JavaScript is disabled in your browser. Please enable JavaScript to view this website.
AB2873

Anti-ATP1B1 antibody [M17-P5-F11]

5

(2 Reviews)

|

(18 Publications)

Mouse Monoclonal ATP1B1 antibody. Suitable for Flow Cyt, WB, IHC-P, ICC/IF and reacts with Human, Mouse samples. Cited in 18 publications. Immunogen corresponding to Native Full Length Protein corresponding to Sheep Sodium/potassium-transporting ATPase subunit beta-1.

View Alternative Names

ATP1B, ATP1B1, Sodium/potassium-transporting ATPase subunit beta-1, Sodium/potassium-dependent ATPase subunit beta-1

9 Images
Flow Cytometry - Anti-ATP1B1 antibody [M17-P5-F11] (AB2873)
  • Flow Cyt

Unknown

Flow Cytometry - Anti-ATP1B1 antibody [M17-P5-F11] (AB2873)

Overlay histogram showing HEK293 cells stained with ab2873 (red line). The cells were fixed with 4% paraformaldehyde (10 min) and incubated in 1x PBS / 10% normal goat serum / 0.3M glycine to block non-specific protein-protein interactions. The cells were then incubated with the antibody (ab2873, 1/100 dilution) for 30 min at 22°C. The secondary antibody used was DyLight® 488 goat anti-mouse IgG (H+L) (ab96879) at 1/500 dilution for 30 min at 22°C. Isotype control antibody (black line) was mouse IgG2a [ICIGG2A] (ab91361, 1μg/1x106 cells) used under the same conditions. Acquisition of >5,000 events was performed. This antibody gave a positive signal in HEK293 cells fixed with 80% methanol (5 min)/permeabilized with 0.1% PBS-Tween for 20 min used under the same conditions.

Please note that Abcam do not have any data for use of this antibody on non-fixed cells. We welcome any customer feedback.

Immunohistochemistry (Formalin/PFA-fixed paraffin-embedded sections) - Anti-ATP1B1 antibody [M17-P5-F11] (AB2873)
  • IHC-P

Unknown

Immunohistochemistry (Formalin/PFA-fixed paraffin-embedded sections) - Anti-ATP1B1 antibody [M17-P5-F11] (AB2873)

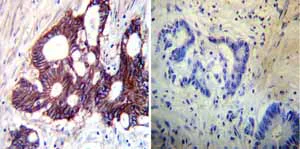
Immunohistochemistry was performed on both normal and cancer biopsies of deparaffinized Human liver tissue tissues. To expose target proteins heat induced antigen retrieval was performed using 10mM sodium citrate (pH6.0) buffer microwaved for 8-15 minutes. Following antigen retrieval tissues were blocked in 3% BSA-PBS for 30 minutes at room temperature. Tissues were then probed at a dilution of 1 : 200 with a mouse monoclonal antibody recognizing Sodium/Potassium ATPase beta ab2873 or without primary antibody (negative control) overnight at 4°C in a humidified chamber. Tissues were washed extensively with PBST and endogenous peroxidase activity was quenched with a peroxidase suppressor. Detection was performed using a biotin-conjugated secondary antibody and SA-HRP followed by colorimetric detection using DAB. Tissues were counterstained with hematoxylin and prepped for mounting.

Immunohistochemistry (Formalin/PFA-fixed paraffin-embedded sections) - Anti-ATP1B1 antibody [M17-P5-F11] (AB2873)
  • IHC-P

Unknown

Immunohistochemistry (Formalin/PFA-fixed paraffin-embedded sections) - Anti-ATP1B1 antibody [M17-P5-F11] (AB2873)

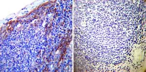
Immunohistochemistry was performed on both normal and cancer biopsies of deparaffinized Human tonsil tissue tissues. To expose target proteins heat induced antigen retrieval was performed using 10mM sodium citrate (pH6.0) buffer microwaved for 8-15 minutes. Following antigen retrieval tissues were blocked in 3% BSA-PBS for 30 minutes at room temperature. Tissues were then probed at a dilution of 1 : 200 with a mouse monoclonal antibody recognizing Sodium/Potassium ATPase beta ab2873 or without primary antibody (negative control) overnight at 4°C in a humidified chamber. Tissues were washed extensively with PBST and endogenous peroxidase activity was quenched with a peroxidase suppressor. Detection was performed using a biotin-conjugated secondary antibody and SA-HRP followed by colorimetric detection using DAB. Tissues were counterstained with hematoxylin and prepped for mounting.

Immunohistochemistry (Formalin/PFA-fixed paraffin-embedded sections) - Anti-ATP1B1 antibody [M17-P5-F11] (AB2873)
  • IHC-P

Unknown

Immunohistochemistry (Formalin/PFA-fixed paraffin-embedded sections) - Anti-ATP1B1 antibody [M17-P5-F11] (AB2873)

IHC image of ab2873 staining in human normal liver formalin fixed paraffin embedded tissue section, performed on a Leica BondTM system using the standard protocol F. The section was pre-treated using heat mediated antigen retrieval with sodium citrate buffer (pH6, epitope retrieval solution 1) for 20 mins. The section was then incubated with ab2873, 1µg/ml, for 15 mins at room temperature and detected using an HRP conjugated compact polymer system. DAB was used as the chromogen. The section was then counterstained with haematoxylin and mounted with DPX.

For other IHC staining systems (automated and non-automated) customers should optimize variable parameters such as antigen retrieval conditions, primary antibody concentration and antibody incubation times.

Immunohistochemistry (Formalin/PFA-fixed paraffin-embedded sections) - Anti-ATP1B1 antibody [M17-P5-F11] (AB2873)
  • IHC-P

Unknown

Immunohistochemistry (Formalin/PFA-fixed paraffin-embedded sections) - Anti-ATP1B1 antibody [M17-P5-F11] (AB2873)

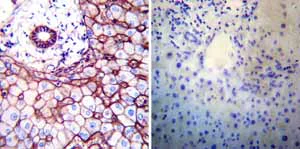
Immunohistochemistry was performed on both normal and cancer biopsies of deparaffinized Human colon carcinoma tissues. To expose target proteins heat induced antigen retrieval was performed using 10mM sodium citrate (pH6.0) buffer microwaved for 8-15 minutes. Following antigen retrieval tissues were blocked in 3% BSA-PBS for 30 minutes at room temperature. Tissues were then probed at a dilution of 1 : 200 with a mouse monoclonal antibody recognizing Sodium/Potassium ATPase beta ab2873 or without primary antibody (negative control) overnight at 4°C in a humidified chamber. Tissues were washed extensively with PBST and endogenous peroxidase activity was quenched with a peroxidase suppressor. Detection was performed using a biotin-conjugated secondary antibody and SA-HRP followed by colorimetric detection using DAB. Tissues were counterstained with hematoxylin and prepped for mounting.

Immunocytochemistry/ Immunofluorescence - Anti-ATP1B1 antibody [M17-P5-F11] (AB2873)
  • ICC/IF

Supplier Data

Immunocytochemistry/ Immunofluorescence - Anti-ATP1B1 antibody [M17-P5-F11] (AB2873)

Immunocytochemistry/Immunofluorescence analysis of ATP1B1 shows staining in U251 cells. ATP1B1 staining (green), F-Actin staining with Phalloidin (red) and nuclei with DAPI (blue) is shown. Cells were grown on chamber slides and fixed with formaldehyde prior to staining. Cells were incubated without (control) or with ab2873 (1 : 200) overnight at 4°C, washed with PBS and incubated with a DyLight-488 conjugated goat anti-mouse secondary antibody. Images were taken at 60X magnification.

Immunocytochemistry/ Immunofluorescence - Anti-ATP1B1 antibody [M17-P5-F11] (AB2873)
  • ICC/IF

Supplier Data

Immunocytochemistry/ Immunofluorescence - Anti-ATP1B1 antibody [M17-P5-F11] (AB2873)

Immunocytochemistry/Immunofluorescence analysis of ATP1B1 shows staining in MCF-7 cells. ATP1B1 staining (green), F-Actin staining with Phalloidin (red) and nuclei with DAPI (blue) is shown. Cells were grown on chamber slides and fixed with formaldehyde prior to staining. Cells were incubated without (control) or with ab2873 (1 : 200) overnight at 4°C, washed with PBS and incubated with a DyLight-488 conjugated goat anti-mouse secondary antibody. Images were taken at 60X magnification.

Immunocytochemistry/ Immunofluorescence - Anti-ATP1B1 antibody [M17-P5-F11] (AB2873)
  • ICC/IF

Supplier Data

Immunocytochemistry/ Immunofluorescence - Anti-ATP1B1 antibody [M17-P5-F11] (AB2873)

Immunocytochemistry/Immunofluorescence analysis of ATP1B1 shows staining in HeLa cells. ATP1B1 staining (green), F-Actin staining with Phalloidin (red) and nuclei with DAPI (blue) is shown. Cells were grown on chamber slides and fixed with formaldehyde prior to staining. Cells were incubated without (control) or with ab2873 (1 : 200) overnight at 4°C, washed with PBS and incubated with a DyLight-488 conjugated goat anti-mouse secondary antibody. Images were taken at 60X magnification.

Western blot - Anti-ATP1B1 antibody [M17-P5-F11] (AB2873)
  • WB

Supplier Data

Western blot - Anti-ATP1B1 antibody [M17-P5-F11] (AB2873)

Chemiluminescent detection was performed using Pierce ECL Plus Western Blotting Substrate.

All lanes:

Western blot - Anti-ATP1B1 antibody [M17-P5-F11] (ab2873) at 1/5000 dilution

Lane 1:

Human brain lysates at 25 µg

Lane 2:

Human liver lysates at 25 µg

Lane 3:

Human kidney lysates at 25 µg

Lane 4:

Mouse kidney lysates at 25 µg

Secondary

All lanes:

HRP-conjugated secondary antibody

Predicted band size: 35 kDa

false

Key facts

Host species

Mouse

Clonality

Monoclonal

Clone number

M17-P5-F11

Isotype

IgG2a

Carrier free

No

Reacts with

Mouse, Human

Applications

Flow Cyt, IHC-P, WB, ICC/IF

applications

Immunogen

Native Full Length Protein corresponding to Sheep Sodium/potassium-transporting ATPase subunit beta-1.

P05028

Epitope

This antibody recognizes an epitope between amino acid residues 195-199 of sheep sodium/potassium ATPase beta 1.

Reactivity data

{ "title": "Reactivity Data", "filters": { "stats": ["", "Species", "Dilution Info", "Notes"], "tabs": { "all-applications": {"fullname" : "All Applications", "shortname": "All Applications"}, "FlowCyt" : {"fullname" : "Flow Cytometry", "shortname":"Flow Cyt"}, "WB" : {"fullname" : "Western blot", "shortname":"WB"}, "IHCP" : {"fullname" : "Immunohistochemistry (Formalin/PFA-fixed paraffin-embedded sections)", "shortname":"IHC-P"}, "ICCIF" : {"fullname" : "Immunocytochemistry/ Immunofluorescence", "shortname":"ICC/IF"} }, "product-promise": { "all": "all", "testedAndGuaranteed": "tested", "guaranteed": "expected", "predicted": "predicted", "notRecommended": "not-recommended" } }, "values": { "Human": { "FlowCyt-species-checked": "testedAndGuaranteed", "FlowCyt-species-dilution-info": "1/100", "FlowCyt-species-notes": "<p><a href='/en-us/products/primary-antibodies/mouse-igg2c-kappa-monoclonal-18c8bc7ad10-isotype-control-ab170191'>ab170191</a> - Mouse monoclonal IgG2a, is suitable for use as an isotype control with this antibody.</p>", "WB-species-checked": "testedAndGuaranteed", "WB-species-dilution-info": "1/1000 - 1/10000", "WB-species-notes": "<p></p>", "IHCP-species-checked": "testedAndGuaranteed", "IHCP-species-dilution-info": "1/200", "IHCP-species-notes": "<p></p>", "ICCIF-species-checked": "testedAndGuaranteed", "ICCIF-species-dilution-info": "1/100 - 1/1000", "ICCIF-species-notes": "<p></p>" }, "Mouse": { "FlowCyt-species-checked": "guaranteed", "FlowCyt-species-dilution-info": "", "FlowCyt-species-notes": "", "WB-species-checked": "testedAndGuaranteed", "WB-species-dilution-info": "1/1000 - 1/10000", "WB-species-notes": "<p></p>", "IHCP-species-checked": "guaranteed", "IHCP-species-dilution-info": "", "IHCP-species-notes": "", "ICCIF-species-checked": "guaranteed", "ICCIF-species-dilution-info": "", "ICCIF-species-notes": "" }, "Chimpanzee": { "FlowCyt-species-checked": "predicted", "FlowCyt-species-dilution-info": "", "FlowCyt-species-notes": "", "WB-species-checked": "predicted", "WB-species-dilution-info": "", "WB-species-notes": "", "IHCP-species-checked": "predicted", "IHCP-species-dilution-info": "", "IHCP-species-notes": "", "ICCIF-species-checked": "predicted", "ICCIF-species-dilution-info": "", "ICCIF-species-notes": "" }, "Cynomolgus monkey": { "FlowCyt-species-checked": "predicted", "FlowCyt-species-dilution-info": "", "FlowCyt-species-notes": "", "WB-species-checked": "predicted", "WB-species-dilution-info": "", "WB-species-notes": "", "IHCP-species-checked": "predicted", "IHCP-species-dilution-info": "", "IHCP-species-notes": "", "ICCIF-species-checked": "predicted", "ICCIF-species-dilution-info": "", "ICCIF-species-notes": "" }, "Rabbit": { "FlowCyt-species-checked": "predicted", "FlowCyt-species-dilution-info": "", "FlowCyt-species-notes": "", "WB-species-checked": "predicted", "WB-species-dilution-info": "", "WB-species-notes": "", "IHCP-species-checked": "predicted", "IHCP-species-dilution-info": "", "IHCP-species-notes": "", "ICCIF-species-checked": "predicted", "ICCIF-species-dilution-info": "", "ICCIF-species-notes": "" } } }

Properties and storage information

Form
Liquid
Purification technique
Affinity purification Protein A
Storage buffer
Preservative: 0.05% Sodium azide Constituents: 99% PBS, 0.1% BSA
Shipped at conditions
Blue Ice
Appropriate short-term storage duration
1-2 weeks
Appropriate short-term storage conditions
+4°C
Appropriate long-term storage conditions
-20°C
Aliquoting information
Upon delivery aliquot
Storage information
Avoid freeze / thaw cycle

Supplementary information

This supplementary information is collated from multiple sources and compiled automatically.

ATP1B1 also known as the beta-1 subunit of Na+/K+ ATPase plays an essential role in ion transport across the plasma membrane. The protein works as part of the sodium-potassium pump which helps maintain the cellular electrochemical gradient. The molecular mass of ATP1B1 is approximately 35 kDa. This target is expressed in various tissues including the heart kidney and brain where it supports the critical functions of excitable tissues and epithelial cell polarization.
Biological function summary

ATP1B1 contributes to establishing and maintaining cellular homeostasis as part of the Na+/K+ ATPase complex. This complex regulates the balance of sodium and potassium ions within cells important for nerve impulse transmission and muscle contraction. ATP1B1 interacts with the alpha subunit to modulate the enzyme’s activity and transport kinetics highlighting its role in cell volume regulation and epithelial layer development.

Pathways

ATP1B1 is actively involved in the ion transport pathway and cellular signaling pathways such as WNT signaling. It works closely with proteins such as ATP1A1 and ATP1A2 which are different alpha subunits of the Na+/K+ ATPase. Through these pathways ATP1B1 affects cellular processes like membrane potential maintenance and intercellular communication essential for proper cellular function and organismal health.

ATP1B1 shows a link to hypertension and polycystic ovary syndrome (PCOS). Mutations or dysfunctional expression of ATP1B1 can disrupt ion gradients contributing to these conditions. The protein connects with regulatory proteins including G-protein signaling regulators which can alter cellular responses in disease contexts. Understanding ATP1B1's involvement in these disorders helps in exploring therapeutic targets and improving patient outcomes.

Product protocols

For this product, it's our understanding that no specific protocols are required. You can visit:

Target data

This is the non-catalytic component of the active enzyme, which catalyzes the hydrolysis of ATP coupled with the exchange of Na(+) and K(+) ions across the plasma membrane. The beta subunit regulates, through assembly of alpha/beta heterodimers, the number of sodium pumps transported to the plasma membrane (PubMed : 19694409). Plays a role in innate immunity by enhancing virus-triggered induction of interferons (IFNs) and interferon stimulated genes (ISGs). Mechanistically, enhances the ubiquitination of TRAF3 and TRAF6 as well as the phosphorylation of TAK1 and TBK1 (PubMed : 34011520).. Involved in cell adhesion and establishing epithelial cell polarity.
See full target information ATP1B1

Publications (18)

Recent publications for all applications. Explore the full list and refine your search

Scientific reports 13:11789 PubMed37479821

2023

Development of cochlear spiral ligament fibrocytes of the common marmoset, a nonhuman model animal.

Applications

Unspecified application

Species

Unspecified reactive species

Makoto Hosoya,Kaho Iwabu,Tsubasa Kitama,Takanori Nishiyama,Naoki Oishi,Hideyuki Okano,Hiroyuki Ozawa

Scientific reports 12:19811 PubMed36396805

2022

Development of the stria vascularis in the common marmoset, a primate model.

Applications

Unspecified application

Species

Unspecified reactive species

Makoto Hosoya,Tsubasa Kitama,Kaho Iwabu,Takanori Nishiyama,Naoki Oishi,Hideyuki Okano,Hiroyuki Ozawa

International journal of molecular sciences 22: PubMed34299188

2021

Molecular Mechanism of Stimulation of Na-K-ATPase by Leukotriene D4 in Intestinal Epithelial Cells.

Applications

Unspecified application

Species

Unspecified reactive species

Niraj Nepal,Subha Arthur,Molly R Butts,Soudamani Singh,Balasubramanian Palaniappan,Uma Sundaram

Cells 10: PubMed33805551

2021

Mechanism of Na-K-ATPase Inhibition by PGE2 in Intestinal Epithelial Cells.

Applications

Unspecified application

Species

Unspecified reactive species

Niraj Nepal,Subha Arthur,Jennifer Haynes,Balasubramanian Palaniappan,Uma Sundaram

Molecular therapy. Methods & clinical development 20:551-558 PubMed33665225

2021

Ad- and AAV8-mediated gene therapy in a murine model with retinal ischemia/reperfusion injuries.

Applications

Unspecified application

Species

Unspecified reactive species

Jing Luo,Shengli Wang,Zhenlong Zhou,Yin Zhao

Cells 8: PubMed31208048

2019

Unique Regulation of Na-K-ATPase during Growth and Maturation of Intestinal Epithelial Cells.

Applications

Unspecified application

Species

Unspecified reactive species

Niraj Nepal,Subha Arthur,Uma Sundaram

JCI insight 3: PubMed30333310

2018

Increased expression of ATP12A proton pump in cystic fibrosis airways.

Applications

Unspecified application

Species

Unspecified reactive species

Paolo Scudieri,Ilaria Musante,Emanuela Caci,Arianna Venturini,Patrizia Morelli,Christine Walter,Davide Tosi,Alessandro Palleschi,Pablo Martin-Vasallo,Isabelle Sermet-Gaudelus,Gabrielle Planelles,Gilles Crambert,Luis Jv Galietta

PloS one 12:e0183692 PubMed28832634

2017

Expression and potential roles of sodium-potassium ATPase and E-cadherin in human gastric adenocarcinoma.

Applications

Unspecified application

Species

Unspecified reactive species

Shih-Ho Wang,Kuan-Lin Wang,Wen-Kai Yang,Tsung-Han Lee,Wan-Yu Lo,Jane-Dar Lee

Frontiers in molecular neuroscience 10:239 PubMed28848383

2017

The Human "Cochlear Battery" - Claudin-11 Barrier and Ion Transport Proteins in the Lateral Wall of the Cochlea.

Applications

Unspecified application

Species

Unspecified reactive species

Wei Liu,Annelies Schrott-Fischer,Rudolf Glueckert,Heval Benav,Helge Rask-Andersen

EBioMedicine 21:94-103 PubMed28679472

2017

NKCC1 Regulates Migration Ability of Glioblastoma Cells by Modulation of Actin Dynamics and Interacting with Cofilin.

Applications

ICC/IF

Species

Human

Paula Schiapparelli,Hugo Guerrero-Cazares,Roxana Magaña-Maldonado,Susan M Hamilla,Sara Ganaha,Eric Goulin Lippi Fernandes,Chuan-Hsiang Huang,Helim Aranda-Espinoza,Peter Devreotes,Alfredo Quinones-Hinojosa
View all publications

Product promise

We are committed to supporting your work with high-quality reagents, and we're here for you every step of the way. In the unlikely event that one of our products does not perform as expected, you're protected by our Product Promise.
For full details, please see our Terms & Conditions

Associated Products

Select an associated product type
Alternative Product
Primary Antibodies

AB96292

Anti-ATP1B1 antibody

primary-antibodies

atp1b1-antibody-ab96292

0

(1 reviews)

Alternative Product
Primary Antibodies

AB8344

Anti-ATP1B1 antibody [464.8]

primary-antibodies

atp1b1-antibody-4648-ab8344

4

(1 reviews)

Alternative Product
Primary Antibodies

AB193669

Anti-ATP1B1 antibody [EPR12195]

primary-antibodies

atp1b1-antibody-epr12195-ab193669

0

(0 reviews)

Please note: All products are 'FOR RESEARCH USE ONLY. NOT FOR USE IN DIAGNOSTIC OR THERAPEUTIC PROCEDURES'.

For licensing inquiries, please contact partnerships@abcam.com