JavaScript is disabled in your browser. Please enable JavaScript to view this website.
AB233560

Anti-ATG3 antibody [7A1D1]

Be the first to review this product! Submit a review

|

(1 Publication)

Mouse Monoclonal ATG3 antibody. Suitable for WB, IHC-P, ICC/IF and reacts with Human, African green monkey, Recombinant full length protein - Human, Transfected cell lysate - Human samples. Cited in 1 publication. Immunogen corresponding to Recombinant Fragment Protein within Human ATG3 aa 1-100.

View Alternative Names

APG3, APG3L, ATG3, Ubiquitin-like-conjugating enzyme ATG3, Autophagy-related protein 3, Protein PC3-96, APG3-like, hApg3

7 Images
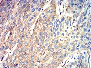
Immunohistochemistry (Formalin/PFA-fixed paraffin-embedded sections) - Anti-ATG3 antibody [7A1D1] (AB233560)
  • IHC-P

Supplier Data

Immunohistochemistry (Formalin/PFA-fixed paraffin-embedded sections) - Anti-ATG3 antibody [7A1D1] (AB233560)

Paraffin-embedded human breast cancer tissue stained for ATG3 with ab233560 at a 1/200 dilution in immunohistochemical analysis. DAB staining.

Immunocytochemistry/ Immunofluorescence - Anti-ATG3 antibody [7A1D1] (AB233560)
  • ICC/IF

Supplier Data

Immunocytochemistry/ Immunofluorescence - Anti-ATG3 antibody [7A1D1] (AB233560)

HeLa (Human epithelial cell line from cervix adenocarcinoma) cells stained for ATG3 (green) using ab233560 (1/200 dilution) in ICC/IF.

Blue : DRAQ5 fluorescent DNA dye.

Red : Actin filaments have been labeled with Alexa Fluor®555 phalloidin.

Secondary antibody : Goat anti-Mouse IgG (H+L) DyLight 488.

Immunocytochemistry/ Immunofluorescence - Anti-ATG3 antibody [7A1D1] (AB233560)
  • ICC/IF

Supplier Data

Immunocytochemistry/ Immunofluorescence - Anti-ATG3 antibody [7A1D1] (AB233560)

SMMC-7721 cells stained for ATG3 (green) using ab233560 (1/200 dilution) in ICC/IF.

Blue : DRAQ5 fluorescent DNA dye.

Red : Actin filaments have been labeled with Alexa Fluor®555 phalloidin.

Secondary antibody : Goat anti-Mouse IgG (H+L) DyLight 488.

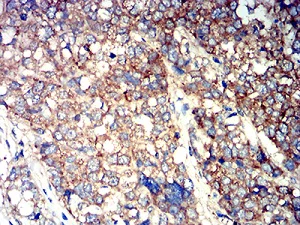
Immunohistochemistry (Formalin/PFA-fixed paraffin-embedded sections) - Anti-ATG3 antibody [7A1D1] (AB233560)
  • IHC-P

Supplier Data

Immunohistochemistry (Formalin/PFA-fixed paraffin-embedded sections) - Anti-ATG3 antibody [7A1D1] (AB233560)

Paraffin-embedded human esophageal cancer tissue stained for ATG3 with ab233560 at a 1/200 dilution in immunohistochemical analysis. DAB staining.

Western blot - Anti-ATG3 antibody [7A1D1] (AB233560)
  • WB

Supplier Data

Western blot - Anti-ATG3 antibody [7A1D1] (AB233560)

(Expected MW is 37.3 kDa)

Lane 1:

Western blot - Anti-ATG3 antibody [7A1D1] (ab233560) at 1/500 dilution

Lane 1:

Western blot - Anti-ATG3 antibody [2C10A12] (<a href='/en-us/products/primary-antibodies/atg3-antibody-2c10a12-ab233562'>ab233562</a>) at 1/500 dilution

All lanes:

Recombinant human ATG3 protein (amino acids 1-100)

Predicted band size: 35 kDa

false

Western blot - Anti-ATG3 antibody [7A1D1] (AB233560)
  • WB

Supplier Data

Western blot - Anti-ATG3 antibody [7A1D1] (AB233560)

All lanes:

Western blot - Anti-ATG3 antibody [7A1D1] (ab233560) at 1/500 dilution

Lane 1:

Jurkat (Human T cell leukemia cell line from peripheral blood) cell lysate

Lane 2:

K562 (Human chronic myelogenous leukemia cell line from bone marrow) cell lysate

Lane 3:

HeLa (Human epithelial cell line from cervix adenocarcinoma) cell lysate

Lane 4:

THP-1 (Human monocytic leukemia cell line) cell lysate

Lane 5:

COS-7 (African green monkey kidney fibroblast-like cell line) cell lysate

Predicted band size: 35 kDa

false

Western blot - Anti-ATG3 antibody [7A1D1] (AB233560)
  • WB

Supplier Data

Western blot - Anti-ATG3 antibody [7A1D1] (AB233560)

Lanes 1 - 2:

Western blot - Anti-ATG3 antibody [7A1D1] (ab233560) at 1/500 dilution

Lanes 1 - 2:

Western blot - Anti-ATG3 antibody [2C10A12] (<a href='/en-us/products/primary-antibodies/atg3-antibody-2c10a12-ab233562'>ab233562</a>) at 1/500 dilution

Lane 1:

HEK-293 (Human epithelial cell line from embryonic kidney) cell lysate

Lane 2:

ATG3 (amino acids: 1-100) - hIgGFc transfected HEK-293 (Human epithelial cell line from embryonic kidney) cell lysate

Predicted band size: 35 kDa

false

Key facts

Host species

Mouse

Clonality

Monoclonal

Clone number

7A1D1

Isotype

IgG1

Carrier free

No

Reacts with

Human, African green monkey

Applications

ICC/IF, WB, IHC-P

applications

Immunogen

Recombinant Fragment Protein within Human ATG3 aa 1-100. The exact immunogen used to generate this antibody is proprietary information.

Q9NT62

Reactivity data

{ "title": "Reactivity Data", "filters": { "stats": ["", "Species", "Dilution Info", "Notes"], "tabs": { "all-applications": {"fullname" : "All Applications", "shortname": "All Applications"}, "WB" : {"fullname" : "Western blot", "shortname":"WB"}, "IHCP" : {"fullname" : "Immunohistochemistry (Formalin/PFA-fixed paraffin-embedded sections)", "shortname":"IHC-P"}, "ICCIF" : {"fullname" : "Immunocytochemistry/ Immunofluorescence", "shortname":"ICC/IF"} }, "product-promise": { "all": "all", "testedAndGuaranteed": "tested", "guaranteed": "expected", "predicted": "predicted", "notRecommended": "not-recommended" } }, "values": { "Human": { "WB-species-checked": "testedAndGuaranteed", "WB-species-dilution-info": "1/500 - 1/2000", "WB-species-notes": "<p></p>", "IHCP-species-checked": "testedAndGuaranteed", "IHCP-species-dilution-info": "1/200 - 1/1000", "IHCP-species-notes": "<p></p>", "ICCIF-species-checked": "testedAndGuaranteed", "ICCIF-species-dilution-info": "1/200 - 1/1000", "ICCIF-species-notes": "<p></p>" }, "Mouse": { "WB-species-checked": "predicted", "WB-species-dilution-info": "", "WB-species-notes": "", "IHCP-species-checked": "predicted", "IHCP-species-dilution-info": "", "IHCP-species-notes": "", "ICCIF-species-checked": "predicted", "ICCIF-species-dilution-info": "", "ICCIF-species-notes": "" }, "Rat": { "WB-species-checked": "predicted", "WB-species-dilution-info": "", "WB-species-notes": "", "IHCP-species-checked": "predicted", "IHCP-species-dilution-info": "", "IHCP-species-notes": "", "ICCIF-species-checked": "predicted", "ICCIF-species-dilution-info": "", "ICCIF-species-notes": "" }, "African green monkey": { "WB-species-checked": "testedAndGuaranteed", "WB-species-dilution-info": "1/500 - 1/2000", "WB-species-notes": "<p></p>", "IHCP-species-checked": "guaranteed", "IHCP-species-dilution-info": "", "IHCP-species-notes": "", "ICCIF-species-checked": "guaranteed", "ICCIF-species-dilution-info": "", "ICCIF-species-notes": "" }, "Cow": { "WB-species-checked": "predicted", "WB-species-dilution-info": "", "WB-species-notes": "", "IHCP-species-checked": "predicted", "IHCP-species-dilution-info": "", "IHCP-species-notes": "", "ICCIF-species-checked": "predicted", "ICCIF-species-dilution-info": "", "ICCIF-species-notes": "" }, "Recombinant full length protein - Human": { "WB-species-checked": "testedAndGuaranteed", "WB-species-dilution-info": "1/500 - 1/2000", "WB-species-notes": "<p></p>", "IHCP-species-checked": "notRecommended", "IHCP-species-dilution-info": "", "IHCP-species-notes": "", "ICCIF-species-checked": "notRecommended", "ICCIF-species-dilution-info": "", "ICCIF-species-notes": "" }, "Transfected cell lysate - Human": { "WB-species-checked": "testedAndGuaranteed", "WB-species-dilution-info": "1/500 - 1/2000", "WB-species-notes": "<p></p>", "IHCP-species-checked": "notRecommended", "IHCP-species-dilution-info": "", "IHCP-species-notes": "", "ICCIF-species-checked": "notRecommended", "ICCIF-species-dilution-info": "", "ICCIF-species-notes": "" } } }

Properties and storage information

Form
Liquid
Purification technique
Affinity purification Protein G
Purification notes
Purified from TCS.
Storage buffer
Preservative: 0.05% Sodium azide Constituents: PBS
Shipped at conditions
Blue Ice
Appropriate short-term storage duration
1-2 weeks
Appropriate short-term storage conditions
+4°C
Appropriate long-term storage conditions
-20°C
Aliquoting information
Upon delivery aliquot
Storage information
Avoid freeze / thaw cycle

Supplementary information

This supplementary information is collated from multiple sources and compiled automatically.

ATG3 also known as Autophagy-related protein 3 is an essential enzyme in the autophagy process. Its molecular weight is approximately 36 kDa. This protein facilitates the conjugation of LC3 (microtubule-associated protein 1A/1B-light chain 3) by acting as an E2-like enzyme. It is mainly expressed in tissues with high rates of autophagy including liver heart and brain.
Biological function summary

ATG3 plays an important role in the elongation of the autophagic membrane. It operates as a part of the autophagy machinery working closely with ATG7 an E1-like enzyme to transfer phosphatidylethanolamine (PE) to LC3 converting it into LC3-II. This lipidated form of LC3 is essential in the expansion and closure of the isolation membrane which forms the autophagosome the core structure for degradation and recycling of cellular components.

Pathways

ATG3 is a central player in the macroautophagy pathway a process critical for cellular homeostasis. It interacts with ATG7 to facilitate the lipidation of ATG8 family proteins which are important for autophagosome formation. Moreover ATG3 also links to apoptosis pathways where its balance with pro-apoptotic proteins helps regulate cell death processes.

ATG3 has been implicated in neurodegenerative diseases like Alzheimer's. This relates partly to its role in protein clearance which is essential for preventing toxic aggregations. Altered ATG3 function can lead to accumulation of misfolded proteins exacerbating disease. Moreover ATG3's interaction with proteins in the cancer-related pathways such as p53 shows its involvement in tumorigenesis through its influence on cell survival and death mechanisms.

Product protocols

For this product, it's our understanding that no specific protocols are required. You can visit:

Target data

E2 conjugating enzyme that catalyzes the covalent conjugation of the C-terminal Gly of ATG8-like proteins (GABARAP, GABARAPL1, GABARAPL2 or MAP1LC3A) to the amino group of phosphatidylethanolamine (PE)-containing lipids in the membrane resulting in membrane-bound ATG8-like proteins which is one of the key steps in the development of autophagic isolation membranes during autophagosome formation (PubMed : 24191030, PubMed : 33446636, PubMed : 37252361). Cycles back and forth between binding to ATG7 for loading with the ATG8-like proteins and binding to E3 enzyme, composed of ATG12, ATG5 and ATG16L1 to promote ATG8-like proteins lipidation (PubMed : 11825910, PubMed : 12207896, PubMed : 12890687, PubMed : 16704426, PubMed : 24186333). Also plays a role as a membrane curvature sensor that facilitates LC3/GABARAP lipidation by sensing local membrane stress associated with lipid-packing defects as occurs with high molar proportions of conical lipids or strident membrane curvature (By similarity). Interacts with negatively-charged membranes promoting membrane tethering and enhancing LC3/GABARAP lipidation (PubMed : 29142222). Also acts as an autocatalytic E2-like enzyme by catalyzing the conjugation of ATG12 to itself in an ATG7-dependent manner, this complex thus formed, plays a role in mitochondrial homeostasis but not in autophagy (By similarity). ATG12-ATG3 conjugation promotes late endosome to lysosome trafficking and basal autophagosome maturation via its interaction with PDCD6IP (By similarity). ATG12-ATG3 conjugate is also formed upon viccina virus infection, leading to the disruption the cellular autophagy which is not necessary for vaccinia survival and proliferation (By similarity). Promotes primary ciliogenesis by removing OFD1 from centriolar satellites via the autophagic pathway (By similarity).
See full target information ATG3

Publications (1)

Recent publications for all applications. Explore the full list and refine your search

Journal of cellular immunology 7:74-97 PubMed40893807

2025

Inflammatory, Functional, and Compositional Changes of the Uterine Immune Microenvironment in a Lymphangioleiomyomatosis Mouse Model.

Applications

Unspecified application

Species

Unspecified reactive species

Danielle S Stiene,Andrew R Osterburg,Lori B Corsarie,Nick R Balzarini,Mario Medvedovic,Michael T Borchers
View all publications

Product promise

We are committed to supporting your work with high-quality reagents, and we're here for you every step of the way. In the unlikely event that one of our products does not perform as expected, you're protected by our Product Promise.
For full details, please see our Terms & Conditions

Please note: All products are 'FOR RESEARCH USE ONLY. NOT FOR USE IN DIAGNOSTIC OR THERAPEUTIC PROCEDURES'.

For licensing inquiries, please contact partnerships@abcam.com