JavaScript is disabled in your browser. Please enable JavaScript to view this website.
AB237751

Anti-ATG4D antibody

Be the first to review this product! Submit a review

|

(4 Publications)

Rabbit Polyclonal ATG4D antibody. Suitable for IHC-P, WB, ICC/IF and reacts with Human, Mouse samples. Cited in 4 publications. Immunogen corresponding to Recombinant Fragment Protein within Human ATG4D aa 1-50.

View Alternative Names

APG4D, AUTL4, ATG4D, Cysteine protease ATG4D, AUT-like 4 cysteine endopeptidase, Autophagy-related cysteine endopeptidase 4, Autophagy-related protein 4 homolog D, Autophagin-4, HsAPG4D

4 Images
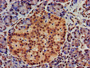
Immunohistochemistry (Formalin/PFA-fixed paraffin-embedded sections) - Anti-ATG4D antibody (AB237751)
  • IHC-P

Supplier Data

Immunohistochemistry (Formalin/PFA-fixed paraffin-embedded sections) - Anti-ATG4D antibody (AB237751)

Paraffin-embedded human pancreatic tissue stained for ATG4D using ab237751 at 1/700 dilution in immunohistochemical analysis.

After dewaxing and hydration, antigen retrieval was mediated by high pressure in a citrate buffer (pH 6.0). Section was blocked with 10% normal goat serum 30 minutes at RT. Then primary antibody (1% BSA) was incubated at 4°C overnight. The primary is detected by a biotinylated secondary antibody and visualized tissue using an HRP conjugated SP system.

Immunocytochemistry/ Immunofluorescence - Anti-ATG4D antibody (AB237751)
  • ICC/IF

Supplier Data

Immunocytochemistry/ Immunofluorescence - Anti-ATG4D antibody (AB237751)

PC-3 (Human prostate adenocarcinoma cell line) cells stained for ATG4D (green) using ab237751 at 1/100 dilution in ICC/IF, followed by an Alexa-Fluor®488 conjugated Goat Anti-Rabbit IgG (H+L).

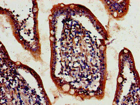
Immunohistochemistry (Formalin/PFA-fixed paraffin-embedded sections) - Anti-ATG4D antibody (AB237751)
  • IHC-P

Supplier Data

Immunohistochemistry (Formalin/PFA-fixed paraffin-embedded sections) - Anti-ATG4D antibody (AB237751)

Paraffin-embedded human small intestine tissue stained for ATG4D using ab237751 at 1/700 dilution in immunohistochemical analysis.

After dewaxing and hydration, antigen retrieval was mediated by high pressure in a citrate buffer (pH 6.0). Section was blocked with 10% normal goat serum 30 minutes at RT. Then primary antibody (1% BSA) was incubated at 4°C overnight. The primary is detected by a biotinylated secondary antibody and visualized tissue using an HRP conjugated SP system.

Western blot - Anti-ATG4D antibody (AB237751)
  • WB

Supplier Data

Western blot - Anti-ATG4D antibody (AB237751)

All lanes:

Western blot - Anti-ATG4D antibody (ab237751) at 1/500 dilution

Lane 1:

A549 (Human lung carcinoma cell line) whole cell lysate

Lane 2:

HeLa (Human epithelial cell line from cervix adenocarcinoma) whole cell lysate

Lane 3:

SH-SY5Y (Human neuroblastoma cell line from bone marrow) whole cell lysate

Lane 4:

Mouse heart tissue lysate

Secondary

All lanes:

Goat polyclonal to rabbit IgG at 1/50000 dilution

Predicted band size: 53 kDa

false

Key facts

Host species

Rabbit

Clonality

Polyclonal

Isotype

IgG

Carrier free

No

Reacts with

Mouse, Human

Applications

IHC-P, WB, ICC/IF

applications

Immunogen

Recombinant Fragment Protein within Human ATG4D aa 1-50. The exact immunogen used to generate this antibody is proprietary information.

Q86TL0

Reactivity data

{ "title": "Reactivity Data", "filters": { "stats": ["", "Species", "Dilution Info", "Notes"], "tabs": { "all-applications": {"fullname" : "All Applications", "shortname": "All Applications"}, "IHCP" : {"fullname" : "Immunohistochemistry (Formalin/PFA-fixed paraffin-embedded sections)", "shortname":"IHC-P"}, "WB" : {"fullname" : "Western blot", "shortname":"WB"}, "ICCIF" : {"fullname" : "Immunocytochemistry/ Immunofluorescence", "shortname":"ICC/IF"} }, "product-promise": { "all": "all", "testedAndGuaranteed": "tested", "guaranteed": "expected", "predicted": "predicted", "notRecommended": "not-recommended" } }, "values": { "Human": { "IHCP-species-checked": "testedAndGuaranteed", "IHCP-species-dilution-info": "1/500 - 1/1000", "IHCP-species-notes": "<p></p> Perform heat-mediated antigen retrieval with citrate buffer pH 6 before commencing with IHC staining protocol.", "WB-species-checked": "testedAndGuaranteed", "WB-species-dilution-info": "1/500 - 1/5000", "WB-species-notes": "<p></p>", "ICCIF-species-checked": "testedAndGuaranteed", "ICCIF-species-dilution-info": "1/50 - 1/500", "ICCIF-species-notes": "<p></p>" }, "Mouse": { "IHCP-species-checked": "guaranteed", "IHCP-species-dilution-info": "", "IHCP-species-notes": "", "WB-species-checked": "testedAndGuaranteed", "WB-species-dilution-info": "1/500 - 1/5000", "WB-species-notes": "<p></p>", "ICCIF-species-checked": "guaranteed", "ICCIF-species-dilution-info": "", "ICCIF-species-notes": "" } } }

Properties and storage information

Form
Liquid
Purification technique
Affinity purification Protein G
Purification notes
Purity greater than 95%.
Storage buffer
pH: 7.4 Preservative: 0.03% Proclin 300 Constituents: PBS, 50% Glycerol (glycerin, glycerine)
Shipped at conditions
Blue Ice
Appropriate short-term storage duration
1-2 weeks
Appropriate short-term storage conditions
+4°C
Appropriate long-term storage conditions
-20°C
Aliquoting information
Upon delivery aliquot
Storage information
Avoid freeze / thaw cycle

Supplementary information

This supplementary information is collated from multiple sources and compiled automatically.

ATG4D also known as Autophagin-4 is a protein that plays a mechanical role in the autophagy process. It is an integral cysteine protease with a molecular mass of around 50 kDa. This protein is expressed across various tissues prominently in skeletal and cardiac muscle as well as in the nervous system. Its mechanical function involves the cleavage of LC3 proteins and other ATG8 family members which are essential steps for autophagosome maturation and function.
Biological function summary

The action of ATG4D facilitates the cellular autophagy process. It is not part of a larger protein complex but functions independently to regulate the recycling of cytoplasmic components. By ensuring the proper processing of LC3 ATG4D supports the degradation of damaged organelles and proteins maintaining cellular homeostasis. The protein’s involvement in pathways promotes cellular survival during stress conditions such as nutrient deprivation.

Pathways

ATG4D primarily participates in the autophagy and mitophagy pathways. It is closely related to proteins such as ATG3 and ATG7 which coordinate to ensure the efficient conjugation and lipidation of ATG8 family members. In the mitophagy pathway it contributes to the selective degradation of mitochondria stabilizing mitochondrial quality control which is important for energy balance in cells.

ATG4D has connections to neurodegenerative diseases and cancer. Abnormal autophagy processes where ATG4D functions can contribute to conditions such as Parkinson's disease where defective mitophagy leads to neuronal cell death. In cancer the regulation of autophagy by ATG4D can influence tumor development and progression. Proteins such as p62/SQSTM1 linked to autophagy and parkin linked to mitophagy further demonstrate the role of ATG4D in these diseases indicating its importance in pathological conditions.

Product protocols

For this product, it's our understanding that no specific protocols are required. You can visit:

Target data

Cysteine protease ATG4D. Cysteine protease that plays a key role in autophagy by mediating both proteolytic activation and delipidation of ATG8 family proteins (PubMed : 21177865, PubMed : 29458288, PubMed : 30661429). The protease activity is required for proteolytic activation of ATG8 family proteins : cleaves the C-terminal amino acid of ATG8 proteins MAP1LC3 and GABARAPL2, to reveal a C-terminal glycine (PubMed : 21177865). Exposure of the glycine at the C-terminus is essential for ATG8 proteins conjugation to phosphatidylethanolamine (PE) and insertion to membranes, which is necessary for autophagy (By similarity). In addition to the protease activity, also mediates delipidation of ATG8 family proteins (PubMed : 29458288, PubMed : 33909989). Catalyzes delipidation of PE-conjugated forms of ATG8 proteins during macroautophagy (PubMed : 29458288, PubMed : 33909989). Also involved in non-canonical autophagy, a parallel pathway involving conjugation of ATG8 proteins to single membranes at endolysosomal compartments, by catalyzing delipidation of ATG8 proteins conjugated to phosphatidylserine (PS) (PubMed : 33909989). ATG4D plays a role in the autophagy-mediated neuronal homeostasis in the central nervous system (By similarity). Compared to other members of the family (ATG4A, ATG4B or ATG4C), constitutes the major protein for the delipidation activity, while it promotes weak proteolytic activation of ATG8 proteins (By similarity). Involved in phagophore growth during mitophagy independently of its protease activity and of ATG8 proteins : acts by regulating ATG9A trafficking to mitochondria and promoting phagophore-endoplasmic reticulum contacts during the lipid transfer phase of mitophagy (PubMed : 33773106).. Cysteine protease ATG4D, mitochondrial. Plays a role as an autophagy regulator that links mitochondrial dysfunction with apoptosis. The mitochondrial import of ATG4D during cellular stress and differentiation may play important roles in the regulation of mitochondrial physiology, ROS, mitophagy and cell viability.
See full target information ATG4D

Publications (4)

Recent publications for all applications. Explore the full list and refine your search

BMC geriatrics 25:645 PubMed40836274

2025

AIMP1 exerts hearing protection role in age related hearing loss mice by regulating SIRT1 expression.

Applications

Unspecified application

Species

Unspecified reactive species

Haisen Peng,Jiali Liu,Yuehui Liu,Chunhua Li,Zhilin Zhang,Shuihua Hu,Wen Xie

Cell communication and signaling : CCS 23:319 PubMed40598224

2025

A novel mechanism of sperm midpiece epididymal maturation and the role of CCDC112 in sperm midpiece formation and establishing an optimal flagella waveform.

Applications

Unspecified application

Species

Unspecified reactive species

Maddison L Graffeo,Joseph Nguyen,Farin Yazdan Parast,Jessica E M Dunleavy,Denis Korneev,Hongyi Yang,Hidenobu Okuda,Anne E O'Connor,Donald F Conrad,Reza Nosrati,Brendan J Houston,Moira K O'Bryan

Eye and vision (London, England) 11:3 PubMed38167306

2024

Inhibition of miR-542-3p augments autophagy to promote diabetic corneal wound healing.

Applications

Unspecified application

Species

Unspecified reactive species

Danling Liao,Shijia Wei,Jianzhang Hu

Science advances 8:eabo0412 PubMed35921421

2022

Deacetylation of ATG4B promotes autophagy initiation under starvation.

Applications

Unspecified application

Species

Unspecified reactive species

Liangbo Sun,Haojun Xiong,Lingxi Chen,Xufang Dai,Xiaojing Yan,Yaran Wu,Mingzhen Yang,Meihua Shan,Tao Li,Jie Yao,Wenbin Jiang,Haiyan He,Fengtian He,Jiqin Lian
View all publications

Product promise

We are committed to supporting your work with high-quality reagents, and we're here for you every step of the way. In the unlikely event that one of our products does not perform as expected, you're protected by our Product Promise.
For full details, please see our Terms & Conditions

Please note: All products are 'FOR RESEARCH USE ONLY. NOT FOR USE IN DIAGNOSTIC OR THERAPEUTIC PROCEDURES'.

For licensing inquiries, please contact partnerships@abcam.com