JavaScript is disabled in your browser. Please enable JavaScript to view this website.
AB324911

Anti-ATP-binding cassette sub-family A member 3 antibody [EPR29622-109]

  • RabMAb
  • Recombinant
  • 20ul selling size
  • Advanced Validation
  • What is this?

Be the first to review this product! Submit a review

|

(0 Publication)

Rabbit Recombinant Monoclonal ATP-binding cassette sub-family A member 3 antibody. Suitable for Dot, IHC-P, WB, mIHC and reacts with Recombinant fragment - Mouse, Mouse samples.

View Alternative Names

Phospholipid-transporting ATPase ABCA3, ATP-binding cassette sub-family A member 3, Xenobiotic-transporting ATPase ABCA3, Abca3

9 Images
Multiplex immunohistochemistry - Anti-ATP-binding cassette sub-family A member 3 antibody [EPR29622-109] (AB324911)
  • mIHC

Supplier Data

Multiplex immunohistochemistry - Anti-ATP-binding cassette sub-family A member 3 antibody [EPR29622-109] (AB324911)

Multiplex immunohistochemistry analysis of formalin/PFA-fixed paraffin-embedded mouse lung tissue staining ATP-binding cassette sub-family A member 3 with ab324911 at a 1 : 2000 (0.253 ug/ml) dilution, ab322404 anti-PSAP used at 1 : 5000 (0.092 ug/ml) dilution and ab305303 anti-Aquaporin-5 used at a 1 : 2000 (0.265 ug/ml) dilution.

Panel A : merged staining of anti-ATP-binding cassette sub-family A member 3 (green; Opal™690), anti-PSAP (magenta; Opal™520) and anti-Aquaporin-5 (yellow; Opal™570) on mouse lung.
Panel B : anti-ATP-binding cassette sub-family A member 3 staining typeⅡ pneumocytes in mouse lung.
Panel C : ant-PSAP staining typeⅡ pneumocytes in mouse lung.
Panel D : ant-Aquaporin-5 staining typeⅠ pneumocytes in mouse lung.
Nuclear DNA was labeled with DAPI (shown in blue).

The section was incubated in three rounds of staining : in the order of ab324911, ab322404 and ab305303 for 30 mins at room temperature. Each round was followed by a separate fluorescent tyramide signal amplification system.

The immunostaining was performed on a Leica Biosystems BOND® RX instrument with an Opal™ 4-color kit. Image acquisition was performed with Leica SP8 confocal microscope.

Nuclear counter stain with DAPI.

Heat mediated antigen retrieval was performed with Tris-EDTA buffer (pH 9.0, Epitope Retrieval Solution2) for 20 mins.

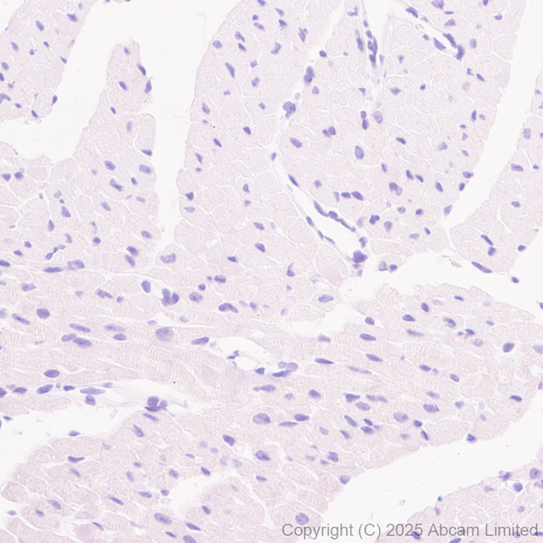
Immunohistochemistry (Formalin/PFA-fixed paraffin-embedded sections) - Anti-ATP-binding cassette sub-family A member 3 antibody [EPR29622-109] (AB324911)
  • IHC-P

Supplier Data

Immunohistochemistry (Formalin/PFA-fixed paraffin-embedded sections) - Anti-ATP-binding cassette sub-family A member 3 antibody [EPR29622-109] (AB324911)

Immunohistochemical analysis of paraffin-embedded Mouse cardiac muscle tissue labeling ATP-binding cassette sub-family A member 3 with ab324911 at 1/2000 (0.253 ug/ml) dilution, followed by a ready to use LeicaDS9800 (Bond™ Polymer Refine Detection).

Low expression tissue : No staining on mouse cardiac muscle (PMID : 17142808).
The primary antibody was incubated for 30 mins at room temperature.
The immunostaining was performed on a Leica Biosystems BOND® RX instrument

Counterstained with Hematoxylin.

Secondary antibody only control : Secondary antibody is a ready to use LeicaDS9800 (Bond™ Polymer Refine Detection).

Heat mediated antigen retrieval was performed with Tris-EDTA buffer (pH 9.0, Epitope Retrieval Solution2) for 20 mins

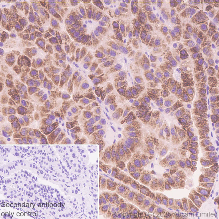
Immunohistochemistry (Formalin/PFA-fixed paraffin-embedded sections) - Anti-ATP-binding cassette sub-family A member 3 antibody [EPR29622-109] (AB324911)
  • IHC-P

Supplier Data

Immunohistochemistry (Formalin/PFA-fixed paraffin-embedded sections) - Anti-ATP-binding cassette sub-family A member 3 antibody [EPR29622-109] (AB324911)

Immunohistochemical analysis of paraffin-embedded Mouse lung adenocarcinoma tissue labeling ATP-binding cassette sub-family A member 3 with ab324911 at 1/2000 (0.253 ug/ml) dilution, followed by a ready to use LeicaDS9800 (Bond™ Polymer Refine Detection).

Positive staining on mouse lung adenocarcinoma.
The primary antibody was incubated for 30 mins at room temperature.
The immunostaining was performed on a Leica Biosystems BOND® RX instrument

Counterstained with Hematoxylin.

Secondary antibody only control : Secondary antibody is a ready to use LeicaDS9800 (Bond™ Polymer Refine Detection).

Heat mediated antigen retrieval was performed with Tris-EDTA buffer (pH 9.0, Epitope Retrieval Solution2) for 20 mins

Immunohistochemistry (Formalin/PFA-fixed paraffin-embedded sections) - Anti-ATP-binding cassette sub-family A member 3 antibody [EPR29622-109] (AB324911)
  • IHC-P

Supplier Data

Immunohistochemistry (Formalin/PFA-fixed paraffin-embedded sections) - Anti-ATP-binding cassette sub-family A member 3 antibody [EPR29622-109] (AB324911)

Immunohistochemical analysis of paraffin-embedded Mouse cerebellum tissue labeling ATP-binding cassette sub-family A member 3 with ab324911 at 1/2000 (0.253 ug/ml) dilution, followed by a ready to use LeicaDS9800 (Bond™ Polymer Refine Detection).

Positive staining on Purkinje cells in mouse cerebellum.
The primary antibody was incubated for 30 mins at room temperature.
The immunostaining was performed on a Leica Biosystems BOND® RX instrument

Counterstained with Hematoxylin.

Secondary antibody only control : Secondary antibody is a ready to use LeicaDS9800 (Bond™ Polymer Refine Detection).

Heat mediated antigen retrieval was performed with Tris-EDTA buffer (pH 9.0, Epitope Retrieval Solution2) for 20 mins

Immunohistochemistry (Formalin/PFA-fixed paraffin-embedded sections) - Anti-ATP-binding cassette sub-family A member 3 antibody [EPR29622-109] (AB324911)
  • IHC-P

Supplier Data

Immunohistochemistry (Formalin/PFA-fixed paraffin-embedded sections) - Anti-ATP-binding cassette sub-family A member 3 antibody [EPR29622-109] (AB324911)

Immunohistochemical analysis of paraffin-embedded Mouse kidney tissue labeling ATP-binding cassette sub-family A member 3 with ab324911 at 1/2000 (0.253 ug/ml) dilution, followed by a ready to use LeicaDS9800 (Bond™ Polymer Refine Detection).

Positive staining on mouse kidney tubules.
The primary antibody was incubated for 30 mins at room temperature.
The immunostaining was performed on a Leica Biosystems BOND® RX instrument

Counterstained with Hematoxylin.

Secondary antibody only control : Secondary antibody is a ready to use LeicaDS9800 (Bond™ Polymer Refine Detection).

Heat mediated antigen retrieval was performed with Tris-EDTA buffer (pH 9.0, Epitope Retrieval Solution2) for 20 mins

Immunohistochemistry (Formalin/PFA-fixed paraffin-embedded sections) - Anti-ATP-binding cassette sub-family A member 3 antibody [EPR29622-109] (AB324911)
  • IHC-P

Supplier Data

Immunohistochemistry (Formalin/PFA-fixed paraffin-embedded sections) - Anti-ATP-binding cassette sub-family A member 3 antibody [EPR29622-109] (AB324911)

Immunohistochemical analysis of paraffin-embedded Mouse lung tissue labeling ATP-binding cassette sub-family A member 3 with ab324911 at 1/2000 (0.253 ug/ml) dilution, followed by a ready to use LeicaDS9800 (Bond™ Polymer Refine Detection).

Positive staining on typeⅡ pneumocytes in mouse lung.
The primary antibody was incubated for 30 mins at room temperature.
The immunostaining was performed on a Leica Biosystems BOND® RX instrument

Counterstained with Hematoxylin.

Secondary antibody only control : Secondary antibody is a ready to use LeicaDS9800 (Bond™ Polymer Refine Detection).

Heat mediated antigen retrieval was performed with Tris-EDTA buffer (pH 9.0, Epitope Retrieval Solution2) for 20 mins

Western blot - Anti-ATP-binding cassette sub-family A member 3 antibody [EPR29622-109] (AB324911)
  • WB

Supplier Data

Western blot - Anti-ATP-binding cassette sub-family A member 3 antibody [EPR29622-109] (AB324911)

Blocking and diluting buffer and concentration : 5% NFDM/TBST.

Low expression : heart, skeletal muscle (PMID : 17142808), C2C12.

The molecular weight observed is consistent with what have been described in literatures (PMID : 17142808; PMID : 20863830).

Samples are non-boiled as boiling may cause protein aggregation.

The identity of the lower MW bands below 150 kDa are unknown.

In Western blot, Anti-Vinculin antibody [EPR8185] (ab129002) staining at 1/10000 dilution.

All lanes:

Western blot - Anti-ATP-binding cassette sub-family A member 3 antibody [EPR29622-109] (ab324911) at 1/1000 dilution

Lane 1:

Mouse lung tissue lysate at 20 µg

Lane 2:

Mouse kidney tissue lysate at 20 µg

Lane 3:

Mouse heart tissue lysate at 20 µg

Lane 4:

Mouse skeletal muscle tissue lysate at 20 µg

Lane 5:

Mouse liver tissue lysate at 20 µg

Lane 6:

Mouse spleen tissue lysate at 20 µg

Lane 6:

Hepa1-6 (mouse hepatoma epithelial cell) whole cell lysate at 20 µg

Lane 8:

C2C12 (mouse myoblast) whole cell lysate at 20 µg

Secondary

All lanes:

Western blot - Goat Anti-Rabbit IgG H&L (HRP) (<a href='/en-us/products/secondary-antibodies/goat-rabbit-igg-h-l-hrp-ab97051'>ab97051</a>) at 1/20000 dilution

Observed band size: 150 kDa,190 kDa,124 kDa

false

Exposure time: 37s

Immunohistochemistry (Formalin/PFA-fixed paraffin-embedded sections) - Anti-ATP-binding cassette sub-family A member 3 antibody [EPR29622-109] (AB324911)
  • IHC-P

Supplier Data

Immunohistochemistry (Formalin/PFA-fixed paraffin-embedded sections) - Anti-ATP-binding cassette sub-family A member 3 antibody [EPR29622-109] (AB324911)

Immunohistochemical analysis of paraffin-embedded Mouse skeletal muscle tissue labeling ATP-binding cassette sub-family A member 3 with ab324911 at 1/2000 (0.253 ug/ml) dilution, followed by a ready to use LeicaDS9800 (Bond™ Polymer Refine Detection).

Low expression tissue : No staining on mouse skeletal muscle (PMID : 17142808).
The primary antibody was incubated for 30 mins at room temperature.
The immunostaining was performed on a Leica Biosystems BOND® RX instrument

Counterstained with Hematoxylin.

Secondary antibody only control : Secondary antibody is a ready to use LeicaDS9800 (Bond™ Polymer Refine Detection).

Heat mediated antigen retrieval was performed with Tris-EDTA buffer (pH 9.0, Epitope Retrieval Solution2) for 20 mins

Dot Blot - Anti-ATP-binding cassette sub-family A member 3 antibody [EPR29622-109] (AB324911)
  • Dot

Supplier Data

Dot Blot - Anti-ATP-binding cassette sub-family A member 3 antibody [EPR29622-109] (AB324911)

Dot blot analysis of ATP-binding cassette sub-family A member 3 using ab324911 at 1 : 1000 (0.505 ug/ml) followed by a Goat Anti-Rabbit IgG, (H+L), Peroxidase conjugated (ab97051) at 1 : 100,000 dilution.

Lane1 : His-tagged mouse ATP-binding cassette sub-family A member 3 recombinant protein 100 ng
Lane2 : His-tagged mouse Phospholipid-transporting ATPase ABCA17 recombinant protein 100 ng
Lane3 : His-tagged mouse Phospholipid-transporting ATPase ABCA4 recombinant protein 200 ng
Lane4 : His-tagged mouse Phospholipid-transporting ATPase ABCA2 recombinant protein 500 ng

Exposure time : 26 seconds.

Blocking and diluting buffer and concentration : 5% NFDM/TBST.

In Dot Blot, Anti-6X His tag® antibody [EPR20547] - ChIP Grade (ab213204) staining at 1/5000 dilution.

All lanes:

Dot Blot - Anti-ATP-binding cassette sub-family A member 3 antibody [EPR29622-109] (ab324911) at 1/1000 dilution

Secondary

All lanes:

Dot Blot - Goat Anti-Rabbit IgG H&L (HRP) (<a href='/en-us/products/secondary-antibodies/goat-rabbit-igg-h-l-hrp-ab97051'>ab97051</a>) at 1/100000 dilution

false

Key facts

Host species

Rabbit

Clonality

Monoclonal

Clone number

EPR29622-109

Isotype

IgG

Carrier free

No

Reacts with

Mouse

Applications

mIHC, Dot, IHC-P, WB

applications

Immunogen

The exact immunogen used to generate this antibody is proprietary information.

Reactivity data

{ "title": "Reactivity Data", "filters": { "stats": ["", "Species", "Dilution Info", "Notes"], "tabs": { "all-applications": {"fullname" : "All Applications", "shortname": "All Applications"}, "Dot" : {"fullname" : "Dot Blot", "shortname":"Dot"}, "IHCP" : {"fullname" : "Immunohistochemistry (Formalin/PFA-fixed paraffin-embedded sections)", "shortname":"IHC-P"}, "WB" : {"fullname" : "Western blot", "shortname":"WB"}, "mIHC" : {"fullname" : "Multiplex immunohistochemistry", "shortname":"mIHC"} }, "product-promise": { "all": "all", "testedAndGuaranteed": "tested", "guaranteed": "expected", "predicted": "predicted", "notRecommended": "not-recommended" } }, "values": { "Mouse": { "Dot-species-checked": "guaranteed", "Dot-species-dilution-info": "", "Dot-species-notes": "", "IHCP-species-checked": "testedAndGuaranteed", "IHCP-species-dilution-info": "1/2000", "IHCP-species-notes": "<p></p> Perform heat-mediated antigen retrieval with Tris/EDTA buffer pH 9.0 before commencing with IHC staining protocol.", "WB-species-checked": "testedAndGuaranteed", "WB-species-dilution-info": "1/1000", "WB-species-notes": "<p></p>", "mIHC-species-checked": "testedAndGuaranteed", "mIHC-species-dilution-info": "1/2000", "mIHC-species-notes": "<p></p> Perform heat-mediated antigen retrieval with Tris/EDTA buffer pH 9.0 before commencing with IHC staining protocol." }, "Recombinant fragment - Mouse": { "Dot-species-checked": "testedAndGuaranteed", "Dot-species-dilution-info": "1/1000", "Dot-species-notes": "<p></p>", "IHCP-species-checked": "notRecommended", "IHCP-species-dilution-info": "", "IHCP-species-notes": "", "WB-species-checked": "notRecommended", "WB-species-dilution-info": "", "WB-species-notes": "", "mIHC-species-checked": "notRecommended", "mIHC-species-dilution-info": "", "mIHC-species-notes": "" } } }

Product details

Patented technology
Our RabMAb® technology is a patented hybridoma-based technology for making rabbit monoclonal antibodies. For details on our patents, please refer to RabMAb® patents.

What are the advantages of a recombinant monoclonal antibody?
This product is a recombinant monoclonal antibody, which offers several advantages including:

  • - High batch-to-batch consistency and reproducibility
  • - Improved sensitivity and specificity
  • - Long-term security of supply
  • - Animal-free batch production

For more information, read more on recombinant antibodies.

Properties and storage information

Form
Liquid
Purification technique
Affinity purification Protein A
Storage buffer
pH: 7.2 - 7.4 Preservative: 0.01% Sodium azide Constituents: PBS, 40% Glycerol (glycerin, glycerine), 0.05% BSA
Shipped at conditions
Blue Ice
Appropriate short-term storage duration
1-2 weeks
Appropriate short-term storage conditions
+4°C
Appropriate long-term storage conditions
-20°C
Aliquoting information
Upon delivery aliquot
Storage information
Avoid freeze / thaw cycle

Product protocols

For this product, it's our understanding that no specific protocols are required. You can visit:

Target data

Catalyzes the ATP-dependent transport of phospholipids such as phosphatidylcholine and phosphoglycerol from the cytoplasm into the lumen side of lamellar bodies, in turn participates in the lamellar bodies biogenesis and homeostasis of pulmonary surfactant (PubMed : 17142808, PubMed : 17267394, PubMed : 17540762, PubMed : 17577581, PubMed : 20190032, PubMed : 28034695). Transports preferentially phosphatidylcholine containing short acyl chains (PubMed : 17142808). In addition plays a role as an efflux transporter of miltefosine across macrophage membranes and free cholesterol (FC) through intralumenal vesicles by removing FC from the cell as a component of surfactant and protects cells from free cholesterol toxicity (By similarity).
See full target information Abca3

Product promise

We are committed to supporting your work with high-quality reagents, and we're here for you every step of the way. In the unlikely event that one of our products does not perform as expected, you're protected by our Product Promise.
For full details, please see our Terms & Conditions

Please note: All products are 'FOR RESEARCH USE ONLY. NOT FOR USE IN DIAGNOSTIC OR THERAPEUTIC PROCEDURES'.

For licensing inquiries, please contact partnerships@abcam.com