JavaScript is disabled in your browser. Please enable JavaScript to view this website.
AB325638

Anti-ATP10B antibody [MJF-D29757-57]

  • RabMAb
  • Recombinant
  • 20ul selling size
  • KO Validated
  • What is this?

Be the first to review this product! Submit a review

|

(0 Publication)

Rabbit Recombinant Monoclonal AT10B antibody. Suitable for WB and reacts with Transfected cell lysate - Human, Human samples.

View Alternative Names

ATPVB, KIAA0715, Phospholipid-transporting ATPase VB, ATPase class V type 10B, P4-ATPase flippase complex alpha subunit ATP10B

3 Images
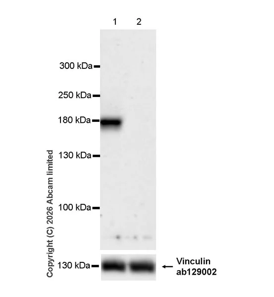
Western blot - Anti-ATP10B antibody [MJF-D29757-57] (AB325638)
  • WB

Lab

Western blot - Anti-ATP10B antibody [MJF-D29757-57] (AB325638)

Blocking and diluting buffer and concentration : 5% NFDM/TBST.

In Western blot, ab325638 was shown to bind specifically to ATP10B. Target of interest was observed at 180 kDa in wild-type LS513 cell lysates (lane 1) with no signal observed at this size in ATP10B knockout cell line (lane 2) (ab324258).

Samples are non-boiled as boiling may cause protein aggregation.

In Western blot, Anti-Vinculin antibody [EPR8185] (ab129002) 1 : 10000 (124Kda).

All lanes:

Western blot - Anti-ATP10B antibody [MJF-D29757-57] (ab325638) at 1/1000 dilution

Lane 1:

LS513 (human Large intestine Cecum epithelial cell) whole cell lysate at 40 µg

Lane 2:

Western blot - Human ATP10B Knockout LS513 cell line (<a href='/en-us/products/cell-lines/human-atp10b-knockout-ls513-cell-line-ab324258'>ab324258</a>) at 40 µg

Secondary

All lanes:

Western blot - Goat Anti-Rabbit IgG H&L (HRP) (<a href='/en-us/products/secondary-antibodies/goat-rabbit-igg-h-l-hrp-ab97051'>ab97051</a>) at 1/20000 dilution

Observed band size: 180 kDa,124 kDa

false

Exposure time: 70s

Western blot - Anti-ATP10B antibody [MJF-D29757-57] (AB325638)
  • WB

Lab

Western blot - Anti-ATP10B antibody [MJF-D29757-57] (AB325638)

Blocking and diluting buffer and concentration : 5% NFDM/TBST.

Negative control : HepG2, 293T

Samples are non-boiled as boiling may cause protein aggregation.

In Western blot, Anti-Vinculin antibody [EPR8185] (ab129002) 1 : 10000 (124Kda).

All lanes:

Western blot - Anti-ATP10B antibody [MJF-D29757-57] (ab325638) at 1/1000 dilution

Lane 1:

SW1116 (human colorectal adenocarcinoma epithelial cell) whole cell lysate at 40 µg

Lane 2:

LoVo (human colorectal adenocarcinoma epithelial cell) whole cell lysate at 40 µg

Lane 3:

HepG2 (human hepatocellular carcinoma epithelial cell) whole cell lysate at 40 µg

Lane 4:

293T (human embryonic kidney epithelial cell) whole cell lysate at 40 µg

Secondary

All lanes:

Western blot - Goat Anti-Rabbit IgG H&L (HRP) (<a href='/en-us/products/secondary-antibodies/goat-rabbit-igg-h-l-hrp-ab97051'>ab97051</a>) at 1/20000 dilution

Observed band size: 180 kDa,124 kDa

false

Exposure time: 70s

Western blot - Anti-ATP10B antibody [MJF-D29757-57] (AB325638)
  • WB

Lab

Western blot - Anti-ATP10B antibody [MJF-D29757-57] (AB325638)

Blocking and diluting buffer and concentration : 5% NFDM/TBST.

This antibody does not cross-react with recombinant human ATP10A or ATP10D by western blot.

In Western blot, Anti-6X His tag® antibody [EPR20547] - ChIP Grade (ab213204) (1 : 5000) (180KDa).

All lanes:

Western blot - Anti-ATP10B antibody [MJF-D29757-57] (ab325638) at 1/1000 dilution

Lane 1:

293T(human embryonic kidney epithelial cell) transfected with a human ATP10B expression vector containing a His-tag, whole cell lysate at 10 µg

Lane 2:

293T transfected with a human ATP10A expression vector containing a His-tag, whole cell lysate at 40 µg

Lane 3:

293T transfected with a human ATP10D expression vector containing a His-tag, whole cell lysate at 2 µg

Secondary

All lanes:

Western blot - Goat Anti-Rabbit IgG H&L (HRP) (<a href='/en-us/products/secondary-antibodies/goat-rabbit-igg-h-l-hrp-ab97051'>ab97051</a>) at 1/20000 dilution

Observed band size: 180 kDa

false

Exposure time: 26s

Key facts

Host species

Rabbit

Clonality

Monoclonal

Clone number

MJF-D29757-57

Isotype

IgG

Carrier free

No

Reacts with

Human

Applications

WB

applications

Immunogen

The exact immunogen used to generate this antibody is proprietary information.

Reactivity data

{ "title": "Reactivity Data", "filters": { "stats": ["", "Species", "Dilution Info", "Notes"], "tabs": { "all-applications": {"fullname" : "All Applications", "shortname": "All Applications"}, "WB" : {"fullname" : "Western blot", "shortname":"WB"}, "IHCFr" : {"fullname" : "Immunohistochemistry (Frozen sections)", "shortname":"IHC-Fr"}, "IP" : {"fullname" : "Immunoprecipitation", "shortname":"IP"}, "ICCIF" : {"fullname" : "Immunocytochemistry/ Immunofluorescence", "shortname":"ICC/IF"}, "IHCP" : {"fullname" : "Immunohistochemistry (Formalin/PFA-fixed paraffin-embedded sections)", "shortname":"IHC-P"} }, "product-promise": { "all": "all", "testedAndGuaranteed": "tested", "guaranteed": "expected", "predicted": "predicted", "notRecommended": "not-recommended" } }, "values": { "Human": { "WB-species-checked": "testedAndGuaranteed", "WB-species-dilution-info": "1/1000", "WB-species-notes": "<p></p>", "IHCFr-species-checked": "notRecommended", "IHCFr-species-dilution-info": "", "IHCFr-species-notes": "", "IP-species-checked": "notRecommended", "IP-species-dilution-info": "", "IP-species-notes": "<p></p>", "ICCIF-species-checked": "notRecommended", "ICCIF-species-dilution-info": "", "ICCIF-species-notes": "<p></p>", "IHCP-species-checked": "notRecommended", "IHCP-species-dilution-info": "", "IHCP-species-notes": "<p></p>" }, "Mouse": { "WB-species-checked": "notRecommended", "WB-species-dilution-info": "", "WB-species-notes": "<p></p>", "IHCFr-species-checked": "notRecommended", "IHCFr-species-dilution-info": "", "IHCFr-species-notes": "<p></p>", "IP-species-checked": "notRecommended", "IP-species-dilution-info": "", "IP-species-notes": "<p></p>", "ICCIF-species-checked": "notRecommended", "ICCIF-species-dilution-info": "", "ICCIF-species-notes": "<p></p>", "IHCP-species-checked": "notRecommended", "IHCP-species-dilution-info": "", "IHCP-species-notes": "<p></p>" }, "Rat": { "WB-species-checked": "notRecommended", "WB-species-dilution-info": "", "WB-species-notes": "", "IHCFr-species-checked": "notRecommended", "IHCFr-species-dilution-info": "", "IHCFr-species-notes": "<p></p>", "IP-species-checked": "notRecommended", "IP-species-dilution-info": "", "IP-species-notes": "", "ICCIF-species-checked": "notRecommended", "ICCIF-species-dilution-info": "", "ICCIF-species-notes": "<p></p>", "IHCP-species-checked": "notRecommended", "IHCP-species-dilution-info": "", "IHCP-species-notes": "<p></p>" }, "Transfected cell lysate - Human": { "WB-species-checked": "testedAndGuaranteed", "WB-species-dilution-info": "1/1000", "WB-species-notes": "<p></p>", "IHCFr-species-checked": "notRecommended", "IHCFr-species-dilution-info": "", "IHCFr-species-notes": "", "IP-species-checked": "notRecommended", "IP-species-dilution-info": "", "IP-species-notes": "", "ICCIF-species-checked": "notRecommended", "ICCIF-species-dilution-info": "", "ICCIF-species-notes": "", "IHCP-species-checked": "notRecommended", "IHCP-species-dilution-info": "", "IHCP-species-notes": "" } } }

Product details

Patented technology
Our RabMAb® technology is a patented hybridoma-based technology for making rabbit monoclonal antibodies. For details on our patents, please refer to RabMAb® patents.

What are the advantages of a recombinant monoclonal antibody?
This product is a recombinant monoclonal antibody, which offers several advantages including:

  • - High batch-to-batch consistency and reproducibility
  • - Improved sensitivity and specificity
  • - Long-term security of supply
  • - Animal-free batch production

For more information, read more on recombinant antibodies.

Collaborations
This antibody was developed with support from The Michael J. Fox Foundation.

Properties and storage information

Form
Liquid
Purification technique
Affinity purification Protein A
Storage buffer
pH: 7.2 - 7.4 Preservative: 0.01% Sodium azide Constituents: PBS, 40% Glycerol (glycerin, glycerine), 0.05% BSA
Shipped at conditions
Blue Ice
Appropriate short-term storage duration
1-2 weeks
Appropriate short-term storage conditions
+4°C
Appropriate long-term storage conditions
-20°C
Aliquoting information
Upon delivery aliquot
Storage information
Avoid freeze / thaw cycle

Product protocols

For this product, it's our understanding that no specific protocols are required. You can visit:

Target data

Catalytic component of a P4-ATPase flippase complex, which catalyzes the hydrolysis of ATP coupled to the transport of glucosylceramide (GlcCer) from the outer to the inner leaflet of lysosome membranes. Plays an important role in the maintenance of lysosome membrane integrity and function in cortical neurons.
See full target information ATP10B

Product promise

We are committed to supporting your work with high-quality reagents, and we're here for you every step of the way. In the unlikely event that one of our products does not perform as expected, you're protected by our Product Promise.
For full details, please see our Terms & Conditions

Please note: All products are 'FOR RESEARCH USE ONLY. NOT FOR USE IN DIAGNOSTIC OR THERAPEUTIC PROCEDURES'.

For licensing inquiries, please contact partnerships@abcam.com