JavaScript is disabled in your browser. Please enable JavaScript to view this website.
AB37149

Anti-ATF6 antibody

4

(6 Reviews)

|

(128 Publications)

Anti-ATF6 antibody (ab37149) is a rabbit polyclonal antibody detecting ATF6 in Western Blot, IHC-P. Suitable for Human, Mouse, Rat.

- KO validated for confirmed specificity
- Over 100 publications
- Trusted since 2006

View Alternative Names

Cyclic AMP-dependent transcription factor ATF-6 alpha, cAMP-dependent transcription factor ATF-6 alpha, Activating transcription factor 6 alpha, ATF6-alpha, ATF6

8 Images
Western blot - Anti-ATF6 antibody (AB37149)
  • WB

Supplier Data

Western blot - Anti-ATF6 antibody (AB37149)

1 h incubation at RT in 5% NFDM/TBST.

All lanes:

Western blot - Anti-ATF6 antibody (ab37149) at 0.5 µg/mL

Lane 1:

Wild type HeLa cells at 15 µg

Lane 2:

ATF6 knockout HeLa cells at 15 µg

Secondary

All lanes:

Goat Anti-Rabbit IgG HRP conjugate at 1/10000 dilution

Predicted band size: 74 kDa

false

Immunohistochemistry (Formalin/PFA-fixed paraffin-embedded sections) - Anti-ATF6 antibody (AB37149)
  • IHC-P

Supplier Data

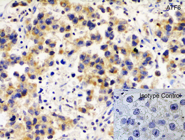
Immunohistochemistry (Formalin/PFA-fixed paraffin-embedded sections) - Anti-ATF6 antibody (AB37149)

Immunohistochemical analysis of paraffin-embedded Human testis tissue using ab37149 at 5µg/ml. Tissue was fixed with formaldehyde and blocked with 10% serum for 1h at RT. Antigen retrieval was by heat mediation with a citrate buffer (pH 6.0). Samples were incubated with primary antibody overnight at 4°C. Goat anti-rabbit IgG H&L (HRP) at 1/250 dilution was used as a secondary antibody. Counter stained with Hematoxylin.

Immunohistochemistry (Formalin/PFA-fixed paraffin-embedded sections) - Anti-ATF6 antibody (AB37149)
  • IHC-P

Supplier Data

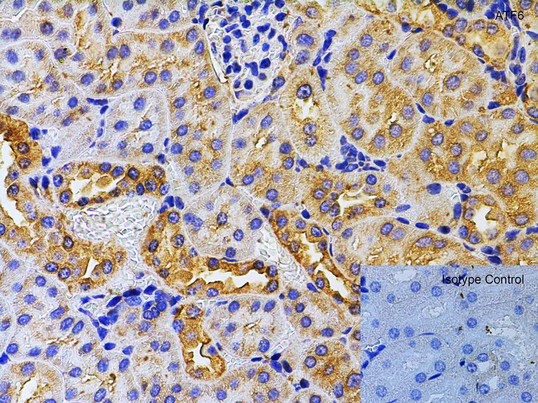
Immunohistochemistry (Formalin/PFA-fixed paraffin-embedded sections) - Anti-ATF6 antibody (AB37149)

Immunohistochemical analysis of paraffin-embedded Rat kidney tissue using ab37149 at 5µg/ml. Tissue was fixed with formaldehyde and blocked with 10% serum for 1h at RT. Antigen retrieval was by heat mediation with a citrate buffer (pH 6.0). Samples were incubated with primary antibody overnight at 4°C. Goat anti-rabbit IgG H&L (HRP) at 1/250 dilution was used as a secondary antibody. Counter stained with Hematoxylin.

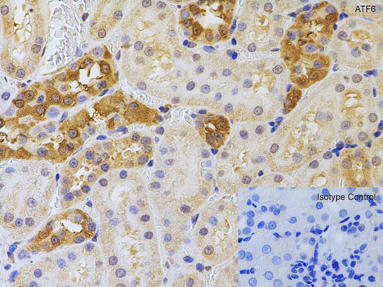
Immunohistochemistry (Formalin/PFA-fixed paraffin-embedded sections) - Anti-ATF6 antibody (AB37149)
  • IHC-P

Supplier Data

Immunohistochemistry (Formalin/PFA-fixed paraffin-embedded sections) - Anti-ATF6 antibody (AB37149)

Immunohistochemical analysis of paraffin-embedded Mouse kidney tissue using ab37149 at 5µg/ml. Tissue was fixed with formaldehyde and blocked with 10% serum for 1h at RT. Antigen retrieval was by heat mediation with a citrate buffer (pH 6.0). Samples were incubated with primary antibody overnight at 4°C. Goat anti-rabbit IgG H&L (HRP) at 1/250 dilution was used as a secondary antibody. Counter stained with Hematoxylin.

Western blot - Anti-ATF6 antibody (AB37149)
  • WB

Supplier Data

Western blot - Anti-ATF6 antibody (AB37149)

1 h incubation at RT in 5% NFDM/TBST.

All lanes:

Western blot - Anti-ATF6 antibody (ab37149) at 1 µg/mL

Lane 1:

HeLa cell lysates at 15 µg

Lane 2:

HepG2 cell lysates at 15 µg

Secondary

All lanes:

Goat Anti-Rabbit IgG HRP conjugate at 1/10000 dilution

Predicted band size: 74 kDa

false

Western blot - Anti-ATF6 antibody (AB37149)
  • WB

Supplier Data

Western blot - Anti-ATF6 antibody (AB37149)

1 h incubation at RT in 5% NFDM/TBST

All lanes:

Western blot - Anti-ATF6 antibody (ab37149) at 0.5 µg/mL

Lane 1:

WT HeLa Cells at 15 µg

Lane 2:

ATF6 knockout HeLa Cells at 15 µg

Secondary

All lanes:

Goat Anti-Rabbit IgG HRP conjugate at 1/10000 dilution

Predicted band size: 74 kDa

false

Western blot - Anti-ATF6 antibody (AB37149)
  • WB

Supplier Data

Western blot - Anti-ATF6 antibody (AB37149)

Blocking buffer : 5% NFDM/TBST.

All lanes:

Western blot - Anti-ATF6 antibody (ab37149) at 1 µg/mL

Lane 1:

Mouse Heart Lysate at 15 µg

Lane 2:

Mouse Skeletal Muscle Lysate at 15 µg

Secondary

All lanes:

Goat Anti-Rabbit IgG HRP Conjugate at 1/10000 dilution

Predicted band size: 74 kDa

false

Western blot - Anti-ATF6 antibody (AB37149)
  • WB

Supplier Data

Western blot - Anti-ATF6 antibody (AB37149)

Blocking buffer : 5% NFDM/TBST.

All lanes:

Western blot - Anti-ATF6 antibody (ab37149) at 1 µg/mL

All lanes:

Rat Kidney Lysate at 15 µg

Secondary

All lanes:

Goat Anti-Rabbit IgG HRP Conjugate at 1/10000 dilution

Predicted band size: 74 kDa

false

Key facts

Host species

Rabbit

Clonality

Polyclonal

Isotype

IgG

Carrier free

No

Reacts with

Mouse, Rat, Human

Applications

IHC-P, WB

applications

Immunogen

The exact immunogen used to generate this antibody is proprietary information.

Specificity

Based on 100% sequence alignment, this antibody detects ATF6 isoform A (alpha). The antibody is predicted to recognize the 50kDa fragment as it recognizes a peptide sequence from near the amino terminus. We have not tested stressed cells to see if the 50kDa cleavage product can be detected.

Reactivity data

{ "title": "Reactivity Data", "filters": { "stats": ["", "Species", "Dilution Info", "Notes"], "tabs": { "all-applications": {"fullname" : "All Applications", "shortname": "All Applications"}, "ICC" : {"fullname" : "Immunocytochemistry", "shortname":"ICC"}, "WB" : {"fullname" : "Western blot", "shortname":"WB"}, "IHCP" : {"fullname" : "Immunohistochemistry (Formalin/PFA-fixed paraffin-embedded sections)", "shortname":"IHC-P"} }, "product-promise": { "all": "all", "testedAndGuaranteed": "tested", "guaranteed": "expected", "predicted": "predicted", "notRecommended": "not-recommended" } }, "values": { "Human": { "ICC-species-checked": "notRecommended", "ICC-species-dilution-info": "", "ICC-species-notes": "<p></p>", "WB-species-checked": "testedAndGuaranteed", "WB-species-dilution-info": "0.5-1 µg/mL", "WB-species-notes": "<p></p>", "IHCP-species-checked": "testedAndGuaranteed", "IHCP-species-dilution-info": "5 µg/mL", "IHCP-species-notes": "<p></p>" }, "Mouse": { "ICC-species-checked": "notRecommended", "ICC-species-dilution-info": "", "ICC-species-notes": "<p></p>", "WB-species-checked": "testedAndGuaranteed", "WB-species-dilution-info": "0.5-1 µg/mL", "WB-species-notes": "<p></p>", "IHCP-species-checked": "testedAndGuaranteed", "IHCP-species-dilution-info": "5 µg/mL", "IHCP-species-notes": "<p></p>" }, "Rat": { "ICC-species-checked": "notRecommended", "ICC-species-dilution-info": "", "ICC-species-notes": "<p></p>", "WB-species-checked": "testedAndGuaranteed", "WB-species-dilution-info": "0.5-1 µg/mL", "WB-species-notes": "<p></p>", "IHCP-species-checked": "testedAndGuaranteed", "IHCP-species-dilution-info": "5 µg/mL", "IHCP-species-notes": "<p></p>" } } }

Product details

What is this antibody validated in?
Anti-ATF6 antibody (ab37149) is a rabbit polyclonal antibody and is validated for use in Western Blot (WB), Immunohistochemistry (IHC-P) in Human, Mouse, Rat samples.

What is the molecular weight of ATF6?
Anti-ATF6 (ab37149) specifically detects a band for ATF6 (UniProt: P18850) at a molecular weight of 75kDa.

Trusted by the scientific community
Anti-ATF6 (ab37149) was first used in a scientific publication in 2006 and has been cited over 100 times in peer-reviewed journals.

Reviewed by scientists
Anti-ATF6 (ab37149) has over 5 independent reviews from customers.

Specificity confirmed
The specificity of Anti-ATF6 antibody (ab37149) has been confirmed by Western blot testing in ATF6 Knockout HeLa cells.

Properties and storage information

Form
Liquid
Purification technique
Affinity purification Immunogen
Purification notes
Immunoaffinity purified
Storage buffer
pH: 7.2 Preservative: 0.02% Sodium azide Constituents: PBS
Shipped at conditions
Blue Ice
Appropriate short-term storage duration
1-2 weeks
Appropriate short-term storage conditions
+4°C
Appropriate long-term storage conditions
-20°C
Aliquoting information
Upon delivery aliquot
Storage information
Avoid freeze / thaw cycle

Supplementary information

This supplementary information is collated from multiple sources and compiled automatically.

Activating Transcription Factor 6 (ATF6) also known as ATF 6 is a significant protein in the endoplasmic reticulum (ER) stress response. The ATF6 protein has a molecular weight of approximately 84 kDa. It expresses predominantly in the endoplasmic reticulum membrane and plays a critical role in the unfolded protein response (UPR). During ER stress ATF6 relocates to the Golgi apparatus where it undergoes cleavage to become an active transcription factor. This process helps the cell to manage the accumulation of unfolded proteins.
Biological function summary

ATF6 operates as part of the transcription regulation mechanisms responding to ER stress. The ATF6 protein is essential in managing the expression of chaperone genes and ER-associated degradation (ERAD) components thereby maintaining protein homeostasis. ATF6 itself does not operate within a traditional complex but its activation involves proteolytic cleavage which subsequently releases the active form to the nucleus where it influences gene expression to alleviate stress conditions.

Pathways

ATF6 is prominently involved in the unfolded protein response pathway which manages cell survival and stress adaptation. This pathway closely interacts with other proteins like IRE1 and PERK forming a network that modulates the transcription of UPR target genes. Additionally ATF6 contributes to checkpoint control pathways that stabilize cellular environment by regulating genes related to chaperone and protein folding.

Malfunction or dysregulation of ATF6 links to conditions like diabetes and neurodegenerative diseases. In diabetes improper ATF6 function affects insulin signaling and glucose homeostasis often alongside proteins such as XBP1. In neurodegenerative diseases an inappropriate response to ER stress influences the progression of disorders like Alzheimer's disease where protein misfolding and aggregation play pivotal roles. Understanding how ATF6 interplays with these diseases could lead to new therapeutic avenues.

Product protocols

For this product, it's our understanding that no specific protocols are required. You can visit:

Target data

Cyclic AMP-dependent transcription factor ATF-6 alpha. Precursor of the transcription factor form (Processed cyclic AMP-dependent transcription factor ATF-6 alpha), which is embedded in the endoplasmic reticulum membrane (PubMed : 10564271, PubMed : 11158310, PubMed : 11779464). Endoplasmic reticulum stress promotes processing of this form, releasing the transcription factor form that translocates into the nucleus, where it activates transcription of genes involved in the unfolded protein response (UPR) (PubMed : 10564271, PubMed : 11158310, PubMed : 11779464).. Processed cyclic AMP-dependent transcription factor ATF-6 alpha. Transcription factor that initiates the unfolded protein response (UPR) during endoplasmic reticulum stress by activating transcription of genes involved in the UPR (PubMed : 10564271, PubMed : 11158310, PubMed : 11163209, PubMed : 11779464). Binds DNA on the 5'-CCAC[GA]-3'half of the ER stress response element (ERSE) (5'-CCAAT-N(9)-CCAC[GA]-3') and of ERSE II (5'-ATTGG-N-CCACG-3') (PubMed : 10564271, PubMed : 11158310, PubMed : 11779464). Binding to ERSE requires binding of NF-Y to ERSE. Could also be involved in activation of transcription by the serum response factor (PubMed : 10564271, PubMed : 11158310, PubMed : 11779464). May play a role in foveal development and cone function in the retina (PubMed : 26029869).
See full target information ATF6

Publications (128)

Recent publications for all applications. Explore the full list and refine your search

Physiological reports 13:e70580 PubMed40999314

2025

High-intensity interval training attenuates cardiac injury by targeting ferroptosis and endoplasmic reticulum-stress in male rats with heart failure.

Applications

Unspecified application

Species

Unspecified reactive species

Aida Sabouri,Abbasali Gaeini,Soheila Adeli,Alireza Ghardashi Afousi

International journal of oral science 17:28 PubMed40164575

2025

Macrophage ATF6 accelerates corticotomy-assisted orthodontic tooth movement through promoting Tnfα transcription.

Applications

Unspecified application

Species

Unspecified reactive species

Zhichun Jin,Hao Xu,Weiye Zhao,Kejia Zhang,Shengnan Wu,Chuanjun Shu,Linlin Zhu,Yan Wang,Lin Wang,Hanwen Zhang,Bin Yan

Hereditas 162:47 PubMed40158112

2025

Activation of TRIM37 by ATF6 and degradation of ACSL4: inhibiting ferroptosis and propelling cervical cancer progression.

Applications

Unspecified application

Species

Unspecified reactive species

Yang Wang,Li Xie,Shiying Jin,YouXiang Hou,Yina Wang

Genes & diseases 12:101350 PubMed39759111

2025

Melatonin ameliorates -associated chondrodysplasias by attenuating endoplasmic reticulum stress and apoptosis of chondrocytes.

Applications

Unspecified application

Species

Unspecified reactive species

Pan Li,Chao Zheng,Jingyan Hu,Weiguang Lu,Dong Wang,Xue Hao,Chengxiang Zhao,Liu Yang,Zhuojing Luo,Qiang Jie

Molecular medicine (Cambridge, Mass.) 30:266 PubMed39707212

2024

Osthole ameliorates wear particle-induced osteogenic impairment by mitigating endoplasmic reticulum stress via PERK signaling cascade.

Applications

Unspecified application

Species

Unspecified reactive species

Xin Yu,Juan Jiang,Cheng Li,Yang Wang,Zhengrong Ren,Jianlun Hu,Tao Yuan,Yongjie Wu,Dongsheng Wang,Ziying Sun,Qi Wu,Bin Chen,Peng Fang,Hao Ding,Jia Meng,Hui Jiang,Jianning Zhao,Nirong Bao

Cell death & disease 15:910 PubMed39695085

2024

MiR-378 exaggerates angiogenesis and bone erosion in collagen-induced arthritis mice by regulating endoplasmic reticulum stress.

Applications

Unspecified application

Species

Unspecified reactive species

Zhengmeng Yang,Nan Hou,Wenxiang Cheng,Xuan Lu,Ming Wang,Shanshan Bai,Yuejun Lin,Yaofeng Wang,Sien Lin,Peng Zhang,Micky D Tortorella,Lu Feng,Gang Li

American journal of translational research 16:5829-5845 PubMed39544779

2024

Zhi Zhu Ma Ren pill relieves constipation in mice through endoplasmic reticulum stress-mediated apoptosis.

Applications

Unspecified application

Species

Unspecified reactive species

Yong Wen,Yu Zhan,Jun Li,Ling Xu,Chengzi Huang,Rong Wu,Xuegui Tang

Journal of inflammation research 17:7261-7274 PubMed39429850

2024

Activating Transcription Factor 6 Mediates Inflammation in Experimental Varicocele-Induced Epididymal Epithelial Cells.

Applications

Unspecified application

Species

Unspecified reactive species

Yin-Shan Jin,Yuan-Qing Cui,Yan-Ping Xu,Jie Chen,Xue-Bao Zhang,Xiong Wang

Infection and immunity 92:e0005124 PubMed39133018

2024

inhibits the unfolded protein response to prevent host macrophage apoptosis and M2 polarization.

Applications

Unspecified application

Species

Unspecified reactive species

Tong Liu,Yujuan Zhang,Huanjun Zhao,Qi Wu,Jiuqing Xin,Qiao Pan

Histology and histopathology 39:1685-1693 PubMed39037126

2024

Oridonin alleviates inflammation and endoplasmic reticulum stress in pediatric pneumonia via regulating the SIRT1-mediated Wnt/β-catenin signaling pathway.

Applications

Unspecified application

Species

Unspecified reactive species

Weijuan Han,Chen Qian,Peipei Fu,Junmei Xu
View all publications

Product promise

We are committed to supporting your work with high-quality reagents, and we're here for you every step of the way. In the unlikely event that one of our products does not perform as expected, you're protected by our Product Promise.
For full details, please see our Terms & Conditions

Please note: All products are 'FOR RESEARCH USE ONLY. NOT FOR USE IN DIAGNOSTIC OR THERAPEUTIC PROCEDURES'.

For licensing inquiries, please contact partnerships@abcam.com