JavaScript is disabled in your browser. Please enable JavaScript to view this website.
AB195242

Anti-ATG16L1 (phospho S278) antibody [EPR19016]

5

(5 Reviews)

|

(19 Publications)

Anti-ATG16L1 (phospho S278) antibody [EPR19016] (ab195242) is a rabbit monoclonal antibody detecting ATG16L1 in Western Blot, IHC-P, ICC/IF, Dot Blot. Suitable for Human, Mouse.

- Biophysical QC for unrivalled batch-batch consistency
- Over 10 publications

View Alternative Names

Apg16l, Atg16l1, Autophagy-related protein 16-1, APG16-like 1

7 Images
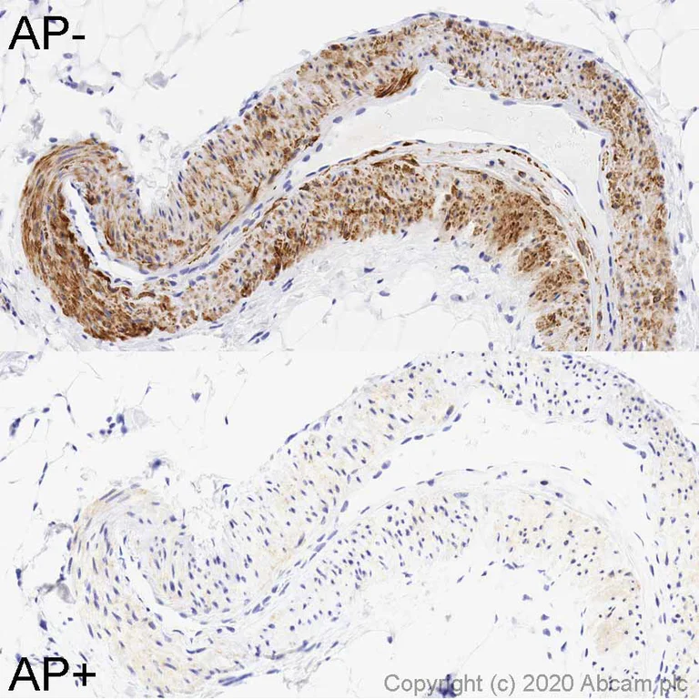
Immunohistochemistry (Formalin/PFA-fixed paraffin-embedded sections) - Anti-ATG16L1 (phospho S278) antibody [EPR19016] (AB195242)
  • IHC-P

Lab

Immunohistochemistry (Formalin/PFA-fixed paraffin-embedded sections) - Anti-ATG16L1 (phospho S278) antibody [EPR19016] (AB195242)

IHC images of vessel staining of ab195242, ATG16L1 (phospho S278), in sections of formalin-fixed paraffin-embedded normal human skeletal muscle tissue*, performed on a Leica BONDTM system using a modified protocol F.

Both sections were pre-treated using heat mediated antigen retrieval with sodium citrate buffer (pH6, epitope retrieval solution 1) for 20mins. One section was then treated with 200 enzyme units of alkaline phosphatase (AP+) for 1 hour at 37°C; and the other in buffer containing no alkaline phosphatase (AP-) for 1 hour at 37°C. The sections were then incubated with ab195242, 3μg/ml, for 15 mins at room temperature and detected using an HRP conjugated compact polymer system. DAB was used as the chromogen. The sections were then counterstained with haematoxylin and mounted with DPX.

Identical assays were also performed using detection system-only (no primary antibody) as reagent controls (data not shown), to ensure that staining seen was a result of the binding of the primary antibody.

The absence of staining in the AP+ tissue compared to the AP- tissue adds further evidence of phospho specificity for this antibody.

For other IHC staining systems (automated and non-automated) customers should optimize variable parameters such as antigen retrieval conditions, primary antibody concentration and antibody incubation times.

*Tissue obtained from the Human Research Tissue Bank, supported by the NIHR Cambridge Biomedical Research Centre

Immunocytochemistry/ Immunofluorescence - Anti-ATG16L1 (phospho S278) antibody [EPR19016] (AB195242)
  • ICC/IF

Collaborator

Immunocytochemistry/ Immunofluorescence - Anti-ATG16L1 (phospho S278) antibody [EPR19016] (AB195242)

IF showing pATG16L1 (red), LC3B (green) and p62 (white) :

MEF cells were amino acid starved for 1 hour. Blocking buffer used for pATG16L1 (ab195242) : 0.1% BSA, 1x abcam blocking buffer (ab126587), diluted in PBS. Anti-pATG16L1 (ab195242) concentration : 1/150. Secondary antibody (Alexa Fluor 647) concentration : 1/1000

This image is courtesy of Dr. Ryan Russell (University of Ottawa).

Immunohistochemistry (Formalin/PFA-fixed paraffin-embedded sections) - Anti-ATG16L1 (phospho S278) antibody [EPR19016] (AB195242)
  • IHC-P

Collaborator

Immunohistochemistry (Formalin/PFA-fixed paraffin-embedded sections) - Anti-ATG16L1 (phospho S278) antibody [EPR19016] (AB195242)

IHC images of mice quadricep showing either pATG16L1 or LC3B staining

Mice were fed ad libitum or starved for 16 hours. Quadricep muscle were immediately harvested and fixed in 10% formalin for 2 days. The samples were then paraffin embedded, sectioned into 4μm thick slices, and mounted onto glass microscope slides. Slides were stained with primary antibody overnight at 4˚C : LC3B 1/1000, pATG16L1 (ab195242) 1/300. Secondary antibody : Alexa Fluor 555 anti-rabbit, 1/1000.

This image is courtesy of Dr. Ryan Russell (University of Ottawa).

Western blot - Anti-ATG16L1 (phospho S278) antibody [EPR19016] (AB195242)
  • WB

Collaborator

Western blot - Anti-ATG16L1 (phospho S278) antibody [EPR19016] (AB195242)

HCT116 wild-type and ATG16L1 knockout cells were incubated with either complete media or amino acid deficient DMEM for 3 hours. 5ug of whole cell lysate were resolved by SDS-PAGE on a 6%-18% gradient gel, then transferred onto PVDF membrane. Membrane was blocked in 10X blocking buffer (Cat # ab126587) diluted in TBS solution for 30 minutes; incubated with 1 : 1000 primary antibody in 2.5% BSA TBST solution overnight at 4˚C ; incubated with 1 : 15000 secondary antibody in 2% milk TBST solution for 45 minutes. Immobilon ECL was applied for 1 minute then imaged with film.

All lanes:

Western blot - Anti-ATG16L1 (phospho S278) antibody [EPR19016] (ab195242)

Predicted band size: 68 kDa

true

This image is courtesy of Dr Ryan Russell (University of Ottawa).

Immunocytochemistry/ Immunofluorescence - Anti-ATG16L1 (phospho S278) antibody [EPR19016] (AB195242)
  • ICC/IF

Collaborator

Immunocytochemistry/ Immunofluorescence - Anti-ATG16L1 (phospho S278) antibody [EPR19016] (AB195242)

IF showing pATG16L1 (red) and total ATG16L1 (green) :

Polyclonal population of ATG16L1 KO and HA-ATG16L1 reconstituted cells were starved of amino acid for 1 hour and stained. Blocking buffer used for pATG16L1 staining : 0.1% BSA, 1x abcam blocking buffer ab126587, diluted in PBS. Anti-pATG16L1 (ab195242) concentration : 1/150. Anti-ATG16L1, concentration : 1/200 Secondary antibody (Alexa Fluor 647/488) concentration : 1/1000.

This image is courtesy of Dr. Ryan Russell (University of Ottawa).

Dot Blot - Anti-ATG16L1 (phospho S278) antibody [EPR19016] (AB195242)
  • Dot

Supplier Data

Dot Blot - Anti-ATG16L1 (phospho S278) antibody [EPR19016] (AB195242)

Dot blot analysis of ATG16L1 (phospho S278) labeled with ab195242 at 1/1,000 dilution.

Lane 1 : Mouse ATG16L1 (phospho S278) peptide;

Lane 2 : Mouse ATG16L1 non-phospho peptide;

Goat Anti-Rabbit IgG H&L (HRP) (ab97051) at 1/100,000 dilution was used as secondary antibody.

Blocking/Dilution buffer : 5% NFDM/TBST.

Exposure time : 3 minutes.

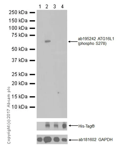
Western blot - Anti-ATG16L1 (phospho S278) antibody [EPR19016] (AB195242)
  • WB

Supplier Data

Western blot - Anti-ATG16L1 (phospho S278) antibody [EPR19016] (AB195242)

Blocking/Dilution buffer : 5% NFDM/TBST.

All lanes:

Western blot - Anti-ATG16L1 (phospho S278) antibody [EPR19016] (ab195242) at 1/1000 dilution

Lane 1:

HEK-293 (human epithelial cell line from embryonic kidney) transfected with an empty vector (vector control), containing a myc-His-tag®, whole cell lysate at 10 µg

Lane 2:

HEK-293 (human epithelial cell line from embryonic kidney) transfected with ATG16L1 (WT) expression vector containing a myc-His-tag®, whole cell lysate at 10 µg

Lane 3:

HEK-293 (human epithelial cell line from embryonic kidney) transfected with ATG16L1 (WT) expression vector containing a myc-His-tag®, followed by treatment with alkaline phosphatase for 1 hour, whole cell lysate at 10 µg

Lane 4:

HEK-293 (human epithelial cell line from embryonic kidney) transfected with ATG16L1 S278A expression vector containing a myc-His-tag®, whole cell lysate at 10 µg

Secondary

All lanes:

Western blot - Goat Anti-Rabbit IgG H&L (HRP) (<a href='/en-us/products/secondary-antibodies/goat-rabbit-igg-h-l-hrp-ab97051'>ab97051</a>) at 1/100000 dilution

Predicted band size: 68 kDa

Observed band size: 68 kDa

true

Exposure time: 3min

  • Carrier free

    Anti-ATG16L1 (phospho S278) antibody [EPR19016] - BSA and Azide free

Key facts

Host species

Rabbit

Clonality

Monoclonal

Clone number

EPR19016

Isotype

IgG

Carrier free

No

Reacts with

Mouse, Human

Applications

Dot, IHC-P, WB, ICC/IF

applications

Immunogen

The exact immunogen used to generate this antibody is proprietary information.

Reactivity data

{ "title": "Reactivity Data", "filters": { "stats": ["", "Species", "Dilution Info", "Notes"], "tabs": { "all-applications": {"fullname" : "All Applications", "shortname": "All Applications"}, "IHCP" : {"fullname" : "Immunohistochemistry (Formalin/PFA-fixed paraffin-embedded sections)", "shortname":"IHC-P"}, "Dot" : {"fullname" : "Dot Blot", "shortname":"Dot"}, "WB" : {"fullname" : "Western blot", "shortname":"WB"}, "ICCIF" : {"fullname" : "Immunocytochemistry/ Immunofluorescence", "shortname":"ICC/IF"} }, "product-promise": { "all": "all", "testedAndGuaranteed": "tested", "guaranteed": "expected", "predicted": "predicted", "notRecommended": "not-recommended" } }, "values": { "Human": { "IHCP-species-checked": "testedAndGuaranteed", "IHCP-species-dilution-info": "3 µg/mL", "IHCP-species-notes": "<p></p> Perform heat-mediated antigen retrieval with citrate buffer pH 6 before commencing with IHC staining protocol.", "Dot-species-checked": "guaranteed", "Dot-species-dilution-info": "", "Dot-species-notes": "", "WB-species-checked": "testedAndGuaranteed", "WB-species-dilution-info": "", "WB-species-notes": "<p>For optimal WB signal, we recommend using 10X Blocking Buffer (<a href='/en-us/products/buffers/10x-blocking-buffer-ab126587'>ab126587</a>).</p>", "ICCIF-species-checked": "guaranteed", "ICCIF-species-dilution-info": "", "ICCIF-species-notes": "" }, "Mouse": { "IHCP-species-checked": "guaranteed", "IHCP-species-dilution-info": "", "IHCP-species-notes": "", "Dot-species-checked": "testedAndGuaranteed", "Dot-species-dilution-info": "1/1000", "Dot-species-notes": "<p></p>", "WB-species-checked": "guaranteed", "WB-species-dilution-info": "", "WB-species-notes": "", "ICCIF-species-checked": "testedAndGuaranteed", "ICCIF-species-dilution-info": "1/150", "ICCIF-species-notes": "<p></p>" } } }

Product details

What is this antibody validated in?
Anti-ATG16L1 (phospho S278) antibody [EPR19016] (ab195242) is a rabbit recombinant monoclonal antibody and is validated for use in Western Blot (WB), Immunohistochemistry (IHC-P), Immunocytochemistry/immunofluorescence (ICC/IF), Dot Blot in Human, Mouse samples.

What is the molecular weight of ATG16L1?
Anti-ATG16L1 (phospho S278) [EPR19016] (ab195242) specifically detects a band for ATG16L1 (UniProt: Q8C0J2) at a molecular weight of 68kDa.

Trusted by the scientific community
Anti-ATG16L1 (phospho S278) [EPR19016] (ab195242) was first used in a scientific publication in 2018 and has been cited over 10 times in peer-reviewed journals.

Trial sizes available!
Test your antibody or perform pre-screening before committing to a larger quantity. Sold in 10µl. Discover our selection of trial-size antibodies.

Other related products
We have a range of other formats of antibody clone [EPR19016] also available for your convenience: ab195242, Carrier free - ab256347

Patented technology
Our RabMAb® technology is a patented hybridoma-based technology for making rabbit monoclonal antibodies. For details on our patents, please refer to RabMAb® patents.

Properties and storage information

Form
Liquid
Purification technique
Affinity purification Protein A
Storage buffer
pH: 7.2 - 7.4 Preservative: 0.01% Sodium azide Constituents: PBS, 40% Glycerol (glycerin, glycerine), 0.05% BSA
Shipped at conditions
Blue Ice
Appropriate short-term storage duration
1-2 weeks
Appropriate short-term storage conditions
+4°C
Appropriate long-term storage conditions
-20°C
Aliquoting information
Upon delivery aliquot
Storage information
Avoid freeze / thaw cycle

Supplementary information

This supplementary information is collated from multiple sources and compiled automatically.

ATG16L1 also known as Autophagy Related 16 Like 1 is a protein involved in the autophagy process. It functions as part of a complex that includes ATG12 and ATG5. The molecular weight of ATG16L1 is approximately 66 kDa. It is highly expressed in various tissues including the immune cells highlighting its involvement in essential cellular processes. The protein interacts with other autophagy-related proteins to facilitate the elongation and maturation of autophagosomes.
Biological function summary

ATG16L1 plays a role in mediating autophagy a vital cellular degradation process. It forms a complex with ATG5 and ATG12 necessary for the elongation of the autophagosome membrane. Apart from its role in autophagy ATG16L1 contributes to the regulation of innate immunity by influencing the secretion of inflammatory cytokines. Its presence is essential for maintaining cellular homeostasis and proper immune responses.

Pathways

ATG16L1 is important in pathways like autophagy and immunity. In the autophagy pathway it works alongside ATG5 and ATG12 to ensure the proper formation of autophagosomes which are structures that engulf and degrade unwanted cellular components. Furthermore in the immune response pathway it helps regulate inflammation by managing cytokine production and secretion showing interaction with proteins like NOD2.

ATG16L1 has connections with inflammatory bowel diseases particularly Crohn's disease and various cancers. Mutations in ATG16L1 can lead to impaired autophagy contributing to the development of Crohn's disease. In cancer dysregulation of autophagy involving ATG16L1 may affect tumor progression and response to therapy. The protein associates with NOD2 in Crohn's disease demonstrating that changes in their interaction can influence disease susceptibility and severity.

Product protocols

For this product, it's our understanding that no specific protocols are required. You can visit:

Target data

Plays an essential role in both canonical and non-canonical autophagy : interacts with ATG12-ATG5 to mediate the lipidation to ATG8 family proteins (MAP1LC3A, MAP1LC3B, MAP1LC3C, GABARAPL1, GABARAPL2 and GABARAP) (PubMed : 12665549, PubMed : 18849966, PubMed : 19898471, PubMed : 23392225, PubMed : 24553140, PubMed : 24954904, PubMed : 33586810). Acts as a molecular hub, coordinating autophagy pathways via distinct domains that support either canonical or non-canonical signaling (PubMed : 33586810). During canonical autophagy, interacts with ATG12-ATG5 to mediate the conjugation of phosphatidylethanolamine (PE) to ATG8 proteins, to produce a membrane-bound activated form of ATG8 (By similarity). Thereby, controls the elongation of the nascent autophagosomal membrane (By similarity). As part of the ATG8 conjugation system with ATG5 and ATG12, required for recruitment of LRRK2 to stressed lysosomes and induction of LRRK2 kinase activity in response to lysosomal stress (PubMed : 38227290). Also involved in non-canonical autophagy, a parallel pathway involving conjugation of ATG8 proteins to single membranes at endolysosomal compartments, probably by catalyzing conjugation of phosphatidylserine (PS) to ATG8 (By similarity). Non-canonical autophagy plays a key role in epithelial cells to limit lethal infection by influenza A (IAV) virus (PubMed : 33586810). Regulates mitochondrial antiviral signaling (MAVS)-dependent type I interferon (IFN-I) production (By similarity). Negatively regulates NOD1- and NOD2-driven inflammatory cytokine response (PubMed : 24238340). Instead, promotes an autophagy-dependent antibacterial pathway together with NOD1 or NOD2 (PubMed : 19898471, PubMed : 19966812, PubMed : 24238340). Plays a role in regulating morphology and function of Paneth cell (By similarity).
See full target information Atg16l1 phospho S278

Publications (19)

Recent publications for all applications. Explore the full list and refine your search

mBio 16:e0336924 PubMed39998213

2025

OmpA hinders host autophagy via the CaMKK2-reliant AMPK-pathway.

Applications

Unspecified application

Species

Unspecified reactive species

Kyungho Woo,Dong Ho Kim,Ho-Sung Park,Man Hwan Oh,Je Chul Lee,Chul Hee Choi

Advanced science (Weinheim, Baden-Wurttemberg, Germany) 11:e2400480 PubMed38881515

2024

Extracellular Matrix Remodeling Alleviates Memory Deficits in Alzheimer's Disease by Enhancing the Astrocytic Autophagy-Lysosome Pathway.

Applications

Unspecified application

Species

Unspecified reactive species

Qinghu Yang,Chengxiang Yan,Yahan Sun,Zhen Xie,Liang Yang,Ming Jiang,Junjun Ni,Beining Chen,Sen Xu,Zhaoyue Yuan,Yanyan Wu,Xia Liu,Zengqiang Yuan,Zhantao Bai

Acta neuropathologica communications 12:82 PubMed38812004

2024

Axonal autophagic vesicle transport in the rat optic nerve in vivo under normal conditions and during acute axonal degeneration.

Applications

Unspecified application

Species

Unspecified reactive species

Xiaoyue Luo,Jiong Zhang,Johan Tolö,Sebastian Kügler,Uwe Michel,Mathias Bähr,Jan Christoph Koch

Autophagy 20:2017-2040 PubMed38744665

2024

Unexpected roles for AMPK in the suppression of autophagy and the reactivation of MTORC1 signaling during prolonged amino acid deprivation.

Applications

Unspecified application

Species

Unspecified reactive species

Dubek Kazyken,Sydney G Dame,Claudia Wang,Maxwell Wadley,Diane C Fingar

Autophagy 20:1247-1269 PubMed38018843

2023

CARM1 drives mitophagy and autophagy flux during fasting-induced skeletal muscle atrophy.

Applications

Unspecified application

Species

Unspecified reactive species

Derek W Stouth,Tiffany L vanLieshout,Andrew I Mikhail,Sean Y Ng,Rozhin Raziee,Brittany A Edgett,Goutham Vasam,Erin K Webb,Kevin S Gilotra,Matthew Markou,Hannah C Pineda,Brianna G Bettencourt-Mora,Haleema Noor,Zachary Moll,Megan E Bittner,Brendon J Gurd,Keir J Menzies,Vladimir Ljubicic

Nature communications 14:7338 PubMed37957156

2023

Local membrane source gathering by p62 body drives autophagosome formation.

Applications

Unspecified application

Species

Unspecified reactive species

Xuezhao Feng,Daxiao Sun,Yanchang Li,Jinpei Zhang,Shiyu Liu,Dachuan Zhang,Jingxiang Zheng,Qing Xi,Haisha Liang,Wenkang Zhao,Ying Li,Mengbo Xu,Jiayu He,Tong Liu,Ayshamgul Hasim,Meisheng Ma,Ping Xu,Na Mi

Journal of orthopaedic surgery and research 18:711 PubMed37735431

2023

DAP1 regulates osteoblast autophagy via the ATG16L1-LC3 axis in Graves' disease-induced osteoporosis.

Applications

Unspecified application

Species

Unspecified reactive species

Mingdong Gao,Zouxi Du,Qianqian Dong,Shan Su,Limin Tian

Autophagy reports 1:119-142 PubMed40396040

2022

GCN2 upregulates autophagy in response to short-term deprivation of a single essential amino acid.

Applications

Unspecified application

Species

Unspecified reactive species

Anne-Catherine Maurin,Laurent Parry,Wafa B'chir,Valérie Carraro,Cécile Coudy-Gandilhon,Ghita Chaouki,Cédric Chaveroux,Sylvie Mordier,Brigitte Martinie,Vanessa Reinhardt,Céline Jousse,Alain Bruhat,Patrice Codogno,Julien Averous,Pierre Fafournoux

Science advances 8:eabi4797 PubMed35263141

2022

Mediobasal hypothalamic FKBP51 acts as a molecular switch linking autophagy to whole-body metabolism.

Applications

Unspecified application

Species

Unspecified reactive species

Alexander S Häusl,Thomas Bajaj,Lea M Brix,Max L Pöhlmann,Kathrin Hafner,Meri De Angelis,Joachim Nagler,Frederik Dethloff,Georgia Balsevich,Karl-Werner Schramm,Patrick Giavalisco,Alon Chen,Mathias V Schmidt,Nils C Gassen

Cells 10: PubMed34440779

2021

Conditional Knock out of High-Mobility Group Box 1 (HMGB1) in Rods Reduces Autophagy Activation after Retinal Detachment.

Applications

Unspecified application

Species

Unspecified reactive species

Bing X Ross,Lin Jia,Dejuan Kong,Tiantian Wang,Heather M Hager,Steven F Abcouwer,David N Zacks
View all publications

Product promise

We are committed to supporting your work with high-quality reagents, and we're here for you every step of the way. In the unlikely event that one of our products does not perform as expected, you're protected by our Product Promise.
For full details, please see our Terms & Conditions

Please note: All products are 'FOR RESEARCH USE ONLY. NOT FOR USE IN DIAGNOSTIC OR THERAPEUTIC PROCEDURES'.

For licensing inquiries, please contact partnerships@abcam.com