JavaScript is disabled in your browser. Please enable JavaScript to view this website.
AB208775

Anti-ATM (phospho S1981) antibody [EP1890Y] - BSA and Azide free

Be the first to review this product! Submit a review

|

(48 Publications)

Rabbit Recombinant Monoclonal ATM phospho S1981 antibody. Carrier free. Suitable for Flow Cyt (Intra), IP, Dot, WB, IHC-P and reacts with Human, Synthetic peptide samples. Cited in 48 publications.

View Alternative Names

Serine-protein kinase ATM, Ataxia telangiectasia mutated, A-T mutated, ATM

10 Images
Immunohistochemistry (Formalin/PFA-fixed paraffin-embedded sections) - Anti-ATM (phospho S1981) antibody [EP1890Y] - BSA and Azide free (AB208775)
  • IHC-P

Unknown

Immunohistochemistry (Formalin/PFA-fixed paraffin-embedded sections) - Anti-ATM (phospho S1981) antibody [EP1890Y] - BSA and Azide free (AB208775)

Immunohistochemistry (Formalin/PFA-fixed paraffin-embedded sections) analysis of normal human tonsil tissue labeling ATM with unpurified ab81292.

This data was developed using the same antibody clone in a different buffer formulation containing PBS, BSA, glycerol, and sodium azide (ab81292).

Perform heat mediated antigen retrieval with Tris/EDTA buffer pH 9.0 before commencing with IHC staining protocol.

Immunohistochemistry (Formalin/PFA-fixed paraffin-embedded sections) - Anti-ATM (phospho S1981) antibody [EP1890Y] - BSA and Azide free (AB208775)
  • IHC-P

Unknown

Immunohistochemistry (Formalin/PFA-fixed paraffin-embedded sections) - Anti-ATM (phospho S1981) antibody [EP1890Y] - BSA and Azide free (AB208775)

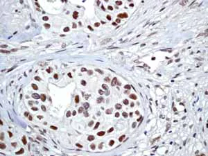
Immunohistochemistry (Formalin/PFA-fixed paraffin-embedded sections) analysis of human cervical carcinoma tissue labeling ATM with unpurified ab81292.

This data was developed using the same antibody clone in a different buffer formulation containing PBS, BSA, glycerol, and sodium azide (ab81292).

Perform heat mediated antigen retrieval with Tris/EDTA buffer pH 9.0 before commencing with IHC staining protocol.

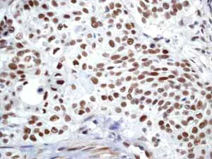
Immunohistochemistry (Formalin/PFA-fixed paraffin-embedded sections) - Anti-ATM (phospho S1981) antibody [EP1890Y] - BSA and Azide free (AB208775)
  • IHC-P

Unknown

Immunohistochemistry (Formalin/PFA-fixed paraffin-embedded sections) - Anti-ATM (phospho S1981) antibody [EP1890Y] - BSA and Azide free (AB208775)

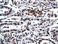
Immunohistochemistry (Formalin/PFA-fixed paraffin-embedded sections) analysis of human breast carcinoma tissue labeling ATM with unpurified ab81292.

This data was developed using the same antibody clone in a different buffer formulation containing PBS, BSA, glycerol, and sodium azide (ab81292).

Perform heat mediated antigen retrieval with Tris/EDTA buffer pH 9.0 before commencing with IHC staining protocol.

Immunohistochemistry (Formalin/PFA-fixed paraffin-embedded sections) - Anti-ATM (phospho S1981) antibody [EP1890Y] - BSA and Azide free (AB208775)
  • IHC-P

Unknown

Immunohistochemistry (Formalin/PFA-fixed paraffin-embedded sections) - Anti-ATM (phospho S1981) antibody [EP1890Y] - BSA and Azide free (AB208775)

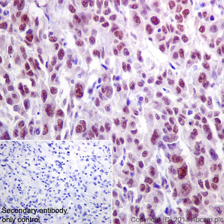
Immunohistochemistry (Formalin/PFA-fixed paraffin-embedded sections) analysis of human hepatocellular carcinoma tissue labelling ATM (phospho S1981) with purified ab81292 at 1/70. Heat mediated antigen retrieval was performed using Tris/EDTA buffer pH 9. ab97051, an HRP-conjugated goat anti-rabbit IgG (H+L) was used as the secondary antibody (1/500).

Negative control using PBS instead of primary antibody.

Counterstained with hematoxylin.

This data was developed using the same antibody clone in a different buffer formulation containing PBS, BSA, glycerol, and sodium azide (ab81292).

Immunohistochemistry (Formalin/PFA-fixed paraffin-embedded sections) - Anti-ATM (phospho S1981) antibody [EP1890Y] - BSA and Azide free (AB208775)
  • IHC-P

Unknown

Immunohistochemistry (Formalin/PFA-fixed paraffin-embedded sections) - Anti-ATM (phospho S1981) antibody [EP1890Y] - BSA and Azide free (AB208775)

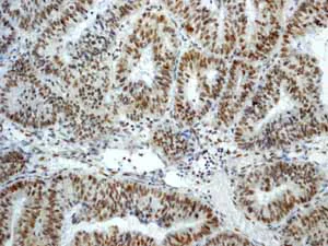
Immunohistochemistry (Formalin/PFA-fixed paraffin-embedded sections) analysis of human endometrial carcinoma tissue labeling ATM with unpurified ab81292.

This data was developed using the same antibody clone in a different buffer formulation containing PBS, BSA, glycerol, and sodium azide (ab81292).

Perform heat mediated antigen retrieval with Tris/EDTA buffer pH 9.0 before commencing with IHC staining protocol.

Flow Cytometry (Intracellular) - Anti-ATM (phospho S1981) antibody [EP1890Y] - BSA and Azide free (AB208775)
  • Flow Cyt (Intra)

Unknown

Flow Cytometry (Intracellular) - Anti-ATM (phospho S1981) antibody [EP1890Y] - BSA and Azide free (AB208775)

Intracellular Flow Cytometry analysis of HepG2 (Human hepatocellular carcinoma) cells labeling ATM (phospho S1981) with purified ab81292 at 1/60 dilution (10 μg/mL) (red).

Cells were fixed with 4% paraformaldehyde and permeabilized with 90% methanol. A Goat anti rabbit IgG (Alexa Fluor®488) at 1/2000 dilution was used as the secondary antibody. Rabbit monoclonal IgG (Black) was used as the isotype control, cells without incubation with primary antibody and secondary antibody (Blue) was used as the unlabeled control.

This data was developed using the same antibody clone in a different buffer formulation containing PBS, BSA, glycerol, and sodium azide (ab81292).

Immunohistochemistry (Formalin/PFA-fixed paraffin-embedded sections) - Anti-ATM (phospho S1981) antibody [EP1890Y] - BSA and Azide free (AB208775)
  • IHC-P

Unknown

Immunohistochemistry (Formalin/PFA-fixed paraffin-embedded sections) - Anti-ATM (phospho S1981) antibody [EP1890Y] - BSA and Azide free (AB208775)

Immunohistochemistry (Formalin/PFA-fixed paraffin-embedded sections) analysis of human gastric carcinoma tissue labeling ATM with unpurified ab81292 at a 1/100 dilution.

This data was developed using the same antibody clone in a different buffer formulation containing PBS, BSA, glycerol, and sodium azide (ab81292).

Perform heat mediated antigen retrieval with Tris/EDTA buffer pH 9.0 before commencing with IHC staining protocol.

Immunoprecipitation - Anti-ATM (phospho S1981) antibody [EP1890Y] - BSA and Azide free (AB208775)
  • IP

Unknown

Immunoprecipitation - Anti-ATM (phospho S1981) antibody [EP1890Y] - BSA and Azide free (AB208775)

ATM was immunoprecipitated from HEK-293 (Human embryonic kidney epithelial cell) treated with Doxorubicin whole cell lysate with ab81292 at 1/30 dilution (5 µg in 1 mg lysates). Western blot was performed from the immunoprecipitate using ab81292 at 1/2000 dilution. An anti-Rabbit IgG (HRP), specific to the non-reduced form of IgG was used as secondary antibody at 1/1500 dilution.
Lane 1 : HEK-293 treated with Doxorubicin whole cell lysate 10 µg (Input).
Lane 2 : ab81292 IP in HEK-293 treated with Doxorubicin whole cell lysate.
Lane 3 : Rabbit monoclonal IgG (ab172730) instead of ab81292 in HEK-293 treated with Doxorubicin whole cell lysate.
Blocking/Dilution buffer : 5% NFDM/TBST.
Exposure time : 3 minutes.

This data was developed using the same antibody clone in a different buffer formulation containing PBS, BSA, glycerol, and sodium azide (ab81292).

All lanes:

Immunoprecipitation - Anti-ATM (phospho S1981) antibody [EP1890Y] (<a href='/en-us/products/primary-antibodies/atm-phospho-s1981-antibody-ep1890y-ab81292'>ab81292</a>)

Predicted band size: 351 kDa

false

Western blot - Anti-ATM (phospho S1981) antibody [EP1890Y] - BSA and Azide free (AB208775)
  • WB

Lab

Western blot - Anti-ATM (phospho S1981) antibody [EP1890Y] - BSA and Azide free (AB208775)

Blocking buffer and concentration : 5% NFDM/TBST

Diluting buffer and concentration : 5% NFDM/TBST

All lanes:

Western blot - Anti-ATM (phospho S1981) antibody [EP1890Y] - BSA and Azide free (ab208775)

All lanes:

HEK293 (human embryonic kidney) treated with Doxorubicin whole cell lysate at 10 µg

Secondary

All lanes:

Western blot - Goat Anti-Rabbit IgG H&L (HRP) (<a href='/en-us/products/secondary-antibodies/goat-rabbit-igg-h-l-hrp-ab97051'>ab97051</a>)

Predicted band size: 351 kDa

Observed band size: 370 kDa

false

Exposure time: 1min

Dot Blot - Anti-ATM (phospho S1981) antibody [EP1890Y] - BSA and Azide free (AB208775)
  • Dot

Unknown

Dot Blot - Anti-ATM (phospho S1981) antibody [EP1890Y] - BSA and Azide free (AB208775)

Dot blot analysis of ATM peptides using ab81292 at 1/000 dilution followed by Goat Anti-Rabbit IgG, (H+L), Peroxidase conjugated secondary antibody (ab97051) at 1/100,000 dilution.

Blocking and diluting buffer was 5% NFDM/TBST, exposure time 3 minutes.

Lane 1 : ATM (pS1981) phospho peptide

Lane 2 : ATM non-phospho peptide

Lane 3 : ATM (pS428) phospho peptide

This data was developed using the same antibody clone in a different buffer formulation containing PBS, BSA, glycerol, and sodium azide (ab81292).

  • Unconjugated

    Anti-ATM (phospho S1981) antibody [EP1890Y]

  • 775 Alexa Fluor® 750

    Alexa Fluor® 750 Anti-ATM (phospho S1981) antibody [EP1890Y]

  • 578 PE

    PE Anti-ATM (phospho S1981) antibody [EP1890Y]

  • 660 APC

    APC Anti-ATM (phospho S1981) antibody [EP1890Y]

  • HRP

    HRP Anti-ATM (phospho S1981) antibody [EP1890Y]

  • 519 Alexa Fluor® 488

    Alexa Fluor® 488 Anti-ATM (phospho S1981) antibody [EP1890Y]

  • 665 Alexa Fluor® 647

    Alexa Fluor® 647 Anti-ATM (phospho S1981) antibody [EP1890Y]

  • 617 Alexa Fluor® 594

    Alexa Fluor® 594 Anti-ATM (phospho S1981) antibody [EP1890Y]

  • 565 Alexa Fluor® 555

    Alexa Fluor® 555 Anti-ATM (phospho S1981) antibody [EP1890Y]

  • 603 Alexa Fluor® 568

    Alexa Fluor® 568 Anti-ATM (phospho S1981) antibody [EP1890Y]

Key facts

Host species

Rabbit

Clonality

Monoclonal

Clone number

EP1890Y

Isotype

IgG

Carrier free

Yes

Reacts with

Human

Applications

IHC-P, IP, Flow Cyt (Intra), Dot, WB

applications

Immunogen

The exact immunogen used to generate this antibody is proprietary information.

Reactivity data

{ "title": "Reactivity Data", "filters": { "stats": ["", "Species", "Dilution Info", "Notes"], "tabs": { "all-applications": {"fullname" : "All Applications", "shortname": "All Applications"}, "FlowCytIntra" : {"fullname" : "Flow Cytometry (Intracellular)", "shortname":"Flow Cyt (Intra)"}, "IP" : {"fullname" : "Immunoprecipitation", "shortname":"IP"}, "Dot" : {"fullname" : "Dot Blot", "shortname":"Dot"}, "WB" : {"fullname" : "Western blot", "shortname":"WB"}, "ICCIF" : {"fullname" : "Immunocytochemistry/ Immunofluorescence", "shortname":"ICC/IF"}, "IHCP" : {"fullname" : "Immunohistochemistry (Formalin/PFA-fixed paraffin-embedded sections)", "shortname":"IHC-P"} }, "product-promise": { "all": "all", "testedAndGuaranteed": "tested", "guaranteed": "expected", "predicted": "predicted", "notRecommended": "not-recommended" } }, "values": { "Human": { "FlowCytIntra-species-checked": "testedAndGuaranteed", "FlowCytIntra-species-dilution-info": "", "FlowCytIntra-species-notes": "<p><a href='/en-us/products/primary-antibodies/rabbit-igg-monoclonal-epr25a-isotype-control-low-endotoxin-azide-free-ab199376'>ab199376</a> - Rabbit monoclonal IgG, is suitable for use as an isotype control with this antibody.</p>", "IP-species-checked": "testedAndGuaranteed", "IP-species-dilution-info": "", "IP-species-notes": "<p></p>", "Dot-species-checked": "guaranteed", "Dot-species-dilution-info": "", "Dot-species-notes": "", "WB-species-checked": "testedAndGuaranteed", "WB-species-dilution-info": "", "WB-species-notes": "<p>Please check the parent abID, <a href='/en-us/products/primary-antibodies/atm-phospho-s1981-antibody-ep1890y-ab81292'>ab81292</a>, for more information on dilutions.</p>", "ICCIF-species-checked": "notRecommended", "ICCIF-species-dilution-info": "", "ICCIF-species-notes": "<p></p>", "IHCP-species-checked": "testedAndGuaranteed", "IHCP-species-dilution-info": "", "IHCP-species-notes": "<p></p>" }, "Synthetic peptide": { "FlowCytIntra-species-checked": "notRecommended", "FlowCytIntra-species-dilution-info": "", "FlowCytIntra-species-notes": "", "IP-species-checked": "notRecommended", "IP-species-dilution-info": "", "IP-species-notes": "", "Dot-species-checked": "testedAndGuaranteed", "Dot-species-dilution-info": "", "Dot-species-notes": "<p></p>", "WB-species-checked": "notRecommended", "WB-species-dilution-info": "", "WB-species-notes": "", "ICCIF-species-checked": "notRecommended", "ICCIF-species-dilution-info": "", "ICCIF-species-notes": "", "IHCP-species-checked": "notRecommended", "IHCP-species-dilution-info": "", "IHCP-species-notes": "" } } }

Product details

ab208775 is the carrier-free version of ab81292.

Patented technology
Our RabMAb® technology is a patented hybridoma-based technology for making rabbit monoclonal antibodies. For details on our patents, please refer to RabMAb® patents.

What are the advantages of a recombinant monoclonal antibody?
This product is a recombinant monoclonal antibody, which offers several advantages including:

  • - High batch-to-batch consistency and reproducibility
  • - Improved sensitivity and specificity
  • - Long-term security of supply
  • - Animal-free batch production

For more information, read more on recombinant antibodies.

Species reactivity
Rat: We have preliminary internal testing data to indicate this antibody may not react with this species.
Please contact us for more information.

Conjugation ready
Our carrier-free antibodies are typically supplied in a PBS-only formulation, purified and free of BSA, sodium azide and glycerol. This conjugation-ready format is designed for use with fluorochromes, metal isotopes, oligonucleotides, and enzymes, which makes them ideal for antibody labelling, functional and cell-based assays, flow-based assays (e.g. mass cytometry) and Multiplex Imaging applications.

Use our conjugation kits for antibody conjugates that are ready-to-use in as little as 20 minutes with 1 minute hands-on-time and 100% antibody recovery: available for fluorescent dyes, HRP, biotin and gold.

Compatibility
This product is compatible with the Maxpar® Antibody Labeling Kit from Fluidigm, without the need for antibody preparation. Maxpar® is a trademark of Fluidigm Canada Inc.

Properties and storage information

Form
Liquid
Purification technique
Affinity purification Protein A
Storage buffer
pH: 7.2 - 7.4 Constituents: PBS
Shipped at conditions
Blue Ice
Appropriate short-term storage conditions
+4°C
Appropriate long-term storage conditions
+4°C
Storage information
Do Not Freeze

Supplementary information

This supplementary information is collated from multiple sources and compiled automatically.

ATM also known as Ataxia Telangiectasia Mutated is a protein kinase with a molecular weight of approximately 370 kDa. ATM protein primarily resides in the cell nucleus and functions as a critical regulator of the cell cycle. It plays a significant role in the detection of DNA damage and initiation of repair processes. As part of its mechanical functions ATM phosphorylates serine and threonine residues on various substrates most notably in response to double-strand breaks in DNA. This activity is important for maintaining genomic stability.
Biological function summary

ATM acts as a coordinator in cellular response to DNA damage highly interacting with multiple components of the DNA repair machinery. It forms a complex with proteins like NBS1 and MRN complex facilitating repair by recruiting and activating other proteins involved in homologous recombination and non-homologous end joining pathways. ATM also modulates p53 activity a primary response factor in cellular stress management linking ATM to control of cell cycle arrest and apoptosis. This positions ATM as an integral part of maintaining cellular integrity in face of genomic insult.

Pathways

ATM integrates neatly within the DNA damage response and cell cycle control pathways. ATM's operative relationship with the MRN complex and its role in the PI3K-related protein kinase family helps initiate appropriate repair processes upon DNA damage detection. Additionally ATM regulates the activity of proteins such as Chk2 which further propagates signals to p53 influencing decisions between cell cycle arrest and apoptosis. These interactions link ATM closely to essential processes like DNA repair and cell survival highlighting its role in genomic maintenance.

ATM mutations or dysregulation leads to Ataxia Telangiectasia an autosomal recessive disorder characterized by neurodegeneration immune deficiencies and cancer predisposition. ATM dysfunction also connects to cancer development particularly breast cancer where it transmits signals involving BRCA1 contributing to DNA repair through homologous recombination. Understanding ATM dynamics and related pathways has important implications for developing therapeutic strategies to manage or mitigate effects associated with its dysfunction.

Product protocols

For this product, it's our understanding that no specific protocols are required. You can visit:

Target data

Serine/threonine protein kinase which activates checkpoint signaling upon double strand breaks (DSBs), apoptosis and genotoxic stresses such as ionizing ultraviolet A light (UVA), thereby acting as a DNA damage sensor (PubMed : 10550055, PubMed : 10839545, PubMed : 10910365, PubMed : 12556884, PubMed : 14871926, PubMed : 15064416, PubMed : 15448695, PubMed : 15456891, PubMed : 15790808, PubMed : 15916964, PubMed : 17923702, PubMed : 21757780, PubMed : 24534091, PubMed : 35076389, PubMed : 9733514). Recognizes the substrate consensus sequence [ST]-Q (PubMed : 10550055, PubMed : 10839545, PubMed : 10910365, PubMed : 12556884, PubMed : 14871926, PubMed : 15448695, PubMed : 15456891, PubMed : 15916964, PubMed : 17923702, PubMed : 24534091, PubMed : 9733514). Phosphorylates 'Ser-139' of histone variant H2AX at double strand breaks (DSBs), thereby regulating DNA damage response mechanism (By similarity). Also plays a role in pre-B cell allelic exclusion, a process leading to expression of a single immunoglobulin heavy chain allele to enforce clonality and monospecific recognition by the B-cell antigen receptor (BCR) expressed on individual B-lymphocytes. After the introduction of DNA breaks by the RAG complex on one immunoglobulin allele, acts by mediating a repositioning of the second allele to pericentromeric heterochromatin, preventing accessibility to the RAG complex and recombination of the second allele. Also involved in signal transduction and cell cycle control. May function as a tumor suppressor. Necessary for activation of ABL1 and SAPK. Phosphorylates DYRK2, CHEK2, p53/TP53, FBXW7, FANCD2, NFKBIA, BRCA1, CREBBP/CBP, RBBP8/CTIP, MRE11, nibrin (NBN), RAD50, RAD17, PELI1, TERF1, UFL1, RAD9, UBQLN4 and DCLRE1C (PubMed : 10550055, PubMed : 10766245, PubMed : 10802669, PubMed : 10839545, PubMed : 10910365, PubMed : 10973490, PubMed : 11375976, PubMed : 12086603, PubMed : 15456891, PubMed : 19965871, PubMed : 21757780, PubMed : 24534091, PubMed : 26240375, PubMed : 26774286, PubMed : 30612738, PubMed : 30886146, PubMed : 30952868, PubMed : 38128537, PubMed : 9733515, PubMed : 9843217). May play a role in vesicle and/or protein transport. Could play a role in T-cell development, gonad and neurological function. Plays a role in replication-dependent histone mRNA degradation. Binds DNA ends. Phosphorylation of DYRK2 in nucleus in response to genotoxic stress prevents its MDM2-mediated ubiquitination and subsequent proteasome degradation (PubMed : 19965871). Phosphorylates ATF2 which stimulates its function in DNA damage response (PubMed : 15916964). Phosphorylates ERCC6 which is essential for its chromatin remodeling activity at DNA double-strand breaks (PubMed : 29203878). Phosphorylates TTC5/STRAP at 'Ser-203' in the cytoplasm in response to DNA damage, which promotes TTC5/STRAP nuclear localization (PubMed : 15448695). Also involved in pexophagy by mediating phosphorylation of PEX5 : translocated to peroxisomes in response to reactive oxygen species (ROS), and catalyzes phosphorylation of PEX5, promoting PEX5 ubiquitination and induction of pexophagy (PubMed : 26344566).
See full target information ATM phospho S1981

Publications (48)

Recent publications for all applications. Explore the full list and refine your search

Aging 15:492-512 PubMed36656721

2023

Selective ATM inhibition augments radiation-induced inflammatory signaling and cancer cell death.

Applications

Unspecified application

Species

Unspecified reactive species

Li-Ya Chiu,Qing Sun,Frank T Zenke,Andree Blaukat,Lyubomir T Vassilev

Autophagy 19:1479-1490 PubMed36310382

2022

The telomeric protein TERF2/TRF2 impairs HMGB1-driven autophagy.

Applications

Unspecified application

Species

Unspecified reactive species

Sara Iachettini,Fabio Ciccarone,Carmen Maresca,Carmen D' Angelo,Eleonora Petti,Serena Di Vito,Maria Rosa Ciriolo,Pasquale Zizza,Annamaria Biroccio

Genetics in medicine : official journal of the American College of Medical Genetics 24:1821-1830 PubMed35616648

2022

Cancer Risk C (CR-C), a functional genomics test is a sensitive and rapid test for germline mismatch repair deficiency.

Applications

Unspecified application

Species

Unspecified reactive species

Ishraq Alim,Johnny Loke,Sarah Yam,Allyson S Templeton,Polly Newcomb,Noralane M Lindor,Rish K Pai,Mark A Jenkins,Daniel D Buchanan,Steven Gallinger,Susan Klugman,Harry Ostrer

Molecular cancer therapeutics 21:859-870 PubMed35405736

2022

A New Class of Selective ATM Inhibitors as Combination Partners of DNA Double-Strand Break Inducing Cancer Therapies.

Applications

Unspecified application

Species

Unspecified reactive species

Astrid Zimmermann,Frank T Zenke,Li-Ya Chiu,Heike Dahmen,Ulrich Pehl,Thomas Fuchss,Thomas Grombacher,Beatrix Blume,Lyubomir T Vassilev,Andree Blaukat

Molecular oncology 16:2235-2259 PubMed35167193

2022

ARID1A-deficient cells require HDAC6 for progression of endometrial carcinoma.

Applications

Unspecified application

Species

Unspecified reactive species

Cristina Megino-Luque,Pol Sisó,Natalia Mota-Martorell,Raúl Navaridas,Inés de la Rosa,Izaskun Urdanibia,Manel Albertí-Valls,Maria Santacana,Miquel Pinyol,Núria Bonifaci,Anna Macià,David Llobet-Navas,Sònia Gatius,Xavier Matias-Guiu,Núria Eritja

Scientific reports 11:12148 PubMed34108527

2021

DNA-PK inhibitor peposertib enhances p53-dependent cytotoxicity of DNA double-strand break inducing therapy in acute leukemia.

Applications

Unspecified application

Species

Unspecified reactive species

Eric Haines,Yuki Nishida,Michael I Carr,Rafael Heinz Montoya,Lauren B Ostermann,Weiguo Zhang,Frank T Zenke,Andree Blaukat,Michael Andreeff,Lyubomir T Vassilev

Nature communications 5:5691 PubMed25487737

2014

Critical role of lysine 134 methylation on histone H2AX for γ-H2AX production and DNA repair.

Applications

Unspecified application

Species

Unspecified reactive species

Kenbun Sone,Lianhua Piao,Makoto Nakakido,Koji Ueda,Thomas Jenuwein,Yusuke Nakamura,Ryuji Hamamoto

PloS one 9:e113424 PubMed25409520

2014

Distinct epidermal keratinocytes respond to extremely low-frequency electromagnetic fields differently.

Applications

Unspecified application

Species

Unspecified reactive species

Chao-Ying Huang,Chun-Yu Chuang,Wun-Yi Shu,Cheng-Wei Chang,Chaang-Ray Chen,Tai-Ching Fan,Ian C Hsu

Oncogene 34:3977-84 PubMed25308476

2014

miR-19, a component of the oncogenic miR-17∼92 cluster, targets the DNA-end resection factor CtIP.

Applications

Unspecified application

Species

Unspecified reactive species

D Hühn,A N Kousholt,C S Sørensen,A A Sartori

PloS one 9:e104732 PubMed25111195

2014

Extremely low-frequency electromagnetic fields cause G1 phase arrest through the activation of the ATM-Chk2-p21 pathway.

Applications

Unspecified application

Species

Unspecified reactive species

Chao-Ying Huang,Cheng-Wei Chang,Chaang-Ray Chen,Chun-Yu Chuang,Chi-Shiun Chiang,Wun-Yi Shu,Tai-Ching Fan,Ian C Hsu
View all publications

Product promise

We are committed to supporting your work with high-quality reagents, and we're here for you every step of the way. In the unlikely event that one of our products does not perform as expected, you're protected by our Product Promise.
For full details, please see our Terms & Conditions

Please note: All products are 'FOR RESEARCH USE ONLY. NOT FOR USE IN DIAGNOSTIC OR THERAPEUTIC PROCEDURES'.

For licensing inquiries, please contact partnerships@abcam.com