JavaScript is disabled in your browser. Please enable JavaScript to view this website.
AB109491

Anti-ATG12 antibody [EPR4800]

Be the first to review this product! Submit a review

|

(10 Publications)

Rabbit Recombinant Monoclonal ATG12 antibody. Suitable for IHC-P, WB and reacts with Human, Mouse, Rat samples. Cited in 10 publications.

View Alternative Names

APG12, APG12L, ATG12, Ubiquitin-like protein ATG12, Autophagy-related protein 12, APG12-like

5 Images
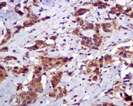
Immunohistochemistry (Formalin/PFA-fixed paraffin-embedded sections) - Anti-ATG12 antibody [EPR4800] (AB109491)
  • IHC-P

Unknown

Immunohistochemistry (Formalin/PFA-fixed paraffin-embedded sections) - Anti-ATG12 antibody [EPR4800] (AB109491)

ab109491 at 1/250 dilution staining ATG12 in paraffin-embedded Human breast carcinoma by Immunohistochemistry.

Perform heat mediated antigen retrieval with citrate buffer pH 6 before commencing with IHC staining protocol.

Western blot - Anti-ATG12 antibody [EPR4800] (AB109491)
  • WB

Lab

Western blot - Anti-ATG12 antibody [EPR4800] (AB109491)

Lane 1 : Wild type HAP1 whole cell lysate (20 μg)
Lane 2 : ATG12 knockout HAP1 whole cell lysate (20 μg)
Lane 3 : HeLa whole cell lysate (20 μg)
Lane 4 : HCT116 whole cell lysate (20 μg)

Lanes 1 - 4 : Merged signal (red and green). Green - ab109491 observed at 55 kDa. Observed band shows ATG12-ATG5 conjugation. Red - loading control, ab8245, observed at 37 kDa.

ab109491 was shown to specifically react with

ATG12 in wild-type cells along with additional cross-reactive bands. The band was not seen in ATG12 knockout HAP1 cells. Wild-type and ATG12 knockout samples were subjected to SDS-PAGE. ab109491 and ab8245 (Mouse anti GAPDH loading control) were incubated overnight at 4°C at 1/1000 dilution and 1/10000 dilution respectively. Blots were developed with Goat anti-Rabbit IgG H&L (IRDye® 800CW) preabsorbed ab216773 and Goat anti-Mouse IgG H&L (IRDye® 680RD) preabsorbed ab216776 secondary antibodies at 1/10000 dilution for 1 hour at room temperature before imaging.

All lanes:

Western blot - Anti-ATG12 antibody [EPR4800] (ab109491)

Predicted band size: 15 kDa

Observed band size: 55 kDa

false

Western blot - Anti-ATG12 antibody [EPR4800] (AB109491)
  • WB

Lab

Western blot - Anti-ATG12 antibody [EPR4800] (AB109491)

False colour image of Western blot : Anti-ATG12 antibody [EPR4800] staining at 1/1000 dilution, shown in green; Mouse anti-Alpha Tubulin [DM1A] (ab7291) loading control staining at 1/20000 dilution, shown in red. In Western blot, ab109491 was shown to bind specifically to ATG12. A band likely to be the unfunctional complex with ATG5 was observed at 52 kDa in wild-type THP-1 cell lysates with no signal observed at this size in Atg12 knockout cell line ab277831 (knockout cell lysate ab278183) - unconjugated functional form not observed at 15 kDa. To generate this image, wild-type and Atg12 knockout THP-1 cell lysates were analysed. First, samples were run on an SDS-PAGE gel then transferred onto a nitrocellulose membrane. Membranes were blocked in 3% milk in TBS-0.1 % Tween® 20 (TBS-T) before incubation with primary antibodies overnight at 4°C. Blots were washed four times in TBS-T, incubated with secondary antibodies for 1 h at room temperature, washed again four times then imaged. Secondary antibodies used were Goat anti-Rabbit IgG H&L (IRDye® 800CW) preabsorbed (ab216773) and Goat anti-Mouse IgG H&L (IRDye® 680RD) preabsorbed (ab216776) at 1/20000 dilution.

All lanes:

Western blot - Anti-ATG12 antibody [EPR4800] (ab109491) at 1/1000 dilution

Lane 1:

Wild-type THP-1 cell lysate at 20 µg

Lane 2:

ATG12 knockout THP-1 cell lysate at 20 µg

Lane 2:

Western blot - Human ATG12 knockout THP-1 cell line (<a href='/en-us/products/cell-lines/human-atg12-knockout-thp-1-cell-line-ab277831'>ab277831</a>)

Lane 3:

HCT 116 cell lysate at 20 µg

Lane 4:

HeLa cell lysate at 20 µg

Predicted band size: 15 kDa

Observed band size: 52 kDa

false

Western blot - Anti-ATG12 antibody [EPR4800] (AB109491)
  • WB

Unknown

Western blot - Anti-ATG12 antibody [EPR4800] (AB109491)

Observed band shows ATG12-ATG5 conjugation

All lanes:

Western blot - Anti-ATG12 antibody [EPR4800] (ab109491) at 1/1000 dilution

Lane 1:

Human fetal kidney tissue lysate at 10 µg

Lane 2:

HepG2 cell lysate at 10 µg

Lane 3:

Raji lysate at 10 µg

Predicted band size: 15 kDa

false

Western blot - Anti-ATG12 antibody [EPR4800] (AB109491)
  • WB

Unknown

Western blot - Anti-ATG12 antibody [EPR4800] (AB109491)

All lanes:

Western blot - Anti-ATG12 antibody [EPR4800] (ab109491) at 1/1000 dilution

Lane 1:

ATG12 transfected 293T lysate at 10 µg

Lane 2:

Non-transfected 293T lysate at 10 µg

Predicted band size: 15 kDa

false

  • Carrier free

    Anti-ATG12 antibody [EPR4800] - BSA and Azide free

Key facts

Host species

Rabbit

Clonality

Monoclonal

Clone number

EPR4800

Isotype

IgG

Carrier free

No

Reacts with

Human

Applications

IHC-P, WB

applications

Immunogen

The exact immunogen used to generate this antibody is proprietary information.

Reactivity data

{ "title": "Reactivity Data", "filters": { "stats": ["", "Species", "Dilution Info", "Notes"], "tabs": { "all-applications": {"fullname" : "All Applications", "shortname": "All Applications"}, "IHCP" : {"fullname" : "Immunohistochemistry (Formalin/PFA-fixed paraffin-embedded sections)", "shortname":"IHC-P"}, "ICCIF" : {"fullname" : "Immunocytochemistry/ Immunofluorescence", "shortname":"ICC/IF"}, "IP" : {"fullname" : "Immunoprecipitation", "shortname":"IP"}, "FlowCyt" : {"fullname" : "Flow Cytometry", "shortname":"Flow Cyt"}, "WB" : {"fullname" : "Western blot", "shortname":"WB"} }, "product-promise": { "all": "all", "testedAndGuaranteed": "tested", "guaranteed": "expected", "predicted": "predicted", "notRecommended": "not-recommended" } }, "values": { "Human": { "IHCP-species-checked": "testedAndGuaranteed", "IHCP-species-dilution-info": "1/250 - 1/500", "IHCP-species-notes": "<p></p>", "ICCIF-species-checked": "notRecommended", "ICCIF-species-dilution-info": "1/250 - 1/500", "ICCIF-species-notes": "<p></p>", "IP-species-checked": "notRecommended", "IP-species-dilution-info": "", "IP-species-notes": "<p></p>", "FlowCyt-species-checked": "notRecommended", "FlowCyt-species-dilution-info": "", "FlowCyt-species-notes": "<p></p>", "WB-species-checked": "testedAndGuaranteed", "WB-species-dilution-info": "1/1000 - 1/10000", "WB-species-notes": "<p></p>" }, "Mouse": { "IHCP-species-checked": "predicted", "IHCP-species-dilution-info": "", "IHCP-species-notes": "", "ICCIF-species-checked": "notRecommended", "ICCIF-species-dilution-info": "", "ICCIF-species-notes": "", "IP-species-checked": "notRecommended", "IP-species-dilution-info": "", "IP-species-notes": "", "FlowCyt-species-checked": "notRecommended", "FlowCyt-species-dilution-info": "", "FlowCyt-species-notes": "", "WB-species-checked": "guaranteed", "WB-species-dilution-info": "", "WB-species-notes": "<p></p>" }, "Rat": { "IHCP-species-checked": "predicted", "IHCP-species-dilution-info": "", "IHCP-species-notes": "", "ICCIF-species-checked": "notRecommended", "ICCIF-species-dilution-info": "", "ICCIF-species-notes": "", "IP-species-checked": "notRecommended", "IP-species-dilution-info": "", "IP-species-notes": "", "FlowCyt-species-checked": "notRecommended", "FlowCyt-species-dilution-info": "", "FlowCyt-species-notes": "", "WB-species-checked": "guaranteed", "WB-species-dilution-info": "", "WB-species-notes": "<p></p>" } } }

Product details

Patented technology
Our RabMAb® technology is a patented hybridoma-based technology for making rabbit monoclonal antibodies. For details on our patents, please refer to RabMAb® patents.

What are the advantages of a recombinant monoclonal antibody?
This product is a recombinant monoclonal antibody, which offers several advantages including:

  • - High batch-to-batch consistency and reproducibility
  • - Improved sensitivity and specificity
  • - Long-term security of supply
  • - Animal-free batch production

For more information, read more on recombinant antibodies.

Properties and storage information

Form
Liquid
Purification technique
Affinity purification Protein A
Storage buffer
pH: 7.2 - 7.4 Preservative: 0.05% Sodium azide Constituents: 50% Tissue culture supernatant, 40% Glycerol (glycerin, glycerine), 9.85% Tris glycine, 0.1% BSA
Shipped at conditions
Blue Ice
Appropriate short-term storage conditions
+4°C
Appropriate long-term storage conditions
-20°C
Storage information
Stable for 12 months at -20°C

Supplementary information

This supplementary information is collated from multiple sources and compiled automatically.

ATG12 also known as Autophagy-related protein 12 plays a critical role in autophagy an essential cellular process for degrading and recycling cellular components. The molecular weight of ATG12 is around 14 kDa. It is part of the ATG12-conjugation system and is invariably expressed in various tissues with notable presence in the liver brain and heart. ATG12 forms a covalent bond with ATG5 in a ubiquitin-like conjugation pathway which is significant for this mechanism.
Biological function summary

ATG12 is vital for the formation of autophagosomes which are double-membraned vesicles that sequester cellular components for degradation. It functions as part of a complex by binding to ATG5 and further associates with ATG16L1 to form a larger ATG12-ATG5-ATG16 complex. This complex localizes to the outer membrane of the growing autophagosome facilitating elongation and closure of the vesicle making it effective in the regulation of autophagy.

Pathways

ATG12's interaction with other proteins like ATG5 places it in the macroautophagy pathway an important process maintaining cellular homeostasis and turnover of cellular components. In addition to this ATG12 also contributes to cellular responses to stress conditions via this pathway. Furthermore it has connections with signaling pathways involving proteins such as LC3 which marks autophagosomal membranes and interacts with ATG12-conjugated complexes enhancing the autophagic flux.

Researchers associate dysregulated expression of ATG12 with neurodegenerative diseases such as Parkinson’s disease where impaired autophagy leads to toxic protein accumulation. Additionally alterations in ATG12 expression have links to cancer as enhanced autophagy in some tumor cells supports survival under metabolic stress. Both disorders demonstrate connections to proteins involved in the autophagy pathway suggesting therapeutic potential in modulating ATG12 activity.

Product protocols

For this product, it's our understanding that no specific protocols are required. You can visit:

Target data

Ubiquitin-like protein involved in autophagy vesicles formation. Conjugation with ATG5 through a ubiquitin-like conjugating system involving also ATG7 as an E1-like activating enzyme and ATG10 as an E2-like conjugating enzyme, is essential for its function. The ATG12-ATG5 conjugate acts as an E3-like enzyme which is required for lipidation of ATG8 family proteins and their association to the vesicle membranes. As part of the ATG8 conjugation system with ATG5 and ATG16L1, required for recruitment of LRRK2 to stressed lysosomes and induction of LRRK2 kinase activity in response to lysosomal stress (By similarity).. (Microbial infection) May act as a proviral factor. In association with ATG5, negatively regulates the innate antiviral immune response by impairing the type I IFN production pathway upon vesicular stomatitis virus (VSV) infection (PubMed : 17709747). Required for the translation of incoming hepatitis C virus (HCV) RNA and, thereby, for the initiation of HCV replication, but not required once infection is established (PubMed : 19666601).
See full target information ATG12

Publications (10)

Recent publications for all applications. Explore the full list and refine your search

Canadian journal of gastroenterology & hepatology 2022:6015877 PubMed35719323

2022

Albumin Paclitaxel Compared with 5-Penfluorouracil, Lobaplatin, and Albumin Paclitaxel Combined with 5-Penfluorouracil in the Treatment of Human Gastric Cancer Cell AGS Line Autophagy and Apoptosis.

Applications

Unspecified application

Species

Unspecified reactive species

Xingzhen Cheng,Fang Yang,Yang Wang,Wei Nie,Adarsha Mahendra Upadhyay,Maolin Zhang,Qian Wang,Zhiqiang Yan

Frontiers in molecular biosciences 8:780089 PubMed35111811

2022

IGF2BP2 Regulates MALAT1 by Serving as an N6-Methyladenosine Reader to Promote NSCLC Proliferation.

Applications

Unspecified application

Species

Unspecified reactive species

Le Han,Guangyan Lei,Zhenghong Chen,Yili Zhang,Chen Huang,Wenjuan Chen

iScience 24:103271 PubMed34761190

2021

miR-1307 promotes hepatocarcinogenesis by CALR-OSTC-endoplasmic reticulum protein folding pathway.

Applications

Unspecified application

Species

Unspecified reactive species

Sijie Xie,Xiaoxue Jiang,Rushi Qin,Shuting Song,Yanan Lu,Liyan Wang,Yingjie Chen,Dongdong Lu

Drug development research 83:389-396 PubMed34402084

2021

Naringenin inhibits autophagy and epithelial-mesenchymal transition of human lens epithelial cells by regulating the Smad2/3 pathway.

Applications

Unspecified application

Species

Unspecified reactive species

Qingnan Li,Shuang Liu,Guang Yang,Mingming Li,Peng Qiao,Qiang Xue

Translational andrology and urology 10:1711-1722 PubMed33968659

2021

The m6A methyltransferase METTL3 regulates autophagy and sensitivity to cisplatin by targeting ATG5 in seminoma.

Applications

Unspecified application

Species

Unspecified reactive species

Hanfei Chen,Yali Xiang,Yinghao Yin,Jingxuan Peng,Dongyi Peng,Dongjie Li,Riko Kitazawa,Yuxin Tang,Jianfu Yang

Cell death & disease 12:449 PubMed33953166

2021

SOX2 promotes chemoresistance, cancer stem cells properties, and epithelial-mesenchymal transition by β-catenin and Beclin1/autophagy signaling in colorectal cancer.

Applications

Unspecified application

Species

Unspecified reactive species

Yin Zhu,Shimiao Huang,Shengyuan Chen,Jiaxuan Chen,Zhiqing Wang,Yadong Wang,Haoxuan Zheng

International journal of molecular medicine 47: PubMed33907824

2021

Circular RNA 0004904 promotes autophagy and regulates the fused in sarcoma/vascular endothelial growth factor axis in preeclampsia.

Applications

Unspecified application

Species

Unspecified reactive species

Wei Dai,Xinghui Liu

Molecular medicine reports 23: PubMed33846806

2021

miR‑654‑5p inhibits autophagy by targeting ATG7 via mTOR signaling in intervertebral disc degeneration.

Applications

Unspecified application

Species

Unspecified reactive species

Shanzheng Wang,Yudong Guo,Xuejun Zhang,Chen Wang

Cancers 13: PubMed33801244

2021

Erb-b2 Receptor Tyrosine Kinase 2 (ERBB2) Promotes ATG12-Dependent Autophagy Contributing to Treatment Resistance of Breast Cancer Cells.

Applications

Unspecified application

Species

Unspecified reactive species

Yongqiang Chen,Ruobing Wang,Shujun Huang,Elizabeth S Henson,Jayce Bi,Spencer B Gibson

Cell death & disease 9:1047 PubMed30323296

2018

PARP1 promote autophagy in cardiomyocytes via modulating FoxO3a transcription.

Applications

Unspecified application

Species

Unspecified reactive species

Cheng Wang,Wenjing Xu,Yanqing Zhang,Fengxiao Zhang,Kai Huang
View all publications

Product promise

We are committed to supporting your work with high-quality reagents, and we're here for you every step of the way. In the unlikely event that one of our products does not perform as expected, you're protected by our Product Promise.
For full details, please see our Terms & Conditions

Please note: All products are 'FOR RESEARCH USE ONLY. NOT FOR USE IN DIAGNOSTIC OR THERAPEUTIC PROCEDURES'.

For licensing inquiries, please contact partnerships@abcam.com