JavaScript is disabled in your browser. Please enable JavaScript to view this website.
AB317822

Anti-ATG4B antibody [EPR28756-91] - BSA and Azide free

  • BOND RX™ Validated
  • Recombinant
  • RabMAb
  • KO Validated
  • What is this?

Be the first to review this product! Submit a review

|

(0 Publication)

Knockout Tested Rabbit Recombinant Monoclonal ATG4B antibody. Carrier free. Suitable for WB, IHC-P and reacts with Human samples.

View Alternative Names

APG4B, AUTL1, KIAA0943, ATG4B, Cysteine protease ATG4B, AUT-like 1 cysteine endopeptidase, Autophagy-related cysteine endopeptidase 1, Autophagy-related protein 4 homolog B, Autophagin-1, HsAPG4B, hAPG4B

7 Images
Immunohistochemistry (Formalin/PFA-fixed paraffin-embedded sections) - Anti-ATG4B antibody [EPR28756-91] - BSA and Azide free (AB317822)
  • IHC-P

Supplier Data

Immunohistochemistry (Formalin/PFA-fixed paraffin-embedded sections) - Anti-ATG4B antibody [EPR28756-91] - BSA and Azide free (AB317822)

This data was developed using ab317821, the same antibody clone in a different buffer formulation.

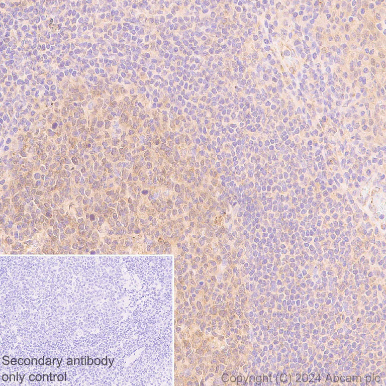
Immunohistochemical analysis of paraffin-embedded Human non-Hodgkin's lymphoma tissue labeling ATG4B with ab317821 at 1/500 (1.052 ug/ml) dilution, followed by a ready to use LeicaDS9800 (Bond™ Polymer Refine Detection).

Positive staining on human non-Hodgkin's lymhoma.
The section was incubated with ab317821 for 30 mins at room temperature.
The immunostaining was performed on a Leica Biosystems BOND® RX instrument.
Incubate slides with 3% Hydrogen Peroxide for 10 mins at room temperature after secondary antibody incubation to reduce the background.

Counterstained with Hematoxylin.

Secondary antibody only control : Secondary antibody is a ready to use LeicaDS9800 (Bond™ Polymer Refine Detection).

Heat mediated antigen retrieval was performed with Tris-EDTA buffer (pH 9.0, Epitope Retrieval Solution2) for 20 mins.

Immunohistochemistry (Formalin/PFA-fixed paraffin-embedded sections) - Anti-ATG4B antibody [EPR28756-91] - BSA and Azide free (AB317822)
  • IHC-P

Supplier Data

Immunohistochemistry (Formalin/PFA-fixed paraffin-embedded sections) - Anti-ATG4B antibody [EPR28756-91] - BSA and Azide free (AB317822)

This data was developed using ab317821, the same antibody clone in a different buffer formulation.

Immunohistochemical analysis of paraffin-embedded Human tonsil tissue labeling ATG4B with ab317821 at 1/500 (1.052 ug/ml) dilution, followed by a ready to use LeicaDS9800 (Bond™ Polymer Refine Detection).

Positive staining on human tonsil.
The section was incubated with ab317821 for 30 mins at room temperature.
The immunostaining was performed on a Leica Biosystems BOND® RX instrument.
Incubate slides with 3% Hydrogen Peroxide for 10 mins at room temperature after secondary antibody incubation to reduce the background.

Counterstained with Hematoxylin.

Secondary antibody only control : Secondary antibody is a ready to use LeicaDS9800 (Bond™ Polymer Refine Detection).

Heat mediated antigen retrieval was performed with Tris-EDTA buffer (pH 9.0, Epitope Retrieval Solution2) for 20 mins.

Immunohistochemistry (Formalin/PFA-fixed paraffin-embedded sections) - Anti-ATG4B antibody [EPR28756-91] - BSA and Azide free (AB317822)
  • IHC-P

Supplier Data

Immunohistochemistry (Formalin/PFA-fixed paraffin-embedded sections) - Anti-ATG4B antibody [EPR28756-91] - BSA and Azide free (AB317822)

This data was developed using ab317821, the same antibody clone in a different buffer formulation.

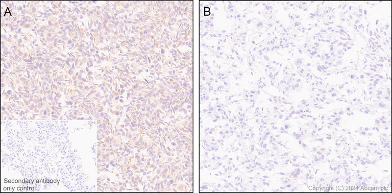
Immunohistochemical analysis of paraffin-embedded Human colorectal carcinoma tissue labeling ATG4B with ab317821 at 1/500 (1.052 ug/ml) dilution, followed by a ready to use LeicaDS9800 (Bond™ Polymer Refine Detection).

Positive staining on human colorectal carcinoma (PMID : 24991826).
The section was incubated with ab317821 for 30 mins at room temperature.
The immunostaining was performed on a Leica Biosystems BOND® RX instrument.
Incubate slides with 3% Hydrogen Peroxide for 10 mins at room temperature after secondary antibody incubation to reduce the background.

Counterstained with Hematoxylin.

Secondary antibody only control : Secondary antibody is a ready to use LeicaDS9800 (Bond™ Polymer Refine Detection).

Heat mediated antigen retrieval was performed with Tris-EDTA buffer (pH 9.0, Epitope Retrieval Solution2) for 20 mins.

Immunohistochemistry (Formalin/PFA-fixed paraffin-embedded sections) - Anti-ATG4B antibody [EPR28756-91] - BSA and Azide free (AB317822)
  • IHC-P

Supplier Data

Immunohistochemistry (Formalin/PFA-fixed paraffin-embedded sections) - Anti-ATG4B antibody [EPR28756-91] - BSA and Azide free (AB317822)

This data was developed using ab317821, the same antibody clone in a different buffer formulation.

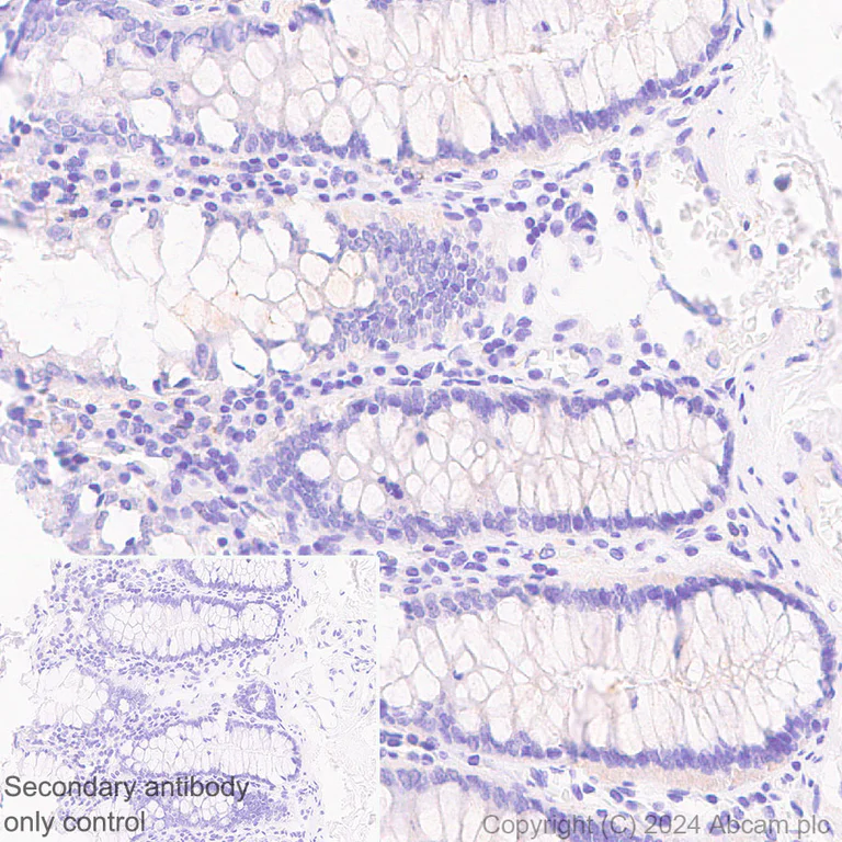
Immunohistochemical analysis of paraffin-embedded Human colon tissue labeling ATG4B with ab317821 at 1/500 (1.052 ug/ml) dilution, followed by a ready to use LeicaDS9800 (Bond™ Polymer Refine Detection).

Low expression : very weak staining on human colon (PMID : 24991826).
The section was incubated with ab317821 for 30 mins at room temperature.
The immunostaining was performed on a Leica Biosystems BOND® RX instrument.
Incubate slides with 3% Hydrogen Peroxide for 10 mins at room temperature after secondary antibody incubation to reduce the background.

Counterstained with Hematoxylin.

Secondary antibody only control : Secondary antibody is a ready to use LeicaDS9800 (Bond™ Polymer Refine Detection).

Heat mediated antigen retrieval was performed with Tris-EDTA buffer (pH 9.0, Epitope Retrieval Solution2) for 20 mins.

Immunohistochemistry (Formalin/PFA-fixed paraffin-embedded sections) - Anti-ATG4B antibody [EPR28756-91] - BSA and Azide free (AB317822)
  • IHC-P

Supplier Data

Immunohistochemistry (Formalin/PFA-fixed paraffin-embedded sections) - Anti-ATG4B antibody [EPR28756-91] - BSA and Azide free (AB317822)

This data was developed using ab317821, the same antibody clone in a different buffer formulation.

Immunohistochemical analysis of paraffin-embedded (A) Wild-type HeLa (human cervix adenocarcinoma epithelial cell) cell pellet (B) ATG4B knockout HeLa cell pellet tissue labeling ATG4B with ab317821 at 1/500 (1.052 ug/ml) dilution, followed by a ready to use LeicaDS9800 (Bond™ Polymer Refine Detection).

Positive staining on (A) Wild-type HeLa cell pellet, no staining on (B) ATG4B knockout HeLa cell pellet.
The section was incubated with ab317821 for 30 mins at room temperature.
The immunostaining was performed on a Leica Biosystems BOND® RX instrument.
Incubate slides with 3% Hydrogen Peroxide for 10 mins at room temperature after secondary antibody incubation to reduce the background.

Counterstained with Hematoxylin.

Secondary antibody only control : Secondary antibody is a ready to use LeicaDS9800 (Bond™ Polymer Refine Detection).

Heat mediated antigen retrieval was performed with Tris-EDTA buffer (pH 9.0, Epitope Retrieval Solution2) for 20 mins.

Western blot - Anti-ATG4B antibody [EPR28756-91] - BSA and Azide free (AB317822)
  • WB

Supplier Data

Western blot - Anti-ATG4B antibody [EPR28756-91] - BSA and Azide free (AB317822)

This data was developed using ab317821, the same antibody clone in a different buffer formulation.

All lanes:

Western blot - Anti-ATG4B antibody [EPR28756-91] (<a href='/en-us/products/primary-antibodies/atg4b-antibody-epr28756-91-ab317821'>ab317821</a>) at 1/1000 dilution

All lanes:

Human tonsil tissue lysate at 20 µg

Secondary

All lanes:

Goat Anti-Rabbit IgG (HRP) with minimal cross-reactivity with human IgG at 1/2000 dilution

Observed band size: 44 kDa

true

Exposure time: 81s

Western blot - Anti-ATG4B antibody [EPR28756-91] - BSA and Azide free (AB317822)
  • WB

Supplier Data

Western blot - Anti-ATG4B antibody [EPR28756-91] - BSA and Azide free (AB317822)

This data was developed using ab317821, the same antibody clone in a different buffer formulation.

In Western blot, ab317821 was shown to bind specifically to ATG4B. A band was observed at 44 kDa in wild-type Hela cell lysates whereas loss of signal was observed in the ATG4B knockout cell line (ab265814/knockout lysate ab257364).

In Western blot, Anti-GAPDH antibody [EPR16891] - Loading Control (ab181602) staining at 1/200000 dilution.

Exposure time : Lanes 1-2 : 15 seconds, Lanes 3-5 : 48 seconds

All lanes:

Western blot - Anti-ATG4B antibody [EPR28756-91] (<a href='/en-us/products/primary-antibodies/atg4b-antibody-epr28756-91-ab317821'>ab317821</a>) at 1/1000 dilution

Lane 1:

Wild-type HeLa (human cervical adenocarcinoma epithelial cell) whole cell lysate at 20 µg

Lane 2:

ATG4B knockout HeLa whole cell lysate at 20 µg

Lane 3:

HepG2 (human hepatocellular carcinoma epithelial cell) whole cell lysate at 20 µg

Lane 4:

Jurkat (human T cell leukemia T lymphocyte from peripheral blood) whole cell lysate at 20 µg

Lane 5:

Ramos (human Burkitts lymphoma B lymphocyte) whole cell lysate at 20 µg

Secondary

All lanes:

Western blot - Goat Anti-Rabbit IgG H&L (HRP) (<a href='/en-us/products/secondary-antibodies/goat-rabbit-igg-h-l-hrp-ab97051'>ab97051</a>) at 1/20000 dilution

Observed band size: 44 kDa,36 kDa

false

Key facts

Host species

Rabbit

Clonality

Monoclonal

Clone number

EPR28756-91

Isotype

IgG

Carrier free

Yes

Reacts with

Human

Applications

IHC-P, WB

applications

Immunogen

The exact immunogen used to generate this antibody is proprietary information.

Reactivity data

{ "title": "Reactivity Data", "filters": { "stats": ["", "Species", "Dilution Info", "Notes"], "tabs": { "all-applications": {"fullname" : "All Applications", "shortname": "All Applications"}, "WB" : {"fullname" : "Western blot", "shortname":"WB"}, "IHCP" : {"fullname" : "Immunohistochemistry (Formalin/PFA-fixed paraffin-embedded sections)", "shortname":"IHC-P"}, "FlowCytIntra" : {"fullname" : "Flow Cytometry (Intracellular)", "shortname":"Flow Cyt (Intra)"}, "IP" : {"fullname" : "Immunoprecipitation", "shortname":"IP"}, "ICCIF" : {"fullname" : "Immunocytochemistry/ Immunofluorescence", "shortname":"ICC/IF"}, "IHCFr" : {"fullname" : "Immunohistochemistry (Frozen sections)", "shortname":"IHC-Fr"} }, "product-promise": { "all": "all", "testedAndGuaranteed": "tested", "guaranteed": "expected", "predicted": "predicted", "notRecommended": "not-recommended" } }, "values": { "Human": { "WB-species-checked": "testedAndGuaranteed", "WB-species-dilution-info": "", "WB-species-notes": "<p></p>", "IHCP-species-checked": "testedAndGuaranteed", "IHCP-species-dilution-info": "", "IHCP-species-notes": "<p></p>", "FlowCytIntra-species-checked": "notRecommended", "FlowCytIntra-species-dilution-info": "", "FlowCytIntra-species-notes": "<p></p>", "IP-species-checked": "notRecommended", "IP-species-dilution-info": "", "IP-species-notes": "<p></p>", "ICCIF-species-checked": "notRecommended", "ICCIF-species-dilution-info": "", "ICCIF-species-notes": "<p></p>", "IHCFr-species-checked": "notRecommended", "IHCFr-species-dilution-info": "", "IHCFr-species-notes": "" }, "Mouse": { "WB-species-checked": "notRecommended", "WB-species-dilution-info": "", "WB-species-notes": "<p></p>", "IHCP-species-checked": "notRecommended", "IHCP-species-dilution-info": "", "IHCP-species-notes": "<p></p>", "FlowCytIntra-species-checked": "notRecommended", "FlowCytIntra-species-dilution-info": "", "FlowCytIntra-species-notes": "", "IP-species-checked": "notRecommended", "IP-species-dilution-info": "", "IP-species-notes": "", "ICCIF-species-checked": "notRecommended", "ICCIF-species-dilution-info": "", "ICCIF-species-notes": "<p></p>", "IHCFr-species-checked": "notRecommended", "IHCFr-species-dilution-info": "", "IHCFr-species-notes": "<p></p>" }, "Rat": { "WB-species-checked": "notRecommended", "WB-species-dilution-info": "", "WB-species-notes": "<p></p>", "IHCP-species-checked": "notRecommended", "IHCP-species-dilution-info": "", "IHCP-species-notes": "<p></p>", "FlowCytIntra-species-checked": "notRecommended", "FlowCytIntra-species-dilution-info": "", "FlowCytIntra-species-notes": "", "IP-species-checked": "notRecommended", "IP-species-dilution-info": "", "IP-species-notes": "", "ICCIF-species-checked": "notRecommended", "ICCIF-species-dilution-info": "", "ICCIF-species-notes": "", "IHCFr-species-checked": "notRecommended", "IHCFr-species-dilution-info": "", "IHCFr-species-notes": "" } } }

Product details

ab317822 is the carrier-free version of ab317821.

Patented technology
Our RabMAb® technology is a patented hybridoma-based technology for making rabbit monoclonal antibodies. For details on our patents, please refer to RabMAb® patents.

What are the advantages of a recombinant monoclonal antibody?
This product is a recombinant monoclonal antibody, which offers several advantages including:

  • - High batch-to-batch consistency and reproducibility
  • - Improved sensitivity and specificity
  • - Long-term security of supply
  • - Animal-free batch production

For more information, read more on recombinant antibodies.

Conjugation ready
Our carrier-free antibodies are typically supplied in a PBS-only formulation, purified and free of BSA, sodium azide and glycerol. This conjugation-ready format is designed for use with fluorochromes, metal isotopes, oligonucleotides, and enzymes, which makes them ideal for antibody labelling, functional and cell-based assays, flow-based assays (e.g. mass cytometry) and Multiplex Imaging applications.

Use our conjugation kits for antibody conjugates that are ready-to-use in as little as 20 minutes with 1 minute hands-on-time and 100% antibody recovery: available for fluorescent dyes, HRP, biotin and gold.

Compatibility
This product is compatible with the Maxpar® Antibody Labeling Kit from Fluidigm, without the need for antibody preparation. Maxpar® is a trademark of Fluidigm Canada Inc.

Properties and storage information

Form
Liquid
Purification technique
Affinity purification Protein A
Storage buffer
pH: 7.2 - 7.4 Constituents: PBS
Shipped at conditions
Blue Ice
Appropriate short-term storage conditions
+4°C
Appropriate long-term storage conditions
+4°C

Supplementary information

This supplementary information is collated from multiple sources and compiled automatically.

ATG4B is a cysteine protease also known as autophagin-1 with a molecular mass of approximately 45 kDa. It is involved in the autophagy process by cleaving ATG8 family proteins. This protease facilitates the lipidation of LC3 an essential component of the autophagosome membrane. You find ATG4B expressed in various tissues especially in the brain liver and muscle where it plays important roles in cellular maintenance.
Biological function summary

ATG4B functions in the cellular autophagic machinery cleaving the C-terminal of ATG8 proteins. This processing is necessary for the conjugation to phosphatidylethanolamine and integration into autophagosomes. ATG4B is part of a larger autophagic complex that also includes other critical proteins like ATG7 and ATG3 helping prepare ATG8 proteins for autophagosome creation.

Pathways

ATG4B participates in the autophagy pathway by refining the cargo processing mechanism. It interacts with the mTOR signaling pathway which influences cell survival and growth based on nutrient availability. The ATG4B enzyme is closely related to ATG7 in the pathway as both contribute to the maturation of autophagosomes.

ATG4B has significant links to cancer and neurodegenerative disorders. In cancer ATG4B activity affects tumor survival since cancer cells exploit autophagy for growth under stress conditions. In neurodegenerative diseases like Alzheimer's alterations in ATG4B activity disrupt cellular homeostasis. This disruption connects to proteins like LC3 which are pivotal in neuron survival and function.

Product protocols

For this product, it's our understanding that no specific protocols are required. You can visit:

Target data

Cysteine protease that plays a key role in autophagy by mediating both proteolytic activation and delipidation of ATG8 family proteins (PubMed : 15169837, PubMed : 15187094, PubMed : 17347651, PubMed : 19322194, PubMed : 21177865, PubMed : 22302004, PubMed : 26378241, PubMed : 27527864, PubMed : 28633005, PubMed : 28821708, PubMed : 29232556, PubMed : 30076329, PubMed : 30443548, PubMed : 30661429). Required for canonical autophagy (macroautophagy), non-canonical autophagy as well as for mitophagy (PubMed : 33773106, PubMed : 33909989). The protease activity is required for proteolytic activation of ATG8 family proteins : cleaves the C-terminal amino acid of ATG8 proteins MAP1LC3A, MAP1LC3B, MAP1LC3C, GABARAPL1, GABARAPL2 and GABARAP, to reveal a C-terminal glycine (PubMed : 15169837, PubMed : 15187094, PubMed : 17347651, PubMed : 19322194, PubMed : 20818167, PubMed : 21177865, PubMed : 22302004, PubMed : 27527864, PubMed : 28287329, PubMed : 28633005, PubMed : 29458288, PubMed : 30661429). Exposure of the glycine at the C-terminus is essential for ATG8 proteins conjugation to phosphatidylethanolamine (PE) and insertion to membranes, which is necessary for autophagy (PubMed : 15169837, PubMed : 15187094, PubMed : 17347651, PubMed : 19322194, PubMed : 21177865, PubMed : 22302004). Protease activity is also required to counteract formation of high-molecular weight conjugates of ATG8 proteins (ATG8ylation) : acts as a deubiquitinating-like enzyme that removes ATG8 conjugated to other proteins, such as ATG3 (PubMed : 31315929, PubMed : 33773106). In addition to the protease activity, also mediates delipidation of ATG8 family proteins (PubMed : 15187094, PubMed : 19322194, PubMed : 28633005, PubMed : 29458288, PubMed : 32686895, PubMed : 33909989). Catalyzes delipidation of PE-conjugated forms of ATG8 proteins during macroautophagy (PubMed : 15187094, PubMed : 19322194, PubMed : 29458288, PubMed : 32686895, PubMed : 33909989). Also involved in non-canonical autophagy, a parallel pathway involving conjugation of ATG8 proteins to single membranes at endolysosomal compartments, by catalyzing delipidation of ATG8 proteins conjugated to phosphatidylserine (PS) (PubMed : 33909989). Compared to other members of the family (ATG4A, ATG4C or ATG4C), constitutes the major protein for proteolytic activation of ATG8 proteins, while it displays weaker delipidation activity than other ATG4 paralogs (PubMed : 29458288, PubMed : 30661429). Involved in phagophore growth during mitophagy independently of its protease activity and of ATG8 proteins : acts by regulating ATG9A trafficking to mitochondria and promoting phagophore-endoplasmic reticulum contacts during the lipid transfer phase of mitophagy (PubMed : 33773106).
See full target information ATG4B

Product promise

We are committed to supporting your work with high-quality reagents, and we're here for you every step of the way. In the unlikely event that one of our products does not perform as expected, you're protected by our Product Promise.
For full details, please see our Terms & Conditions

Please note: All products are 'FOR RESEARCH USE ONLY. NOT FOR USE IN DIAGNOSTIC OR THERAPEUTIC PROCEDURES'.

For licensing inquiries, please contact partnerships@abcam.com