JavaScript is disabled in your browser. Please enable JavaScript to view this website.
AB185210

Anti-ATP1B2 antibody [EPR15460(B)]

Be the first to review this product! Submit a review

|

(7 Publications)

Rabbit Recombinant Monoclonal ATP1B2 antibody. Suitable for IHC-P, IP, WB and reacts with Rat, Mouse, Human samples. Cited in 7 publications.

View Alternative Names

Sodium/potassium-transporting ATPase subunit beta-2, Adhesion molecule in glia, Sodium/potassium-dependent ATPase subunit beta-2, AMOG, ATP1B2

13 Images
Immunohistochemistry (Formalin/PFA-fixed paraffin-embedded sections) - Anti-ATP1B2 antibody [EPR15460(B)] (AB185210)
  • IHC-P

Lab

Immunohistochemistry (Formalin/PFA-fixed paraffin-embedded sections) - Anti-ATP1B2 antibody [EPR15460(B)] (AB185210)

Immunohistochemical analysis of paraffin-embedded human astrocytoma labelling ATP1B2 with ab185210 at 1/2000 dilution (0.498 ug/ml), followed by a ready to use LeicaDS9800 (Bond™ Polymer Refine Detection)

Positive staining on human astrocytoma. The primary antibody was incubated for 30 mins at room temperature. The immunostaining was performed on a Leica Biosystems BOND® RX instrument.

Counterstained with Hematoxylin.

Secondary antibody only control : LeicaDS9800 (Bond™ Polymer Refine Detection)

Heat mediated antigen retrieval was performed with Citrate buffer (pH 6.0, Epitope Retrieval Solution 1) for 20 mins.

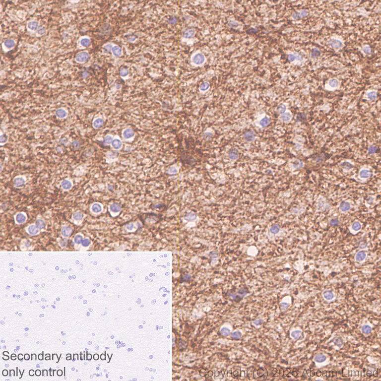
Immunohistochemistry (Formalin/PFA-fixed paraffin-embedded sections) - Anti-ATP1B2 antibody [EPR15460(B)] (AB185210)
  • IHC-P

Lab

Immunohistochemistry (Formalin/PFA-fixed paraffin-embedded sections) - Anti-ATP1B2 antibody [EPR15460(B)] (AB185210)

Immunohistochemical analysis of paraffin-embedded human cerebrum labelling ATP1B2 with ab185210 at 1/2000 dilution (0.498 ug/ml), followed by a ready to use LeicaDS9800 (Bond™ Polymer Refine Detection)

Positive staining on human cerebrum. The primary antibody was incubated for 30 mins at room temperature. The immunostaining was performed on a Leica Biosystems BOND® RX instrument.

Counterstained with Hematoxylin.

Secondary antibody only control : LeicaDS9800 (Bond™ Polymer Refine Detection)

Heat mediated antigen retrieval was performed with Citrate buffer (pH 6.0, Epitope Retrieval Solution 1) for 20 mins.

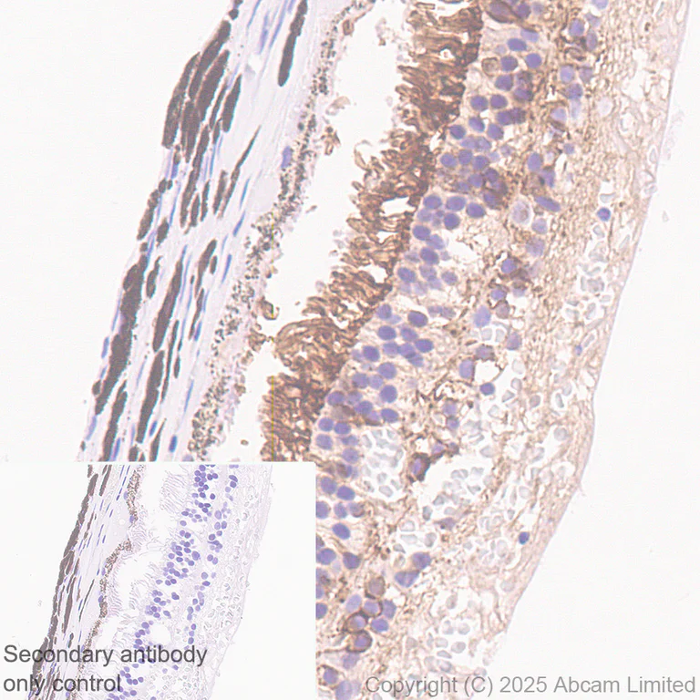
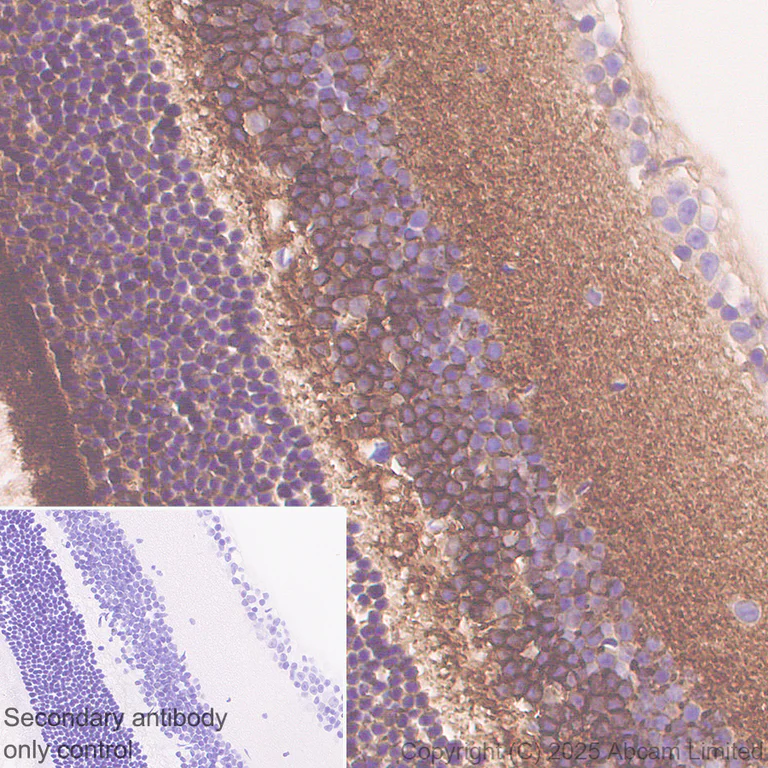
Immunohistochemistry (Formalin/PFA-fixed paraffin-embedded sections) - Anti-ATP1B2 antibody [EPR15460(B)] (AB185210)
  • IHC-P

Lab

Immunohistochemistry (Formalin/PFA-fixed paraffin-embedded sections) - Anti-ATP1B2 antibody [EPR15460(B)] (AB185210)

Immunohistochemical analysis of paraffin-embedded human retina labelling ATP1B2 with ab185210 at 1/2000 dilution (0.498 ug/ml), followed by a ready to use LeicaDS9800 (Bond™ Polymer Refine Detection)

Positive staining on human retina. The primary antibody was incubated for 30 mins at room temperature. The immunostaining was performed on a Leica Biosystems BOND® RX instrument.

Counterstained with Hematoxylin.

Secondary antibody only control : LeicaDS9800 (Bond™ Polymer Refine Detection)

Heat mediated antigen retrieval was performed with Citrate buffer (pH 6.0, Epitope Retrieval Solution 1) for 20 mins.

Immunoprecipitation - Anti-ATP1B2 antibody [EPR15460(B)] (AB185210)
  • IP

Supplier Data

Immunoprecipitation - Anti-ATP1B2 antibody [EPR15460(B)] (AB185210)

Western blot analysis of immunoprecipitation pellet from Human cerebellum lysate immunoprecipitated using ab185210 at 1/50 dilution (lane 1) or PBS control (lane 2).
Secondary : Anti-Rabbit IgG (HRP), specific to the non-reduced form of IgG at 1/1500 dilution.

All lanes:

Immunoprecipitation - Anti-ATP1B2 antibody [EPR15460(B)] (ab185210)

Predicted band size: 33 kDa

false

Immunohistochemistry (Formalin/PFA-fixed paraffin-embedded sections) - Anti-ATP1B2 antibody [EPR15460(B)] (AB185210)
  • IHC-P

Lab

Immunohistochemistry (Formalin/PFA-fixed paraffin-embedded sections) - Anti-ATP1B2 antibody [EPR15460(B)] (AB185210)

Immunohistochemical analysis of paraffin-embedded rat cerebrum labelling ATP1B2 with ab185210 at 1/5000 dilution (0.199 ug/ml), followed by a ready to use LeicaDS9800 (Bond™ Polymer Refine Detection)

Positive staining on rat cerebrum. The primary antibody was incubated for 30 mins at room temperature. The immunostaining was performed on a Leica Biosystems BOND® RX instrument.

Counterstained with Hematoxylin.

Secondary antibody only control : LeicaDS9800 (Bond™ Polymer Refine Detection)

Heat mediated antigen retrieval was performed with Citrate buffer (pH 6.0, Epitope Retrieval Solution 1) for 20 mins.

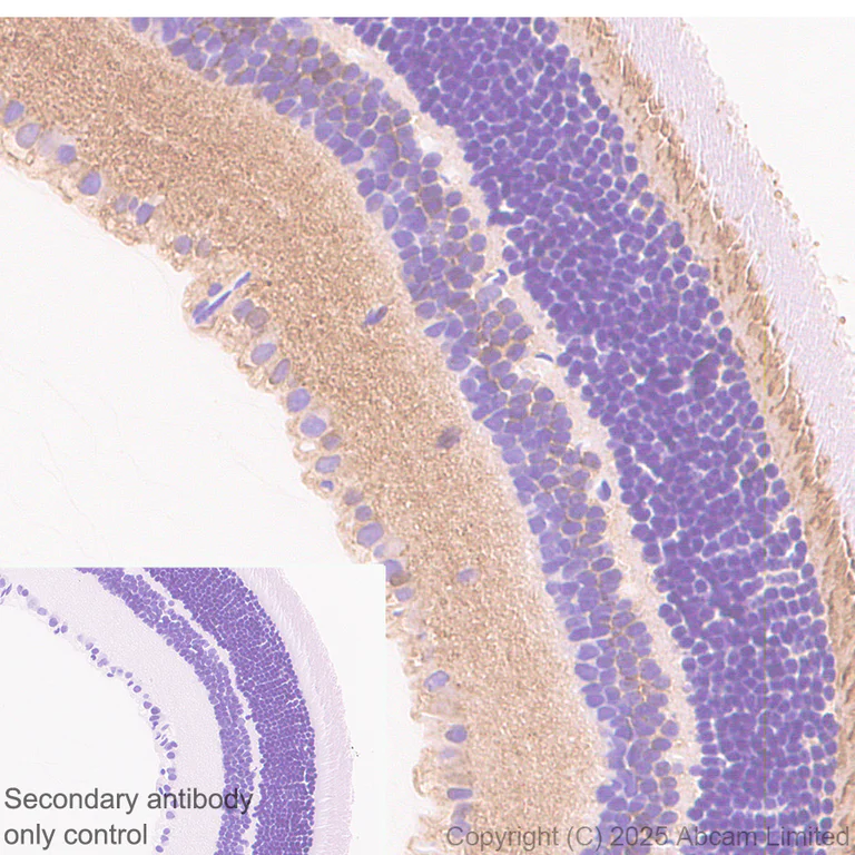
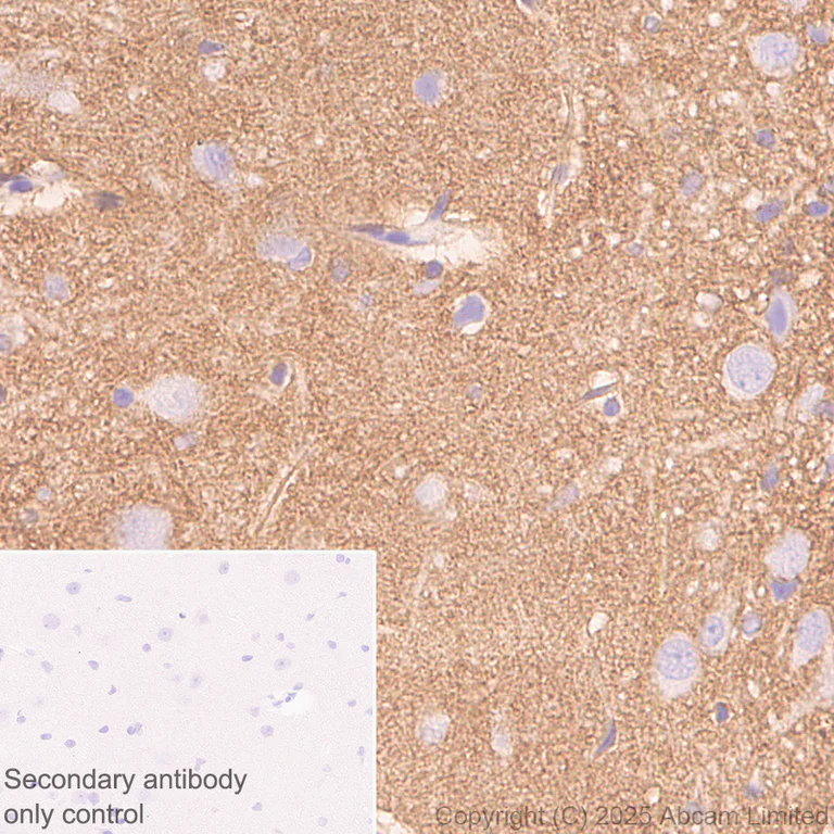
Immunohistochemistry (Formalin/PFA-fixed paraffin-embedded sections) - Anti-ATP1B2 antibody [EPR15460(B)] (AB185210)
  • IHC-P

Lab

Immunohistochemistry (Formalin/PFA-fixed paraffin-embedded sections) - Anti-ATP1B2 antibody [EPR15460(B)] (AB185210)

Immunohistochemical analysis of paraffin-embedded mouse retina labelling ATP1B2 with ab185210 at 1/5000 dilution (0.199 ug/ml), followed by a ready to use LeicaDS9800 (Bond™ Polymer Refine Detection)

Positive staining on mouse retina. The primary antibody was incubated for 30 mins at room temperature. The immunostaining was performed on a Leica Biosystems BOND® RX instrument.

Counterstained with Hematoxylin.

Secondary antibody only control : LeicaDS9800 (Bond™ Polymer Refine Detection)

Heat mediated antigen retrieval was performed with Citrate buffer (pH 6.0, Epitope Retrieval Solution 1) for 20 mins.

Immunohistochemistry (Formalin/PFA-fixed paraffin-embedded sections) - Anti-ATP1B2 antibody [EPR15460(B)] (AB185210)
  • IHC-P

Lab

Immunohistochemistry (Formalin/PFA-fixed paraffin-embedded sections) - Anti-ATP1B2 antibody [EPR15460(B)] (AB185210)

Immunohistochemical analysis of paraffin-embedded rat retina labelling ATP1B2 with ab185210 at 1/5000 dilution (0.199 ug/ml), followed by a ready to use LeicaDS9800 (Bond™ Polymer Refine Detection)

Positive staining on rat retina. The primary antibody was incubated for 30 mins at room temperature. The immunostaining was performed on a Leica Biosystems BOND® RX instrument.

Counterstained with Hematoxylin.

Secondary antibody only control : LeicaDS9800 (Bond™ Polymer Refine Detection)

Heat mediated antigen retrieval was performed with Citrate buffer (pH 6.0, Epitope Retrieval Solution 1) for 20 mins.

Immunohistochemistry (Formalin/PFA-fixed paraffin-embedded sections) - Anti-ATP1B2 antibody [EPR15460(B)] (AB185210)
  • IHC-P

Lab

Immunohistochemistry (Formalin/PFA-fixed paraffin-embedded sections) - Anti-ATP1B2 antibody [EPR15460(B)] (AB185210)

Immunohistochemical analysis of paraffin-embedded mouse cerebrum labelling ATP1B2 with ab185210 at 1/5000 dilution (0.199 ug/ml), followed by a ready to use LeicaDS9800 (Bond™ Polymer Refine Detection)

Positive staining on mouse cerebrum. The primary antibody was incubated for 30 mins at room temperature. The immunostaining was performed on a Leica Biosystems BOND® RX instrument.

Counterstained with Hematoxylin.

Secondary antibody only control : LeicaDS9800 (Bond™ Polymer Refine Detection)

Heat mediated antigen retrieval was performed with Citrate buffer (pH 6.0, Epitope Retrieval Solution 1) for 20 mins.

Western blot - Anti-ATP1B2 antibody [EPR15460(B)] (AB185210)
  • WB

Supplier Data

Western blot - Anti-ATP1B2 antibody [EPR15460(B)] (AB185210)

All lanes:

Western blot - Anti-ATP1B2 antibody [EPR15460(B)] (ab185210) at 1/20000 dilution

All lanes:

Human cerebellum lysate at 20 µg

Secondary

All lanes:

Goat Anti-Rabbit IgG, (H+L), Peroxidase conjugated at 1/1000 dilution

Predicted band size: 33 kDa

false

Western blot - Anti-ATP1B2 antibody [EPR15460(B)] (AB185210)
  • WB

Supplier Data

Western blot - Anti-ATP1B2 antibody [EPR15460(B)] (AB185210)

All lanes:

Western blot - Anti-ATP1B2 antibody [EPR15460(B)] (ab185210) at 1/5000 dilution

All lanes:

Y79 (Human retinoblastoma cell line) cell lysate at 20 µg

Secondary

All lanes:

Goat Anti-Rabbit IgG, (H+L), Peroxidase conjugated at 1/1000 dilution

Predicted band size: 33 kDa

false

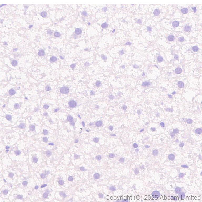
Immunohistochemistry (Formalin/PFA-fixed paraffin-embedded sections) - Anti-ATP1B2 antibody [EPR15460(B)] (AB185210)
  • IHC-P

Lab

Immunohistochemistry (Formalin/PFA-fixed paraffin-embedded sections) - Anti-ATP1B2 antibody [EPR15460(B)] (AB185210)

Immunohistochemical analysis of paraffin-embedded mouse liver labelling ATP1B2 with ab185210 at 1/5000 dilution (0.199 ug/ml), followed by a ready to use LeicaDS9800 (Bond™ Polymer Refine Detection)

negative control : no staining on mouse liver. The primary antibody was incubated for 30 mins at room temperature. The immunostaining was performed on a Leica Biosystems BOND® RX instrument.

Counterstained with Hematoxylin.

Secondary antibody only control : LeicaDS9800 (Bond™ Polymer Refine Detection)

Heat mediated antigen retrieval was performed with Citrate buffer (pH 6.0, Epitope Retrieval Solution 1) for 20 mins.

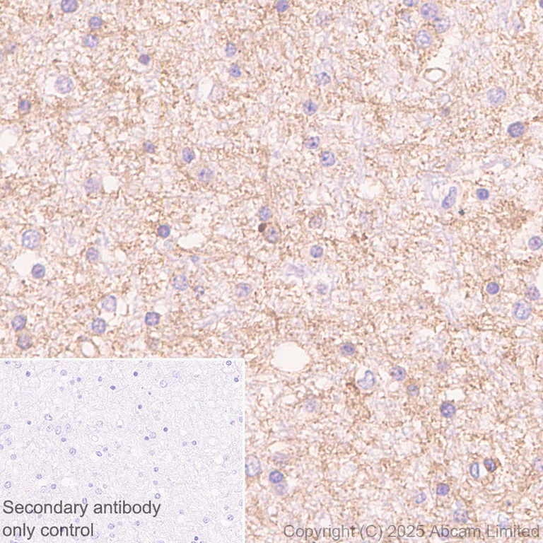
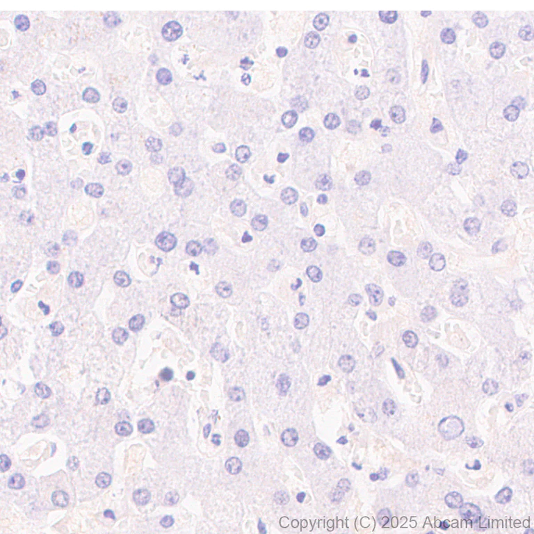
Immunohistochemistry (Formalin/PFA-fixed paraffin-embedded sections) - Anti-ATP1B2 antibody [EPR15460(B)] (AB185210)
  • IHC-P

Lab

Immunohistochemistry (Formalin/PFA-fixed paraffin-embedded sections) - Anti-ATP1B2 antibody [EPR15460(B)] (AB185210)

Immunohistochemical analysis of paraffin-embedded human liver labelling ATP1B2 with ab185210 at 1/2000 dilution (0.498 ug/ml), followed by a ready to use LeicaDS9800 (Bond™ Polymer Refine Detection)

Negative control : no staining on human liver. The primary antibody was incubated for 30 mins at room temperature. The immunostaining was performed on a Leica Biosystems BOND® RX instrument.

Counterstained with Hematoxylin.

Secondary antibody only control : LeicaDS9800 (Bond™ Polymer Refine Detection)

Heat mediated antigen retrieval was performed with Citrate buffer (pH 6.0, Epitope Retrieval Solution 1) for 20 mins.

Immunohistochemistry (Formalin/PFA-fixed paraffin-embedded sections) - Anti-ATP1B2 antibody [EPR15460(B)] (AB185210)
  • IHC-P

Lab

Immunohistochemistry (Formalin/PFA-fixed paraffin-embedded sections) - Anti-ATP1B2 antibody [EPR15460(B)] (AB185210)

Immunohistochemical analysis of paraffin-embedded rat liver labelling ATP1B2 with ab185210 at 1/5000 dilution (0.199 ug/ml), followed by a ready to use LeicaDS9800 (Bond™ Polymer Refine Detection)

negative control : no staining on rat liver. The primary antibody was incubated for 30 mins at room temperature. The immunostaining was performed on a Leica Biosystems BOND® RX instrument.

Counterstained with Hematoxylin.

Secondary antibody only control : LeicaDS9800 (Bond™ Polymer Refine Detection)

Heat mediated antigen retrieval was performed with Citrate buffer (pH 6.0, Epitope Retrieval Solution 1) for 20 mins.

  • Carrier free

    Anti-ATP1B2 antibody [EPR15460(B)] - BSA and Azide free

Key facts

Host species

Rabbit

Clonality

Monoclonal

Clone number

EPR15460(B)

Isotype

IgG

Carrier free

No

Reacts with

Mouse, Rat, Human

Applications

IHC-P, IP, WB

applications

Immunogen

The exact immunogen used to generate this antibody is proprietary information.

Reactivity data

{ "title": "Reactivity Data", "filters": { "stats": ["", "Species", "Dilution Info", "Notes"], "tabs": { "all-applications": {"fullname" : "All Applications", "shortname": "All Applications"}, "IHCP" : {"fullname" : "Immunohistochemistry (Formalin/PFA-fixed paraffin-embedded sections)", "shortname":"IHC-P"}, "IP" : {"fullname" : "Immunoprecipitation", "shortname":"IP"}, "WB" : {"fullname" : "Western blot", "shortname":"WB"} }, "product-promise": { "all": "all", "testedAndGuaranteed": "tested", "guaranteed": "expected", "predicted": "predicted", "notRecommended": "not-recommended" } }, "values": { "Human": { "IHCP-species-checked": "testedAndGuaranteed", "IHCP-species-dilution-info": "1/2000", "IHCP-species-notes": "<p></p> Perform heat-mediated antigen retrieval with citrate buffer pH 6 before commencing with IHC staining protocol.", "IP-species-checked": "testedAndGuaranteed", "IP-species-dilution-info": "1/50 - 1/70", "IP-species-notes": "<p></p>", "WB-species-checked": "testedAndGuaranteed", "WB-species-dilution-info": "1/10000 - 1/50000", "WB-species-notes": "<p></p>" }, "Mouse": { "IHCP-species-checked": "testedAndGuaranteed", "IHCP-species-dilution-info": "1/5000", "IHCP-species-notes": "<p></p> Perform heat-mediated antigen retrieval with citrate buffer pH 6 before commencing with IHC staining protocol.", "IP-species-checked": "guaranteed", "IP-species-dilution-info": "", "IP-species-notes": "", "WB-species-checked": "guaranteed", "WB-species-dilution-info": "", "WB-species-notes": "" }, "Rat": { "IHCP-species-checked": "testedAndGuaranteed", "IHCP-species-dilution-info": "1/5000", "IHCP-species-notes": "<p></p> Perform heat-mediated antigen retrieval with citrate buffer pH 6 before commencing with IHC staining protocol.", "IP-species-checked": "guaranteed", "IP-species-dilution-info": "", "IP-species-notes": "", "WB-species-checked": "guaranteed", "WB-species-dilution-info": "", "WB-species-notes": "" } } }

Product details

Patented technology
Our RabMAb® technology is a patented hybridoma-based technology for making rabbit monoclonal antibodies. For details on our patents, please refer to RabMAb® patents.

What are the advantages of a recombinant monoclonal antibody?
This product is a recombinant monoclonal antibody, which offers several advantages including:

  • - High batch-to-batch consistency and reproducibility
  • - Improved sensitivity and specificity
  • - Long-term security of supply
  • - Animal-free batch production

For more information, read more on recombinant antibodies.

Properties and storage information

Form
Liquid
Purification technique
Affinity purification Protein A
Storage buffer
pH: 7.2 - 7.4 Preservative: 0.01% Sodium azide Constituents: PBS, 40% Glycerol (glycerin, glycerine), 0.05% BSA
Shipped at conditions
Blue Ice
Appropriate short-term storage duration
1-2 weeks
Appropriate short-term storage conditions
+4°C
Appropriate long-term storage conditions
-20°C
Aliquoting information
Upon delivery aliquot
Storage information
Avoid freeze / thaw cycle

Supplementary information

This supplementary information is collated from multiple sources and compiled automatically.

ATP1B2 also known as Sodium/potassium-transporting ATPase subunit beta-2 is a protein that functions mechanically as part of the Na+/K+ pump essential for maintaining the electrochemical gradients of sodium and potassium ions across the plasma membrane. This protein is approximately 40 kDa in mass. It is particularly expressed in nervous tissues such as brain and spinal cord but can be found in many other tissues as well. ATP1B2 plays a significant role in ion transport and regulation of cell volume as well as maintaining resting potential.
Biological function summary

ATP1B2 participates in the assembly of the Na+/K+ ATPase enzyme complex a complex vital for proper ion exchange and cellular homeostasis. It stabilizes the enzyme's alpha subunit and ensures correct localization within the cell membrane. This complex is essential for cellular processes like neuronal signaling and muscle contraction as it helps in maintaining the appropriate ion balance within the cells.

Pathways

ATP1B2 is involved in the ion transport pathway important for maintaining cellular ion homeostasis. It is part of pathways such as the sodium reabsorption in kidneys and nerve transmission. In these pathways ATP1B2 works closely with proteins like ATP1A1 the alpha subunit of the Na+/K+ ATPase helping to facilitate the transport of sodium out of and potassium into the cells which is critical for many physiological processes.

ATP1B2 has been linked to conditions such as epilepsy and certain types of congenital heart disease. In epilepsy dysfunctional ion transport due to anomalies in ATP1B2 can lead to abnormal neuronal firing. Another related protein ATP1A2 also plays a part in neurological disorders through similar ion transport mechanisms. In congenital heart disease disruptions in the Na+/K+ pump imaging can affect heart function demonstrating ATP1B2's role in maintaining cardiovascular health.

Product protocols

For this product, it's our understanding that no specific protocols are required. You can visit:

Target data

This is the non-catalytic component of the active enzyme, which catalyzes the hydrolysis of ATP coupled with the exchange of Na(+) and K(+) ions across the plasma membrane. The exact function of the beta-2 subunit is not known.. Mediates cell adhesion of neurons and astrocytes, and promotes neurite outgrowth.
See full target information Sodium/potassium-transporting ATPase subunit beta-2

Publications (7)

Recent publications for all applications. Explore the full list and refine your search

Cells 12: PubMed37296649

2023

Corneal Edema in Inducible Knockout Is Initiated by Mitochondrial Superoxide Induced Src Kinase Activation.

Applications

Unspecified application

Species

Unspecified reactive species

Diego G Ogando,Edward T Kim,Shimin Li,Joseph A Bonanno

Molecular medicine reports 23: PubMed33760199

2021

Serum from patients with hypertension promotes endothelial dysfunction to induce trophoblast invasion through the miR‑27b‑3p/ATPase plasma membrane Ca transporting 1 axis.

Applications

Unspecified application

Species

Unspecified reactive species

Libo Zhu,Zhuqing Liu

JCI insight : PubMed33507884

2021

MRCKα interacts with and mediates Na+, K+-ATPase-induced tight junction assembly in the lung epithelium.

Applications

Unspecified application

Species

Unspecified reactive species

Haiqing Bai,Rui Zhou,Michael Barravecchia,Rosemary Norman,Alan E Friedman,Deborah Yu,Xin Lin,Jennifer L Young,David A Dean

Physiological reports 8:e14408 PubMed32342642

2020

Resting metabolic rate and skeletal muscle SERCA and Na /K ATPase activities are not affected by fish oil supplementation in healthy older adults.

Applications

Unspecified application

Species

Unspecified reactive species

Sebastian Jannas-Vela,Shannon L Klingel,Daniel T Cervone,Kate A Wickham,George J F Heigenhauser,David M Mutch,Graham P Holloway,Lawrence L Spriet

Scientific reports 8:13542 PubMed30202052

2018

Effects of Vaspin on Insulin Resistance in Rats and Underlying Mechanisms.

Applications

Unspecified application

Species

Unspecified reactive species

Shiwei Liu,Ruixue Duan,Yaru Wu,Fang Du,Jiaxin Zhang,Xin Li,Shenghui Guo,Meimei Wang,Qi Zhang,Yuanbin Li,Naishi Li

Scientific reports 7:3791 PubMed28630426

2017

The down-regulation of SLC7A11 enhances ROS induced P-gp over-expression and drug resistance in MCF-7 breast cancer cells.

Applications

WB

Species

Human

Chun Ge,Bei Cao,Dong Feng,Fang Zhou,Jingwei Zhang,Na Yang,Siqi Feng,Guangji Wang,Jiye Aa

Laboratory investigation; a journal of technical m 97:971-982 PubMed28394321

2017

The role of angiopoietin-2 in nucleus pulposus cells during human intervertebral disc degeneration.

Applications

Unspecified application

Species

Unspecified reactive species

Kun Wang,Wei Liu,Yu Song,Xinghuo Wu,Yukun Zhang,Shuai Li,Yong Gao,Ji Tu,Yingle Liu,Cao Yang
View all publications

Product promise

We are committed to supporting your work with high-quality reagents, and we're here for you every step of the way. In the unlikely event that one of our products does not perform as expected, you're protected by our Product Promise.
For full details, please see our Terms & Conditions

Please note: All products are 'FOR RESEARCH USE ONLY. NOT FOR USE IN DIAGNOSTIC OR THERAPEUTIC PROCEDURES'.

For licensing inquiries, please contact partnerships@abcam.com