JavaScript is disabled in your browser. Please enable JavaScript to view this website.
AB227564

Anti-ATG7 antibody [EP1759Y] - BSA and Azide free

Be the first to review this product! Submit a review

|

(9 Publications)

Rabbit Recombinant Monoclonal ATG7 antibody. Carrier free. Suitable for IP, WB, ICC/IF, Flow Cyt (Intra), IHC-P and reacts with Human samples. Cited in 9 publications.

View Alternative Names

APG7L, ATG7, Ubiquitin-like modifier-activating enzyme ATG7, ATG12-activating enzyme E1 ATG7, Autophagy-related protein 7, Ubiquitin-activating enzyme E1-like protein, APG7-like, hAGP7

8 Images
Flow Cytometry (Intracellular) - Anti-ATG7 antibody [EP1759Y] - BSA and Azide free (AB227564)
  • Flow Cyt (Intra)

Unknown

Flow Cytometry (Intracellular) - Anti-ATG7 antibody [EP1759Y] - BSA and Azide free (AB227564)

Overlay histogram showing HEK293 cells stained with unpurified ab52472 (red line). The cells were fixed with 4% paraformaldehyde (10 min) and then permeabilized with 0.1% PBS-Tween for 20 min. The cells were then incubated in 1x PBS / 10% normal goat serum / 0.3M glycine to block non-specific protein-protein interactions followed by the antibody (ab52472, 1/50 dilution) for 30 min at 22°C. The secondary antibody used was DyLight® 488 goat anti-rabbit IgG (H+L) (ab96899) at 1/500 dilution for 30 min at 22°C. Isotype control antibody (black line) was rabbit IgG (monoclonal) (1μg/1x106 cells) used under the same conditions. Acquisition of >5,000 events was performed. This antibody gave a positive signal in HEK293 cells fixed with 100% methanol (5 min)/permeabilized in 0.1% PBS-Tween used under the same conditions.

This data was developed using the same antibody clone in a different buffer formulation containing PBS, BSA, glycerol, and sodium azide (ab52472).

Immunocytochemistry/ Immunofluorescence - Anti-ATG7 antibody [EP1759Y] - BSA and Azide free (AB227564)
  • ICC/IF

Unknown

Immunocytochemistry/ Immunofluorescence - Anti-ATG7 antibody [EP1759Y] - BSA and Azide free (AB227564)

Immunocytochemistry/Immunofluorescence analysis of HeLa cells labelling ATG7 with purified ab52472 at 1/100. Cells were fixed with 4% Paraformaldehyde and permeabilised with 0.1% Triton X-100. ab150077, Alexa Fluor® 488-conjugated goat anti-rabbit IgG (1/1000) was used as the secondary antibody. Cells were counter-stained with ab7291 anti-Tubulin (mouse mAb) followed by ab150120, AlexaFluor®594 goat anti-mouse secondary both at 1/1000. Nuclei were counterstained with DAPI (blue).

For negative control 1, rabbit primary antibody was used followed by anti-mouse secondary antibody (ab150120). For negative control 2, ab7291 (mouse primary antibody) was used followed by anti-rabbit secondary antibody (ab150077).

This data was developed using the same antibody clone in a different buffer formulation containing PBS, BSA, glycerol, and sodium azide (ab52472).

Flow Cytometry (Intracellular) - Anti-ATG7 antibody [EP1759Y] - BSA and Azide free (AB227564)
  • Flow Cyt (Intra)

Unknown

Flow Cytometry (Intracellular) - Anti-ATG7 antibody [EP1759Y] - BSA and Azide free (AB227564)

Intracellular Flow Cytometry analysis of HeLa cells labelling ATG7 (red) with purified ab52472 at dilution of 1/100. The secondary antibody used was goat anti rabbit IgG (FITC) at 1/500. Cells were fixed with 4% paraformaldehyde. Isotype control antibody was Rabbit monoclonal IgG (black). The blue line shows cells without incubation with primary antibody and secondary antibody.

This data was developed using the same antibody clone in a different buffer formulation containing PBS, BSA, glycerol, and sodium azide (ab52472).

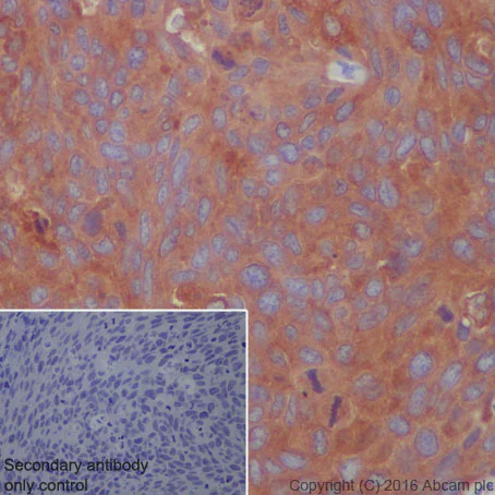
Immunohistochemistry (Formalin/PFA-fixed paraffin-embedded sections) - Anti-ATG7 antibody [EP1759Y] - BSA and Azide free (AB227564)
  • IHC-P

Unknown

Immunohistochemistry (Formalin/PFA-fixed paraffin-embedded sections) - Anti-ATG7 antibody [EP1759Y] - BSA and Azide free (AB227564)

This IHC data was generated using the same anti-ATG7 antibody clone, EP1759Y, in a different buffer formulation (cat# ab52472.

Immunohistochemical analysis of paraffin-embedded human cervical carcinoma sections labelling Apg7 with purified ab52472 at a dilution of 1/500. The secondary antibody used was ab97051, Goat Anti-Rabbit IgG H&L (HRP) at a dilution of 1/500. The sample was counterstained with hematoxylin. Antigen retrieval was performed using EDTA Buffer; pH 9.0. PBS was used instead of the primary antibody as the negative control and is shown in the inset.

Immunocytochemistry/ Immunofluorescence - Anti-ATG7 antibody [EP1759Y] - BSA and Azide free (AB227564)
  • ICC/IF

Unknown

Immunocytochemistry/ Immunofluorescence - Anti-ATG7 antibody [EP1759Y] - BSA and Azide free (AB227564)

Immunocytochemistry/Immunofluorescence analysis of HT-29 (human colorectal adenocarcinoma) cells labelling ATG7 with purified ab52472 at 1/500. Cells were fixed with 100% methanol. An Alexa Fluor® 488-conjugated goat anti-rabbit IgG (ab150077) at 1/1000 dilution was used as the secondary antibody. Nuclei couterstained with DAPI (blue).

Secondary Only Control : PBS was used instead of the primary antibody as the negative control.

This data was developed using the same antibody clone in a different buffer formulation containing PBS, BSA, glycerol, and sodium azide (ab52472).

Immunoprecipitation - Anti-ATG7 antibody [EP1759Y] - BSA and Azide free (AB227564)
  • IP

Unknown

Immunoprecipitation - Anti-ATG7 antibody [EP1759Y] - BSA and Azide free (AB227564)

ab52472 at 1/30 dilution immunoprecipitating ATG7 in HEK293 whole cell lysate observed at 70 KDa (lanes 1 and 2).

Lane 1 (input) : HEK293 whole cell lysate 10ug

Lane 2 (+) : ab52472 + HEK293 whole cell lysate

Lane 3 (-) : Rabbit monoclonal IgG (ab172730) instead of ab52472 in HEK293 whole cell lysate

For western blotting, ab52472 was used followed by VeriBlot for IP Detection Reagent (HRP) (ab131366) for detection at 1/10,000 dilution .

Blocking and Diluting buffer and concentration : 5% NFDM/TBST.

This data was developed using the same antibody clone in a different buffer formulation containing PBS, BSA, glycerol, and sodium azide (ab52472).

All lanes:

Immunoprecipitation - Anti-ATG7 antibody [EP1759Y] (<a href='/en-us/products/primary-antibodies/atg7-antibody-ep1759y-ab52472'>ab52472</a>)

Predicted band size: 49 kDa,77 kDa

false

Western blot - Anti-ATG7 antibody [EP1759Y] - BSA and Azide free (AB227564)
  • WB

Lab

Western blot - Anti-ATG7 antibody [EP1759Y] - BSA and Azide free (AB227564)

False colour image of Western blot : Anti-ATG7 antibody [EP1759Y] staining at 1/100000 dilution, shown in green; Mouse anti-GAPDH antibody [6C5] (ab8245) loading control staining at 1/20000 dilution, shown in red. In Western blot, ab52472 was shown to bind specifically to ATG7. A band was observed at 75 kDa in wild-type HeLa cell lysates with no signal observed at this size in ATG7 knockout cell line ab283307 (knockout cell lysate ab287353). To generate this image, wild-type and ATG7 knockout HeLa cell lysates were analysed. First, samples were run on an SDS-PAGE gel then transferred onto a nitrocellulose membrane. Membranes were blocked in 3 % milk in TBS-0.1 % Tween® 20 (TBS-T) before incubation with primary antibodies overnight at 4 °C. Blots were washed four times in TBS-T, incubated with secondary antibodies for 1 h at room temperature, washed again four times then imaged. Secondary antibodies used were Goat anti-Rabbit IgG H&L (IRDye® 800CW) preabsorbed (ab216773) and Goat anti-Mouse IgG H&L (IRDye® 680RD) preabsorbed (ab216776) at 1/20000 dilution.

All lanes:

Western blot - Anti-ATG7 antibody [EP1759Y] (<a href='/en-us/products/primary-antibodies/atg7-antibody-ep1759y-ab52472'>ab52472</a>) at 1/100000 dilution

Lane 1:

Wild-type HeLa cell lysate at 20 µg

Lane 2:

ATG7 knockout HeLa cell lysate at 20 µg

Lane 2:

Western blot - Human ATG7 knockout HeLa cell line (<a href='/en-us/products/cell-lines/human-atg7-knockout-hela-cell-line-ab283307'>ab283307</a>)

Lane 3:

HepG2 cell lysate at 20 µg

Lane 4:

Jurkat cell lysate at 20 µg

Predicted band size: 77 kDa

Observed band size: 75 kDa

false

Western blot - Anti-ATG7 antibody [EP1759Y] - BSA and Azide free (AB227564)
  • WB

Unknown

Western blot - Anti-ATG7 antibody [EP1759Y] - BSA and Azide free (AB227564)

This WB data was generated using the same anti-ATG7 antibody clone, EP1759Y, in a different buffer formulation (cat# ab52472).

Lane 1 : Wild-type HAP1 cell lysate (20 μg)
Lane 2 : Apg7 knockout HAP1 cell lysate (20 μg)
Lane 3 : Jurkat cell lysate (20 μg)
Lane 4 : HepG2 cell lysate (20 μg)

Lanes 1 - 4 : Merged signal (red and green). Green - ab52472 observed at 77 kDa. Red - loading control, ab8245, observed at 37 kDa.
ab52472 was shown to specifically react with Apg7 when Apg7 knockout samples were used. Wild-type and ProteinX knockout samples were subjected to SDS-PAGE. ab52472 and ab8245 (loading control to Apg7) were both diluted 1/2000 and incubated overnight at 4°C. Blots were developed with Goat anti-Rabbit IgG H&L (IRDye® 800CW) preadsorbed (ab216773) and Goat anti-Mouse IgG H&L (IRDye® 680RD) preadsorbed (ab216776) secondary antibodies at 1/10000 dilution for 1 h at room temperature before imaging.

All lanes:

Western blot - Anti-ATG7 antibody [EP1759Y] (<a href='/en-us/products/primary-antibodies/atg7-antibody-ep1759y-ab52472'>ab52472</a>)

Predicted band size: 77 kDa

false

Key facts

Host species

Rabbit

Clonality

Monoclonal

Clone number

EP1759Y

Isotype

IgG

Carrier free

Yes

Reacts with

Human

Applications

WB, IP, Flow Cyt (Intra), IHC-P, ICC/IF

applications

Immunogen

The exact immunogen used to generate this antibody is proprietary information.

Reactivity data

{ "title": "Reactivity Data", "filters": { "stats": ["", "Species", "Dilution Info", "Notes"], "tabs": { "all-applications": {"fullname" : "All Applications", "shortname": "All Applications"}, "IP" : {"fullname" : "Immunoprecipitation", "shortname":"IP"}, "WB" : {"fullname" : "Western blot", "shortname":"WB"}, "ICCIF" : {"fullname" : "Immunocytochemistry/ Immunofluorescence", "shortname":"ICC/IF"}, "FlowCytIntra" : {"fullname" : "Flow Cytometry (Intracellular)", "shortname":"Flow Cyt (Intra)"}, "IHCP" : {"fullname" : "Immunohistochemistry (Formalin/PFA-fixed paraffin-embedded sections)", "shortname":"IHC-P"} }, "product-promise": { "all": "all", "testedAndGuaranteed": "tested", "guaranteed": "expected", "predicted": "predicted", "notRecommended": "not-recommended" } }, "values": { "Human": { "IP-species-checked": "testedAndGuaranteed", "IP-species-dilution-info": "", "IP-species-notes": "<p></p>", "WB-species-checked": "testedAndGuaranteed", "WB-species-dilution-info": "1/100000 - 1/200000", "WB-species-notes": "<p></p>", "ICCIF-species-checked": "testedAndGuaranteed", "ICCIF-species-dilution-info": "", "ICCIF-species-notes": "<p></p>", "FlowCytIntra-species-checked": "testedAndGuaranteed", "FlowCytIntra-species-dilution-info": "", "FlowCytIntra-species-notes": "<p><a href='/en-us/products/primary-antibodies/rabbit-igg-monoclonal-epr25a-isotype-control-low-endotoxin-azide-free-ab199376'>ab199376</a>- Rabbit monoclonal IgG (Low endotoxin, Azide free), is suitable for use as an isotype control with this antibody.</p>", "IHCP-species-checked": "testedAndGuaranteed", "IHCP-species-dilution-info": "", "IHCP-species-notes": "<p></p>" } } }

Product details

ab227564 is the carrier-free version of ab52472.

Conjugation ready
Our carrier-free antibodies are typically supplied in a PBS-only formulation, purified and free of BSA, sodium azide and glycerol. This conjugation-ready format is designed for use with fluorochromes, metal isotopes, oligonucleotides, and enzymes, which makes them ideal for antibody labelling, functional and cell-based assays, flow-based assays (e.g. mass cytometry) and Multiplex Imaging applications.

Use our conjugation kits for antibody conjugates that are ready-to-use in as little as 20 minutes with 1 minute hands-on-time and 100% antibody recovery: available for fluorescent dyes, HRP, biotin and gold.

Compatibility
This product is compatible with the Maxpar® Antibody Labeling Kit from Fluidigm, without the need for antibody preparation. Maxpar® is a trademark of Fluidigm Canada Inc.

Properties and storage information

Form
Liquid
Purification technique
Affinity purification Protein A
Storage buffer
pH: 7.2 - 7.4 Constituents: PBS
Shipped at conditions
Blue Ice
Appropriate short-term storage conditions
+4°C
Appropriate long-term storage conditions
+4°C
Storage information
Do Not Freeze

Supplementary information

This supplementary information is collated from multiple sources and compiled automatically.

ATG7 also known as Autophagy Related 7 is an essential protein involved in the autophagy process. It functions as an E1-like enzyme activating and transferring ubiquitin-like proteins such as ATG12 and LC3. The molecular weight of ATG7 is approximately 78 kDa. It is widely expressed in various tissues although expression levels can differ. One can detect ATG7 using immunoassays like ELISA or antibodies specifically targeting ATG7. Understanding its mechanical role is key to studying cellular homeostasis.
Biological function summary

ATG7 plays a significant role in autophagy a cellular degradation pathway critical for cell survival under stress. ATG7 contributes to the formation of autophagosomes by facilitating conjugation of ATG8 family proteins including LC3 to phosphatidylethanolamine. It acts within complexes that regulate cellular energy balance and stress responses ensuring cells maintain their function and integrity. Knockdown of ATG7 can impair autophagic flux highlighting its importance in maintaining cellular processes.

Pathways

ATG7 is a central player in the autophagy pathway influencing cellular metabolism and turnover. It interacts closely with ATG5 and ATG12 in this pathway to form a conjugation system essential for autophagosome elongation. Additionally ATG7 is involved in the mTOR signaling pathway which regulates nutrient sensing and cellular growth. Interaction with proteins like mTOR allows ATG7 to integrate signals from nutrient availability and stress responses finely tuning the autophagy process.

ATG7 dysfunction has connections to cancer and neurodegenerative diseases like Alzheimer's. Abnormal ATG7 activity disrupts autophagic balance possibly leading to the accumulation of damaged proteins and organelles contributing to disease progression. In cancer altered ATG7 expression may influence tumor survival by affecting cellular stress responses. Proteins such as p53 involved in cell cycle regulation often show association with ATG7-related pathways indicating a complex network influencing disease states. Understanding ATG7's role in these conditions can help explore potential therapeutic strategies.

Product protocols

For this product, it's our understanding that no specific protocols are required. You can visit:

Target data

E1-like activating enzyme involved in the 2 ubiquitin-like systems required for cytoplasm to vacuole transport (Cvt) and autophagy. Activates ATG12 for its conjugation with ATG5 as well as the ATG8 family proteins for their conjugation with phosphatidylethanolamine. Both systems are needed for the ATG8 association to Cvt vesicles and autophagosomes membranes. Required for autophagic death induced by caspase-8 inhibition. Facilitates LC3-I lipidation with phosphatidylethanolamine to form LC3-II which is found on autophagosomal membranes (PubMed : 34161705). Required for mitophagy which contributes to regulate mitochondrial quantity and quality by eliminating the mitochondria to a basal level to fulfill cellular energy requirements and preventing excess ROS production. Modulates p53/TP53 activity to regulate cell cycle and survival during metabolic stress. Also plays a key role in the maintenance of axonal homeostasis, the prevention of axonal degeneration, the maintenance of hematopoietic stem cells, the formation of Paneth cell granules, as well as in adipose differentiation. Plays a role in regulating the liver clock and glucose metabolism by mediating the autophagic degradation of CRY1 (clock repressor) in a time-dependent manner (By similarity).
See full target information ATG7

Publications (9)

Recent publications for all applications. Explore the full list and refine your search

Cell death & disease 7:e2283 PubMed27362801

2016

Extracellular DNA traps released by acute promyelocytic leukemia cells through autophagy.

Applications

Unspecified application

Species

Unspecified reactive species

R Ma,T Li,M Cao,Y Si,X Wu,L Zhao,Z Yao,Y Zhang,S Fang,R Deng,V A Novakovic,Y Bi,J Kou,B Yu,S Yang,J Wang,J Zhou,J Shi

Biochemical and biophysical research communication 474:1-7 PubMed26993162

2016

FGFR antagonist induces protective autophagy in FGFR1-amplified breast cancer cell.

Applications

WB

Species

Human

Yi Chen,Xiaoyan Xie,Xinyi Li,Peiqi Wang,Qian Jing,Jiaqi Yue,Yang Liu,Zhong Cheng,Jingyi Li,Haixing Song,Guoyu Li,Rui Liu,Jinhui Wang

Nature communications 7:10533 PubMed26837467

2016

Autophagy regulates Notch degradation and modulates stem cell development and neurogenesis.

Applications

WB

Species

Human

Xiaoting Wu,Angeleen Fleming,Thomas Ricketts,Mariana Pavel,Herbert Virgin,Fiona M Menzies,David C Rubinsztein

Autophagy 11:975-94 PubMed26018731

2015

RIPK1 regulates survival of human melanoma cells upon endoplasmic reticulum stress through autophagy.

Applications

WB

Species

Human

Qi Luan,Lei Jin,Chen Chen Jiang,Kwang Hong Tay,Fritz Lai,Xiao Ying Liu,Yi Lun Liu,Su Tang Guo,Chun Ying Li,Xu Guang Yan,Hsin-Yi Tseng,Xu Dong Zhang

The Journal of cell biology 204:541-57 PubMed24535825

2014

Peroxisomal Atg37 binds Atg30 or palmitoyl-CoA to regulate phagophore formation during pexophagy.

Applications

Unspecified application

Species

Unspecified reactive species

Taras Y Nazarko,Katharine Ozeki,Andreas Till,Geetha Ramakrishnan,Pouya Lotfi,Mingda Yan,Suresh Subramani

Clinical cancer research : an official journal of 18:5278-89 PubMed22879389

2012

Counteracting autophagy overcomes resistance to everolimus in mantle cell lymphoma.

Applications

WB

Species

Unspecified reactive species

Laia Rosich,Sílvia Xargay-Torrent,Mónica López-Guerra,Elías Campo,Dolors Colomer,Gaël Roué

Genes & development 25:717-29 PubMed21406549

2011

Pancreatic cancers require autophagy for tumor growth.

Applications

Unspecified application

Species

Unspecified reactive species

Shenghong Yang,Xiaoxu Wang,Gianmarco Contino,Marc Liesa,Ergun Sahin,Haoqiang Ying,Alexandra Bause,Yinghua Li,Jayne M Stommel,Giacomo Dell'antonio,Josef Mautner,Giovanni Tonon,Marcia Haigis,Orian S Shirihai,Claudio Doglioni,Nabeel Bardeesy,Alec C Kimmelman

Proceedings of the National Academy of Sciences of the United States of America 107:2165-70 PubMed20133861

2010

Nuclear location of an endogenously expressed antigen, EBNA1, restricts access to macroautophagy and the range of CD4 epitope display.

Applications

Unspecified application

Species

Unspecified reactive species

Carol S Leung,Tracey A Haigh,Laura K Mackay,Alan B Rickinson,Graham S Taylor

Nature medicine 16:90-7 PubMed19966812

2009

NOD2 stimulation induces autophagy in dendritic cells influencing bacterial handling and antigen presentation.

Applications

WB

Species

Human

Rachel Cooney,John Baker,Oliver Brain,Benedicte Danis,Tica Pichulik,Philip Allan,David J P Ferguson,Barry J Campbell,Derek Jewell,Alison Simmons
View all publications

Product promise

We are committed to supporting your work with high-quality reagents, and we're here for you every step of the way. In the unlikely event that one of our products does not perform as expected, you're protected by our Product Promise.
For full details, please see our Terms & Conditions

Please note: All products are 'FOR RESEARCH USE ONLY. NOT FOR USE IN DIAGNOSTIC OR THERAPEUTIC PROCEDURES'.

For licensing inquiries, please contact partnerships@abcam.com