JavaScript is disabled in your browser. Please enable JavaScript to view this website.
AB183324

Anti-ATM antibody [SP224]

Be the first to review this product! Submit a review

|

(2 Publications)

Rabbit Recombinant Monoclonal ATM antibody. Suitable for IHC-P, ICC/IF, Flow Cyt (Intra) and reacts with Human samples. Cited in 2 publications.

View Alternative Names

Serine-protein kinase ATM, Ataxia telangiectasia mutated, A-T mutated, ATM

4 Images
Flow Cytometry (Intracellular) - Anti-ATM antibody [SP224] (AB183324)
  • Flow Cyt (Intra)

Unknown

Flow Cytometry (Intracellular) - Anti-ATM antibody [SP224] (AB183324)

Intracellular Flow Cytometry analysis of Hela (human cervix adenocarcinoma) labeling ATM with purified ab183324 at 1/2100 dilution (1.00μg/ml) (red). Cells were fixed with 4% paraformaldehyde and permeabilised with 90% methanol. Goat anti rabbit IgG (Alexa Fluor® 488, ab150077) at 1/2000 dilution was used as a secondary antibody. Isotype control - Rabbit monoclonal IgG (ab172730) (Black). Unlableled control - Unlabelled cells (blue).

Immunohistochemistry (Formalin/PFA-fixed paraffin-embedded sections) - Anti-ATM antibody [SP224] (AB183324)
  • IHC-P

Supplier Data

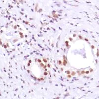
Immunohistochemistry (Formalin/PFA-fixed paraffin-embedded sections) - Anti-ATM antibody [SP224] (AB183324)

Immunohistochemical analysis of paraffin embedded Human prostate adenocarcinoma tissue labeling ATM with ab183324 at 1/100.

Immunocytochemistry/ Immunofluorescence - Anti-ATM antibody [SP224] (AB183324)
  • ICC/IF

Unknown

Immunocytochemistry/ Immunofluorescence - Anti-ATM antibody [SP224] (AB183324)

Immunocytochemistry/ Immunofluorescence analysis of HeLa (human cervix adenocarcinoma epithelial cell) cells labeling ATM with purified ab183324 at 1/200 (10 μg/ml). Cells were fixed in 4% paraformaldehyde and permeabilized with 0.1% Triton X-100. Cells were counterstained with ab195889 Anti-alpha Tubulin antibody [DM1A] - Microtubule Marker (Alexa Fluor® 594) 1/200 (2.5 μg/ml). Goat anti rabbit IgG (Alexa Fluor® 488, ab150077) was used as the secondary antibody at 1/1000 (2 μg/ml) dilution. DAPI was used as nuclear counterstain. PBS instead of the primary antibody was used as the secondary antibody only control.

Flow Cytometry (Intracellular) - Anti-ATM antibody [SP224] (AB183324)
  • Flow Cyt (Intra)

Supplier Data

Flow Cytometry (Intracellular) - Anti-ATM antibody [SP224] (AB183324)

Intracellular flow cytometric analysis of ATM in HeLa cellsusing ab183324at 1/100 (green) compared to negative control of rabbit IgG (blue).

Key facts

Host species

Rabbit

Clonality

Monoclonal

Clone number

SP224

Isotype

IgG

Carrier free

No

Reacts with

Human

Applications

Flow Cyt (Intra), ICC/IF, IHC-P

applications

Immunogen

The exact immunogen used to generate this antibody is proprietary information.

Reactivity data

{ "title": "Reactivity Data", "filters": { "stats": ["", "Species", "Dilution Info", "Notes"], "tabs": { "all-applications": {"fullname" : "All Applications", "shortname": "All Applications"}, "IHCP" : {"fullname" : "Immunohistochemistry (Formalin/PFA-fixed paraffin-embedded sections)", "shortname":"IHC-P"}, "ICCIF" : {"fullname" : "Immunocytochemistry/ Immunofluorescence", "shortname":"ICC/IF"}, "FlowCytIntra" : {"fullname" : "Flow Cytometry (Intracellular)", "shortname":"Flow Cyt (Intra)"} }, "product-promise": { "all": "all", "testedAndGuaranteed": "tested", "guaranteed": "expected", "predicted": "predicted", "notRecommended": "not-recommended" } }, "values": { "Human": { "IHCP-species-checked": "testedAndGuaranteed", "IHCP-species-dilution-info": "1/100", "IHCP-species-notes": "<p></p>", "ICCIF-species-checked": "testedAndGuaranteed", "ICCIF-species-dilution-info": "1/200", "ICCIF-species-notes": "<p></p>", "FlowCytIntra-species-checked": "testedAndGuaranteed", "FlowCytIntra-species-dilution-info": "1/100 - 1/2100", "FlowCytIntra-species-notes": "<p><a href='/en-us/products/primary-antibodies/rabbit-igg-monoclonal-epr25a-isotype-control-ab172730'>ab172730</a> - Rabbit monoclonal IgG, is suitable for use as an isotype control with this antibody.</p>" }, "Mouse": { "IHCP-species-checked": "predicted", "IHCP-species-dilution-info": "", "IHCP-species-notes": "", "ICCIF-species-checked": "predicted", "ICCIF-species-dilution-info": "", "ICCIF-species-notes": "", "FlowCytIntra-species-checked": "predicted", "FlowCytIntra-species-dilution-info": "", "FlowCytIntra-species-notes": "" }, "Pig": { "IHCP-species-checked": "predicted", "IHCP-species-dilution-info": "", "IHCP-species-notes": "", "ICCIF-species-checked": "predicted", "ICCIF-species-dilution-info": "", "ICCIF-species-notes": "", "FlowCytIntra-species-checked": "predicted", "FlowCytIntra-species-dilution-info": "", "FlowCytIntra-species-notes": "" } } }

Product details

Patented technology
Our RabMAb® technology is a patented hybridoma-based technology for making rabbit monoclonal antibodies. For details on our patents, please refer to RabMAb® patents.

What are the advantages of a recombinant monoclonal antibody?
This product is a recombinant monoclonal antibody, which offers several advantages including:

  • - High batch-to-batch consistency and reproducibility
  • - Improved sensitivity and specificity
  • - Long-term security of supply
  • - Animal-free batch production

For more information, read more on recombinant antibodies.

Properties and storage information

Form
Liquid
Purification technique
Affinity purification Protein A
Storage buffer
pH: 7.2 - 7.4 Preservative: 0.1% Sodium azide Constituents: PBS, 1% BSA
Shipped at conditions
Blue Ice
Appropriate short-term storage duration
1-2 weeks
Appropriate short-term storage conditions
+4°C
Appropriate long-term storage conditions
-20°C
Aliquoting information
Upon delivery aliquot
Storage information
Avoid freeze / thaw cycle

Supplementary information

This supplementary information is collated from multiple sources and compiled automatically.

ATM also known as Ataxia Telangiectasia Mutated is a protein kinase with a molecular weight of approximately 370 kDa. ATM protein primarily resides in the cell nucleus and functions as a critical regulator of the cell cycle. It plays a significant role in the detection of DNA damage and initiation of repair processes. As part of its mechanical functions ATM phosphorylates serine and threonine residues on various substrates most notably in response to double-strand breaks in DNA. This activity is important for maintaining genomic stability.
Biological function summary

ATM acts as a coordinator in cellular response to DNA damage highly interacting with multiple components of the DNA repair machinery. It forms a complex with proteins like NBS1 and MRN complex facilitating repair by recruiting and activating other proteins involved in homologous recombination and non-homologous end joining pathways. ATM also modulates p53 activity a primary response factor in cellular stress management linking ATM to control of cell cycle arrest and apoptosis. This positions ATM as an integral part of maintaining cellular integrity in face of genomic insult.

Pathways

ATM integrates neatly within the DNA damage response and cell cycle control pathways. ATM's operative relationship with the MRN complex and its role in the PI3K-related protein kinase family helps initiate appropriate repair processes upon DNA damage detection. Additionally ATM regulates the activity of proteins such as Chk2 which further propagates signals to p53 influencing decisions between cell cycle arrest and apoptosis. These interactions link ATM closely to essential processes like DNA repair and cell survival highlighting its role in genomic maintenance.

ATM mutations or dysregulation leads to Ataxia Telangiectasia an autosomal recessive disorder characterized by neurodegeneration immune deficiencies and cancer predisposition. ATM dysfunction also connects to cancer development particularly breast cancer where it transmits signals involving BRCA1 contributing to DNA repair through homologous recombination. Understanding ATM dynamics and related pathways has important implications for developing therapeutic strategies to manage or mitigate effects associated with its dysfunction.

Product protocols

For this product, it's our understanding that no specific protocols are required. You can visit:

Target data

Serine/threonine protein kinase which activates checkpoint signaling upon double strand breaks (DSBs), apoptosis and genotoxic stresses such as ionizing ultraviolet A light (UVA), thereby acting as a DNA damage sensor (PubMed : 10550055, PubMed : 10839545, PubMed : 10910365, PubMed : 12556884, PubMed : 14871926, PubMed : 15064416, PubMed : 15448695, PubMed : 15456891, PubMed : 15790808, PubMed : 15916964, PubMed : 17923702, PubMed : 21757780, PubMed : 24534091, PubMed : 35076389, PubMed : 9733514). Recognizes the substrate consensus sequence [ST]-Q (PubMed : 10550055, PubMed : 10839545, PubMed : 10910365, PubMed : 12556884, PubMed : 14871926, PubMed : 15448695, PubMed : 15456891, PubMed : 15916964, PubMed : 17923702, PubMed : 24534091, PubMed : 9733514). Phosphorylates 'Ser-139' of histone variant H2AX at double strand breaks (DSBs), thereby regulating DNA damage response mechanism (By similarity). Also plays a role in pre-B cell allelic exclusion, a process leading to expression of a single immunoglobulin heavy chain allele to enforce clonality and monospecific recognition by the B-cell antigen receptor (BCR) expressed on individual B-lymphocytes. After the introduction of DNA breaks by the RAG complex on one immunoglobulin allele, acts by mediating a repositioning of the second allele to pericentromeric heterochromatin, preventing accessibility to the RAG complex and recombination of the second allele. Also involved in signal transduction and cell cycle control. May function as a tumor suppressor. Necessary for activation of ABL1 and SAPK. Phosphorylates DYRK2, CHEK2, p53/TP53, FBXW7, FANCD2, NFKBIA, BRCA1, CREBBP/CBP, RBBP8/CTIP, FBXO46, MRE11, nibrin (NBN), RAD50, RAD17, PELI1, TERF1, UFL1, RAD9, UBQLN4 and DCLRE1C (PubMed : 10550055, PubMed : 10766245, PubMed : 10802669, PubMed : 10839545, PubMed : 10910365, PubMed : 10973490, PubMed : 11375976, PubMed : 12086603, PubMed : 15456891, PubMed : 19965871, PubMed : 21757780, PubMed : 24534091, PubMed : 26240375, PubMed : 26774286, PubMed : 30171069, PubMed : 30612738, PubMed : 30886146, PubMed : 30952868, PubMed : 38128537, PubMed : 9733515, PubMed : 9843217). May play a role in vesicle and/or protein transport. Could play a role in T-cell development, gonad and neurological function. Plays a role in replication-dependent histone mRNA degradation. Binds DNA ends. Phosphorylation of DYRK2 in nucleus in response to genotoxic stress prevents its MDM2-mediated ubiquitination and subsequent proteasome degradation (PubMed : 19965871). Phosphorylates ATF2 which stimulates its function in DNA damage response (PubMed : 15916964). Phosphorylates ERCC6 which is essential for its chromatin remodeling activity at DNA double-strand breaks (PubMed : 29203878). Phosphorylates TTC5/STRAP at 'Ser-203' in the cytoplasm in response to DNA damage, which promotes TTC5/STRAP nuclear localization (PubMed : 15448695). Also involved in pexophagy by mediating phosphorylation of PEX5 : translocated to peroxisomes in response to reactive oxygen species (ROS), and catalyzes phosphorylation of PEX5, promoting PEX5 ubiquitination and induction of pexophagy (PubMed : 26344566).
See full target information ATM

Publications (2)

Recent publications for all applications. Explore the full list and refine your search

Immune network 25:e25 PubMed40917788

2025

Pathotype-Specific Expression of Granzyme-Perforin Pathway Genes and Their Association With Clinical Disease Activity in Early Rheumatoid Arthritis and in a Randomized Clinical Trial.

Applications

Unspecified application

Species

Unspecified reactive species

Francisco G La Rosa,Larry W Moreland,Luigi Nibali,Mike Curtis,Kevin D Deane,Colin Strickland,Jennifer Seifert,Carson Keeter,Dmitri Simberg,Robert I Scheinman,Rachel Lau,Costantino Pitzalis,Myles J Lewis,V Michael Holers,Nirmal K Banda

Nature communications 15:5423 PubMed38926338

2024

MRE11 and TREX1 control senescence by coordinating replication stress and interferon signaling.

Applications

Unspecified application

Species

Unspecified reactive species

Hervé Técher,Diyavarshini Gopaul,Jonathan Heuzé,Nail Bouzalmad,Baptiste Leray,Audrey Vernet,Clément Mettling,Jérôme Moreaux,Philippe Pasero,Yea-Lih Lin
View all publications

Product promise

We are committed to supporting your work with high-quality reagents, and we're here for you every step of the way. In the unlikely event that one of our products does not perform as expected, you're protected by our Product Promise.
For full details, please see our Terms & Conditions

Please note: All products are 'FOR RESEARCH USE ONLY. NOT FOR USE IN DIAGNOSTIC OR THERAPEUTIC PROCEDURES'.

For licensing inquiries, please contact partnerships@abcam.com