JavaScript is disabled in your browser. Please enable JavaScript to view this website.
AB227830

Anti-ATF6 antibody [EPR22690-84] - ChIP Grade

  • BOND RX™ Validated
  • RabMAb
  • Advanced Validation
  • Recombinant
  • KO Validated
  • What is this?

5

(3 Reviews)

|

(35 Publications)

Anti-ATF6 antibody [EPR22690-84] - ChIP Grade (ab227830) is a rabbit monoclonal antibody detecting ATF6 in Western Blot, IP, IHC-P, ChIP. Suitable for Human.

- KO validated for confirmed specificity
- Biophysical QC for unrivalled batch-batch consistency
- Over 10 publications

View Alternative Names

Cyclic AMP-dependent transcription factor ATF-6 alpha, cAMP-dependent transcription factor ATF-6 alpha, Activating transcription factor 6 alpha, ATF6-alpha, ATF6

6 Images
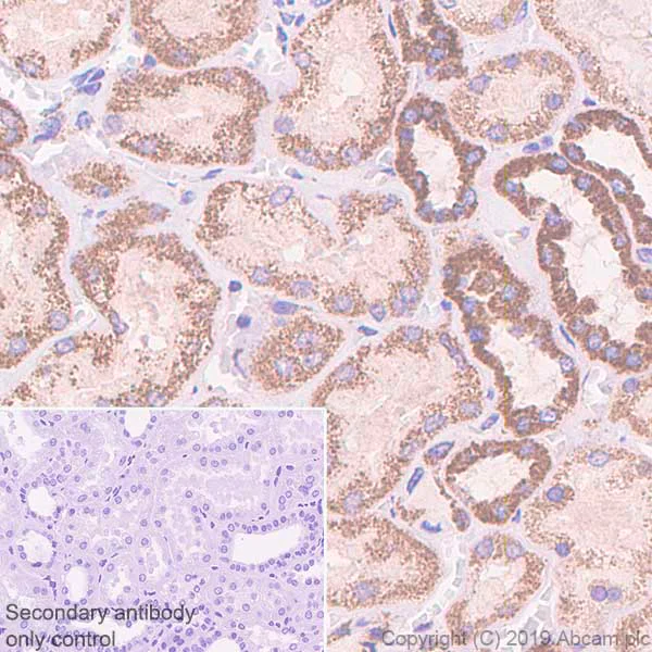
Immunohistochemistry (Formalin/PFA-fixed paraffin-embedded sections) - Anti-ATF6 antibody [EPR22690-84] - ChIP Grade (AB227830)
  • IHC-P

Supplier Data

Immunohistochemistry (Formalin/PFA-fixed paraffin-embedded sections) - Anti-ATF6 antibody [EPR22690-84] - ChIP Grade (AB227830)

Immunohistochemical analysis of paraffin-embedded Human kidney tissue labeling ATF6 with ab227830 at 1/1000 dilution (0.566 μg/ml) followed by a ready to use Rabbit specific IHC polymer detection kit HRP/DAB (ab209101). Positive staining on human kidney (PMID : 25725420) is observed. The section was incubated with ab227830 for 30 mins at room temperature.

The immunostaining was performed on a Leica Biosystems BOND® RX instrument. Counterstained with Hematoxylin. Heat mediated antigen retrieval with Tris-EDTA buffer (pH 9.0, epitope retrieval solution 2) for 20mins.

Secondary antibody only control : Used PBS instead of primary antibody, secondary antibody is a ready to use Rabbit specific IHC polymer detection kit HRP/DAB (ab209101).

Immunoprecipitation - Anti-ATF6 antibody [EPR22690-84] - ChIP Grade (AB227830)
  • IP

Supplier Data

Immunoprecipitation - Anti-ATF6 antibody [EPR22690-84] - ChIP Grade (AB227830)

ATF6 was immunoprecipitated from 0.35 mg HeLa (human cervix adenocarcinoma epithelial cell) whole cell lysate with ab227830 at 1/30 dilution (2μg in 0.35mg lysates). Western blot was performed on the immunoprecipitate using ab227830 1/1000 dilution (0.5 μg/ml). VeriBlot for IP Detection Reagent (HRP) (ab131366) was used at 1/5000 dilution.

Lane 1 : HeLa (human cervix adenocarcinoma epithelial cell) whole cell lysate 10μg

Lane 2 : ab254324 IP in HeLa whole cell lysate

Lane 3 : Rabbit monoclonal IgG (ab172730) instead of ab227830 in HeLa whole cell lysate.

Blocking and dilution buffer and concentration : 5% NFDM/TBST.

Exposure time : 3 min.

Lysate were made freshly and used in IP test immediately to minimize protein degradation. Incubation time was 2h.

All lanes:

Immunoprecipitation - Anti-ATF6 antibody [EPR22690-84] - ChIP Grade (ab227830)

Predicted band size: 74 kDa

Observed band size: 95 kDa

false

ChIP - Anti-ATF6 antibody [EPR22690-84] - ChIP Grade (AB227830)
  • ChIP

Unknown

ChIP - Anti-ATF6 antibody [EPR22690-84] - ChIP Grade (AB227830)

Chromatin was prepared from HeLa cells treated with thapsigargin (1 uM, 1 h) according to the Abcam Dual-X-ChIP protocol. Cells were fixed with 1.5 mM EGS for 30 mins and then formaldehyde for 10 min.
The ChIP was performed with 25 μg of chromatin, 5 μg of ab227830 (red), or 5 μg of rabbit normal IgG ab172730 (gray) and 20 μl of Protein A/G sepharose beads. The immunoprecipitated DNA was quantified by real time PCR (Taqman approach for active and inactive loci, Sybr green approach for heterochromatic loci).
Primers and probes are from paper PMID : 17535801.

Western blot - Anti-ATF6 antibody [EPR22690-84] - ChIP Grade (AB227830)
  • WB

Supplier Data

Western blot - Anti-ATF6 antibody [EPR22690-84] - ChIP Grade (AB227830)

ab227830 was shown to specifically react with ATF6 in wild-type HAP1 cells as signal was lost in ATF6 knockout cells. Wild-type and ATF6 knockout samples were subjected to SDS-PAGE. ab227830 and ab181602 (Rabbit anti-GAPDH loading control) were incubated 1 hour at room temperature at 1/1000 dilution and 1/200,000 dilution respectively. Blots were developed with Goat Anti-Rabbit IgG, (H+L), Peroxidase conjugated (ab97051) secondary antibody at 1/20,000 dilution for 1 hour at room temperature before imaging.

Blocking/Diluting buffer and concentration : 5% NFDM/TBST.

All lanes:

Western blot - Anti-ATF6 antibody [EPR22690-84] - ChIP Grade (ab227830) at 1/1000 dilution

Lane 1:

Wild type HAP1 whole cell lysate at 20 µg

Lane 2:

ATF6 knockout HAP1 whole cell lysate at 20 µg

Secondary

All lanes:

Western blot - Goat Anti-Rabbit IgG H&L (HRP) (<a href='/en-us/products/secondary-antibodies/goat-rabbit-igg-h-l-hrp-ab97051'>ab97051</a>) at 1/100000 dilution

Predicted band size: 74 kDa

Observed band size: 90 kDa

false

Exposure time: 62s

Western blot - Anti-ATF6 antibody [EPR22690-84] - ChIP Grade (AB227830)
  • WB

Supplier Data

Western blot - Anti-ATF6 antibody [EPR22690-84] - ChIP Grade (AB227830)

ATF6 is cleaved upon ER stress and the molecular weight observed is consistent with what has been described in the literature (PMID : 25149687; 11163209).

Blocking and diluting buffer and concentration : 5% NFDM/TBST.

All lanes:

Western blot - Anti-ATF6 antibody [EPR22690-84] - ChIP Grade (ab227830) at 1/1000 dilution

Lane 1:

Untreated HeLa (human cervix adenocarcinoma epithelial cell) whole cell lysate at 10 µg

Lane 2:

HeLa treated with 1 μΜ thapsigargin for 1 hour, whole cell lysate at 10 µg

Secondary

All lanes:

Western blot - Goat Anti-Rabbit IgG H&L (HRP) (<a href='/en-us/products/secondary-antibodies/goat-rabbit-igg-h-l-hrp-ab97051'>ab97051</a>) at 1/100000 dilution

Predicted band size: 74 kDa

Observed band size: 50 kDa,90 kDa

false

Exposure time: 3min

ChIC/CUT&RUN sequencing - Anti-ATF6 antibody [EPR22690-84] - ChIP Grade (AB227830)
  • ChIC/CUT&RUN-seq

Supplier Data

ChIC/CUT&RUN sequencing - Anti-ATF6 antibody [EPR22690-84] - ChIP Grade (AB227830)

ChIC/CUT&RUN was performed using a pAG-MNAse at a final concentration of 700 ng/mL, 2 x 10^5 HeLa cells treated with Thapsigargin (0.5 µM for 24h) and 5µg of ab227830 [EPR22690-84]. The resulting DNA was sequenced on the Illumina NovaSeq 6000 to a depth of 10 million reads. The negative IgG control ab172730 is also shown. Additional screenshots of mapped reads can be found in the Protocol booklet in the Product Protocol section. The University of Geneva owns patents relevant to ChIC (Chromatin Immuno-Cleavage) methods.

  • Carrier free

    Anti-ATF6 antibody [EPR22690-84] - ChIP Grade - BSA and Azide free

Key facts

Host species

Rabbit

Clonality

Monoclonal

Clone number

EPR22690-84

Isotype

IgG

Carrier free

No

Reacts with

Human

Applications

ChIC/CUT&RUN-seq, IHC-P, ChIP, WB, IP

applications

Immunogen

The exact immunogen used to generate this antibody is proprietary information.

Reactivity data

{ "title": "Reactivity Data", "filters": { "stats": ["", "Species", "Dilution Info", "Notes"], "tabs": { "all-applications": {"fullname" : "All Applications", "shortname": "All Applications"}, "ChICCUTRUNseq" : {"fullname" : "ChIC/CUT&RUN sequencing", "shortname":"ChIC/CUT&RUN-seq"}, "IP" : {"fullname" : "Immunoprecipitation", "shortname":"IP"}, "ChIP" : {"fullname" : "ChIP", "shortname":"ChIP"}, "FlowCyt" : {"fullname" : "Flow Cytometry", "shortname":"Flow Cyt"}, "WB" : {"fullname" : "Western blot", "shortname":"WB"}, "ICCIF" : {"fullname" : "Immunocytochemistry/ Immunofluorescence", "shortname":"ICC/IF"}, "IHCP" : {"fullname" : "Immunohistochemistry (Formalin/PFA-fixed paraffin-embedded sections)", "shortname":"IHC-P"} }, "product-promise": { "all": "all", "testedAndGuaranteed": "tested", "guaranteed": "expected", "predicted": "predicted", "notRecommended": "not-recommended" } }, "values": { "Human": { "ChICCUTRUNseq-species-checked": "testedAndGuaranteed", "ChICCUTRUNseq-species-dilution-info": "5 µg", "ChICCUTRUNseq-species-notes": "<p></p>", "IP-species-checked": "testedAndGuaranteed", "IP-species-dilution-info": "1/30", "IP-species-notes": "<p></p>", "ChIP-species-checked": "testedAndGuaranteed", "ChIP-species-dilution-info": "5 µg for 25 µg chromatin", "ChIP-species-notes": "<p></p>", "FlowCyt-species-checked": "notRecommended", "FlowCyt-species-dilution-info": "", "FlowCyt-species-notes": "<p></p>", "WB-species-checked": "testedAndGuaranteed", "WB-species-dilution-info": "1/1000", "WB-species-notes": "<p></p>", "ICCIF-species-checked": "notRecommended", "ICCIF-species-dilution-info": "", "ICCIF-species-notes": "<p></p>", "IHCP-species-checked": "testedAndGuaranteed", "IHCP-species-dilution-info": "1/1000", "IHCP-species-notes": "<p></p>" } } }

Product details

What is this antibody validated in?
Anti-ATF6 antibody [EPR22690-84] - ChIP Grade (ab227830) is a rabbit recombinant monoclonal antibody and is validated for use in Western Blot (WB), Immunoprecipitation (IP), Immunohistochemistry (IHC-P), ChIP in Human samples.

What is the molecular weight of ATF6?
Anti-ATF6 [EPR22690-84] - ChIP Grade (ab227830) specifically detects a band for ATF6 (UniProt: P18850) at a molecular weight of 74kDa.

Trusted by the scientific community
Anti-ATF6 [EPR22690-84] - ChIP Grade (ab227830) was first used in a scientific publication in 2019 and has been cited over 10 times in peer-reviewed journals.

Trial sizes available!
Test your antibody or perform pre-screening before committing to a larger quantity. Sold in 10µl. Discover our selection of trial-size antibodies.

Specificity confirmed
The specificity of Anti-ATF6 antibody [EPR22690-84] - ChIP Grade (ab227830) has been confirmed by Western blot testing in ATF6 Knockout HAP1 cells.

Other related products
We have a range of other formats of antibody clone [EPR22690-84] also available for your convenience: ab227830, Carrier free - ab263955

Patented technology
Our RabMAb® technology is a patented hybridoma-based technology for making rabbit monoclonal antibodies. For details on our patents, please refer to RabMAb® patents.

What are the advantages of a recombinant monoclonal antibody?
This product is a recombinant monoclonal antibody, which offers several advantages including:

  • - High batch-to-batch consistency and reproducibility
  • - Improved sensitivity and specificity
  • - Long-term security of supply
  • - Animal-free batch production

For more information, read more on recombinant antibodies.

Properties and storage information

Form
Liquid
Purification technique
Affinity purification Protein A
Storage buffer
pH: 7.2 - 7.4 Preservative: 0.01% Sodium azide Constituents: PBS, 40% Glycerol (glycerin, glycerine), 0.05% BSA
Shipped at conditions
Blue Ice
Appropriate short-term storage duration
1-2 weeks
Appropriate short-term storage conditions
+4°C
Appropriate long-term storage conditions
-20°C
Aliquoting information
Upon delivery aliquot
Storage information
Avoid freeze / thaw cycle

Supplementary information

This supplementary information is collated from multiple sources and compiled automatically.

Activating Transcription Factor 6 (ATF6) also known as ATF 6 is a significant protein in the endoplasmic reticulum (ER) stress response. The ATF6 protein has a molecular weight of approximately 84 kDa. It expresses predominantly in the endoplasmic reticulum membrane and plays a critical role in the unfolded protein response (UPR). During ER stress ATF6 relocates to the Golgi apparatus where it undergoes cleavage to become an active transcription factor. This process helps the cell to manage the accumulation of unfolded proteins.
Biological function summary

ATF6 operates as part of the transcription regulation mechanisms responding to ER stress. The ATF6 protein is essential in managing the expression of chaperone genes and ER-associated degradation (ERAD) components thereby maintaining protein homeostasis. ATF6 itself does not operate within a traditional complex but its activation involves proteolytic cleavage which subsequently releases the active form to the nucleus where it influences gene expression to alleviate stress conditions.

Pathways

ATF6 is prominently involved in the unfolded protein response pathway which manages cell survival and stress adaptation. This pathway closely interacts with other proteins like IRE1 and PERK forming a network that modulates the transcription of UPR target genes. Additionally ATF6 contributes to checkpoint control pathways that stabilize cellular environment by regulating genes related to chaperone and protein folding.

Malfunction or dysregulation of ATF6 links to conditions like diabetes and neurodegenerative diseases. In diabetes improper ATF6 function affects insulin signaling and glucose homeostasis often alongside proteins such as XBP1. In neurodegenerative diseases an inappropriate response to ER stress influences the progression of disorders like Alzheimer's disease where protein misfolding and aggregation play pivotal roles. Understanding how ATF6 interplays with these diseases could lead to new therapeutic avenues.

Product protocols

For this product, it's our understanding that no specific protocols are required. You can visit:

Target data

Cyclic AMP-dependent transcription factor ATF-6 alpha. Precursor of the transcription factor form (Processed cyclic AMP-dependent transcription factor ATF-6 alpha), which is embedded in the endoplasmic reticulum membrane (PubMed : 10564271, PubMed : 11158310, PubMed : 11779464). Endoplasmic reticulum stress promotes processing of this form, releasing the transcription factor form that translocates into the nucleus, where it activates transcription of genes involved in the unfolded protein response (UPR) (PubMed : 10564271, PubMed : 11158310, PubMed : 11779464).. Processed cyclic AMP-dependent transcription factor ATF-6 alpha. Transcription factor that initiates the unfolded protein response (UPR) during endoplasmic reticulum stress by activating transcription of genes involved in the UPR (PubMed : 10564271, PubMed : 11158310, PubMed : 11163209, PubMed : 11779464). Binds DNA on the 5'-CCAC[GA]-3'half of the ER stress response element (ERSE) (5'-CCAAT-N(9)-CCAC[GA]-3') and of ERSE II (5'-ATTGG-N-CCACG-3') (PubMed : 10564271, PubMed : 11158310, PubMed : 11779464). Binding to ERSE requires binding of NF-Y to ERSE. Could also be involved in activation of transcription by the serum response factor (PubMed : 10564271, PubMed : 11158310, PubMed : 11779464). May play a role in foveal development and cone function in the retina (PubMed : 26029869).
See full target information ATF6

Publications (35)

Recent publications for all applications. Explore the full list and refine your search

Journal of pineal research 77:e70072 PubMed40873119

2025

Melatonin Induces PERK-ATF4 Unfolded Protein Response and Apoptosis in Human Choriocarcinoma Cells.

Applications

Unspecified application

Species

Unspecified reactive species

Josianne Bienvenue-Pariseault,Lucas Sagrillo-Fagundes,Philippe Wong-Yen,Darius Stakamatos,Marie Cohen,Cathy Vaillancourt

Histology and histopathology :18951 PubMed40548384

2025

Loss of PDE10A is associated with metastasis of colon adenocarcinoma.

Applications

Unspecified application

Species

Unspecified reactive species

Sumaita Arowa,Nicholas Nuechterlein,Vinny Ha,Allison Shelbourn,Ashis Chowdhury,Yeshavanth K Banasavadi-Siddegowda,Jerzy Lasota,Markku Miettinen,Patrick J Cimino

Alzheimer's & dementia : the journal of the Alzheimer's Association 21:e70369 PubMed40551290

2025

TMEM59 deficiency activates chaperone-mediated autophagy and ameliorates disease-like pathologies in tauopathy model mice.

Applications

Unspecified application

Species

Unspecified reactive species

Naizhen Zheng,Zijie Wang,Jing Cao,Kun Li,Hui Xu,Jinghui Wang,Lingliang Zhang,Jian Meng,Ziqian Tang,Hong Luo,Hao Sun,Xian Zhang,Yun-Wu Zhang

JCI insight 10: PubMed40526433

2025

The MUC5B promoter variant results in proteomic changes in the nonfibrotic lung.

Applications

Unspecified application

Species

Unspecified reactive species

Jeremy A Herrera,Mark Maslanka,Rachel Z Blumhagen,Rachel Blomberg,Nyan Ye Lwin,Janna Brancato,Carlyne D Cool,Jonathan P Huber,Jonathan S Kurche,Chelsea M Magin,Kirk C Hansen,Ivana V Yang,David A Schwartz

International journal of oral science 17:28 PubMed40164575

2025

Macrophage ATF6 accelerates corticotomy-assisted orthodontic tooth movement through promoting Tnfα transcription.

Applications

Unspecified application

Species

Unspecified reactive species

Zhichun Jin,Hao Xu,Weiye Zhao,Kejia Zhang,Shengnan Wu,Chuanjun Shu,Linlin Zhu,Yan Wang,Lin Wang,Hanwen Zhang,Bin Yan

Open life sciences 20:20220951 PubMed39926475

2025

Preliminary analysis of the role of small hepatitis B surface proteins mutations in the pathogenesis of occult hepatitis B infection via the endoplasmic reticulum stress-induced UPR-ERAD pathway.

Applications

Unspecified application

Species

Unspecified reactive species

Chengrong Huang,Hao Zhang,Jing Wang,Jianfei Li,Qian Liu,Qiyin Zong,Yunyun Zhang,Qin Wang,Qiang Zhou

Emerging microbes & infections 13:2399945 PubMed39230190

2024

African swine fever virus modulates the endoplasmic reticulum stress-ATF6-calcium axis to facilitate viral replication.

Applications

Unspecified application

Species

Unspecified reactive species

Yanjin Wang,Jiaqi Li,Hongwei Cao,Lian-Feng Li,Jingwen Dai,Mengxiang Cao,Hao Deng,Dailang Zhong,Yuzi Luo,Yongfeng Li,Meilin Li,Dingkun Peng,Zitao Sun,Xiaowei Gao,Assad Moon,Lijie Tang,Yuan Sun,Su Li,Hua-Ji Qiu

Cellular and molecular life sciences : CMLS 81:334 PubMed39115595

2024

IER3IP1-mutations cause microcephaly by selective inhibition of ER-Golgi transport.

Applications

Unspecified application

Species

Unspecified reactive species

Mihaela Anitei,Francesca Bruno,Christina Valkova,Therese Dau,Emilio Cirri,Iván Mestres,Federico Calegari,Christoph Kaether

Heliyon 10:e32457 PubMed39027525

2024

LIM homeobox 1 (LHX1) induces endoplasmic reticulum stress and promotes preterm birth.

Applications

Unspecified application

Species

Unspecified reactive species

Liyin Qiu,Zhaozhen Liu,Shouzhen Chen,Yiting Wu,Jianying Yan

Cellular and molecular biology (Noisy-le-Grand, France) 70:182-186 PubMed38650136

2024

Small nucleolar RNA host gene 1 silence inhibits the lipopolysaccharide-induced microglial apoptosis and inflammation.

Applications

Unspecified application

Species

Unspecified reactive species

Hongtao Shen,Jiaao Gu,Xing Liu,Mowei Song
View all publications
chicCutRunSequencingBooklet
en

Product promise

We are committed to supporting your work with high-quality reagents, and we're here for you every step of the way. In the unlikely event that one of our products does not perform as expected, you're protected by our Product Promise.
For full details, please see our Terms & Conditions

Please note: All products are 'FOR RESEARCH USE ONLY. NOT FOR USE IN DIAGNOSTIC OR THERAPEUTIC PROCEDURES'.

For licensing inquiries, please contact partnerships@abcam.com