JavaScript is disabled in your browser. Please enable JavaScript to view this website.
AB108338

Anti-ATG9A antibody [EPR2450(2)]

  • RabMAb
  • Recombinant
  • KO Validated
  • 20ul selling size
  • What is this?

5

(15 Reviews)

|

(113 Publications)

Anti-ATG9A antibody [EPR2450(2)] (ab108338) is a rabbit monoclonal antibody detecting ATG9A in Western Blot, Flow Cytometry (Intra), Flow Cytometry, IP, IHC-P, ICC/IF. Suitable for Human, Mouse, Rat.

- KO validated for confirmed specificity
- Biophysical QC for unrivalled batch-batch consistency
- Over 80 publications

View Alternative Names

APG9L1, ATG9A, Autophagy-related protein 9A, APG9-like 1, mATG9

14 Images
Immunohistochemistry (Formalin/PFA-fixed paraffin-embedded sections) - Anti-ATG9A antibody [EPR2450(2)] (AB108338)
  • IHC-P

Lab

Immunohistochemistry (Formalin/PFA-fixed paraffin-embedded sections) - Anti-ATG9A antibody [EPR2450(2)] (AB108338)

Immunohistochemical analysis of formalin fixed paraffin embedded human colon labelling ATG9A with ab108338 at a concentration of 0.5µg/ml. The immunostaining was performed on a Ventana DISCOVERY ULTRA (Roche Tissue Diagnostics) instrument with a OptiView DAB IHC Detection Kit. Heat mediated antigen retrieval was performed with DISCOVERY cell conditioning solution (CC1) 100°C, pH8.5 for 32mins. ab108338 anti-ATG9A antibody [EPR2450(2)] was incubated for 16mins at 37°C. Sections were counterstained with Hematoxylin II. Image inset shows absence of staining in secondary antibody only control.

Customers are encouraged to optimise antigen retrieval conditions, antibody concentration, incubation times and temperature for best results in their own IHC assay workflow (automated and manual).

Flow Cytometry (Intracellular) - Anti-ATG9A antibody [EPR2450(2)] (AB108338)
  • Flow Cyt (Intra)

Unknown

Flow Cytometry (Intracellular) - Anti-ATG9A antibody [EPR2450(2)] (AB108338)

Intracellular Flow Cytometry analysis of HepG2 (Human hepatocellular carcinoma epithelial cell) cells labeling ATG9A with purified ab108338 at 1/20 dilution (10μg/ml) (red). Cells were fixed with 100% Methanol and permeabilised with 0.1% Tween-20. A Goat anti rabbit IgG (Alexa Fluor® 488) secondary antibody was used at 1/2000 dilution. Isotype control - Rabbit monoclonal IgG (Black). Unlabeled control - Cell without incubation with primary antibody and secondary antibody (Blue).

Immunocytochemistry/ Immunofluorescence - Anti-ATG9A antibody [EPR2450(2)] (AB108338)
  • ICC/IF

Unknown

Immunocytochemistry/ Immunofluorescence - Anti-ATG9A antibody [EPR2450(2)] (AB108338)

Unpurified ab108338 at 1/50 dilution, staining ATG9A in HepG2 (Human hepatocellular carcinoma epithelial cell) cells by Immunofluorescence.

Immunohistochemistry (Formalin/PFA-fixed paraffin-embedded sections) - Anti-ATG9A antibody [EPR2450(2)] (AB108338)
  • IHC-P

Unknown

Immunohistochemistry (Formalin/PFA-fixed paraffin-embedded sections) - Anti-ATG9A antibody [EPR2450(2)] (AB108338)

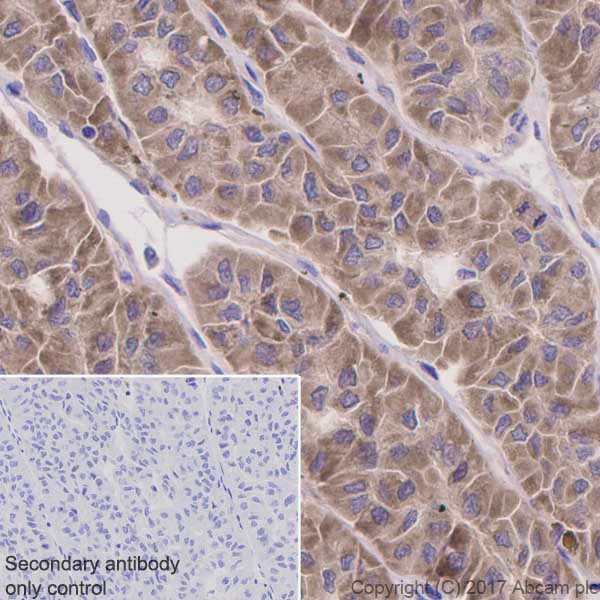
Immunohistochemistry (Formalin/PFA-fixed paraffin-embedded sections) analysis of Human thyroid carcinoma tissue sections labeling ATG9A with Purified ab108338 at 1 : 50 dilution (4.12 μg/ml). Heat mediated antigen retrieval was performed using ab93684 (Tris/EDTA buffer, pH 9.0). Tissue was counterstained with Hematoxylin. ImmunoHistoProbe one step HRP Polymer (ready to use) secondary antibody was used at 1 : 0 dilution. PBS instead of the primary antibody was used as the negative control.

Flow Cytometry (Intracellular) - Anti-ATG9A antibody [EPR2450(2)] (AB108338)
  • Flow Cyt (Intra)

Lab

Flow Cytometry (Intracellular) - Anti-ATG9A antibody [EPR2450(2)] (AB108338)

Unpurified ab108338 staining ATG9Ain the human cell line HepG2 (human hepatocellular carcinoma) by intracellular flow cytometry. Cells were fixed with 4% paraformaldehyde and the sample was incubated with the primary antibody at a dilution of 1/40. A goat anti rabbit IgG (Alexa Fluor® 488) at a dilution of 1/2000 was used as the secondary antibody.

Isoytype control : Rabbit monoclonal IgG (Black)

Unlabelled control : Cell without incubation with primary antibody and secondary antibody (Blue)

Immunocytochemistry/ Immunofluorescence - Anti-ATG9A antibody [EPR2450(2)] (AB108338)
  • ICC/IF

PubMed

Immunocytochemistry/ Immunofluorescence - Anti-ATG9A antibody [EPR2450(2)] (AB108338)

Accumulation of ATG9A at the TGN of AP-4 μ4 mutant patient fibroblasts.

Skin fibroblasts were from one control individual and two patients homozygous for mutations in the AP4M1 gene encoding AP-4 μ4.

Co-immunostaining for endogenous ATG9A (green) and AP-4 ε (red) (B) or GM130 of the fibroblasts.

ATG9A is detected using ab108338.

(From Figure 4B of De Pace et al)

De Pace, R. et al PLoS Genet. 2018 Apr 26;14(4):e1007363. doi: 10.1371/journal.pgen.1007363. eCollection 2018 Apr Reproduced under the Creative Commons license https://creativecommons.org/publicdomain/zero/1.0/

Immunohistochemistry (Formalin/PFA-fixed paraffin-embedded sections) - Anti-ATG9A antibody [EPR2450(2)] (AB108338)
  • IHC-P

Unknown

Immunohistochemistry (Formalin/PFA-fixed paraffin-embedded sections) - Anti-ATG9A antibody [EPR2450(2)] (AB108338)

Unpurified ab108338, at 1/100, staining ATG9A in paraffin-embedded Human colon tissue by Immunohistochemistry.

Perform heat mediated antigen retrieval with citrate buffer pH 6 before commencing with IHC staining protocol.

Immunocytochemistry/ Immunofluorescence - Anti-ATG9A antibody [EPR2450(2)] (AB108338)
  • ICC/IF

Unknown

Immunocytochemistry/ Immunofluorescence - Anti-ATG9A antibody [EPR2450(2)] (AB108338)

Immunocytochemistry/ Immunofluorescence analysis of HepG2 (Human hepatocellular carcinoma epithelial cell) cells labeling ATG9A with Purified ab108338 at 1 : 100 dilution. Cells were fixed in 4% Paraformaldehyde and permeabilized with 0.1% tritonX-100. ab150077 Goat anti rabbit IgG (Alexa Fluor® 488) was used as the secondary antibody at 1 : 1000 dilution. DAPI nuclear counterstain. PBS instead of the primary antibody was used as the secondary antibody only control.

Immunoprecipitation - Anti-ATG9A antibody [EPR2450(2)] (AB108338)
  • IP

Lab

Immunoprecipitation - Anti-ATG9A antibody [EPR2450(2)] (AB108338)

ab108338 (purified) at 1 : 20 dilution (2μg) immunoprecipitating ATG9A in HEK-293 (Human embryonic kidney epithelial cell) whole cell lysate.

Lane 1 (input) : HEK-293 (Human embryonic kidney epithelial cell) whole cell lysate 10μg
Lane 2 (+) : ab108338 & HEK-293 (Human embryonic kidney epithelial cell) whole cell lysate
Lane 3 (-) : Rabbit monoclonal IgG (ab172730) instead of ab108338 in HEK-293 (Human embryonic kidney epithelial cell) whole cell lysate

For western blotting, VeriBlot for IP Detection Reagent (HRP) (ab131366) was used for detection at 1 : 1000 dilution. No band in input lane is due to the boiled lysates
Blocking and diluting buffer : 5% NFDM/TBST.

All lanes:

Immunoprecipitation - Anti-ATG9A antibody [EPR2450(2)] (ab108338)

Predicted band size: 94 kDa

false

Western blot - Anti-ATG9A antibody [EPR2450(2)] (AB108338)
  • WB

Lab

Western blot - Anti-ATG9A antibody [EPR2450(2)] (AB108338)

We suggest not to boil the sample after lysis.
Blocking and diluting buffer : 5% NFDM/TBST

Exposure time :Left image : 5 seconds
Right image : 2 seconds

All lanes:

Western blot - Anti-ATG9A antibody [EPR2450(2)] (ab108338) at 1/10000 dilution

Lane 1:

293 (Human embryonic kidney epithelial cell) whole cell lysate prepared in non-boiled method at 15 µg

Lane 2:

293 (Human embryonic kidney epithelial cell) whole cell lysate prepared in boiled method at 15 µg

Lane 3:

HeLa (Human cervix adenocarcinoma epithelial cell) whole cell lysate prepared in non-boiled method at 15 µg

Lane 4:

HeLa (Human cervix adenocarcinoma epithelial cell) whole cell lysate prepared in boiled method at 15 µg

Secondary

All lanes:

Western blot - Goat Anti-Rabbit IgG H&L (HRP) (<a href='/en-us/products/secondary-antibodies/goat-rabbit-igg-h-l-hrp-ab97051'>ab97051</a>) at 1/20000 dilution

Predicted band size: 94 kDa

Observed band size: 100 kDa

false

Western blot - Anti-ATG9A antibody [EPR2450(2)] (AB108338)
  • WB

Lab

Western blot - Anti-ATG9A antibody [EPR2450(2)] (AB108338)

Lane 1 : Wild-type HAP1 cell lysate (20 μg)
Lane 2 : ATG9A knockout HAP1 cell lysate (20 μg)
Lane 3 : HepG2 cell lysate (20 μg)
Lane 4 : A375 cell lysate (20 μg)
Lanes 1 - 4 : Merged signal (red and green). Green - ab108338 observed at 100 and 130 kDa. Red - loading control, ab8245, observed at 37 kDa.

Unpurified ab108338 was shown to specifically react with ATG9A when ATG9A knockout samples were used. Wild-type and ATG9A knockout samples were subjected to SDS-PAGE. ab108338 and ab8245 (loading control to GAPDH) were diluted 1/1000 and 1/2000 and incubated overnight at 4°C. Blots were developed with Goat anti-Rabbit IgG H&L (IRDye® 800CW) preadsorbed (ab216773) and Goat anti-Mouse IgG H&L (IRDye® 680RD) preadsorbed (ab216776) secondary antibodies at 1/10,000 dilution for 1 h at room temperature before imaging.

All lanes:

Western blot - Anti-ATG9A antibody [EPR2450(2)] (ab108338)

Predicted band size: 94 kDa

false

Western blot - Anti-ATG9A antibody [EPR2450(2)] (AB108338)
  • WB

Unknown

Western blot - Anti-ATG9A antibody [EPR2450(2)] (AB108338)

All lanes:

Western blot - Anti-ATG9A antibody [EPR2450(2)] (ab108338) at 1/1000 dilution

Lane 1:

HepG2 cell lysate at 10 µg

Lane 2:

293T cell lysate at 10 µg

Lane 3:

A375 cell lysate at 10 µg

Lane 4:

Mouse brain cell lysate at 10 µg

Lane 5:

Rat brain cell lysate at 10 µg

Predicted band size: 94 kDa

false

Western blot - Anti-ATG9A antibody [EPR2450(2)] (AB108338)
  • WB

Lab

Western blot - Anti-ATG9A antibody [EPR2450(2)] (AB108338)

Blocking and diluting buffer : 5% NFDM/TBST.

The lysates are boiled.

All lanes:

Western blot - Anti-ATG9A antibody [EPR2450(2)] (ab108338) at 1/2000 dilution

All lanes:

Mouse spinal cord lysates at 15 µg

Secondary

All lanes:

Western blot - Goat Anti-Rabbit IgG H&L (HRP) (<a href='/en-us/products/secondary-antibodies/goat-rabbit-igg-h-l-hrp-ab97051'>ab97051</a>) at 1/20000 dilution

Predicted band size: 103 kDa,107 kDa,110 kDa,134 kDa,137 kDa,14 kDa,169 kDa,190 kDa,20 kDa,21 kDa,23 kDa,24 kDa,25 kDa,28 kDa,30 kDa,33 kDa,42 kDa,43 kDa,47 kDa,51 kDa,53 kDa,55 kDa,74 kDa,83 kDa,90 kDa,94 kDa,96 kDa,99 kDa

Observed band size: 103 kDa,120 kDa,14 kDa,150 kDa,169 kDa,175 kDa,18 kDa,193 kDa,21 kDa,28 kDa,32 kDa,32-42 kDa,35 kDa,42 kDa,44 kDa,45 kDa,47 kDa,51 kDa,53 kDa,55 kDa,90 kDa

false

Western blot - Anti-ATG9A antibody [EPR2450(2)] (AB108338)
  • WB

Lab

Western blot - Anti-ATG9A antibody [EPR2450(2)] (AB108338)

Blocking and diluting buffer : 5% NFDM/TBST.

The lysates are boiled.

All lanes:

Western blot - Anti-ATG9A antibody [EPR2450(2)] (ab108338) at 1/2000 dilution

All lanes:

Rat brain lysates at 15 µg

Secondary

All lanes:

Western blot - Goat Anti-Rabbit IgG H&L (HRP) (<a href='/en-us/products/secondary-antibodies/goat-rabbit-igg-h-l-hrp-ab97051'>ab97051</a>) at 1/20000 dilution

Predicted band size: 42 kDa,47 kDa,53 kDa,76 kDa,82 kDa,94 kDa

Observed band size: 50-70 kDa,53 kDa,72 kDa

false

  • 665 Alexa Fluor® 647

    Alexa Fluor® 647 Anti-ATG9A antibody [EPR2450(2)]

  • 519 Alexa Fluor® 488

    Alexa Fluor® 488 Anti-ATG9A antibody [EPR2450(2)]

  • Carrier free

    Anti-ATG9A antibody [EPR2450(2)] - BSA and Azide free

  • 660 APC

    APC Anti-ATG9A antibody [EPR2450(2)]

  • 578 PE

    PE Anti-ATG9A antibody [EPR2450(2)]

  • 603 Alexa Fluor® 568

    Alexa Fluor® 568 Anti-ATG9A antibody [EPR2450(2)]

  • 617 Alexa Fluor® 594

    Alexa Fluor® 594 Anti-ATG9A antibody [EPR2450(2)]

  • 775 Alexa Fluor® 750

    Alexa Fluor® 750 Anti-ATG9A antibody [EPR2450(2)]

Key facts

Host species

Rabbit

Clonality

Monoclonal

Clone number

EPR2450(2)

Isotype

IgG

Carrier free

No

Reacts with

Mouse, Rat, Human

Applications

ICC/IF, IHC-P, WB, Flow Cyt (Intra), IP

applications

Immunogen

The exact immunogen used to generate this antibody is proprietary information.

Specificity

The mouse and rat recommendation is based on the WB results. We do not guarantee IHC-P for mouse and rat.

Reactivity data

{ "title": "Reactivity Data", "filters": { "stats": ["", "Species", "Dilution Info", "Notes"], "tabs": { "all-applications": {"fullname" : "All Applications", "shortname": "All Applications"}, "IHCP" : {"fullname" : "Immunohistochemistry (Formalin/PFA-fixed paraffin-embedded sections)", "shortname":"IHC-P"}, "IP" : {"fullname" : "Immunoprecipitation", "shortname":"IP"}, "WB" : {"fullname" : "Western blot", "shortname":"WB"}, "ICCIF" : {"fullname" : "Immunocytochemistry/ Immunofluorescence", "shortname":"ICC/IF"}, "FlowCytIntra" : {"fullname" : "Flow Cytometry (Intracellular)", "shortname":"Flow Cyt (Intra)"} }, "product-promise": { "all": "all", "testedAndGuaranteed": "tested", "guaranteed": "expected", "predicted": "predicted", "notRecommended": "not-recommended" } }, "values": { "Human": { "IHCP-species-checked": "testedAndGuaranteed", "IHCP-species-dilution-info": "1/50", "IHCP-species-notes": "<p>The mouse and rat recommendation is based on the WB results. We do not guarantee IHC-P for mouse and rat.</p><p><strong>For unpurified use 1/100 - 1/250.</strong></p> Perform heat-mediated antigen retrieval with citrate buffer pH 6 before commencing with IHC staining protocol.", "IP-species-checked": "testedAndGuaranteed", "IP-species-dilution-info": "1/10 - 1/100", "IP-species-notes": "<p></p>", "WB-species-checked": "testedAndGuaranteed", "WB-species-dilution-info": "1/1000", "WB-species-notes": "<p></p>", "ICCIF-species-checked": "testedAndGuaranteed", "ICCIF-species-dilution-info": "1/50 - 1/100", "ICCIF-species-notes": "<p></p>", "FlowCytIntra-species-checked": "testedAndGuaranteed", "FlowCytIntra-species-dilution-info": "1/20", "FlowCytIntra-species-notes": "<p></p>" }, "Mouse": { "IHCP-species-checked": "guaranteed", "IHCP-species-dilution-info": "", "IHCP-species-notes": "", "IP-species-checked": "guaranteed", "IP-species-dilution-info": "", "IP-species-notes": "", "WB-species-checked": "testedAndGuaranteed", "WB-species-dilution-info": "1/1000", "WB-species-notes": "<p></p>", "ICCIF-species-checked": "guaranteed", "ICCIF-species-dilution-info": "", "ICCIF-species-notes": "", "FlowCytIntra-species-checked": "guaranteed", "FlowCytIntra-species-dilution-info": "", "FlowCytIntra-species-notes": "" }, "Rat": { "IHCP-species-checked": "guaranteed", "IHCP-species-dilution-info": "", "IHCP-species-notes": "", "IP-species-checked": "guaranteed", "IP-species-dilution-info": "", "IP-species-notes": "", "WB-species-checked": "testedAndGuaranteed", "WB-species-dilution-info": "1/1000", "WB-species-notes": "<p></p>", "ICCIF-species-checked": "guaranteed", "ICCIF-species-dilution-info": "", "ICCIF-species-notes": "", "FlowCytIntra-species-checked": "guaranteed", "FlowCytIntra-species-dilution-info": "", "FlowCytIntra-species-notes": "" } } }

Product details

What is this antibody validated in?
Anti-ATG9A antibody [EPR2450(2)] (ab108338) is a rabbit recombinant monoclonal antibody and is validated for use in Western Blot (WB), Flow Cytometry (Intra), Flow Cytometry (Flow Cyt), Immunoprecipitation (IP), Immunohistochemistry (IHC-P), Immunocytochemistry/immunofluorescence (ICC/IF) in Human, Mouse, Rat samples.

What is the molecular weight of ATG9A?
Anti-ATG9A [EPR2450(2)] (ab108338) specifically detects a band for ATG9A (UniProt: Q7Z3C6) at a molecular weight of 94kDa.

Trusted by the scientific community
Anti-ATG9A [EPR2450(2)] (ab108338) was first used in a scientific publication in 2011 and has been cited over 80 times in peer-reviewed journals.

Reviewed by scientists
Anti-ATG9A [EPR2450(2)] (ab108338) has over 10 independent reviews from customers.

Trial sizes available!
Test your antibody or perform pre-screening before committing to a larger quantity. Sold in 10µl. Discover our selection of trial-size antibodies.

Specificity confirmed
The specificity of Anti-ATG9A antibody [EPR2450(2)] (ab108338) has been confirmed by Western blot testing in ATG9A Knockout HAP1 cells.

Other related products
We have a range of other formats of antibody clone [EPR2450(2)] also available for your convenience: ab108338, Alexa Fluor® 488 - ab206252, Alexa Fluor® 647 - ab206253, Carrier free - ab223528, ab309518, Carrier free - ab309519, APC - ab310808, PE - ab310890, Alexa Fluor® 594 - ab311672, Alexa Fluor® 568 - ab312947, Alexa Fluor® 750 - ab320894

Patented technology
Our RabMAb® technology is a patented hybridoma-based technology for making rabbit monoclonal antibodies. For details on our patents, please refer to RabMAb® patents.

What are the advantages of a recombinant monoclonal antibody?
This product is a recombinant monoclonal antibody, which offers several advantages including:

  • - High batch-to-batch consistency and reproducibility
  • - Improved sensitivity and specificity
  • - Long-term security of supply
  • - Animal-free batch production

For more information, read more on recombinant antibodies.

Properties and storage information

Form
Liquid
Purification technique
Affinity purification Protein A
Storage buffer
pH: 7.2 - 7.4 Preservative: 0.01% Sodium azide Constituents: PBS, 40% Glycerol (glycerin, glycerine), 0.05% BSA
Shipped at conditions
Blue Ice
Appropriate short-term storage duration
1-2 weeks
Appropriate short-term storage conditions
+4°C
Appropriate long-term storage conditions
-20°C
Aliquoting information
Upon delivery aliquot
Storage information
Stable for 12 months at -20°C

Supplementary information

This supplementary information is collated from multiple sources and compiled automatically.

ATG9A also known as APG9-like 1 or ATG9 autophagy related 9A is an important component in the autophagy machinery. This protein has a molecular weight of approximately 93 kDa. It is ubiquitously expressed in various tissues with higher expression seen in the heart and skeletal muscle. Mechanically ATG9A is essential for the trafficking of membranes necessary for autophagosome formation. It actively participates in membrane lipids' delivery from donor organelles which are critical for constructing autophagosomes.
Biological function summary

ATG9A facilitates the recycling of cellular materials through a process called autophagy. This protein acts with other autophagy-related proteins to form a complex essential for autophagosome elongation and closure. The ATG9A protein's dynamic movements between the Golgi apparatus and endosomes ensure proper membrane supply for autophagy. It coordinates with the ULK1 complex and various phospholipid-modifying enzymes which are necessary to regulate autophagic flux.

Pathways

ATG9A plays an integral role in the mTOR signaling and MAPK pathways. Both pathways are essential for cellular responses to stress and nutrient availability. In these pathways ATG9A works closely with proteins like beclin 1 and ATG5. Inhibiting mTOR actively induces autophagy where ATG9A contributes to membrane recruitment and elongation of the autophagosomes facilitating the clearance of damaged organelles and proteins.

ATG9A shows a significant link to neurodegenerative diseases such as Parkinson's and Alzheimer's disease. The dysfunction of autophagic pathways due to altered ATG9A function leads to the accumulation of damaged proteins and organelles. This event contributes to the pathogenesis of such neurodegenerative diseases. Moreover ATG9A closely associates with proteins like LAMP2 whose mutations similarly lead to defective autophagic processes resulting in the accumulation of unprocessed cellular debris in these disorders.

Product protocols

For this product, it's our understanding that no specific protocols are required. You can visit:

Target data

Phospholipid scramblase involved in autophagy by mediating autophagosomal membrane expansion (PubMed : 22456507, PubMed : 27510922, PubMed : 29437695, PubMed : 32513819, PubMed : 32610138, PubMed : 33106659, PubMed : 33468622, PubMed : 33850023). Cycles between the preautophagosomal structure/phagophore assembly site (PAS) and the cytoplasmic vesicle pool and supplies membrane for the growing autophagosome (PubMed : 16940348, PubMed : 22456507, PubMed : 33106659). Lipid scramblase activity plays a key role in preautophagosomal structure/phagophore assembly by distributing the phospholipids that arrive through ATG2 (ATG2A or ATG2B) from the cytoplasmic to the luminal leaflet of the bilayer, thereby driving autophagosomal membrane expansion (PubMed : 33106659). Also required to supply phosphatidylinositol 4-phosphate to the autophagosome initiation site by recruiting the phosphatidylinositol 4-kinase beta (PI4KB) in a process dependent on ARFIP2, but not ARFIP1 (PubMed : 30917996). In addition to autophagy, also plays a role in necrotic cell death (By similarity).
See full target information ATG9A

Publications (113)

Recent publications for all applications. Explore the full list and refine your search

Journal of cellular physiology 240:e70074 PubMed40717240

2025

The Parkinson Disease-Associated Mutant DNAJC13(N855S) Leads to Its Accelerated Degradation and Negatively Affects Macroautophagy and Retromer Complex-Mediated Dynamics.

Applications

Unspecified application

Species

Unspecified reactive species

Anna Stein,Stella Vo,Christian Freese,Joram Kluge,Joanna Maus,Ingrid Koziollek-Drechsler,Beate Silva,Christian Behl,Albrecht M Clement

Frontiers in oncology 15:1531420 PubMed40519291

2025

Metformin inhibits the proliferation of hepatocellular carcinoma cells through inducing ferroptosis analyzed by phosphoproteomics.

Applications

Unspecified application

Species

Unspecified reactive species

Jihan Sun,Xi Yu,Yuying Shan,Manyun Dai,Andrea Gaucherot,Caide Lu,Shuqi Mao

Scientific reports 15:15572 PubMed40320451

2025

Unveiling the protective role of ESM1 in endothelial cell proliferation and lipid reprogramming.

Applications

Unspecified application

Species

Unspecified reactive species

Yukun Li,Anbo Gao,Wenchao Zhou,Xing Tang,Tian Zeng,Tingyu Fan,Weimin Jiang,Min Tang,Fan Ouyang

Cell discovery 11:41 PubMed40301304

2025

The assembly of RAB22A/TMEM33/RTN4 initiates a secretory ER-phagy pathway.

Applications

Unspecified application

Species

Unspecified reactive species

Xueping Zheng,Dongmei Fang,Hao Shan,Beibei Xiao,Denghui Wei,Yingyi Ouyang,Lanqing Huo,Zhonghan Zhang,Yuanzhong Wu,Ruhua Zhang,Tiebang Kang,Ying Gao

Journal of cell science 138: PubMed40067248

2025

ATG9A vesicles are a subtype of intracellular nanovesicle.

Applications

Unspecified application

Species

Unspecified reactive species

Mary Fesenko,Daniel J Moore,Peyton Ewbank,Elizabeth Courthold,Stephen J Royle

Autophagy 21:1019-1038 PubMed39723606

2024

Regulation of N-degron recognin-mediated autophagy by the SARS-CoV-2 PLpro ubiquitin deconjugase.

Applications

Unspecified application

Species

Unspecified reactive species

Carlos Ayala-Torres,Jiangnan Liu,Nico P Dantuma,Maria G Masucci

EMBO molecular medicine 16:2882-2917 PubMed39358605

2024

Pre-clinical development of AP4B1 gene replacement therapy for hereditary spastic paraplegia type 47.

Applications

Unspecified application

Species

Unspecified reactive species

Jessica P Wiseman,Joseph M Scarrott,João Alves-Cruzeiro,Afshin Saffari,Cedric Böger,Evangelia Karyka,Emily Dawes,Alexandra K Davies,Paolo M Marchi,Emily Graves,Fiona Fernandes,Zih-Liang Yang,Ian Coldicott,Jennifer Hirst,Christopher P Webster,J Robin Highley,Neil Hackett,Adrienn Angyal,Thushan de Silva,Adrian Higginbottom,Pamela J Shaw,Laura Ferraiuolo,Darius Ebrahimi-Fakhari,Mimoun Azzouz

Advanced science (Weinheim, Baden-Wurttemberg, Germany) 11:e2405127 PubMed39361436

2024

SEC31a-ATG9a Interaction Mediates the Recruitment of COPII Vesicles for Autophagosome Formation.

Applications

Unspecified application

Species

Unspecified reactive species

Jiaming Nie,Shaoyang Ma,Linyue Wu,Ye Li,Jiao Cao,Meng Li,Peter Mei,Paul R Cooper,Ang Li,Dandan Pei

Cancer science 115:3466-3480 PubMed39118482

2024

CLG promotes mTOR/ULK1 pathway-mediated autophagy to inhibit OS development by inhibiting TRAF6-mediated FLT3 ubiquitination.

Applications

Unspecified application

Species

Unspecified reactive species

Xiongjie Huang,Yanran Huang,Bin Peng,Junfang Wang,Huiyu Tang,Yanming Chen

Cell 187:4272-4288.e20 PubMed39013469

2024

The WDR11 complex is a receptor for acidic-cluster-containing cargo proteins.

Applications

Unspecified application

Species

Unspecified reactive species

Huaqing Deng,Guowen Jia,Ping Li,Yingying Tang,Lin Zhao,Qin Yang,Jia Zhao,Jinrui Wang,Yingfeng Tu,Xin Yong,Sitao Zhang,Xianming Mo,Daniel D Billadeau,Zhaoming Su,Da Jia
View all publications

Product promise

We are committed to supporting your work with high-quality reagents, and we're here for you every step of the way. In the unlikely event that one of our products does not perform as expected, you're protected by our Product Promise.
For full details, please see our Terms & Conditions

Please note: All products are 'FOR RESEARCH USE ONLY. NOT FOR USE IN DIAGNOSTIC OR THERAPEUTIC PROCEDURES'.

For licensing inquiries, please contact partnerships@abcam.com