JavaScript is disabled in your browser. Please enable JavaScript to view this website.
AB308052

Anti-ATG4B antibody [RP23040125]

Be the first to review this product! Submit a review

|

(0 Publication)

Rabbit Recombinant Multiclonal ATG4B antibody. Suitable for WB, ICC/IF and reacts with Human, Mouse, African green monkey, Dog samples. Immunogen corresponding to Recombinant Full Length Protein corresponding to Human ATG4B.

View Alternative Names

APG4B, AUTL1, KIAA0943, ATG4B, Cysteine protease ATG4B, AUT-like 1 cysteine endopeptidase, Autophagy-related cysteine endopeptidase 1, Autophagy-related protein 4 homolog B, Autophagin-1, HsAPG4B, hAPG4B

3 Images
Immunocytochemistry/ Immunofluorescence - Anti-ATG4B antibody [RP23040125] (AB308052)
  • ICC/IF

Supplier Data

Immunocytochemistry/ Immunofluorescence - Anti-ATG4B antibody [RP23040125] (AB308052)

For immunofluorescence analysis, 70% confluent log phase Rapamycin treated HeLa cells (treated with 100nM of Rapamycin A for 4 hours) were fixed with 4% paraformaldehyde for 15 minutes, permeabilized with 0.25% Triton X-100 for 10 minutes, and blocked with 5% BSA for 1 hour at room temperature for detection of ATG14 using ab308052 at 2 µg/mL in 1% BSA and incubated for 3 hours at room temperature and then labeled with Alexa Fluor® 488 Goat anti-Rabbit IgG Secondary Antibody at a dilution of 1/400 for 30 minutes at room temperature (Panel a : green). Nuclei (Panel b : blue) were stained with DAPI F-actin (Panel c : red) was stained with Alexa Fluor® 594 Phalloidin Panel d is a merged image showing nuclear localization Panel e shows untreated HeLa cells Panel f shows no primary antibody control The images were captured at 20X magnification

Western blot - Anti-ATG4B antibody [RP23040125] (AB308052)
  • WB

Supplier Data

Western blot - Anti-ATG4B antibody [RP23040125] (AB308052)

Western blot analysis of ATG4B was performed by loading 30 µg of HeLa (lane 1), HEK 293 (lane 2), Jurkat (lane 3), HCT 116 (lane 4), COS 7 (lane 5), MDCK (lane 6) and HepG2 (lane 7) cell lysates using a 4-12 % Bis-Tris gel electrophoresis system and pre-stained protein standard. Proteins were transferred to a nitrocellulose membrane and blocked with 5 % skim milk for 1 hour at room temperature on a rocking platform. ATG4B was detected at ~44 kDa using ab308052 at 1-2 µg/mL in 5 % skim milk at 4°C overnight on a rocking platform. Goat anti-Rabbit IgG - HRP Secondary Antibody at 1 : 5000 dilution was used and chemiluminescent detection was performed (ECL).

All lanes:

Western blot - Anti-ATG4B antibody [RP23040125] (ab308052) at 1 µg/mL

Lane 1:

HeLa cell lysate at 30 µg

Lane 2:

HEK 293 cell lysate at 30 µg

Lane 3:

Jurkat cell lysate at 30 µg

Lane 4:

HCT-116 cell lysate at 30 µg

Lane 5:

Cos 7 cell lysate at 30 µg

Lane 6:

MDCK cell lysate at 30 µg

Lane 7:

HepG2 cell lysate at 30 µg

Secondary

All lanes:

HRP-conjugated Goat anti-Rabbit IgG Secondary Antibody at 1/5000 dilution

Observed band size: 44 kDa

true

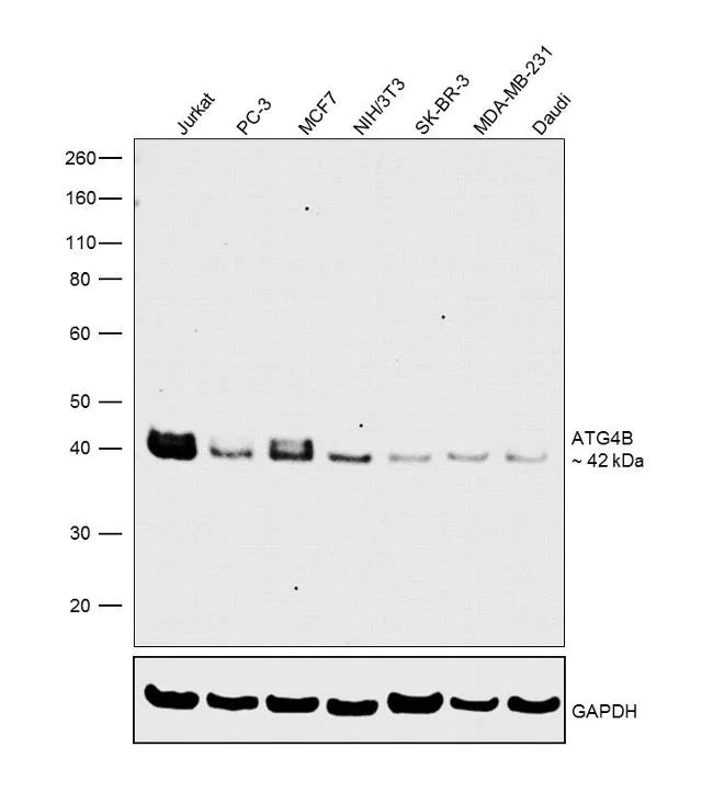
Western blot - Anti-ATG4B antibody [RP23040125] (AB308052)
  • WB

Supplier Data

Western blot - Anti-ATG4B antibody [RP23040125] (AB308052)

Western blot was performed using ab308052 at 1 µg/mL and a 42 kDa band corresponding to ATG4B was observed across all the cell lines tested. Whole cell extracts (30 µg lysate) of Jurkat (Lane 1), PC-3 (Lane 2), MCF7 (Lane 3), NIH/3T3 (Lane 4), SK-BR-3 (Lane 5), MDA-MB-231 (Lane 6) and Daudi (Lane 7) were electrophoresed 4-12% Bis-Tris Protein Gel. Resolved proteins were then transferred onto a nitrocellulose membrane. The blot was probed with ab308052 and detected by chemiluminescence with a HRP-conjugated Goat anti-Rabbit IgG (H+L) Recombinant Secondary Antibody at 1 : 4000 dilution. Chemiluminescent detection was performed (ECL).

All lanes:

Western blot - Anti-ATG4B antibody [RP23040125] (ab308052) at 1 µg/mL

Lane 1:

Jurkat cells whole cell extract at 30 µg

Lane 2:

PC-3 whole cell extract at 30 µg

Lane 3:

MCF7 whole cell extract at 30 µg

Lane 4:

NIH/3T3 whole cell extract at 30 µg

Lane 5:

SK-BR-3 whole cell extract at 30 µg

Lane 6:

MDA-MB-231 whole cell extracts at 30 µg

Lane 7:

Daudi whole cell extract at 30 µg

Secondary

All lanes:

HRP-conjugated Goat anti-Rabbit IgG (H+L) Recombinant Secondary Antibody at 1/4000 dilution

Observed band size: 42 kDa

true

Key facts

Host species

Rabbit

Clonality

Multiclonal

Clone number

RP23040125

Isotype

IgG

Carrier free

No

Reacts with

Human, African green monkey, Mouse, Dog

Applications

WB, ICC/IF

applications

Immunogen

Recombinant Full Length Protein corresponding to Human ATG4B.

Q9Y4P1

Reactivity data

{ "title": "Reactivity Data", "filters": { "stats": ["", "Species", "Dilution Info", "Notes"], "tabs": { "all-applications": {"fullname" : "All Applications", "shortname": "All Applications"}, "WB" : {"fullname" : "Western blot", "shortname":"WB"}, "ICCIF" : {"fullname" : "Immunocytochemistry/ Immunofluorescence", "shortname":"ICC/IF"} }, "product-promise": { "all": "all", "testedAndGuaranteed": "tested", "guaranteed": "expected", "predicted": "predicted", "notRecommended": "not-recommended" } }, "values": { "Human": { "WB-species-checked": "testedAndGuaranteed", "WB-species-dilution-info": "1-2 µg/mL", "WB-species-notes": "<p></p>", "ICCIF-species-checked": "testedAndGuaranteed", "ICCIF-species-dilution-info": "2 µg/mL", "ICCIF-species-notes": "<p></p>" }, "Mouse": { "WB-species-checked": "testedAndGuaranteed", "WB-species-dilution-info": "1-2 µg/mL", "WB-species-notes": "<p></p>", "ICCIF-species-checked": "guaranteed", "ICCIF-species-dilution-info": "", "ICCIF-species-notes": "" }, "African green monkey": { "WB-species-checked": "testedAndGuaranteed", "WB-species-dilution-info": "1-2 µg/mL", "WB-species-notes": "<p></p>", "ICCIF-species-checked": "guaranteed", "ICCIF-species-dilution-info": "", "ICCIF-species-notes": "" }, "Dog": { "WB-species-checked": "testedAndGuaranteed", "WB-species-dilution-info": "1-2 µg/mL", "WB-species-notes": "<p></p>", "ICCIF-species-checked": "guaranteed", "ICCIF-species-dilution-info": "", "ICCIF-species-notes": "" } } }

Product details

What are recombinant multiclonals?
Recombinant multiclonals are a mixture of recombinant antibodies co-expressed from a library of heavy and light chains. They offer several advantages including:

  • - The sensitivity of polyclonal antibodies by recognising multiple epitopes
  • - High batch-to-batch consistency and reproducibility
  • - Improved sensitivity and specificity
  • - Long-term security of supply
  • - Animal-free batch production

View our range of recombinant multiclonal antibodies.

Properties and storage information

Form
Liquid
Storage buffer
Preservative: 0.09% Sodium azide Constituents: PBS
Shipped at conditions
Blue Ice
Appropriate short-term storage duration
1-2 weeks
Appropriate short-term storage conditions
+4°C
Appropriate long-term storage conditions
-20°C
Aliquoting information
Upon delivery aliquot
Storage information
Avoid freeze / thaw cycle

Supplementary information

This supplementary information is collated from multiple sources and compiled automatically.

ATG4B is a cysteine protease also known as autophagin-1 with a molecular mass of approximately 45 kDa. It is involved in the autophagy process by cleaving ATG8 family proteins. This protease facilitates the lipidation of LC3 an essential component of the autophagosome membrane. You find ATG4B expressed in various tissues especially in the brain liver and muscle where it plays important roles in cellular maintenance.
Biological function summary

ATG4B functions in the cellular autophagic machinery cleaving the C-terminal of ATG8 proteins. This processing is necessary for the conjugation to phosphatidylethanolamine and integration into autophagosomes. ATG4B is part of a larger autophagic complex that also includes other critical proteins like ATG7 and ATG3 helping prepare ATG8 proteins for autophagosome creation.

Pathways

ATG4B participates in the autophagy pathway by refining the cargo processing mechanism. It interacts with the mTOR signaling pathway which influences cell survival and growth based on nutrient availability. The ATG4B enzyme is closely related to ATG7 in the pathway as both contribute to the maturation of autophagosomes.

ATG4B has significant links to cancer and neurodegenerative disorders. In cancer ATG4B activity affects tumor survival since cancer cells exploit autophagy for growth under stress conditions. In neurodegenerative diseases like Alzheimer's alterations in ATG4B activity disrupt cellular homeostasis. This disruption connects to proteins like LC3 which are pivotal in neuron survival and function.

Product protocols

For this product, it's our understanding that no specific protocols are required. You can visit:

Target data

Cysteine protease that plays a key role in autophagy by mediating both proteolytic activation and delipidation of ATG8 family proteins (PubMed : 15169837, PubMed : 15187094, PubMed : 17347651, PubMed : 19322194, PubMed : 21177865, PubMed : 22302004, PubMed : 26378241, PubMed : 27527864, PubMed : 28633005, PubMed : 28821708, PubMed : 29232556, PubMed : 30076329, PubMed : 30443548, PubMed : 30661429). Required for canonical autophagy (macroautophagy), non-canonical autophagy as well as for mitophagy (PubMed : 33773106, PubMed : 33909989). The protease activity is required for proteolytic activation of ATG8 family proteins : cleaves the C-terminal amino acid of ATG8 proteins MAP1LC3A, MAP1LC3B, MAP1LC3C, GABARAPL1, GABARAPL2 and GABARAP, to reveal a C-terminal glycine (PubMed : 15169837, PubMed : 15187094, PubMed : 17347651, PubMed : 19322194, PubMed : 20818167, PubMed : 21177865, PubMed : 22302004, PubMed : 27527864, PubMed : 28287329, PubMed : 28633005, PubMed : 29458288, PubMed : 30661429). Exposure of the glycine at the C-terminus is essential for ATG8 proteins conjugation to phosphatidylethanolamine (PE) and insertion to membranes, which is necessary for autophagy (PubMed : 15169837, PubMed : 15187094, PubMed : 17347651, PubMed : 19322194, PubMed : 21177865, PubMed : 22302004). Protease activity is also required to counteract formation of high-molecular weight conjugates of ATG8 proteins (ATG8ylation) : acts as a deubiquitinating-like enzyme that removes ATG8 conjugated to other proteins, such as ATG3 (PubMed : 31315929, PubMed : 33773106). In addition to the protease activity, also mediates delipidation of ATG8 family proteins (PubMed : 15187094, PubMed : 19322194, PubMed : 28633005, PubMed : 29458288, PubMed : 32686895, PubMed : 33909989). Catalyzes delipidation of PE-conjugated forms of ATG8 proteins during macroautophagy (PubMed : 15187094, PubMed : 19322194, PubMed : 29458288, PubMed : 32686895, PubMed : 33909989). Also involved in non-canonical autophagy, a parallel pathway involving conjugation of ATG8 proteins to single membranes at endolysosomal compartments, by catalyzing delipidation of ATG8 proteins conjugated to phosphatidylserine (PS) (PubMed : 33909989). Compared to other members of the family (ATG4A, ATG4C or ATG4C), constitutes the major protein for proteolytic activation of ATG8 proteins, while it displays weaker delipidation activity than other ATG4 paralogs (PubMed : 29458288, PubMed : 30661429). Involved in phagophore growth during mitophagy independently of its protease activity and of ATG8 proteins : acts by regulating ATG9A trafficking to mitochondria and promoting phagophore-endoplasmic reticulum contacts during the lipid transfer phase of mitophagy (PubMed : 33773106).
See full target information ATG4B

Product promise

We are committed to supporting your work with high-quality reagents, and we're here for you every step of the way. In the unlikely event that one of our products does not perform as expected, you're protected by our Product Promise.
For full details, please see our Terms & Conditions

Please note: All products are 'FOR RESEARCH USE ONLY. NOT FOR USE IN DIAGNOSTIC OR THERAPEUTIC PROCEDURES'.

For licensing inquiries, please contact partnerships@abcam.com