JavaScript is disabled in your browser. Please enable JavaScript to view this website.
AB17995

Anti-ATM antibody

5

(4 Reviews)

|

(15 Publications)

Rabbit Polyclonal ATM antibody. Suitable for WB, IHC-P and reacts with Human samples. Cited in 15 publications. Immunogen corresponding to Synthetic Peptide within Human ATM aa 2550-2600.

View Alternative Names

Serine-protein kinase ATM, Ataxia telangiectasia mutated, A-T mutated, ATM

3 Images
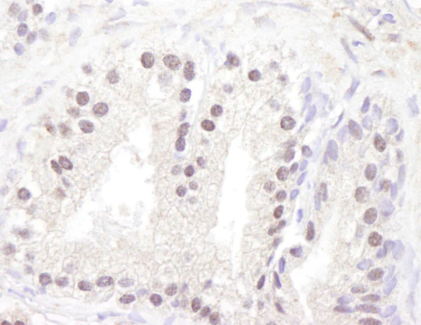
Immunohistochemistry (Formalin/PFA-fixed paraffin-embedded sections) - Anti-ATM antibody (AB17995)
  • IHC-P

Unknown

Immunohistochemistry (Formalin/PFA-fixed paraffin-embedded sections) - Anti-ATM antibody (AB17995)

Immunohistochemistry (Formalin/PFA-fixed paraffin-embedded sections) analysis of human prostate-nodular hypertrophy tissue labelling ATM with ab17995 at 1/1000 (1µg/ml). Detection : DAB.

Western blot - Anti-ATM antibody (AB17995)
  • WB

Unknown

Western blot - Anti-ATM antibody (AB17995)

Detection of Human ATM using ab17995 by Western Blot and Immunoprecipitation. Samples : A) Whole cell lysate (50 μg) from human L-40 (WT) or AT-59 (AT) cells. B) Whole cell lysate (1 mg) from WT cells. Antibody used at indicated concentrations for WB and at 0.5 μg/mg lysate for IP. Immunoprecipitated ATM was blotted with a monoclonal antibody to ATM. Detected by chemiluminescence with an exposure time of 30 seconds.

All lanes:

Western blot - Anti-ATM antibody (ab17995)

Predicted band size: 351 kDa

false

Western blot - Anti-ATM antibody (AB17995)
  • WB

CiteAb

Western blot - Anti-ATM antibody (AB17995)

ATM western blot using anti-ATM antibody ab17995. Publication image and figure legend from Jain, N., Balakrishnan, K., et al., 2017, Oncotarget, PubMed 27655665.

ab17995 was used in this publication in western blot. This may not be the same as the application(s) guaranteed by Abcam. For a full list of applications guaranteed by Abcam for ab17995 please see the product overview.

Stabilization of proteins ATM and p53 following DNA damage response : CLL lymphocytes obtained pre- and post-therapy were lysed and immunoblot assay was performed for DNA damage proteins and anti-apoptotic proteins as described in materials and methodsOne representative patient data is provided.

false

Key facts

Host species

Rabbit

Clonality

Polyclonal

Isotype

IgG

Carrier free

No

Reacts with

Human

Applications

WB, IHC-P

applications

Immunogen

Synthetic Peptide within Human ATM aa 2550-2600. The exact immunogen used to generate this antibody is proprietary information.

Q13315

Reactivity data

{ "title": "Reactivity Data", "filters": { "stats": ["", "Species", "Dilution Info", "Notes"], "tabs": { "all-applications": {"fullname" : "All Applications", "shortname": "All Applications"}, "WB" : {"fullname" : "Western blot", "shortname":"WB"}, "IHCP" : {"fullname" : "Immunohistochemistry (Formalin/PFA-fixed paraffin-embedded sections)", "shortname":"IHC-P"} }, "product-promise": { "all": "all", "testedAndGuaranteed": "tested", "guaranteed": "expected", "predicted": "predicted", "notRecommended": "not-recommended" } }, "values": { "Human": { "WB-species-checked": "testedAndGuaranteed", "WB-species-dilution-info": "1/5000 - 1/25000", "WB-species-notes": "<p></p>", "IHCP-species-checked": "testedAndGuaranteed", "IHCP-species-dilution-info": "1/500 - 1/2000", "IHCP-species-notes": "<p></p>" }, "Chimpanzee": { "WB-species-checked": "predicted", "WB-species-dilution-info": "", "WB-species-notes": "", "IHCP-species-checked": "predicted", "IHCP-species-dilution-info": "", "IHCP-species-notes": "" } } }

Have you thought about this alternative?

AB32420

Anti-ATM antibody [Y170]

5
8 Reviews
View product

We’re constantly upgrading our range to offer the highest quality products. We have selected this alternative product for your review because it gives improved performance, is easier and more convenient to use, or is available faster.

Properties and storage information

Form
Liquid
Purification technique
Affinity purification Immunogen
Purification notes
Antibody was affinity purified using an epitope specific to ATM immobilized on solid support.
Storage buffer
pH: 7 - 8 Preservative: 0.09% Sodium azide Constituents: 1.815% Tris, 1.764% Sodium citrate, 0.021% PBS
Shipped at conditions
Blue Ice
Appropriate short-term storage conditions
+4°C
Appropriate long-term storage conditions
-20°C
Aliquoting information
Upon delivery aliquot
Storage information
Avoid freeze / thaw cycle

Supplementary information

This supplementary information is collated from multiple sources and compiled automatically.

ATM also known as Ataxia Telangiectasia Mutated is a protein kinase with a molecular weight of approximately 370 kDa. ATM protein primarily resides in the cell nucleus and functions as a critical regulator of the cell cycle. It plays a significant role in the detection of DNA damage and initiation of repair processes. As part of its mechanical functions ATM phosphorylates serine and threonine residues on various substrates most notably in response to double-strand breaks in DNA. This activity is important for maintaining genomic stability.
Biological function summary

ATM acts as a coordinator in cellular response to DNA damage highly interacting with multiple components of the DNA repair machinery. It forms a complex with proteins like NBS1 and MRN complex facilitating repair by recruiting and activating other proteins involved in homologous recombination and non-homologous end joining pathways. ATM also modulates p53 activity a primary response factor in cellular stress management linking ATM to control of cell cycle arrest and apoptosis. This positions ATM as an integral part of maintaining cellular integrity in face of genomic insult.

Pathways

ATM integrates neatly within the DNA damage response and cell cycle control pathways. ATM's operative relationship with the MRN complex and its role in the PI3K-related protein kinase family helps initiate appropriate repair processes upon DNA damage detection. Additionally ATM regulates the activity of proteins such as Chk2 which further propagates signals to p53 influencing decisions between cell cycle arrest and apoptosis. These interactions link ATM closely to essential processes like DNA repair and cell survival highlighting its role in genomic maintenance.

ATM mutations or dysregulation leads to Ataxia Telangiectasia an autosomal recessive disorder characterized by neurodegeneration immune deficiencies and cancer predisposition. ATM dysfunction also connects to cancer development particularly breast cancer where it transmits signals involving BRCA1 contributing to DNA repair through homologous recombination. Understanding ATM dynamics and related pathways has important implications for developing therapeutic strategies to manage or mitigate effects associated with its dysfunction.

Product protocols

For this product, it's our understanding that no specific protocols are required. You can visit:

Target data

Serine/threonine protein kinase which activates checkpoint signaling upon double strand breaks (DSBs), apoptosis and genotoxic stresses such as ionizing ultraviolet A light (UVA), thereby acting as a DNA damage sensor (PubMed : 10550055, PubMed : 10839545, PubMed : 10910365, PubMed : 12556884, PubMed : 14871926, PubMed : 15064416, PubMed : 15448695, PubMed : 15456891, PubMed : 15790808, PubMed : 15916964, PubMed : 17923702, PubMed : 21757780, PubMed : 24534091, PubMed : 35076389, PubMed : 9733514). Recognizes the substrate consensus sequence [ST]-Q (PubMed : 10550055, PubMed : 10839545, PubMed : 10910365, PubMed : 12556884, PubMed : 14871926, PubMed : 15448695, PubMed : 15456891, PubMed : 15916964, PubMed : 17923702, PubMed : 24534091, PubMed : 9733514). Phosphorylates 'Ser-139' of histone variant H2AX at double strand breaks (DSBs), thereby regulating DNA damage response mechanism (By similarity). Also plays a role in pre-B cell allelic exclusion, a process leading to expression of a single immunoglobulin heavy chain allele to enforce clonality and monospecific recognition by the B-cell antigen receptor (BCR) expressed on individual B-lymphocytes. After the introduction of DNA breaks by the RAG complex on one immunoglobulin allele, acts by mediating a repositioning of the second allele to pericentromeric heterochromatin, preventing accessibility to the RAG complex and recombination of the second allele. Also involved in signal transduction and cell cycle control. May function as a tumor suppressor. Necessary for activation of ABL1 and SAPK. Phosphorylates DYRK2, CHEK2, p53/TP53, FBXW7, FANCD2, NFKBIA, BRCA1, CREBBP/CBP, RBBP8/CTIP, MRE11, nibrin (NBN), RAD50, RAD17, PELI1, TERF1, UFL1, RAD9, UBQLN4 and DCLRE1C (PubMed : 10550055, PubMed : 10766245, PubMed : 10802669, PubMed : 10839545, PubMed : 10910365, PubMed : 10973490, PubMed : 11375976, PubMed : 12086603, PubMed : 15456891, PubMed : 19965871, PubMed : 21757780, PubMed : 24534091, PubMed : 26240375, PubMed : 26774286, PubMed : 30612738, PubMed : 30886146, PubMed : 30952868, PubMed : 38128537, PubMed : 9733515, PubMed : 9843217). May play a role in vesicle and/or protein transport. Could play a role in T-cell development, gonad and neurological function. Plays a role in replication-dependent histone mRNA degradation. Binds DNA ends. Phosphorylation of DYRK2 in nucleus in response to genotoxic stress prevents its MDM2-mediated ubiquitination and subsequent proteasome degradation (PubMed : 19965871). Phosphorylates ATF2 which stimulates its function in DNA damage response (PubMed : 15916964). Phosphorylates ERCC6 which is essential for its chromatin remodeling activity at DNA double-strand breaks (PubMed : 29203878). Phosphorylates TTC5/STRAP at 'Ser-203' in the cytoplasm in response to DNA damage, which promotes TTC5/STRAP nuclear localization (PubMed : 15448695). Also involved in pexophagy by mediating phosphorylation of PEX5 : translocated to peroxisomes in response to reactive oxygen species (ROS), and catalyzes phosphorylation of PEX5, promoting PEX5 ubiquitination and induction of pexophagy (PubMed : 26344566).
See full target information ATM

Publications (15)

Recent publications for all applications. Explore the full list and refine your search

Oncology reports 45: PubMed33760159

2021

MicroRNA‑129 inhibits colorectal cancer cell proliferation, invasion and epithelial‑to‑mesenchymal transition by targeting SOX4.

Applications

Unspecified application

Species

Unspecified reactive species

Zhiping Chen,Tianyu Zhong,Jinghua Zhong,Yang Tang,Baodian Ling,Lanfeng Wang

Molecular cancer therapeutics 18:2283-2295 PubMed31501277

2019

CNDAC-Induced DNA Double-Strand Breaks Cause Aberrant Mitosis Prior to Cell Death.

Applications

Unspecified application

Species

Unspecified reactive species

Xiaojun Liu,Yingjun Jiang,Kei-Ichi Takata,Billie Nowak,Chaomei Liu,Richard D Wood,Walter N Hittelman,William Plunkett

Cell death and differentiation 26:812-825 PubMed30006610

2018

Regulating BRCA1 protein stability by cathepsin S-mediated ubiquitin degradation.

Applications

Unspecified application

Species

Unspecified reactive species

SeoYoung Kim,Hee Jin,Hang-Rhan Seo,Hae June Lee,Yun-Sil Lee

Journal of cell science 131: PubMed29898919

2018

Overexpression of PP1-NIPP1 limits the capacity of cells to repair DNA double-strand breaks.

Applications

Unspecified application

Species

Unspecified reactive species

Claudia Winkler,Raphael Rouget,Dan Wu,Monique Beullens,Aleyde Van Eynde,Mathieu Bollen

Oncology letters 16:2135-2142 PubMed30008911

2018

Hint1 expression inhibits proliferation and promotes radiosensitivity of human SGC7901 gastric cancer cells.

Applications

Unspecified application

Species

Unspecified reactive species

Xiaowei Wei,Jin Zhou,Lingzhi Hong,Zhi Xu,Huanyu Zhao,Xiaomin Wu,Jinfei Chen

Oncogenesis 5:e280 PubMed27991914

2016

The spliceosome U2 snRNP factors promote genome stability through distinct mechanisms; transcription of repair factors and R-loop processing.

Applications

WB

Species

Human

M Tanikawa,K Sanjiv,T Helleday,P Herr,O Mortusewicz

The Journal of biological chemistry 291:25516-25528 PubMed27780869

2016

URI Regulates KAP1 Phosphorylation and Transcriptional Repression via PP2A Phosphatase in Prostate Cancer Cells.

Applications

Unspecified application

Species

Unspecified reactive species

Paolo Mita,Jeffrey N Savas,Erica M Briggs,Susan Ha,Veena Gnanakkan,John R Yates,Diane M Robins,Gregory David,Jef D Boeke,Michael J Garabedian,Susan K Logan

Oncotarget 8:22104-22112 PubMed27655665

2016

A phase I-II trial of fludarabine, bendamustine and rituximab (FBR) in previously treated patients with CLL.

Applications

WB

Species

Human

Nitin Jain,Kumudha Balakrishnan,Alessandra Ferrajoli,Susan M O'Brien,Jan A Burger,Tapan M Kadia,Jorge E Cortes,Mary L Ayres,Francesco Paolo Tambaro,Michael J Keating,Varsha Gandhi,William G Wierda

Orphanet journal of rare diseases 8:123 PubMed23941260

2013

SETX mutations are a frequent genetic cause of juvenile and adult onset cerebellar ataxia with neuropathy and elevated serum alpha-fetoprotein.

Applications

WB

Species

Human

Lorenzo Nanetti,Simona Cavalieri,Viviana Pensato,Alessandra Erbetta,Davide Pareyson,Marta Panzeri,Giovanna Zorzi,Carlo Antozzi,Isabella Moroni,Cinzia Gellera,Alfredo Brusco,Caterina Mariotti

European journal of human genetics : EJHG 21:774-8 PubMed23211698

2012

Deep-intronic ATM mutation detected by genomic resequencing and corrected in vitro by antisense morpholino oligonucleotide (AMO).

Applications

Unspecified application

Species

Unspecified reactive species

Simona Cavalieri,Elisa Pozzi,Richard A Gatti,Alfredo Brusco
View all publications

Product promise

We are committed to supporting your work with high-quality reagents, and we're here for you every step of the way. In the unlikely event that one of our products does not perform as expected, you're protected by our Product Promise.
For full details, please see our Terms & Conditions

Associated Products

Select an associated product type
Alternative Product
Primary Antibodies

AB201022

Anti-ATM antibody [EPR20100] - ChIP Grade

primary-antibodies

atm-antibody-epr20100-chip-grade-ab201022

0

(0 reviews)

Alternative Product
Primary Antibodies

AB199726

Anti-ATM antibody [EPR17059]

primary-antibodies

atm-antibody-epr17059-ab199726

2

(1 reviews)

Alternative Product
Primary Antibodies

AB81292

Anti-ATM (phospho S1981) antibody [EP1890Y]

primary-antibodies

atm-phospho-s1981-antibody-ep1890y-ab81292

5

(18 reviews)

Alternative Product
Primary Antibodies

AB208775

Anti-ATM (phospho S1981) antibody [EP1890Y] - BSA and Azide free

primary-antibodies

atm-phospho-s1981-antibody-ep1890y-bsa-and-azide-free-ab208775

0

(0 reviews)

Alternative Product
Primary Antibodies

AB183324

Anti-ATM antibody [SP224]

primary-antibodies

atm-antibody-sp224-ab183324

0

(0 reviews)

Alternative Product
Primary Antibodies

AB216617

Anti-ATM antibody [Y170] - BSA and Azide free

primary-antibodies

atm-antibody-y170-bsa-and-azide-free-ab216617

0

(0 reviews)

Please note: All products are 'FOR RESEARCH USE ONLY. NOT FOR USE IN DIAGNOSTIC OR THERAPEUTIC PROCEDURES'.

For licensing inquiries, please contact partnerships@abcam.com