JavaScript is disabled in your browser. Please enable JavaScript to view this website.
AB78

Anti-ATM antibody [2C1 (1A1)] - BSA and Azide free

4

(10 Reviews)

|

(130 Publications)

Anti-ATM antibody [2C1 (1A1)] - BSA and Azide free (ab78) is a mouse monoclonal antibody provided in a PBS only buffer for easy conjugation detecting ATM in Western Blot, Flow Cytometry, IP, IHC-P. Suitable for Human.

- BSA, sodium azide, and glycerol-free for easy conjugation
- Over 110 publications
- Trusted since 2002

View Alternative Names

Serine-protein kinase ATM, Ataxia telangiectasia mutated, A-T mutated, ATM

8 Images
Western blot - Anti-ATM antibody [2C1 (1A1)] - BSA and Azide free (AB78)
  • WB

Supplier Data

Western blot - Anti-ATM antibody [2C1 (1A1)] - BSA and Azide free (AB78)

5% SDS-PAGE.

Running conditions : 80V, 15min; 140V, 40 minutes.

Transfer condition : Semi-dry, 18 V, 60 min (NC membrane).

Blocking condition : 5% non-fat milk in TBST, RT, 60 minutes.

Primary antibody incubation : 4°C, overnight.

Washing condition : 5 ml TBST, 4 x 5 minutes.

Exposure : enhanced ECL

All lanes:

Western blot - Anti-ATM antibody [2C1 (1A1)] - BSA and Azide free (ab78) at 1/500 dilution

Lane 1:

30ug HeLa

Lane 2:

30ug HeLa nuclear extract

Lane 3:

30ug SK-N-SH

Secondary

All lanes:

Mouse IgG antibody (HRP) at 1/5000 dilution

Predicted band size: 351 kDa

false

Immunohistochemistry (Formalin/PFA-fixed paraffin-embedded sections) - Anti-ATM antibody [2C1 (1A1)] - BSA and Azide free (AB78)
  • IHC-P

Supplier Data

Immunohistochemistry (Formalin/PFA-fixed paraffin-embedded sections) - Anti-ATM antibody [2C1 (1A1)] - BSA and Azide free (AB78)

ab78 staining ATM in Human Kidney sections by Immunohistochemistry (IHC-P - paraformaldehyde-fixed, paraffin-embedded sections). Samples were incubated with primary antibody (5ug/ml) and a Biotin-conjugated rabbit anti-mouse IgG was used as the secondary antibody.

Flow Cytometry - Anti-ATM antibody [2C1 (1A1)] - BSA and Azide free (AB78)
  • Flow Cyt

Unknown

Flow Cytometry - Anti-ATM antibody [2C1 (1A1)] - BSA and Azide free (AB78)

Overlay histogram showing HeLa cells stained with ab78 (red line). The cells were fixed with 80% methanol (5 min) and then permeabilized with 0.1% PBS-Tween for 20 min. The cells were then incubated in 1x PBS / 10% normal goat serum / 0.3M glycine to block non-specific protein-protein interactions followed by the antibody (ab78, 1μg/1x106 cells) for 30 min at 22°C. The secondary antibody used was DyLight® 488 goat anti-mouse IgG (H+L) (ab96879) at 1/500 dilution for 30 min at 22°C. Isotype control antibody (black line) was mouse IgG1 [ICIGG1] (ab91353, 2μg/1x106 cells) used under the same conditions. Acquisition of >5,000 events was performed. This antibody gave a positive signal in HeLa cells fixed with 4% paraformaldehyde (10 min)/permeabilized with 0.1% PBS-Tween for 20 min used under the same conditions.

Immunohistochemistry (Formalin/PFA-fixed paraffin-embedded sections) - Anti-ATM antibody [2C1 (1A1)] - BSA and Azide free (AB78)
  • IHC-P

Unknown

Immunohistochemistry (Formalin/PFA-fixed paraffin-embedded sections) - Anti-ATM antibody [2C1 (1A1)] - BSA and Azide free (AB78)

ab78 (2μg/ml) staining ATM in human colonic mucosa, using an automated system (DAKO Autostainer Plus). Using this protocol there is strong nuclear staining of mucosal epithelium and lymphocytes.
Sections were rehydrated and antigen retrieved with the Dako 3 in 1 AR buffer EDTA pH 9.0 in a DAKO PT link. Slides were peroxidase blocked in 3% H2O2 in methanol for 10 mins. They were then blocked with Dako Protein block for 10 minutes (containing casein 0.25% in PBS) then incubated with primary antibody for 20 min and detected with Dako envision flex amplification kit for 30 minutes. Colorimetric detection was completed with Diaminobenzidine for 5 minutes. Slides were counterstained with Haematoxylin and coverslipped under DePeX. Please note that, for manual staining, optimization of primary antibody concentration and incubation time is recommended. Signal amplification may be required.

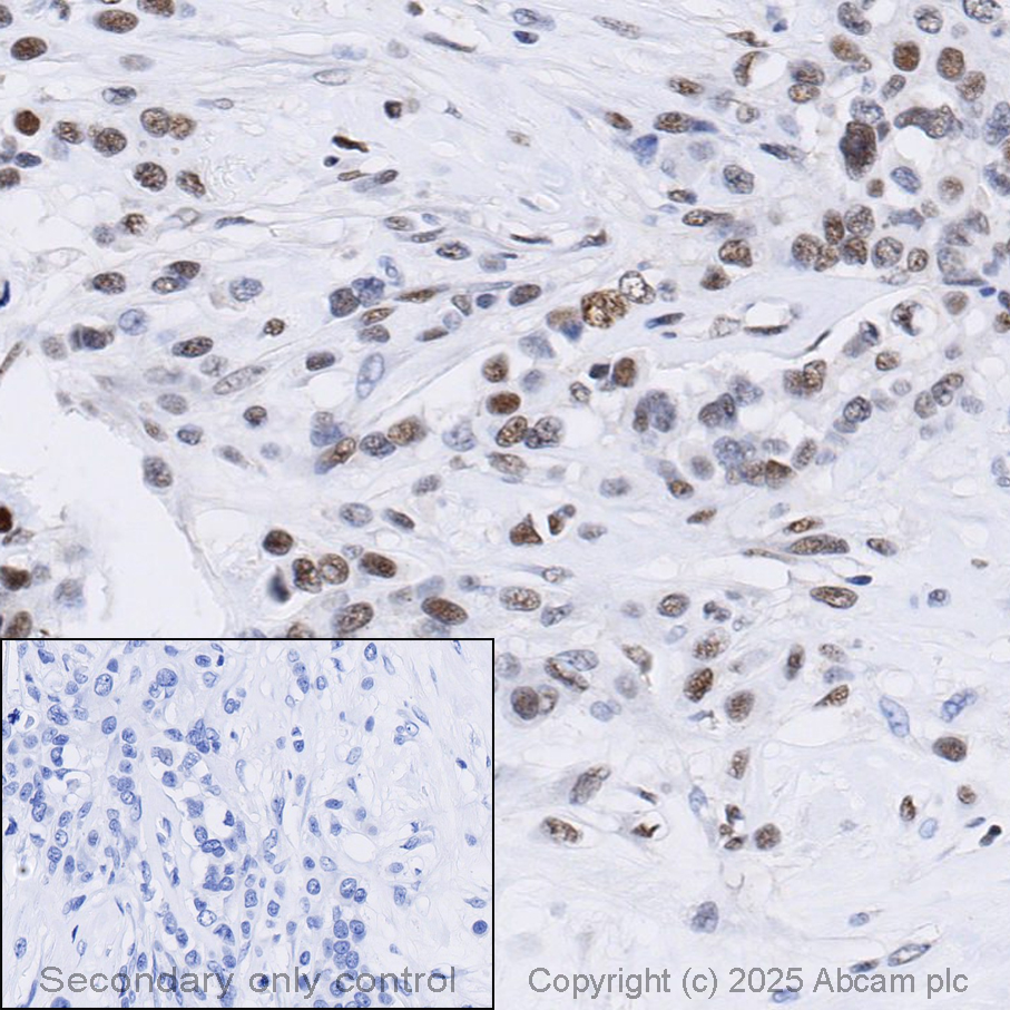
Immunohistochemistry (Formalin/PFA-fixed paraffin-embedded sections) - Anti-ATM antibody [2C1 (1A1)] - BSA and Azide free (AB78)
  • IHC-P

Supplier Data

Immunohistochemistry (Formalin/PFA-fixed paraffin-embedded sections) - Anti-ATM antibody [2C1 (1A1)] - BSA and Azide free (AB78)

ab78 staining ATM in Human Testis sections by Immunohistochemistry (IHC-P - paraformaldehyde-fixed, paraffin-embedded sections). Samples were incubated with primary antibody (5ug/ml) and a Biotin-conjugated rabbit anti-mouse IgG was used as the secondary antibody.

Immunoprecipitation - Anti-ATM antibody [2C1 (1A1)] - BSA and Azide free (AB78)
  • IP

Unknown

Immunoprecipitation - Anti-ATM antibody [2C1 (1A1)] - BSA and Azide free (AB78)

Detection of human ATM protein using anti-ATM 2C1 monoclonal antibody (ab78) by immunoprecipitation.

All lanes:

Immunoprecipitation - Anti-ATM antibody [2C1 (1A1)] - BSA and Azide free (ab78)

Predicted band size: 351 kDa

false

Western blot - Anti-ATM antibody [2C1 (1A1)] - BSA and Azide free (AB78)
  • WB

Supplier Data

Western blot - Anti-ATM antibody [2C1 (1A1)] - BSA and Azide free (AB78)

Detection of human ATM protein using anti-ATM 2C1 monoclonal antibody (ab78) by western blot.

All lanes:

Western blot - Anti-ATM antibody [2C1 (1A1)] - BSA and Azide free (ab78)

Predicted band size: 351 kDa

false

Western blot - Anti-ATM antibody [2C1 (1A1)] - BSA and Azide free (AB78)
  • WB

CiteAb

Western blot - Anti-ATM antibody [2C1 (1A1)] - BSA and Azide free (AB78)

ATM western blot using anti-ATM antibody [2C1 (1A1)] - BSA and Azide free ab78. Publication image and figure legend from Cilli, D., Mirasole, C., et al., 2014, PLoS One, PubMed 25485873.

ab78 was used in this publication in western blot. This may not be the same as the application(s) guaranteed by Abcam. For a full list of applications guaranteed by Abcam for ab78 please see the product overview.

Evaluation of the Strep-tag recombinant proteins expression and Western blot analysis of NBN, p26 and p70 interactors.(A) Protein lysates, obtained after 24 and 48 h from HEK293 transient tranfections, were analyzed by Western blot using a StrepMAB-Classic horse radish peroxidase conjugated antibody. The highest level of expression was observed after 48 h from transfection, for all the recombinant proteins. Protein extracts obtained from HEK293 cells transfected with the empty vector were used as negative control. (B) Check of the expression of the Strep-tag recombinant proteins. Immunoblots were performed using the protein eluates obtained from HEK293 transfected cells either untreated or exposed to 2 Gy of X-rays, lysed after 30 minutes and purified by Strep-tag chromatography. Filters were probed with the anti-NBN antibody directed against the full-length protein. (C) Protein eluates obtained from HEK293 transfected cells exposed to 2 Gy of X-rays were lysed after 30 minutes, purified by Strep-tag chromatography, and analysed by Western blot using the following antibodies : anti-53BP1 rabbit polyclonal, anti-ATM mouse monoclonal, anti-ATM pSer1981 mouse monoclonal, anti-BRCA1 mouse monoclonal, anti-CHK2 pThr68 rabbit polyclonal, anti-CHK2 mouse monoclonal, anti-CtIP rabbit polyclonal, γ-H2AX rabbit polyclonal, anti-Hsp90 rabbit polyclonal, anti-MRE11 mouse monoclonal, anti-NBN mouse monoclonal, anti-PARP1 mouse monoclonal, anti-PP2A rabbit polyclonal, anti-PML rabbit polyclonal, anti-SMC1 rabbit polyclonal.

false

Key facts

Host species

Mouse

Clonality

Monoclonal

Clone number

2C1 (1A1)

Isotype

IgG1

Light chain type

kappa

Carrier free

Yes

Reacts with

Human

Applications

IP, IHC-P, WB, Flow Cyt

applications

Immunogen

Recombinant Fragment Protein within Human ATM aa 2550 to C-terminus. The exact immunogen used to generate this antibody is proprietary information.

Q13315

Specificity

The ATM antibody, clone 2C1, recognizes full-length ATM.

Reactivity data

{ "title": "Reactivity Data", "filters": { "stats": ["", "Species", "Dilution Info", "Notes"], "tabs": { "all-applications": {"fullname" : "All Applications", "shortname": "All Applications"}, "IP" : {"fullname" : "Immunoprecipitation", "shortname":"IP"}, "FlowCyt" : {"fullname" : "Flow Cytometry", "shortname":"Flow Cyt"}, "WB" : {"fullname" : "Western blot", "shortname":"WB"}, "IHCP" : {"fullname" : "Immunohistochemistry (Formalin/PFA-fixed paraffin-embedded sections)", "shortname":"IHC-P"} }, "product-promise": { "all": "all", "testedAndGuaranteed": "tested", "guaranteed": "expected", "predicted": "predicted", "notRecommended": "not-recommended" } }, "values": { "Human": { "IP-species-checked": "testedAndGuaranteed", "IP-species-dilution-info": "1-10 µg/mL", "IP-species-notes": "<p></p>", "FlowCyt-species-checked": "testedAndGuaranteed", "FlowCyt-species-dilution-info": "1-2 µg for 10^6 Cells", "FlowCyt-species-notes": "<p><a href='/en-us/products/primary-antibodies/mouse-igg1-kappa-monoclonal-15-6e10a7-isotype-control-ab170190'>ab170190</a> - Mouse monoclonal IgG1, is suitable for use as an isotype control with this antibody.</p>", "WB-species-checked": "testedAndGuaranteed", "WB-species-dilution-info": "1/500 - 1/3000", "WB-species-notes": "<p></p>", "IHCP-species-checked": "testedAndGuaranteed", "IHCP-species-dilution-info": "5 µg/mL", "IHCP-species-notes": "<p></p>" }, "Mouse": { "IP-species-checked": "predicted", "IP-species-dilution-info": "", "IP-species-notes": "", "FlowCyt-species-checked": "predicted", "FlowCyt-species-dilution-info": "", "FlowCyt-species-notes": "", "WB-species-checked": "predicted", "WB-species-dilution-info": "", "WB-species-notes": "", "IHCP-species-checked": "predicted", "IHCP-species-dilution-info": "", "IHCP-species-notes": "" }, "Rat": { "IP-species-checked": "predicted", "IP-species-dilution-info": "", "IP-species-notes": "", "FlowCyt-species-checked": "predicted", "FlowCyt-species-dilution-info": "", "FlowCyt-species-notes": "", "WB-species-checked": "predicted", "WB-species-dilution-info": "", "WB-species-notes": "", "IHCP-species-checked": "predicted", "IHCP-species-dilution-info": "", "IHCP-species-notes": "" }, "Monkey": { "IP-species-checked": "predicted", "IP-species-dilution-info": "", "IP-species-notes": "", "FlowCyt-species-checked": "predicted", "FlowCyt-species-dilution-info": "", "FlowCyt-species-notes": "", "WB-species-checked": "predicted", "WB-species-dilution-info": "", "WB-species-notes": "", "IHCP-species-checked": "predicted", "IHCP-species-dilution-info": "", "IHCP-species-notes": "" } } }

Product details

What is this antibody validated in?
Anti-ATM antibody [2C1 (1A1)] - BSA and Azide free (ab78) is a mouse monoclonal antibody and is validated for use in Western Blot (WB), Flow Cytometry (Flow Cyt), Immunoprecipitation (IP), Immunohistochemistry (IHC-P) in Human samples.

What is the molecular weight of ATM?
Anti-ATM [2C1 (1A1)] - BSA and Azide free (ab78) specifically detects a band for ATM (UniProt: Q13315) at a molecular weight of 350kDa.

Trusted by the scientific community
Anti-ATM [2C1 (1A1)] - BSA and Azide free (ab78) was first used in a scientific publication in 2002 and has been cited over 110 times in peer-reviewed journals.

Reviewed by scientists
Anti-ATM [2C1 (1A1)] - BSA and Azide free (ab78) has over 10 independent reviews from customers.

Properties and storage information

Form
Liquid
Purification notes
Purified from TCS by Protein G chromatography to at least 95% homogeneity as determined by SDS-PAGE.
Storage buffer
pH: 7.4 Constituents: 100% PBS
Shipped at conditions
Blue Ice
Appropriate short-term storage duration
1-2 weeks
Appropriate short-term storage conditions
+4°C
Appropriate long-term storage conditions
-20°C
Aliquoting information
Upon delivery aliquot
Storage information
Avoid freeze / thaw cycle

Supplementary information

This supplementary information is collated from multiple sources and compiled automatically.

ATM also known as Ataxia Telangiectasia Mutated is a protein kinase with a molecular weight of approximately 370 kDa. ATM protein primarily resides in the cell nucleus and functions as a critical regulator of the cell cycle. It plays a significant role in the detection of DNA damage and initiation of repair processes. As part of its mechanical functions ATM phosphorylates serine and threonine residues on various substrates most notably in response to double-strand breaks in DNA. This activity is important for maintaining genomic stability.
Biological function summary

ATM acts as a coordinator in cellular response to DNA damage highly interacting with multiple components of the DNA repair machinery. It forms a complex with proteins like NBS1 and MRN complex facilitating repair by recruiting and activating other proteins involved in homologous recombination and non-homologous end joining pathways. ATM also modulates p53 activity a primary response factor in cellular stress management linking ATM to control of cell cycle arrest and apoptosis. This positions ATM as an integral part of maintaining cellular integrity in face of genomic insult.

Pathways

ATM integrates neatly within the DNA damage response and cell cycle control pathways. ATM's operative relationship with the MRN complex and its role in the PI3K-related protein kinase family helps initiate appropriate repair processes upon DNA damage detection. Additionally ATM regulates the activity of proteins such as Chk2 which further propagates signals to p53 influencing decisions between cell cycle arrest and apoptosis. These interactions link ATM closely to essential processes like DNA repair and cell survival highlighting its role in genomic maintenance.

ATM mutations or dysregulation leads to Ataxia Telangiectasia an autosomal recessive disorder characterized by neurodegeneration immune deficiencies and cancer predisposition. ATM dysfunction also connects to cancer development particularly breast cancer where it transmits signals involving BRCA1 contributing to DNA repair through homologous recombination. Understanding ATM dynamics and related pathways has important implications for developing therapeutic strategies to manage or mitigate effects associated with its dysfunction.

Product protocols

For this product, it's our understanding that no specific protocols are required. You can visit:

Target data

Serine/threonine protein kinase which activates checkpoint signaling upon double strand breaks (DSBs), apoptosis and genotoxic stresses such as ionizing ultraviolet A light (UVA), thereby acting as a DNA damage sensor (PubMed : 10550055, PubMed : 10839545, PubMed : 10910365, PubMed : 12556884, PubMed : 14871926, PubMed : 15064416, PubMed : 15448695, PubMed : 15456891, PubMed : 15790808, PubMed : 15916964, PubMed : 17923702, PubMed : 21757780, PubMed : 24534091, PubMed : 35076389, PubMed : 9733514). Recognizes the substrate consensus sequence [ST]-Q (PubMed : 10550055, PubMed : 10839545, PubMed : 10910365, PubMed : 12556884, PubMed : 14871926, PubMed : 15448695, PubMed : 15456891, PubMed : 15916964, PubMed : 17923702, PubMed : 24534091, PubMed : 9733514). Phosphorylates 'Ser-139' of histone variant H2AX at double strand breaks (DSBs), thereby regulating DNA damage response mechanism (By similarity). Also plays a role in pre-B cell allelic exclusion, a process leading to expression of a single immunoglobulin heavy chain allele to enforce clonality and monospecific recognition by the B-cell antigen receptor (BCR) expressed on individual B-lymphocytes. After the introduction of DNA breaks by the RAG complex on one immunoglobulin allele, acts by mediating a repositioning of the second allele to pericentromeric heterochromatin, preventing accessibility to the RAG complex and recombination of the second allele. Also involved in signal transduction and cell cycle control. May function as a tumor suppressor. Necessary for activation of ABL1 and SAPK. Phosphorylates DYRK2, CHEK2, p53/TP53, FBXW7, FANCD2, NFKBIA, BRCA1, CREBBP/CBP, RBBP8/CTIP, MRE11, nibrin (NBN), RAD50, RAD17, PELI1, TERF1, UFL1, RAD9, UBQLN4 and DCLRE1C (PubMed : 10550055, PubMed : 10766245, PubMed : 10802669, PubMed : 10839545, PubMed : 10910365, PubMed : 10973490, PubMed : 11375976, PubMed : 12086603, PubMed : 15456891, PubMed : 19965871, PubMed : 21757780, PubMed : 24534091, PubMed : 26240375, PubMed : 26774286, PubMed : 30612738, PubMed : 30886146, PubMed : 30952868, PubMed : 38128537, PubMed : 9733515, PubMed : 9843217). May play a role in vesicle and/or protein transport. Could play a role in T-cell development, gonad and neurological function. Plays a role in replication-dependent histone mRNA degradation. Binds DNA ends. Phosphorylation of DYRK2 in nucleus in response to genotoxic stress prevents its MDM2-mediated ubiquitination and subsequent proteasome degradation (PubMed : 19965871). Phosphorylates ATF2 which stimulates its function in DNA damage response (PubMed : 15916964). Phosphorylates ERCC6 which is essential for its chromatin remodeling activity at DNA double-strand breaks (PubMed : 29203878). Phosphorylates TTC5/STRAP at 'Ser-203' in the cytoplasm in response to DNA damage, which promotes TTC5/STRAP nuclear localization (PubMed : 15448695). Also involved in pexophagy by mediating phosphorylation of PEX5 : translocated to peroxisomes in response to reactive oxygen species (ROS), and catalyzes phosphorylation of PEX5, promoting PEX5 ubiquitination and induction of pexophagy (PubMed : 26344566).
See full target information ATM

Publications (130)

Recent publications for all applications. Explore the full list and refine your search

Cell death & disease 16:128 PubMed39994186

2025

Targeting Chk1 and Wee1 kinases enhances radiosensitivity of 2D and 3D head and neck cancer models to X-rays and low/high-LET protons.

Applications

Unspecified application

Species

Unspecified reactive species

Emma Melia,Anne-Sophie Fisch,Ingeborg Tinhofer,Jason L Parsons

International journal of molecular sciences 25: PubMed39596376

2024

Influence of the Nucleo-Shuttling of the ATM Protein on the Response of Skin Fibroblasts from Marfan Syndrome to Ionizing Radiation.

Applications

Unspecified application

Species

Unspecified reactive species

Dagmara Jakubowska,Joëlle Al-Choboq,Laurène Sonzogni,Michel Bourguignon,Dorota Slonina,Nicolas Foray

Nature communications 15:7776 PubMed39237529

2024

RAD52 resolves transcription-replication conflicts to mitigate R-loop induced genome instability.

Applications

Unspecified application

Species

Unspecified reactive species

Manisha Jalan,Aman Sharma,Xin Pei,Nils Weinhold,Erika S Buechelmaier,Yingjie Zhu,Sana Ahmed-Seghir,Abhirami Ratnakumar,Melody Di Bona,Niamh McDermott,Joan Gomez-Aguilar,Kyrie S Anderson,Charlotte K Y Ng,Pier Selenica,Samuel F Bakhoum,Jorge S Reis-Filho,Nadeem Riaz,Simon N Powell

Scientific reports 14:19999 PubMed39198533

2024

Discovery of the DNA-PKcs inhibitor DA-143 which exhibits enhanced solubility relative to NU7441.

Applications

Unspecified application

Species

Unspecified reactive species

Zachary J Waldrip,Baku Acharya,Daniel Armstrong,Maha Hanafi,Randall R Rainwater,Sharon Amole,Madeline Fulmer,Ana Clara Azevedo-Pouly,Alaina Burns,Lyle Burdine,Brendan Frett,Marie Schluterman Burdine

Oncology reports 52: PubMed39092576

2024

Metformin suppresses esophageal cancer progression through the radiation‑induced cellular senescence of cancer‑associated fibroblasts.

Applications

Unspecified application

Species

Unspecified reactive species

Yuya Sugimoto,Koichi Okamoto,Hiroto Saito,Takahisa Yamaguchi,Jun Kinoshita,Keishi Nakamura,Takahisa Takino,Yoshio Endo,Itasu Ninomiya,Tetsuo Ohta,Noriyuki Inaki

iScience 27:109797 PubMed38993671

2024

Bromodomain protein BRD4 directs mitotic cell division of mouse fibroblasts by inhibiting DNA damage.

Applications

Unspecified application

Species

Unspecified reactive species

Tiyun Wu,Haitong Hou,Anup Dey,Mahesh Bachu,Xiongfong Chen,Jan Wisniewski,Fuki Kudoh,Chao Chen,Sakshi Chauhan,Hua Xiao,Richard Pan,Keiko Ozato

Oncogene 43:1900-1916 PubMed38671157

2024

The DNA damage-independent ATM signalling maintains CBP/DOT1L axis in MLL rearranged acute myeloid leukaemia.

Applications

Unspecified application

Species

Unspecified reactive species

Guangming Wang,Wenjun Zhang,Jie Ren,Yu Zeng,Xiuyong Dang,Xiaoxue Tian,Wenlei Yu,Zheng Li,Yuting Ma,Pingping Yang,Jinyuan Lu,Junke Zheng,Bing Lu,Jun Xu,Aibin Liang

mSphere 9:e0014024 PubMed38564734

2024

MYST regulates DNA repair and forms a NuA4-like complex in the malaria parasite .

Applications

Unspecified application

Species

Unspecified reactive species

Mohammad Kalamuddin,Ahmad Rushdi Shakri,Chengqi Wang,Hui Min,Xiaolian Li,Liwang Cui,Jun Miao

Nature communications 15:2725 PubMed38548751

2024

Mitochondrial HO release does not directly cause damage to chromosomal DNA.

Applications

Unspecified application

Species

Unspecified reactive species

Daan M K van Soest,Paulien E Polderman,Wytze T F den Toom,Janneke P Keijer,Markus J van Roosmalen,Tim M F Leyten,Johannes Lehmann,Susan Zwakenberg,Sasha De Henau,Ruben van Boxtel,Boudewijn M T Burgering,Tobias B Dansen

Nature communications 15:1700 PubMed38402224

2024

The ATR inhibitor ceralasertib potentiates cancer checkpoint immunotherapy by regulating the tumor microenvironment.

Applications

Unspecified application

Species

Unspecified reactive species

Elizabeth L Hardaker,Emilio Sanseviero,Ankur Karmokar,Devon Taylor,Marta Milo,Chrysis Michaloglou,Adina Hughes,Mimi Mai,Matthew King,Anisha Solanki,Lukasz Magiera,Ricardo Miragaia,Gozde Kar,Nathan Standifer,Michael Surace,Shaan Gill,Alison Peter,Sara Talbot,Sehmus Tohumeken,Henderson Fryer,Ali Mostafa,Kathy Mulgrew,Carolyn Lam,Scott Hoffmann,Daniel Sutton,Larissa Carnevalli,Fernando J Calero-Nieto,Gemma N Jones,Andrew J Pierce,Zena Wilson,David Campbell,Lynet Nyoni,Carla P Martins,Tamara Baker,Gilberto Serrano de Almeida,Zainab Ramlaoui,Abdel Bidar,Benjamin Phillips,Joseph Boland,Sonia Iyer,J Carl Barrett,Arsene-Bienvenu Loembé,Serge Y Fuchs,Umamaheswar Duvvuri,Pei-Jen Lou,Melonie A Nance,Carlos Alberto Gomez Roca,Elaine Cadogan,Susan E Critichlow,Steven Fawell,Mark Cobbold,Emma Dean,Viia Valge-Archer,Alan Lau,Dmitry I Gabrilovich,Simon T Barry
View all publications

Product promise

We are committed to supporting your work with high-quality reagents, and we're here for you every step of the way. In the unlikely event that one of our products does not perform as expected, you're protected by our Product Promise.
For full details, please see our Terms & Conditions

Please note: All products are 'FOR RESEARCH USE ONLY. NOT FOR USE IN DIAGNOSTIC OR THERAPEUTIC PROCEDURES'.

For licensing inquiries, please contact partnerships@abcam.com