JavaScript is disabled in your browser. Please enable JavaScript to view this website.
AB232636

Anti-ATG16L1 antibody [EPR15638] - BSA and Azide free

Be the first to review this product! Submit a review

|

(1 Publication)

Rabbit Recombinant Monoclonal ATG16L1 antibody. Carrier free. Suitable for WB, IHC-P and reacts with Rat, Mouse, Human samples. Cited in 1 publication.

View Alternative Names

APG16L, UNQ9393/PRO34307, ATG16L1, Autophagy-related protein 16-1, APG16-like 1

6 Images
Immunohistochemistry (Formalin/PFA-fixed paraffin-embedded sections) - Anti-ATG16L1 antibody [EPR15638] - BSA and Azide free (AB232636)
  • IHC-P

Supplier Data

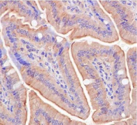
Immunohistochemistry (Formalin/PFA-fixed paraffin-embedded sections) - Anti-ATG16L1 antibody [EPR15638] - BSA and Azide free (AB232636)

Immunohistochemical analysis of paraffin-embedded Mouse colon tissue labeling ATG16L1 with ab187671 at 1/100 dilution followed by pre-diluted HRP Polymer for Rabbit IgG secondary antibody and counter-stained with Hematoxylin.

This data was developed using the same antibody clone in a different buffer formulation containing PBS, BSA, glycerol, and sodium azide (ab187671).

Perform heat mediated antigen retrieval with EDTA buffer pH 9 before commencing with IHC staining protocol.

Western blot - Anti-ATG16L1 antibody [EPR15638] - BSA and Azide free (AB232636)
  • WB

Lab

Western blot - Anti-ATG16L1 antibody [EPR15638] - BSA and Azide free (AB232636)

False colour image of Western blot : Anti-ATG16L1 antibody [EPR15638] - N-terminal staining at 1/1000 dilution, shown in green; Mouse anti-GAPDH antibody [6C5] (ab8245) loading control staining at 1/20000 dilution, shown in red. In Western blot, ab187671 was shown to bind specifically to ATG16L1. A band was observed at 68, 70 kDa in wild-type THP-1 cell lysates with no signal observed at this size in ATG16L1 knockout cell line ab277834 (knockout cell lysate ab278184). To generate this image, wild-type and ATG16L1 knockout THP-1 cell lysates were analysed. First, samples were run on an SDS-PAGE gel then transferred onto a nitrocellulose membrane. Membranes were blocked in 3 % milk in TBS-0.1 % Tween® 20 (TBS-T) before incubation with primary antibodies overnight at 4 °C. Blots were washed four times in TBS-T, incubated with secondary antibodies for 1 h at room temperature, washed again four times then imaged. Secondary antibodies used were Goat anti-Rabbit IgG H&L (IRDye® 800CW) preabsorbed (ab216773) and Goat anti-Mouse IgG H&L (IRDye® 680RD) preabsorbed (ab216776) at 1/20000 dilution.

All lanes:

Western blot - Anti-ATG16L1 antibody [EPR15638] - N-terminal (<a href='/en-us/products/primary-antibodies/atg16l1-antibody-epr15638-n-terminal-ab187671'>ab187671</a>) at 1/1000 dilution

Lane 1:

Wild-type THP-1 cell lysate at 20 µg

Lane 2:

Western blot - Human ATG16L1 knockout THP-1 cell lysate (<a href='/en-us/products/cell-lysates/human-atg16l1-knockout-thp-1-cell-lysate-ab278184'>ab278184</a>) at 20 µg

Lane 3:

Wild type HeLa cell lysate at 20 µg

Lane 4:

ATG16L1 knockout HeLa cell lysate at 20 µg

Predicted band size: 68 kDa

Observed band size: 68 kDa,70 kDa

false

Western blot - Anti-ATG16L1 antibody [EPR15638] - BSA and Azide free (AB232636)
  • WB

Supplier Data

Western blot - Anti-ATG16L1 antibody [EPR15638] - BSA and Azide free (AB232636)

This data was developed using the same antibody clone in a different buffer formulation (ab187671).

Lanes 1-4 : Merged signal (red and green). Green - ab187671 observed at 68 and 72 kDa. Red - loading control ab8245 observed at 37 kDa.

ab187671 Anti-ATG16L1 antibody [EPR15638] - N-terminal was shown to specifically react with ATG16L1 in wild-type HeLa cells. Loss of signal was observed when knockout cell line ab261772 (knockout cell lysate ab256843) was used. Wild-type and ATG16L1 knockout samples were subjected to SDS-PAGE. ab187671 and Anti-GAPDH antibody [6C5] - Loading Control (ab8245) were incubated overnight at 4°C at 1 in 1000 dilution and 1 in 20000 dilution respectively. Blots were developed with Goat anti-Rabbit IgG H&L (IRDye® 800CW) preadsorbed (ab216773) and Goat anti-Mouse IgG H&L (IRDye® 680RD) preadsorbed (ab216776) secondary antibodies at 1 in 20000 dilution for 1 hour at room temperature before imaging.

All lanes:

Western blot - Anti-ATG16L1 antibody [EPR15638] - N-terminal (<a href='/en-us/products/primary-antibodies/atg16l1-antibody-epr15638-n-terminal-ab187671'>ab187671</a>) at 1/1000 dilution

Lane 1:

Wild-type HeLa cell lysate at 20 µg

Lane 2:

ATG16L1 knockout HeLa cell lysate at 20 µg

Lane 2:

Western blot - Human ATG16L1 knockout HeLa cell line (<a href='/en-us/products/cell-lines/human-atg16l1-knockout-hela-cell-line-ab261772'>ab261772</a>)

Lane 3:

Jurkat cell lysate at 20 µg

Lane 4:

Daudi cell lysate at 20 µg

Secondary

All lanes:

Western blot - Goat anti-Rabbit IgG H&L (IRDye® 800CW) preadsorbed (<a href='/en-us/products/secondary-antibodies/goat-rabbit-igg-h-l-irdye-800cw-preadsorbed-ab216773'>ab216773</a>) at 1/20000 dilution

Predicted band size: 68 kDa

Observed band size: 68 kDa,72 kDa

false

Western blot - Anti-ATG16L1 antibody [EPR15638] - BSA and Azide free (AB232636)
  • WB

Lab

Western blot - Anti-ATG16L1 antibody [EPR15638] - BSA and Azide free (AB232636)

This data was developed using the same antibody clone in a different buffer formulation (ab187671).

Lanes 1-4 : Merged signal (red and green). Green - ab187671 observed at 75 kDa. Red - loading control ab8245 observed at 36 kDa.

ab187671 Anti-ATG16L1 antibody [EPR15638] was shown to specifically react with ATG16L1 in wild-type HeLa cells. Loss of signal was observed when knockout cell line ab265263 (knockout cell lysate ab256842) was used. Wild-type and ATG16L1 knockout samples were subjected to SDS-PAGE. ab187671 and Anti-GAPDH antibody [6C5] - Loading Control (ab8245) were incubated at room temperature for 2.5 hours at 1 in 1000 dilution and 1 in 20000 dilution respectively. Blots were developed with Goat anti-Rabbit IgG H&L (IRDye® 800CW) preadsorbed (ab216773) and Goat anti-Mouse IgG H&L (IRDye® 680RD) preadsorbed (ab216776) secondary antibodies at 1 in 20000 dilution for 1 hour at room temperature before imaging.

All lanes:

Western blot - Anti-ATG16L1 antibody [EPR15638] - N-terminal (<a href='/en-us/products/primary-antibodies/atg16l1-antibody-epr15638-n-terminal-ab187671'>ab187671</a>) at 1/1000 dilution

Lane 1:

Wild-type HeLa cell lysate at 20 µg

Lane 2:

ATG16L1 knockout HeLa cell lysate at 20 µg

Lane 2:

Western blot - Human ATG16L1 knockout HeLa cell line (<a href='/en-us/products/cell-lines/human-atg16l1-knockout-hela-cell-line-ab265263'>ab265263</a>)

Lane 3:

Jurkat cell lysate at 20 µg

Lane 4:

Daudi cell lysate at 20 µg

Secondary

All lanes:

Western blot - Goat anti-Rabbit IgG H&L (IRDye® 800CW) preadsorbed (<a href='/en-us/products/secondary-antibodies/goat-rabbit-igg-h-l-irdye-800cw-preadsorbed-ab216773'>ab216773</a>) at 1/10000 dilution

Predicted band size: 68 kDa

Observed band size: 75 kDa

false

Western blot - Anti-ATG16L1 antibody [EPR15638] - BSA and Azide free (AB232636)
  • WB

Lab

Western blot - Anti-ATG16L1 antibody [EPR15638] - BSA and Azide free (AB232636)

This data was developed using the same antibody clone in a different buffer formulation (ab187671).

Lanes 1-4 : Merged signal (red and green). Green - ab187671 observed at 68 and 72 kDa. Red - loading control ab8245 observed at 37 kDa.

ab187671 Anti-ATG16L1 antibody [EPR15638] - N-terminal was shown to specifically react with ATG16L1 in wild-type HeLa cells. Loss of signal was observed when knockout cell line ab261773 (knockout cell lysate ab256844) was used. Wild-type and ATG16L1 knockout samples were subjected to SDS-PAGE. ab187671 and Anti-GAPDH antibody [6C5] - Loading Control (ab8245) were incubated overnight at 4°C at 1 in 1000 dilution and 1 in 20000 dilution respectively. Blots were developed with Goat anti-Rabbit IgG H&L (IRDye® 800CW) preadsorbed (ab216773) and Goat anti-Mouse IgG H&L (IRDye® 680RD) preadsorbed (ab216776) secondary antibodies at 1 in 20000 dilution for 1 hour at room temperature before imaging.

All lanes:

Western blot - Anti-ATG16L1 antibody [EPR15638] - N-terminal (<a href='/en-us/products/primary-antibodies/atg16l1-antibody-epr15638-n-terminal-ab187671'>ab187671</a>) at 1/1000 dilution

Lane 1:

Wild-type HeLa cell lysate at 20 µg

Lane 2:

ATG16L1 knockout HeLa cell lysate at 20 µg

Lane 2:

Western blot - Human ATG16L1 knockout HeLa cell line (<a href='/en-us/products/cell-lines/human-atg16l1-knockout-hela-cell-line-ab261773'>ab261773</a>)

Lane 3:

Jurkat cell lysate at 20 µg

Lane 4:

Daudi cell lysate at 20 µg

Secondary

All lanes:

Western blot - Goat anti-Rabbit IgG H&L (IRDye® 800CW) preadsorbed (<a href='/en-us/products/secondary-antibodies/goat-rabbit-igg-h-l-irdye-800cw-preadsorbed-ab216773'>ab216773</a>) at 1/20000 dilution

Predicted band size: 68 kDa

Observed band size: 68 kDa,72 kDa

false

Western blot - Anti-ATG16L1 antibody [EPR15638] - BSA and Azide free (AB232636)
  • WB

Supplier Data

Western blot - Anti-ATG16L1 antibody [EPR15638] - BSA and Azide free (AB232636)

Lanes 1 - 4 : Merged signal (red and green). Green - ab187671 observed at 68 and 70 kDa. Red - loading control, ab8245, observed at 37 kDa.
ab187671 was shown to recognize ATG16L1 when ATG16L1 knockout samples were used, along with additional cross-reactive bands. Wild-type and ATG16L1 knockout samples were subjected to SDS-PAGE. ab187671 and ab8245 (loading control to GAPDH) were diluted 1/2000 and 1/10000 respectively and incubated overnight at 4°C. Blots were developed with Goat anti-Rabbit IgG H&L (IRDye® 800CW) preadsorbed (ab216773) and Goat anti-Mouse IgG H&L (IRDye® 680RD) preadsorbed (ab216776) secondary antibodies at 1/10000 dilution for 1 h at room temperature before imaging.

This data was developed using the same antibody clone in a different buffer formulation containing PBS, BSA, glycerol, and sodium azide (ab187671).

All lanes:

Western blot - Anti-ATG16L1 antibody [EPR15638] - BSA and Azide free (ab232636) at 1/2000 dilution

Lane 1:

Wild-type HAP1 cell lysate at 20 µg

Lane 2:

ATG16L1 knockout HAP1 cell lysate at 20 µg

Lane 3:

HeLa cell lysate at 20 µg

Lane 4:

Jurkat cell lysate at 20 µg

Predicted band size: 68 kDa

false

  • Unconjugated

    Anti-ATG16L1 antibody [EPR15638] - N-terminal

Key facts

Host species

Rabbit

Clonality

Monoclonal

Clone number

EPR15638

Isotype

IgG

Carrier free

Yes

Reacts with

Mouse, Rat, Human

Applications

IHC-P, WB

applications

Immunogen

The exact immunogen used to generate this antibody is proprietary information.

Reactivity data

{ "title": "Reactivity Data", "filters": { "stats": ["", "Species", "Dilution Info", "Notes"], "tabs": { "all-applications": {"fullname" : "All Applications", "shortname": "All Applications"}, "WB" : {"fullname" : "Western blot", "shortname":"WB"}, "IHCP" : {"fullname" : "Immunohistochemistry (Formalin/PFA-fixed paraffin-embedded sections)", "shortname":"IHC-P"} }, "product-promise": { "all": "all", "testedAndGuaranteed": "tested", "guaranteed": "expected", "predicted": "predicted", "notRecommended": "not-recommended" } }, "values": { "Human": { "WB-species-checked": "testedAndGuaranteed", "WB-species-dilution-info": "", "WB-species-notes": "<p></p>", "IHCP-species-checked": "testedAndGuaranteed", "IHCP-species-dilution-info": "", "IHCP-species-notes": "<p></p>" }, "Mouse": { "WB-species-checked": "testedAndGuaranteed", "WB-species-dilution-info": "", "WB-species-notes": "<p></p>", "IHCP-species-checked": "testedAndGuaranteed", "IHCP-species-dilution-info": "", "IHCP-species-notes": "<p></p>" }, "Rat": { "WB-species-checked": "testedAndGuaranteed", "WB-species-dilution-info": "", "WB-species-notes": "<p></p>", "IHCP-species-checked": "guaranteed", "IHCP-species-dilution-info": "", "IHCP-species-notes": "" } } }

Product details

ab232636 is the carrier-free version of ab187671.

Patented technology
Our RabMAb® technology is a patented hybridoma-based technology for making rabbit monoclonal antibodies. For details on our patents, please refer to RabMAb® patents.

What are the advantages of a recombinant monoclonal antibody?
This product is a recombinant monoclonal antibody, which offers several advantages including:

  • - High batch-to-batch consistency and reproducibility
  • - Improved sensitivity and specificity
  • - Long-term security of supply
  • - Animal-free batch production

For more information, read more on recombinant antibodies.

Conjugation ready
Our carrier-free antibodies are typically supplied in a PBS-only formulation, purified and free of BSA, sodium azide and glycerol. This conjugation-ready format is designed for use with fluorochromes, metal isotopes, oligonucleotides, and enzymes, which makes them ideal for antibody labelling, functional and cell-based assays, flow-based assays (e.g. mass cytometry) and Multiplex Imaging applications.

Use our conjugation kits for antibody conjugates that are ready-to-use in as little as 20 minutes with 1 minute hands-on-time and 100% antibody recovery: available for fluorescent dyes, HRP, biotin and gold.

Compatibility
This product is compatible with the Maxpar® Antibody Labeling Kit from Fluidigm, without the need for antibody preparation. Maxpar® is a trademark of Fluidigm Canada Inc.

Properties and storage information

Form
Liquid
Purification technique
Affinity purification Protein A
Storage buffer
pH: 7.2 - 7.4 Constituents: PBS
Shipped at conditions
Blue Ice
Appropriate short-term storage conditions
+4°C
Appropriate long-term storage conditions
+4°C
Storage information
Do Not Freeze

Supplementary information

This supplementary information is collated from multiple sources and compiled automatically.

ATG16L1 also known as Autophagy Related 16 Like 1 is a protein involved in the autophagy process. It functions as part of a complex that includes ATG12 and ATG5. The molecular weight of ATG16L1 is approximately 66 kDa. It is highly expressed in various tissues including the immune cells highlighting its involvement in essential cellular processes. The protein interacts with other autophagy-related proteins to facilitate the elongation and maturation of autophagosomes.
Biological function summary

ATG16L1 plays a role in mediating autophagy a vital cellular degradation process. It forms a complex with ATG5 and ATG12 necessary for the elongation of the autophagosome membrane. Apart from its role in autophagy ATG16L1 contributes to the regulation of innate immunity by influencing the secretion of inflammatory cytokines. Its presence is essential for maintaining cellular homeostasis and proper immune responses.

Pathways

ATG16L1 is important in pathways like autophagy and immunity. In the autophagy pathway it works alongside ATG5 and ATG12 to ensure the proper formation of autophagosomes which are structures that engulf and degrade unwanted cellular components. Furthermore in the immune response pathway it helps regulate inflammation by managing cytokine production and secretion showing interaction with proteins like NOD2.

ATG16L1 has connections with inflammatory bowel diseases particularly Crohn's disease and various cancers. Mutations in ATG16L1 can lead to impaired autophagy contributing to the development of Crohn's disease. In cancer dysregulation of autophagy involving ATG16L1 may affect tumor progression and response to therapy. The protein associates with NOD2 in Crohn's disease demonstrating that changes in their interaction can influence disease susceptibility and severity.

Product protocols

For this product, it's our understanding that no specific protocols are required. You can visit:

Target data

Plays an essential role in both canonical and non-canonical autophagy : interacts with ATG12-ATG5 to mediate the lipidation to ATG8 family proteins (MAP1LC3A, MAP1LC3B, MAP1LC3C, GABARAPL1, GABARAPL2 and GABARAP) (PubMed : 23376921, PubMed : 23392225, PubMed : 24553140, PubMed : 24954904, PubMed : 27273576, PubMed : 29317426, PubMed : 30778222, PubMed : 33909989). Acts as a molecular hub, coordinating autophagy pathways via distinct domains that support either canonical or non-canonical signaling (PubMed : 29317426, PubMed : 30778222). During canonical autophagy, interacts with ATG12-ATG5 to mediate the conjugation of phosphatidylethanolamine (PE) to ATG8 proteins, to produce a membrane-bound activated form of ATG8 (PubMed : 23376921, PubMed : 23392225, PubMed : 24553140, PubMed : 24954904, PubMed : 27273576). Thereby, controls the elongation of the nascent autophagosomal membrane (PubMed : 23376921, PubMed : 23392225, PubMed : 24553140, PubMed : 24954904, PubMed : 27273576). As part of the ATG8 conjugation system with ATG5 and ATG12, required for recruitment of LRRK2 to stressed lysosomes and induction of LRRK2 kinase activity in response to lysosomal stress (By similarity). Also involved in non-canonical autophagy, a parallel pathway involving conjugation of ATG8 proteins to single membranes at endolysosomal compartments, probably by catalyzing conjugation of phosphatidylserine (PS) to ATG8 (PubMed : 33909989). Non-canonical autophagy plays a key role in epithelial cells to limit lethal infection by influenza A (IAV) virus (By similarity). Regulates mitochondrial antiviral signaling (MAVS)-dependent type I interferon (IFN-I) production (PubMed : 22749352, PubMed : 25645662). Negatively regulates NOD1- and NOD2-driven inflammatory cytokine response (PubMed : 24238340). Instead, promotes an autophagy-dependent antibacterial pathway together with NOD1 or NOD2 (PubMed : 20637199). Plays a role in regulating morphology and function of Paneth cell (PubMed : 18849966).
See full target information ATG16L1

Publications (1)

Recent publications for all applications. Explore the full list and refine your search

Nature communications 15:9664 PubMed39511206

2024

mRNA delivery enabled by metal-organic nanoparticles.

Applications

Unspecified application

Species

Unspecified reactive species

Yuang Gu,Jingqu Chen,Zhaoran Wang,Chang Liu,Tianzheng Wang,Chan-Jin Kim,Helena Durikova,Soraia Fernandes,Darryl N Johnson,Robert De Rose,Christina Cortez-Jugo,Frank Caruso
View all publications

Product promise

We are committed to supporting your work with high-quality reagents, and we're here for you every step of the way. In the unlikely event that one of our products does not perform as expected, you're protected by our Product Promise.
For full details, please see our Terms & Conditions

Please note: All products are 'FOR RESEARCH USE ONLY. NOT FOR USE IN DIAGNOSTIC OR THERAPEUTIC PROCEDURES'.

For licensing inquiries, please contact partnerships@abcam.com