JavaScript is disabled in your browser. Please enable JavaScript to view this website.
AB185207

Anti-ATP1B2 antibody [EPR15461(B)] - C-terminal

Be the first to review this product! Submit a review

|

(2 Publications)

Rabbit Recombinant Monoclonal ATP1B2 antibody. C-terminal. Suitable for ICC/IF, ICC, IHC-Fr, IHC-P, WB, IP and reacts with Human, Mouse, Rat samples. Cited in 2 publications.

View Alternative Names

Sodium/potassium-transporting ATPase subunit beta-2, Adhesion molecule in glia, Sodium/potassium-dependent ATPase subunit beta-2, AMOG, ATP1B2

26 Images
Immunohistochemistry (Formalin/PFA-fixed paraffin-embedded sections) - Anti-ATP1B2 antibody [EPR15461(B)] - C-terminal (AB185207)
  • IHC-P

Lab

Immunohistochemistry (Formalin/PFA-fixed paraffin-embedded sections) - Anti-ATP1B2 antibody [EPR15461(B)] - C-terminal (AB185207)

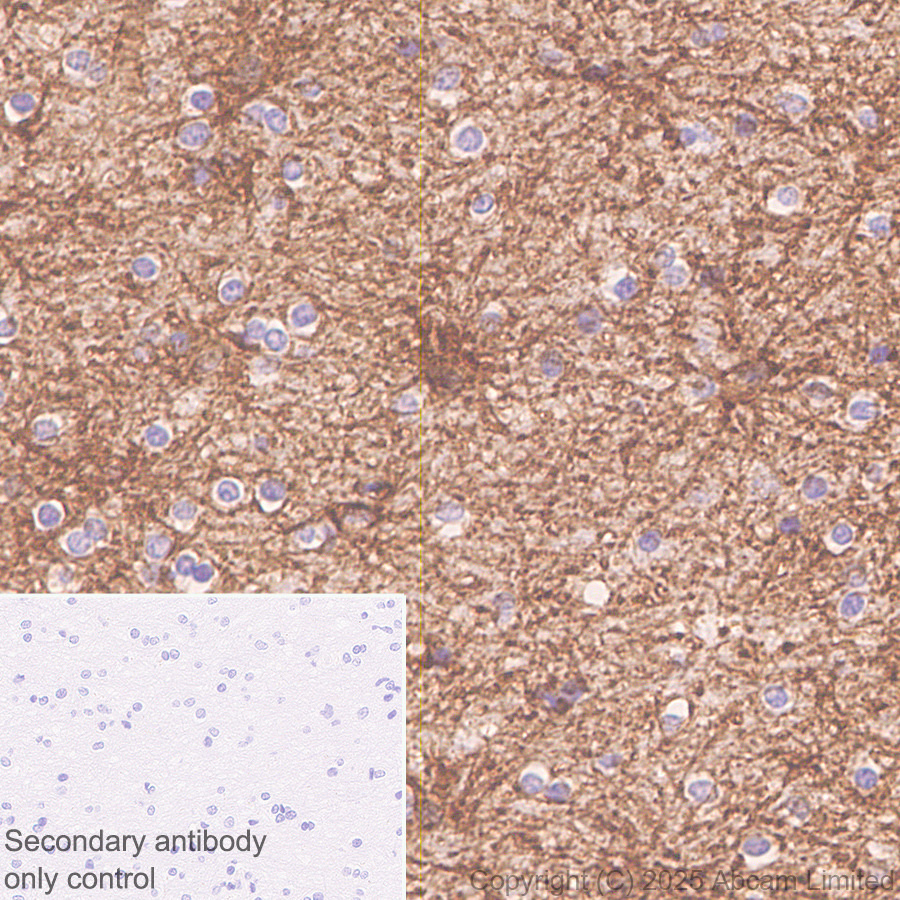
Immunohistochemical analysis of paraffin-embedded human cerebrum labelling ATP1B2 with ab185207 at 1/5000 dilution (0.205 ug/ml), followed by a ready to use LeicaDS9800 (Bond™ Polymer Refine Detection)

Positive staining on human cerebrum. The primary antibody was incubated for 30 mins at room temperature. The immunostaining was performed on a Leica Biosystems BOND® RX instrument.

Counterstained with Hematoxylin.

Secondary antibody only control : LeicaDS9800 (Bond™ Polymer Refine Detection)

Heat mediated antigen retrieval was performed with Citrate buffer (pH 6.0, Epitope Retrieval Solution 1) for 20 mins.

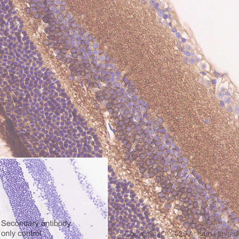
Immunohistochemistry (Formalin/PFA-fixed paraffin-embedded sections) - Anti-ATP1B2 antibody [EPR15461(B)] - C-terminal (AB185207)
  • IHC-P

Lab

Immunohistochemistry (Formalin/PFA-fixed paraffin-embedded sections) - Anti-ATP1B2 antibody [EPR15461(B)] - C-terminal (AB185207)

Immunohistochemical analysis of paraffin-embedded human retina labelling ATP1B2 with ab185207 at 1/5000 dilution (0.205 ug/ml), followed by a ready to use LeicaDS9800 (Bond™ Polymer Refine Detection)

Positive staining on human retina. The primary antibody was incubated for 30 mins at room temperature. The immunostaining was performed on a Leica Biosystems BOND® RX instrument.

Counterstained with Hematoxylin.

Secondary antibody only control : LeicaDS9800 (Bond™ Polymer Refine Detection)

Heat mediated antigen retrieval was performed with Citrate buffer (pH 6.0, Epitope Retrieval Solution 1) for 20 mins.

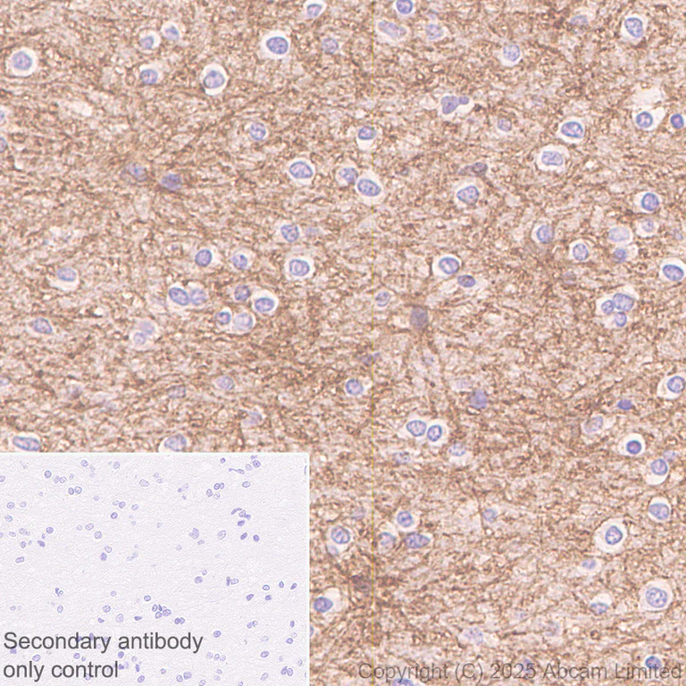
Immunohistochemistry (Formalin/PFA-fixed paraffin-embedded sections) - Anti-ATP1B2 antibody [EPR15461(B)] - C-terminal (AB185207)
  • IHC-P

Lab

Immunohistochemistry (Formalin/PFA-fixed paraffin-embedded sections) - Anti-ATP1B2 antibody [EPR15461(B)] - C-terminal (AB185207)

Immunohistochemical analysis of paraffin-embedded human astrocytoma labelling ATP1B2 with ab185207 at 1/5000 dilution (0.205 ug/ml), followed by a ready to use LeicaDS9800 (Bond™ Polymer Refine Detection)

Positive staining on human astrocytoma. The primary antibody was incubated for 30 mins at room temperature. The immunostaining was performed on a Leica Biosystems BOND® RX instrument.

Counterstained with Hematoxylin.

Secondary antibody only control : LeicaDS9800 (Bond™ Polymer Refine Detection)

Heat mediated antigen retrieval was performed with Citrate buffer (pH 6.0, Epitope Retrieval Solution 1) for 20 mins.

Immunocytochemistry/ Immunofluorescence - Anti-ATP1B2 antibody [EPR15461(B)] - C-terminal (AB185207)
  • ICC/IF

Lab

Immunocytochemistry/ Immunofluorescence - Anti-ATP1B2 antibody [EPR15461(B)] - C-terminal (AB185207)

Immunofluorescent analysis of 4% Paraformaldehyde fixed, 0.1% Triton X-100 permeabilized Y79 cell line with ab185207 at 1/50 dilution followed by Goat Anti-Rabbit IgG H&L (Alexa Fluor® 488) preadsorbed at 1/1000 (Green). ab7291 Anti-alpha Tubulin mouse monoclonal antibody was used as a counterstain at a 1/1000 dilution followed by ab150120 Goat Anti-Mouse IgG H&L (Alexa Fluor® 594) preadsorbed at a 1/1000 dilution (Magenta). Confocal image showing cytoplasmic staining in Y79 cell line (shown in green). The counterstain was observed in magenta. Nuclear DNA was labelled with DAPI (shown in blue). Image was taken with a confocal microscope (Leica-Microsystems, TCS SP8). Negative control : HeLa

Immunoprecipitation - Anti-ATP1B2 antibody [EPR15461(B)] - C-terminal (AB185207)
  • IP

Supplier Data

Immunoprecipitation - Anti-ATP1B2 antibody [EPR15461(B)] - C-terminal (AB185207)

Western blot analysis of ATP1B2 in immunoprecipitation pellets from Human Y79 lysate. Lane 1 ab185207 used at 1/50 dilution. Lane 2 PBS negative control Secondary antibody Anti-Rabbit IgG (HRP), specific to the non-reduced form of IgG at 1/1500.

All lanes:

Immunoprecipitation - Anti-ATP1B2 antibody [EPR15461(B)] - C-terminal (ab185207)

Predicted band size: 33 kDa

false

Immunocytochemistry/ Immunofluorescence - Anti-ATP1B2 antibody [EPR15461(B)] - C-terminal (AB185207)
  • ICC/IF

Lab

Immunocytochemistry/ Immunofluorescence - Anti-ATP1B2 antibody [EPR15461(B)] - C-terminal (AB185207)

Immunofluorescent analysis of 4% Paraformaldehyde fixed, 0.1% Triton X-100 permeabilized rat primary neural/glia cells with ab185207 at 1/100 dilution followed by Goat Anti-Rabbit IgG H&L (Alexa Fluor® 488) preadsorbed at 1/1000 (Green). ab11267 Anti-MAP2 mouse monoclonal antibody was used as a counterstain at a 1/500 dilution followed by ab150120 Goat Anti-Mouse IgG H&L (Alexa Fluor® 594) preadsorbed at a 1/1000 dilution (Magenta). Confocal image showing cytoplasmic staining in rat primary neural/glia cell (shown in green). The counterstain was observed in magenta. Nuclear DNA was labelled with DAPI (shown in blue). Image was taken with a confocal microscope (Leica-Microsystems, TCS SP8). Confocal scanning Z step was set as 0.3 μm followed by image processing with maximum Z projection.

Immunohistochemistry (Frozen sections) - Anti-ATP1B2 antibody [EPR15461(B)] - C-terminal (AB185207)
  • IHC-Fr

Lab

Immunohistochemistry (Frozen sections) - Anti-ATP1B2 antibody [EPR15461(B)] - C-terminal (AB185207)

Immunohistochemical analysis of 4% PFA-fixed/ 0.2% Triton X-100 permeabilized frozen mouse cerebellum labeling ATP1B2 (ab185207), NeuN (ab190565) and GFAP (ab201732) at 1/400 dilution (2.56 µg/ml). Panel A : merged staining of anti-ATP1B2 (ab185207, green), anti-NeuN (ab190565, white) and anti-GFAP (ab201732, magenta) on mouse cerebellum. Panel B : anti-ATP1B2 stained on mouse cerebellum. Panel C : anti-NeuN stained in neurons of mouse cerebellum. Panel D : anti-GFAP stained in astrocytes of mouse cerebellum. The section was incubated in two rounds of staining : in the order of ab185207 and ab190565, ab201732 for 1 hr at room temperature. The nuclear counterstain was DAPI (Blue). The section was then mounted using Fluoromount®. The immunostaining was performed on a Leica Biosystems BOND® RX instrument. Image was taken with a confocal microscope (Leica-Microsystems, TCS SP8).

Immunohistochemistry (Formalin/PFA-fixed paraffin-embedded sections) - Anti-ATP1B2 antibody [EPR15461(B)] - C-terminal (AB185207)
  • IHC-P

Lab

Immunohistochemistry (Formalin/PFA-fixed paraffin-embedded sections) - Anti-ATP1B2 antibody [EPR15461(B)] - C-terminal (AB185207)

Immunohistochemical analysis of paraffin-embedded mouse retina labelling ATP1B2 with ab185207 at 1/5000 dilution (0.205 ug/ml), followed by a ready to use LeicaDS9800 (Bond™ Polymer Refine Detection)

Positive staining on mouse retina. The primary antibody was incubated for 30 mins at room temperature. The immunostaining was performed on a Leica Biosystems BOND® RX instrument.

Counterstained with Hematoxylin.

Secondary antibody only control : LeicaDS9800 (Bond™ Polymer Refine Detection)

Heat mediated antigen retrieval was performed with Citrate buffer (pH 6.0, Epitope Retrieval Solution 1) for 20 mins.

Immunocytochemistry/ Immunofluorescence - Anti-ATP1B2 antibody [EPR15461(B)] - C-terminal (AB185207)
  • ICC/IF

Supplier Data

Immunocytochemistry/ Immunofluorescence - Anti-ATP1B2 antibody [EPR15461(B)] - C-terminal (AB185207)

Immunofluorescent analysis of 4% Paraformaldehyde fixed, 0.1% Triton X-100 permeabilized mouse primary neural/glia cells with ab185207 at 1/100 dilution followed by Goat Anti-Rabbit IgG H&L (Alexa Fluor® 488) preadsorbed at 1/1000 (Green). ab11267 Anti-MAP2 mouse monoclonal antibody was used as a counterstain at a 1/500 dilution followed by ab150120 Goat Anti-Mouse IgG H&L (Alexa Fluor® 594) preadsorbed at a 1/1000 dilution (Magenta). Confocal image showing cytoplasmic staining in mouse primary neural/glia cell (shown in green). The counterstain was observed in magenta. Nuclear DNA was labelled with DAPI (shown in blue). Image was taken with a confocal microscope (Leica-Microsystems, TCS SP8). Confocal scanning Z step was set as 0.3 μm followed by image processing with maximum Z projection.

Immunohistochemistry (Formalin/PFA-fixed paraffin-embedded sections) - Anti-ATP1B2 antibody [EPR15461(B)] - C-terminal (AB185207)
  • IHC-P

Lab

Immunohistochemistry (Formalin/PFA-fixed paraffin-embedded sections) - Anti-ATP1B2 antibody [EPR15461(B)] - C-terminal (AB185207)

Immunohistochemical analysis of paraffin-embedded rat retina labelling ATP1B2 with ab185207 at 1/5000 dilution (0.205 ug/ml), followed by a ready to use LeicaDS9800 (Bond™ Polymer Refine Detection)

Positive staining on rat retina. The primary antibody was incubated for 30 mins at room temperature. The immunostaining was performed on a Leica Biosystems BOND® RX instrument.

Counterstained with Hematoxylin.

Secondary antibody only control : LeicaDS9800 (Bond™ Polymer Refine Detection)

Heat mediated antigen retrieval was performed with Citrate buffer (pH 6.0, Epitope Retrieval Solution 1) for 20 mins.

Immunohistochemistry (Formalin/PFA-fixed paraffin-embedded sections) - Anti-ATP1B2 antibody [EPR15461(B)] - C-terminal (AB185207)
  • IHC-P

Lab

Immunohistochemistry (Formalin/PFA-fixed paraffin-embedded sections) - Anti-ATP1B2 antibody [EPR15461(B)] - C-terminal (AB185207)

Immunohistochemical analysis of paraffin-embedded rat cerebrum labelling ATP1B2 with ab185207 at 1/5000 dilution (0.205 ug/ml), followed by a ready to use LeicaDS9800 (Bond™ Polymer Refine Detection)

Positive staining on rat cerebrum. The primary antibody was incubated for 30 mins at room temperature. The immunostaining was performed on a Leica Biosystems BOND® RX instrument.

Counterstained with Hematoxylin.

Secondary antibody only control : LeicaDS9800 (Bond™ Polymer Refine Detection)

Heat mediated antigen retrieval was performed with Citrate buffer (pH 6.0, Epitope Retrieval Solution 1) for 20 mins.

Immunohistochemistry (Frozen sections) - Anti-ATP1B2 antibody [EPR15461(B)] - C-terminal (AB185207)
  • IHC-Fr

Lab

Immunohistochemistry (Frozen sections) - Anti-ATP1B2 antibody [EPR15461(B)] - C-terminal (AB185207)

Immunohistochemical analysis of 4% PFA-fixed/ 0.2% Triton X-100 permeabilized frozen rat cerebellum labeling ATP1B2 (ab185207), NeuN (ab190565) and GFAP (ab201732) at 1/400 dilution (2.56 µg/ml). Panel A : merged staining of anti-ATP1B2 (ab185207, green), anti-NeuN (ab190565, white) and anti-GFAP (ab201732, magenta) on rat cerebellum. Panel B : anti-ATP1B2 stained on rat cerebellum. Panel C : anti-NeuN stained in neurons of rat cerebellum. Panel D : anti-GFAP stained in astrocytes of rat cerebellum. The section was incubated in two rounds of staining : in the order of ab185207 and ab190565, ab201732 for 1 hr at room temperature. The nuclear counterstain was DAPI (Blue). The section was then mounted using Fluoromount®.The immunostaining was performed on a Leica Biosystems BOND® RX instrument. Image was taken with a confocal microscope (Leica-Microsystems, TCS SP8).

Immunohistochemistry (Formalin/PFA-fixed paraffin-embedded sections) - Anti-ATP1B2 antibody [EPR15461(B)] - C-terminal (AB185207)
  • IHC-P

Lab

Immunohistochemistry (Formalin/PFA-fixed paraffin-embedded sections) - Anti-ATP1B2 antibody [EPR15461(B)] - C-terminal (AB185207)

Immunohistochemical analysis of paraffin-embedded mouse cerebrum labelling ATP1B2 with ab185207 at 1/5000 dilution (0.205 ug/ml), followed by a ready to use LeicaDS9800 (Bond™ Polymer Refine Detection)

Positive staining on mouse cerebrum. The primary antibody was incubated for 30 mins at room temperature. The immunostaining was performed on a Leica Biosystems BOND® RX instrument.

Counterstained with Hematoxylin.

Secondary antibody only control : LeicaDS9800 (Bond™ Polymer Refine Detection)

Heat mediated antigen retrieval was performed with Citrate buffer (pH 6.0, Epitope Retrieval Solution 1) for 20 mins.

Western blot - Anti-ATP1B2 antibody [EPR15461(B)] - C-terminal (AB185207)
  • WB

Lab

Western blot - Anti-ATP1B2 antibody [EPR15461(B)] - C-terminal (AB185207)

In Western blot, Anti-GAPDH antibody [EPR16891] - Loading Control (ab181602) staining at 1/200000 dilution.

Blocking and diluting buffer and concentration : 5% NFDM/TBST.

Low expression : liver, testis and spleen.

All lanes:

Western blot - Anti-ATP1B2 antibody [EPR15461(B)] - C-terminal (ab185207) at 1/1000 dilution

Lane 1:

Human cerebellum tissue lysate at 20 µg

Lane 2:

Human liver tissue lysate at 20 µg

Lane 3:

Human testis tissue lysate at 20 µg

Lane 4:

Human spleen tissue lysate at 20 µg

Secondary

All lanes:

Western blot - Goat Anti-Rabbit IgG H&L (HRP) (<a href='/en-us/products/secondary-antibodies/goat-rabbit-igg-h-l-hrp-ab97051'>ab97051</a>) at 1/20000 dilution

Observed band size: 40-50 kDa,36 kDa

false

Exposure time: 1s

Western blot - Anti-ATP1B2 antibody [EPR15461(B)] - C-terminal (AB185207)
  • WB

Supplier Data

Western blot - Anti-ATP1B2 antibody [EPR15461(B)] - C-terminal (AB185207)

All lanes:

Western blot - Anti-ATP1B2 antibody [EPR15461(B)] - C-terminal (ab185207) at 1/20000 dilution

All lanes:

Human cerebellum lysate at 10 µg

Secondary

All lanes:

Anti-Rabbit IgG (HRP), specific to the non-reduced form of IgG at 1/1000 dilution

Predicted band size: 33 kDa

false

Western blot - Anti-ATP1B2 antibody [EPR15461(B)] - C-terminal (AB185207)
  • WB

Lab

Western blot - Anti-ATP1B2 antibody [EPR15461(B)] - C-terminal (AB185207)

In Western blot, Anti-GAPDH antibody [EPR16891] - Loading Control (ab181602) staining at 1/200000 dilution.

Blocking and diluting buffer and concentration : 5% NFDM/TBST.

Low expression : heart, kidney and spleen.

All lanes:

Western blot - Anti-ATP1B2 antibody [EPR15461(B)] - C-terminal (ab185207) at 1/1000 dilution

Lane 1:

Mouse brain tissue lysate at 20 µg

Lane 2:

Mouse heart tissue lysate at 20 µg

Lane 3:

Mouse kidney tissue lysate at 20 µg

Lane 4:

Mouse spleen tissue lysate at 20 µg

Secondary

All lanes:

Western blot - Goat Anti-Rabbit IgG H&L (HRP) (<a href='/en-us/products/secondary-antibodies/goat-rabbit-igg-h-l-hrp-ab97051'>ab97051</a>) at 1/20000 dilution

Observed band size: 40-50 kDa,36 kDa

false

Exposure time: 1s

Western blot - Anti-ATP1B2 antibody [EPR15461(B)] - C-terminal (AB185207)
  • WB

Lab

Western blot - Anti-ATP1B2 antibody [EPR15461(B)] - C-terminal (AB185207)

In Western blot, Anti-GAPDH antibody [EPR16891] - Loading Control (ab181602) staining at 1/200000 dilution.

Blocking and diluting buffer and concentration : 5% NFDM/TBST.

Low expression : heart, kidney and spleen.

All lanes:

Western blot - Anti-ATP1B2 antibody [EPR15461(B)] - C-terminal (ab185207) at 1/1000 dilution

Lane 1:

Rat brain tissue lysate at 20 µg

Lane 2:

Rat heart tissue lysate at 20 µg

Lane 3:

Rat kidney tissue lysate at 20 µg

Lane 4:

Rat spleen tissue lysate at 20 µg

Secondary

All lanes:

Western blot - Goat Anti-Rabbit IgG H&L (HRP) (<a href='/en-us/products/secondary-antibodies/goat-rabbit-igg-h-l-hrp-ab97051'>ab97051</a>) at 1/20000 dilution

Observed band size: 40-50 kDa,36 kDa

false

Exposure time: 1s

Western blot - Anti-ATP1B2 antibody [EPR15461(B)] - C-terminal (AB185207)
  • WB

Lab

Western blot - Anti-ATP1B2 antibody [EPR15461(B)] - C-terminal (AB185207)

In Western blot, secondary antibody Goat Anti-Rabbit IgG, (H+L), Peroxidase conjugated (ab97051) was used at 1/20000 dilution.

Blocking and diluting buffer and concentration : 5% NFDM/TBST.

All lanes:

Western blot - Anti-ATP1B2 antibody [EPR15461(B)] - C-terminal (ab185207) at 1/1000 dilution

All lanes:

Mouse retina tissue lysate at 20 µg

Secondary

All lanes:

Western blot - Goat Anti-Rabbit IgG H&L (HRP) (<a href='/en-us/products/secondary-antibodies/goat-rabbit-igg-h-l-hrp-ab97051'>ab97051</a>) at 1/20000 dilution

Observed band size: 40-50 kDa

false

Exposure time: 1s

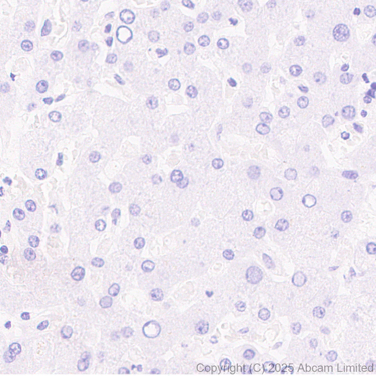
Immunohistochemistry (Formalin/PFA-fixed paraffin-embedded sections) - Anti-ATP1B2 antibody [EPR15461(B)] - C-terminal (AB185207)
  • IHC-P

Lab

Immunohistochemistry (Formalin/PFA-fixed paraffin-embedded sections) - Anti-ATP1B2 antibody [EPR15461(B)] - C-terminal (AB185207)

Immunohistochemical analysis of paraffin-embedded human liver labelling ATP1B2 with ab185207 at 1/5000 dilution (0.205 ug/ml), followed by a ready to use LeicaDS9800 (Bond™ Polymer Refine Detection)

negative control : no staining on human liver. The primary antibody was incubated for 30 mins at room temperature. The immunostaining was performed on a Leica Biosystems BOND® RX instrument.

Counterstained with Hematoxylin.

Secondary antibody only control : LeicaDS9800 (Bond™ Polymer Refine Detection)

Heat mediated antigen retrieval was performed with Citrate buffer (pH 6.0, Epitope Retrieval Solution 1) for 20 mins.

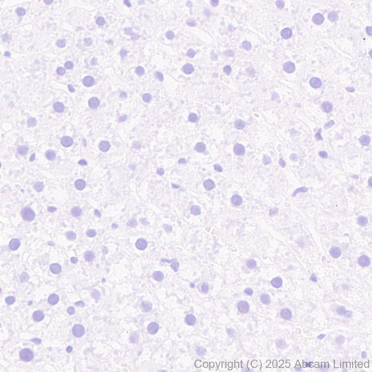
Immunohistochemistry (Formalin/PFA-fixed paraffin-embedded sections) - Anti-ATP1B2 antibody [EPR15461(B)] - C-terminal (AB185207)
  • IHC-P

Lab

Immunohistochemistry (Formalin/PFA-fixed paraffin-embedded sections) - Anti-ATP1B2 antibody [EPR15461(B)] - C-terminal (AB185207)

Immunohistochemical analysis of paraffin-embedded rat liver labelling ATP1B2 with ab185207 at 1/5000 dilution (0.205 ug/ml), followed by a ready to use LeicaDS9800 (Bond™ Polymer Refine Detection)

negative control : no staining on rat liver. The primary antibody was incubated for 30 mins at room temperature. The immunostaining was performed on a Leica Biosystems BOND® RX instrument.

Counterstained with Hematoxylin.

Secondary antibody only control : LeicaDS9800 (Bond™ Polymer Refine Detection)

Heat mediated antigen retrieval was performed with Citrate buffer (pH 6.0, Epitope Retrieval Solution 1) for 20 mins.

Immunohistochemistry (Formalin/PFA-fixed paraffin-embedded sections) - Anti-ATP1B2 antibody [EPR15461(B)] - C-terminal (AB185207)
  • IHC-P

Lab

Immunohistochemistry (Formalin/PFA-fixed paraffin-embedded sections) - Anti-ATP1B2 antibody [EPR15461(B)] - C-terminal (AB185207)

Immunohistochemical analysis of paraffin-embedded mouse liver labelling ATP1B2 with ab185207 at 1/5000 dilution (0.205 ug/ml), followed by a ready to use LeicaDS9800 (Bond™ Polymer Refine Detection)

negative control : no staining on mouse liver. The primary antibody was incubated for 30 mins at room temperature. The immunostaining was performed on a Leica Biosystems BOND® RX instrument.

Counterstained with Hematoxylin.

Secondary antibody only control : LeicaDS9800 (Bond™ Polymer Refine Detection)

Heat mediated antigen retrieval was performed with Citrate buffer (pH 6.0, Epitope Retrieval Solution 1) for 20 mins.

Immunocytochemistry/ Immunofluorescence - Anti-ATP1B2 antibody [EPR15461(B)] - C-terminal (AB185207)
  • ICC/IF

Lab

Immunocytochemistry/ Immunofluorescence - Anti-ATP1B2 antibody [EPR15461(B)] - C-terminal (AB185207)

Immunofluorescent analysis of 4% Paraformaldehyde fixed, 0.1% Triton X-100 permeabilized mouse splenocytes with ab185207 at 1/100 dilution followed by Goat Anti-Rabbit IgG H&L (Alexa Fluor® 488) preadsorbed at 1/1000 (Green). ab7291 Anti-alpha Tubulin mouse monoclonal antibody was used as a counterstain at a 1/1000 dilution followed by ab150120 Goat Anti-Mouse IgG H&L (Alexa Fluor® 594) preadsorbed at a 1/1000 dilution (Magenta). Low expression : Confocal image showing no staining in mouse splenocytes (shown in green). The counterstain was observed in magenta. Nuclear DNA was labelled with DAPI (shown in blue). Image was taken with a confocal microscope (Leica-Microsystems, TCS SP8). Confocal scanning Z step was set as 0.3 μm followed by image processing with maximum Z projection.

Immunocytochemistry/ Immunofluorescence - Anti-ATP1B2 antibody [EPR15461(B)] - C-terminal (AB185207)
  • ICC/IF

Lab

Immunocytochemistry/ Immunofluorescence - Anti-ATP1B2 antibody [EPR15461(B)] - C-terminal (AB185207)

Immunofluorescent analysis of 4% Paraformaldehyde fixed, 0.1% Triton X-100 permeabilized rat splenocytes with ab185207 at 1/100 dilution followed by Goat Anti-Rabbit IgG H&L (Alexa Fluor® 488) preadsorbed at 1/1000 (Green). ab7291 Anti-alpha Tubulin mouse monoclonal antibody was used as a counterstain at a 1/1000 dilution followed by ab150120 Goat Anti-Mouse IgG H&L (Alexa Fluor® 594) preadsorbed at a 1/1000 dilution (Magenta). Low expression : Confocal image showing no staining in rat splenocytes (shown in green). The counterstain was observed in magenta. Nuclear DNA was labelled with DAPI (shown in blue). Image was taken with a confocal microscope (Leica-Microsystems, TCS SP8). Confocal scanning Z step was set as 0.3 μm followed by image processing with maximum Z projection.

Immunohistochemistry (Frozen sections) - Anti-ATP1B2 antibody [EPR15461(B)] - C-terminal (AB185207)
  • IHC-Fr

Lab

Immunohistochemistry (Frozen sections) - Anti-ATP1B2 antibody [EPR15461(B)] - C-terminal (AB185207)

Immunohistochemical analysis of 4% PFA-fixed/ 0.2% Triton X-100 permeabilized frozen rat liver labeling ATP1B2 with ab185207 at 1/400 dilution (2.56 µg/ml). Negative control : confocal image showing no staining on rat liver. The nuclear counterstain was DAPI (Blue). The section was incubated with ab185207 for 60 mins at room temperature. The section was then mounted using Fluoromount®. The immunostaining was performed on a Leica Biosystems BOND® RX instrument. Image was taken with a confocal microscope (Leica-Microsystems, TCS SP8).

Immunohistochemistry (Frozen sections) - Anti-ATP1B2 antibody [EPR15461(B)] - C-terminal (AB185207)
  • IHC-Fr

Lab

Immunohistochemistry (Frozen sections) - Anti-ATP1B2 antibody [EPR15461(B)] - C-terminal (AB185207)

Immunohistochemical analysis of 4% PFA-fixed/ 0.2% Triton X-100 permeabilized frozen mouse liver labeling ATP1B2 with ab185207 at 1/400 dilution (2.56 µg/ml). Negative control : confocal image showing no staining on mouse liver. The nuclear counterstain was DAPI (Blue). The section was incubated with ab185207 for 60 mins at room temperature. The section was then mounted using Fluoromount®.The immunostaining was performed on a Leica Biosystems BOND® RX instrument. Image was taken with a confocal microscope (Leica-Microsystems, TCS SP8). Heat mediated antigen retrieval using sodium citrate buffer (10mM citrate pH 6.0 + 0.05% Tween-20).

Western blot - Anti-ATP1B2 antibody [EPR15461(B)] - C-terminal (AB185207)
  • WB

Supplier Data

Western blot - Anti-ATP1B2 antibody [EPR15461(B)] - C-terminal (AB185207)

All lanes:

Western blot - Anti-ATP1B2 antibody [EPR15461(B)] - C-terminal (ab185207) at 1/20000 dilution

All lanes:

Y79 lysate at 20 µg

Secondary

All lanes:

Goat Anti-Rabbit IgG, (H+L), Peroxidase conjugated at 1/1000 dilution

Predicted band size: 33 kDa

false

  • Carrier free

    Anti-ATP1B2 antibody [EPR15461(B)] - BSA and Azide free

Key facts

Host species

Rabbit

Clonality

Monoclonal

Clone number

EPR15461(B)

Isotype

IgG

Carrier free

No

Reacts with

Mouse, Rat, Human

Applications

WB, ICC/IF, IHC-P, IHC-Fr, IP, ICC

applications

Immunogen

The exact immunogen used to generate this antibody is proprietary information.

Reactivity data

{ "title": "Reactivity Data", "filters": { "stats": ["", "Species", "Dilution Info", "Notes"], "tabs": { "all-applications": {"fullname" : "All Applications", "shortname": "All Applications"}, "ICCIF" : {"fullname" : "Immunocytochemistry/ Immunofluorescence", "shortname":"ICC/IF"}, "ICC" : {"fullname" : "Immunocytochemistry", "shortname":"ICC"}, "IHCFr" : {"fullname" : "Immunohistochemistry (Frozen sections)", "shortname":"IHC-Fr"}, "IHCP" : {"fullname" : "Immunohistochemistry (Formalin/PFA-fixed paraffin-embedded sections)", "shortname":"IHC-P"}, "WB" : {"fullname" : "Western blot", "shortname":"WB"}, "IP" : {"fullname" : "Immunoprecipitation", "shortname":"IP"} }, "product-promise": { "all": "all", "testedAndGuaranteed": "tested", "guaranteed": "expected", "predicted": "predicted", "notRecommended": "not-recommended" } }, "values": { "Human": { "ICCIF-species-checked": "testedAndGuaranteed", "ICCIF-species-dilution-info": "1/50", "ICCIF-species-notes": "<p></p>", "ICC-species-checked": "guaranteed", "ICC-species-dilution-info": "", "ICC-species-notes": "", "IHCFr-species-checked": "guaranteed", "IHCFr-species-dilution-info": "", "IHCFr-species-notes": "", "IHCP-species-checked": "testedAndGuaranteed", "IHCP-species-dilution-info": "1/5000", "IHCP-species-notes": "<p></p> Perform heat-mediated antigen retrieval with citrate buffer pH 6 before commencing with IHC staining protocol.", "WB-species-checked": "testedAndGuaranteed", "WB-species-dilution-info": "1/1000 - 1/50000", "WB-species-notes": "<p></p>", "IP-species-checked": "testedAndGuaranteed", "IP-species-dilution-info": "1/50 - 1/80", "IP-species-notes": "<p></p>" }, "Mouse": { "ICCIF-species-checked": "testedAndGuaranteed", "ICCIF-species-dilution-info": "1/100", "ICCIF-species-notes": "<p></p>", "ICC-species-checked": "guaranteed", "ICC-species-dilution-info": "", "ICC-species-notes": "", "IHCFr-species-checked": "testedAndGuaranteed", "IHCFr-species-dilution-info": "1/400", "IHCFr-species-notes": "<p></p> Perform heat-mediated antigen retrieval with citrate buffer pH 6 before commencing with IHC staining protocol.", "IHCP-species-checked": "testedAndGuaranteed", "IHCP-species-dilution-info": "1/5000", "IHCP-species-notes": "<p></p> Perform heat-mediated antigen retrieval with citrate buffer pH 6 before commencing with IHC staining protocol.", "WB-species-checked": "testedAndGuaranteed", "WB-species-dilution-info": "1/1000", "WB-species-notes": "<p></p>", "IP-species-checked": "guaranteed", "IP-species-dilution-info": "", "IP-species-notes": "" }, "Rat": { "ICCIF-species-checked": "guaranteed", "ICCIF-species-dilution-info": "", "ICCIF-species-notes": "", "ICC-species-checked": "testedAndGuaranteed", "ICC-species-dilution-info": "1/100", "ICC-species-notes": "<p></p>", "IHCFr-species-checked": "testedAndGuaranteed", "IHCFr-species-dilution-info": "1/400", "IHCFr-species-notes": "<p></p> Perform heat-mediated antigen retrieval with citrate buffer pH 6 before commencing with IHC staining protocol.", "IHCP-species-checked": "testedAndGuaranteed", "IHCP-species-dilution-info": "1/5000", "IHCP-species-notes": "<p></p> Perform heat-mediated antigen retrieval with citrate buffer pH 6 before commencing with IHC staining protocol.", "WB-species-checked": "testedAndGuaranteed", "WB-species-dilution-info": "1/1000", "WB-species-notes": "<p></p>", "IP-species-checked": "guaranteed", "IP-species-dilution-info": "", "IP-species-notes": "" } } }

Product details

Patented technology
Our RabMAb® technology is a patented hybridoma-based technology for making rabbit monoclonal antibodies. For details on our patents, please refer to RabMAb® patents.

What are the advantages of a recombinant monoclonal antibody?
This product is a recombinant monoclonal antibody, which offers several advantages including:

  • - High batch-to-batch consistency and reproducibility
  • - Improved sensitivity and specificity
  • - Long-term security of supply
  • - Animal-free batch production

For more information, read more on recombinant antibodies.

Properties and storage information

Form
Liquid
Purification technique
Affinity purification Protein A
Storage buffer
pH: 7.2 - 7.4 Preservative: 0.01% Sodium azide Constituents: PBS, 40% Glycerol (glycerin, glycerine), 0.05% BSA
Shipped at conditions
Blue Ice
Appropriate short-term storage duration
1-2 weeks
Appropriate short-term storage conditions
+4°C
Appropriate long-term storage conditions
-20°C
Aliquoting information
Upon delivery aliquot
Storage information
Avoid freeze / thaw cycle

Supplementary information

This supplementary information is collated from multiple sources and compiled automatically.

ATP1B2 also known as Sodium/potassium-transporting ATPase subunit beta-2 is a protein that functions mechanically as part of the Na+/K+ pump essential for maintaining the electrochemical gradients of sodium and potassium ions across the plasma membrane. This protein is approximately 40 kDa in mass. It is particularly expressed in nervous tissues such as brain and spinal cord but can be found in many other tissues as well. ATP1B2 plays a significant role in ion transport and regulation of cell volume as well as maintaining resting potential.
Biological function summary

ATP1B2 participates in the assembly of the Na+/K+ ATPase enzyme complex a complex vital for proper ion exchange and cellular homeostasis. It stabilizes the enzyme's alpha subunit and ensures correct localization within the cell membrane. This complex is essential for cellular processes like neuronal signaling and muscle contraction as it helps in maintaining the appropriate ion balance within the cells.

Pathways

ATP1B2 is involved in the ion transport pathway important for maintaining cellular ion homeostasis. It is part of pathways such as the sodium reabsorption in kidneys and nerve transmission. In these pathways ATP1B2 works closely with proteins like ATP1A1 the alpha subunit of the Na+/K+ ATPase helping to facilitate the transport of sodium out of and potassium into the cells which is critical for many physiological processes.

ATP1B2 has been linked to conditions such as epilepsy and certain types of congenital heart disease. In epilepsy dysfunctional ion transport due to anomalies in ATP1B2 can lead to abnormal neuronal firing. Another related protein ATP1A2 also plays a part in neurological disorders through similar ion transport mechanisms. In congenital heart disease disruptions in the Na+/K+ pump imaging can affect heart function demonstrating ATP1B2's role in maintaining cardiovascular health.

Product protocols

For this product, it's our understanding that no specific protocols are required. You can visit:

Target data

This is the non-catalytic component of the active enzyme, which catalyzes the hydrolysis of ATP coupled with the exchange of Na(+) and K(+) ions across the plasma membrane. The exact function of the beta-2 subunit is not known.. Mediates cell adhesion of neurons and astrocytes, and promotes neurite outgrowth.
See full target information Sodium/potassium-transporting ATPase subunit beta-2

Publications (2)

Recent publications for all applications. Explore the full list and refine your search

The Journal of physiology 598:5195-5211 PubMed32833287

2020

Fatigue-induced change in T-system excitability and its major cause in rat fast-twitch skeletal muscle in vivo.

Applications

Unspecified application

Species

Unspecified reactive species

Daiki Watanabe,Masanobu Wada

The Journal of biological chemistry 292:8874-8891 PubMed28373281

2017

An immunoaffinity-based method for isolating ultrapure adult astrocytes based on ATP1B2 targeting by the ACSA-2 antibody.

Applications

Unspecified application

Species

Unspecified reactive species

Mykhailo Y Batiuk,Filip de Vin,Sandra I Duqué,Chen Li,Takashi Saito,Takaomi Saido,Mark Fiers,T Grant Belgard,Matthew G Holt
View all publications

Product promise

We are committed to supporting your work with high-quality reagents, and we're here for you every step of the way. In the unlikely event that one of our products does not perform as expected, you're protected by our Product Promise.
For full details, please see our Terms & Conditions

Please note: All products are 'FOR RESEARCH USE ONLY. NOT FOR USE IN DIAGNOSTIC OR THERAPEUTIC PROCEDURES'.

For licensing inquiries, please contact partnerships@abcam.com