JavaScript is disabled in your browser. Please enable JavaScript to view this website.
AB263955

Anti-ATF6 antibody [EPR22690-84] - ChIP Grade - BSA and Azide free

  • BOND RX™ Validated
  • RabMAb
  • Advanced Validation
  • Recombinant
  • KO Validated
  • What is this?

Be the first to review this product! Submit a review

|

(2 Publications)

Rabbit Recombinant Monoclonal ATF6 antibody. Carrier free. Suitable for ChIC/CUT&RUN-seq, IP, ChIP, WB, IHC-P and reacts with Human samples. Cited in 2 publications.

View Alternative Names

Cyclic AMP-dependent transcription factor ATF-6 alpha, cAMP-dependent transcription factor ATF-6 alpha, Activating transcription factor 6 alpha, ATF6-alpha, ATF6

5 Images
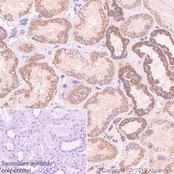
Immunohistochemistry (Formalin/PFA-fixed paraffin-embedded sections) - Anti-ATF6 antibody [EPR22690-84] - ChIP Grade - BSA and Azide free (AB263955)
  • IHC-P

Supplier Data

Immunohistochemistry (Formalin/PFA-fixed paraffin-embedded sections) - Anti-ATF6 antibody [EPR22690-84] - ChIP Grade - BSA and Azide free (AB263955)

Immunohistochemical analysis of paraffin-embedded Human kidney tissue labeling ATF6 with ab227830 at 1/1000 dilution (0.566 μg/ml) followed by a ready to use Rabbit specific IHC polymer detection kit HRP/DAB (ab209101). Positive staining on human kidney (PMID : 25725420) is observed. The section was incubated with ab227830 for 30 mins at room temperature. The immunostaining was performed on a Leica Biosystems BOND® RX instrument. Counterstained with Hematoxylin. Heat mediated antigen retrieval with Tris-EDTA buffer (pH 9.0, epitope retrieval solution 2) for 20mins.

Secondary antibody only control : Used PBS instead of primary antibody, secondary antibody is a ready to use Rabbit specific IHC polymer detection kit HRP/DAB (ab209101).

This data was developed using the same antibody clone in a different buffer formulation containing PBS, BSA, glycerol, and sodium azide (ab227830).

Immunoprecipitation - Anti-ATF6 antibody [EPR22690-84] - ChIP Grade - BSA and Azide free (AB263955)
  • IP

Supplier Data

Immunoprecipitation - Anti-ATF6 antibody [EPR22690-84] - ChIP Grade - BSA and Azide free (AB263955)

ATF6 was immunoprecipitated from 0.35 mg HeLa (human cervix adenocarcinoma epithelial cell) whole cell lysate with ab227830 at 1/30 dilution (2μg in 0.35mg lysates). Western blot was performed on the immunoprecipitate using ab227830 1/1000 dilution (0.5 μg/ml). VeriBlot for IP Detection Reagent (HRP) (ab131366) was used at 1/5000 dilution.

Lane 1 : HeLa (human cervix adenocarcinoma epithelial cell) whole cell lysate 10μg

Lane 2 : ab254324 IP in HeLa whole cell lysate

Lane 3 : Rabbit monoclonal IgG (ab172730) instead of ab227830 in HeLa whole cell lysate.

Blocking and dilution buffer and concentration : 5% NFDM/TBST.

Exposure time : 3 min

Lysate were made freshly and used in IP test immediately to minimize protein degradation. Incubation time was 2h.

This data was developed using the same antibody clone in a different buffer formulation containing PBS, BSA, glycerol, and sodium azide (ab227830).

All lanes:

Immunoprecipitation - Anti-ATF6 antibody [EPR22690-84] - ChIP Grade (<a href='/en-us/products/primary-antibodies/atf6-antibody-epr22690-84-chip-grade-ab227830'>ab227830</a>)

Predicted band size: 74 kDa

Observed band size: 95 kDa

false

ChIP - Anti-ATF6 antibody [EPR22690-84] - ChIP Grade - BSA and Azide free (AB263955)
  • ChIP

Unknown

ChIP - Anti-ATF6 antibody [EPR22690-84] - ChIP Grade - BSA and Azide free (AB263955)

Chromatin was prepared from HeLa cells treated with thapsigargin (1 uM, 1 h) according to the Abcam Dual-X-ChIP protocol. Cells were fixed with 1.5 mM EGS for 30 mins and then formaldehyde for 10 min.
The ChIP was performed with 25 μg of chromatin, 5 μg of ab227830 (red), or 5 μg of rabbit normal IgG ab172730 (gray) and 20 μl of Protein A/G sepharose beads. The immunoprecipitated DNA was quantified by real time PCR (Taqman approach for active and inactive loci, Sybr green approach for heterochromatic loci).
Primers and probes are from paper PMID : 17535801

This data was developed using the same antibody clone in a different buffer formulation containing PBS, BSA, glycerol, and sodium azide (ab227830).

Western blot - Anti-ATF6 antibody [EPR22690-84] - ChIP Grade - BSA and Azide free (AB263955)
  • WB

Supplier Data

Western blot - Anti-ATF6 antibody [EPR22690-84] - ChIP Grade - BSA and Azide free (AB263955)

ab227830 was shown to specifically react with ATF6 in wild-type HAP1 cells as signal was lost in ATF6 knockout cells. Wild-type and ATF6 knockout samples were subjected to SDS-PAGE. ab227830 and ab181602 (Rabbit anti-GAPDH loading control) were incubated 1 hour at room temperature at 1/1000 dilution and 1/200,000 dilution respectively. Blots were developed with Goat Anti-Rabbit IgG, (H+L), Peroxidase conjugated (ab97051) secondary antibody at 1/20,000 dilution for 1 hour at room temperature before imaging.

Blocking/Diluting buffer and concentration : 5% NFDM/TBST.

This data was developed using the same antibody clone in a different buffer formulation containing PBS, BSA, glycerol, and sodium azide (ab227830).

All lanes:

Western blot - Anti-ATF6 antibody [EPR22690-84] - ChIP Grade (<a href='/en-us/products/primary-antibodies/atf6-antibody-epr22690-84-chip-grade-ab227830'>ab227830</a>) at 1/1000 dilution

Lane 1:

Wild type HAP1 whole cell lysate at 20 µg

Lane 2:

ATF6 knockout HAP1 whole cell lysate at 20 µg

Secondary

All lanes:

Western blot - Goat Anti-Rabbit IgG H&L (HRP) (<a href='/en-us/products/secondary-antibodies/goat-rabbit-igg-h-l-hrp-ab97051'>ab97051</a>) at 1/100000 dilution

Predicted band size: 74 kDa

Observed band size: 90 kDa

false

Exposure time: 62s

ChIC/CUT&RUN sequencing - Anti-ATF6 antibody [EPR22690-84] - ChIP Grade - BSA and Azide free (AB263955)
  • ChIC/CUT&RUN-seq

Supplier Data

ChIC/CUT&RUN sequencing - Anti-ATF6 antibody [EPR22690-84] - ChIP Grade - BSA and Azide free (AB263955)

ChIC/CUT&RUN was performed using a pAG-MNAse at a final concentration of 700 ng/mL, 2 x 10^5 HeLa cells treated with Thapsigargin (0.5 µM for 24h) and 5µg of ab227830 [EPR22690-84]. The resulting DNA was sequenced on the Illumina NovaSeq 6000 to a depth of 10 million reads. The negative IgG control ab172730 is also shown. Additional screenshots of mapped reads can be found in the Protocol booklet in the Product Protocol section. The University of Geneva owns patents relevant to ChIC (Chromatin Immuno-Cleavage) methods. This data was developed using the same antibody clone in a different buffer formulation containing PBS, BSA, glycerol, and sodium azide (ab227830).

  • Unconjugated

    Anti-ATF6 antibody [EPR22690-84] - ChIP Grade

Key facts

Host species

Rabbit

Clonality

Monoclonal

Clone number

EPR22690-84

Isotype

IgG

Carrier free

Yes

Reacts with

Human

Applications

ChIC/CUT&RUN-seq, WB, IP, ChIP, IHC-P

applications

Immunogen

The exact immunogen used to generate this antibody is proprietary information.

Reactivity data

{ "title": "Reactivity Data", "filters": { "stats": ["", "Species", "Dilution Info", "Notes"], "tabs": { "all-applications": {"fullname" : "All Applications", "shortname": "All Applications"}, "ChICCUTRUNseq" : {"fullname" : "ChIC/CUT&RUN sequencing", "shortname":"ChIC/CUT&RUN-seq"}, "IP" : {"fullname" : "Immunoprecipitation", "shortname":"IP"}, "ChIP" : {"fullname" : "ChIP", "shortname":"ChIP"}, "FlowCyt" : {"fullname" : "Flow Cytometry", "shortname":"Flow Cyt"}, "WB" : {"fullname" : "Western blot", "shortname":"WB"}, "ICCIF" : {"fullname" : "Immunocytochemistry/ Immunofluorescence", "shortname":"ICC/IF"}, "IHCP" : {"fullname" : "Immunohistochemistry (Formalin/PFA-fixed paraffin-embedded sections)", "shortname":"IHC-P"} }, "product-promise": { "all": "all", "testedAndGuaranteed": "tested", "guaranteed": "expected", "predicted": "predicted", "notRecommended": "not-recommended" } }, "values": { "Human": { "ChICCUTRUNseq-species-checked": "testedAndGuaranteed", "ChICCUTRUNseq-species-dilution-info": "", "ChICCUTRUNseq-species-notes": "<p></p>", "IP-species-checked": "testedAndGuaranteed", "IP-species-dilution-info": "", "IP-species-notes": "<p></p>", "ChIP-species-checked": "testedAndGuaranteed", "ChIP-species-dilution-info": "", "ChIP-species-notes": "<p></p>", "FlowCyt-species-checked": "notRecommended", "FlowCyt-species-dilution-info": "", "FlowCyt-species-notes": "<p></p>", "WB-species-checked": "testedAndGuaranteed", "WB-species-dilution-info": "", "WB-species-notes": "<p></p>", "ICCIF-species-checked": "notRecommended", "ICCIF-species-dilution-info": "", "ICCIF-species-notes": "<p></p>", "IHCP-species-checked": "testedAndGuaranteed", "IHCP-species-dilution-info": "", "IHCP-species-notes": "<p></p>" } } }

Product details

ab263955 is the carrier-free version of ab227830.

Patented technology
Our RabMAb® technology is a patented hybridoma-based technology for making rabbit monoclonal antibodies. For details on our patents, please refer to RabMAb® patents.

What are the advantages of a recombinant monoclonal antibody?
This product is a recombinant monoclonal antibody, which offers several advantages including:

  • - High batch-to-batch consistency and reproducibility
  • - Improved sensitivity and specificity
  • - Long-term security of supply
  • - Animal-free batch production

For more information, read more on recombinant antibodies.

Conjugation ready
Our carrier-free antibodies are typically supplied in a PBS-only formulation, purified and free of BSA, sodium azide and glycerol. This conjugation-ready format is designed for use with fluorochromes, metal isotopes, oligonucleotides, and enzymes, which makes them ideal for antibody labelling, functional and cell-based assays, flow-based assays (e.g. mass cytometry) and Multiplex Imaging applications.

Use our conjugation kits for antibody conjugates that are ready-to-use in as little as 20 minutes with 1 minute hands-on-time and 100% antibody recovery: available for fluorescent dyes, HRP, biotin and gold.

Compatibility
This product is compatible with the Maxpar® Antibody Labeling Kit from Fluidigm, without the need for antibody preparation. Maxpar® is a trademark of Fluidigm Canada Inc.

Properties and storage information

Form
Liquid
Purification technique
Affinity purification Protein A
Storage buffer
pH: 7.2 - 7.4 Constituents: PBS
Shipped at conditions
Blue Ice
Appropriate short-term storage conditions
+4°C
Appropriate long-term storage conditions
+4°C
Storage information
Do Not Freeze

Supplementary information

This supplementary information is collated from multiple sources and compiled automatically.

Activating Transcription Factor 6 (ATF6) also known as ATF 6 is a significant protein in the endoplasmic reticulum (ER) stress response. The ATF6 protein has a molecular weight of approximately 84 kDa. It expresses predominantly in the endoplasmic reticulum membrane and plays a critical role in the unfolded protein response (UPR). During ER stress ATF6 relocates to the Golgi apparatus where it undergoes cleavage to become an active transcription factor. This process helps the cell to manage the accumulation of unfolded proteins.
Biological function summary

ATF6 operates as part of the transcription regulation mechanisms responding to ER stress. The ATF6 protein is essential in managing the expression of chaperone genes and ER-associated degradation (ERAD) components thereby maintaining protein homeostasis. ATF6 itself does not operate within a traditional complex but its activation involves proteolytic cleavage which subsequently releases the active form to the nucleus where it influences gene expression to alleviate stress conditions.

Pathways

ATF6 is prominently involved in the unfolded protein response pathway which manages cell survival and stress adaptation. This pathway closely interacts with other proteins like IRE1 and PERK forming a network that modulates the transcription of UPR target genes. Additionally ATF6 contributes to checkpoint control pathways that stabilize cellular environment by regulating genes related to chaperone and protein folding.

Malfunction or dysregulation of ATF6 links to conditions like diabetes and neurodegenerative diseases. In diabetes improper ATF6 function affects insulin signaling and glucose homeostasis often alongside proteins such as XBP1. In neurodegenerative diseases an inappropriate response to ER stress influences the progression of disorders like Alzheimer's disease where protein misfolding and aggregation play pivotal roles. Understanding how ATF6 interplays with these diseases could lead to new therapeutic avenues.

Product protocols

For this product, it's our understanding that no specific protocols are required. You can visit:

Target data

Cyclic AMP-dependent transcription factor ATF-6 alpha. Precursor of the transcription factor form (Processed cyclic AMP-dependent transcription factor ATF-6 alpha), which is embedded in the endoplasmic reticulum membrane (PubMed : 10564271, PubMed : 11158310, PubMed : 11779464). Endoplasmic reticulum stress promotes processing of this form, releasing the transcription factor form that translocates into the nucleus, where it activates transcription of genes involved in the unfolded protein response (UPR) (PubMed : 10564271, PubMed : 11158310, PubMed : 11779464).. Processed cyclic AMP-dependent transcription factor ATF-6 alpha. Transcription factor that initiates the unfolded protein response (UPR) during endoplasmic reticulum stress by activating transcription of genes involved in the UPR (PubMed : 10564271, PubMed : 11158310, PubMed : 11163209, PubMed : 11779464). Binds DNA on the 5'-CCAC[GA]-3'half of the ER stress response element (ERSE) (5'-CCAAT-N(9)-CCAC[GA]-3') and of ERSE II (5'-ATTGG-N-CCACG-3') (PubMed : 10564271, PubMed : 11158310, PubMed : 11779464). Binding to ERSE requires binding of NF-Y to ERSE. Could also be involved in activation of transcription by the serum response factor (PubMed : 10564271, PubMed : 11158310, PubMed : 11779464). May play a role in foveal development and cone function in the retina (PubMed : 26029869).
See full target information ATF6

Publications (2)

Recent publications for all applications. Explore the full list and refine your search

Oncology research 30:289-300 PubMed37303493

2023

LSM12 facilitates the progression of colorectal cancer by activating the WNT/CTNNB1 signaling pathway.

Applications

Unspecified application

Species

Unspecified reactive species

Yan Zhuang,Chunlan Ning,Pengfei Liu,Yanpeng Zhao,Yue Li,Zhenchi Ma,Luling Shan,Yingzhe Piao,Peng Zhao,Xun Jin

Scientific reports 13:5374 PubMed37005468

2023

Spatial subcellular organelle networks in single cells.

Applications

Unspecified application

Species

Unspecified reactive species

Mythreye Venkatesan,Nicholas Zhang,Benoit Marteau,Yukina Yajima,Nerea Ortiz De Zarate Garcia,Zhou Fang,Thomas Hu,Shuangyi Cai,Adam Ford,Harrison Olszewski,Andrew Borst,Ahmet F Coskun
View all publications
chicCutRunSequencingBooklet
en

Product promise

We are committed to supporting your work with high-quality reagents, and we're here for you every step of the way. In the unlikely event that one of our products does not perform as expected, you're protected by our Product Promise.
For full details, please see our Terms & Conditions

Please note: All products are 'FOR RESEARCH USE ONLY. NOT FOR USE IN DIAGNOSTIC OR THERAPEUTIC PROCEDURES'.

For licensing inquiries, please contact partnerships@abcam.com