JavaScript is disabled in your browser. Please enable JavaScript to view this website.
AB235926

Anti-ATP citrate lyase antibody

Be the first to review this product! Submit a review

|

(2 Publications)

Rabbit Polyclonal ATP citrate lyase antibody. Suitable for IHC-P, ICC/IF and reacts with Human samples. Cited in 2 publications. Immunogen corresponding to Recombinant Fragment Protein within Human ATP-citrate synthase aa 1-300.

View Alternative Names

ATP-citrate synthase, ATP-citrate (pro-S-)-lyase, Citrate cleavage enzyme, ACL, ACLY

4 Images
Immunocytochemistry/ Immunofluorescence - Anti-ATP citrate lyase antibody (AB235926)
  • ICC/IF

Supplier Data

Immunocytochemistry/ Immunofluorescence - Anti-ATP citrate lyase antibody (AB235926)

HepG2 (Human liver hepatocellular carcinoma cell line) cells stained for ATP citrate lyase using ab235926 at a dilution of 1/100 in ICC/IF. Secondary used is an Alexa-Fluor®488-conjugated Goat Anti-Rabbit IgG (H+L).

Immunohistochemistry (Formalin/PFA-fixed paraffin-embedded sections) - Anti-ATP citrate lyase antibody (AB235926)
  • IHC-P

Supplier Data

Immunohistochemistry (Formalin/PFA-fixed paraffin-embedded sections) - Anti-ATP citrate lyase antibody (AB235926)

Paraffin-embedded human breast cancer tissue stained for ATP citrate lyase with ab235926 at a 1/100 dilution in immunohistochemical analysis.

Immunohistochemistry (Formalin/PFA-fixed paraffin-embedded sections) - Anti-ATP citrate lyase antibody (AB235926)
  • IHC-P

Supplier Data

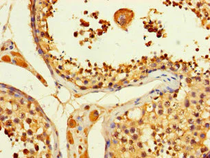
Immunohistochemistry (Formalin/PFA-fixed paraffin-embedded sections) - Anti-ATP citrate lyase antibody (AB235926)

Paraffin-embedded human testis tissue stained for ATP citrate lyase with ab235926 at a 1/100 dilution in immunohistochemical analysis.

Immunohistochemistry (Formalin/PFA-fixed paraffin-embedded sections) - Anti-ATP citrate lyase antibody (AB235926)
  • IHC-P

Supplier Data

Immunohistochemistry (Formalin/PFA-fixed paraffin-embedded sections) - Anti-ATP citrate lyase antibody (AB235926)

Paraffin-embedded human gastric cancer tissue stained for ATP citrate lyase with ab235926 at a 1/100 dilution in immunohistochemical analysis.

Key facts

Host species

Rabbit

Clonality

Polyclonal

Isotype

IgG

Carrier free

No

Reacts with

Human

Applications

ICC/IF, IHC-P

applications

Immunogen

Recombinant Fragment Protein within Human ATP-citrate synthase aa 1-300. The exact immunogen used to generate this antibody is proprietary information.

P53396

Reactivity data

{ "title": "Reactivity Data", "filters": { "stats": ["", "Species", "Dilution Info", "Notes"], "tabs": { "all-applications": {"fullname" : "All Applications", "shortname": "All Applications"}, "IHCP" : {"fullname" : "Immunohistochemistry (Formalin/PFA-fixed paraffin-embedded sections)", "shortname":"IHC-P"}, "ICCIF" : {"fullname" : "Immunocytochemistry/ Immunofluorescence", "shortname":"ICC/IF"} }, "product-promise": { "all": "all", "testedAndGuaranteed": "tested", "guaranteed": "expected", "predicted": "predicted", "notRecommended": "not-recommended" } }, "values": { "Human": { "IHCP-species-checked": "testedAndGuaranteed", "IHCP-species-dilution-info": "1/20 - 1/200", "IHCP-species-notes": "<p></p>", "ICCIF-species-checked": "testedAndGuaranteed", "ICCIF-species-dilution-info": "1/50 - 1/200", "ICCIF-species-notes": "<p></p>" } } }

Properties and storage information

Form
Liquid
Purification technique
Affinity purification Protein G
Purification notes
Purity >95%
Storage buffer
pH: 7.4 Preservative: 0.03% Proclin 300 Constituents: PBS, 50% Glycerol (glycerin, glycerine)
Shipped at conditions
Blue Ice
Appropriate short-term storage duration
1-2 weeks
Appropriate short-term storage conditions
+4°C
Appropriate long-term storage conditions
-20°C
Aliquoting information
Upon delivery aliquot
Storage information
Avoid freeze / thaw cycle

Supplementary information

This supplementary information is collated from multiple sources and compiled automatically.

ATP citrate lyase (ACL ACLY) is an enzyme responsible for converting citrate and coenzyme A into acetyl-CoA and oxaloacetate using ATP in the process. This reaction is key for lipid and cholesterol biosynthesis. ACLY's alternate name is ATP citrate (pro-S)-lyase and it has a molecular weight of approximately 120 kDa. The enzyme is expressed mainly in the cytoplasm with substantial amounts found in liver and adipose tissues.
Biological function summary

ATP citrate lyase plays an important role in lipid metabolism and energy production. It drives the conversion of citrate-derived acetyl-CoA a central metabolite in lipogenesis providing substrates for fatty acid and cholesterol synthesis. ACLY functions as a homotetramer complex to facilitate its enzymatic activity. This mechanism supports energy homeostasis linking carbohydrate metabolism with lipid biosynthesis.

Pathways

The enzyme ATP citrate lyase is instrumental in the citric acid cycle and fatty acid synthesis pathways. It is a central player in the cholesterol biosynthesis pathway which tightly connects to acetyl-CoA and citrate shuttle processes. In these pathways it interacts functionally with other enzymes such as acetyl-CoA carboxylase which further processes acetyl-CoA into malonyl-CoA serving as a precursor for fatty acid elongation.

ATP citrate lyase becomes significant in metabolic syndrome and cancer. Elevated expression and activity are linked to an increased risk of metabolic diseases including obesity and type 2 diabetes due to its role in excessive lipid accumulation. Moreover cancer cells often exhibit upregulated ACLY activity encouraging tumor growth by supplying acetyl-CoA for lipid biosynthesis. Its activity is intricately linked to proteins such as fatty acid synthase which also contribute to altered lipid profiles in these conditions.

Product protocols

For this product, it's our understanding that no specific protocols are required. You can visit:

Target data

Catalyzes the cleavage of citrate into oxaloacetate and acetyl-CoA, the latter serving as common substrate for de novo cholesterol and fatty acid synthesis.
See full target information ATP-citrate synthase

Publications (2)

Recent publications for all applications. Explore the full list and refine your search

Frontiers in immunology 15:1456649 PubMed39896807

2025

Disulfidptosis-related gene signatures as prognostic biomarkers and predictors of immunotherapy response in HNSCC.

Applications

Unspecified application

Species

Unspecified reactive species

Haotian Qin,Juan Xu,Yaohang Yue,Meiling Chen,Zheng Zhang,Panpan Xu,Yan Zheng,Hui Zeng,Jian Weng,Jun Yang,Fei Yu

Frontiers in immunology 15:1477267 PubMed39399493

2024

The pathological significance and potential mechanism of ACLY in cholangiocarcinoma.

Applications

Unspecified application

Species

Unspecified reactive species

Xiaoyan Sun,Xiaofang Zhao,Senyan Wang,Qi Liu,Wenjuan Wei,Jing Xu,Hongyang Wang,Wen Yang
View all publications

Product promise

We are committed to supporting your work with high-quality reagents, and we're here for you every step of the way. In the unlikely event that one of our products does not perform as expected, you're protected by our Product Promise.
For full details, please see our Terms & Conditions

Please note: All products are 'FOR RESEARCH USE ONLY. NOT FOR USE IN DIAGNOSTIC OR THERAPEUTIC PROCEDURES'.

For licensing inquiries, please contact partnerships@abcam.com