) and a goat secondary antibody to mouse IgG (Alexa Fluor® 594) (ab150120) at 2 μg/ml (shown in pseudo color red). Nuclear DNA was labelled in blue with DAPI.

Image was taken with a confocal microscope (Leica-Microsystems, TCS SP8).

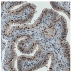
Immunohistochemistry (Formalin/PFA-fixed paraffin-embedded sections) - Anti-ATF3 antibody [EPR22610-19] - ChIP Grade (AB254268)
  • IHC-P

Unknown

Immunohistochemistry (Formalin/PFA-fixed paraffin-embedded sections) - Anti-ATF3 antibody [EPR22610-19] - ChIP Grade (AB254268)

Immunohistochemical analysis of paraffin-embedded Human placenta tissue labeling ATF3 with ab254268 at 1/500 dilution (1.14 ug/ml) followed by a ready to use Goat Anti-Rabbit IgG H&L (HRP). Nuclear staining in human placenta (PMID/ 28947613). Counterstained with Hematoxylin. Heat mediated antigen retrieval using ab93684 (Tris/EDTA buffer, pH 9.0).

Secondary antibody only control : Used PBS instead of primary antibody, secondary antibody is a ready to use Goat Anti-Rabbit IgG H&L (HRP).

Flow Cytometry (Intracellular) - Anti-ATF3 antibody [EPR22610-19] - ChIP Grade (AB254268)
  • Flow Cyt (Intra)

Unknown

Flow Cytometry (Intracellular) - Anti-ATF3 antibody [EPR22610-19] - ChIP Grade (AB254268)

Intracellular flow cytometric analysis of 4% paraformaldehyde fixed 90% methanol permeabilized THP-1 (human monocytic leukemia monocyte) treated with 80nM Phorbol 12-myristate 13-acetate (PMA) for 16h, then together with 1μg/ml lipopolysaccharides (LPS) for 8h (Red) / Untreated control (Green) cells labelling ATF3 with ab254268 at 1/600 compared with a Rabbit monoclonal IgG (ab172730) isotype control (Black) and an unlabelled control (cells without incubation with primary antibody and secondary antibody) (Blue). A Goat anti rabbit IgG (Alexa Fluor®488, ab150077) at 1/2000 dilution was used as the secondary antibody.

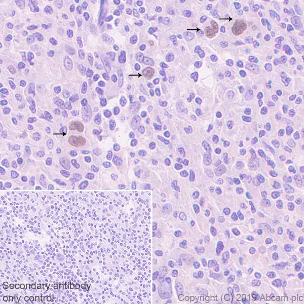
Immunohistochemistry (Formalin/PFA-fixed paraffin-embedded sections) - Anti-ATF3 antibody [EPR22610-19] - ChIP Grade (AB254268)
  • IHC-P

Unknown

Immunohistochemistry (Formalin/PFA-fixed paraffin-embedded sections) - Anti-ATF3 antibody [EPR22610-19] - ChIP Grade (AB254268)

Immunohistochemical analysis of paraffin-embedded Human tissue labeling ATF3 with ab254268 at 1/500 dilution (1.14 ug/ml) followed by a ready to use Goat Anti-Rabbit IgG H&L (HRP). Nuclear staining in Reed-Sternberg (HRS) cells of human (PMID : 16263788) is observed. Counterstained with Hematoxylin. Heat mediated antigen retrieval using ab93684 (Tris/EDTA buffer, pH 9.0).

Secondary antibody only control : Used PBS instead of primary antibody, secondary antibody is a ready to use Goat Anti-Rabbit IgG H&L (HRP).

Immunocytochemistry/ Immunofluorescence - Anti-ATF3 antibody [EPR22610-19] - ChIP Grade (AB254268)
  • ICC/IF

Unknown

Immunocytochemistry/ Immunofluorescence - Anti-ATF3 antibody [EPR22610-19] - ChIP Grade (AB254268)

Immunofluorescent analysis of 4% Paraformaldehyde-fixed, 0.1% TritonX-100 permeabilized THP-1 (human monocytic leukemia monocyte) cells labelling ATF3 with ab254268 at 1/100 (5.7 ug/ml) dilution, followed by ab150077 AlexaFluor® 488 Goat anti-Rabbit secondary antibody at 1/1000 (5.7 ug/ml) dilution (Green). Confocal image showing nuclear staining in THP-1 cells treated with Phorbol 12-myristate 13-acetate (80 nM) for 16 h, then along with lipopolysaccharides (1ug/ml) for 8 h. ab195889 Anti-alpha Tubulin antibody [DM1A] - Microtubule Marker (Alexa Fluor® 594) was used to counterstain tubulin at 1/200 dilution (Red). The Nuclear counterstain was DAPI (Blue).

Secondary antibody only control : Used PBS instead of primary antibody, secondary antibody is ab150077 AlexaFluor® 488 Goat anti-Rabbit secondary at 1/1000 (2 ug/ml) dilution.

ChIP - Anti-ATF3 antibody [EPR22610-19] - ChIP Grade (AB254268)
  • ChIP

Unknown

ChIP - Anti-ATF3 antibody [EPR22610-19] - ChIP Grade (AB254268)

Chromatin was prepared from HeLa cells according to the Abcam Dual X-ChIP protocol. Cells were fixed with EGS for 30min, then formaldehyde for 10min. The ChIP was performed with 25 μg of chromatin, 5 μg of ab254268 (red), and 20 μl of Protein A/G sepharose beads. 5 μg of rabbit normal IgG was added to the beads control (gray). The immunoprecipitated DNA was quantified by real time PCR (sybr green approach). Primers and probes are located in the first kb of the transcribed region.

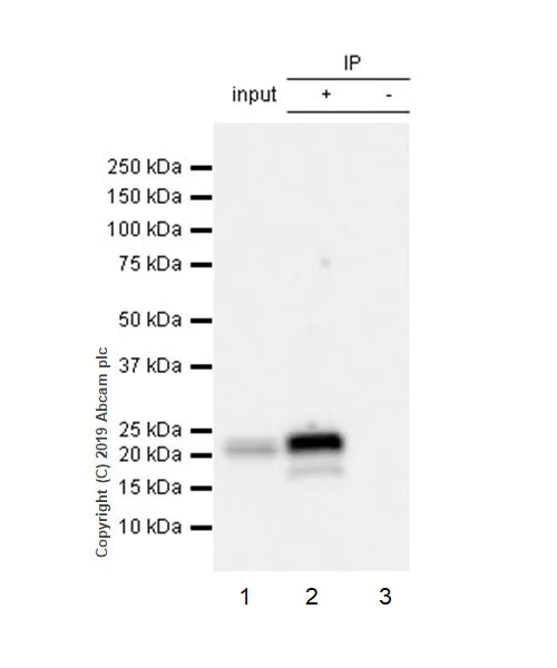
Immunoprecipitation - Anti-ATF3 antibody [EPR22610-19] - ChIP Grade (AB254268)
  • IP

Unknown

Immunoprecipitation - Anti-ATF3 antibody [EPR22610-19] - ChIP Grade (AB254268)

ATF3 was immunoprecipitated from 0.35 mg RAW264.7 (mouse Abelson murine leukemia virus-induced tumor macrophage) treated with 1ug/ml lipopolysaccharide (LPS) for 2h whole cell lysate 10ug with ab254268 at 1/30 dilution (2ug in 0.35mg lysates). Western blot was performed on the immunoprecipitate using ab254268 at 1/1000 dilution. VeriBlot for IP Detection Reagent (HRP) (ab131366) was used at 1/1000 dilution.

Lane 1 : RAW264.7 (mouse Abelson murine leukemia virus-induced tumor macrophage) treated with 1ug/ml lipopolysaccharide (LPS) for 2h whole cell lysate 10ug.

Lane 2 : ab254268 IP in RAW264.7 treated with 1ug/ml lipopolysaccharide (LPS) for 2h whole cell lysate.

Lane 3 : Rabbit monoclonal IgG (ab172730) instead of ab254268 in RAW264.7 treated with 1ug/ml lipopolysaccharide (LPS) for 2h whole cell lysate.

Blocking and dilution buffer and concentration : 5% NFDM/TBST.

Exposure time : 6 seconds.

All lanes:

Immunoprecipitation - Anti-ATF3 antibody [EPR22610-19] - ChIP Grade (ab254268)

Predicted band size: 21 kDa

Observed band size: 21 kDa

false

Western blot - Anti-ATF3 antibody [EPR22610-19] - ChIP Grade (AB254268)
  • WB

Lab

Western blot - Anti-ATF3 antibody [EPR22610-19] - ChIP Grade (AB254268)

Lanes 1-2 : Merged signal (red and green). Green - ab254268 observed at 21 kDa. Red - loading control ab8245 observed at 37 kDa.

ab254268 Recombinant Anti-ATF3 antibody [EPR22610-19] was shown to specifically react with ATF3 in wild-type A549 cells. Loss of signal was observed when knockout cell line ab266955 (knockout cell lysate ab257075) was used. Wild-type and ATF3 knockout samples were subjected to SDS-PAGE. ab254268 and Anti-GAPDH antibody [6C5] - Loading Control (ab8245) were incubated overnight at 4°C at 1 in 1000 and 1 in 20000 dilution respectively. Blots were developed with Goat anti-Rabbit IgG H&L (IRDye® 800CW) preadsorbed (ab216773) and Goat anti-Mouse IgG H&L (IRDye® 680RD) preadsorbed (ab216776) secondary antibodies at 1 in 20000 dilution for 1 hour at room temperature before imaging.

All lanes:

Western blot - Anti-ATF3 antibody [EPR22610-19] - ChIP Grade (ab254268) at 1/1000 dilution

Lane 1:

Wild-type A549 cell lysate at 20 µg

Lane 2:

ATF3 knockout A549 cell lysate at 20 µg

Lane 2:

Western blot - Human ATF3 knockout A549 cell line (<a href='/en-us/products/cell-lines/human-atf3-knockout-a549-cell-line-ab266955'>ab266955</a>)

Predicted band size: 21 kDa

Observed band size: 21 kDa

false

Western blot - Anti-ATF3 antibody [EPR22610-19] - ChIP Grade (AB254268)
  • WB

Lab

Western blot - Anti-ATF3 antibody [EPR22610-19] - ChIP Grade (AB254268)

Blocking and dilution buffer : 5% NFDM/TBST.

The expression profile observed is consistent with what has been described in the literature (PMID : 24973221; 24062788).

All lanes:

Western blot - Anti-ATF3 antibody [EPR22610-19] - ChIP Grade (ab254268) at 1/1000 dilution

Lane 1:

Untreated THP-1 (human monocytic leukemia monocyte), whole cell lysate at 20 µg

Lane 2:

THP-1 treated with 80nM TPA overnight, then treated with 1ug/ml lipopolysaccharide (LPS) for 8 hours, whole cell lysate at 20 µg

Lane 3:

Untreated RAW264.7 (mouse Abelson murine leukemia virus-induced tumor macrophage), whole cell lysate at 20 µg

Lane 4:

RAW264.7 treated with 1ug/ml lipopolysaccharide (LPS) for 2 hours, whole cell lysate at 20 µg

Secondary

All lanes:

Western blot - Goat Anti-Rabbit IgG H&L (HRP) (<a href='/en-us/products/secondary-antibodies/goat-rabbit-igg-h-l-hrp-ab97051'>ab97051</a>) at 1/100000 dilution

Predicted band size: 21 kDa

Observed band size: 21 kDa

false

Exposure time: 70s

Western blot - Anti-ATF3 antibody [EPR22610-19] - ChIP Grade (AB254268)
  • WB

Lab

Western blot - Anti-ATF3 antibody [EPR22610-19] - ChIP Grade (AB254268)

Lanes 1-2 : Merged signal (red and green). Green - ab254268 observed at 21 kDa. Red - loading control ab8245 observed at 37 kDa.

ab254268 Recombinant Anti-ATF3 antibody [EPR22610-19] was shown to specifically react with ATF3 in wild-type HCT116 cells. Loss of signal was observed when knockout cell line ab266872 (knockout cell lysate ab257074) was used. Wild-type and ATF3 knockout samples were subjected to SDS-PAGE. ab254268 and Anti-GAPDH antibody [6C5] - Loading Control (ab8245) were incubated overnight at 4°C at 1 in 1000 and 1 in 20000 dilution respectively. Blots were developed with Goat anti-Rabbit IgG H&L (IRDye® 800CW) preadsorbed (ab216773) and Goat anti-Mouse IgG H&L (IRDye® 680RD) preadsorbed (ab216776) secondary antibodies at 1 in 20000 dilution for 1 hour at room temperature before imaging.

All lanes:

Western blot - Anti-ATF3 antibody [EPR22610-19] - ChIP Grade (ab254268) at 1/1000 dilution

Lane 1:

Wild-type HCT116 cell lysate at 20 µg

Lane 2:

ATF3 knockout HCT116 cell lysate at 20 µg

Lane 2:

Western blot - Human ATF3 knockout HCT116 cell line (<a href='/en-us/products/cell-lines/human-atf3-knockout-hct116-cell-line-ab266872'>ab266872</a>)

Predicted band size: 21 kDa

Observed band size: 21 kDa

false

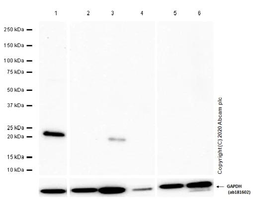
Western blot - Anti-ATF3 antibody [EPR22610-19] - ChIP Grade (AB254268)
  • WB

Lab

Western blot - Anti-ATF3 antibody [EPR22610-19] - ChIP Grade (AB254268)

Blocking/Diluting buffer and concentration : 5% NFDM/TBST.

Rabbit monoclonal [EPR16891] to GAPDH (ab181602) used as loading control.

ATF3 has a low expression level in some cell lines and tissues, but is increased under treatment (PMID : 8622660, PMID : 22053207, PMID : 20018623, PMID : 29940414).

All lanes:

Western blot - Anti-ATF3 antibody [EPR22610-19] - ChIP Grade (ab254268) at 1/1000 dilution

Lane 1:

293T (Human embryonic kidney epithelial cell) whole cell lysate at 20 µg

Lane 2:

Human liver tissue lysate at 20 µg

Lane 3:

Raw264.7 (Mouse abelson murine leukemia virus-induced tumor macrophage) whole cell lysate at 20 µg

Lane 4:

Mouse liver tissue lysate at 20 µg

Lane 5:

MEF (Mouse embryonic fibroblast (immortalized)) whole cell lysate at 20 µg

Lane 6:

Mouse heart tissue lysate at 20 µg

Secondary

All lanes:

Western blot - Goat Anti-Rabbit IgG H&L (HRP) (<a href='/en-us/products/secondary-antibodies/goat-rabbit-igg-h-l-hrp-ab97051'>ab97051</a>) at 1/20000 dilution

Predicted band size: 21 kDa

Observed band size: 21 kDa

false

Exposure time: 180s

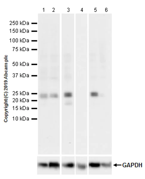
Western blot - Anti-ATF3 antibody [EPR22610-19] - ChIP Grade (AB254268)
  • WB

Lab

Western blot - Anti-ATF3 antibody [EPR22610-19] - ChIP Grade (AB254268)

Blocking and dilution buffer : 5% NFDM/TBST.

Negative control : Daudi (PMID : 19136462).

The molecular weight observed is consistent with what has been described in the literature (PMID : 18692824).

All lanes:

Western blot - Anti-ATF3 antibody [EPR22610-19] - ChIP Grade (ab254268) at 1/1000 dilution

Lane 1:

HepG2 (human hepatocellular carcinoma epithelial cell), whole cell lysate at 20 µg

Lane 2:

HeLa (human cervix adenocarcinoma epithelial cell), whole cell lysate at 20 µg

Lane 3:

HEK-293T (human embryonic kidney epithelial cell), whole cell lysate at 20 µg

Lane 4:

Daudi (human Burkitts lymphoma lymphoblast), whole cell lysate at 20 µg

Lane 5:

Wild-type HAP1 whole cell lysate at 20 µg

Lane 6:

ATF3 knockout HAP1 whole cell lysate at 20 µg

Secondary

All lanes:

Western blot - Goat Anti-Rabbit IgG H&L (HRP) (<a href='/en-us/products/secondary-antibodies/goat-rabbit-igg-h-l-hrp-ab97051'>ab97051</a>) at 1/100000 dilution

Predicted band size: 21 kDa

Observed band size: 21 kDa

false

Exposure time: 26s

ChIC/CUT&RUN sequencing - Anti-ATF3 antibody [EPR22610-19] - ChIP Grade (AB254268)
  • ChIC/CUT&RUN-seq

Lab

ChIC/CUT&RUN sequencing - Anti-ATF3 antibody [EPR22610-19] - ChIP Grade (AB254268)

ChIC/CUT&RUN was performed using a pAG-MNAse at a final concentration of 700 ng/mL. 2.5X10^5 of Human ATF3 knockout HeLa cell line (ab264908) or Human wild-type HeLa cell line (ab255448) were used along with 5µg of Anti-ATF3 antibody (ab254268). Assay Quality Control was conducted using 5µg Anti-CTCF (ab188408) on the same cell lines. The resulting DNA was sequenced on the Illumina NovaSeq 6000 to a depth of 10 million reads. The negative IgG control ab172730 is also shown. Additional screenshots of mapped reads can be found in the Protocol booklet in the Product Protocol section. The University of Geneva owns patents relevant to ChIC (Chromatin Immuno-Cleavage) methods.

Key facts

Host species

Rabbit

Clonality

Monoclonal

Clone number

EPR22610-19

Isotype

IgG

Carrier free

No

Reacts with

Mouse, Human

Applications

IP, Flow Cyt (Intra), ChIC/CUT&RUN-seq, WB, IHC-P, ChIP, ICC/IF

applications

Immunogen

The exact immunogen used to generate this antibody is proprietary information.

Specificity

IHC is not recommended for mouse.

Stimulation may be required to allow detection of the target protein due to low levels of endogenous expression in some samples. Please see images below for recommended treatment conditions and positive controls.

ATF3 has a low expression level in some cell lines and tissues, but is increased under treatment (PMID: 8622660, 22053207, 20018623, 29940414, and 27912076).

Reactivity data

{ "title": "Reactivity Data", "filters": { "stats": ["", "Species", "Dilution Info", "Notes"], "tabs": { "all-applications": {"fullname" : "All Applications", "shortname": "All Applications"}, "ChICCUTRUNseq" : {"fullname" : "ChIC/CUT&RUN sequencing", "shortname":"ChIC/CUT&RUN-seq"}, "ChIP" : {"fullname" : "ChIP", "shortname":"ChIP"}, "FlowCytIntra" : {"fullname" : "Flow Cytometry (Intracellular)", "shortname":"Flow Cyt (Intra)"}, "ICCIF" : {"fullname" : "Immunocytochemistry/ Immunofluorescence", "shortname":"ICC/IF"}, "WB" : {"fullname" : "Western blot", "shortname":"WB"}, "IP" : {"fullname" : "Immunoprecipitation", "shortname":"IP"}, "IHCP" : {"fullname" : "Immunohistochemistry (Formalin/PFA-fixed paraffin-embedded sections)", "shortname":"IHC-P"} }, "product-promise": { "all": "all", "testedAndGuaranteed": "tested", "guaranteed": "expected", "predicted": "predicted", "notRecommended": "not-recommended" } }, "values": { "Human": { "ChICCUTRUNseq-species-checked": "testedAndGuaranteed", "ChICCUTRUNseq-species-dilution-info": "", "ChICCUTRUNseq-species-notes": "<p></p>", "ChIP-species-checked": "testedAndGuaranteed", "ChIP-species-dilution-info": "5 µg for 25 µg chromatin", "ChIP-species-notes": "<p></p>", "FlowCytIntra-species-checked": "testedAndGuaranteed", "FlowCytIntra-species-dilution-info": "1/600", "FlowCytIntra-species-notes": "<p></p>", "ICCIF-species-checked": "testedAndGuaranteed", "ICCIF-species-dilution-info": "1/100", "ICCIF-species-notes": "<p></p>", "WB-species-checked": "testedAndGuaranteed", "WB-species-dilution-info": "1/1000", "WB-species-notes": "<p></p>", "IP-species-checked": "guaranteed", "IP-species-dilution-info": "", "IP-species-notes": "", "IHCP-species-checked": "testedAndGuaranteed", "IHCP-species-dilution-info": "1/500", "IHCP-species-notes": "<p>IHC is not recommended for mouse.</p>" }, "Mouse": { "ChICCUTRUNseq-species-checked": "guaranteed", "ChICCUTRUNseq-species-dilution-info": "", "ChICCUTRUNseq-species-notes": "", "ChIP-species-checked": "guaranteed", "ChIP-species-dilution-info": "", "ChIP-species-notes": "", "FlowCytIntra-species-checked": "guaranteed", "FlowCytIntra-species-dilution-info": "", "FlowCytIntra-species-notes": "", "ICCIF-species-checked": "guaranteed", "ICCIF-species-dilution-info": "", "ICCIF-species-notes": "", "WB-species-checked": "testedAndGuaranteed", "WB-species-dilution-info": "1/1000", "WB-species-notes": "<p></p>", "IP-species-checked": "testedAndGuaranteed", "IP-species-dilution-info": "1/30", "IP-species-notes": "<p></p>", "IHCP-species-checked": "notRecommended", "IHCP-species-dilution-info": "", "IHCP-species-notes": "<p></p>" } } }

Product details

What is this antibody validated in?
Anti-ATF3 antibody [EPR22610-19] - ChIP Grade (ab254268) is a rabbit recombinant monoclonal antibody and is validated for use in Western Blot (WB), Flow Cytometry (Intra), Flow Cytometry (Flow Cyt), Immunoprecipitation (IP), Immunohistochemistry (IHC-P), Immunocytochemistry/immunofluorescence (ICC/IF), ChIP in Human, Mouse samples.

What is the molecular weight of ATF3?
Anti-ATF3 [EPR22610-19] - ChIP Grade (ab254268) specifically detects a band for ATF3 (UniProt: P18847) at a molecular weight of 21kDa.

Trusted by the scientific community
Anti-ATF3 [EPR22610-19] - ChIP Grade (ab254268) was first used in a scientific publication in 2019 and has been cited over 10 times in peer-reviewed journals.

Trial sizes available!
Test your antibody or perform pre-screening before committing to a larger quantity. Sold in 10µl. Discover our selection of trial-size antibodies.

Specificity confirmed
The specificity of Anti-ATF3 antibody [EPR22610-19] - ChIP Grade (ab254268) has been confirmed by Immunocytochemistry testing in ATF3 Knockout HAP1 cell line, ab266955.

Other related products
We have a range of other formats of antibody clone [EPR22610-19] also available for your convenience: ab254268, Carrier free - ab256534, Alexa Fluor® 488 - ab319082

Patented technology
Our RabMAb® technology is a patented hybridoma-based technology for making rabbit monoclonal antibodies. For details on our patents, please refer to RabMAb® patents.

What are the advantages of a recombinant monoclonal antibody?
This product is a recombinant monoclonal antibody, which offers several advantages including:

  • - High batch-to-batch consistency and reproducibility
  • - Improved sensitivity and specificity
  • - Long-term security of supply
  • - Animal-free batch production

For more information, read more on recombinant antibodies.

Properties and storage information

Form
Liquid
Purification technique
Affinity purification Protein A
Storage buffer
pH: 7.2 - 7.4 Preservative: 0.01% Sodium azide Constituents: PBS, 40% Glycerol (glycerin, glycerine), 0.05% BSA
Shipped at conditions
Blue Ice
Appropriate short-term storage duration
1-2 weeks
Appropriate short-term storage conditions
+4°C
Appropriate long-term storage conditions
-20°C
Aliquoting information
Upon delivery aliquot
Storage information
Avoid freeze / thaw cycle

Supplementary information

This supplementary information is collated from multiple sources and compiled automatically.

ATF3 also known as Activating Transcription Factor 3 functions primarily as a stress-responsive transcription factor. This protein has a molecular weight of about 21 kDa and is part of the ATF/CREB family of transcription factors. ATF3 is expressed in various tissues and is known for its role in stress response and regulation of gene expression. The expression levels change in response to cellular stress and it may interact with several other transcription factors to modulate gene expression profiles.
Biological function summary

ATF3 acts as a regulator of cellular stress responses and can influence cell cycle arrest and apoptosis. It does not form a large complex but interacts with diverse partners to execute its functions. Studies often use HCT116 cells to investigate ATF3's role where it can serve as a marker of cellular stress and inflammation. The protein regulates genes involved in maintaining homeostasis in stressed cells.

Pathways

ATF3 is involved in stress response and apoptotic pathways. In the context of apoptosis ATF3 interacts with proteins like p53 and Jun which are important for inducing cell cycle arrest and programmed cell death. In stress response pathways ATF3 modifies transcriptional activity in reaction to various stress signals providing a checkpoint for damaged cells before repairing or entering programmed death.

ATF3 relates to cancer and cardiovascular diseases. In cancer abnormal expression of ATF3 can influence tumor growth and metastasis often acting through its interactions with proteins like NF-kB. Additionally in cardiovascular disorders ATF3's role in regulating stress responses underpins its involvement in conditions linked to inflammation and atherosclerosis again with NF-kB signaling being a relevant pathway of interaction. Researchers continue to study ATF3 to uncover therapeutic targets for these and other diseases.

Product protocols

For this product, it's our understanding that no specific protocols are required. You can visit:

Target data

This protein binds the cAMP response element (CRE) (consensus : 5'-GTGACGT[AC][AG]-3'), a sequence present in many viral and cellular promoters. Represses transcription from promoters with ATF sites. It may repress transcription by stabilizing the binding of inhibitory cofactors at the promoter.. Isoform 2. Activates transcription presumably by sequestering inhibitory cofactors away from the promoters.. Isoform 3. Stress-induced isoform, counteracts the transcriptional repression of isoform 1.
See full target information ATF3

Publications (40)

Recent publications for all applications. Explore the full list and refine your search

PloS one 20:e0328530 PubMed40680001

2025

Integrated bioinformatics and experimental validation identify ATF3 as a key gene in secondary brain damage after intracerebral hemorrhage.

Applications

Unspecified application

Species

Unspecified reactive species

Tao Cui,Jinbang Huang,Chaoyong Zhang,Bin Wang

Parasites & vectors 18:245 PubMed40597375

2025

ATF3-mediated inhibition of Trem2 by Toxoplasma gondii contributes to adverse pregnancy outcomes.

Applications

Unspecified application

Species

Unspecified reactive species

Xiaoyu Geng,Tiankun Yao,Xinyue Wang,Jianan Wang,Tongrui Zhang,Tianmei Qian,Chun Liu,Jinling Chen

Communications biology 8:920 PubMed40506500

2025

Increased matrix stiffness promotes fibrogenesis of hepatic stellate cells through AP-1-induced chromatin priming.

Applications

Unspecified application

Species

Unspecified reactive species

Wenxue Zhao,Weihong Yuan,Tian Dong,Wei Qi,Zhijie Feng,Cheng Li,Yujie Sun

Signal transduction and targeted therapy 10:157 PubMed40360476

2025

Exosomal transfer of pro-pyroptotic miR-216a-5p exacerbates anthracycline cardiotoxicity through breast cancer-heart pathological crosstalk.

Applications

Unspecified application

Species

Unspecified reactive species

Yan Ma,Yongjun Wang,Renzheng Chen,Yabin Wang,Yan Fang,Cheng Qin,Tianhu Wang,Xiaoying Shen,Tingwen Zhou,Lei Tian,Ting Sun,Li Fan,Xiaoning Wang,Dong Han,Feng Cao

Science advances 11:eadq1575 PubMed40184463

2025

Atf3 controls transitioning in female mitochondrial cardiomyopathy as identified by spatial and single-cell transcriptomics.

Applications

Unspecified application

Species

Unspecified reactive species

Tasneem Qaqorh,Yusuke Takahashi,Kohei Sameshima,Kentaro Otani,Issei Yazawa,Yuya Nishida,Kohei Tonai,Yoshitaka Fujihara,Mizuki Honda,Shinya Oki,Yasuyuki Ohkawa,David R Thorburn,Ann E Frazier,Atsuhito Takeda,Yoshihiko Ikeda,Heima Sakaguchi,Takuya Watanabe,Norihide Fukushima,Yasumasa Tsukamoto,Naomasa Makita,Osamu Yamaguchi,Kei Murayama,Akira Ohtake,Yasushi Okazaki,Takanari Kimura,Hisakazu Kato,Hijiri Inoue,Ken Matsuoka,Seiji Takashima,Yasunori Shintani

Clinical epigenetics 17:9 PubMed39838504

2025

TEC-mediated tRF-31R9J regulates histone lactylation and acetylation by HDAC1 to suppress hepatocyte ferroptosis and improve non-alcoholic steatohepatitis.

Applications

Unspecified application

Species

Unspecified reactive species

Juanjuan Zhu,Xian Wu,Mao Mu,Quan Zhang,Xueke Zhao

Translational pediatrics 13:2242-2253 PubMed39823004

2025

promotes cell apoptosis and cell-cycle arrest in osteosarcoma via the modulation of CDCA8/ATF3 by targeting NUSAP1.

Applications

Unspecified application

Species

Unspecified reactive species

Haoran Wang,Hanqing Wang,Zixiang Liu,Peng Wu,Rongdan Dai,Dongsheng Hong,Tomoki Nakamura,Weiwei Ren

Journal of pathology and translational medicine 59:68-83 PubMed39815745

2025

PLUNC downregulates the expression of PD-L1 by inhibiting the interaction of DDX17/β-catenin in nasopharyngeal carcinoma.

Applications

Unspecified application

Species

Unspecified reactive species

Ranran Feng,Yilin Guo,Meilin Chen,Ziying Tian,Yijun Liu,Su Jiang,Jieyu Zhou,Qingluan Liu,Xiayu Li,Wei Xiong,Lei Shi,Songqing Fan,Guiyuan Li,Wenling Zhang

Redox report : communications in free radical research 29:2420563 PubMed39639475

2024

Unraveling the mechanisms underlying diabetic cataracts: insights from Mendelian randomization analysis.

Applications

Unspecified application

Species

Unspecified reactive species

Wenlan Liu,Yiming Pan

Acta biochimica et biophysica Sinica 57:424-436 PubMed39539109

2024

The peripheral Atf3 neuronal population is responsible for nerve regeneration at the early stage of nerve injury revealed by single-cell RNA sequencing.

Applications

Unspecified application

Species

Unspecified reactive species

Li Liu,Junhui Chen,Wen Yin,Po Gao,Yinghui Fan,Daxiang Wen,Yingfu Jiao,Weifeng Yu
View all publications
chicCutRunSequencingBooklet
en

Product promise

We are committed to supporting your work with high-quality reagents, and we're here for you every step of the way. In the unlikely event that one of our products does not perform as expected, you're protected by our Product Promise.
For full details, please see our Terms & Conditions

Please note: All products are 'FOR RESEARCH USE ONLY. NOT FOR USE IN DIAGNOSTIC OR THERAPEUTIC PROCEDURES'.

For licensing inquiries, please contact partnerships@abcam.com