JavaScript is disabled in your browser. Please enable JavaScript to view this website.
AB227996

Anti-ATP citrate lyase antibody [EP704Y] - BSA and Azide free

5

(2 Reviews)

|

(14 Publications)

Rabbit Recombinant Monoclonal ATP citrate lyase antibody. Carrier free. Suitable for IP, WB, IHC-P, ICC/IF, Flow Cyt (Intra) and reacts with Human, Mouse, Rat samples. Cited in 14 publications.

View Alternative Names

ATP-citrate synthase, ATP-citrate (pro-S-)-lyase, Citrate cleavage enzyme, ACL, ACLY

8 Images
Flow Cytometry (Intracellular) - Anti-ATP citrate lyase antibody [EP704Y] - BSA and Azide free (AB227996)
  • Flow Cyt (Intra)

Lab

Flow Cytometry (Intracellular) - Anti-ATP citrate lyase antibody [EP704Y] - BSA and Azide free (AB227996)

This data was developed using the same antibody clone in a different buffer formulation containing PBS, BSA, glycerol, and sodium azide (ab40793).

Flow cytometry overlay histogram showing left wild-type HAP1 positive cells and right negative ACLY knockout HAP1 stained with ab40793 (red line). The cells were fixed with 80% methanol (5 min) and then permeabilised with 0.1% PBS-Triton X-100 for 15 min. The cells were then incubated in 1x PBS containing 10% normal goat serum to block non-specific protein-protein interaction followed by the antibody (ab40793) (1x 106 in 100μl at 0.04 μg/ml (1/6225 dilution)) for 30min at 22°C.

The secondary antibody Goat Anti-Rabbit IgG H&L (Alexa Fluor® 488) preadsorbed was incubated at 1/4000 dilution for 30min at 22°C.

Isotype control antibody was Recombinant Rabbit IgG, monoclonal [EPR25A] - Isotype Control (black line) used at the same concentration and conditions as the primary antibody. Unlabelled sample (blue line) was also used as a control.

Acquisition of >5000 events were collected using a 50 mW Blue laser (488nm) and 530/30 bandpass filter.

This antibody gave a positive signal in wild-type HAP1 fixed with 4% formaldehyde (10 min) and then permeabilised with 0.1% PBS-Triton X-100 for 15 min under the same conditions.

Immunocytochemistry/ Immunofluorescence - Anti-ATP citrate lyase antibody [EP704Y] - BSA and Azide free (AB227996)
  • ICC/IF

Unknown

Immunocytochemistry/ Immunofluorescence - Anti-ATP citrate lyase antibody [EP704Y] - BSA and Azide free (AB227996)

This ICC/IF data was generated using the same tni-ATP citrate lyase antibody clone, EP704Y, in a different buffer formulation (cat# ab40793).

Immunocytochemistry/Immunofluorescence analysis of HeLa cells labelling ATP citrate lyase with ab40793 at 1/500. Cells were fixed with 100% methanol. ab150077, an Alexa Fluor® 488-conjugated goat anti-rabbit IgG (1/1000) was used as the secondary antibody.
Control : PBS only.
Nuclear counter stain : DAPI.

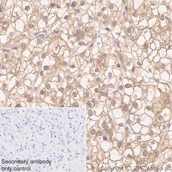
Immunohistochemistry (Formalin/PFA-fixed paraffin-embedded sections) - Anti-ATP citrate lyase antibody [EP704Y] - BSA and Azide free (AB227996)
  • IHC-P

Lab

Immunohistochemistry (Formalin/PFA-fixed paraffin-embedded sections) - Anti-ATP citrate lyase antibody [EP704Y] - BSA and Azide free (AB227996)

Immunohistochemistry (Formalin/PFA-fixed paraffin-embedded sections) analysis of human clear cell carcinoma of kidney tissue sections labeling ATP citrate lyase with Purified ab40793 at 1 : 100 dilution. Heat mediated antigen retrieval was performed using ab93684 (Tris/EDTA buffer, pH 9.0). Tissue was counterstained with Hematoxylin. ImmunoHistoProbe one step HRP Polymer (ready to use) secondary antibody was used at 1 : 0 dilution. PBS instead of the primary antibody was used as the negative control.This data was developed using the same antibody clone in a different buffer formulation containing PBS, BSA, glycerol, and sodium azide (ab40793).

Flow Cytometry (Intracellular) - Anti-ATP citrate lyase antibody [EP704Y] - BSA and Azide free (AB227996)
  • Flow Cyt (Intra)

Unknown

Flow Cytometry (Intracellular) - Anti-ATP citrate lyase antibody [EP704Y] - BSA and Azide free (AB227996)

Overlay histogram showing HeLa cells stained with unpurified ab40793 (red line). The cells were fixed with 80% methanol (5 min) and then permeabilized with 0.1% PBS-Tween for 20 min. The cells were then incubated in 1x PBS / 10% normal goat serum / 0.3M glycine to block non-specific protein-protein interactions followed by the antibody (ab40793, 1/100 dilution) for 30 min at 22°C. The secondary antibody used was DyLight® 488 goat anti-rabbit IgG (H+L) (ab96899) at 1/500 dilution for 30 min at 22°C. Isotype control antibody (black line) was rabbit IgG (monoclonal) (1μg/1x106 cells) used under the same conditions. Acquisition of >5,000 events was performed.

This data was developed using the same antibody clone in a different buffer formulation containing PBS, BSA, glycerol, and sodium azide (ab40793).

Flow Cytometry (Intracellular) - Anti-ATP citrate lyase antibody [EP704Y] - BSA and Azide free (AB227996)
  • Flow Cyt (Intra)

Unknown

Flow Cytometry (Intracellular) - Anti-ATP citrate lyase antibody [EP704Y] - BSA and Azide free (AB227996)

Intracellular Flow Cytometry analysis of HeLa (Human cervix adenocarcinoma epithelial cell) cells labeling ATP citrate lyase with purified ab40793 at 1/30 dilution (red). Cells were fixed with 4% Paraformaldehyde. A Goat anti rabbit IgG (Alexa Fluor® 488) secondary antibody was used at 1/2000 dilution. Isotype control - Rabbit monoclonal IgG (Black). Unlabeled control - Cell without incubation with primary antibody and secondary antibody (Blue). This data was developed using the same antibody clone in a different buffer formulation containing PBS, BSA, glycerol, and sodium azide (ab40793).

Immunoprecipitation - Anti-ATP citrate lyase antibody [EP704Y] - BSA and Azide free (AB227996)
  • IP

Unknown

Immunoprecipitation - Anti-ATP citrate lyase antibody [EP704Y] - BSA and Azide free (AB227996)

ab40793 (purified) at 1 : 20 dilution (1.5μg) immunoprecipitating ATP citrate lyase in HeLa whole cell lysate.

Lane 1 (input) : HeLa (Human cervix adenocarcinoma epithelial cell) whole cell lysate,10μg
Lane 2 (+) : ab40793 & HeLa whole cell lysate
Lane 3 (-) : Rabbit monoclonal IgG (ab172730) instead of ab40793 in HeLa whole cell lysate.

For western blotting, VeriBlot for IP Detection Reagent (HRP) (ab131366) was used for detection at 1 : 1000 dilution.
Blocking and diluting buffer : 5% NFDM/TBST.

This data was developed using the same antibody clone in a different buffer formulation containing PBS, BSA, glycerol, and sodium azide (ab40793).

All lanes:

Immunoprecipitation - Anti-ATP citrate lyase antibody [EP704Y] (<a href='/en-us/products/primary-antibodies/atp-citrate-lyase-antibody-ep704y-ab40793'>ab40793</a>)

Predicted band size: 120 kDa

false

Immunoprecipitation - Anti-ATP citrate lyase antibody [EP704Y] - BSA and Azide free (AB227996)
  • IP

Unknown

Immunoprecipitation - Anti-ATP citrate lyase antibody [EP704Y] - BSA and Azide free (AB227996)

Unpurified ab40793 at 1/40 immunoprecipitating ATP citrate lyase in HeLa (human cervix adenocarcinoma) whole cell lysate.

Lane 1 (input) : HeLa (human cervix adenocarcinoma) whole cell lysate 10μg

Lane 2 (+) : ab40793 + HeLa (human cervix adenocarcinoma) whole cell lysate

Lane 3 (-) : Rabbit monoclonal IgG (ab172730) instead of ab40793 in HeLa (human cervix adenocarcinoma) whole cell lysate

For western blotting, ab40793 at 1/1000 dilution and VeriBlot for IP Detection Reagent (HRP) (ab131366), was used for detection at 1/10,000 dilution.

Blocking buffer and concentration : 5% NFDM/TBST.

Diluting buffer and concentration : 5% NFDM /TBST.

This data was developed using the same antibody clone in a different buffer formulation containing PBS, BSA, glycerol, and sodium azide (ab40793).

All lanes:

Immunoprecipitation - Anti-ATP citrate lyase antibody [EP704Y] (<a href='/en-us/products/primary-antibodies/atp-citrate-lyase-antibody-ep704y-ab40793'>ab40793</a>)

Predicted band size: 120 kDa

Observed band size: 122 kDa

false

Exposure time: 10s

Western blot - Anti-ATP citrate lyase antibody [EP704Y] - BSA and Azide free (AB227996)
  • WB

Unknown

Western blot - Anti-ATP citrate lyase antibody [EP704Y] - BSA and Azide free (AB227996)

This WB data was generated using the same tni-ATP citrate lyase antibody clone, EP704Y, in a different buffer formulation (cat# ab40793).

Lane 1 : Wild-type HAP1 whole cell lysate (20 μg)
Lane 2 : ATP citrate lyase knockout HAP1 whole cell lysate (20 μg)
Lane 3 : HeLa whole cell lysate (20 μg)

Lanes 1 - 3 : Merged signal (red and green). Green - ab40793 observed at 125 kDa. Red - loading control, ab9484, observed at 37 kDa.

ab40793 was shown to specifically react with ATP citrate lyase in wild-type HAP1 cells as signal was lost in ATP citrate lyase knockout cells. Wild-type and ATP citrate lyase knockout samples were subjected to SDS-PAGE. ab40793 and ab9484 (Mouse anti-GAPDH loading control) were incubated overnight at 4°C at 1/1000 dilution and 1/20000 dilution respectively. Blots were developed with Goat anti-Rabbit IgG H&L (IRDye® 800CW) preabsorbed ab216773 and Goat anti-Mouse IgG H&L (IRDye® 680RD) preabsorbed ab216776 secondary antibodies at 1/20000 dilution for 1 hour at room temperature before imaging.

All lanes:

Western blot - Anti-ATP citrate lyase antibody [EP704Y] (<a href='/en-us/products/primary-antibodies/atp-citrate-lyase-antibody-ep704y-ab40793'>ab40793</a>)

Predicted band size: 120 kDa

false

  • Unconjugated

    Anti-ATP citrate lyase antibody [EP704Y]

  • 665 Alexa Fluor® 647

    Alexa Fluor® 647 Anti-ATP citrate lyase antibody [EP704Y]

  • 519 Alexa Fluor® 488

    Alexa Fluor® 488 Anti-ATP citrate lyase antibody [EP704Y]

  • 578 PE

    PE Anti-ATP citrate lyase antibody [EP704Y]

Key facts

Host species

Rabbit

Clonality

Monoclonal

Clone number

EP704Y

Isotype

IgG

Carrier free

Yes

Reacts with

Mouse, Rat, Human

Applications

WB, IP, ICC/IF, IHC-P, Flow Cyt (Intra)

applications

Immunogen

The exact immunogen used to generate this antibody is proprietary information.

Specificity

This antibody recognises ATP citrate lyase (ACL). The mouse and rat recommendation is based on the WB results. We do not guarantee IHC-P for mouse and rat.

Reactivity data

{ "title": "Reactivity Data", "filters": { "stats": ["", "Species", "Dilution Info", "Notes"], "tabs": { "all-applications": {"fullname" : "All Applications", "shortname": "All Applications"}, "IP" : {"fullname" : "Immunoprecipitation", "shortname":"IP"}, "WB" : {"fullname" : "Western blot", "shortname":"WB"}, "IHCP" : {"fullname" : "Immunohistochemistry (Formalin/PFA-fixed paraffin-embedded sections)", "shortname":"IHC-P"}, "ICCIF" : {"fullname" : "Immunocytochemistry/ Immunofluorescence", "shortname":"ICC/IF"}, "FlowCytIntra" : {"fullname" : "Flow Cytometry (Intracellular)", "shortname":"Flow Cyt (Intra)"} }, "product-promise": { "all": "all", "testedAndGuaranteed": "tested", "guaranteed": "expected", "predicted": "predicted", "notRecommended": "not-recommended" } }, "values": { "Human": { "IP-species-checked": "testedAndGuaranteed", "IP-species-dilution-info": "", "IP-species-notes": "<p></p>", "WB-species-checked": "testedAndGuaranteed", "WB-species-dilution-info": "", "WB-species-notes": "<p></p>", "IHCP-species-checked": "testedAndGuaranteed", "IHCP-species-dilution-info": "", "IHCP-species-notes": "<p></p>", "ICCIF-species-checked": "testedAndGuaranteed", "ICCIF-species-dilution-info": "", "ICCIF-species-notes": "<p></p>", "FlowCytIntra-species-checked": "testedAndGuaranteed", "FlowCytIntra-species-dilution-info": "", "FlowCytIntra-species-notes": "<p><a href='/en-us/products/primary-antibodies/rabbit-igg-monoclonal-epr25a-isotype-control-low-endotoxin-azide-free-ab199376'>ab199376</a>- Rabbit monoclonal IgG (Low endotoxin, Azide free), is suitable for use as an isotype control with this antibody.</p>" }, "Mouse": { "IP-species-checked": "guaranteed", "IP-species-dilution-info": "", "IP-species-notes": "", "WB-species-checked": "testedAndGuaranteed", "WB-species-dilution-info": "", "WB-species-notes": "<p></p>", "IHCP-species-checked": "guaranteed", "IHCP-species-dilution-info": "", "IHCP-species-notes": "", "ICCIF-species-checked": "guaranteed", "ICCIF-species-dilution-info": "", "ICCIF-species-notes": "", "FlowCytIntra-species-checked": "guaranteed", "FlowCytIntra-species-dilution-info": "", "FlowCytIntra-species-notes": "" }, "Rat": { "IP-species-checked": "guaranteed", "IP-species-dilution-info": "", "IP-species-notes": "", "WB-species-checked": "testedAndGuaranteed", "WB-species-dilution-info": "", "WB-species-notes": "<p></p>", "IHCP-species-checked": "guaranteed", "IHCP-species-dilution-info": "", "IHCP-species-notes": "", "ICCIF-species-checked": "guaranteed", "ICCIF-species-dilution-info": "", "ICCIF-species-notes": "", "FlowCytIntra-species-checked": "guaranteed", "FlowCytIntra-species-dilution-info": "", "FlowCytIntra-species-notes": "" }, "Common marmoset": { "IP-species-checked": "predicted", "IP-species-dilution-info": "", "IP-species-notes": "", "WB-species-checked": "predicted", "WB-species-dilution-info": "", "WB-species-notes": "", "IHCP-species-checked": "predicted", "IHCP-species-dilution-info": "", "IHCP-species-notes": "", "ICCIF-species-checked": "predicted", "ICCIF-species-dilution-info": "", "ICCIF-species-notes": "", "FlowCytIntra-species-checked": "predicted", "FlowCytIntra-species-dilution-info": "", "FlowCytIntra-species-notes": "" } } }

You may be interested in:

AB83355

ATP Assay Kit (Colorimetric/Fluorometric)

4

5 Reviews

View product

We recommend this product because it’s often used in the same experiment or related research.

We advise that you always check the datasheet to ensure it fits your experiments, or contact ourtechnical teamfor help.

Product details

Properties and storage information

Form
Liquid
Purification technique
Affinity purification Protein A
Storage buffer
pH: 7.2 - 7.4 Constituents: PBS
Shipped at conditions
Blue Ice
Appropriate short-term storage conditions
+4°C
Appropriate long-term storage conditions
+4°C
Storage information
Do Not Freeze

Supplementary information

This supplementary information is collated from multiple sources and compiled automatically.

ATP citrate lyase (ACL ACLY) is an enzyme responsible for converting citrate and coenzyme A into acetyl-CoA and oxaloacetate using ATP in the process. This reaction is key for lipid and cholesterol biosynthesis. ACLY's alternate name is ATP citrate (pro-S)-lyase and it has a molecular weight of approximately 120 kDa. The enzyme is expressed mainly in the cytoplasm with substantial amounts found in liver and adipose tissues.
Biological function summary

ATP citrate lyase plays an important role in lipid metabolism and energy production. It drives the conversion of citrate-derived acetyl-CoA a central metabolite in lipogenesis providing substrates for fatty acid and cholesterol synthesis. ACLY functions as a homotetramer complex to facilitate its enzymatic activity. This mechanism supports energy homeostasis linking carbohydrate metabolism with lipid biosynthesis.

Pathways

The enzyme ATP citrate lyase is instrumental in the citric acid cycle and fatty acid synthesis pathways. It is a central player in the cholesterol biosynthesis pathway which tightly connects to acetyl-CoA and citrate shuttle processes. In these pathways it interacts functionally with other enzymes such as acetyl-CoA carboxylase which further processes acetyl-CoA into malonyl-CoA serving as a precursor for fatty acid elongation.

ATP citrate lyase becomes significant in metabolic syndrome and cancer. Elevated expression and activity are linked to an increased risk of metabolic diseases including obesity and type 2 diabetes due to its role in excessive lipid accumulation. Moreover cancer cells often exhibit upregulated ACLY activity encouraging tumor growth by supplying acetyl-CoA for lipid biosynthesis. Its activity is intricately linked to proteins such as fatty acid synthase which also contribute to altered lipid profiles in these conditions.

Product protocols

For this product, it's our understanding that no specific protocols are required. You can visit:

Target data

Catalyzes the cleavage of citrate into oxaloacetate and acetyl-CoA, the latter serving as common substrate for de novo cholesterol and fatty acid synthesis.
See full target information ATP-citrate synthase

Publications (14)

Recent publications for all applications. Explore the full list and refine your search

Physiological reports 5: PubMed28400497

2017

C57BL/6J mice as a polygenic developmental model of diet-induced obesity.

Applications

WB

Species

Mouse

Dinh-Toi Chu,Elzbieta Malinowska,Magdalena Jura,Leslie P Kozak

Genes & development 30:1956-70 PubMed27664236

2016

Cullin3-KLHL25 ubiquitin ligase targets ACLY for degradation to inhibit lipid synthesis and tumor progression.

Applications

WB

Species

Human

Cen Zhang,Juan Liu,Grace Huang,Yuhan Zhao,Xuetian Yue,Hao Wu,Jun Li,Junlan Zhu,Zhiyuan Shen,Bruce G Haffty,Wenwei Hu,Zhaohui Feng

Frontiers in cellular neuroscience 9:298 PubMed26300733

2015

Methylcobalamin promotes the differentiation of Schwann cells and remyelination in lysophosphatidylcholine-induced demyelination of the rat sciatic nerve.

Applications

WB

Species

Rat

Shunsuke Nishimoto,Hiroyuki Tanaka,Michio Okamoto,Kiyoshi Okada,Tsuyoshi Murase,Hideki Yoshikawa

PloS one 9:e106913 PubMed25215509

2014

Cancer cells differentially activate and thrive on de novo lipid synthesis pathways in a low-lipid environment.

Applications

WB

Species

Human

Veerle W Daniëls,Karine Smans,Ines Royaux,Melanie Chypre,Johannes V Swinnen,Nousheen Zaidi

Nature communications 5:4776 PubMed25175731

2014

Site-specific mapping and quantification of protein S-sulphenylation in cells.

Applications

Unspecified application

Species

Human

Jing Yang,Vinayak Gupta,Kate S Carroll,Daniel C Liebler

Journal of proteomics 108:171-87 PubMed24859727

2014

Identification and quantification of the basal and inducible Nrf2-dependent proteomes in mouse liver: biochemical, pharmacological and toxicological implications.

Applications

WB

Species

Mouse

Joanne Walsh,Rosalind E Jenkins,Michael Wong,Adedamola Olayanju,Helen Powell,Ian Copple,Paul M O'Neill,Christopher E P Goldring,Neil R Kitteringham,B Kevin Park

Molecular cancer therapeutics 11:1925-35 PubMed22718913

2012

ATP citrate lyase knockdown induces growth arrest and apoptosis through different cell- and environment-dependent mechanisms.

Applications

Unspecified application

Species

Unspecified reactive species

Nousheen Zaidi,Ines Royaux,Johannes V Swinnen,Karine Smans

Molecular and cellular biology 32:2570-84 PubMed22547685

2012

BNip3 regulates mitochondrial function and lipid metabolism in the liver.

Applications

Unspecified application

Species

Mouse

Danielle Glick,Wenshuo Zhang,Michelle Beaton,Glenn Marsboom,Michaela Gruber,M Celeste Simon,John Hart,Gerald W Dorn,Matthew J Brady,Kay F Macleod

The Journal of biological chemistry 286:18383-96 PubMed21454710

2011

Differences between human and rodent pancreatic islets: low pyruvate carboxylase, atp citrate lyase, and pyruvate carboxylation and high glucose-stimulated acetoacetate in human pancreatic islets.

Applications

WB

Species

Unspecified reactive species

Michael J MacDonald,Melissa J Longacre,Scott W Stoker,Mindy Kendrick,Ansaya Thonpho,Laura J Brown,Noaman M Hasan,Sarawut Jitrapakdee,Toshiyuki Fukao,Matthew S Hanson,Luis A Fernandez,Jon Odorico

Archives of biochemistry and biophysics 499:62-8 PubMed20460097

2010

Lower succinyl-CoA:3-ketoacid-CoA transferase (SCOT) and ATP citrate lyase in pancreatic islets of a rat model of type 2 diabetes: knockdown of SCOT inhibits insulin release in rat insulinoma cells.

Applications

Unspecified application

Species

Unspecified reactive species

Noaman M Hasan,Melissa J Longacre,Mohammed Seed Ahmed,Mindy A Kendrick,Harvest Gu,Claes-Goran Ostenson,Toshiyuki Fukao,Michael J MacDonald
View all publications

Product promise

We are committed to supporting your work with high-quality reagents, and we're here for you every step of the way. In the unlikely event that one of our products does not perform as expected, you're protected by our Product Promise.
For full details, please see our Terms & Conditions

Associated Products

Select an associated product type
Alternative Product
Primary Antibodies

AB126129

Anti-ATP citrate lyase antibody

primary-antibodies

atp-citrate-lyase-antibody-ab126129

0

(0 reviews)

Alternative Product
Primary Antibodies

AB157098

Anti-ATP citrate lyase antibody

primary-antibodies

atp-citrate-lyase-antibody-ab157098

0

(0 reviews)

Alternative Product
Primary Antibodies

AB235926

Anti-ATP citrate lyase antibody

primary-antibodies

atp-citrate-lyase-antibody-ab235926

0

(0 reviews)

Alternative Product
Primary Antibodies

AB53007

Anti-ATP citrate lyase (phospho T447 + S451) antibody [EP737Y]

primary-antibodies

atp-citrate-lyase-phospho-t447-s451-antibody-ep737y-ab53007

5

(1 reviews)

Alternative Version
Primary Antibodies

AB205430

Alexa Fluor® 647 Anti-ATP citrate lyase antibody [EP704Y]

primary-antibodies

alexa-fluor-647-atp-citrate-lyase-antibody-ep704y-ab205430

0

(0 reviews)

Alternative Version
Primary Antibodies

AB205429

Alexa Fluor® 488 Anti-ATP citrate lyase antibody [EP704Y]

primary-antibodies

alexa-fluor-488-atp-citrate-lyase-antibody-ep704y-ab205429

0

(0 reviews)

Alternative Version
Primary Antibodies

AB209750

PE Anti-ATP citrate lyase antibody [EP704Y]

primary-antibodies

pe-atp-citrate-lyase-antibody-ep704y-ab209750

5

(1 reviews)

Please note: All products are 'FOR RESEARCH USE ONLY. NOT FOR USE IN DIAGNOSTIC OR THERAPEUTIC PROCEDURES'.

For licensing inquiries, please contact partnerships@abcam.com