JavaScript is disabled in your browser. Please enable JavaScript to view this website.
AB223528

Anti-ATG9A antibody [EPR2450(2)] - BSA and Azide free

Be the first to review this product! Submit a review

|

(7 Publications)

Rabbit Recombinant Monoclonal ATG9A antibody. Carrier free. Suitable for IHC-P, IP, WB, ICC/IF, Flow Cyt (Intra) and reacts with Human, Mouse, Rat samples. Cited in 7 publications.

View Alternative Names

APG9L1, ATG9A, Autophagy-related protein 9A, APG9-like 1, mATG9

8 Images
Immunohistochemistry (Formalin/PFA-fixed paraffin-embedded sections) - Anti-ATG9A antibody [EPR2450(2)] - BSA and Azide free (AB223528)
  • IHC-P

Unknown

Immunohistochemistry (Formalin/PFA-fixed paraffin-embedded sections) - Anti-ATG9A antibody [EPR2450(2)] - BSA and Azide free (AB223528)

Unpurified ab108338, at 1/100, staining ATG9A in paraffin-embedded Human colon tissue by Immunohistochemistry.

This data was developed using the same antibody clone in a different buffer formulation containing PBS, BSA, glycerol, and sodium azide (ab108338).

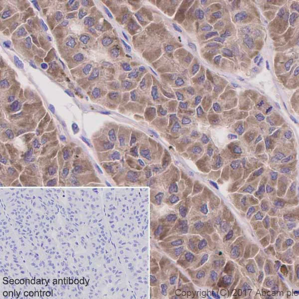
Immunohistochemistry (Formalin/PFA-fixed paraffin-embedded sections) - Anti-ATG9A antibody [EPR2450(2)] - BSA and Azide free (AB223528)
  • IHC-P

Unknown

Immunohistochemistry (Formalin/PFA-fixed paraffin-embedded sections) - Anti-ATG9A antibody [EPR2450(2)] - BSA and Azide free (AB223528)

Immunohistochemistry (Formalin/PFA-fixed paraffin-embedded sections) analysis of Human thyroid carcinoma tissue sections labeling ATG9A with Purified ab108338 at 1 : 50 dilution (4.12 μg/ml). Heat mediated antigen retrieval was performed using ab93684 (Tris/EDTA buffer, pH 9.0). Tissue was counterstained with Hematoxylin. ImmunoHistoProbe one step HRP Polymer (ready to use) secondary antibody was used at 1 : 0 dilution. PBS instead of the primary antibody was used as the negative control.

This data was developed using the same antibody clone in a different buffer formulation containing PBS, BSA, glycerol, and sodium azide (ab108338).

Flow Cytometry (Intracellular) - Anti-ATG9A antibody [EPR2450(2)] - BSA and Azide free (AB223528)
  • Flow Cyt (Intra)

Lab

Flow Cytometry (Intracellular) - Anti-ATG9A antibody [EPR2450(2)] - BSA and Azide free (AB223528)

Unpurified ab108338 staining ATG9A in the human cell line HepG2 (human hepatocellular carcinoma) by intracellular flow cytometry. Cells were fixed with 4% paraformaldehyde and the sample was incubated with the primary antibody at a dilution of 1/40. A goat anti rabbit IgG (Alexa Fluor® 488) at a dilution of 1/2000 was used as the secondary antibody.

Isoytype control : Rabbit monoclonal IgG (Black)

Unlabelled control : Cell without incubation with primary antibody and secondary antibody (Blue)

This data was developed using the same antibody clone in a different buffer formulation containing PBS, BSA, glycerol, and sodium azide (ab108338).

Immunocytochemistry/ Immunofluorescence - Anti-ATG9A antibody [EPR2450(2)] - BSA and Azide free (AB223528)
  • ICC/IF

Unknown

Immunocytochemistry/ Immunofluorescence - Anti-ATG9A antibody [EPR2450(2)] - BSA and Azide free (AB223528)

Immunocytochemistry/ Immunofluorescence analysis of HepG2 (Human hepatocellular carcinoma epithelial cell) cells labeling ATG9A with Purified ab108338 at 1 : 100 dilution. Cells were fixed in 4% Paraformaldehyde and permeabilized with 0.1% tritonX-100. ab150077 Goat anti rabbit IgG (Alexa Fluor® 488) was used as the secondary antibody at 1 : 1000 dilution. DAPI nuclear counterstain. PBS instead of the primary antibody was used as the secondary antibody only control.

This data was developed using the same antibody clone in a different buffer formulation containing PBS, BSA, glycerol, and sodium azide (ab108338).

Flow Cytometry (Intracellular) - Anti-ATG9A antibody [EPR2450(2)] - BSA and Azide free (AB223528)
  • Flow Cyt (Intra)

Unknown

Flow Cytometry (Intracellular) - Anti-ATG9A antibody [EPR2450(2)] - BSA and Azide free (AB223528)

Flow Cytometry analysis of HepG2 (Human hepatocellular carcinoma epithelial cell) cells labeling ATG9A with purified ab108338 at 1 : 20 dilution (10 µg/ml) (red). Cells were fixed with 100% Methanol and permeabilised with 0.1% Tween-20. A Goat anti rabbit IgG (Alexa Fluor® 488) secondary antibody was used at 1 : 2000 dilution. Isotype control - Rabbit monoclonal IgG (Black). Unlabeled control - Cell without incubation with primary antibody and secondary antibody (Blue).

This data was developed using the same antibody clone in a different buffer formulation containing PBS, BSA, glycerol, and sodium azide (ab108338).

Immunocytochemistry/ Immunofluorescence - Anti-ATG9A antibody [EPR2450(2)] - BSA and Azide free (AB223528)
  • ICC/IF

Unknown

Immunocytochemistry/ Immunofluorescence - Anti-ATG9A antibody [EPR2450(2)] - BSA and Azide free (AB223528)

Unpurified ab108338 at 1/50 dilution, staining ATG9A in HepG2 cells by Immunofluorescence.

This data was developed using the same antibody clone in a different buffer formulation containing PBS, BSA, glycerol, and sodium azide (ab108338).

Immunoprecipitation - Anti-ATG9A antibody [EPR2450(2)] - BSA and Azide free (AB223528)
  • IP

Lab

Immunoprecipitation - Anti-ATG9A antibody [EPR2450(2)] - BSA and Azide free (AB223528)

ab108338 (purified) at 1 : 20 dilution (2μg) immunoprecipitating ATG9A in HEK-293 (Human embryonic kidney epithelial cell) whole cell lysate.

Lane 1 (input) : HEK-293 (Human embryonic kidney epithelial cell) whole cell lysate 10μg
Lane 2 (+) : ab108338 & HEK-293 (Human embryonic kidney epithelial cell) whole cell lysate
Lane 3 (-) : Rabbit monoclonal IgG (ab172730) instead of ab108338 in HEK-293 (Human embryonic kidney epithelial cell) whole cell lysate

For western blotting, VeriBlot for IP secondary antibody (HRP) (ab131366) was used as the secondary antibody at 1 : 1000 dilution. No band in input lane is due to the boiled lysates
Blocking and diluting buffer : 5% NFDM/TBST.

This data was developed using the same antibody clone in a different buffer formulation containing PBS, BSA, glycerol, and sodium azide (ab108338).

All lanes:

Immunoprecipitation - Anti-ATG9A antibody [EPR2450(2)] (<a href='/en-us/products/primary-antibodies/atg9a-antibody-epr24502-ab108338'>ab108338</a>)

Predicted band size: 94 kDa

false

Western blot - Anti-ATG9A antibody [EPR2450(2)] - BSA and Azide free (AB223528)
  • WB

Lab

Western blot - Anti-ATG9A antibody [EPR2450(2)] - BSA and Azide free (AB223528)

This western blot data was generated using the same anti-ATG9A clone (EPR2450(2)] in a different buffer formulation (cat# ab108338).

Lane 1 : Wild-type HAP1 cell lysate (20 μg)
Lane 2 : ATG9A knockout HAP1 cell lysate (20 μg)
Lane 3 : HepG2 cell lysate (20 μg)
Lane 4 : A375 cell lysate (20 μg)
Lanes 1 - 4 : Merged signal (red and green). Green - ab108338 observed at 100 and 130 kDa. Red - loading control, ab8245, observed at 37 kDa.

ab108338 was shown to specifically react with ATG9A when ATG9A knockout samples were used. Wild-type and ATG9A knockout samples were subjected to SDS-PAGE. ab108338 and ab8245 (loading control to GAPDH) were diluted 1/1000 and 1/2000 and incubated overnight at 4°C. Blots were developed with Goat anti-Rabbit IgG H&L (IRDye® 800CW) preadsorbed (ab216773) and Goat anti-Mouse IgG H&L (IRDye® 680RD) preadsorbed (ab216776) secondary antibodies at 1/10,000 dilution for 1 h at room temperature before imaging.

All lanes:

Western blot - Anti-ATG9A antibody [EPR2450(2)] (<a href='/en-us/products/primary-antibodies/atg9a-antibody-epr24502-ab108338'>ab108338</a>)

Predicted band size: 94 kDa

false

Key facts

Host species

Rabbit

Clonality

Monoclonal

Clone number

EPR2450(2)

Isotype

IgG

Carrier free

Yes

Reacts with

Mouse, Rat, Human

Applications

WB, IHC-P, Flow Cyt (Intra), IP, ICC/IF

applications

Immunogen

The exact immunogen used to generate this antibody is proprietary information.

Specificity

The mouse and rat recommendation is based on the WB results. We do not guarantee IHC-P for mouse and rat.

Reactivity data

{ "title": "Reactivity Data", "filters": { "stats": ["", "Species", "Dilution Info", "Notes"], "tabs": { "all-applications": {"fullname" : "All Applications", "shortname": "All Applications"}, "IHCP" : {"fullname" : "Immunohistochemistry (Formalin/PFA-fixed paraffin-embedded sections)", "shortname":"IHC-P"}, "IP" : {"fullname" : "Immunoprecipitation", "shortname":"IP"}, "WB" : {"fullname" : "Western blot", "shortname":"WB"}, "ICCIF" : {"fullname" : "Immunocytochemistry/ Immunofluorescence", "shortname":"ICC/IF"}, "FlowCytIntra" : {"fullname" : "Flow Cytometry (Intracellular)", "shortname":"Flow Cyt (Intra)"} }, "product-promise": { "all": "all", "testedAndGuaranteed": "tested", "guaranteed": "expected", "predicted": "predicted", "notRecommended": "not-recommended" } }, "values": { "Human": { "IHCP-species-checked": "testedAndGuaranteed", "IHCP-species-dilution-info": "", "IHCP-species-notes": "<p></p>", "IP-species-checked": "testedAndGuaranteed", "IP-species-dilution-info": "", "IP-species-notes": "<p></p>", "WB-species-checked": "testedAndGuaranteed", "WB-species-dilution-info": "", "WB-species-notes": "<p></p>", "ICCIF-species-checked": "testedAndGuaranteed", "ICCIF-species-dilution-info": "", "ICCIF-species-notes": "<p></p>", "FlowCytIntra-species-checked": "testedAndGuaranteed", "FlowCytIntra-species-dilution-info": "", "FlowCytIntra-species-notes": "<p><a href='/en-us/products/primary-antibodies/rabbit-igg-monoclonal-epr25a-isotype-control-low-endotoxin-azide-free-ab199376'>ab199376</a> - Rabbit monoclonal IgG, is suitable for use as an isotype control with this antibody.</p>" }, "Mouse": { "IHCP-species-checked": "guaranteed", "IHCP-species-dilution-info": "", "IHCP-species-notes": "", "IP-species-checked": "guaranteed", "IP-species-dilution-info": "", "IP-species-notes": "", "WB-species-checked": "testedAndGuaranteed", "WB-species-dilution-info": "", "WB-species-notes": "<p></p>", "ICCIF-species-checked": "guaranteed", "ICCIF-species-dilution-info": "", "ICCIF-species-notes": "", "FlowCytIntra-species-checked": "guaranteed", "FlowCytIntra-species-dilution-info": "", "FlowCytIntra-species-notes": "" }, "Rat": { "IHCP-species-checked": "guaranteed", "IHCP-species-dilution-info": "", "IHCP-species-notes": "", "IP-species-checked": "guaranteed", "IP-species-dilution-info": "", "IP-species-notes": "", "WB-species-checked": "testedAndGuaranteed", "WB-species-dilution-info": "", "WB-species-notes": "<p></p>", "ICCIF-species-checked": "guaranteed", "ICCIF-species-dilution-info": "", "ICCIF-species-notes": "", "FlowCytIntra-species-checked": "guaranteed", "FlowCytIntra-species-dilution-info": "", "FlowCytIntra-species-notes": "" } } }

Product details

ab223528 is the carrier-free version of ab108338.

Patented technology
Our RabMAb® technology is a patented hybridoma-based technology for making rabbit monoclonal antibodies. For details on our patents, please refer to RabMAb® patents.

What are the advantages of a recombinant monoclonal antibody?
This product is a recombinant monoclonal antibody, which offers several advantages including:

  • - High batch-to-batch consistency and reproducibility
  • - Improved sensitivity and specificity
  • - Long-term security of supply
  • - Animal-free batch production

For more information, read more on recombinant antibodies.

Conjugation ready
Our carrier-free antibodies are typically supplied in a PBS-only formulation, purified and free of BSA, sodium azide and glycerol. This conjugation-ready format is designed for use with fluorochromes, metal isotopes, oligonucleotides, and enzymes, which makes them ideal for antibody labelling, functional and cell-based assays, flow-based assays (e.g. mass cytometry) and Multiplex Imaging applications.

Use our conjugation kits for antibody conjugates that are ready-to-use in as little as 20 minutes with 1 minute hands-on-time and 100% antibody recovery: available for fluorescent dyes, HRP, biotin and gold.

Compatibility
This product is compatible with the Maxpar® Antibody Labeling Kit from Fluidigm, without the need for antibody preparation. Maxpar® is a trademark of Fluidigm Canada Inc.

Properties and storage information

Form
Liquid
Purification technique
Affinity purification Protein A
Storage buffer
pH: 7.2 - 7.4 Constituents: PBS
Shipped at conditions
Blue Ice
Appropriate short-term storage conditions
+4°C
Appropriate long-term storage conditions
+4°C
Storage information
Do Not Freeze

Supplementary information

This supplementary information is collated from multiple sources and compiled automatically.

ATG9A also known as APG9-like 1 or ATG9 autophagy related 9A is an important component in the autophagy machinery. This protein has a molecular weight of approximately 93 kDa. It is ubiquitously expressed in various tissues with higher expression seen in the heart and skeletal muscle. Mechanically ATG9A is essential for the trafficking of membranes necessary for autophagosome formation. It actively participates in membrane lipids' delivery from donor organelles which are critical for constructing autophagosomes.
Biological function summary

ATG9A facilitates the recycling of cellular materials through a process called autophagy. This protein acts with other autophagy-related proteins to form a complex essential for autophagosome elongation and closure. The ATG9A protein's dynamic movements between the Golgi apparatus and endosomes ensure proper membrane supply for autophagy. It coordinates with the ULK1 complex and various phospholipid-modifying enzymes which are necessary to regulate autophagic flux.

Pathways

ATG9A plays an integral role in the mTOR signaling and MAPK pathways. Both pathways are essential for cellular responses to stress and nutrient availability. In these pathways ATG9A works closely with proteins like beclin 1 and ATG5. Inhibiting mTOR actively induces autophagy where ATG9A contributes to membrane recruitment and elongation of the autophagosomes facilitating the clearance of damaged organelles and proteins.

ATG9A shows a significant link to neurodegenerative diseases such as Parkinson's and Alzheimer's disease. The dysfunction of autophagic pathways due to altered ATG9A function leads to the accumulation of damaged proteins and organelles. This event contributes to the pathogenesis of such neurodegenerative diseases. Moreover ATG9A closely associates with proteins like LAMP2 whose mutations similarly lead to defective autophagic processes resulting in the accumulation of unprocessed cellular debris in these disorders.

Product protocols

For this product, it's our understanding that no specific protocols are required. You can visit:

Target data

Phospholipid scramblase involved in autophagy by mediating autophagosomal membrane expansion (PubMed : 22456507, PubMed : 27510922, PubMed : 29437695, PubMed : 32513819, PubMed : 32610138, PubMed : 33106659, PubMed : 33468622, PubMed : 33850023). Cycles between the preautophagosomal structure/phagophore assembly site (PAS) and the cytoplasmic vesicle pool and supplies membrane for the growing autophagosome (PubMed : 16940348, PubMed : 22456507, PubMed : 33106659). Lipid scramblase activity plays a key role in preautophagosomal structure/phagophore assembly by distributing the phospholipids that arrive through ATG2 (ATG2A or ATG2B) from the cytoplasmic to the luminal leaflet of the bilayer, thereby driving autophagosomal membrane expansion (PubMed : 33106659). Also required to supply phosphatidylinositol 4-phosphate to the autophagosome initiation site by recruiting the phosphatidylinositol 4-kinase beta (PI4KB) in a process dependent on ARFIP2, but not ARFIP1 (PubMed : 30917996). In addition to autophagy, also plays a role in necrotic cell death (By similarity).
See full target information ATG9A

Publications (7)

Recent publications for all applications. Explore the full list and refine your search

Nature communications 7:10533 PubMed26837467

2016

Autophagy regulates Notch degradation and modulates stem cell development and neurogenesis.

Applications

ICC/IF

Species

Human

Xiaoting Wu,Angeleen Fleming,Thomas Ricketts,Mariana Pavel,Herbert Virgin,Fiona M Menzies,David C Rubinsztein

Methods (San Diego, Calif.) 75:19-24 PubMed25461811

2014

Methods to analyze SNARE-dependent vesicular fusion events that regulate autophagosome biogenesis.

Applications

Unspecified application

Species

Unspecified reactive species

Kevin Moreau,Claudia Puri,David C Rubinsztein

Nature communications 5:4998 PubMed25241929

2014

PICALM modulates autophagy activity and tau accumulation.

Applications

ICC/IF

Species

Human

Kevin Moreau,Angeleen Fleming,Sara Imarisio,Ana Lopez Ramirez,Jacob L Mercer,Maria Jimenez-Sanchez,Carla F Bento,Claudia Puri,Eszter Zavodszky,Farah Siddiqi,Catherine P Lavau,Maureen Betton,Cahir J O'Kane,Daniel S Wechsler,David C Rubinsztein

Nature communications 5:3828 PubMed24819384

2014

Mutation in VPS35 associated with Parkinson's disease impairs WASH complex association and inhibits autophagy.

Applications

ICC/IF

Species

Human

Eszter Zavodszky,Matthew N J Seaman,Kevin Moreau,Maria Jimenez-Sanchez,Sophia Y Breusegem,Michael E Harbour,David C Rubinsztein

Journal of immunology (Baltimore, Md. : 1950) 192:4273-83 PubMed24670807

2014

Age-enhanced endoplasmic reticulum stress contributes to increased Atg9A inhibition of STING-mediated IFN-β production during Streptococcus pneumoniae infection.

Applications

Unspecified application

Species

Unspecified reactive species

Dana N Mitzel,Virginia Lowry,Anushree C Shirali,Yushi Liu,Heather W Stout-Delgado

Molecular and cellular biology 34:1695-706 PubMed24591649

2014

A cluster of thin tubular structures mediates transformation of the endoplasmic reticulum to autophagic isolation membrane.

Applications

Unspecified application

Species

Unspecified reactive species

Takefumi Uemura,Masaya Yamamoto,Ai Kametaka,Yu-shin Sou,Atsuko Yabashi,Akane Yamada,Hiromichi Annoh,Satoshi Kametaka,Masaaki Komatsu,Satoshi Waguri

Cell 154:1285-99 PubMed24034251

2013

Diverse autophagosome membrane sources coalesce in recycling endosomes.

Applications

Unspecified application

Species

Unspecified reactive species

Claudia Puri,Maurizio Renna,Carla F Bento,Kevin Moreau,David C Rubinsztein
View all publications

Product promise

We are committed to supporting your work with high-quality reagents, and we're here for you every step of the way. In the unlikely event that one of our products does not perform as expected, you're protected by our Product Promise.
For full details, please see our Terms & Conditions

Please note: All products are 'FOR RESEARCH USE ONLY. NOT FOR USE IN DIAGNOSTIC OR THERAPEUTIC PROCEDURES'.

For licensing inquiries, please contact partnerships@abcam.com