JavaScript is disabled in your browser. Please enable JavaScript to view this website.
AB229235

Anti-ATG101 antibody

Be the first to review this product! Submit a review

|

(3 Publications)

Rabbit Polyclonal ATG101 antibody. Suitable for WB, IHC-P and reacts with Human samples. Cited in 3 publications. Immunogen corresponding to Synthetic Peptide within Human ATG101.

View Alternative Names

C12orf44, PP894, ATG101, Autophagy-related protein 101

2 Images
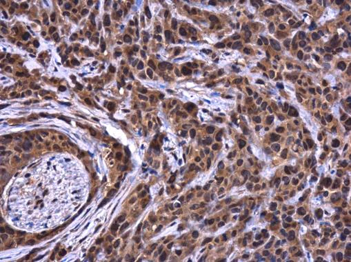
Immunohistochemistry (Formalin/PFA-fixed paraffin-embedded sections) - Anti-ATG101 antibody (AB229235)
  • IHC-P

Supplier Data

Immunohistochemistry (Formalin/PFA-fixed paraffin-embedded sections) - Anti-ATG101 antibody (AB229235)

Paraffin-embedded A549 (human lung carcinoma cell line) xenograft tissue stained for ATG101 using ab229235 at 1/500 dilution in immunohistochemical analysis.

Western blot - Anti-ATG101 antibody (AB229235)
  • WB

Supplier Data

Western blot - Anti-ATG101 antibody (AB229235)

12% SDS-PAGE gel.

All lanes:

Western blot - Anti-ATG101 antibody (ab229235) at 1/1000 dilution

All lanes:

NCI-H1299 (human lung carcinoma cell line) whole cell extract at 30 µg

Predicted band size: 25 kDa

false

Key facts

Host species

Rabbit

Clonality

Polyclonal

Isotype

IgG

Carrier free

No

Reacts with

Human

Applications

IHC-P, WB

applications

Immunogen

Synthetic Peptide within Human ATG101. The exact immunogen used to generate this antibody is proprietary information.

Q9BSB4

Reactivity data

{ "title": "Reactivity Data", "filters": { "stats": ["", "Species", "Dilution Info", "Notes"], "tabs": { "all-applications": {"fullname" : "All Applications", "shortname": "All Applications"}, "WB" : {"fullname" : "Western blot", "shortname":"WB"}, "IHCP" : {"fullname" : "Immunohistochemistry (Formalin/PFA-fixed paraffin-embedded sections)", "shortname":"IHC-P"} }, "product-promise": { "all": "all", "testedAndGuaranteed": "tested", "guaranteed": "expected", "predicted": "predicted", "notRecommended": "not-recommended" } }, "values": { "Human": { "WB-species-checked": "testedAndGuaranteed", "WB-species-dilution-info": "1/500 - 1/3000", "WB-species-notes": "<p></p>", "IHCP-species-checked": "testedAndGuaranteed", "IHCP-species-dilution-info": "1/100 - 1/1000", "IHCP-species-notes": "<p></p>" }, "Mouse": { "WB-species-checked": "predicted", "WB-species-dilution-info": "", "WB-species-notes": "", "IHCP-species-checked": "predicted", "IHCP-species-dilution-info": "", "IHCP-species-notes": "" }, "Rat": { "WB-species-checked": "predicted", "WB-species-dilution-info": "", "WB-species-notes": "", "IHCP-species-checked": "predicted", "IHCP-species-dilution-info": "", "IHCP-species-notes": "" }, "Cow": { "WB-species-checked": "predicted", "WB-species-dilution-info": "", "WB-species-notes": "", "IHCP-species-checked": "predicted", "IHCP-species-dilution-info": "", "IHCP-species-notes": "" }, "Rhesus monkey": { "WB-species-checked": "predicted", "WB-species-dilution-info": "", "WB-species-notes": "", "IHCP-species-checked": "predicted", "IHCP-species-dilution-info": "", "IHCP-species-notes": "" }, "Xenopus laevis": { "WB-species-checked": "predicted", "WB-species-dilution-info": "", "WB-species-notes": "", "IHCP-species-checked": "predicted", "IHCP-species-dilution-info": "", "IHCP-species-notes": "" }, "Zebrafish": { "WB-species-checked": "predicted", "WB-species-dilution-info": "", "WB-species-notes": "", "IHCP-species-checked": "predicted", "IHCP-species-dilution-info": "", "IHCP-species-notes": "" } } }

Properties and storage information

Form
Liquid
Purification technique
Affinity purification Immunogen
Storage buffer
pH: 7 Preservative: 0.025% Proclin 300 Constituents: PBS, 20% Glycerol (glycerin, glycerine)
Shipped at conditions
Blue Ice
Appropriate short-term storage duration
1-2 weeks
Appropriate short-term storage conditions
+4°C
Appropriate long-term storage conditions
-20°C
Aliquoting information
Upon delivery aliquot
Storage information
Avoid freeze / thaw cycle

Supplementary information

This supplementary information is collated from multiple sources and compiled automatically.

ATG101 also known as Autophagy Related Protein 101 is a critical component of the cellular process known as autophagy. This protein has an approximate mass of 289 amino acids making it a modest-sized protein. ATG101 is expressed in various cell types especially in those with high autophagic activity. It mainly resides in the cytoplasm where it participates in the initiation and regulation of autophagosome formation.
Biological function summary

ATG101 plays an essential role in the maintenance and regulation of cellular homeostasis. It is a member of the ULK1 complex partnering with proteins like ULK1 ATG13 and FIP200. This complex is critical for the initiation step of autophagy helping cells respond to nutrient deprivation by recycling cellular components into essential biomolecules. ATG101 stabilizes the ULK1 complex and enhances its kinase activity important for subsequent steps in the autophagy pathway.

Pathways

ATG101 is involved in autophagy and mTOR signaling pathways. The mTOR pathway regulates cell growth and survival while autophagy ensures the degradation of damaged cellular components. ATG101 interacts with proteins ULK1 and mTORC1 to coordinate the inhibition of autophagy under nutrient-rich conditions and its activation during starvation or stress. This modulation enables the cell to adapt to varying environmental conditions by controlling autophagic flux.

ATG101 has implications in cancer and neurodegenerative diseases. Proper autophagic activity regulated by ATG101 prevents the accumulation of damaged proteins which can lead to diseases. Disruptions involving ATG101 or its associated proteins such as ULK1 are often observed in cancer cells where impaired autophagy can lead to unchecked cellular proliferation. Additionally in neurodegenerative diseases like Parkinson's defects in autophagy-related proteins including ATG101 contribute to neuronal cell death and the accumulation of toxic protein aggregates.

Product protocols

For this product, it's our understanding that no specific protocols are required. You can visit:

Target data

Autophagy factor required for autophagosome formation. Stabilizes ATG13, protecting it from proteasomal degradation.
See full target information ATG101

Publications (3)

Recent publications for all applications. Explore the full list and refine your search

Frontiers in pharmacology 13:857774 PubMed35592424

2022

Comprehensive Analysis of the Potential Immune-Related Biomarker ATG101 that Regulates Apoptosis of Cholangiocarcinoma Cells After Photodynamic Therapy.

Applications

Unspecified application

Species

Unspecified reactive species

Zi-Jian Zhang,Kun-Peng Wang,Yun-Peng Huang,Chong Jin,Hao Jiang,Li Xiong,Zhao-Yi Chen,Yu Wen,Zhong-Tao Liu,Jing-Gang Mo

Nature communications 13:680 PubMed35115539

2022

Dendritic autophagy degrades postsynaptic proteins and is required for long-term synaptic depression in mice.

Applications

Unspecified application

Species

Unspecified reactive species

Emmanouela Kallergi,Akrivi-Dimitra Daskalaki,Angeliki Kolaxi,Come Camus,Evangelia Ioannou,Valentina Mercaldo,Per Haberkant,Frank Stein,Kyriaki Sidiropoulou,Yannis Dalezios,Mikhail M Savitski,Claudia Bagni,Daniel Choquet,Eric Hosy,Vassiliki Nikoletopoulou

Cell 181:1062-1079.e30 PubMed32386547

2020

Unblending of Transcriptional Condensates in Human Repeat Expansion Disease.

Applications

Unspecified application

Species

Unspecified reactive species

Shaon Basu,Sebastian D Mackowiak,Henri Niskanen,Dora Knezevic,Vahid Asimi,Stefanie Grosswendt,Hylkje Geertsema,Salaheddine Ali,Ivana Jerković,Helge Ewers,Stefan Mundlos,Alexander Meissner,Daniel M Ibrahim,Denes Hnisz
View all publications

Product promise

We are committed to supporting your work with high-quality reagents, and we're here for you every step of the way. In the unlikely event that one of our products does not perform as expected, you're protected by our Product Promise.
For full details, please see our Terms & Conditions

Please note: All products are 'FOR RESEARCH USE ONLY. NOT FOR USE IN DIAGNOSTIC OR THERAPEUTIC PROCEDURES'.

For licensing inquiries, please contact partnerships@abcam.com