JavaScript is disabled in your browser. Please enable JavaScript to view this website.
AB322735

Anti-ATP13A2 antibody [MJF-D29756-28]

  • RabMAb
  • Recombinant
  • 20ul selling size
  • KO Validated
  • What is this?

Be the first to review this product! Submit a review

|

(0 Publication)

Rabbit Recombinant Monoclonal ATP13A2 antibody. Suitable for IHC-P, IP, WB, ICC/IF and reacts with Transfected cell line - Human, Human samples.

View Alternative Names

PARK9, ATP13A2, Polyamine-transporting ATPase 13A2

12 Images
Immunocytochemistry/ Immunofluorescence - Anti-ATP13A2 antibody [MJF-D29756-28] (AB322735)
  • ICC/IF

Lab

Immunocytochemistry/ Immunofluorescence - Anti-ATP13A2 antibody [MJF-D29756-28] (AB322735)

Immunofluorescent analysis of 4% Paraformaldehyde-fixed, 0.1% TritonX-100 permeabilized Wildtype HEK-293 (human embryonic kidney epithelial cell) and ATP13A2 KO HEK-293 (ATP13A2 knockout human embryonic kidney epithelial cell) cells labelling ATP13A2 with ab322735 at 1/500 (1 µg/ml) dilution (Red).

The data was kindly provided by a collaborator.

The nuclear counterstain was DAPI (Blue).

Immunohistochemistry (Formalin/PFA-fixed paraffin-embedded sections) - Anti-ATP13A2 antibody [MJF-D29756-28] (AB322735)
  • IHC-P

Lab

Immunohistochemistry (Formalin/PFA-fixed paraffin-embedded sections) - Anti-ATP13A2 antibody [MJF-D29756-28] (AB322735)

Immunohistochemical analysis of paraffin-embedded Human cerebrum tissue labeling ATP13A2 with ab322735 at 1/100 (5.24 µg/ml) dilution, followed by a ready to use Rabbit specific IHC polymer detection kit HRP/DAB (ab209101).

Positive staining on human cerebrum. The primary antibody was incubated for 30 mins at room temperature.

The immunostaining was performed on a Leica Biosystems BOND® RX instrument

Counterstained with Hematoxylin.

Secondary antibody only control : Secondary antibody is a ready to use Rabbit specific IHC polymer detection kit HRP/DAB (ab209101).

Heat mediated antigen retrieval was performed with Tris-EDTA buffer (pH 9.0, Epitope Retrieval Solution2) for 20 mins

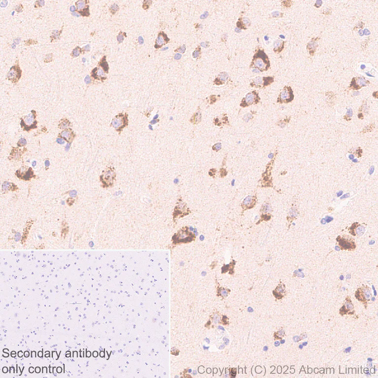
Immunohistochemistry (Formalin/PFA-fixed paraffin-embedded sections) - Anti-ATP13A2 antibody [MJF-D29756-28] (AB322735)
  • IHC-P

Lab

Immunohistochemistry (Formalin/PFA-fixed paraffin-embedded sections) - Anti-ATP13A2 antibody [MJF-D29756-28] (AB322735)

Immunohistochemical analysis of paraffin-embedded Human Parkinson's disease brain tissue labeling ATP13A2 with ab322735 at 1/100 (5.24 µg/ml) dilution, followed by a ready to use Rabbit specific IHC polymer detection kit HRP/DAB (ab209101).

Positive staining on human Parkinson's disease brain. The primary antibody was incubated for 30 mins at room temperature.

The immunostaining was performed on a Leica Biosystems BOND® RX instrument

Counterstained with Hematoxylin.

Secondary antibody only control : Secondary antibody is a ready to use Rabbit specific IHC polymer detection kit HRP/DAB (ab209101).

Heat mediated antigen retrieval was performed with Tris-EDTA buffer (pH 9.0, Epitope Retrieval Solution2) for 20 mins

Immunohistochemistry (Formalin/PFA-fixed paraffin-embedded sections) - Anti-ATP13A2 antibody [MJF-D29756-28] (AB322735)
  • IHC-P

Lab

Immunohistochemistry (Formalin/PFA-fixed paraffin-embedded sections) - Anti-ATP13A2 antibody [MJF-D29756-28] (AB322735)

Immunohistochemical analysis of paraffin-embedded (A) Wildtype HEK-293 (human embryonic kidney epithelial cell) cell pellet and (B) ATP13A2 knockout HEK-293 cell pellet. tissue labeling ATP13A2 with ab322735 at 1/100 (5.24 µg/ml) dilution, followed by a ready to use Rabbit specific IHC polymer detection kit HRP/DAB (ab209101).

Positive staining on (A) Wildtype HEK-293 cell pellet, no staining on (B) ATP13A2 knockout HEK-293 cell pellet. The primary antibody was incubated for 30 mins at room temperature.

The immunostaining was performed on a Leica Biosystems BOND® RX instrument

Counterstained with Hematoxylin.

Secondary antibody only control : Secondary antibody is a ready to use Rabbit specific IHC polymer detection kit HRP/DAB (ab209101).

Heat mediated antigen retrieval was performed with Tris-EDTA buffer (pH 9.0, Epitope Retrieval Solution2) for 20 mins

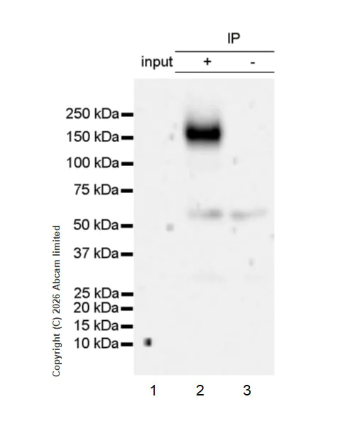
Immunoprecipitation - Anti-ATP13A2 antibody [MJF-D29756-28] (AB322735)
  • IP

Lab

Immunoprecipitation - Anti-ATP13A2 antibody [MJF-D29756-28] (AB322735)

ATP13A2 was immunoprecipitated from 0.35 mg HEK-293 (human embryonic kidney epithelial cell) whole cell lysate with ab322735 at 1/30 dilution (2µg in 0.35mg lysates). Western blot was performed on the immunoprecipitate using ab322735 at 1/1000 dilution. VeriBlot for IP secondary antibody(HRP)(ab131366) was used at 1/5000 dilution.

Lane 1 : HEK-293 (human embryonic kidney epithelial cell) whole cell lysate
Lane 2 : ab322735 at 1/30 IP in HEK-293 (human embryonic kidney epithelial cell) whole cell lysate
Lane 3 : Rabbit monoclonal IgG (ab172730) instead of ab322735 in HEK-293 whole cell lysate

Blocking and dilution buffer and concentration : 5% NFDM/TBST.

Exposure time : 180 seconds.

All lanes:

Immunoprecipitation - Anti-ATP13A2 antibody [MJF-D29756-28] (ab322735) at 1/1000 dilution

Lane 1:

HEK-293 (human embryonic kidney epithelial cell) whole cell lysate at 10 µg

Lane 2:

ab322735 at 1/30 IP in HEK-293 (human embryonic kidney epithelial cell) whole cell lysate

Lane 3:

Rabbit monoclonal IgG (<a href='/en-us/products/primary-antibodies/rabbit-igg-monoclonal-epr25a-isotype-control-ab172730'>ab172730</a>) instead of ab322735 in HEK-293 whole cell lysate

Secondary

All lanes:

Immunoprecipitation - VeriBlot for IP Detection Reagent (HRP) (<a href='/en-us/products/reagents/veriblot-for-ip-detection-reagent-hrp-ab131366'>ab131366</a>) at 1/5000 dilution

Observed band size: 150 kDa

false

Exposure time: 180s

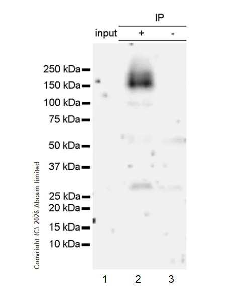
Immunoprecipitation - Anti-ATP13A2 antibody [MJF-D29756-28] (AB322735)
  • IP

Lab

Immunoprecipitation - Anti-ATP13A2 antibody [MJF-D29756-28] (AB322735)

ATP13A2 was immunoprecipitated from 0.35 mg Saos-2 (human osteosarcoma epithelial cell) whole cell lysate with ab322735 at 1/30 dilution (2µg in 0.35mg lysates). Western blot was performed on the immunoprecipitate using ab322735 at 1/1000 dilution. VeriBlot for IP secondary antibody(HRP)(ab131366) was used at 1/5000 dilution.

Lane 1 : Saos-2 (human osteosarcoma epithelial cell) whole cell lysate
Lane 2 : ab322735 at 1/30 IP in Saos-2 (human osteosarcoma epithelial cell) whole cell lysate
Lane 3 : Rabbit monoclonal IgG (ab172730) instead of ab322735 in Saos-2 whole cell lysate

Blocking and dilution buffer and concentration : 5% NFDM/TBST.

Exposure time : 102 seconds.

All lanes:

Immunoprecipitation - Anti-ATP13A2 antibody [MJF-D29756-28] (ab322735) at 1/1000 dilution

Lane 1:

Saos-2 (human osteosarcoma epithelial cell) whole cell lysate at 10 µg

Lane 2:

ab322735 at 1/30 IP in Saos-2 (human osteosarcoma epithelial cell) whole cell lysate

Lane 3:

Rabbit monoclonal IgG (<a href='/en-us/products/primary-antibodies/rabbit-igg-monoclonal-epr25a-isotype-control-ab172730'>ab172730</a>) instead of ab322735 in Saos-2 whole cell lysate

Secondary

All lanes:

Immunoprecipitation - VeriBlot for IP Detection Reagent (HRP) (<a href='/en-us/products/reagents/veriblot-for-ip-detection-reagent-hrp-ab131366'>ab131366</a>) at 1/5000 dilution

Observed band size: 150 kDa

false

Exposure time: 102s

Western blot - Anti-ATP13A2 antibody [MJF-D29756-28] (AB322735)
  • WB

Lab

Western blot - Anti-ATP13A2 antibody [MJF-D29756-28] (AB322735)

Blocking and diluting buffer and concentration : 5% NFDM/TBST.

ab322735 was shown to react with ATP13A2 in wild-type HEK-293 cells in Western blot with loss of signal observed in ATP13A2 knockout cell line ab274925. Wild-type HEK-293 and ATP13A2 knockout cell lysates were subjected to SDS-PAGE. Membranes were blocked in 5% milk in TBST for 1 hr before incubation with ab322735 overnight at 4 °C at a 1/1000 dilution. Blots were incubated with secondary antibodies at 0.2 µg/mL before imaging. This data was provided by YCharOS Inc., an open science company with the mission of characterizing commercially available antibody reagents for all human proteins. Abcam and YCharOS are working together to help address the reproducibility crisis by enabling the life science community to better evaluate commercially available antibodies.

All lanes:

Western blot - Anti-ATP13A2 antibody [MJF-D29756-28] (ab322735) at 1/1000 dilution

Lane 1:

HEK-293 (human embryonic kidney epithelial cell) whole cell lysate at 20 µg

Lane 2:

Western blot - Human ATP13A2 knockout HEK-293 cell lysate (<a href='/en-us/products/cell-lysates/human-atp13a2-knockout-hek-293-cell-lysate-ab274983'>ab274983</a>) at 20 µg

Secondary

All lanes:

Western blot - Goat Anti-Rabbit IgG H&L (HRP) (<a href='/en-us/products/secondary-antibodies/goat-rabbit-igg-h-l-hrp-ab97051'>ab97051</a>) at 1/20000 dilution

Observed band size: 150 kDa

false

Exposure time: 180s

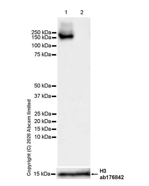
Western blot - Anti-ATP13A2 antibody [MJF-D29756-28] (AB322735)
  • WB

Lab

Western blot - Anti-ATP13A2 antibody [MJF-D29756-28] (AB322735)

Blocking and diluting buffer and concentration : 5% NFDM/TBST.

In Western blot, ab322735 was shown to bind specifically to ATP13A2. Target of interest was observed at 150 kDa in wild-type HEK-293 cell lysates (lane 1) with no signal observed at this size in ATP13A2 knockout cell line (lane 2)(knockout cell line ab274925)(knockout lysate ab274983)

Samples are non-boiled as boiling may cause protein aggregation.

In Western blot, Anti-Histone H3 antibody [EPR16987] - Nuclear Marker and ChIP Grade (ab176842) 1 : 100000 (15Kda).

All lanes:

Western blot - Anti-ATP13A2 antibody [MJF-D29756-28] (ab322735) at 1/1000 dilution

Lane 1:

HEK-293 (human embryonic kidney epithelial cell) whole cell lysate at 50 µg

Lane 2:

Western blot - Human ATP13A2 knockout HEK-293 cell lysate (<a href='/en-us/products/cell-lysates/human-atp13a2-knockout-hek-293-cell-lysate-ab274983'>ab274983</a>) at 50 µg

Secondary

All lanes:

Goat Anti-Rabbit IgG (HRP) with minimal cross-reactivity with human IgG at 1/2000 dilution

Observed band size: 150 kDa,15 kDa

false

Exposure time: 92s

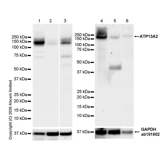
Western blot - Anti-ATP13A2 antibody [MJF-D29756-28] (AB322735)
  • WB

Lab

Western blot - Anti-ATP13A2 antibody [MJF-D29756-28] (AB322735)

Blocking and diluting buffer and concentration : 5% NFDM/TBST.

Low expression : SK-N-BE(2), lung, skeletal muscle

Samples are non-boiled as boiling may cause protein aggregation.

In Western blot, Anti-GAPDH antibody [EPR16891] - Loading Control (ab181602) (1 : 200000) (36KDa).

Exposure time : Lanes 1-2 : 26 seconds, lane 3 : 92 seconds, lanes 4-5 : 103 seconds

All lanes:

Western blot - Anti-ATP13A2 antibody [MJF-D29756-28] (ab322735) at 1/1000 dilution

Lane 1:

Saos-2 (human osteosarcoma epithelial cell) whole cell lysate at 50 µg

Lane 2:

SK-N-BE(2) (human neuroblastoma neuroblast) whole cell lysate at 50 µg

Lane 3:

Human cerebellum tissue lysate at 50 µg

Lane 4:

Human hypothalamus tissue lysate at 50 µg

Lane 5:

Human skeletal muscle tissue lysate at 50 µg

Lane 6:

Human lung muscle tissue lysate at 50 µg

Secondary

All lanes:

Goat Anti-Rabbit IgG (HRP) with minimal cross-reactivity with human IgG at 1/2000 dilution

Observed band size: 150 kDa,36 kDa

false

Western blot - Anti-ATP13A2 antibody [MJF-D29756-28] (AB322735)
  • WB

Collaborator

Western blot - Anti-ATP13A2 antibody [MJF-D29756-28] (AB322735)

Blocking and diluting buffer and concentration : 5% NFDM/TBST.

The data was kindly provided by a collaborator.

All lanes:

Western blot - Anti-ATP13A2 antibody [MJF-D29756-28] (ab322735) at 1/1000 dilution

Lane 1:

HeLa (human cervical adenocarcinoma epithelial cell) transfected with scrambled siRNA control whole cell lysate at 20 µg

Lane 2:

Hela transfected with siRNA specifically targeting ATP13A2 whole cell lysate at 20 µg

Secondary

All lanes:

Western blot - Goat Anti-Rabbit IgG H&L (HRP) (<a href='/en-us/products/secondary-antibodies/goat-rabbit-igg-h-l-hrp-ab97051'>ab97051</a>) at 1/20000 dilution

Observed band size: 150 kDa

false

Exposure time: 180s

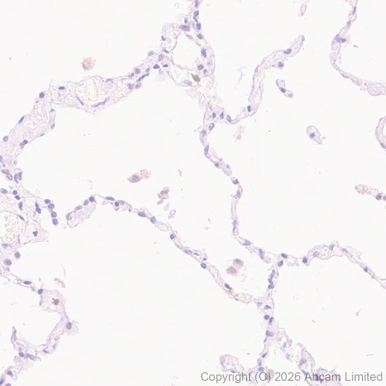
Immunohistochemistry (Formalin/PFA-fixed paraffin-embedded sections) - Anti-ATP13A2 antibody [MJF-D29756-28] (AB322735)
  • IHC-P

Lab

Immunohistochemistry (Formalin/PFA-fixed paraffin-embedded sections) - Anti-ATP13A2 antibody [MJF-D29756-28] (AB322735)

Immunohistochemical analysis of paraffin-embedded Human lung tissue labeling ATP13A2 with ab322735 at 1/100 (5.24 µg/ml) dilution, followed by a ready to use Rabbit specific IHC polymer detection kit HRP/DAB (ab209101).

Negative control : no staining on human lung. The primary antibody was incubated for 30 mins at room temperature.

The immunostaining was performed on a Leica Biosystems BOND® RX instrument

Counterstained with Hematoxylin.

Secondary antibody only control : Secondary antibody is a ready to use Rabbit specific IHC polymer detection kit HRP/DAB (ab209101).

Heat mediated antigen retrieval was performed with Tris-EDTA buffer (pH 9.0, Epitope Retrieval Solution2) for 20 mins

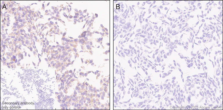
Immunohistochemistry (Formalin/PFA-fixed paraffin-embedded sections) - Anti-ATP13A2 antibody [MJF-D29756-28] (AB322735)
  • IHC-P

Lab

Immunohistochemistry (Formalin/PFA-fixed paraffin-embedded sections) - Anti-ATP13A2 antibody [MJF-D29756-28] (AB322735)

Immunohistochemical analysis of paraffin-embedded (A) HEK-293T (human embryonic kidney epithelial cell) transfected with a human ATP13A2 expression vector containing a Myc-His tag and (B) HEK-293T transfected with empty vector containing a Myc-His tag tissue labeling ATP13A2 with ab322735 at 1/2000 (0.262 µg/ml) dilution, followed by a ready to use LeicaDS9800 (Bond™ Polymer Refine Detection) was used.

Positive staining on HEK-293T transfected with a Myc-His-tagged human ATP13A2 construct, no staining on (B) HEK-293T transfected with empty vector containing a Myc-His tag. The primary antibody was incubated for 30 mins at room temperature.

The immunostaining was performed on a Leica Biosystems BOND® RX instrument

Counterstained with Hematoxylin.

Secondary antibody only control : Secondary antibody is a ready to use LeicaDS9800 (Bond™ Polymer Refine Detection) was used.

Heat mediated antigen retrieval was performed with Tris-EDTA buffer (pH 9.0, Epitope Retrieval Solution2) for 20 mins

Key facts

Host species

Rabbit

Clonality

Monoclonal

Clone number

MJF-D29756-28

Isotype

IgG

Carrier free

No

Reacts with

Human

Applications

IP, ICC/IF, WB, IHC-P

applications

Immunogen

The exact immunogen used to generate this antibody is proprietary information.

Reactivity data

{ "title": "Reactivity Data", "filters": { "stats": ["", "Species", "Dilution Info", "Notes"], "tabs": { "all-applications": {"fullname" : "All Applications", "shortname": "All Applications"}, "IHCP" : {"fullname" : "Immunohistochemistry (Formalin/PFA-fixed paraffin-embedded sections)", "shortname":"IHC-P"}, "IP" : {"fullname" : "Immunoprecipitation", "shortname":"IP"}, "WB" : {"fullname" : "Western blot", "shortname":"WB"}, "ICCIF" : {"fullname" : "Immunocytochemistry/ Immunofluorescence", "shortname":"ICC/IF"}, "IHCFr" : {"fullname" : "Immunohistochemistry (Frozen sections)", "shortname":"IHC-Fr"} }, "product-promise": { "all": "all", "testedAndGuaranteed": "tested", "guaranteed": "expected", "predicted": "predicted", "notRecommended": "not-recommended" } }, "values": { "Human": { "IHCP-species-checked": "testedAndGuaranteed", "IHCP-species-dilution-info": "1/100", "IHCP-species-notes": "<p></p> Perform heat-mediated antigen retrieval with Tris/EDTA buffer pH 9.0 before commencing with IHC staining protocol.", "IP-species-checked": "testedAndGuaranteed", "IP-species-dilution-info": "1/30", "IP-species-notes": "<p></p>", "WB-species-checked": "testedAndGuaranteed", "WB-species-dilution-info": "1/1000", "WB-species-notes": "<p></p>", "ICCIF-species-checked": "testedAndGuaranteed", "ICCIF-species-dilution-info": "1/500", "ICCIF-species-notes": "<p></p>", "IHCFr-species-checked": "notRecommended", "IHCFr-species-dilution-info": "", "IHCFr-species-notes": "" }, "Mouse": { "IHCP-species-checked": "notRecommended", "IHCP-species-dilution-info": "", "IHCP-species-notes": "<p></p>", "IP-species-checked": "notRecommended", "IP-species-dilution-info": "", "IP-species-notes": "<p></p>", "WB-species-checked": "notRecommended", "WB-species-dilution-info": "", "WB-species-notes": "<p></p>", "ICCIF-species-checked": "notRecommended", "ICCIF-species-dilution-info": "", "ICCIF-species-notes": "", "IHCFr-species-checked": "notRecommended", "IHCFr-species-dilution-info": "", "IHCFr-species-notes": "<p></p>" }, "Rat": { "IHCP-species-checked": "notRecommended", "IHCP-species-dilution-info": "", "IHCP-species-notes": "<p></p>", "IP-species-checked": "notRecommended", "IP-species-dilution-info": "", "IP-species-notes": "", "WB-species-checked": "notRecommended", "WB-species-dilution-info": "", "WB-species-notes": "<p></p>", "ICCIF-species-checked": "notRecommended", "ICCIF-species-dilution-info": "", "ICCIF-species-notes": "", "IHCFr-species-checked": "notRecommended", "IHCFr-species-dilution-info": "", "IHCFr-species-notes": "<p></p>" }, "Transfected cell line - Human": { "IHCP-species-checked": "testedAndGuaranteed", "IHCP-species-dilution-info": "1/2000", "IHCP-species-notes": "<p></p> Perform heat-mediated antigen retrieval with Tris/EDTA buffer pH 9.0 before commencing with IHC staining protocol.", "IP-species-checked": "notRecommended", "IP-species-dilution-info": "", "IP-species-notes": "", "WB-species-checked": "notRecommended", "WB-species-dilution-info": "", "WB-species-notes": "", "ICCIF-species-checked": "notRecommended", "ICCIF-species-dilution-info": "", "ICCIF-species-notes": "", "IHCFr-species-checked": "notRecommended", "IHCFr-species-dilution-info": "", "IHCFr-species-notes": "" } } }

Product details

Patented technology
Our RabMAb® technology is a patented hybridoma-based technology for making rabbit monoclonal antibodies. For details on our patents, please refer to RabMAb® patents.

What are the advantages of a recombinant monoclonal antibody?
This product is a recombinant monoclonal antibody, which offers several advantages including:

  • - High batch-to-batch consistency and reproducibility
  • - Improved sensitivity and specificity
  • - Long-term security of supply
  • - Animal-free batch production

For more information, read more on recombinant antibodies.

Collaborations
This antibody was developed with support from The Michael J. Fox Foundation.

Properties and storage information

Form
Liquid
Purification technique
Affinity purification Protein A
Storage buffer
pH: 7.2 - 7.4 Preservative: 0.01% Sodium azide Constituents: PBS, 40% Glycerol (glycerin, glycerine), 0.05% BSA
Shipped at conditions
Blue Ice
Appropriate short-term storage duration
1-2 weeks
Appropriate short-term storage conditions
+4°C
Appropriate long-term storage conditions
-20°C
Aliquoting information
Upon delivery aliquot
Storage information
Avoid freeze / thaw cycle

Product protocols

For this product, it's our understanding that no specific protocols are required. You can visit:

Target data

ATPase which acts as a lysosomal polyamine exporter with high affinity for spermine (PubMed : 31996848). Also stimulates cellular uptake of polyamines and protects against polyamine toxicity (PubMed : 31996848). Plays a role in intracellular cation homeostasis and the maintenance of neuronal integrity (PubMed : 22186024). Contributes to cellular zinc homeostasis (PubMed : 24603074). Confers cellular protection against Mn(2+) and Zn(2+) toxicity and mitochondrial stress (PubMed : 26134396). Required for proper lysosomal and mitochondrial maintenance (PubMed : 22296644, PubMed : 28137957). Regulates the autophagy-lysosome pathway through the control of SYT11 expression at both transcriptional and post-translational levels (PubMed : 27278822). Facilitates recruitment of deacetylase HDAC6 to lysosomes to deacetylate CTTN, leading to actin polymerization, promotion of autophagosome-lysosome fusion and completion of autophagy (PubMed : 30538141). Promotes secretion of exosomes as well as secretion of SCNA via exosomes (PubMed : 24603074, PubMed : 25392495). Plays a role in lipid homeostasis (PubMed : 31132336).
See full target information ATP13A2

Product promise

We are committed to supporting your work with high-quality reagents, and we're here for you every step of the way. In the unlikely event that one of our products does not perform as expected, you're protected by our Product Promise.
For full details, please see our Terms & Conditions

Please note: All products are 'FOR RESEARCH USE ONLY. NOT FOR USE IN DIAGNOSTIC OR THERAPEUTIC PROCEDURES'.

For licensing inquiries, please contact partnerships@abcam.com