JavaScript is disabled in your browser. Please enable JavaScript to view this website.
AB201022

Anti-ATM antibody [EPR20100] - ChIP Grade

  • RabMAb
  • Recombinant
  • KO Validated
  • 20ul selling size
  • What is this?

Be the first to review this product! Submit a review

|

(14 Publications)

Rabbit Recombinant Monoclonal ATM antibody. Suitable for IP, ChIP, WB, ICC/IF, Flow Cyt (Intra) and reacts with Human, Mouse, Rat samples. Cited in 14 publications.

View Alternative Names

Serine-protein kinase ATM, Ataxia telangiectasia mutated, A-T mutated, ATM

11 Images
Immunocytochemistry/ Immunofluorescence - Anti-ATM antibody [EPR20100] - ChIP Grade (AB201022)
  • ICC/IF

Supplier Data

Immunocytochemistry/ Immunofluorescence - Anti-ATM antibody [EPR20100] - ChIP Grade (AB201022)

Immunofluorescent analysis of 4% paraformaldehyde-fixed, 0.1% Triton X-100 permeabilized SH-SY5Y (Human neuroblastoma cell line from bone marrow) cells labeling ATM with ab201022 at 1/500 dilution, followed by Goat anti-rabbit IgG (Alexa Fluor® 488) (ab150077) secondary antibody at 1/1000 dilution (green). Confocal image showing nuclear and weak cytoplasmic staining on SH-SY5Y cell line.

The nuclear counter stain is DAPI (blue). Tubulin is detected with ab195889 (Anti-alpha Tubulin antibody [DM1A] - Microtubule Marker (Alexa Fluor® 594)) at 1/200 dilution (red).

Secondary antibody only control : Used PBS instead of primary antibody, secondary antibody is Goat anti-rabbit IgG (Alexa Fluor® 488) (ab150077) at 1/1000 dilution.

Flow Cytometry (Intracellular) - Anti-ATM antibody [EPR20100] - ChIP Grade (AB201022)
  • Flow Cyt (Intra)

Supplier Data

Flow Cytometry (Intracellular) - Anti-ATM antibody [EPR20100] - ChIP Grade (AB201022)

Intracellular flow cytometric analysis of 4% paraformaldehyde-fixed HEK-293 (Human epithelial cell line from embryonic kidney) cells labeling ATM with ab201022 at 1/800 dilution (red) compared with a rabbit monoclonal IgG isotype control (ab172730; black) and an unlabelled control (cells without incubation with primary antibody and secondary antibody; blue). Goat anti rabbit IgG (Alexa Fluorr® 488) at 1/2000 dilution was used as the secondary antibody.

Immunocytochemistry/ Immunofluorescence - Anti-ATM antibody [EPR20100] - ChIP Grade (AB201022)
  • ICC/IF

Supplier Data

Immunocytochemistry/ Immunofluorescence - Anti-ATM antibody [EPR20100] - ChIP Grade (AB201022)

Immunofluorescent analysis of 4% paraformaldehyde-fixed, 0.1% Triton X-100 permeabilized HeLa (Human epithelial cell line from cervix adenocarcinoma) cells labeling ATM with ab201022 at 1/500 dilution, followed by Goat anti-rabbit IgG (Alexa Fluor® 488) (ab150077) secondary antibody at 1/1000 dilution (green). Confocal image showing nuclear and weak cytoplasmic staining on HeLa cell line.

The nuclear counter stain is DAPI (blue). Tubulin is detected with ab195889 (Anti-alpha Tubulin antibody [DM1A] - Microtubule Marker (Alexa Fluor® 594)) at 1/200 dilution (red).

Secondary antibody only control : Used PBS instead of primary antibody, secondary antibody is Goat anti-rabbit IgG (Alexa Fluor® 488) (ab150077) at 1/1000 dilution.

ChIP - Anti-ATM antibody [EPR20100] - ChIP Grade (AB201022)
  • ChIP

Supplier Data

ChIP - Anti-ATM antibody [EPR20100] - ChIP Grade (AB201022)

Chromatin was prepared from HCT 116 (Human colorectal carcinoma cell line) cells treated with 1mM Hydroxyurea for 16h and non-treated according to the Abcam X-ChIP protocol. Cells were fixed with formaldehyde for 10 minutes. The ChIP was performed with 25μg of chromatin, 2μg of ab201022 (blue), and 20μl of Anti rabbit IgG sepharose beads. 2μg of rabbit normal IgG was added to the beads control (yellow). The immunoprecipitated DNA was quantified by real time PCR (Sybr green approach).

Immunoprecipitation - Anti-ATM antibody [EPR20100] - ChIP Grade (AB201022)
  • IP

Supplier Data

Immunoprecipitation - Anti-ATM antibody [EPR20100] - ChIP Grade (AB201022)

ATM was immunoprecipitated from 0.35 mg of HEK-293 (Human epithelial cell line from embryonic kidney) whole cell lysate with ab201022 at 1/40 dilution. Western blot was performed from the immunoprecipitate using ab201022 at 1/1000 dilution. VeriBlot for IP Detection Reaction (HRP) (ab131366), was used for detection at 1/10000 dilution.

Lane 1 : HEK-293 whole cell lysate, 10 μg (Input).

Lane 2 : ab201022 IP in HEK-293 whole cell lysate.

Lane 3 : Rabbit monoclonal IgG (ab172730) instead of ab201022 in HEK-293 whole cell lysate.

Blocking and dilution buffer and concentration : 5% NFDM/TBST.

Exposure time : 3 minutes.

ATM cleavage has been documented previously and the fragment pattern is consistent with what has been described in the literature PMID : 16849690

All lanes:

Immunoprecipitation - Anti-ATM antibody [EPR20100] - ChIP Grade (ab201022)

Predicted band size: 351 kDa

Observed band size: 350 kDa

false

Western blot - Anti-ATM antibody [EPR20100] - ChIP Grade (AB201022)
  • WB

Supplier Data

Western blot - Anti-ATM antibody [EPR20100] - ChIP Grade (AB201022)

Blocking/Dilution buffer : 5% NFDM/TBST.

All lanes:

Western blot - Anti-ATM antibody [EPR20100] - ChIP Grade (ab201022) at 1/5000 dilution

All lanes:

HeLa (Human epithelial cell line from cervix adenocarcinoma) whole cell lysate at 10 µg

Secondary

All lanes:

Western blot - Goat Anti-Rabbit IgG H&L (HRP) (<a href='/en-us/products/secondary-antibodies/goat-rabbit-igg-h-l-hrp-ab97051'>ab97051</a>) at 1/20000 dilution

Predicted band size: 351 kDa

Observed band size: 351 kDa

false

Exposure time: 10s

Western blot - Anti-ATM antibody [EPR20100] - ChIP Grade (AB201022)
  • WB

Lab

Western blot - Anti-ATM antibody [EPR20100] - ChIP Grade (AB201022)

False colour image of Western blot : Anti-ATM antibody [EPR20100] - ChIP Grade staining at 1/1000 dilution, shown in green; Mouse anti-Alpha Tubulin [DM1A] (ab7291) loading control staining at 1/20000 dilution, shown in red. In Western blot, ab201022 was shown to bind specifically to ATM. A band was observed at 350 kDa in wild-type A549 cell lysates with no signal observed at this size in ATM knockout cell line ab276095 (knockout cell lysate ab283834). To generate this image, wild-type and ATM knockout A549 cell lysates were analysed. First, samples were run on an SDS-PAGE gel then transferred onto a nitrocellulose membrane. Membranes were blocked in 5% milk in TBS-0.1 % Tween® 20 (TBS-T) before incubation with primary antibodies overnight at 4°C. Blots were washed four times in TBS-T, incubated with secondary antibodies for 1 h at room temperature, washed again four times then imaged. Secondary antibodies used were Goat anti-Rabbit IgG H&L (IRDye® 800CW) preabsorbed (ab216773) and Goat anti-Mouse IgG H&L (IRDye® 680RD) preabsorbed (ab216776) at 1/20000 dilution.

All lanes:

Western blot - Anti-ATM antibody [EPR20100] - ChIP Grade (ab201022) at 1/1000 dilution

Lane 1:

Wild-type A549 cell lysate at 20 µg

Lane 2:

ATM knockout A549 cell lysate at 20 µg

Lane 2:

Western blot - Human ATM knockout A549 cell line (<a href='/en-us/products/cell-lines/human-atm-knockout-a549-cell-line-ab276095'>ab276095</a>)

Lane 3:

HEK-293 cell lysate at 20 µg

Lane 4:

U-2 OS cell lysate at 20 µg

Predicted band size: 351 kDa

Observed band size: 350 kDa

false

Western blot - Anti-ATM antibody [EPR20100] - ChIP Grade (AB201022)
  • WB

Lab

Western blot - Anti-ATM antibody [EPR20100] - ChIP Grade (AB201022)

Anti-ATM antibody [EPR20100] (ab201022) staining at 1/1000 dilution, shown in green; Mouse anti-CANX [CANX/1543] (ab238078) loading control staining at 1/20000 dilution, shown in red. In Western blot, ab201022 was shown to bind specifically to ATM. A band was observed at 350 kDa in wild-type MCF7 cell lysates with a reduction in signal observed at this size in ATM heterozygous knockout cell line ab282630. To generate this image, wild-type and ATM heterozygous knockout MCF7 cell lysates were analysed. First, samples were run on an SDS-PAGE gel then transferred onto a nitrocellulose membrane. Membranes were blocked in 3 % milk in TBS-0.1 % Tween$®$ 20 (TBS-T) before incubation with primary antibodies overnight at 4 °C. Blots were washed four times in TBS-T, incubated with secondary antibodies for 1 h at room temperature, washed again four times then imaged. Secondary antibodies used were Goat anti-Rabbit IgG H&L 800CW and Goat anti-Mouse IgG H&L 680RD at 1/20000 dilution

All lanes:

Western blot - Anti-ATM antibody [EPR20100] - ChIP Grade (ab201022) at 1/1000 dilution

Lane 1:

Wild-type MCF7 cell lysate at 20 µg

Lane 2:

ATM knockout MCF7 cell lysate at 20 µg

Lane 2:

Western blot - Human ATM heterozygous knockout MCF7 cell line (<a href='/en-us/products/cell-lines/human-atm-heterozygous-knockout-mcf7-cell-line-ab282630'>ab282630</a>)

Lane 3:

Wild-type A549 cell lysate at 20 µg

Lane 4:

ATM knockout A549 ab283811 cell lysate at 20 µg

Predicted band size: 351 kDa

Observed band size: 350 kDa

false

Western blot - Anti-ATM antibody [EPR20100] - ChIP Grade (AB201022)
  • WB

Supplier Data

Western blot - Anti-ATM antibody [EPR20100] - ChIP Grade (AB201022)

Blocking/Dilution buffer : 5% NFDM/TBST.

Exposure time : Lane 1 and 2 : 3 minutes; Lane 3 : 30 seconds; Lane 4 : 5 seconds; Lane 5 : 1 second

All lanes:

Western blot - Anti-ATM antibody [EPR20100] - ChIP Grade (ab201022) at 1/1000 dilution

Lane 1:

Human testis lysate at 10 µg

Lane 2:

PC-12 (Rat adrenal gland pheochromocytoma cell line) whole cell lysate at 10 µg

Lane 3:

RAW 264.7 (Mouse macrophage cell line transformed with Abelson murine leukemia virus) whole cell lysate at 10 µg

Lane 4:

293 (Human epithelial cell line from embryonic kidney) whole cell lysate at 10 µg

Lane 5:

SH-SY5Y (Human neuroblastoma cell line from bone marrow) whole cell lysate at 10 µg

Secondary

All lanes:

Western blot - Goat Anti-Rabbit IgG H&L (HRP) (<a href='/en-us/products/secondary-antibodies/goat-rabbit-igg-h-l-hrp-ab97051'>ab97051</a>) at 1/20000 dilution

Predicted band size: 351 kDa

Observed band size: 351 kDa

false

Western blot - Anti-ATM antibody [EPR20100] - ChIP Grade (AB201022)
  • WB

Supplier Data

Western blot - Anti-ATM antibody [EPR20100] - ChIP Grade (AB201022)

Blocking and diluting buffer and concentration : 5% NFDM/TBST.

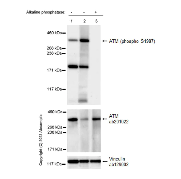
The identity of the lower MW band at approximately 190 kDa is unknown.

In Western blot, Anti-Vinculin antibody [EPR8185] (ab129002) staining at 1/10000 dilution.

In Western blot, Anti-ATM antibody [EPR20100] - (ab201022) staining at 1/1000 dilution.

All lanes:

Western blot - Anti-ATM (phospho S1987) antibody [EPR28058-71] (<a href='/en-us/products/primary-antibodies/atm-phospho-s1987-antibody-epr28058-71-ab315019'>ab315019</a>) at 1/1000 dilution

Lane 1:

Untreated NIH/3T3 (mouse embryonic fibroblast) whole cell lysate (untreated membrane) at 20 µg

Lane 2:

NIH/3T3 treated with UV-C for 100J/cm2, then recovery 2 hours, whole cell lysate (untreated membrane) at 20 µg

Lane 3:

NIH/3T3 treated with UV-C for 100J/cm2, then recovery 2 hours, whole cell lysate (phosphatase treated membrane) at 20 µg

Secondary

All lanes:

Western blot - Goat Anti-Rabbit IgG H&L (HRP) (<a href='/en-us/products/secondary-antibodies/goat-rabbit-igg-h-l-hrp-ab97051'>ab97051</a>) at 1/20000 dilution

Observed band size: 349 kDa,124 kDa

false

Exposure time: 81s

Western blot - Anti-ATM antibody [EPR20100] - ChIP Grade (AB201022)
  • WB

Supplier Data

Western blot - Anti-ATM antibody [EPR20100] - ChIP Grade (AB201022)

Blocking and diluting buffer and concentration : 5% NFDM/TBST.

The identity of the lower MW band at approximately 190 kDa is unknown.

In Western blot, Anti-Vinculin antibody [EPR8185] (ab129002) staining at 1/10000 dilution.

In Western blot, Anti-ATM antibody [EPR20100] - (ab201022) staining at 1/1000 dilution.

All lanes:

Western blot - Anti-ATM (phospho S1987) antibody [EPR28058-71] (<a href='/en-us/products/primary-antibodies/atm-phospho-s1987-antibody-epr28058-71-ab315019'>ab315019</a>) at 1/1000 dilution

Lane 1:

Untreated MEF (mouse embryo fibroblast) whole cell lysate (untreated membrane) at 20 µg

Lane 2:

MEF treated with UV-C for 100J/m2, then recovery 4 hours, whole cell lysate (untreated membrane) at 20 µg

Lane 3:

MEF treated with UV-C for 100J/m2, then recovery 4 hours, whole cell lysate (phosphatase treated membrane) at 20 µg

Secondary

All lanes:

Western blot - Goat Anti-Rabbit IgG H&L (HRP) (<a href='/en-us/products/secondary-antibodies/goat-rabbit-igg-h-l-hrp-ab97051'>ab97051</a>) at 1/20000 dilution

Observed band size: 349 kDa,124 kDa

false

Exposure time: 81s

  • Carrier free

    Anti-ATM antibody [EPR20100] - BSA and Azide free

Key facts

Host species

Rabbit

Clonality

Monoclonal

Clone number

EPR20100

Isotype

IgG

Carrier free

No

Reacts with

Mouse, Rat, Human

Applications

ChIP, Flow Cyt (Intra), WB, IP, ICC/IF

applications

Immunogen

The exact immunogen used to generate this antibody is proprietary information.

Reactivity data

{ "title": "Reactivity Data", "filters": { "stats": ["", "Species", "Dilution Info", "Notes"], "tabs": { "all-applications": {"fullname" : "All Applications", "shortname": "All Applications"}, "IP" : {"fullname" : "Immunoprecipitation", "shortname":"IP"}, "ChIP" : {"fullname" : "ChIP", "shortname":"ChIP"}, "WB" : {"fullname" : "Western blot", "shortname":"WB"}, "ICCIF" : {"fullname" : "Immunocytochemistry/ Immunofluorescence", "shortname":"ICC/IF"}, "FlowCytIntra" : {"fullname" : "Flow Cytometry (Intracellular)", "shortname":"Flow Cyt (Intra)"} }, "product-promise": { "all": "all", "testedAndGuaranteed": "tested", "guaranteed": "expected", "predicted": "predicted", "notRecommended": "not-recommended" } }, "values": { "Human": { "IP-species-checked": "testedAndGuaranteed", "IP-species-dilution-info": "1/40", "IP-species-notes": "<p></p>", "ChIP-species-checked": "testedAndGuaranteed", "ChIP-species-dilution-info": "2 µg for 25 µg chromatin", "ChIP-species-notes": "<p></p>", "WB-species-checked": "testedAndGuaranteed", "WB-species-dilution-info": "1/1000", "WB-species-notes": "<p></p>", "ICCIF-species-checked": "testedAndGuaranteed", "ICCIF-species-dilution-info": "1/500", "ICCIF-species-notes": "<p></p>", "FlowCytIntra-species-checked": "testedAndGuaranteed", "FlowCytIntra-species-dilution-info": "1/800", "FlowCytIntra-species-notes": "<p><a href='/en-us/products/primary-antibodies/rabbit-igg-monoclonal-epr25a-isotype-control-ab172730'>ab172730</a> - Rabbit monoclonal IgG, is suitable for use as an isotype control with this antibody.</p>" }, "Mouse": { "IP-species-checked": "guaranteed", "IP-species-dilution-info": "", "IP-species-notes": "", "ChIP-species-checked": "guaranteed", "ChIP-species-dilution-info": "", "ChIP-species-notes": "", "WB-species-checked": "testedAndGuaranteed", "WB-species-dilution-info": "1/1000", "WB-species-notes": "<p></p>", "ICCIF-species-checked": "guaranteed", "ICCIF-species-dilution-info": "", "ICCIF-species-notes": "", "FlowCytIntra-species-checked": "guaranteed", "FlowCytIntra-species-dilution-info": "", "FlowCytIntra-species-notes": "" }, "Rat": { "IP-species-checked": "guaranteed", "IP-species-dilution-info": "", "IP-species-notes": "", "ChIP-species-checked": "guaranteed", "ChIP-species-dilution-info": "", "ChIP-species-notes": "", "WB-species-checked": "testedAndGuaranteed", "WB-species-dilution-info": "1/1000", "WB-species-notes": "<p></p>", "ICCIF-species-checked": "guaranteed", "ICCIF-species-dilution-info": "", "ICCIF-species-notes": "", "FlowCytIntra-species-checked": "guaranteed", "FlowCytIntra-species-dilution-info": "", "FlowCytIntra-species-notes": "" } } }

Product details

Patented technology
Our RabMAb® technology is a patented hybridoma-based technology for making rabbit monoclonal antibodies. For details on our patents, please refer to RabMAb® patents.

What are the advantages of a recombinant monoclonal antibody?
This product is a recombinant monoclonal antibody, which offers several advantages including:

  • - High batch-to-batch consistency and reproducibility
  • - Improved sensitivity and specificity
  • - Long-term security of supply
  • - Animal-free batch production

For more information, read more on recombinant antibodies.

Properties and storage information

Form
Liquid
Purification technique
Affinity purification Protein A
Storage buffer
pH: 7.2 - 7.4 Preservative: 0.01% Sodium azide Constituents: PBS, 40% Glycerol (glycerin, glycerine), 0.05% BSA
Shipped at conditions
Blue Ice
Appropriate short-term storage duration
1-2 weeks
Appropriate short-term storage conditions
+4°C
Appropriate long-term storage conditions
-20°C
Aliquoting information
Upon delivery aliquot
Storage information
Avoid freeze / thaw cycle

Supplementary information

This supplementary information is collated from multiple sources and compiled automatically.

ATM also known as Ataxia Telangiectasia Mutated is a protein kinase with a molecular weight of approximately 370 kDa. ATM protein primarily resides in the cell nucleus and functions as a critical regulator of the cell cycle. It plays a significant role in the detection of DNA damage and initiation of repair processes. As part of its mechanical functions ATM phosphorylates serine and threonine residues on various substrates most notably in response to double-strand breaks in DNA. This activity is important for maintaining genomic stability.
Biological function summary

ATM acts as a coordinator in cellular response to DNA damage highly interacting with multiple components of the DNA repair machinery. It forms a complex with proteins like NBS1 and MRN complex facilitating repair by recruiting and activating other proteins involved in homologous recombination and non-homologous end joining pathways. ATM also modulates p53 activity a primary response factor in cellular stress management linking ATM to control of cell cycle arrest and apoptosis. This positions ATM as an integral part of maintaining cellular integrity in face of genomic insult.

Pathways

ATM integrates neatly within the DNA damage response and cell cycle control pathways. ATM's operative relationship with the MRN complex and its role in the PI3K-related protein kinase family helps initiate appropriate repair processes upon DNA damage detection. Additionally ATM regulates the activity of proteins such as Chk2 which further propagates signals to p53 influencing decisions between cell cycle arrest and apoptosis. These interactions link ATM closely to essential processes like DNA repair and cell survival highlighting its role in genomic maintenance.

ATM mutations or dysregulation leads to Ataxia Telangiectasia an autosomal recessive disorder characterized by neurodegeneration immune deficiencies and cancer predisposition. ATM dysfunction also connects to cancer development particularly breast cancer where it transmits signals involving BRCA1 contributing to DNA repair through homologous recombination. Understanding ATM dynamics and related pathways has important implications for developing therapeutic strategies to manage or mitigate effects associated with its dysfunction.

Product protocols

For this product, it's our understanding that no specific protocols are required. You can visit:

Target data

Serine/threonine protein kinase which activates checkpoint signaling upon double strand breaks (DSBs), apoptosis and genotoxic stresses such as ionizing ultraviolet A light (UVA), thereby acting as a DNA damage sensor (PubMed : 10550055, PubMed : 10839545, PubMed : 10910365, PubMed : 12556884, PubMed : 14871926, PubMed : 15064416, PubMed : 15448695, PubMed : 15456891, PubMed : 15790808, PubMed : 15916964, PubMed : 17923702, PubMed : 21757780, PubMed : 24534091, PubMed : 35076389, PubMed : 9733514). Recognizes the substrate consensus sequence [ST]-Q (PubMed : 10550055, PubMed : 10839545, PubMed : 10910365, PubMed : 12556884, PubMed : 14871926, PubMed : 15448695, PubMed : 15456891, PubMed : 15916964, PubMed : 17923702, PubMed : 24534091, PubMed : 9733514). Phosphorylates 'Ser-139' of histone variant H2AX at double strand breaks (DSBs), thereby regulating DNA damage response mechanism (By similarity). Also plays a role in pre-B cell allelic exclusion, a process leading to expression of a single immunoglobulin heavy chain allele to enforce clonality and monospecific recognition by the B-cell antigen receptor (BCR) expressed on individual B-lymphocytes. After the introduction of DNA breaks by the RAG complex on one immunoglobulin allele, acts by mediating a repositioning of the second allele to pericentromeric heterochromatin, preventing accessibility to the RAG complex and recombination of the second allele. Also involved in signal transduction and cell cycle control. May function as a tumor suppressor. Necessary for activation of ABL1 and SAPK. Phosphorylates DYRK2, CHEK2, p53/TP53, FBXW7, FANCD2, NFKBIA, BRCA1, CREBBP/CBP, RBBP8/CTIP, MRE11, nibrin (NBN), RAD50, RAD17, PELI1, TERF1, UFL1, RAD9, UBQLN4 and DCLRE1C (PubMed : 10550055, PubMed : 10766245, PubMed : 10802669, PubMed : 10839545, PubMed : 10910365, PubMed : 10973490, PubMed : 11375976, PubMed : 12086603, PubMed : 15456891, PubMed : 19965871, PubMed : 21757780, PubMed : 24534091, PubMed : 26240375, PubMed : 26774286, PubMed : 30612738, PubMed : 30886146, PubMed : 30952868, PubMed : 38128537, PubMed : 9733515, PubMed : 9843217). May play a role in vesicle and/or protein transport. Could play a role in T-cell development, gonad and neurological function. Plays a role in replication-dependent histone mRNA degradation. Binds DNA ends. Phosphorylation of DYRK2 in nucleus in response to genotoxic stress prevents its MDM2-mediated ubiquitination and subsequent proteasome degradation (PubMed : 19965871). Phosphorylates ATF2 which stimulates its function in DNA damage response (PubMed : 15916964). Phosphorylates ERCC6 which is essential for its chromatin remodeling activity at DNA double-strand breaks (PubMed : 29203878). Phosphorylates TTC5/STRAP at 'Ser-203' in the cytoplasm in response to DNA damage, which promotes TTC5/STRAP nuclear localization (PubMed : 15448695). Also involved in pexophagy by mediating phosphorylation of PEX5 : translocated to peroxisomes in response to reactive oxygen species (ROS), and catalyzes phosphorylation of PEX5, promoting PEX5 ubiquitination and induction of pexophagy (PubMed : 26344566).
See full target information ATM

Publications (14)

Recent publications for all applications. Explore the full list and refine your search

ACS omega 10:36994-37003 PubMed40893218

2025

Potential Antiphotoaging Effect of Human Cathelicidin LL-37 Fragments and KR-12 Analogs on UVB-Induced HaCaT Cells and UVA-Induced HDF Cells.

Applications

Unspecified application

Species

Unspecified reactive species

Menggeng Li,Jing Wang,Peng Shu,Xueqing Chen,Yizhen Yan,Jiangming Zhong,Nan Zhao,Ling Liang,Zhao Liu

Journal of translational medicine 23:795 PubMed40665360

2025

Integration of scRNA-seq and ST-seq identifies hyperproliferative RRM2+ cells features and therapeutic targets in gastric cancer.

Applications

Unspecified application

Species

Unspecified reactive species

Shuai Ping,Xiong Jia,Yanan Tian

Molecular medicine (Cambridge, Mass.) 30:205 PubMed39522000

2024

USP15 regulates radiation-induced DNA damage and intestinal injury through K48-linked deubiquitination and stabilisation of ATM.

Applications

Unspecified application

Species

Unspecified reactive species

Ruiqiu Zhu,Mingyue Li,Difan Wang,Chengzhi Liu,Liwei Xie,Yinyin Yang,Xuhao Gu,Kui Zhao,Ye Tian,Shang Cai

World journal of gastrointestinal oncology 16:1453-1464 PubMed38660649

2024

MicroRNA-298 determines the radio-resistance of colorectal cancer cells by directly targeting human dual-specificity tyrosine(Y)-regulated kinase 1A.

Applications

Unspecified application

Species

Unspecified reactive species

Mei-Zhu Shen,Yong Zhang,Fang Wu,Mei-Zhen Shen,Jun-Lin Liang,Xiao-Long Zhang,Xiao-Jian Liu,Xin-Shu Li,Ren-Sheng Wang

MedComm 5:e548 PubMed38645664

2024

Mechanism of Musashi2 affecting radiosensitivity of lung cancer by modulating DNA damage repair.

Applications

Unspecified application

Species

Unspecified reactive species

Hongjin Qu,Xiong Shi,Ying Xu,Hongran Qin,Junshi Li,Shanlin Cai,Jianpeng Zhao,Bingbing Wan,Yanyong Yang,Bailong Li

Nature communications 14:4521 PubMed37607907

2023

TUG1-mediated R-loop resolution at microsatellite loci as a prerequisite for cancer cell proliferation.

Applications

Unspecified application

Species

Unspecified reactive species

Miho M Suzuki,Kenta Iijima,Koichi Ogami,Keiko Shinjo,Yoshiteru Murofushi,Jingqi Xie,Xuebing Wang,Yotaro Kitano,Akira Mamiya,Yuji Kibe,Tatsunori Nishimura,Fumiharu Ohka,Ryuta Saito,Shinya Sato,Junya Kobayashi,Ryoji Yao,Kanjiro Miyata,Kazunori Kataoka,Hiroshi I Suzuki,Yutaka Kondo

Cell reports. Medicine 4:101015 PubMed37075701

2023

A kinome-wide CRISPR screen identifies CK1α as a target to overcome enzalutamide resistance of prostate cancer.

Applications

Unspecified application

Species

Unspecified reactive species

Jinghui Liu,Yue Zhao,Daheng He,Katelyn M Jones,Shan Tang,Derek B Allison,Yanquan Zhang,Jing Chen,Qiongsi Zhang,Xinyi Wang,Chaohao Li,Chi Wang,Lang Li,Xiaoqi Liu

Journal of oncology 2022:9672773 PubMed36276282

2022

Resveratrol Enhances the Radiosensitivity by Inducing DNA Damage and Antitumor Immunity in a Glioblastoma Rat Model under 3 T MRI Monitoring.

Applications

Unspecified application

Species

Unspecified reactive species

Liping Qian,Lihua Mao,Weixing Mo,Rong Wang,Yunlong Zhang

Frontiers in pharmacology 13:902102 PubMed35865965

2022

Qing`e Pill Inhibits Osteoblast Ferroptosis ATM Serine/Threonine Kinase (ATM) and the PI3K/AKT Pathway in Primary Osteoporosis.

Applications

Unspecified application

Species

Unspecified reactive species

Jian Hao,Jiaxin Bei,Zhenhan Li,Mingyuan Han,Boyuan Ma,Pengyi Ma,Xianhu Zhou

Frontiers in cell and developmental biology 10:817831 PubMed35309941

2022

Phosphorylation of MAD2 at Ser195 Promotes Spindle Checkpoint Defects and Sensitizes Cancer Cells to Radiotherapy in ATM Deficient Cells.

Applications

Unspecified application

Species

Unspecified reactive species

Yang Wang,Tianyu Yu,Yi Han,Yazhi He,Yiran Song,Leiming Guo,Liwei An,Chunying Yang,Feng Wang
View all publications

Product promise

We are committed to supporting your work with high-quality reagents, and we're here for you every step of the way. In the unlikely event that one of our products does not perform as expected, you're protected by our Product Promise.
For full details, please see our Terms & Conditions

Please note: All products are 'FOR RESEARCH USE ONLY. NOT FOR USE IN DIAGNOSTIC OR THERAPEUTIC PROCEDURES'.

For licensing inquiries, please contact partnerships@abcam.com