JavaScript is disabled in your browser. Please enable JavaScript to view this website.
AB250809

Anti-ATP1B2 antibody [EPR15460(B)] - BSA and Azide free

Be the first to review this product! Submit a review

|

(0 Publication)

Rabbit Recombinant Monoclonal ATP1B2 antibody. Carrier free. Suitable for IP, WB and reacts with Human samples.

View Alternative Names

Sodium/potassium-transporting ATPase subunit beta-2, Adhesion molecule in glia, Sodium/potassium-dependent ATPase subunit beta-2, AMOG, ATP1B2

13 Images
Immunohistochemistry (Formalin/PFA-fixed paraffin-embedded sections) - Anti-ATP1B2 antibody [EPR15460(B)] - BSA and Azide free (AB250809)
  • IHC-P

Lab

Immunohistochemistry (Formalin/PFA-fixed paraffin-embedded sections) - Anti-ATP1B2 antibody [EPR15460(B)] - BSA and Azide free (AB250809)

This data was developed using ab185210, the same antibody clone in a different buffer formulation.

Immunohistochemical analysis of paraffin-embedded human astrocytoma labelling ATP1B2 with ab185210 at 1/2000 dilution (0.498 ug/ml), followed by a ready to use LeicaDS9800 (Bond™ Polymer Refine Detection)

Positive staining on human astrocytoma. The primary antibody was incubated for 30 mins at room temperature. The immunostaining was performed on a Leica Biosystems BOND® RX instrument.

Counterstained with Hematoxylin.

Secondary antibody only control : LeicaDS9800 (Bond™ Polymer Refine Detection)

Heat mediated antigen retrieval was performed with Citrate buffer (pH 6.0, Epitope Retrieval Solution 1) for 20 mins.

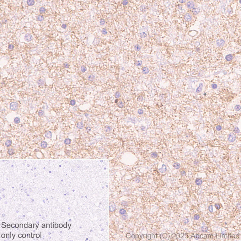
Immunohistochemistry (Formalin/PFA-fixed paraffin-embedded sections) - Anti-ATP1B2 antibody [EPR15460(B)] - BSA and Azide free (AB250809)
  • IHC-P

Lab

Immunohistochemistry (Formalin/PFA-fixed paraffin-embedded sections) - Anti-ATP1B2 antibody [EPR15460(B)] - BSA and Azide free (AB250809)

This data was developed using ab185210, the same antibody clone in a different buffer formulation.

Immunohistochemical analysis of paraffin-embedded human cerebrum labelling ATP1B2 with ab185210 at 1/2000 dilution (0.498 ug/ml), followed by a ready to use LeicaDS9800 (Bond™ Polymer Refine Detection)

Positive staining on human cerebrum. The primary antibody was incubated for 30 mins at room temperature. The immunostaining was performed on a Leica Biosystems BOND® RX instrument.

Counterstained with Hematoxylin.

Secondary antibody only control : LeicaDS9800 (Bond™ Polymer Refine Detection)

Heat mediated antigen retrieval was performed with Citrate buffer (pH 6.0, Epitope Retrieval Solution 1) for 20 mins.

Immunohistochemistry (Formalin/PFA-fixed paraffin-embedded sections) - Anti-ATP1B2 antibody [EPR15460(B)] - BSA and Azide free (AB250809)
  • IHC-P

Lab

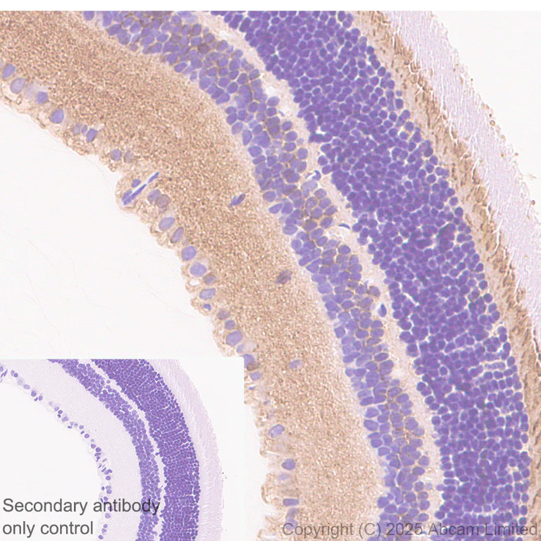
Immunohistochemistry (Formalin/PFA-fixed paraffin-embedded sections) - Anti-ATP1B2 antibody [EPR15460(B)] - BSA and Azide free (AB250809)

This data was developed using ab185210, the same antibody clone in a different buffer formulation.

Immunohistochemical analysis of paraffin-embedded human retina labelling ATP1B2 with ab185210 at 1/2000 dilution (0.498 ug/ml), followed by a ready to use LeicaDS9800 (Bond™ Polymer Refine Detection)

Positive staining on human retina. The primary antibody was incubated for 30 mins at room temperature. The immunostaining was performed on a Leica Biosystems BOND® RX instrument.

Counterstained with Hematoxylin.

Secondary antibody only control : LeicaDS9800 (Bond™ Polymer Refine Detection)

Heat mediated antigen retrieval was performed with Citrate buffer (pH 6.0, Epitope Retrieval Solution 1) for 20 mins.

Immunoprecipitation - Anti-ATP1B2 antibody [EPR15460(B)] - BSA and Azide free (AB250809)
  • IP

Supplier Data

Immunoprecipitation - Anti-ATP1B2 antibody [EPR15460(B)] - BSA and Azide free (AB250809)

This data was developed using ab185210, the same antibody clone in a different buffer formulation.

Western blot analysis of immunoprecipitation pellet from Human cerebellum lysate immunoprecipitated using ab185210 at 1/50 dilution (lane 1) or PBS control (lane 2).
Secondary : Anti-Rabbit IgG (HRP), specific to the non-reduced form of IgG at 1/1500 dilution.

All lanes:

Immunoprecipitation - Anti-ATP1B2 antibody [EPR15460(B)] (<a href='/en-us/products/primary-antibodies/atp1b2-antibody-epr15460b-ab185210'>ab185210</a>)

Predicted band size: 33 kDa

false

Immunohistochemistry (Formalin/PFA-fixed paraffin-embedded sections) - Anti-ATP1B2 antibody [EPR15460(B)] - BSA and Azide free (AB250809)
  • IHC-P

Lab

Immunohistochemistry (Formalin/PFA-fixed paraffin-embedded sections) - Anti-ATP1B2 antibody [EPR15460(B)] - BSA and Azide free (AB250809)

This data was developed using ab185210, the same antibody clone in a different buffer formulation.

Immunohistochemical analysis of paraffin-embedded rat cerebrum labelling ATP1B2 with ab185210 at 1/5000 dilution (0.199 ug/ml), followed by a ready to use LeicaDS9800 (Bond™ Polymer Refine Detection)

Positive staining on rat cerebrum. The primary antibody was incubated for 30 mins at room temperature. The immunostaining was performed on a Leica Biosystems BOND® RX instrument.

Counterstained with Hematoxylin.

Secondary antibody only control : LeicaDS9800 (Bond™ Polymer Refine Detection)

Heat mediated antigen retrieval was performed with Citrate buffer (pH 6.0, Epitope Retrieval Solution 1) for 20 mins.

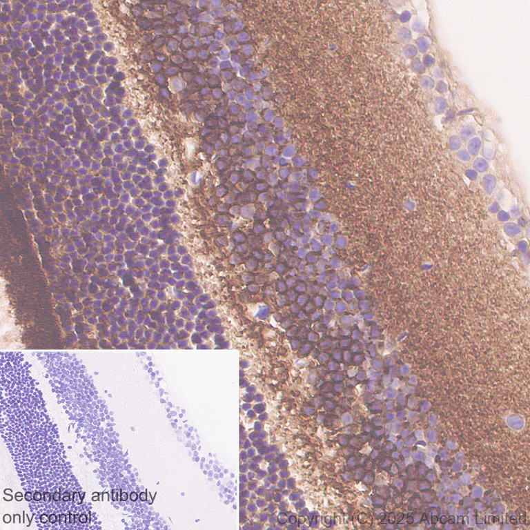
Immunohistochemistry (Formalin/PFA-fixed paraffin-embedded sections) - Anti-ATP1B2 antibody [EPR15460(B)] - BSA and Azide free (AB250809)
  • IHC-P

Lab

Immunohistochemistry (Formalin/PFA-fixed paraffin-embedded sections) - Anti-ATP1B2 antibody [EPR15460(B)] - BSA and Azide free (AB250809)

This data was developed using ab185210, the same antibody clone in a different buffer formulation.

Immunohistochemical analysis of paraffin-embedded mouse retina labelling ATP1B2 with ab185210 at 1/5000 dilution (0.199 ug/ml), followed by a ready to use LeicaDS9800 (Bond™ Polymer Refine Detection)

Positive staining on mouse retina. The primary antibody was incubated for 30 mins at room temperature. The immunostaining was performed on a Leica Biosystems BOND® RX instrument.

Counterstained with Hematoxylin.

Secondary antibody only control : LeicaDS9800 (Bond™ Polymer Refine Detection)

Heat mediated antigen retrieval was performed with Citrate buffer (pH 6.0, Epitope Retrieval Solution 1) for 20 mins.

Immunohistochemistry (Formalin/PFA-fixed paraffin-embedded sections) - Anti-ATP1B2 antibody [EPR15460(B)] - BSA and Azide free (AB250809)
  • IHC-P

Lab

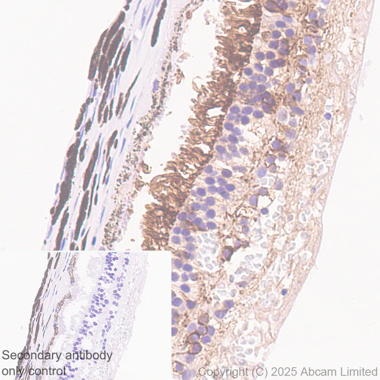
Immunohistochemistry (Formalin/PFA-fixed paraffin-embedded sections) - Anti-ATP1B2 antibody [EPR15460(B)] - BSA and Azide free (AB250809)

This data was developed using ab185210, the same antibody clone in a different buffer formulation.

Immunohistochemical analysis of paraffin-embedded rat retina labelling ATP1B2 with ab185210 at 1/5000 dilution (0.199 ug/ml), followed by a ready to use LeicaDS9800 (Bond™ Polymer Refine Detection)

Positive staining on rat retina. The primary antibody was incubated for 30 mins at room temperature. The immunostaining was performed on a Leica Biosystems BOND® RX instrument.

Counterstained with Hematoxylin.

Secondary antibody only control : LeicaDS9800 (Bond™ Polymer Refine Detection)

Heat mediated antigen retrieval was performed with Citrate buffer (pH 6.0, Epitope Retrieval Solution 1) for 20 mins.

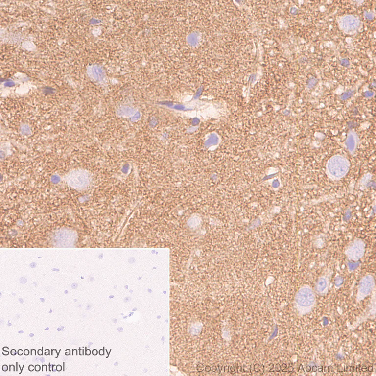
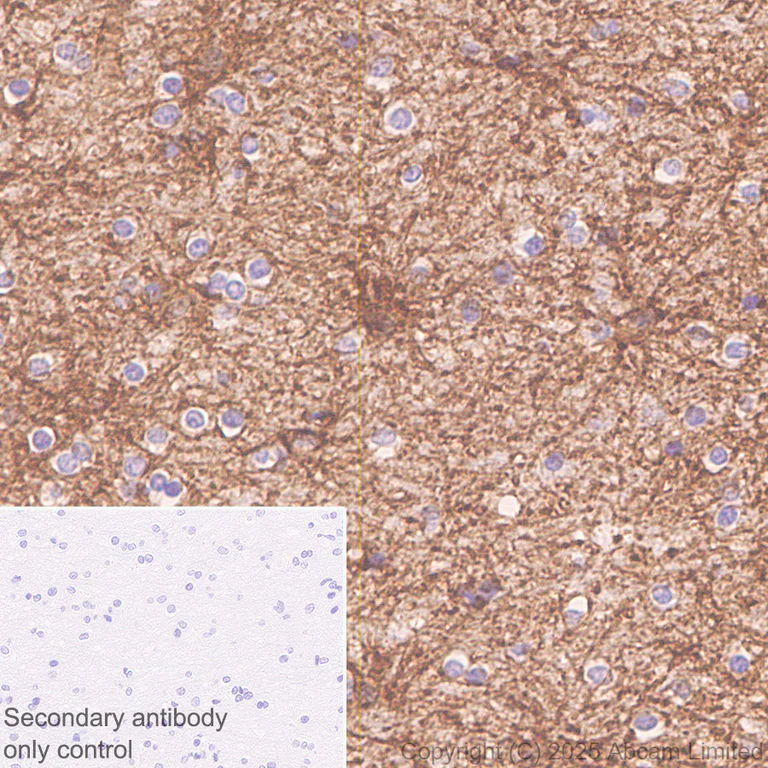
Immunohistochemistry (Formalin/PFA-fixed paraffin-embedded sections) - Anti-ATP1B2 antibody [EPR15460(B)] - BSA and Azide free (AB250809)
  • IHC-P

Lab

Immunohistochemistry (Formalin/PFA-fixed paraffin-embedded sections) - Anti-ATP1B2 antibody [EPR15460(B)] - BSA and Azide free (AB250809)

This data was developed using ab185210, the same antibody clone in a different buffer formulation.

Immunohistochemical analysis of paraffin-embedded mouse cerebrum labelling ATP1B2 with ab185210 at 1/5000 dilution (0.199 ug/ml), followed by a ready to use LeicaDS9800 (Bond™ Polymer Refine Detection)

Positive staining on mouse cerebrum. The primary antibody was incubated for 30 mins at room temperature. The immunostaining was performed on a Leica Biosystems BOND® RX instrument.

Counterstained with Hematoxylin.

Secondary antibody only control : LeicaDS9800 (Bond™ Polymer Refine Detection)

Heat mediated antigen retrieval was performed with Citrate buffer (pH 6.0, Epitope Retrieval Solution 1) for 20 mins.

Western blot - Anti-ATP1B2 antibody [EPR15460(B)] - BSA and Azide free (AB250809)
  • WB

Supplier Data

Western blot - Anti-ATP1B2 antibody [EPR15460(B)] - BSA and Azide free (AB250809)

This data was developed using ab185210, the same antibody clone in a different buffer formulation.

All lanes:

Western blot - Anti-ATP1B2 antibody [EPR15460(B)] (<a href='/en-us/products/primary-antibodies/atp1b2-antibody-epr15460b-ab185210'>ab185210</a>) at 1/20000 dilution

All lanes:

Human cerebellum lysate at 20 µg

Secondary

All lanes:

Goat Anti-Rabbit IgG, (H+L), Peroxidase conjugated at 1/1000 dilution

Predicted band size: 33 kDa

false

Western blot - Anti-ATP1B2 antibody [EPR15460(B)] - BSA and Azide free (AB250809)
  • WB

Supplier Data

Western blot - Anti-ATP1B2 antibody [EPR15460(B)] - BSA and Azide free (AB250809)

This data was developed using ab185210, the same antibody clone in a different buffer formulation.

All lanes:

Western blot - Anti-ATP1B2 antibody [EPR15460(B)] (<a href='/en-us/products/primary-antibodies/atp1b2-antibody-epr15460b-ab185210'>ab185210</a>) at 1/5000 dilution

All lanes:

Y79 (Human retinoblastoma cell line) cell lysate at 20 µg

Secondary

All lanes:

Goat Anti-Rabbit IgG, (H+L), Peroxidase conjugated at 1/1000 dilution

Predicted band size: 33 kDa

false

Immunohistochemistry (Formalin/PFA-fixed paraffin-embedded sections) - Anti-ATP1B2 antibody [EPR15460(B)] - BSA and Azide free (AB250809)
  • IHC-P

Lab

Immunohistochemistry (Formalin/PFA-fixed paraffin-embedded sections) - Anti-ATP1B2 antibody [EPR15460(B)] - BSA and Azide free (AB250809)

This data was developed using ab185210, the same antibody clone in a different buffer formulation.

Immunohistochemical analysis of paraffin-embedded mouse liver labelling ATP1B2 with ab185210 at 1/5000 dilution (0.199 ug/ml), followed by a ready to use LeicaDS9800 (Bond™ Polymer Refine Detection)

Negative control : no staining on mouse liver. The primary antibody was incubated for 30 mins at room temperature. The immunostaining was performed on a Leica Biosystems BOND® RX instrument.

Counterstained with Hematoxylin.

Secondary antibody only control : LeicaDS9800 (Bond™ Polymer Refine Detection)

Heat mediated antigen retrieval was performed with Citrate buffer (pH 6.0, Epitope Retrieval Solution 1) for 20 mins.

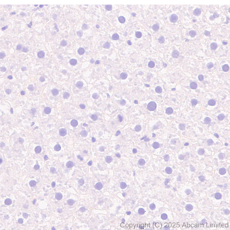
Immunohistochemistry (Formalin/PFA-fixed paraffin-embedded sections) - Anti-ATP1B2 antibody [EPR15460(B)] - BSA and Azide free (AB250809)
  • IHC-P

Lab

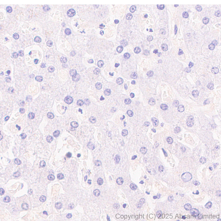
Immunohistochemistry (Formalin/PFA-fixed paraffin-embedded sections) - Anti-ATP1B2 antibody [EPR15460(B)] - BSA and Azide free (AB250809)

This data was developed using ab185210, the same antibody clone in a different buffer formulation.

Immunohistochemical analysis of paraffin-embedded human liver labelling ATP1B2 with ab185210 at 1/2000 dilution (0.498 ug/ml), followed by a ready to use LeicaDS9800 (Bond™ Polymer Refine Detection)

Negative control : no staining on human liver. The primary antibody was incubated for 30 mins at room temperature. The immunostaining was performed on a Leica Biosystems BOND® RX instrument.

Counterstained with Hematoxylin.

Secondary antibody only control : LeicaDS9800 (Bond™ Polymer Refine Detection)

Heat mediated antigen retrieval was performed with Citrate buffer (pH 6.0, Epitope Retrieval Solution 1) for 20 mins.

Immunohistochemistry (Formalin/PFA-fixed paraffin-embedded sections) - Anti-ATP1B2 antibody [EPR15460(B)] - BSA and Azide free (AB250809)
  • IHC-P

Lab

Immunohistochemistry (Formalin/PFA-fixed paraffin-embedded sections) - Anti-ATP1B2 antibody [EPR15460(B)] - BSA and Azide free (AB250809)

This data was developed using ab185210, the same antibody clone in a different buffer formulation.

Immunohistochemical analysis of paraffin-embedded rat liver labelling ATP1B2 with ab185210 at 1/5000 dilution (0.199 ug/ml), followed by a ready to use LeicaDS9800 (Bond™ Polymer Refine Detection)

Negative control : no staining on rat liver. The primary antibody was incubated for 30 mins at room temperature. The immunostaining was performed on a Leica Biosystems BOND® RX instrument.

Counterstained with Hematoxylin.

Secondary antibody only control : LeicaDS9800 (Bond™ Polymer Refine Detection)

Heat mediated antigen retrieval was performed with Citrate buffer (pH 6.0, Epitope Retrieval Solution 1) for 20 mins.

Key facts

Host species

Rabbit

Clonality

Monoclonal

Clone number

EPR15460(B)

Isotype

IgG

Carrier free

Yes

Reacts with

Human

Applications

WB, IP

applications

Immunogen

The exact immunogen used to generate this antibody is proprietary information.

Reactivity data

{ "title": "Reactivity Data", "filters": { "stats": ["", "Species", "Dilution Info", "Notes"], "tabs": { "all-applications": {"fullname" : "All Applications", "shortname": "All Applications"}, "IP" : {"fullname" : "Immunoprecipitation", "shortname":"IP"}, "WB" : {"fullname" : "Western blot", "shortname":"WB"} }, "product-promise": { "all": "all", "testedAndGuaranteed": "tested", "guaranteed": "expected", "predicted": "predicted", "notRecommended": "not-recommended" } }, "values": { "Human": { "IP-species-checked": "testedAndGuaranteed", "IP-species-dilution-info": "", "IP-species-notes": "<p></p>", "WB-species-checked": "testedAndGuaranteed", "WB-species-dilution-info": "", "WB-species-notes": "<p></p>" }, "Mouse": { "IP-species-checked": "predicted", "IP-species-dilution-info": "", "IP-species-notes": "", "WB-species-checked": "predicted", "WB-species-dilution-info": "", "WB-species-notes": "" }, "Rat": { "IP-species-checked": "predicted", "IP-species-dilution-info": "", "IP-species-notes": "", "WB-species-checked": "predicted", "WB-species-dilution-info": "", "WB-species-notes": "" } } }

Product details

ab250809 is the carrier-free version of ab185210.

Patented technology
Our RabMAb® technology is a patented hybridoma-based technology for making rabbit monoclonal antibodies. For details on our patents, please refer to RabMAb® patents.

What are the advantages of a recombinant monoclonal antibody?
This product is a recombinant monoclonal antibody, which offers several advantages including:

  • - High batch-to-batch consistency and reproducibility
  • - Improved sensitivity and specificity
  • - Long-term security of supply
  • - Animal-free batch production

For more information, read more on recombinant antibodies.

Conjugation ready
Our carrier-free antibodies are typically supplied in a PBS-only formulation, purified and free of BSA, sodium azide and glycerol. This conjugation-ready format is designed for use with fluorochromes, metal isotopes, oligonucleotides, and enzymes, which makes them ideal for antibody labelling, functional and cell-based assays, flow-based assays (e.g. mass cytometry) and Multiplex Imaging applications.

Use our conjugation kits for antibody conjugates that are ready-to-use in as little as 20 minutes with 1 minute hands-on-time and 100% antibody recovery: available for fluorescent dyes, HRP, biotin and gold.

Compatibility
This product is compatible with the Maxpar® Antibody Labeling Kit from Fluidigm, without the need for antibody preparation. Maxpar® is a trademark of Fluidigm Canada Inc.

Properties and storage information

Form
Liquid
Purification technique
Affinity purification Protein A
Storage buffer
pH: 7.2 - 7.4 Constituents: PBS
Shipped at conditions
Blue Ice
Appropriate short-term storage conditions
+4°C
Appropriate long-term storage conditions
+4°C
Storage information
Do Not Freeze

Supplementary information

This supplementary information is collated from multiple sources and compiled automatically.

ATP1B2 also known as Sodium/potassium-transporting ATPase subunit beta-2 is a protein that functions mechanically as part of the Na+/K+ pump essential for maintaining the electrochemical gradients of sodium and potassium ions across the plasma membrane. This protein is approximately 40 kDa in mass. It is particularly expressed in nervous tissues such as brain and spinal cord but can be found in many other tissues as well. ATP1B2 plays a significant role in ion transport and regulation of cell volume as well as maintaining resting potential.
Biological function summary

ATP1B2 participates in the assembly of the Na+/K+ ATPase enzyme complex a complex vital for proper ion exchange and cellular homeostasis. It stabilizes the enzyme's alpha subunit and ensures correct localization within the cell membrane. This complex is essential for cellular processes like neuronal signaling and muscle contraction as it helps in maintaining the appropriate ion balance within the cells.

Pathways

ATP1B2 is involved in the ion transport pathway important for maintaining cellular ion homeostasis. It is part of pathways such as the sodium reabsorption in kidneys and nerve transmission. In these pathways ATP1B2 works closely with proteins like ATP1A1 the alpha subunit of the Na+/K+ ATPase helping to facilitate the transport of sodium out of and potassium into the cells which is critical for many physiological processes.

ATP1B2 has been linked to conditions such as epilepsy and certain types of congenital heart disease. In epilepsy dysfunctional ion transport due to anomalies in ATP1B2 can lead to abnormal neuronal firing. Another related protein ATP1A2 also plays a part in neurological disorders through similar ion transport mechanisms. In congenital heart disease disruptions in the Na+/K+ pump imaging can affect heart function demonstrating ATP1B2's role in maintaining cardiovascular health.

Product protocols

For this product, it's our understanding that no specific protocols are required. You can visit:

Target data

This is the non-catalytic component of the active enzyme, which catalyzes the hydrolysis of ATP coupled with the exchange of Na(+) and K(+) ions across the plasma membrane. The exact function of the beta-2 subunit is not known.. Mediates cell adhesion of neurons and astrocytes, and promotes neurite outgrowth.
See full target information Sodium/potassium-transporting ATPase subunit beta-2

Product promise

We are committed to supporting your work with high-quality reagents, and we're here for you every step of the way. In the unlikely event that one of our products does not perform as expected, you're protected by our Product Promise.
For full details, please see our Terms & Conditions

Please note: All products are 'FOR RESEARCH USE ONLY. NOT FOR USE IN DIAGNOSTIC OR THERAPEUTIC PROCEDURES'.

For licensing inquiries, please contact partnerships@abcam.com