JavaScript is disabled in your browser. Please enable JavaScript to view this website.
AB305293

Anti-ATF3 antibody [EPR25413-65]

  • BOND RX™ Validated
  • 20ul selling size
  • RabMAb
  • Recombinant
  • What is this?

Be the first to review this product! Submit a review

|

(2 Publications)

Rabbit Recombinant Monoclonal ATF3 antibody. Suitable for IHC-P and reacts with Mouse, Rat samples. Cited in 2 publications.

View Alternative Names

Cyclic AMP-dependent transcription factor ATF-3, cAMP-dependent transcription factor ATF-3, Activating transcription factor 3, Transcription factor LRG-21, Atf3

4 Images
Immunohistochemistry (Formalin/PFA-fixed paraffin-embedded sections) - Anti-ATF3 antibody [EPR25413-65] (AB305293)
  • IHC-P

Supplier Data

Immunohistochemistry (Formalin/PFA-fixed paraffin-embedded sections) - Anti-ATF3 antibody [EPR25413-65] (AB305293)

Immunohistochemical analysis of paraffin-embedded (A) HEK-293T cells t tissue labeling ATF3 with ab305293 at 1/20000 (0.024 µg/ml) followed by a Rabbit specific IHC polymer detection kit HRP/DAB (ab209101) at Ready to use dilution. Positive staining on (A) HEK-293T cells transfected with a rat ATF3 expression vector containing a his tag. No staining on (B) HEK-293T cells transfected with empty vector containing a his tag. The section was incubated with ab305293 for 30 mins at room temperature. The immunostaining was performed on a Leica Biosystems BOND® RX instrument Counterstained with Hematoxylin. Secondary antibody only control : Secondary antibody is Rabbit specific IHC polymer detection kit HRP/DAB (ab209101) at Ready to use dilution. Heat mediated antigen retrieval was performed with Tris-EDTA buffer (pH 9.0, Epitope Retrieval Solution2) for 20 mins

Immunohistochemistry (Formalin/PFA-fixed paraffin-embedded sections) - Anti-ATF3 antibody [EPR25413-65] (AB305293)
  • IHC-P

Supplier Data

Immunohistochemistry (Formalin/PFA-fixed paraffin-embedded sections) - Anti-ATF3 antibody [EPR25413-65] (AB305293)

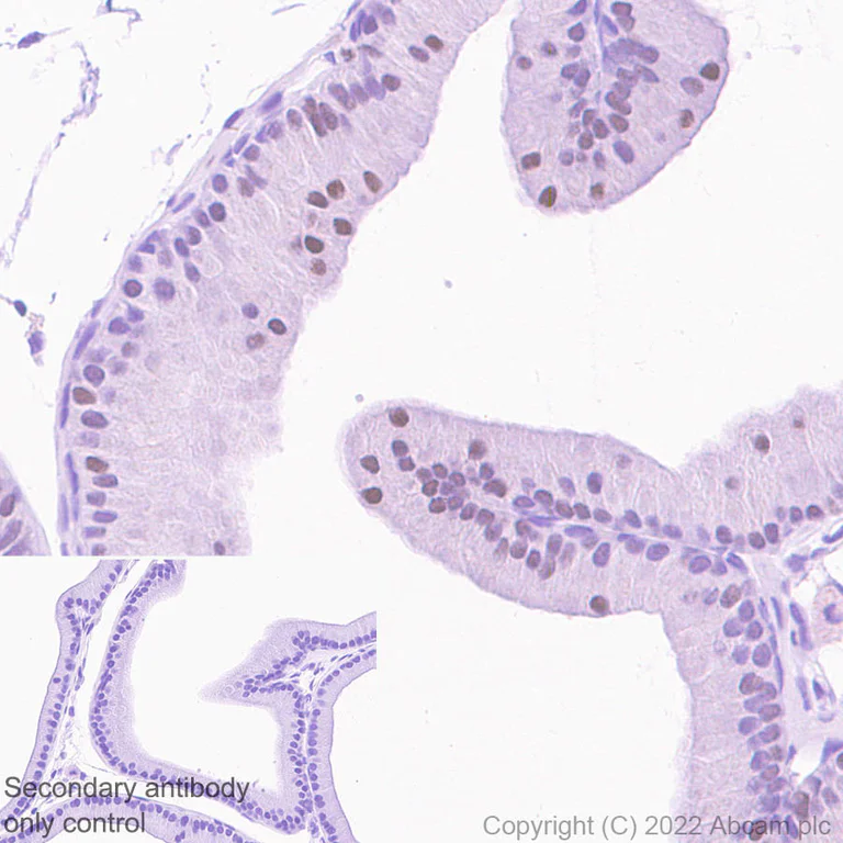
Immunohistochemical analysis of paraffin-embedded Rat prostate tissue labeling ATF3 with ab305293 at 1/500 (0.956 µg/ml) followed by a Rabbit specific IHC polymer detection kit HRP/DAB (ab209101) at Ready to use dilution. Positive staining on rat prostate (PMID : 26522727). The section was incubated with ab305293 for 30 mins at room temperature. The immunostaining was performed on a Leica Biosystems BOND® RX instrument Counterstained with Hematoxylin. Secondary antibody only control : Secondary antibody is Rabbit specific IHC polymer detection kit HRP/DAB (ab209101) at Ready to use dilution. Heat mediated antigen retrieval was performed with Tris-EDTA buffer (pH 9.0, Epitope Retrieval Solution2) for 20 mins

Immunohistochemistry (Formalin/PFA-fixed paraffin-embedded sections) - Anti-ATF3 antibody [EPR25413-65] (AB305293)
  • IHC-P

Supplier Data

Immunohistochemistry (Formalin/PFA-fixed paraffin-embedded sections) - Anti-ATF3 antibody [EPR25413-65] (AB305293)

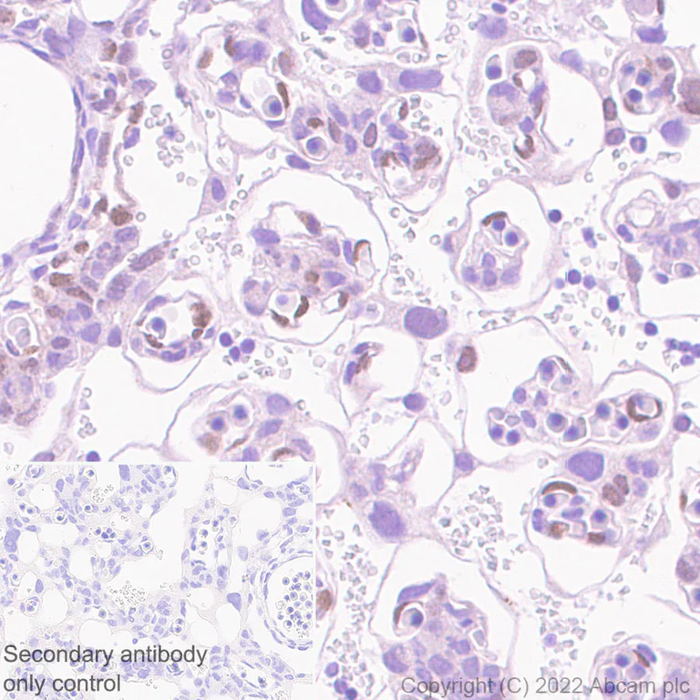
Immunohistochemical analysis of paraffin-embedded Rat placenta tissue labeling ATF3 with ab305293 at 1/500 (0.956 µg/ml) followed by a Rabbit specific IHC polymer detection kit HRP/DAB (ab209101) at Ready to use dilution. Positive staining on rat placenta (PMID : 28947613). The section was incubated with ab305293 for 30 mins at room temperature. The immunostaining was performed on a Leica Biosystems BOND® RX instrument Counterstained with Hematoxylin. Secondary antibody only control : Secondary antibody is Rabbit specific IHC polymer detection kit HRP/DAB (ab209101) at Ready to use dilution. Heat mediated antigen retrieval was performed with Tris-EDTA buffer (pH 9.0, Epitope Retrieval Solution2) for 20 mins

Immunohistochemistry (Formalin/PFA-fixed paraffin-embedded sections) - Anti-ATF3 antibody [EPR25413-65] (AB305293)
  • IHC-P

Supplier Data

Immunohistochemistry (Formalin/PFA-fixed paraffin-embedded sections) - Anti-ATF3 antibody [EPR25413-65] (AB305293)

Immunohistochemical analysis of paraffin-embedded Mouse placenta tissue labeling ATF3 with ab305293 at 1/500 (0.956 µg/ml) followed by a Rabbit specific IHC polymer detection kit HRP/DAB (ab209101) at Ready to use dilution. Positive staining on mouse placenta (PMID : 28947613). The section was incubated with ab305293 for 30 mins at room temperature. The immunostaining was performed on a Leica Biosystems BOND® RX instrument Counterstained with Hematoxylin. Secondary antibody only control : Secondary antibody is Rabbit specific IHC polymer detection kit HRP/DAB (ab209101) at Ready to use dilution. Heat mediated antigen retrieval was performed with Tris-EDTA buffer (pH 9.0, Epitope Retrieval Solution2) for 20 mins

  • Carrier free

    Anti-ATF3 antibody [EPR25413-65] - BSA and Azide free

Key facts

Host species

Rabbit

Clonality

Monoclonal

Clone number

EPR25413-65

Isotype

IgG

Carrier free

No

Reacts with

Mouse, Rat

Applications

IHC-P

applications

Immunogen

The exact immunogen used to generate this antibody is proprietary information.

Reactivity data

{ "title": "Reactivity Data", "filters": { "stats": ["", "Species", "Dilution Info", "Notes"], "tabs": { "all-applications": {"fullname" : "All Applications", "shortname": "All Applications"}, "WB" : {"fullname" : "Western blot", "shortname":"WB"}, "IHCP" : {"fullname" : "Immunohistochemistry (Formalin/PFA-fixed paraffin-embedded sections)", "shortname":"IHC-P"}, "ICCIF" : {"fullname" : "Immunocytochemistry/ Immunofluorescence", "shortname":"ICC/IF"}, "FlowCytIntra" : {"fullname" : "Flow Cytometry (Intracellular)", "shortname":"Flow Cyt (Intra)"}, "IP" : {"fullname" : "Immunoprecipitation", "shortname":"IP"} }, "product-promise": { "all": "all", "testedAndGuaranteed": "tested", "guaranteed": "expected", "predicted": "predicted", "notRecommended": "not-recommended" } }, "values": { "Human": { "WB-species-checked": "notRecommended", "WB-species-dilution-info": "", "WB-species-notes": "<p></p>", "IHCP-species-checked": "notRecommended", "IHCP-species-dilution-info": "", "IHCP-species-notes": "<p></p>", "ICCIF-species-checked": "notRecommended", "ICCIF-species-dilution-info": "", "ICCIF-species-notes": "", "FlowCytIntra-species-checked": "notRecommended", "FlowCytIntra-species-dilution-info": "", "FlowCytIntra-species-notes": "", "IP-species-checked": "notRecommended", "IP-species-dilution-info": "", "IP-species-notes": "" }, "Mouse": { "WB-species-checked": "notRecommended", "WB-species-dilution-info": "", "WB-species-notes": "<p></p>", "IHCP-species-checked": "testedAndGuaranteed", "IHCP-species-dilution-info": "1/500", "IHCP-species-notes": "<p></p>", "ICCIF-species-checked": "notRecommended", "ICCIF-species-dilution-info": "", "ICCIF-species-notes": "", "FlowCytIntra-species-checked": "notRecommended", "FlowCytIntra-species-dilution-info": "", "FlowCytIntra-species-notes": "", "IP-species-checked": "notRecommended", "IP-species-dilution-info": "", "IP-species-notes": "" }, "Rat": { "WB-species-checked": "notRecommended", "WB-species-dilution-info": "", "WB-species-notes": "<p></p>", "IHCP-species-checked": "testedAndGuaranteed", "IHCP-species-dilution-info": "1/500", "IHCP-species-notes": "<p></p>", "ICCIF-species-checked": "notRecommended", "ICCIF-species-dilution-info": "", "ICCIF-species-notes": "<p></p>", "FlowCytIntra-species-checked": "notRecommended", "FlowCytIntra-species-dilution-info": "", "FlowCytIntra-species-notes": "<p></p>", "IP-species-checked": "notRecommended", "IP-species-dilution-info": "", "IP-species-notes": "<p></p>" } } }

Product details

Patented technology
Our RabMAb® technology is a patented hybridoma-based technology for making rabbit monoclonal antibodies. For details on our patents, please refer to RabMAb® patents.

What are the advantages of a recombinant monoclonal antibody?
This product is a recombinant monoclonal antibody, which offers several advantages including:

  • - High batch-to-batch consistency and reproducibility
  • - Improved sensitivity and specificity
  • - Long-term security of supply
  • - Animal-free batch production

For more information, read more on recombinant antibodies.

Properties and storage information

Form
Liquid
Purification technique
Affinity purification Protein A
Storage buffer
pH: 7.2 - 7.4 Preservative: 0.01% Sodium azide Constituents: PBS, 40% Glycerol (glycerin, glycerine), 0.05% BSA
Shipped at conditions
Blue Ice
Appropriate short-term storage duration
1-2 weeks
Appropriate short-term storage conditions
+4°C
Appropriate long-term storage conditions
-20°C
Aliquoting information
Upon delivery aliquot
Storage information
Avoid freeze / thaw cycle

Supplementary information

This supplementary information is collated from multiple sources and compiled automatically.

ATF3 also known as Activating Transcription Factor 3 functions primarily as a stress-responsive transcription factor. This protein has a molecular weight of about 21 kDa and is part of the ATF/CREB family of transcription factors. ATF3 is expressed in various tissues and is known for its role in stress response and regulation of gene expression. The expression levels change in response to cellular stress and it may interact with several other transcription factors to modulate gene expression profiles.
Biological function summary

ATF3 acts as a regulator of cellular stress responses and can influence cell cycle arrest and apoptosis. It does not form a large complex but interacts with diverse partners to execute its functions. Studies often use HCT116 cells to investigate ATF3's role where it can serve as a marker of cellular stress and inflammation. The protein regulates genes involved in maintaining homeostasis in stressed cells.

Pathways

ATF3 is involved in stress response and apoptotic pathways. In the context of apoptosis ATF3 interacts with proteins like p53 and Jun which are important for inducing cell cycle arrest and programmed cell death. In stress response pathways ATF3 modifies transcriptional activity in reaction to various stress signals providing a checkpoint for damaged cells before repairing or entering programmed death.

ATF3 relates to cancer and cardiovascular diseases. In cancer abnormal expression of ATF3 can influence tumor growth and metastasis often acting through its interactions with proteins like NF-kB. Additionally in cardiovascular disorders ATF3's role in regulating stress responses underpins its involvement in conditions linked to inflammation and atherosclerosis again with NF-kB signaling being a relevant pathway of interaction. Researchers continue to study ATF3 to uncover therapeutic targets for these and other diseases.

Product protocols

For this product, it's our understanding that no specific protocols are required. You can visit:

Target data

This protein binds the cAMP response element (CRE) (consensus : 5'-GTGACGT[AC][AG]-3'), a sequence present in many viral and cellular promoters (PubMed : 11916968). Represses transcription from promoters with ATF sites (PubMed : 11916968). It may repress transcription by stabilizing the binding of inhibitory cofactors at the promoter (By similarity).
See full target information Atf3

Publications (2)

Recent publications for all applications. Explore the full list and refine your search

Immunity, inflammation and disease 12:e70000 PubMed39172048

2024

Identification and analysis of oxidative stress-related genes in hypoxic-ischemic brain damage using bioinformatics and experimental verification.

Applications

Unspecified application

Species

Unspecified reactive species

Ni Jin,Sha Sha,Yanghao Ruan,Ying Ouyang

Biomolecules 13: PubMed36671463

2022

Integration of scRNA-Seq and Bulk RNA-Seq Reveals Molecular Characterization of the Immune Microenvironment in Acute Pancreatitis.

Applications

Unspecified application

Species

Unspecified reactive species

Zhen Fang,Jie Li,Feng Cao,Fei Li
View all publications

Product promise

We are committed to supporting your work with high-quality reagents, and we're here for you every step of the way. In the unlikely event that one of our products does not perform as expected, you're protected by our Product Promise.
For full details, please see our Terms & Conditions

Please note: All products are 'FOR RESEARCH USE ONLY. NOT FOR USE IN DIAGNOSTIC OR THERAPEUTIC PROCEDURES'.

For licensing inquiries, please contact partnerships@abcam.com